
担当歯科医師:
三隅 賢祐(三隅歯科クリニック)
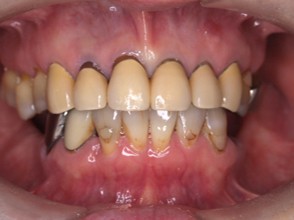
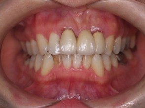
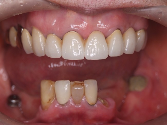
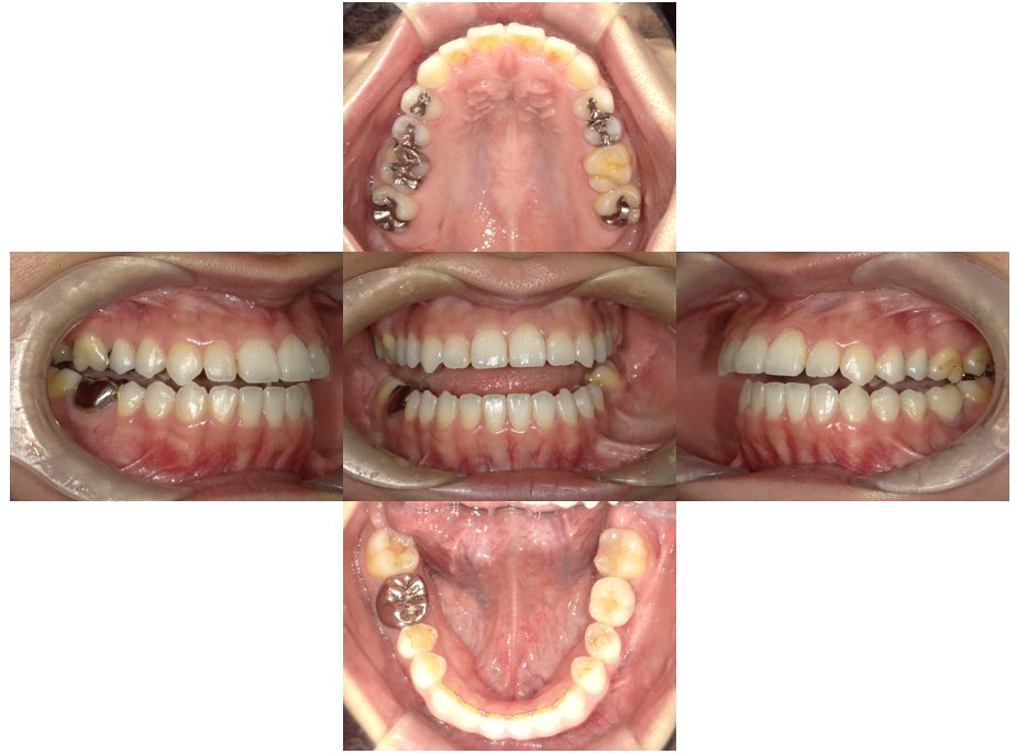
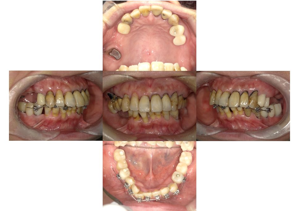
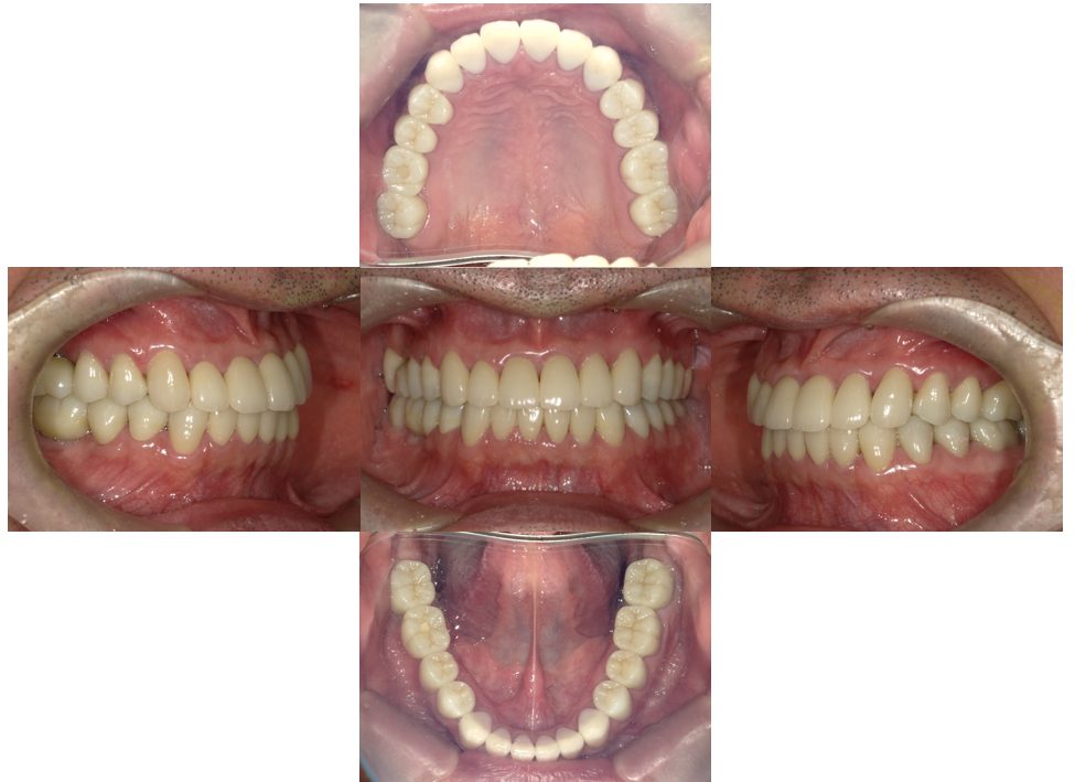
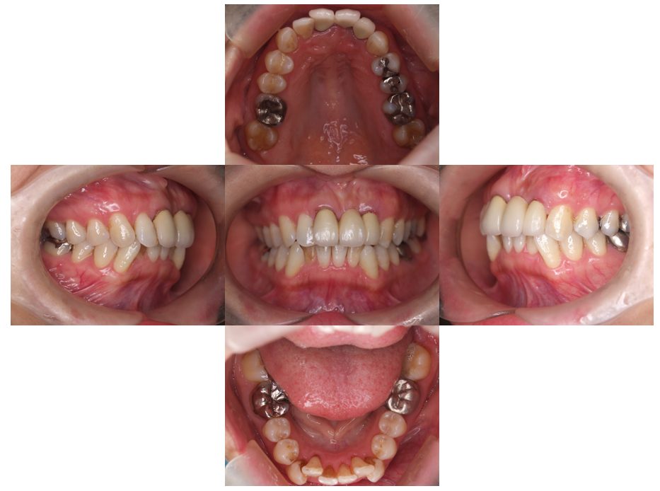
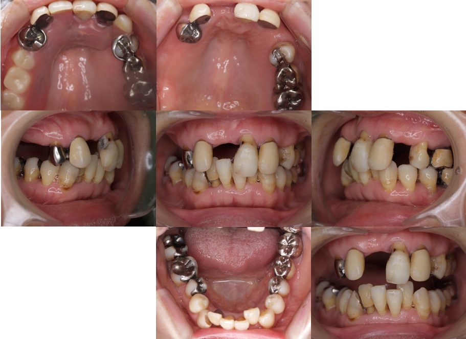
歯周病組織再生療法・インプラント・セラミック治療の症例紹介(三隅歯科クリニック)


三隅 賢祐(三隅歯科クリニック)
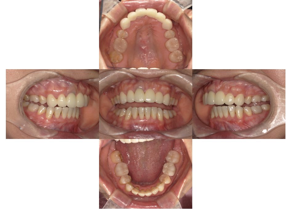
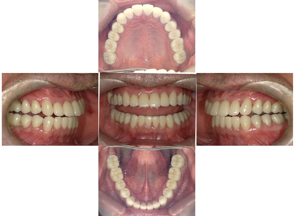
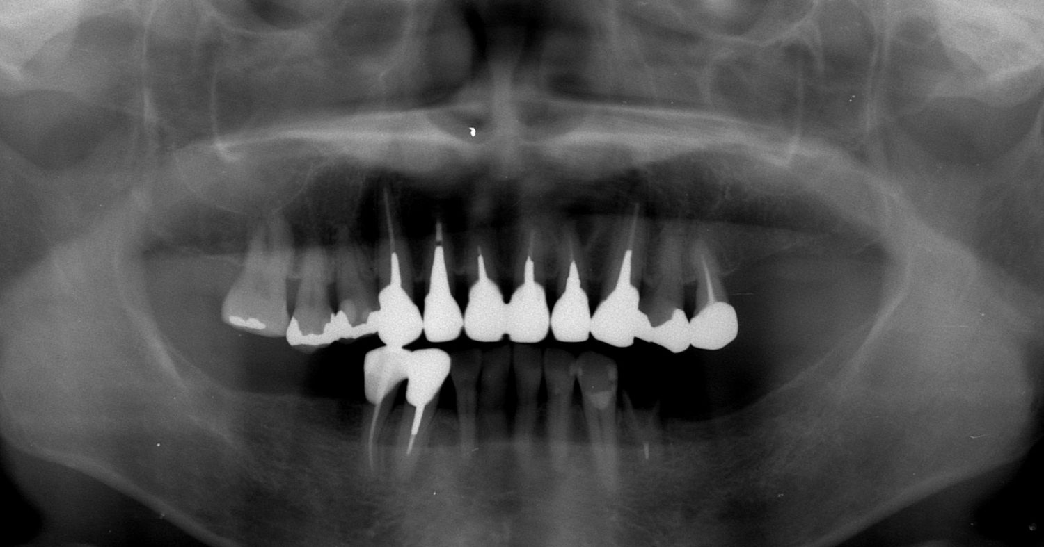
症例詳細
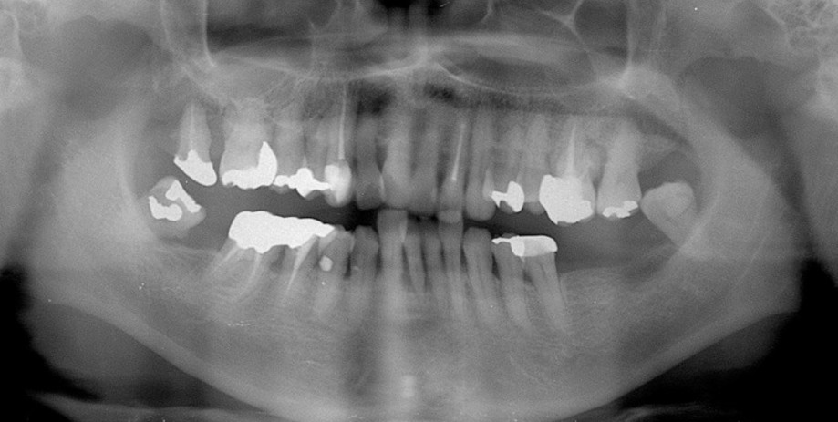
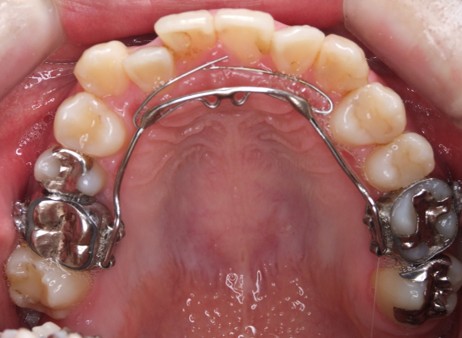
| 主訴 | 60代女性 他院で義歯を作ったが噛みにくい、バネを掛けている左下の銀歯が何度も取れる、しっかり噛めるようになりたい |
| 治療内容 | 歯周病組織再生療法、インプラント治療、セラミック治療を行いました。 |
| 治療費 | 4,000,000円(税込み) |
| 治療期間 | 1年半 |
| 治療回数 | 25回 |
| 想定されたリスク | 失活歯が多く、太くて長い土台がすでに入っていたので、歯根破折のリスクがあった |

三隅歯科クリニック
三隅 賢祐 歯科医師
三隅歯科クリニック
🕑 [月・火・木・金]9:30~13:00/14:30~18:00
[水]9:30~12:00
[土]9:30~13:00/14:00~17:00
休診日:日・祝
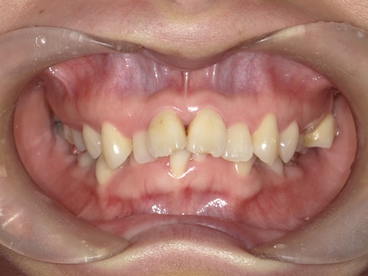
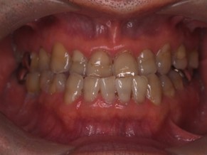
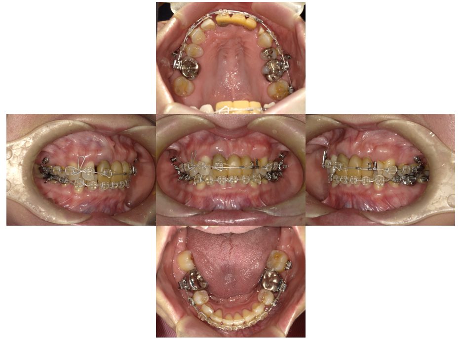
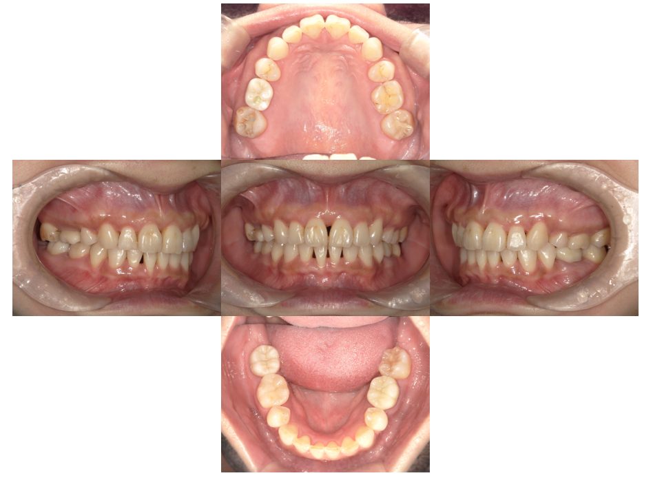
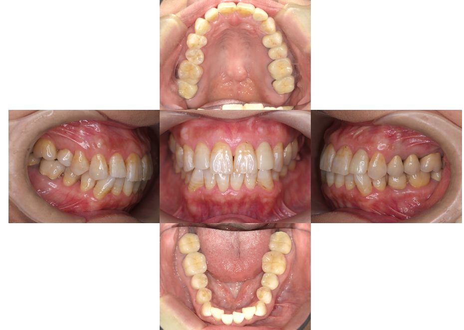
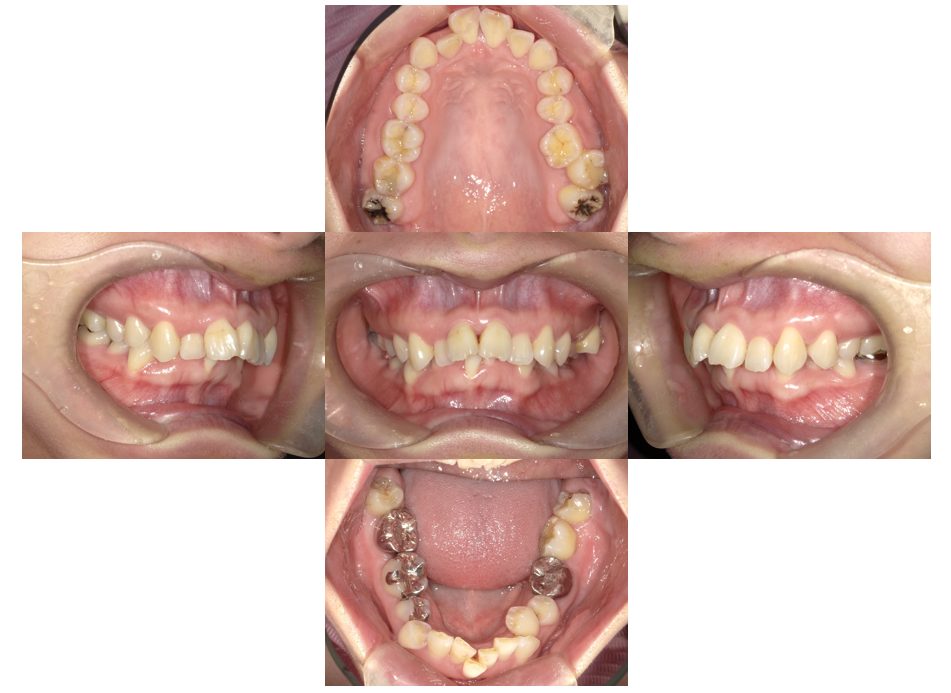
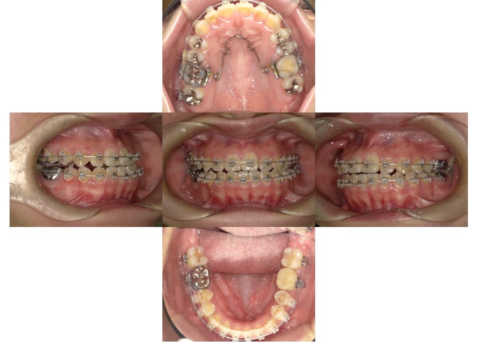
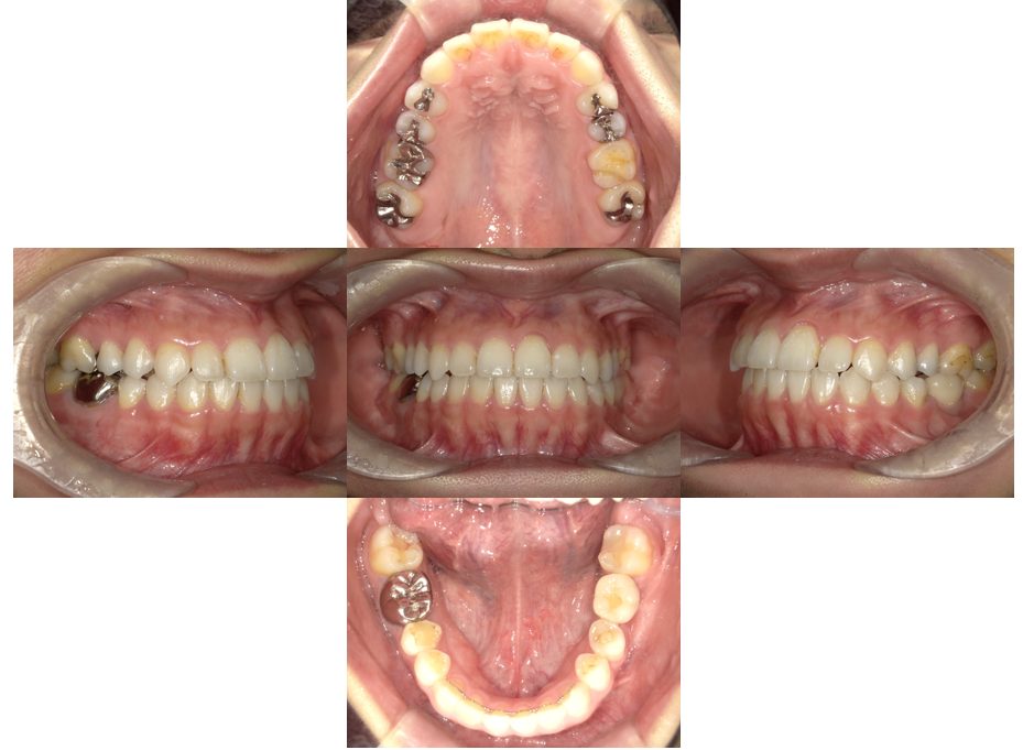
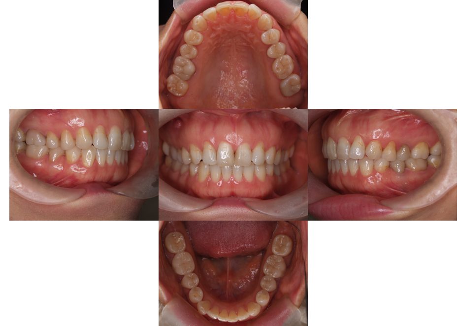
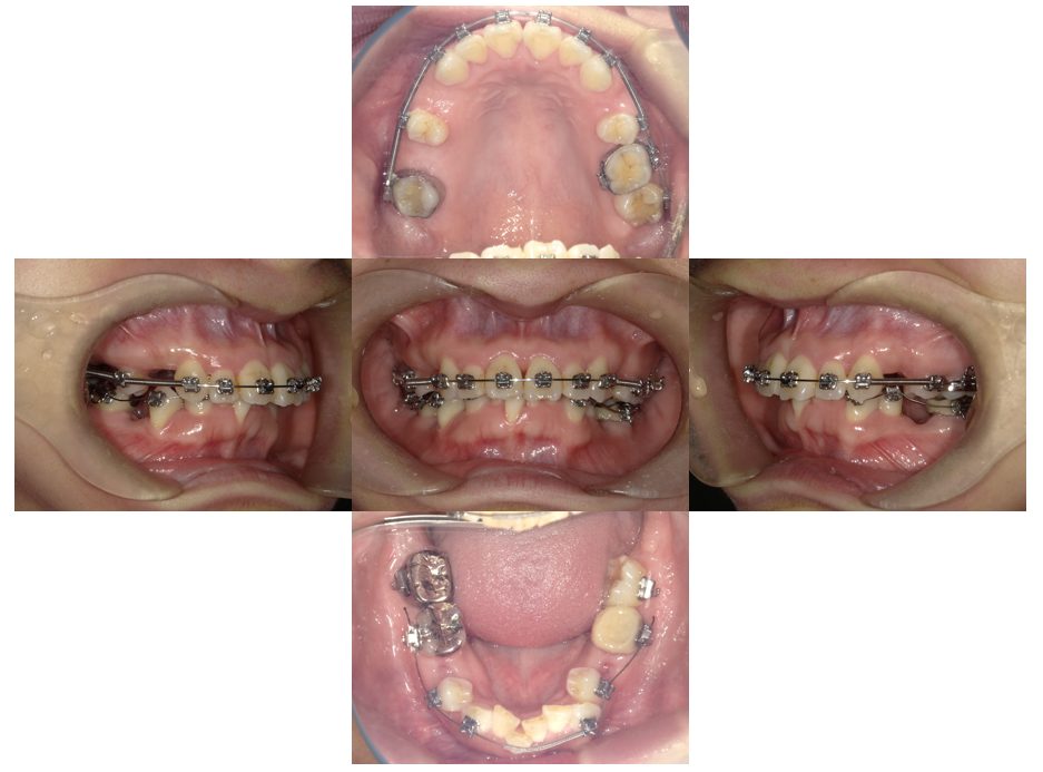
矯正治療・根管治療・補綴治療の症例紹介(三隅歯科クリニック)


三隅 賢祐(三隅歯科クリニック)
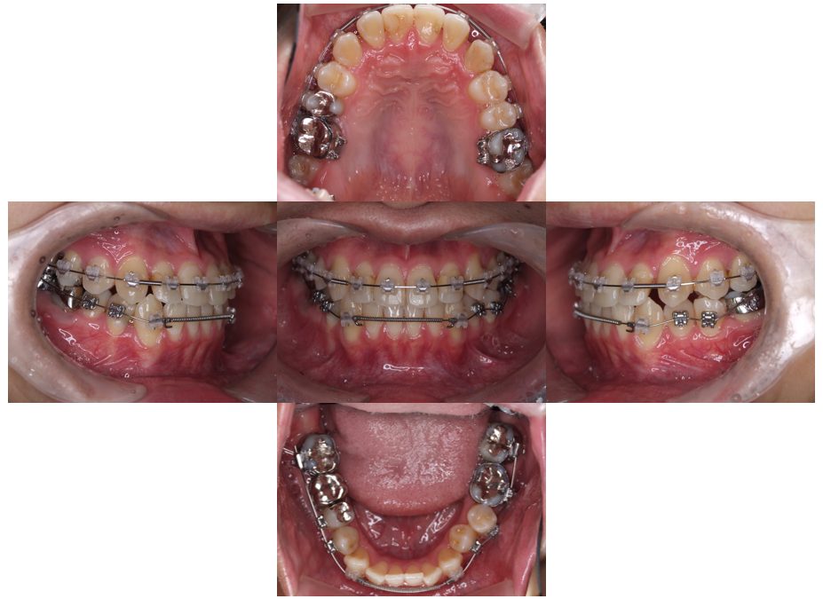
症例詳細
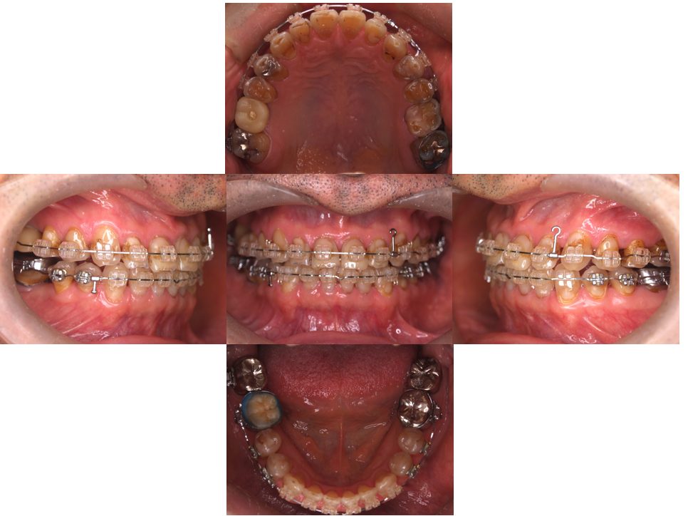
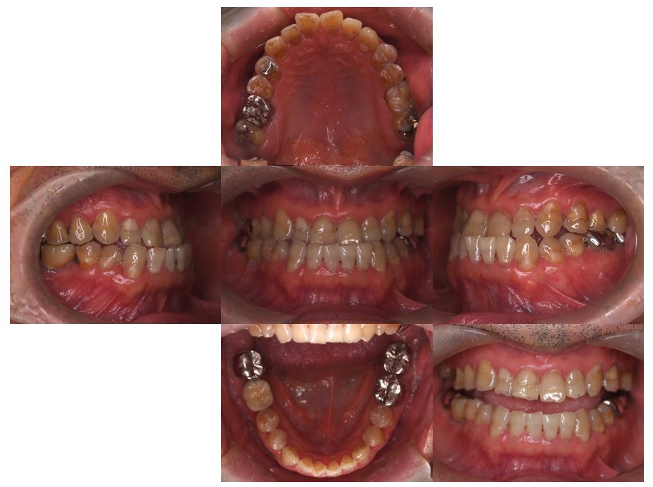
| 主訴 | 過去作成した右下の被せ物がずれて入っており、たまに腫れる。歯並びも気になる。 |
| 治療内容 | 矯正治療を行いました。 |
| 治療費 | 800,000円(税込み) |
| 治療期間 | 2年半(矯正治療期間 2年) |
| 治療回数 | 30回 |
| 想定されたリスク | 術前に基礎資料を整え分析し、セットアップモデル等でシミュレーションをしておかないと、予定通りの治療が行えないリスクがあった。 |

三隅歯科クリニック
三隅 賢祐 歯科医師
三隅歯科クリニック
🕑 [月・火・木・金]9:30~13:00/14:30~18:00
[水]9:30~12:00
[土]9:30~13:00/14:00~17:00
休診日:日・祝
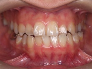
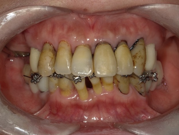
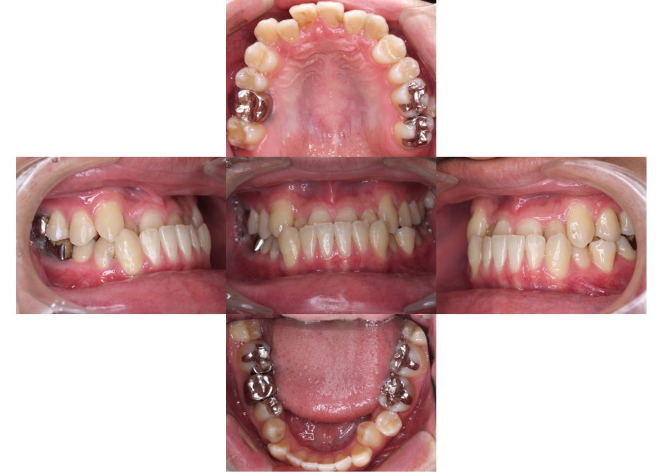
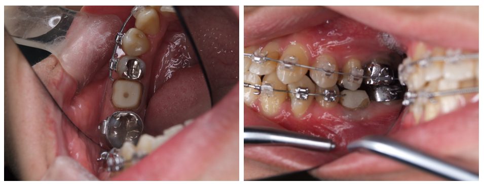
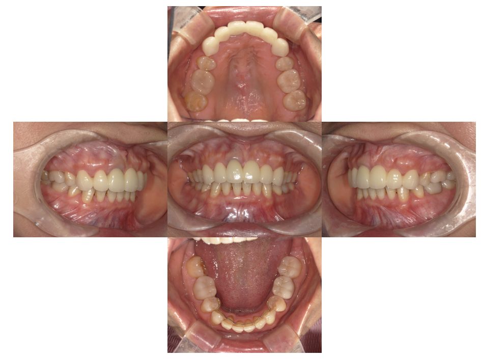
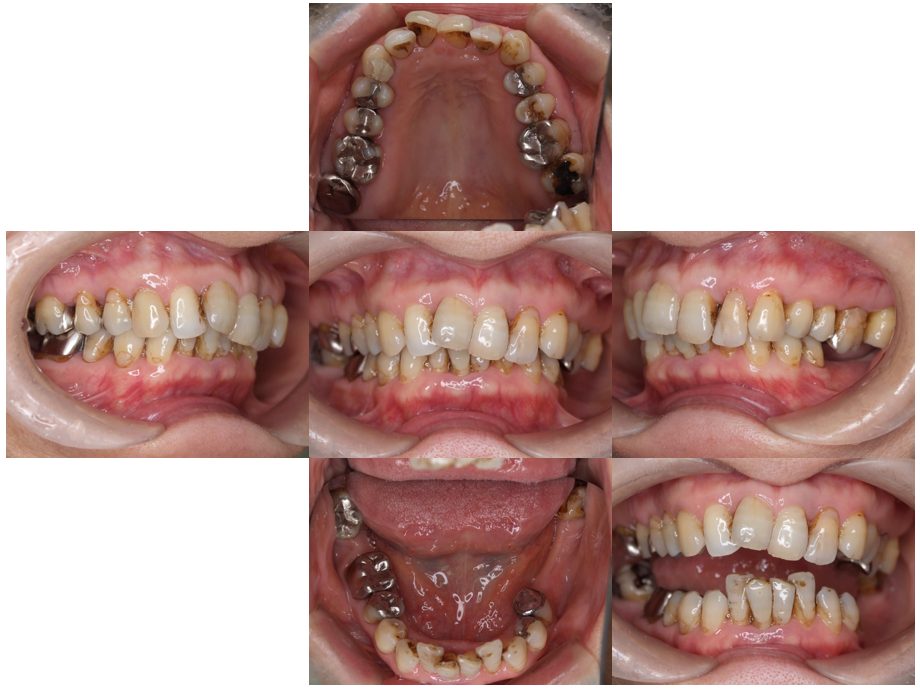
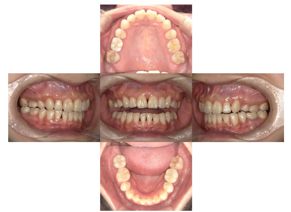
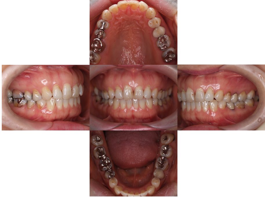
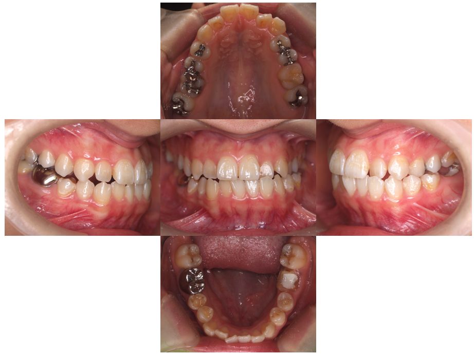
外科矯正治療・インプラント治療の症例紹介(三隅歯科クリニック)


三隅 賢祐(三隅歯科クリニック)
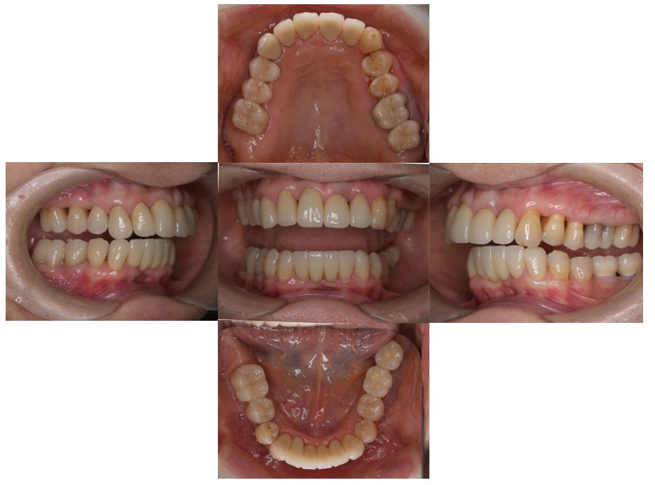
症例詳細
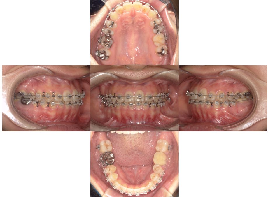
| 主訴 | 20代女性 矯正治療希望。治療途中の歯もあるので治したい。左顎関節が痛い。 |
| 治療内容 | 矯正治療を行いました。 |
| 治療費 | 1,400,000円(税込み) |
| 治療期間 | 3年(矯正治療期間 2年半) |
| 治療回数 | 40回 |
| 想定されたリスク | 顎骨の変形があったので、全身麻酔下による外科処置が必要になり、身体的、精神的負担が増す可能性がありました。 清掃状況によっては矯正中にむし歯が発生するリスクがありました。 |

三隅歯科クリニック
三隅 賢祐 歯科医師
三隅歯科クリニック
🕑 [月・火・木・金]9:30~13:00/14:30~18:00
[水]9:30~12:00
[土]9:30~13:00/14:00~17:00
休診日:日・祝
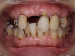
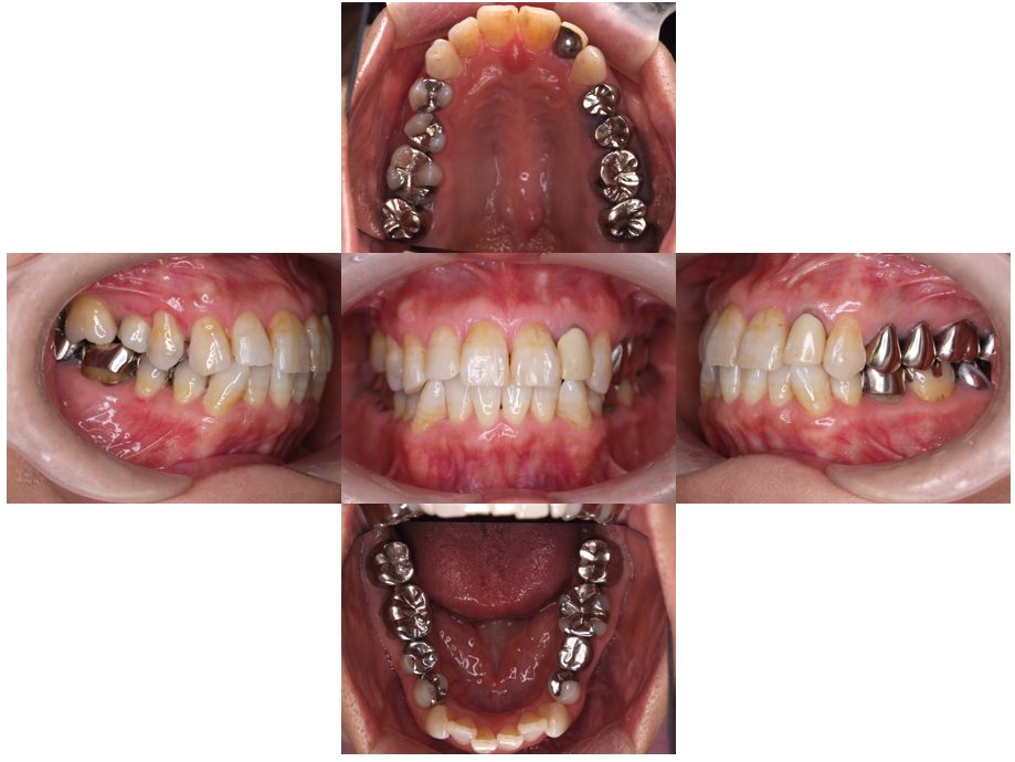
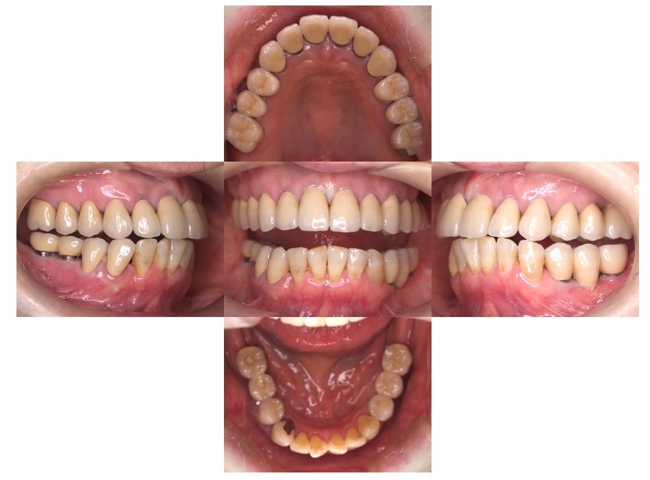
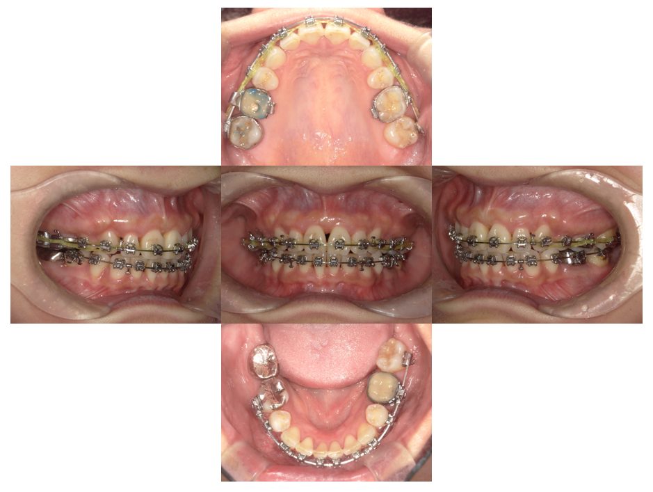
矯正治療・インプラント治療・セラミック治療の症例紹介(三隅歯科クリニック)


三隅 賢祐(三隅歯科クリニック)
症例詳細
| 主訴 | 30代女性 顎関節が痛い。見た目も気になる |
| 治療内容 | 矯正治療を行いました。 |
| 治療費 | 1,700,000円(税込み) |
| 治療期間 | 3年(矯正治療期間 2年半) |
| 治療回数 | 40回 |
| 想定されたリスク | 術前に精密な診査診断とシミュレーションを行い、インプラントを適正なポジションに埋入しておかないと、インプラント自体が矯正治療の邪魔になるリスクがあった。 |

三隅歯科クリニック
三隅 賢祐 歯科医師
三隅歯科クリニック
🕑 [月・火・木・金]9:30~13:00/14:30~18:00
[水]9:30~12:00
[土]9:30~13:00/14:00~17:00
休診日:日・祝
矯正治療・セラミック治療の症例紹介(三隅歯科クリニック)


三隅 賢祐(三隅歯科クリニック)
症例詳細
| 主訴 | 30代女性 口腔内にコンプレックスがあるから綺麗にしたい |
| 治療内容 | 矯正治療を行いました。 |
| 治療費 | 1,700,000円(税込み) |
| 治療期間 | 4年(矯正治療期間 3年) |
| 治療回数 | 50回 |
| 想定されたリスク | 前歯部の欠損が絡んだケースだったので、歯槽骨の吸収の具合によって骨造成か歯肉移植の必要性が出る可能性があった。 |

三隅歯科クリニック
三隅 賢祐 歯科医師
三隅歯科クリニック
🕑 [月・火・木・金]9:30~13:00/14:30~18:00
[水]9:30~12:00
[土]9:30~13:00/14:00~17:00
休診日:日・祝
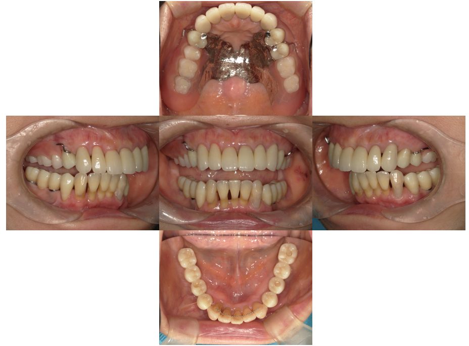
外科矯正治療・インプラント治療・セラミック治療の症例紹介(三隅歯科クリニック)


三隅 賢祐(三隅歯科クリニック)
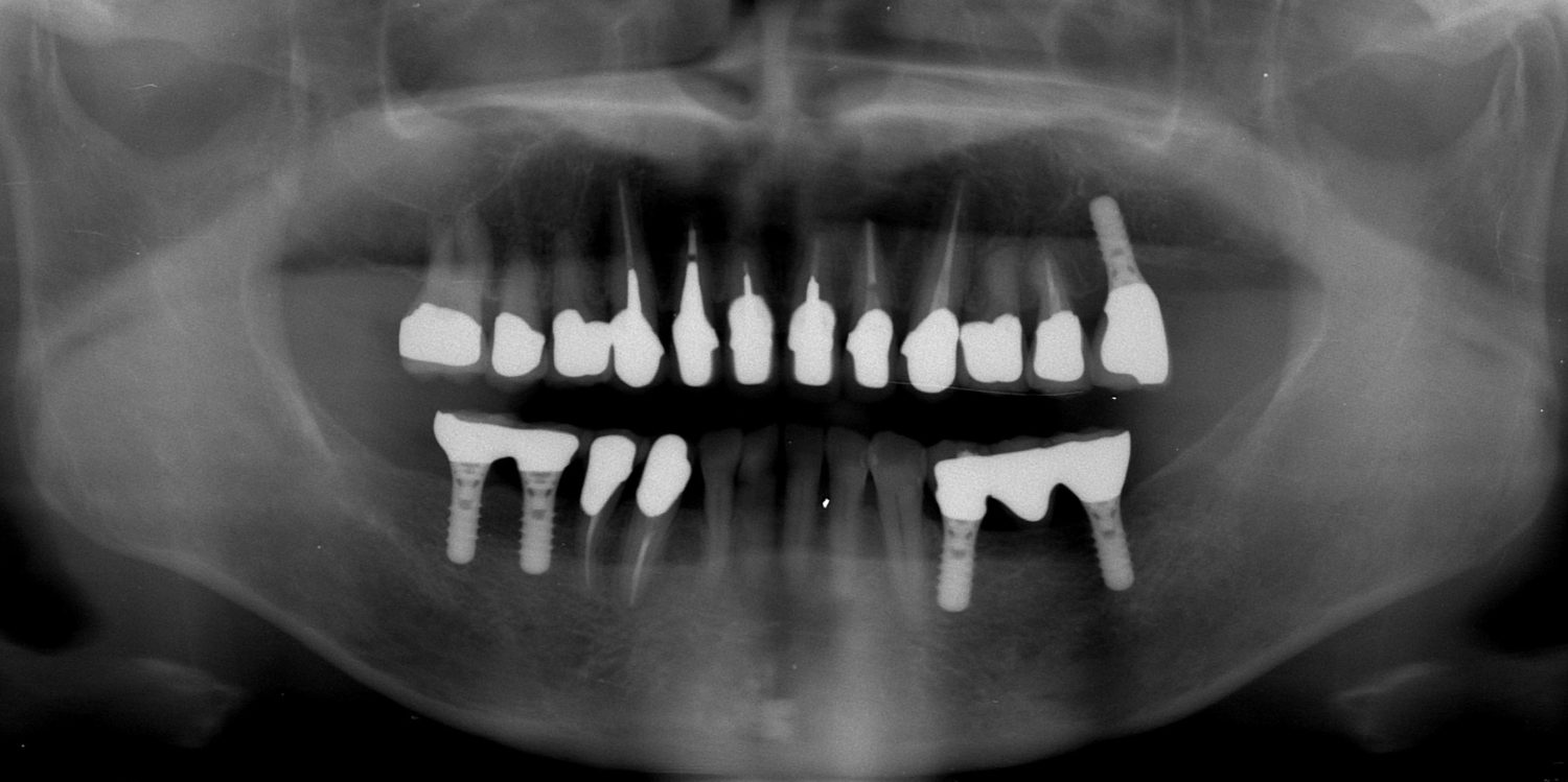
症例詳細
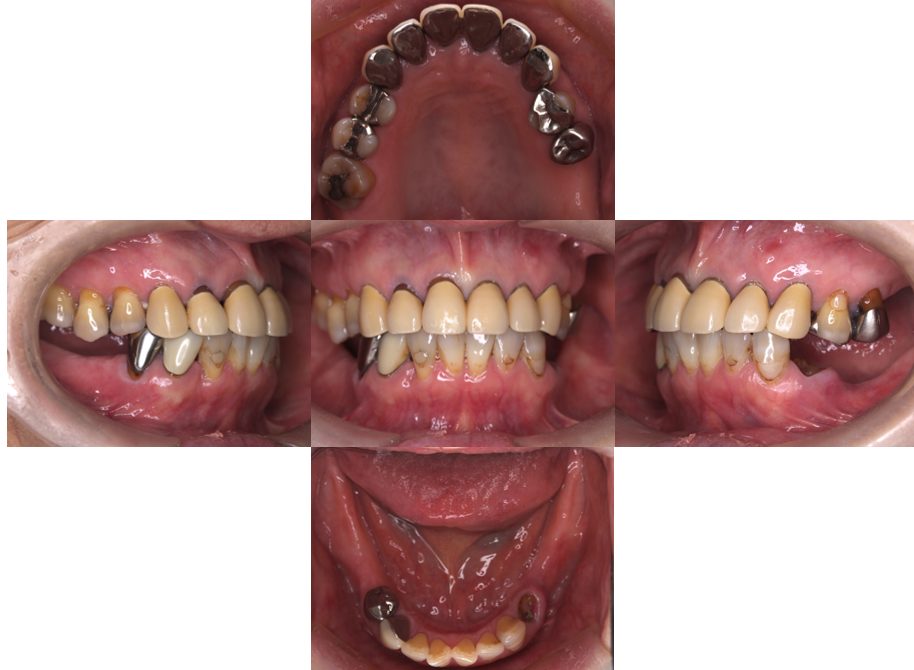
| 主訴 | 50代男性 右上の歯と歯茎が痛い。どこで噛んでいいのか分からないので夜も眠れない |
| 治療内容 | 外科矯正治療・インプラント治療・セラミック治療を行いました。 |
| 治療費 | 4,500,000円(税込み) |
| 治療期間 | 4年(矯正治療期間 3年) |
| 治療回数 | 60回 |
| 想定されたリスク | 顎骨の変形があったので、全身麻酔下による外科処置が必要になり、身体的、精神的負担が増す可能性がありました。 清掃状況によっては矯正中にむし歯が発生するリスクがありました。 |

三隅歯科クリニック
三隅 賢祐 歯科医師
三隅歯科クリニック
🕑 [月・火・木・金]9:30~13:00/14:30~18:00
[水]9:30~12:00
[土]9:30~13:00/14:00~17:00
休診日:日・祝
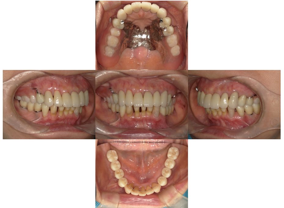
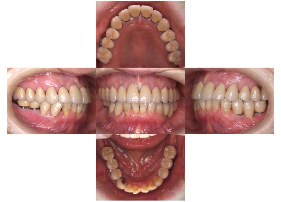
矯正治療・インプラント治療・セラミック治療・金属床(部分入れ歯)の症例紹介(三隅歯科クリニック)


三隅 賢祐(三隅歯科クリニック)
症例詳細
| 主訴 | 50代女性 以前いれた入れ歯が合わなくて使っていないので、しっかり噛めるようになりたい |
| 治療内容 | 矯正治療、インプラント治療、セラミック治療、金属床(部分入れ歯)を行いました。 |
| 治療費 | 4,200,000円(税込み) |
| 治療期間 | 2年(矯正治療期間 1年) |
| 治療回数 | 50回 |
| 想定されたリスク | 重度の歯周病で臼歯部の歯槽骨がかなり吸収していたため、インプラントが脱落するリスクがありました。 |

三隅歯科クリニック
三隅 賢祐 歯科医師
三隅歯科クリニック
🕑 [月・火・木・金]9:30~13:00/14:30~18:00
[水]9:30~12:00
[土]9:30~13:00/14:00~17:00
休診日:日・祝
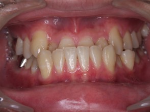
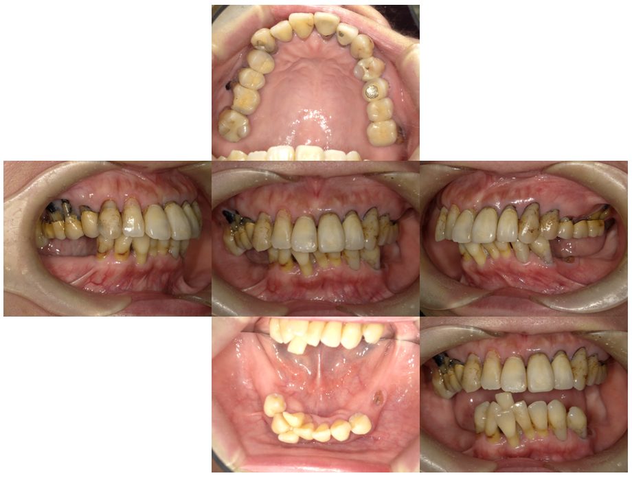
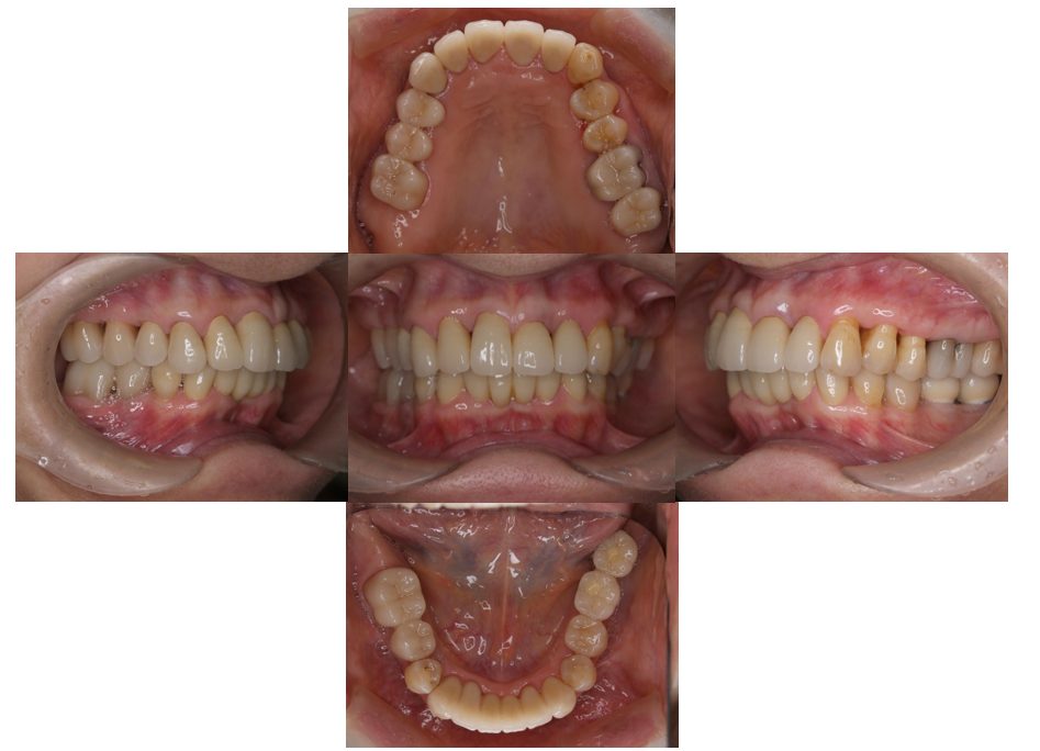
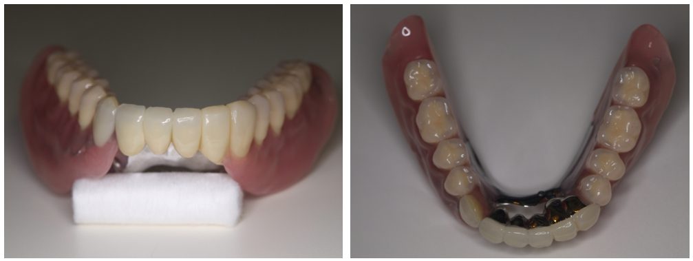
インプラント治療・セラミック治療・金属床コーヌス義歯(部分入れ歯)の症例紹介(三隅歯科クリニック)


三隅 賢祐(三隅歯科クリニック)
症例詳細
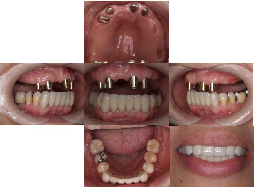
| 主訴 | 50代女性 他院でいれた入れ歯の具合が良くない。歯を白くしたい。歯並びも気になる。しっかり噛めるようになりたい |
| 治療内容 | インプラント治療、セラミック治療、金属床コーヌス義歯(部分入れ歯)を行いました。 |
| 治療費 | 2,400,000円(税込み) |
| 治療期間 | 8か月 |
| 治療回数 | 30回 |
| 想定されたリスク | 重度の歯周病で臼歯部の歯槽骨がかなり吸収していたため、インプラントが脱落するリスクがありました。 |

三隅歯科クリニック
三隅 賢祐 歯科医師
三隅歯科クリニック
🕑 [月・火・木・金]9:30~13:00/14:30~18:00
[水]9:30~12:00
[土]9:30~13:00/14:00~17:00
休診日:日・祝
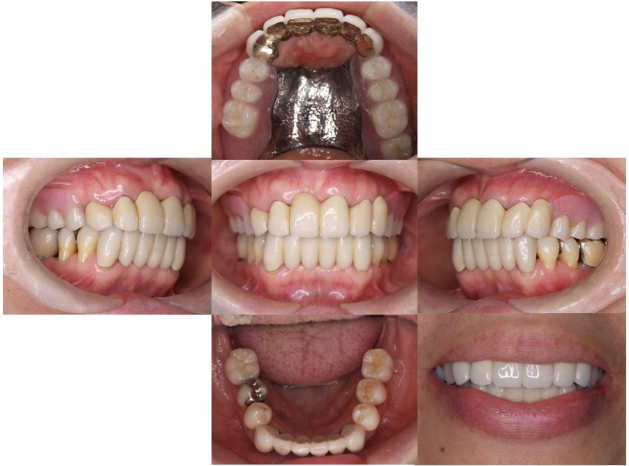
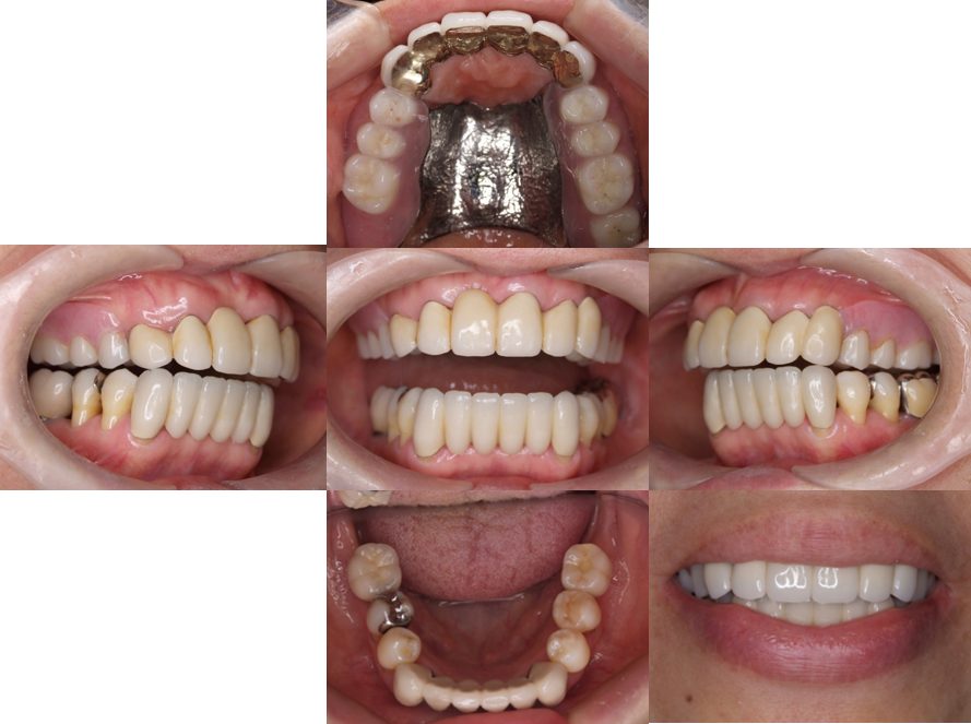
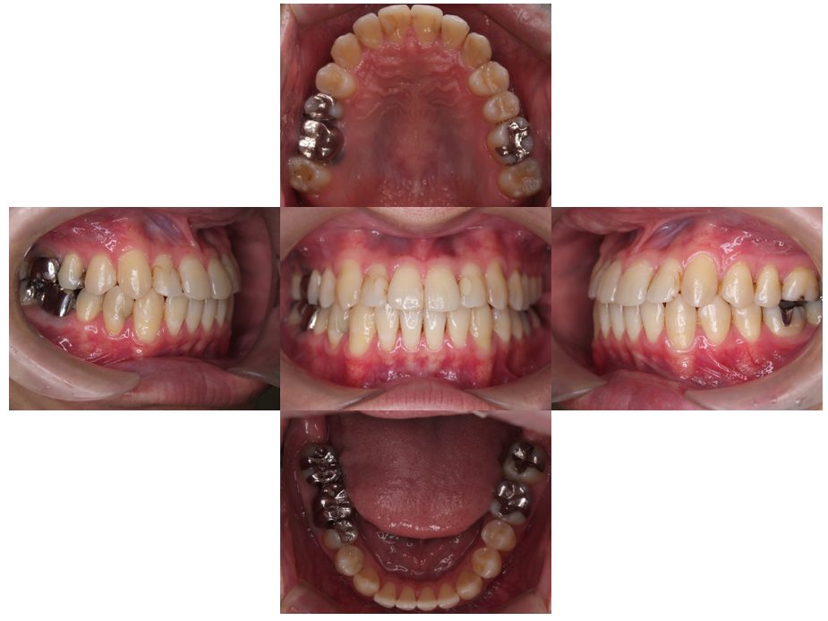
金属床コーヌス義歯(部分入れ歯)の症例紹介(三隅歯科クリニック)


三隅 賢祐(三隅歯科クリニック)
症例詳細
| 主訴 | 60代女性 バネを掛けている歯がグラグラする、インプラント治療はしたくない、バネが見える義歯は嫌だ |
| 治療内容 | インプラント治療、セラミック治療、金属床コーヌス義歯(部分入れ歯)を行いました。 |
| 治療費 | 1,200,000円(税込み) |
| 治療期間 | 4か月 |
| 治療回数 | 15回 |
| 想定されたリスク | 残存歯が少なく、義歯にすると残存歯(前歯)に負担がかかるリスクがあった |

三隅歯科クリニック
三隅 賢祐 歯科医師
三隅歯科クリニック
🕑 [月・火・木・金]9:30~13:00/14:30~18:00
[水]9:30~12:00
[土]9:30~13:00/14:00~17:00
休診日:日・祝
セラミック治療 (メタルフリー治療)の症例紹介①(三隅歯科クリニック)


三隅 賢祐(三隅歯科クリニック)
症例詳細
| 主訴 | 金属の詰め物が取れた、セラミックの治療希望 |
| 治療内容 | インプラント治療、セラミック治療、金属床コーヌス義歯(部分入れ歯)を行いました。 |
| 治療費 | 1,000,000円(税込み) |
| 治療期間 | 3か月 |
| 治療回数 | 20回 |
| 想定されたリスク | 残存歯の土台となる歯に変色がある場合は透けて見える可能性があった |

三隅歯科クリニック
三隅 賢祐 歯科医師
三隅歯科クリニック
🕑 [月・火・木・金]9:30~13:00/14:30~18:00
[水]9:30~12:00
[土]9:30~13:00/14:00~17:00
休診日:日・祝
セラミック治療 (メタルフリー治療)の症例紹介②(三隅歯科クリニック)


三隅 賢祐(三隅歯科クリニック)
症例詳細
| 主訴 | 金属の被せ物をセラミックにしたい |
| 治療内容 | インプラント治療、セラミック治療、金属床コーヌス義歯(部分入れ歯)を行いました。 |
| 治療費 | 1,600,000円(税込み) |
| 治療期間 | 4か月 |
| 治療回数 | 3回 |
| 想定されたリスク | 残存歯の土台となる歯に変色がある場合は透けて見える可能性があった |

三隅歯科クリニック
三隅 賢祐 歯科医師
三隅歯科クリニック
🕑 [月・火・木・金]9:30~13:00/14:30~18:00
[水]9:30~12:00
[土]9:30~13:00/14:00~17:00
休診日:日・祝
三隅歯科クリニック
🕑 [月・火・木・金]9:30~13:00/14:30~18:00
[水]9:30~12:00
[土]9:30~13:00/14:00~17:00
休診日:日・祝

三隅歯科クリニック
三隅 賢祐 歯科医師