小貫歯科医院 症例紹介

担当歯科医師:
小貫 裕之先生(小貫歯科医院)
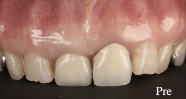
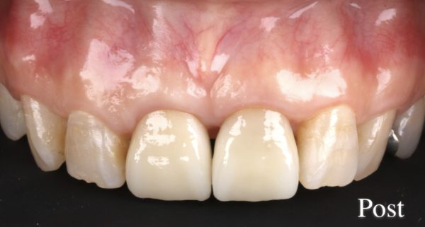
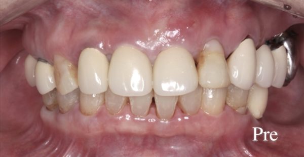
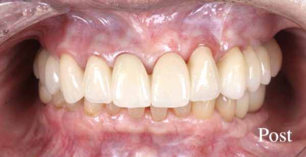
両側上顎中切歯2本のセラミック治療の症例紹介

Before

After

主訴
前歯の大きさの違いが気になる
治療内容
両側上顎中切歯2本のセラミック治療を行いました。初診時に、検査と模型で現在のお口の状態を確認し、その後に歯周・根管治療などの基本治療を行いました。両歯牙の金属支台を再根管治療にて、ファイバー支台に変更しました。歯肉高さを調整し、E.max(二ケイ酸リチウム)で最終補綴を行いました。
治療費
28万円(税込)
治療期間
約3ヶ月
通院回数
8回
想定されたリスク
※歯肉切除を行うため、術後数日の違和感が発生する恐れがありました。
小貫 裕之先生
小貫歯科医院
歯肉を左側に合わせてしまうと前歯が全体的に大きく見えてしまうため、左側を矯正によって挺出させ、右側はできる限り歯肉切除を少ない範囲にとどめバランスを重視しました。
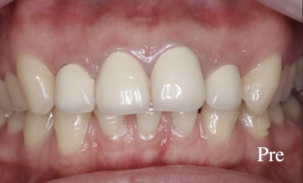
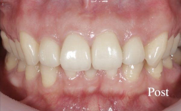
両側上顎中切歯、側切歯4本のセラミック治療の症例紹介

Before

After

主訴
海外で治療した前歯の色が気になる
治療内容
両側上顎中切歯、側切歯4本のセラミック治療を行いました。初診時に、検査と模型で現在のお口の状態を確認し、その後に歯周・根管治療などの基本治療を行いました。両歯牙の金属支台を再根管治療にて、ファイバー支台に変更しました。歯肉高さを調整し、E.max(二ケイ酸リチウム)で最終補綴を行いました。
治療費
44万円(税込)
治療期間
約3ヶ月
通院回数
4回
想定されたリスク
※生活歯のため、一時的にしみる痛みが出る可能性がありました。
小貫 裕之先生
小貫歯科医院
生活歯のため、歯牙の形成後はしみないように薬剤を塗布し、可能な限り痛みの無いように配慮しました。また他の天然歯の色に調和させるため、技工士立ち会いのもと色合わせを行いました。
上下顎10本のセラミック治療および8本のインプラント治療と9本の上部構造の症例紹介

Before

After

主訴
奥歯で噛めない。全体的に歯の色が気になる。
治療内容
上下顎10本のセラミック治療および8本のインプラント治療と9本の上部構造
(全顎治療のため顎関節の検査を行った。模型にて最終形態を確認後、基本治療(歯周基本治療、根管治療など)を行った。インプラント部の骨は全ての部位で不足していたため、骨造成およびサイナスリフトを併用した。仮歯にて一定期間使用し細かい調整を行いました。
治療費
420万円(税込)
治療期間
1年10ヶ月
通院回数
45回
想定されたリスク
※外科処置が加わるため、術後の一時的な腫脹や痛みが発生する恐れがありました。
※臼歯で咬合が回復していく過程で顎関節の症状が起こる可能性がありました。
小貫 裕之先生
小貫歯科医院
治療期間を短くしたいというご希望により、待機期間が伴う処置を先に行い、その他の治療と並行して治療を進めていきました。顎関節との調和が重要なため、定期的に顎関節の動きを検査し機能的に使えるよう配慮することで、噛み合わせと綺麗な見た目になるよう改善しました。
小貫歯科医院
🕑 月火水金 10:00~13:30/14:30~18:30
土 10:00~13:30/14:30~17:00
休診日:木・日・祝



