野田矯正歯科クリニック 症例紹介

担当歯科医師:
野田 隆夫(野田矯正歯科クリニック)
小臼歯抜歯治療の症例紹介

智歯(親知らず)の抜歯は神経障害、骨欠損、骨折などのリスクがあります。一方、小臼歯の抜歯は智歯を抜歯することに比べ容易に行えます。さらに水平埋伏の智歯でも歯冠も歯根も大きく、直立することで長年にわたって咬合の安定に寄与できる可能性があります。小臼歯抜歯のデメリットよりもメリットが大きい場合、小臼歯抜歯治療を選択します。
Before~After① 歯並びの改善

Before~After① 顔貌の変化


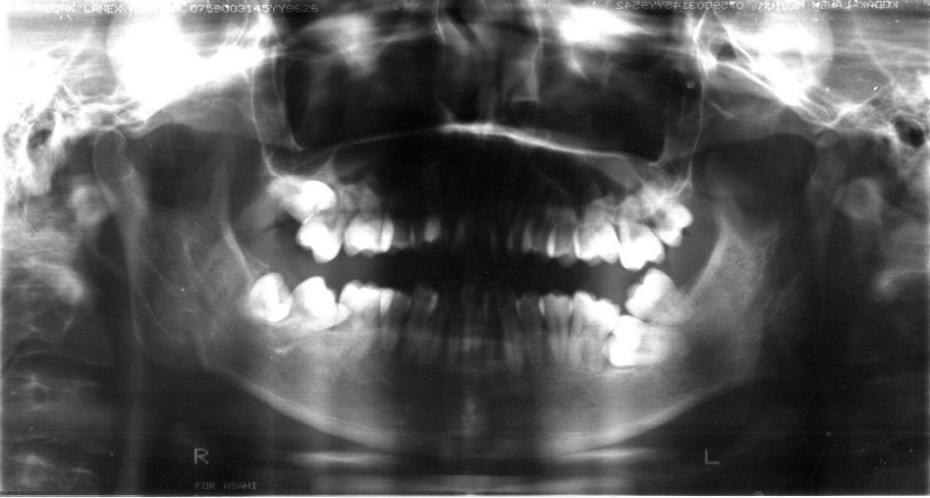
Before~After③ 智歯の保存

Before~After④ 下顎智歯の直立治療

Before~After⑤ 上顎智歯

主訴
乱杭歯
治療内容
小臼歯抜歯によって得られる複数のメリットを考慮し、上顎第1小臼歯と下顎第2小臼歯の抜歯を選択しました。前歯の叢生(デコボコ)を改善し、きれいな歯並びと調和のとれた顔貌を得るためです。唇の突出感を抑えることで側貌のバランスを整え、下顎の「梅干し状のシワ」も改善します。さらに、小臼歯を抜歯することで生じたスペースにより、スペース不足で萌出が困難だった智歯が保存可能になるケースもあります。小臼歯抜歯後の空間は智歯の直立で機能回復の可能性を広げるといえます。
治療費(税込)
通常矯正施術料 770,000円
智歯治療 330,000円
治療期間
2年7か月
通院回数
矯正治療 22回
智歯治療 19回
想定されたリスク
智歯が必ずしも保存・活用できるとは限らず、骨性癒着や萌出空隙の量によっては抜歯が必要になる可能性があります。
顔貌の変化には個人差があるため、上下唇のE-lineやオトガイ筋の緊張消失など期待した通りの効果が得られない可能性があります。
野田 隆夫先生
野田矯正歯科クリニック
歯を抜くことに対して不安を抱かれる方は多いですが、小臼歯の抜歯には明確なメリットがあります。外科的侵襲が少なく、智歯の保存に繋がる可能性があります。また、長期的に咬合の安定に貢献でき、叢生の改善や顔貌の調和を実現できることもあります。将来的な智歯の活用にも期待が持て、長期的な咬合の安定性と機能性を見据えた治療計画を検討しています。
目次 -INDEX-
重積状埋伏歯の保存療法の症例紹介

Before~After
下顎の奥歯に智歯(親知らず)が覆いかぶさっている状態を「重積状埋伏」といいます。
このような状態ではどうしたらよいかわからずに、抜歯が必要と考えてしまいます。しかし、必ずしも抜歯の必要はなく保存療法もあります。


主訴
30代男性。下顎の左奥歯が歯周病となりセカンドオピニオン受診。5件受診したが奥歯の7番と智歯を抜歯して、義歯かインプラントと説明を受けるが、残せる方法はないかとご来院されました。
治療内容
水平の下顎左側奥歯の7番に智歯が覆い被さる重積状埋伏の状態を呈していました。骨性癒着の可能性もあったため、原因が不明な症状に対し原因を仮定して治療を行い、その反応から原因を特定する方法で治療を進行。治療の途中では骨性癒着が認められたため、亜脱臼による剥離術を実施。また、喫煙習慣があることから歯周病の治療も併用し、下顎左側奥歯の7番と智歯の両方を直立させました。直立後の経過観察において、下顎左側奥歯の7番の近心に歯槽骨の増骨反応が認められたため、同部位の保存を決定しました。もし保存が困難だった場合は智歯を活用する「二の矢」を視野に入れ、診断段階から複数の治療シナリオを想定しています。
一方、智歯は下顎枝に接触し、それ以上の配列が困難と判断したため抜歯としました。なお、直立後の抜歯は埋伏時に比べて外科的侵襲が少なく、予後も良好とされます。話が前後しますが、上顎前歯部の叢生および被蓋の改善を目的とし、上顎両側4番目の歯の抜歯も併行して実施しました。
治療費(税込)
通常矯正施術料 880,000円
智歯治療 330,000円
治療期間
2年7か月
通院回数
矯正治療 22回
智歯治療 19回
想定されたリスク
水平の奥歯や智歯が必ずしも保存・活用できるとは限らず、骨性癒着や萌出空隙の量によっては抜歯が必要になる可能性があります。
顔貌の変化には個人差があるため、上下唇のE-lineへの改善やオトガイ筋の緊張消失などは、必ずしもすべての患者さんで得られるとは限らないです。
小臼歯抜歯後のスペース閉鎖には計画的な矯正が必要であり、個人差もあるため治療期間や通院頻度の負担が増す可能性があります。
野田 隆夫先生
野田矯正歯科クリニック
この症例では失われる可能性のあった大臼歯の保存を最優先に考えました。過去に抜歯と診断されていた下顎左側奥歯の7番を、治療的診断を用いて歯の直立・保存を目指しました。下顎左側奥歯の7番を保存できたことは、咬合の安定だけでなく、歯周病の改善にも大きく寄与します。治療方針の選択には常に様々な可能性持つことが、良好な治療結果に繋がると考えています。
野田矯正歯科クリニック
🕑 午前: 月火水土 10:00~13:00(予約制/保険適用外)
午後: 月水金土 14:30~17:30 火 14:30~18:30(予約制/保険適用外)
休診日:木・金・日・祝




