牧野歯科・矯正歯科 症例紹介

担当歯科医師:
牧野 永子(牧野歯科・矯正歯科)
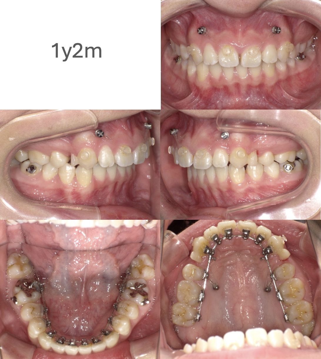
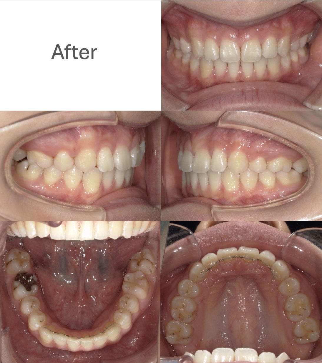
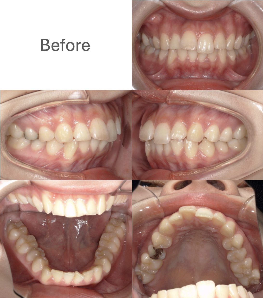
舌側矯正(抜歯矯正)の症例紹介①

Before

治療中

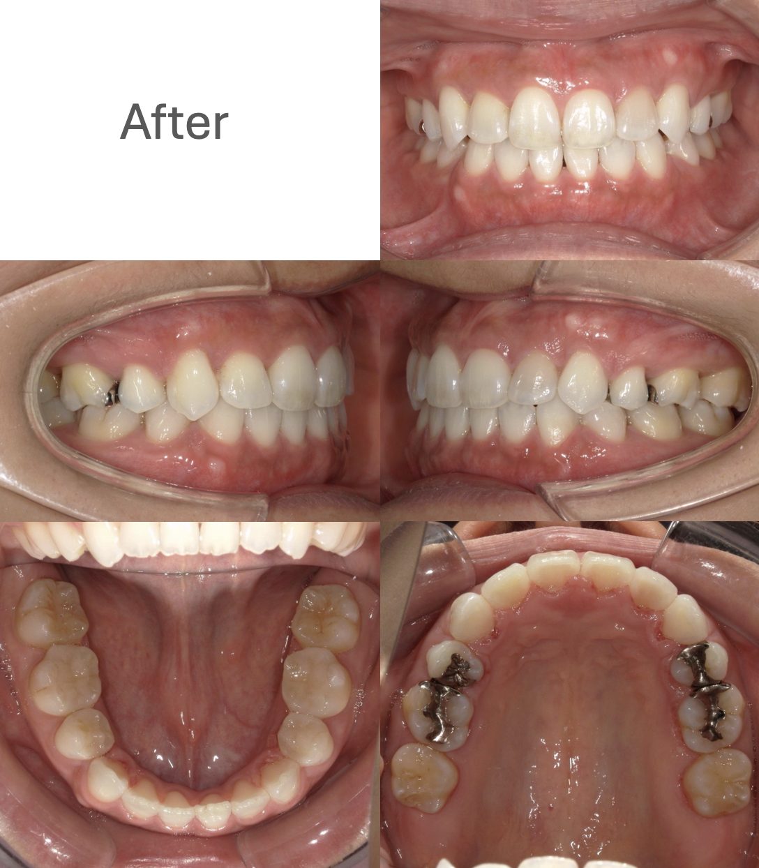
After

主訴
下の歯が見えない、笑うと歯茎が目立つ
治療内容
過蓋咬合、上顎前突、叢生の症状が見られました。
上顎両側第一小臼歯を抜歯し、舌側矯正を行っていきました。
治療費
1,320,000円(税込)
治療期間
3年6か月
通院回数
36回
想定されたリスク
※歯肉退縮、歯根吸収、歯髄壊死、後戻りの可能性がありました。
牧野 永子先生
牧野歯科・矯正歯科
噛み合わせが深く笑うと歯茎が見えてしまうガミースマイルを改善するため、矯正用アンカースクリューを併用し治療を行いました。良好な咬合を獲得でき、笑顔もとてもきれいになりました。
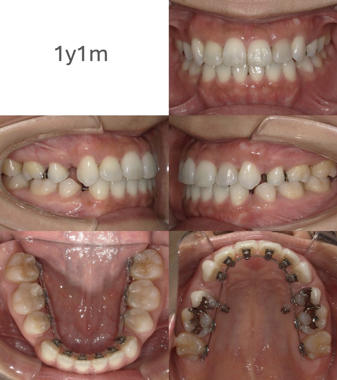
舌側矯正(抜歯矯正)の症例紹介②

Before


治療中

After


主訴
前歯のデコボコと口元の前突感が気になる
治療内容
上下顎両側第一小臼歯を抜歯し、上下顎舌側矯正装置を用いて治療を行いました。
また、口元の前突感を改善するため矯正用アンカースクリューを併用しました。
治療費
1,320,000円(税込)
治療期間
2年8か月
通院回数
28回
想定されたリスク
※歯肉退縮、歯根吸収、歯髄壊死、後戻りのリスクがありました。
牧野 永子先生
牧野歯科・矯正歯科
口元の前突感と横顔の顔貌を改善するため、上下顎両側第一小臼歯を抜歯し矯正治療を行いました。
横顔がすっきりし良好なE-lineが獲得でき、審美性と機能性が向上しました。
上下舌側矯正(非抜歯矯正)の症例紹介

Before

治療中

After

主訴
でこぼこ、前歯が噛まない
治療内容
叢生、開咬の症状でした。
上下舌側矯正(非抜歯)を行っていきました。
治療費
1,320,000円(税込)
治療期間
2年2か月
通院回数
24回
想定されたリスク
※歯肉退縮、歯根吸収、歯髄壊死、後戻りが想定されました。
牧野 永子先生
牧野歯科・矯正歯科
前歯が噛み合わない開咬の症状を改善するため、舌のトレーニングを行いました。舌側矯正は舌癖の改善に適しており、装置除去後も長期的に安定した咬合が維持できています。
牧野歯科・矯正歯科
🕑 火木金:10:00~13:00/14:30~19:00
土:9:00~ 17:30
日:9:00~14:30(月2回診療)
月:10:00~18:00(月2回診療)
休診日:水・祝



