
担当歯科医師:
徳久 幸司(青山アール矯正歯科 難波院)
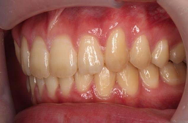
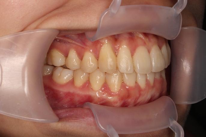
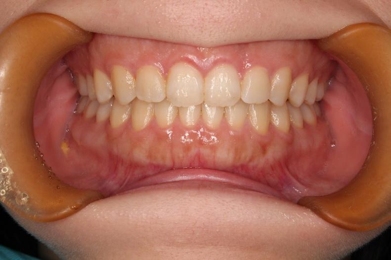
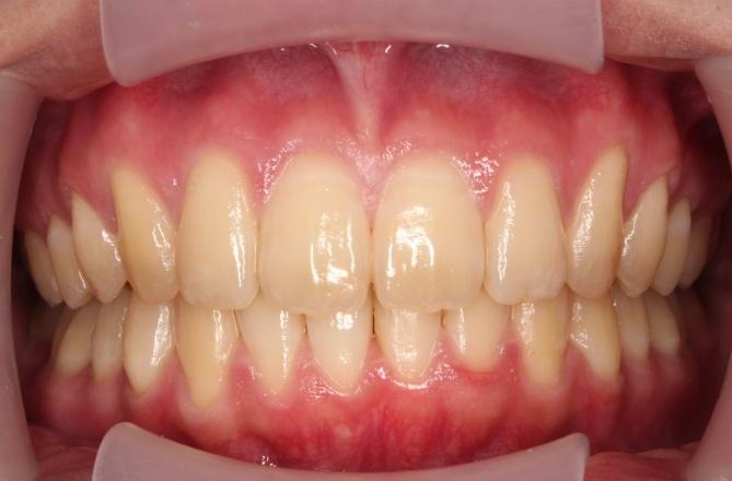
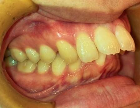
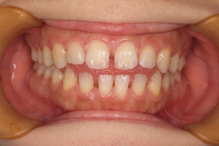
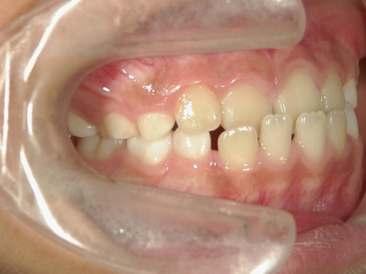
矯正治療の症例紹介①
症例詳細
| 主訴 | 前歯が出ている |
| 治療内容 | 上の前歯が下の前歯より1cm前に出ている上顎前突・上の前歯と下の前歯が5mm以上重なっている過蓋咬合。非抜歯で治療を行った症例です。 |
| 治療費 | 990,000円(税込) |
| 治療期間 | 2年(24ヶ月) |
| 治療回数 | 14回 |
| 想定されたリスク | 矯正治療による歯の移動に伴うため歯根吸収やむし歯のリスクがありました。 |
青山アール矯正歯科 難波院
大阪府大阪市浪速区幸町1-3-19 昭和綜合管理本社ビル3F
🕑 [月・火・水・金]11:00~14:00/15:00~19:30
[土]10:00~13:00/14:00~18:30
休診日:木曜日・日曜日・祝日
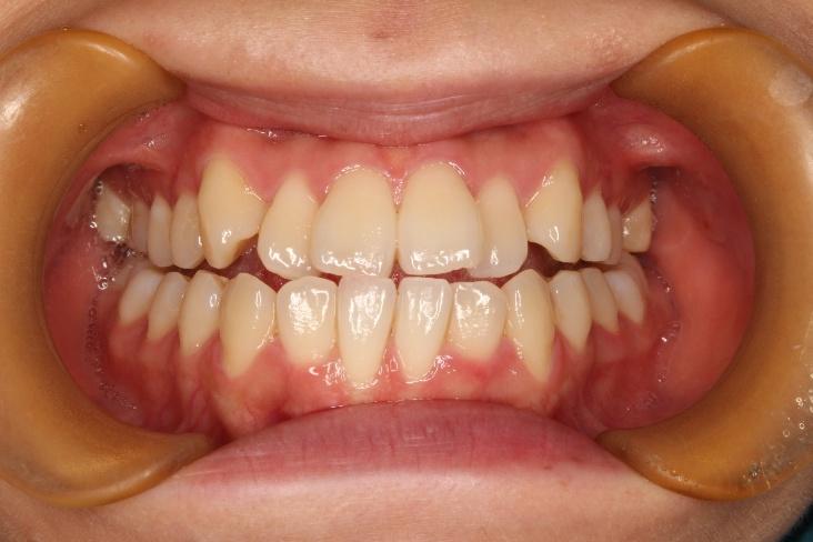
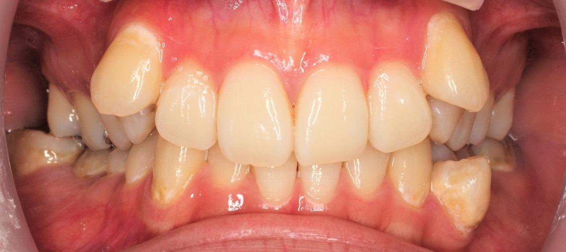
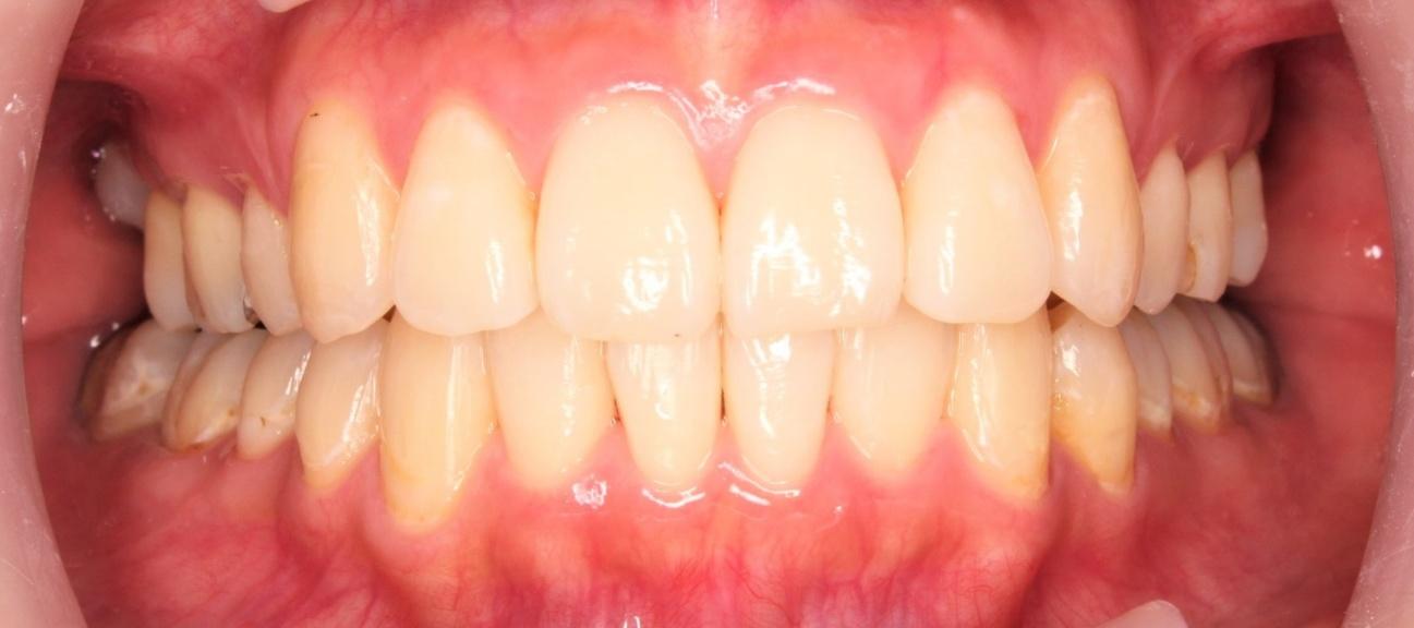
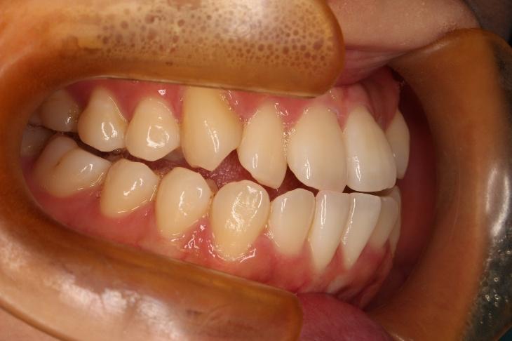
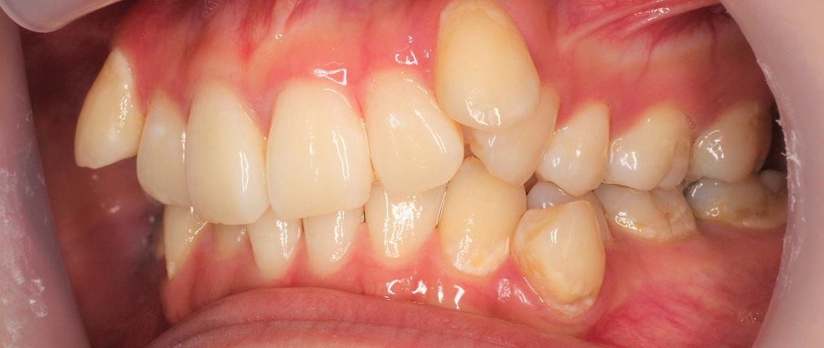
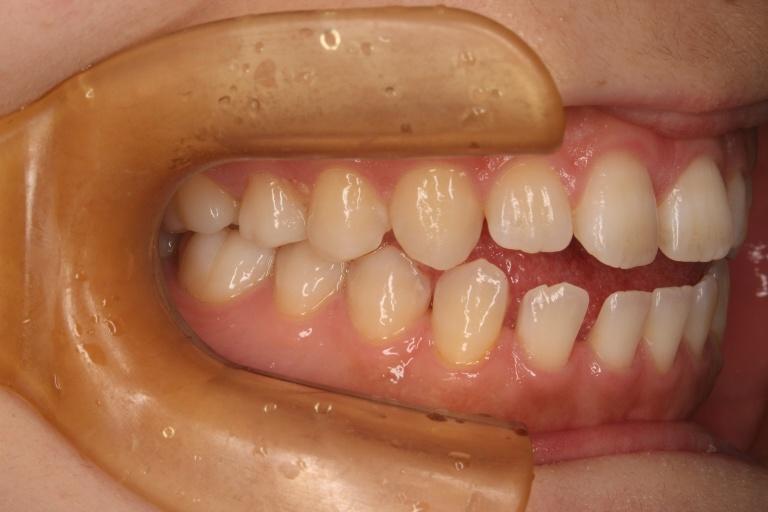
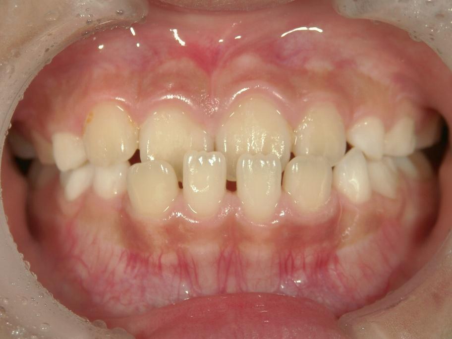
矯正治療の症例紹介②
症例詳細
| 主訴 | 前歯のガタガタの症状が重い叢生、抜歯治療 |
| 治療内容 | 上顎の小臼歯2本を抜歯した後、マウスピース矯正装置を使用して主訴である叢生の改善を行いました。 |
| 治療費 | 1,100,000円(税込) |
| 治療期間 | 2年6ヶ月(30ヶ月) |
| 治療回数 | 20回 |
| 想定されたリスク | 矯正治療による歯の移動に伴うため歯根吸収、むし歯のリスクがありました。 |
青山アール矯正歯科 難波院
大阪府大阪市浪速区幸町1-3-19 昭和綜合管理本社ビル3F
🕑 [月・火・水・金]11:00~14:00/15:00~19:30
[土]10:00~13:00/14:00~18:30
休診日:木曜日・日曜日・祝日
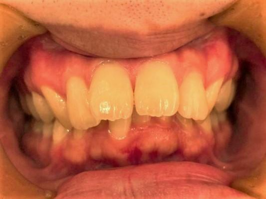
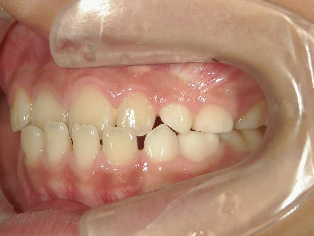
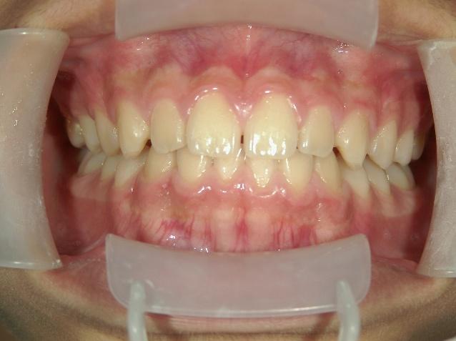
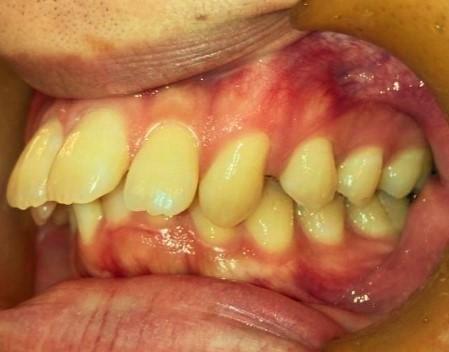
矯正治療の症例紹介③
症例詳細
| 主訴 | 反対咬合(前歯の交叉咬合)・小児 |
| 治療内容 | 小児用の上下一体型マウスピースを就寝中に使用して、主訴である前歯の交叉咬合を改善しました。 |
| 治療費 | 275,000円(税込) |
| 治療期間 | |
| 治療回数 | 33回 |
| 想定されたリスク | 矯正治療による歯の移動に伴うため歯根吸収、むし歯のリスクがありました。 |
青山アール矯正歯科 難波院
大阪府大阪市浪速区幸町1-3-19 昭和綜合管理本社ビル3F
🕑 [月・火・水・金]11:00~14:00/15:00~19:30
[土]10:00~13:00/14:00~18:30
休診日:木曜日・日曜日・祝日
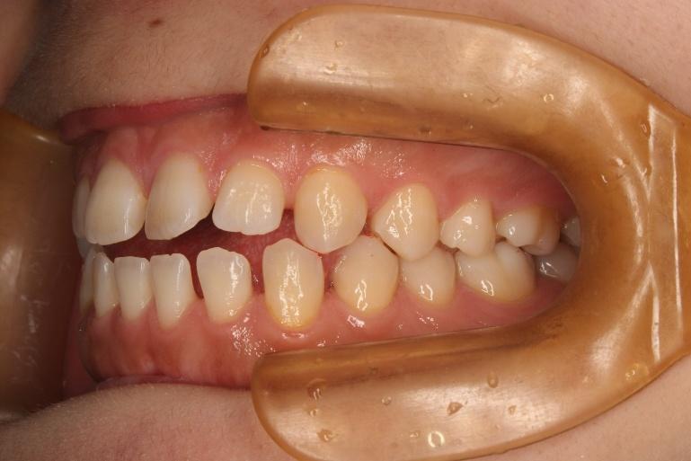
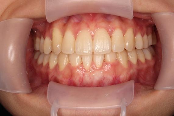
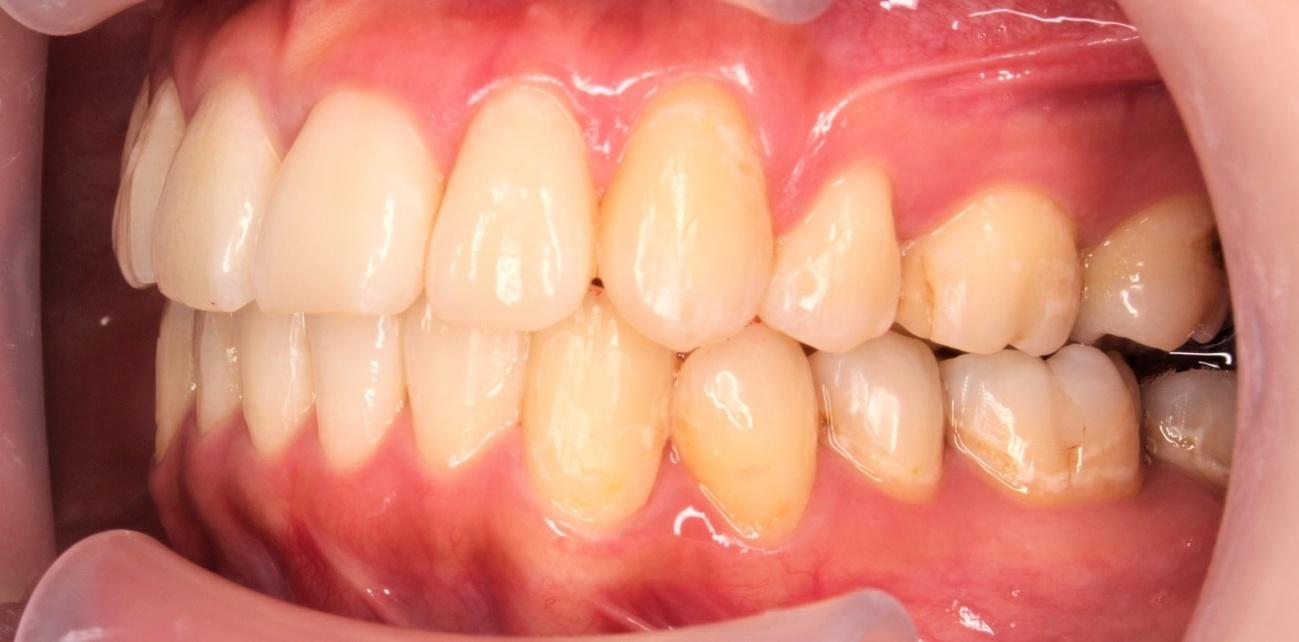
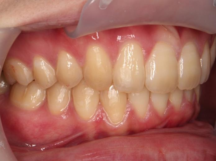
矯正治療の症例紹介④
症例詳細
| 主訴 | 反対咬合・非抜歯 |
| 治療内容 | 抜歯をせずにマウスピース矯正装置を使用して、主訴である反対咬合を改善しました。 |
| 治療費 | 990,000円(税込) |
| 治療期間 | 2年(24ヶ月) |
| 治療回数 | 9回 |
| 想定されたリスク | 矯正治療による歯の移動に伴うため歯根吸収、むし歯のリスクがありました。 |
青山アール矯正歯科 難波院
大阪府大阪市浪速区幸町1-3-19 昭和綜合管理本社ビル3F
🕑 [月・火・水・金]11:00~14:00/15:00~19:30
[土]10:00~13:00/14:00~18:30
休診日:木曜日・日曜日・祝日
矯正治療の症例紹介⑤
症例詳細
| 主訴 | 開口・非抜歯 |
| 治療内容 | 非抜歯にてマウスピース矯正装置を使用して、主訴である開咬を改善しました。 |
| 治療費 | 990,000円(税込) |
| 治療期間 | 2年(24ヶ月) |
| 治療回数 | 24回 |
| 想定されたリスク | 矯正治療による歯の移動に伴うため歯根吸収、むし歯のリスクがありました。 |
青山アール矯正歯科 難波院
大阪府大阪市浪速区幸町1-3-19 昭和綜合管理本社ビル3F
🕑 [月・火・水・金]11:00~14:00/15:00~19:30
[土]10:00~13:00/14:00~18:30
休診日:木曜日・日曜日・祝日
青山アール矯正歯科 難波院
大阪府大阪市浪速区幸町1-3-19 昭和綜合管理本社ビル3F
🕑 [月・火・水・金]11:00~14:00/15:00~19:30
[土]10:00~13:00/14:00~18:30
休診日:木曜日・日曜日・祝日
青山アール矯正歯科 難波院
徳久 幸司 歯科医師