医療法人社団 颯美会 まえだ歯科 南町田グランベリーパーク院 症例紹介

担当歯科医師:
前田 尊臣(医療法人社団 颯美会 まえだ歯科 南町田グランベリーパーク院)
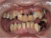
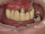
オールオン4の症例紹介①

Before

After

主訴
歯がぐらぐらして噛めない
治療内容
全ての歯を抜歯し、
上顎、下顎に対するインプラント治療を行った。
治療費
4,092,000円(税込)
治療期間
1日
通院回数
3回
※治療回数は1回
想定されたリスク
※最終的な歯が入るまでは仮歯となりました。
前田 尊臣先生
医療法人社団 颯美会 まえだ歯科 南町田グランベリーパーク院
オールオン4は、4本のインプラントで片顎の人口歯を支える治療法です。重度の歯周病や総入れ歯の方に適しています。
インプラントの症例紹介①

Before

After

主訴
歯が抜けてしまった
治療内容
上顎に対するインプラント治療を行った。
治療費
2,046,000円(税込)
治療期間
1か月
通院回数
3回
※治療回数は1回
想定されたリスク
※最終的な歯が入るまでは仮歯の装着が必要でした。
前田 尊臣先生
医療法人社団 颯美会 まえだ歯科 南町田グランベリーパーク院
One Dayインプラントは、手術当日(※術前の検査、術後の経過観察が必要になる場合があります)に仮歯が入るため、その日からしっかり噛めます。入れ歯の必要がなく、治療中の煩わしさを軽減できます。
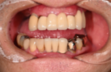
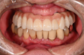
オールオン4の症例紹介②

Before

After

主訴
歯を入れたい
治療内容
上顎、下顎に対するインプラント治療を行った。
治療費
4,092,000円(税込)
治療期間
1か月
通院回数
3回
※治療回数は1回
想定されたリスク
※最終的な歯が入るまでは仮歯で過ごす必要がありました。
前田 尊臣先生
医療法人社団 颯美会 まえだ歯科 南町田グランベリーパーク院
オールオン4は、少ないインプラント本数で多くの歯を補う治療法です。手術当日に仮歯を入れ、見た目と噛む機能をすぐに回復できます。
インプラントの症例紹介②

Before

After

主訴
歯がグラグラして噛めない
治療内容
上顎に対するインプラント治療を行った。
治療費
2,046,000円(税込)
治療期間
1か月
通院回数
3回
※治療回数は1回
想定されたリスク
※最終的な歯が入るまでは仮歯となりました。
前田 尊臣先生
医療法人社団 颯美会 まえだ歯科 南町田グランベリーパーク院
One Dayインプラントなら、当日に仮歯が入り、すぐに噛めます。入れ歯の必要がなく、治療期間中も快適に過ごせる新しい選択肢です。
インプラントの症例紹介③

Before

After

主訴
歯がグラグラして噛めない
治療内容
上顎に対するインプラント治療を行った。
治療費
2,046,000円(税込)
治療期間
1か月
通院回数
3回
※治療回数は1回
想定されたリスク
※最終的な歯が入るまでは仮歯となりました。
前田 尊臣先生
医療法人社団 颯美会 まえだ歯科 南町田グランベリーパーク院
従来はインプラント埋入後に入れ歯を使う期間がありましたが、One Dayインプラントは当日に仮歯を装着し、その日から咀嚼が可能です。
医療法人社団 颯美会 まえだ歯科 南町田グランベリーパーク院



