おぎの歯科医院 症例紹介

担当歯科医師:
荻野真介(おぎの歯科医院)
インプラント治療では豊富な知識と経験に加え、先進的な機器を導入し、より安全性の高い検査・治療を行っているそうです。また、歯の健康を守るための早期発見・早期治療を大切にしているため、治療後でも歯のクリーニングや予防処置にも力を入れています。
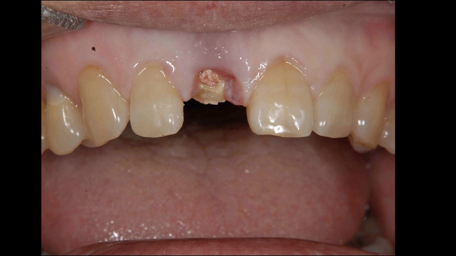
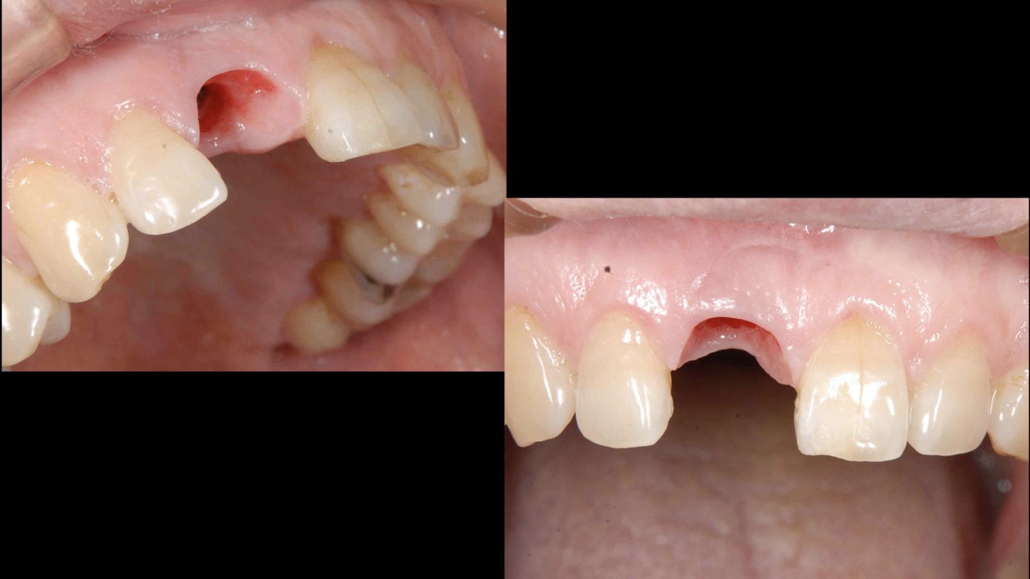
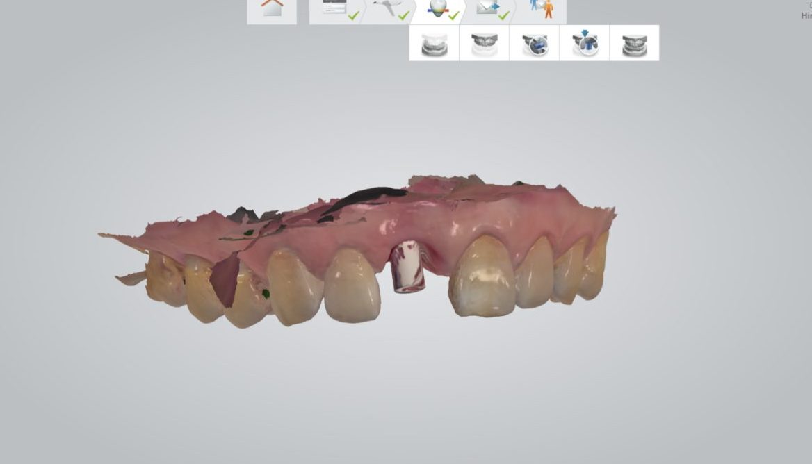
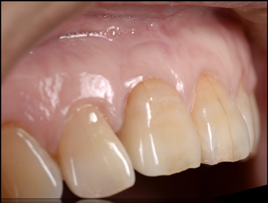
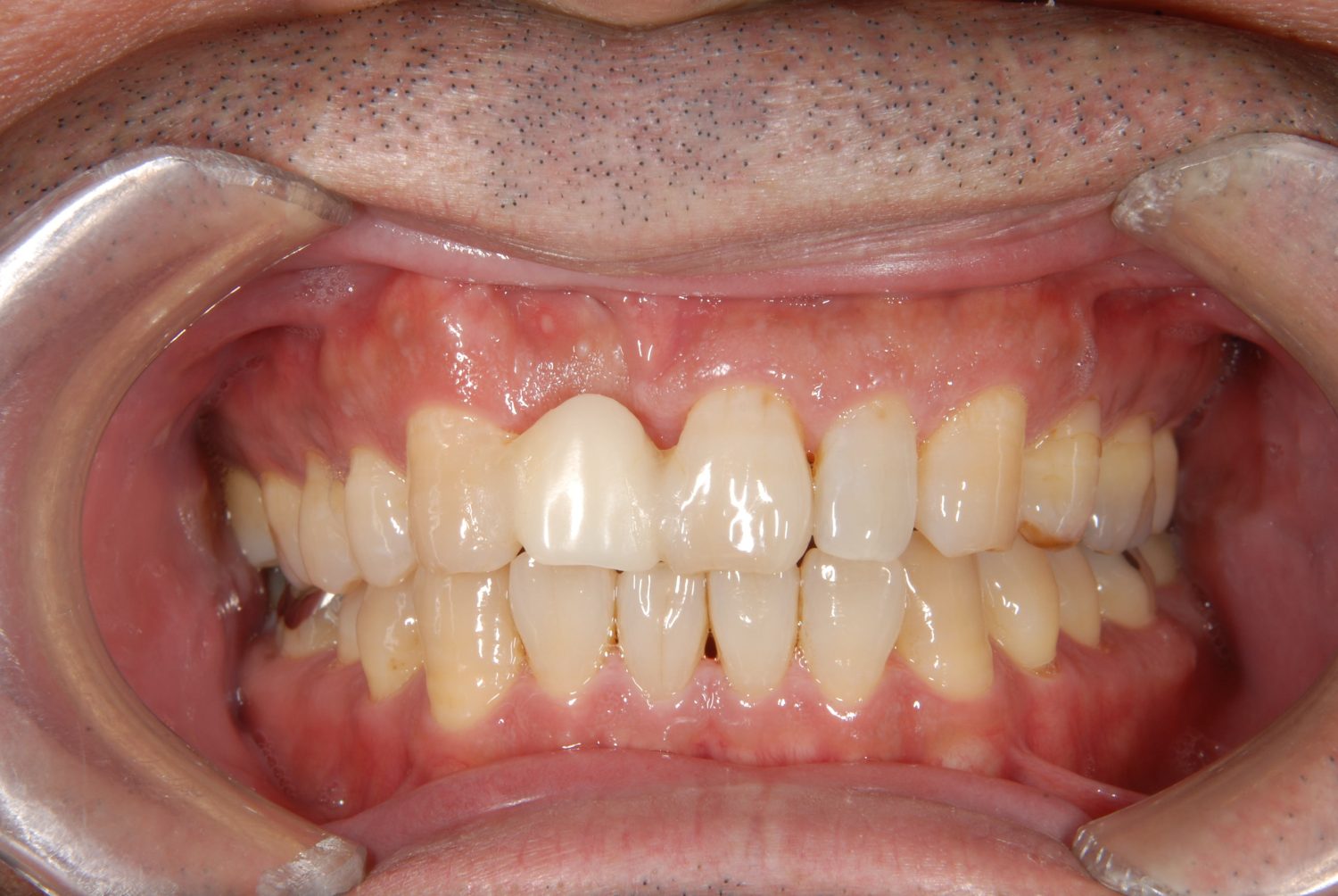
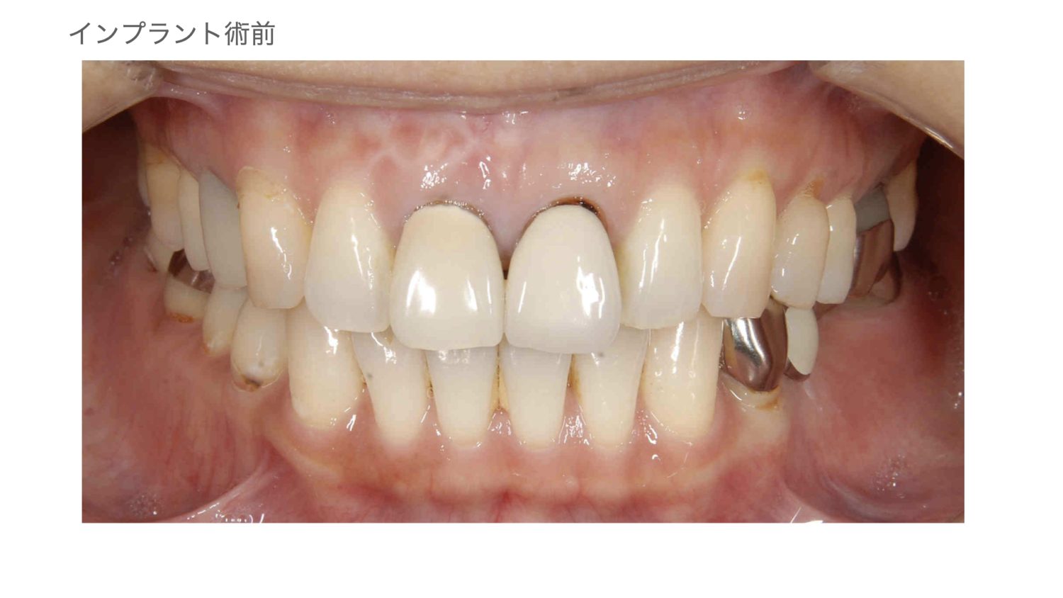
インプラント治療の症例紹介①

Before

治療中





After


主訴
前歯が折れた
治療内容
スクリューリテインのジルコニアフレームセラミッククラウンによる抜歯即時埋入インプラントを行いました。
治療費
450,000円(税込)
治療期間
6ヶ月
通院回数
10回
想定されたリスク
※清掃状態や全身疾患により将来炎症を起こす可能性がありました。
※前歯のため無理な力がかかった場合、上部構造が壊れる可能性がありました。
荻野真介先生
おぎの歯科医院
抜歯即時埋入を行ったことにより治療期間の短縮ができ、審美的・機能的にも回復。
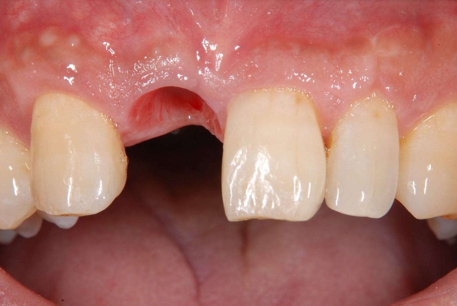
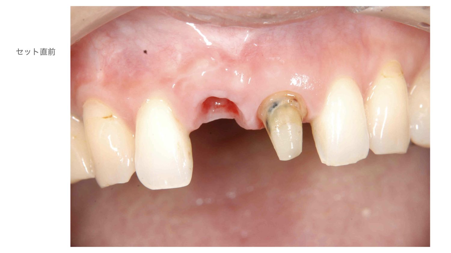
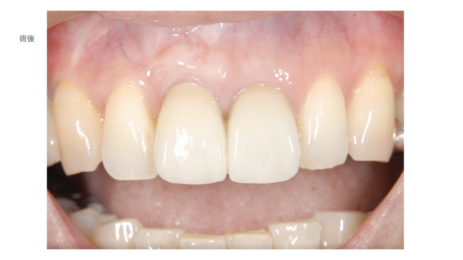
インプラント治療の症例紹介②※出血の画像あり

Before

治療中





After


主訴
インプラント希望
治療内容
吸収性メンブレンを使用したGBRを行い、ダイレクトボンディング、スクリューリテインのジルコニアフレームセラミッククラウンによるインプラントを行った。
治療費
550,000円(税込)
治療期間
7ヶ月
通院回数
15回
想定されたリスク
※清掃状態や全身疾患により将来炎症を起こす可能性がありました。
※前歯のため無理な力がかかった場合、上部構造が壊れる可能性があります。
荻野真介先生
おぎの歯科医院
骨欠損が大きかったため、GBRを行ったが、予定通りの口組織再生を達成できた。
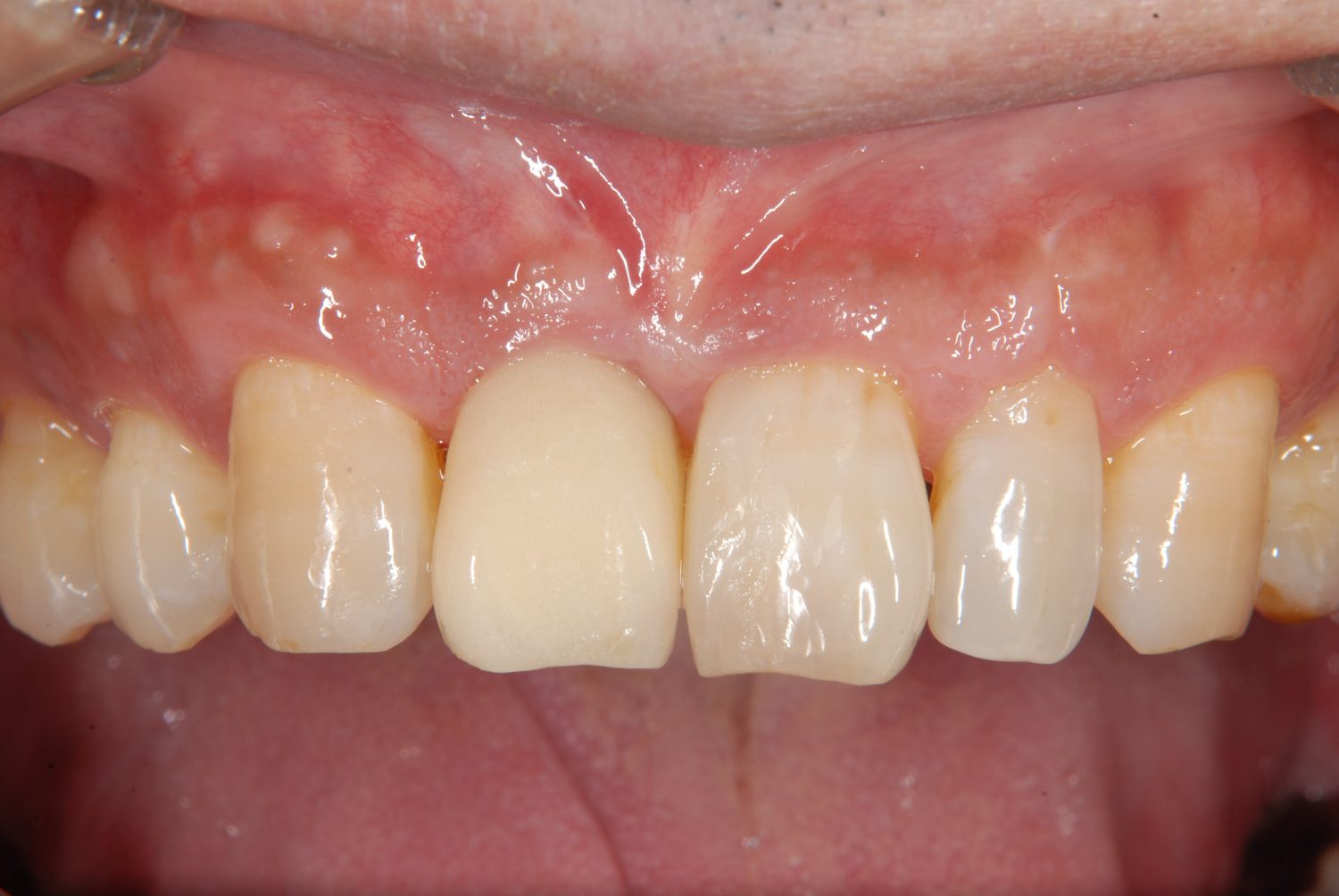
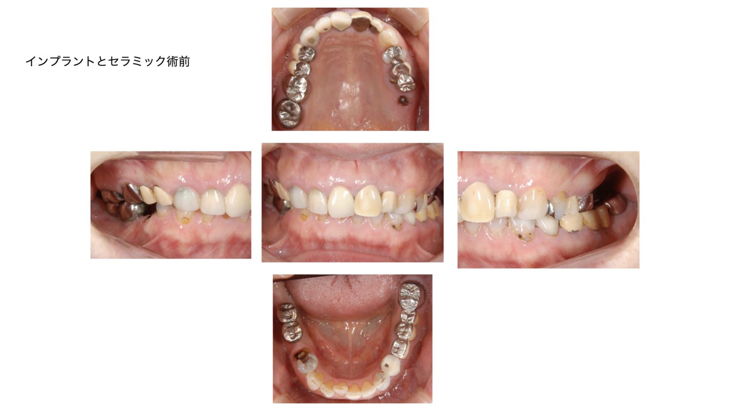
インプラント治療・セラミック治療の症例紹介①

Before

After

主訴
全体的な治療をしてほしい
治療内容
歯周組織再生療法を行い、セラミック、インプラント治療を行った。
治療費
3,000,000円(税込)
治療期間
15ヶ月
通院回数
30回
想定されたリスク
※歯周病の再発や補綴物のやり直しの可能性がありました。
※歯根破折の可能性がありました。
荻野真介先生
おぎの歯科医院
咬合再構成を含む全顎治療は治療内容も多岐に渡り、期間も長期化することが多い。GBR、インプラント、歯周組織再生療法、審美補綴など患者さんの協力もあり、治療が完了できた。
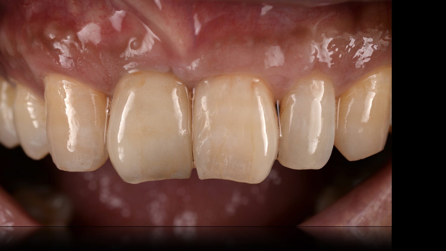
インプラント治療・セラミック治療の症例紹介②

Before

After

主訴
全体的に見てほしい、奥歯が痛くて噛めない
治療内容
インプラント治療とセラミック治療によって口腔機能と審美性を向上させた。
治療費
3,000,000円(税込)
治療期間
12ヶ月
通院回数
25回
想定されたリスク
※歯周病の再発、補綴物のやり直しの可能性があった。
※失活歯の歯根破折の可能性があった。
荻野真介先生
おぎの歯科医院
歯周治療、根管治療、インプラント、審美補綴を計画通りに進めることができたので比較的短期間での治療終了となった。今後もメンテナンスで経過を見ていくことが重要。
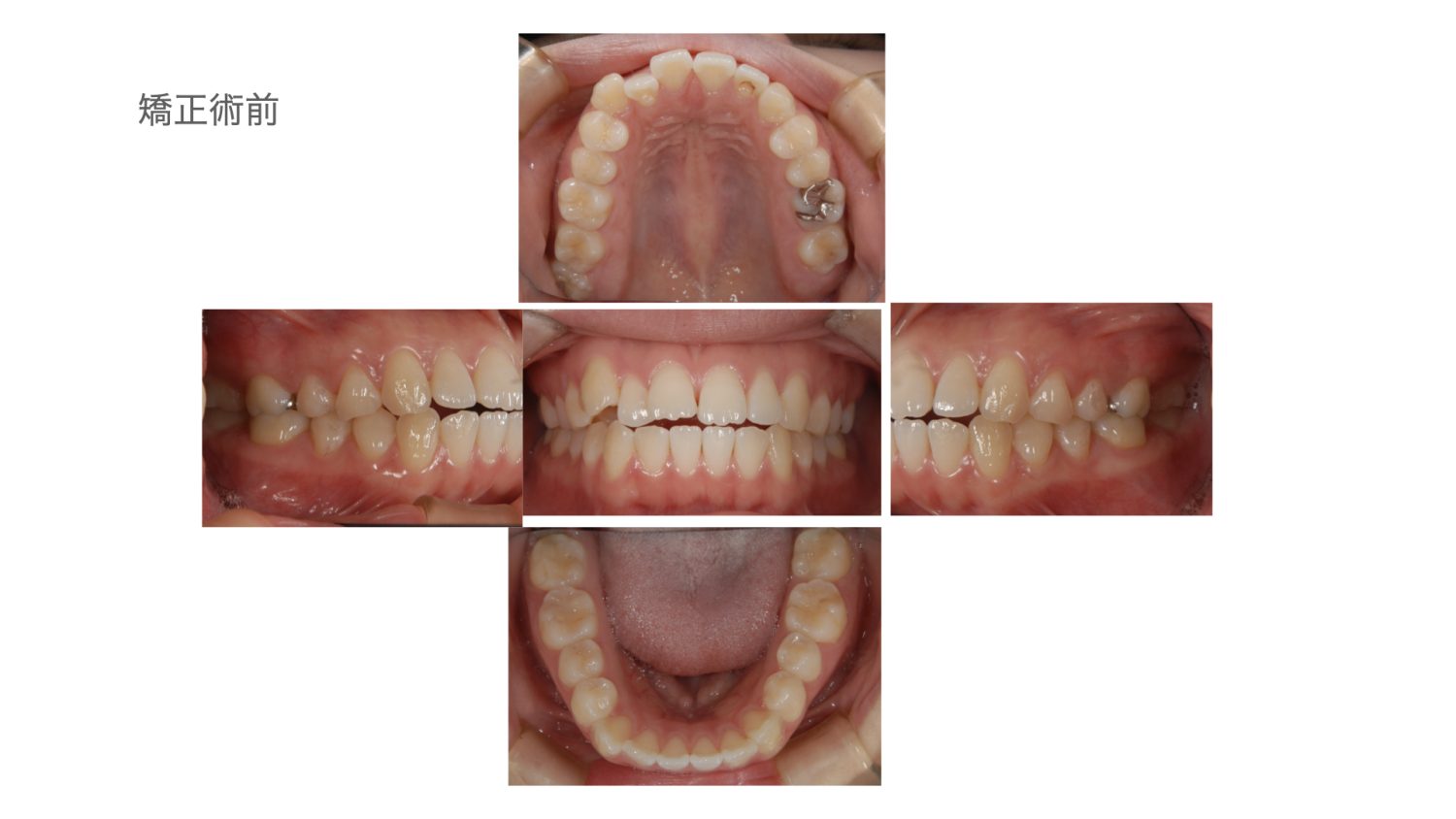
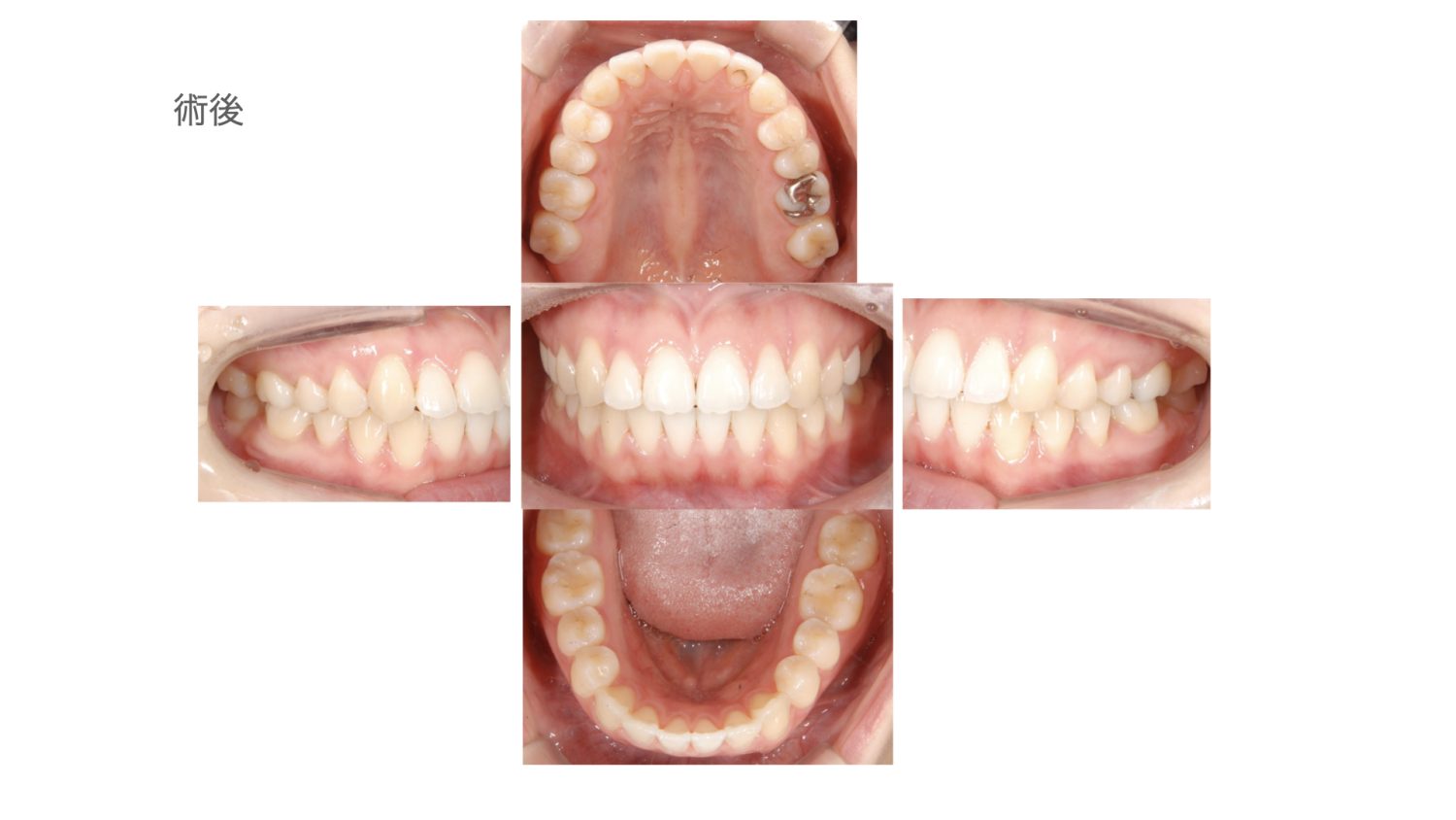
矯正治療の症例紹介

Before

治療中

After

主訴
噛み合わせが気になる、前歯でものが噛めない
治療内容
MEAWを用いた矯正治療を行った。
治療費
800,000円(税込)
治療期間
14ヶ月
通院回数
15回
想定されたリスク
※後戻りの可能性があった。
荻野真介先生
おぎの歯科医院
MEAWを用いた矯正治療で、歯の3次元的な移動を行うことができ良好な結果となった。
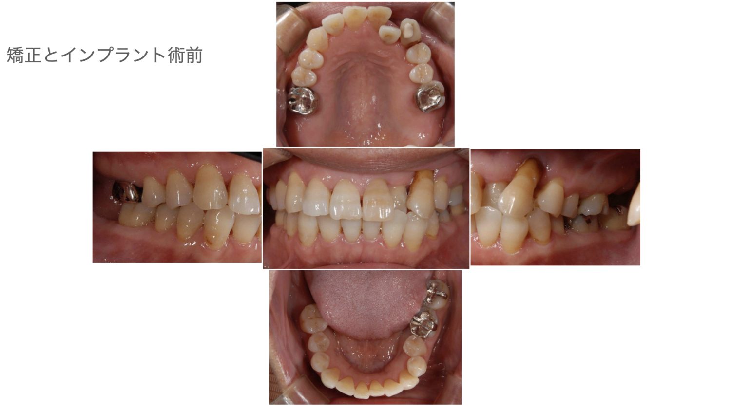
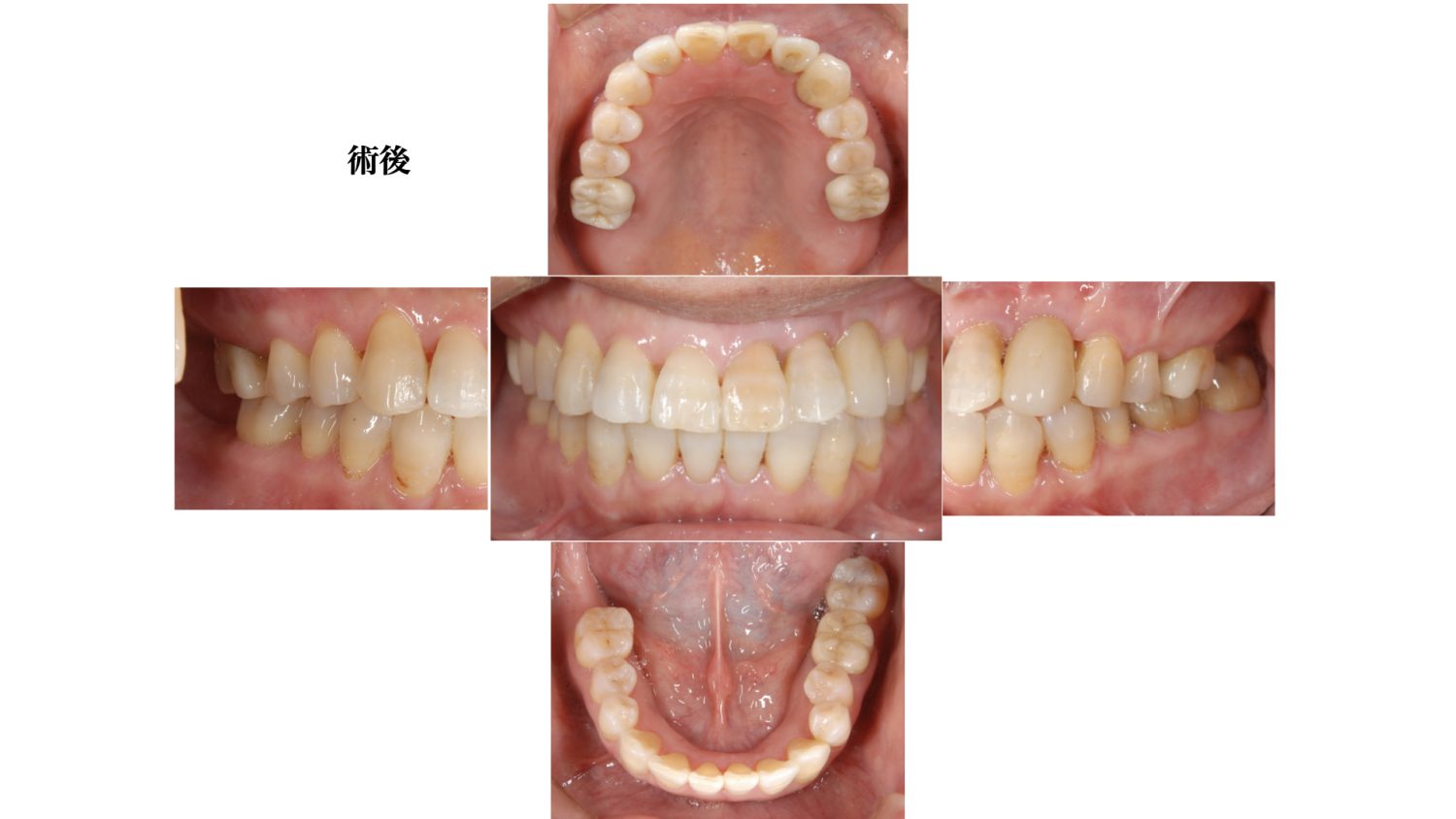
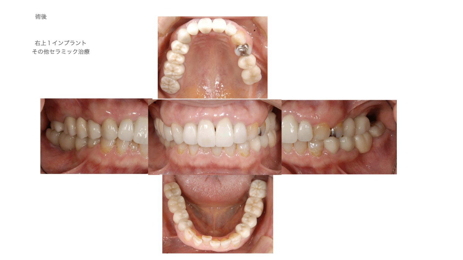
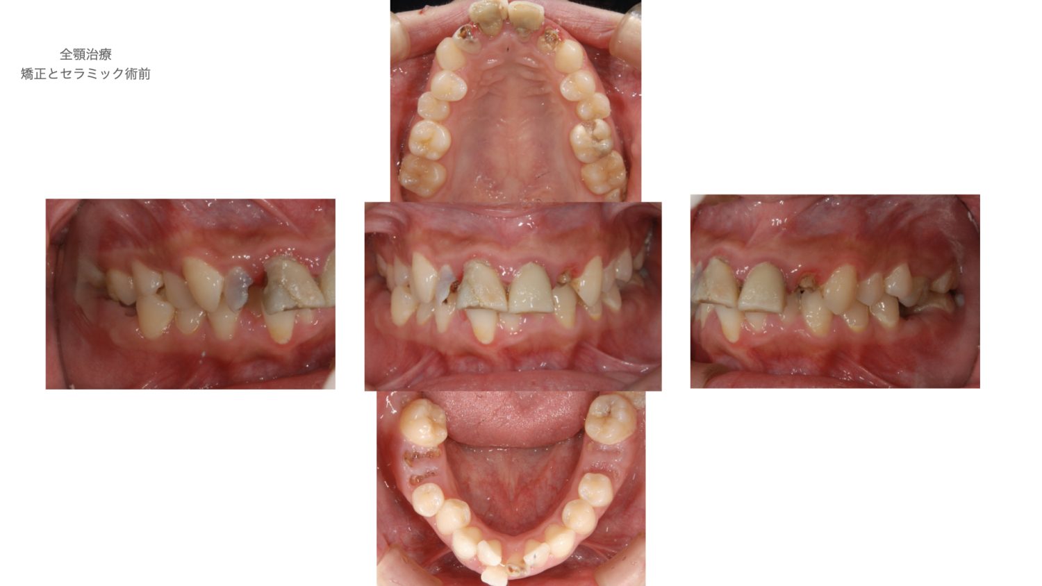
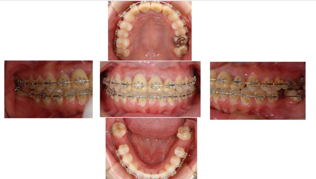
インプラント治療・矯正治療の症例紹介

Before

治療中


After

主訴
歯が痛くて噛めない
治療内容
矯正治療とGBR、インプラント治療を行った。
治療費
1,350,000円(税込)
治療期間
30ヶ月
通院回数
40回
想定されたリスク
※歯周病、歯根破折の可能性があった。
荻野真介先生
おぎの歯科医院
歯の欠損がある場合、なぜその歯が抜歯に至った原因を審査・診断し治療方針を決定する必要がある。このケースにおいては、全顎矯正を行い、咬合状態を改善した後、インプラント治療を行った。
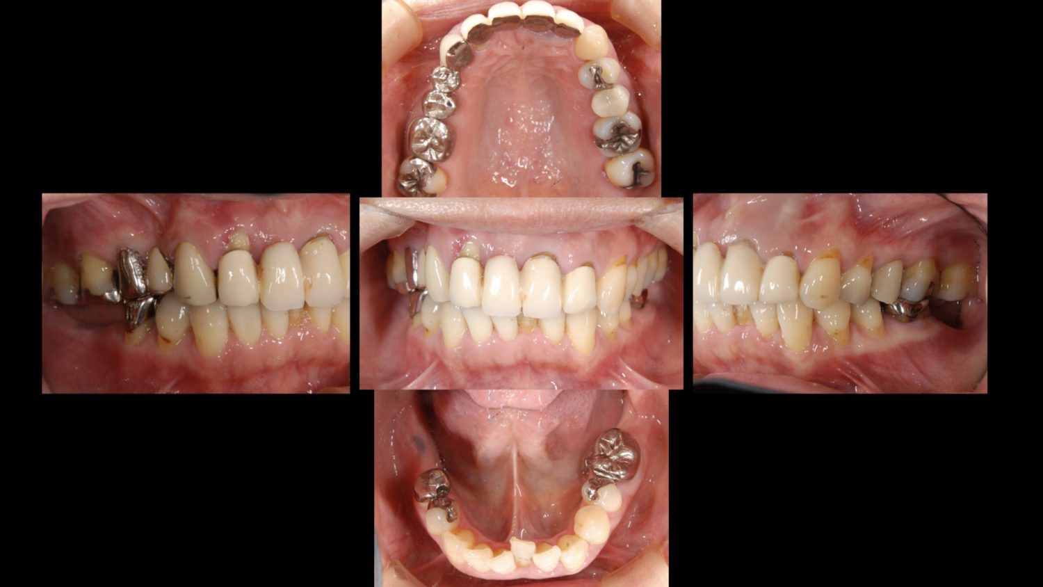
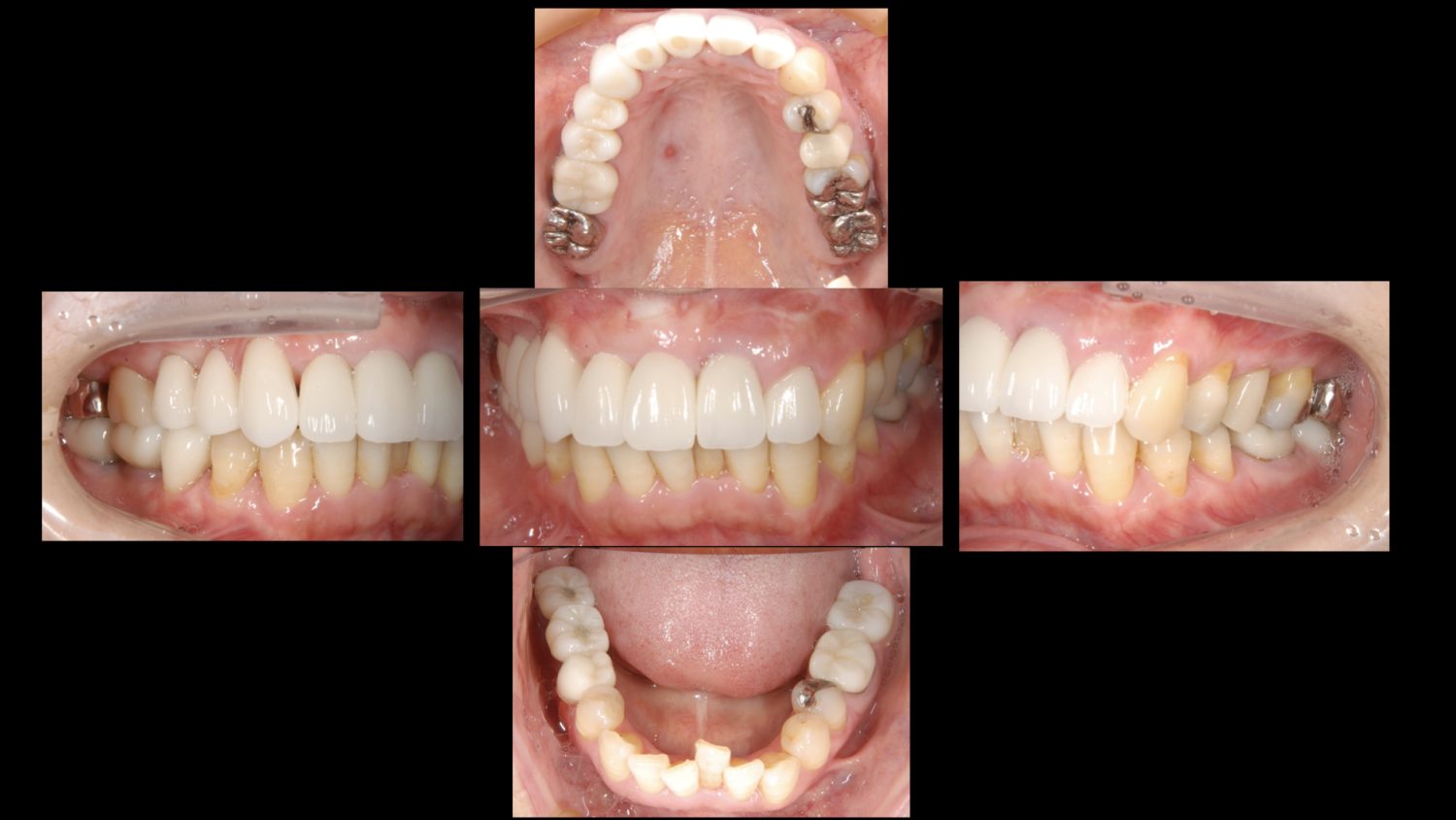
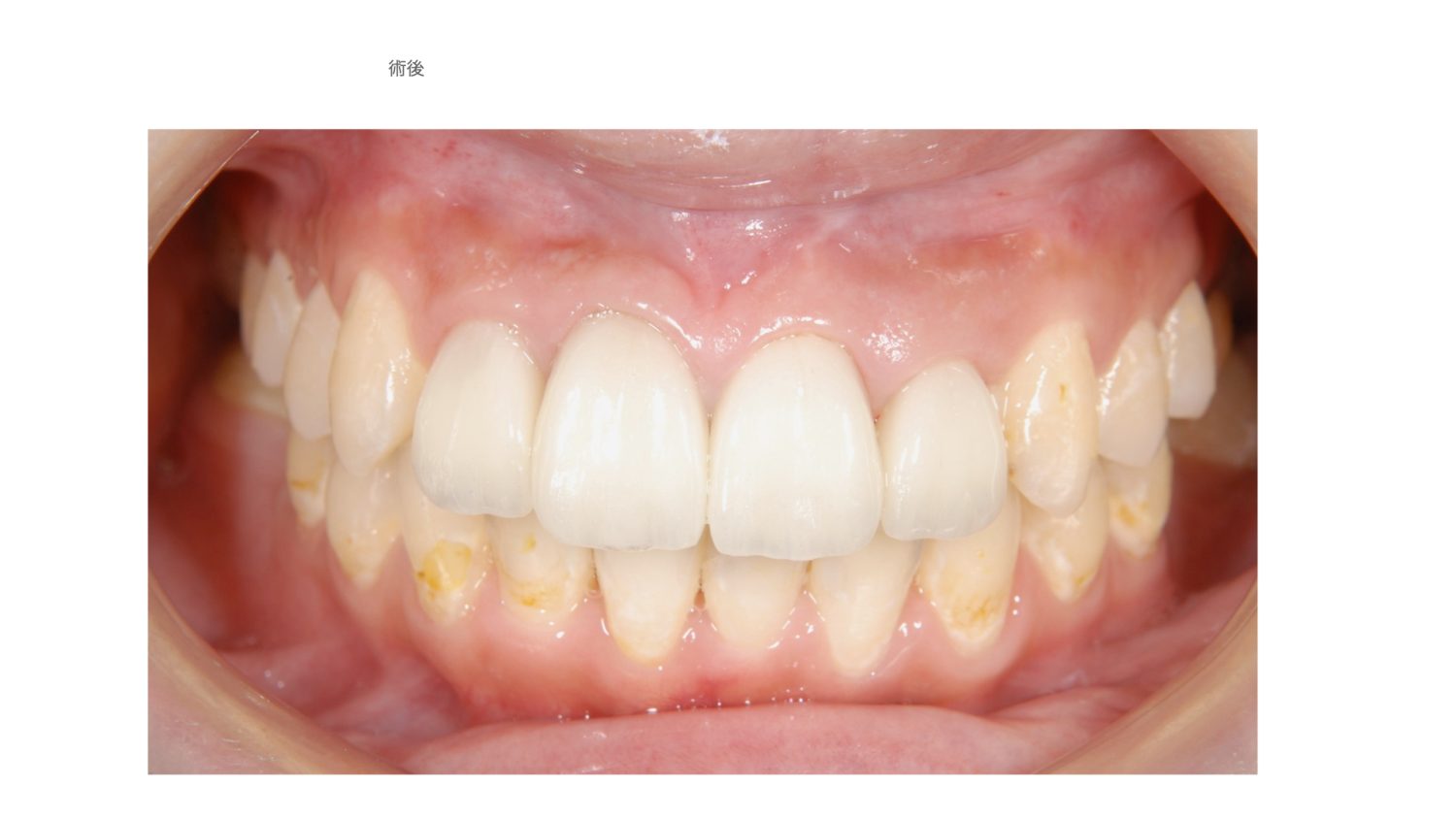
インプラント治療、セラミック治療の症例紹介③

Before

治療中



After

主訴
前歯の違和感
治療内容
インプラント治療とセラミック治療を行った。
治療費
550,000円(税込)
治療期間
6ヶ月
通院回数
10回
想定されたリスク
※上部構造の破折・脱離が想定された。
荻野真介先生
おぎの歯科医院
右上1番は重度のセメント質剥離を起こしていたため、抜歯となったがインプラントを行うことにより、審美的な結果となった。
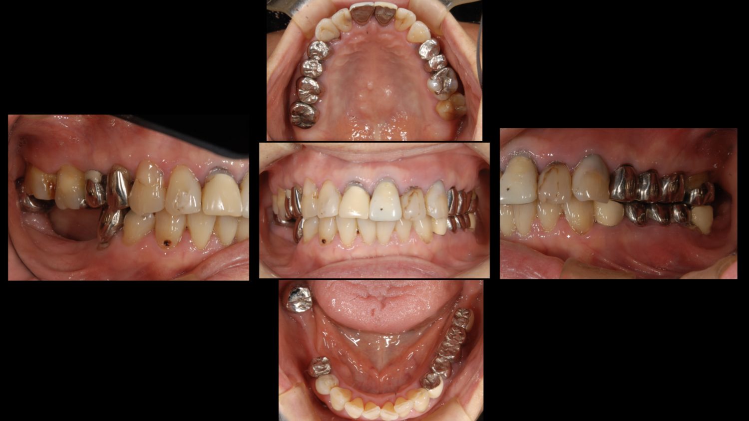
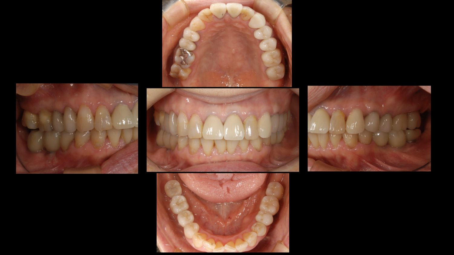
インプラント治療・セラミック治療の症例紹介④

Before

After

主訴
右下の被せ物が外れた
治療内容
インプラント治療とセラミック治療を行った。
治療費
2,000,000円(税込)
治療期間
24ヶ月
通院回数
35回
想定されたリスク
※上部構造の破折・脱離、 歯根破折が予想された。
荻野真介先生
おぎの歯科医院
他医院にて埋入されたインプラントの上部構造のやり直しを含めた治療となった。当院は様々なインプラントメーカーの器具を取り揃えているためほとんどのケースで対応が可能である。
根管治療・矯正治療・補綴治療の症例紹介

Before

治療中

After

主訴
前歯が折れた
治療内容
根管治療、矯正治療、補綴治療を行った。
治療費
1,700,000円(税込)
治療期間
30ヶ月
通院回数
45回
想定されたリスク
※補綴の脱離、歯根破折が想定された。
荻野真介先生
おぎの歯科医院
患者さんは20代の女性でした。よく噛み、よく笑うことができる生活が手に入る歯科治療には、人の人生を変える力があるのではないでしょうか。
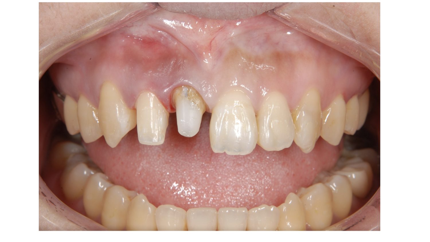
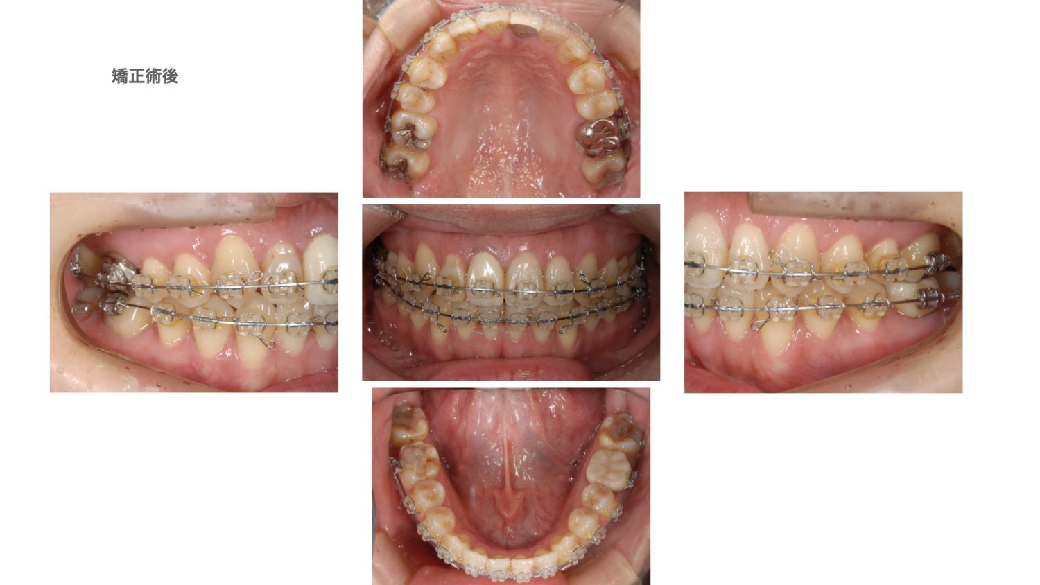
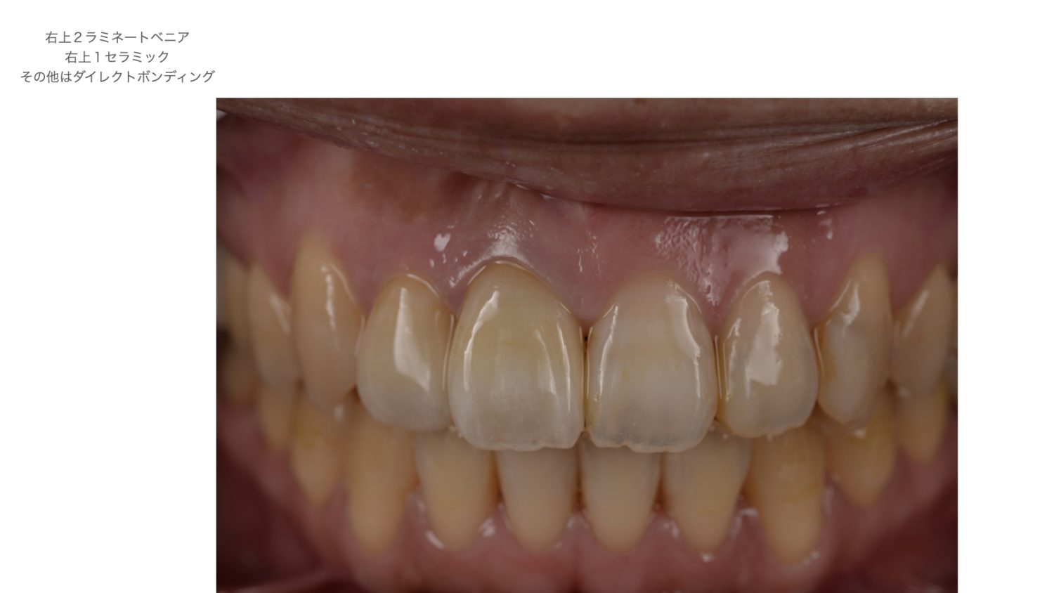
矯正治療・審美治療の症例紹介

Before

治療中


After

主訴
前歯をきれいにしたい
治療内容
矯正治療による歯列の移動と、セラミックやダイレクトボンディング、ラミネートベニアによって歯の見た目を整えていきました。
治療費
1,000,000円(税込)
治療期間
20ヶ月
通院回数
30回
想定されたリスク
※後戻り、歯根破折、補綴物の破折・脱離の可能性があった。
荻野真介先生
おぎの歯科医院
初診時は、重度の開咬状態であった。矯正治療にて、開咬を改善し審美治療をした。諦めかけていた症状も解決できる可能性があります。
おぎの歯科医院
🕑 [月・火・水・金]9:00~12:30/14:00~18:30
[土]9:00~12:30/14:00~17:00
※予約優先とさせて頂いております。
休診日:木・日・祝




