大神宮デンタルクリニック 症例紹介

担当歯科医師:
石毛 俊作(大神宮デンタルクリニック)
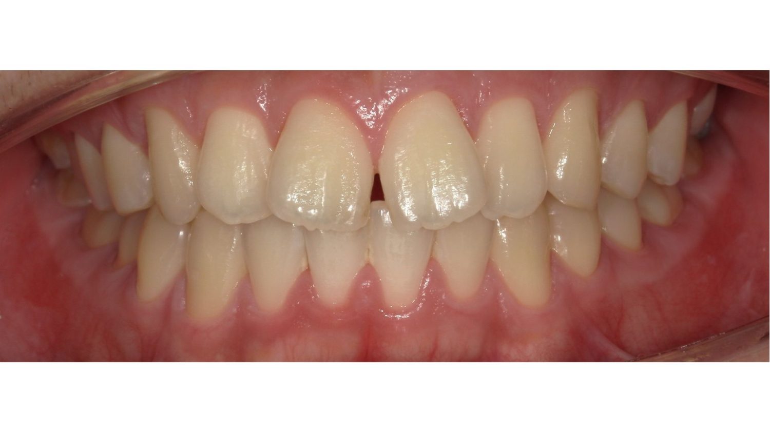
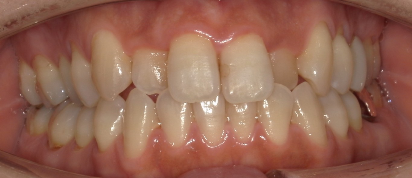
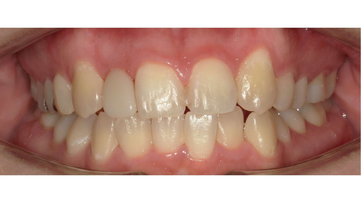
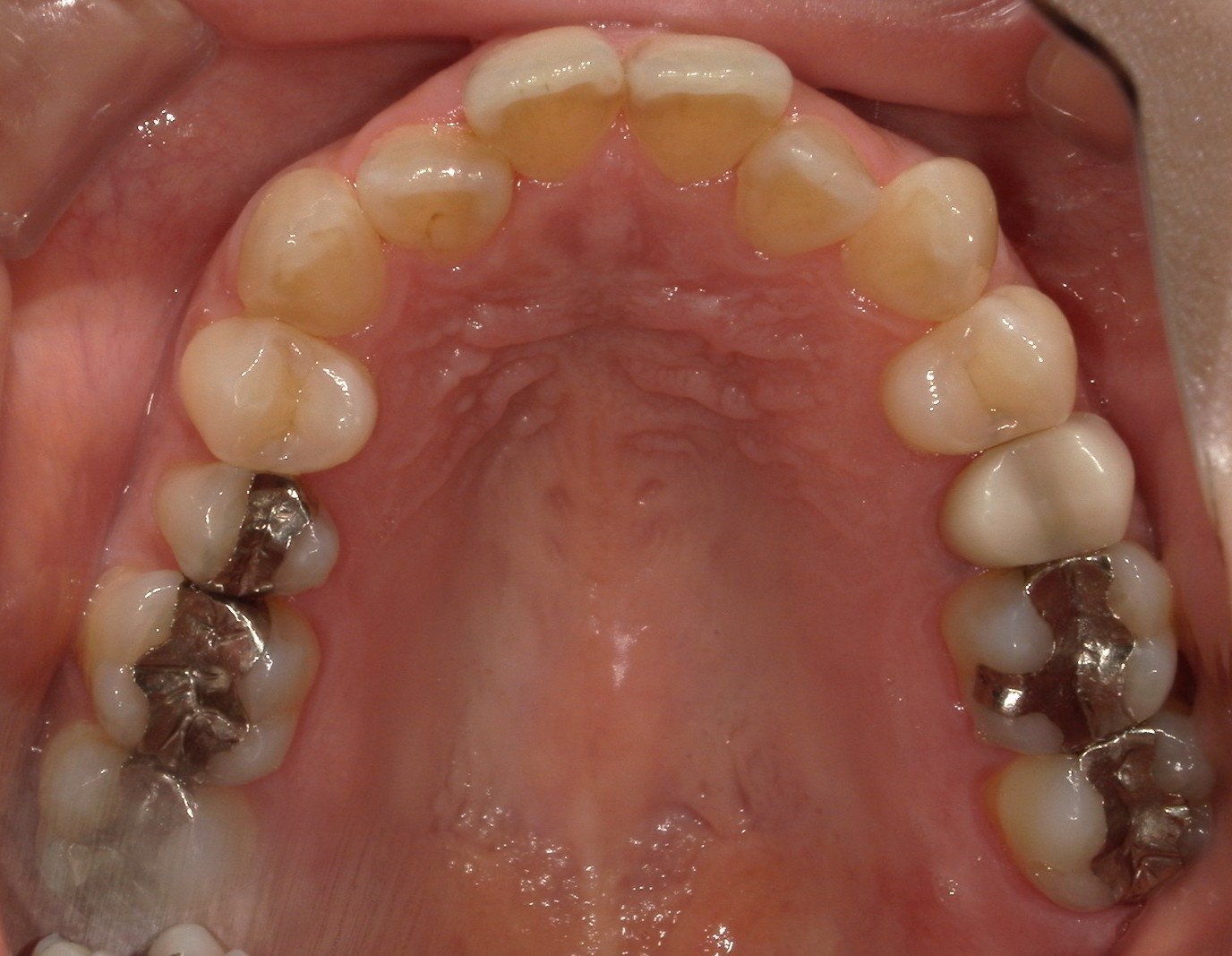
前歯だけの矯正の症例紹介①

Before

After

主訴
前歯の歯並びをキレイにしたい。
治療内容
ワイヤー矯正で治しました。
治療費
115,500円(税込)(リテーナー込み)
治療期間
2か月
通院回数
4回
想定されたリスク
※ブラックトライアングルができる可能性がありました。
石毛 俊作先生
大神宮デンタルクリニック
多少ブラックトライアングルができたのでゴムを用いて閉鎖しました。比較的短期間で改善した症例です。
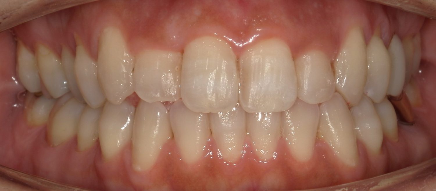
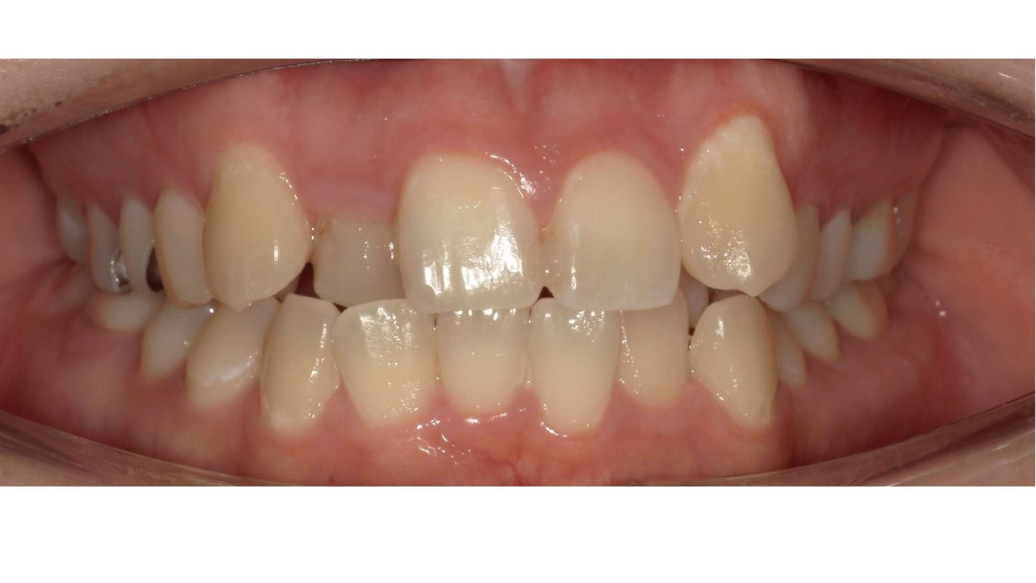
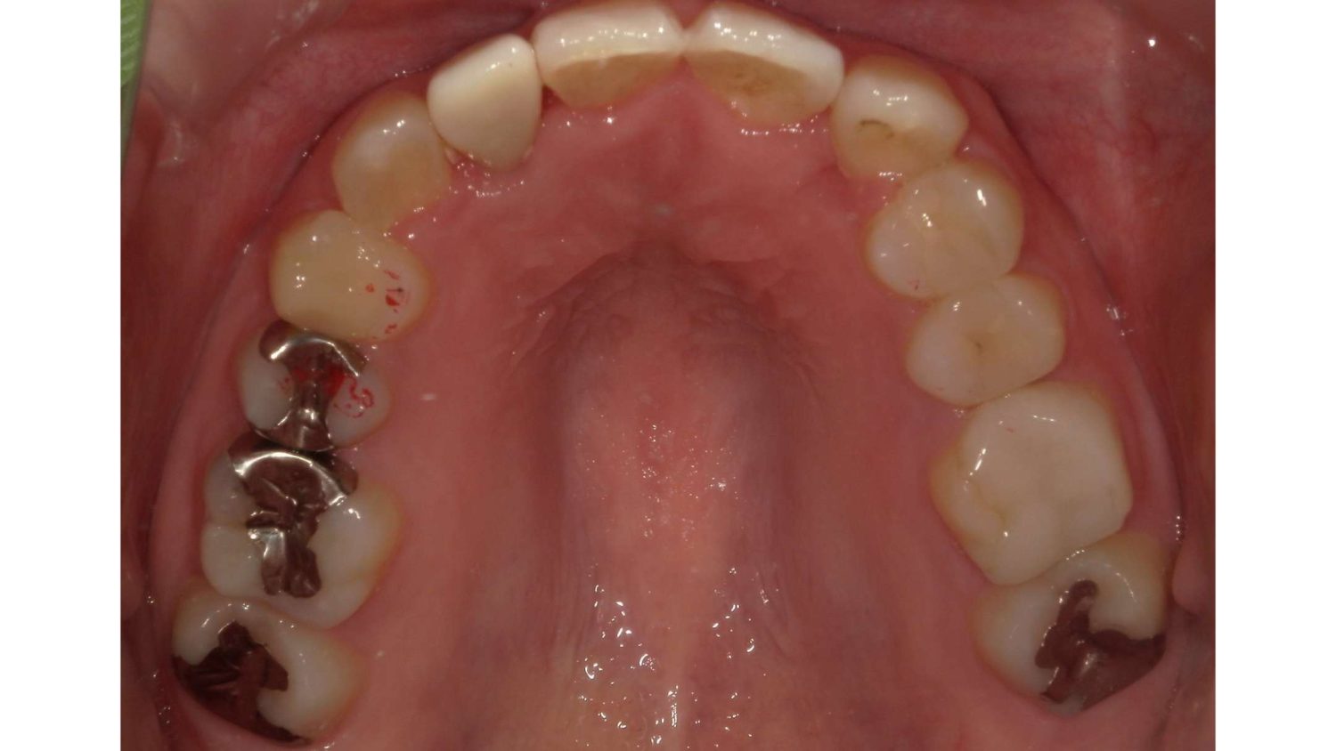
前歯だけの矯正の症例紹介②

Before

After

主訴
上の前歯の横の歯が後ろに引っ込んでいるのでセラミックの被せ物で治したい。
治療内容
ワイヤー矯正で治しました。
治療費
115,500円(税込)(リテーナー込み)
治療期間
4か月
通院回数
5回
想定されたリスク
※当該部位の上下のかみ合わせが反対になっていましたので、上の歯を前に動かすときに引っかかって動かない可能性がありました。
石毛 俊作先生
大神宮デンタルクリニック
セラミックの被せ物で治すと健全な歯を削ることになってしまうので、患者様と相談し、矯正治療で治すことにしました。
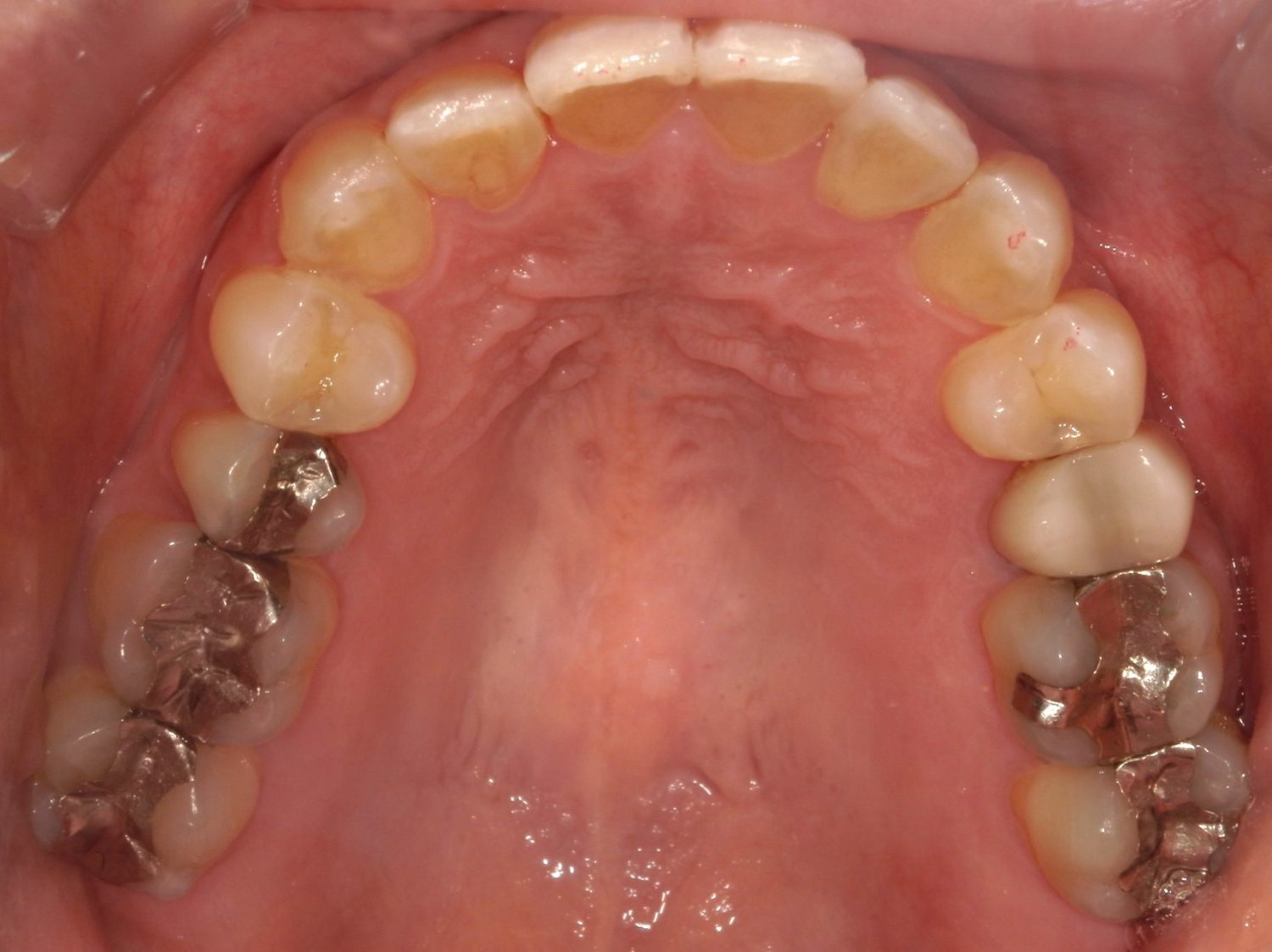
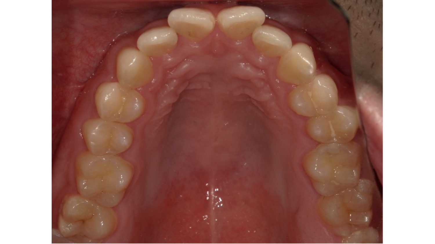
前歯だけの矯正の症例紹介③

Before

After

主訴
前歯の歯並びを改善したい。
治療内容
後ろに引っ込んでいる左上側切歯は抜歯し、ワイヤー矯正で治療しました。
治療費
115,500円(税込)(リテーナー込み)
治療期間
3か月
通院回数
5回
想定されたリスク
※左右対称にならない
石毛 俊作先生
大神宮デンタルクリニック
左上側切歯を抜歯したほうが見た目は左右対称に見えやすかったが、左上犬歯を抜歯すると側切歯を動かす距離が多くなってしまい治療期間が長引くのと歯根にダメージを与える可能性があったため、患者様と相談し、側切歯のほうを抜歯しました。
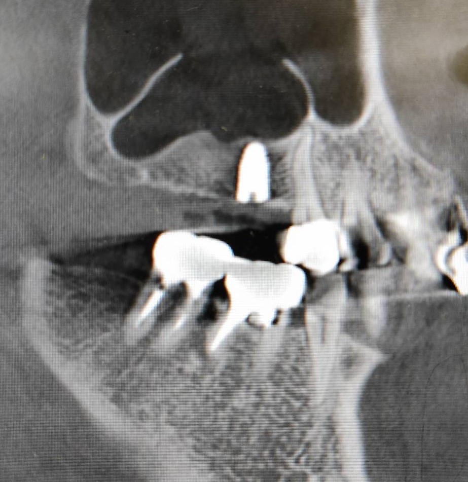
上顎洞底挙上術を併用したインプラント埋入の症例紹介

Before

After

6か月後

インプラント埋入

主訴
右上奥歯にインプラントを入れたい。
治療内容
右上奥歯の骨が薄いため、まず人工骨を用いて造骨しました。6か月後に骨ができたのでインプラントを埋入しました。
治療費
上顎洞底挙上術:165,000円(税込)
インプラント埋入術:220,000円(税込)
治療期間
7か月
通院回数
5回
想定されたリスク
※上顎洞粘膜穿孔、上顎洞炎、腫脹、内出血、鼻出血の可能性がありました。
石毛 俊作先生
大神宮デンタルクリニック
インプラントを埋入する際に十分な骨量がない場合は骨造成を行います。骨造成の方法は症例によって異なりますが、今回のケースは上顎洞底挙上術を用いました。
大神宮デンタルクリニック
🕑 午前: 月木 10:00~14:00 水金土日 9:00~13:00 (30分前受付終了)
午後: 月木 15:00~19:00 水金 14:00~18:00 土日 14:00~17:00 (30分前受付終了)
休診日:火・祝




