
担当歯科医師:
小林 健二(小林歯科医院)
プロフィールをもっと見る
マイクロエンドの症例紹介①(小林歯科医院)


小林 健二(小林歯科医院)
プロフィールをもっと見る
症例詳細
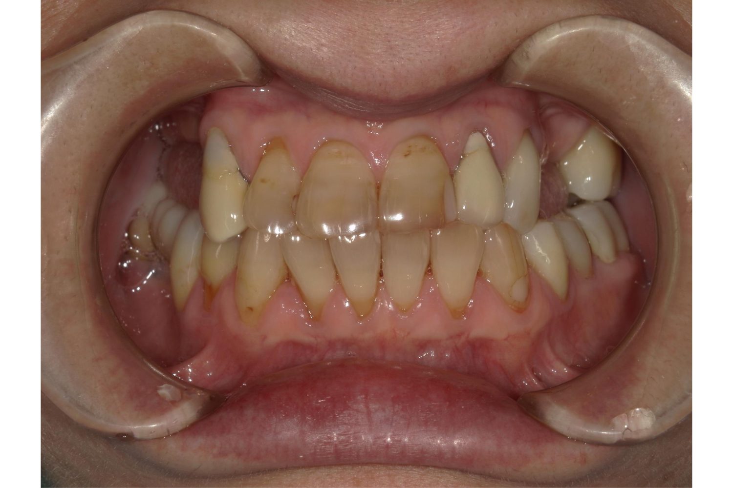
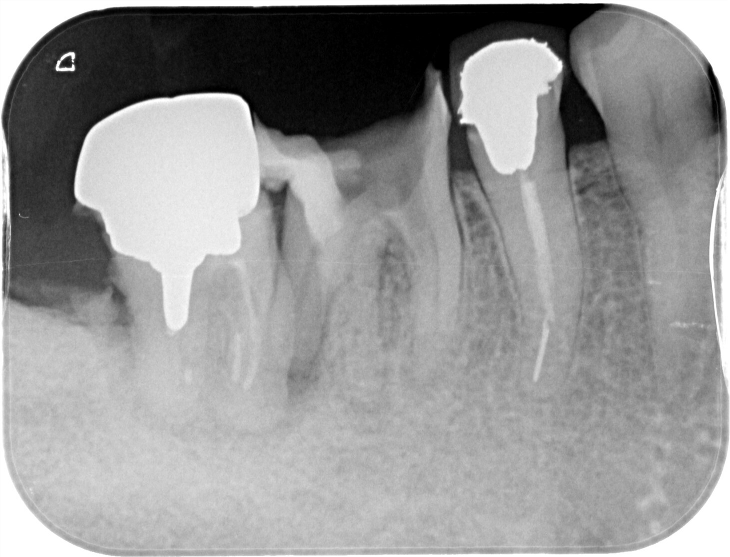
| 主訴 | 過去の治療にて根管充填後、噛むと違和感・痛みが出てきた。一度詰めた薬を撤去してもらったが症状が変わらなかったため来院。 |
| 治療内容 | ラバーダム防湿を行い、マイクロスコープにて根尖部の溢出ガッタパーチャの除去を行いました。 |
| 治療費 | 121,000円(税込) |
| 治療期間 | 3ヶ月 |
| 治療回数 | 5回 |
| 想定されたリスク | ガッタパーチャが取り切れない可能性がある。除去したとしても違和感・痛みが続くこともある。 ガッタパーチャを取ることにより根尖が過拡大されてしまい、根管充填時に更なる溢出を起こす可能性がある。 MTAセメント根充や外科的な処置が必要となる可能性がある。 |
担当医のコメント

小林歯科医院
小林 健二 歯科医師
CT撮影により根尖部にガッタパーチャの溢出を確認。
拡大視野下にて残存ガッタパーチャを確認しながら過拡大に注意しながら除去。
その後根管充填を行った症例です。ガッタパーチャ除去したことで症状が改善されました。
ソケットプリザベーションを併用したインプラント埋入処置の症例紹介(小林歯科医院)


小林 健二(小林歯科医院)
プロフィールをもっと見る
症例詳細
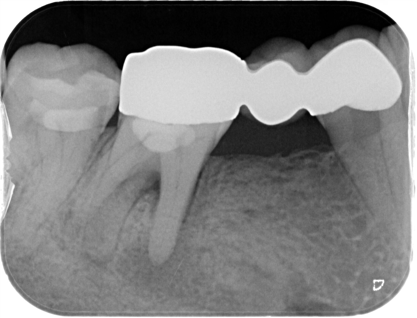
| 主訴 | 歯が折れたため来院。 |
| 治療内容 | 抜歯とともにソケットプリザベーション(歯槽骨再生療法)を行い、歯槽骨の再生を行う。その後にインプラントの埋入処置を行いました。 |
| 治療費 | ソケットプリザベーション:55,000円(税込、オプション別) オプション(エムドゲイン+ベリプラスト):49,500円(税込) インプラント埋入処置:418,000円(税込、埋入~上部構造含め) |
| 治療期間 | 9ヶ月 |
| 治療回数 | 10回 |
| 想定されたリスク | 再生療法を行っても、骨に置換されない場合もあり、その場合は追加的な処置もしくはインプラント埋入自体を断念しなければならない可能性もありました。 |
担当医のコメント

小林歯科医院
小林 健二 歯科医師
オフィスホワイトニングの症例紹介(小林歯科医院)


小林 健二(小林歯科医院)
プロフィールをもっと見る
症例詳細
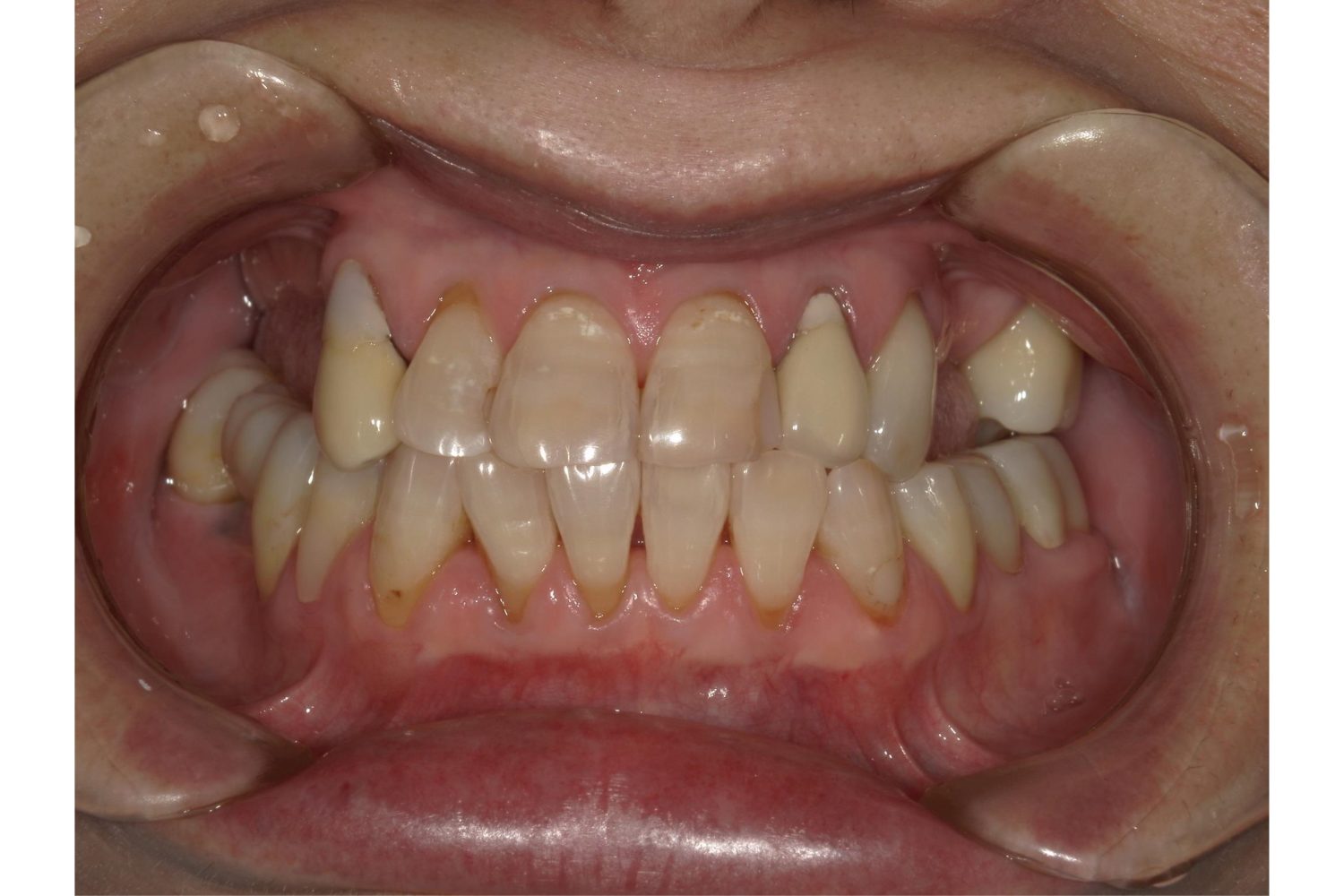
| 主訴 | 歯を白くしたいため来院。 |
| 治療内容 | オフィスホワイトニングを1セット(フッ素塗布、薬剤3回塗布×2日)を行いました。 |
| 治療費 | 39,000円(税込) |
| 治療期間 | 2日 |
| 治療回数 | 2回 |
| 想定されたリスク | 人工物(被せ物、詰め物など)はホワイトニングで白くならないため、周囲の天然歯との色の差が生じるリスクがあります。 歯の性状にによってはチョークの様に白くなることがあります。回数を重ねると少しずつ気にならなくなってきます。 |
担当医のコメント

小林歯科医院
小林 健二 歯科医師
歯の黄ばみが気になる方へおすすめです。
しみる症状が出にくいように処置の前後でフッ素の塗布を行っています。
小林歯科医院
ホワイトニング 一般歯科 予防治療 審美治療 根管治療 歯周病治療
山梨県韮崎市富士見1-5-14
🕑 [午前]:月火水金土 9:00~13:00
[午後]:月火水金 14:30~18:00 土 14:30~17:00
休診日:木・日・祝




小林歯科医院
小林 健二 歯科医師