
担当歯科医師:
広瀬 杏里(天神AN矯正歯科)
プロフィールをもっと見る
ワイヤー矯正の症例紹介(天神AN矯正歯科)


広瀬 杏里(天神AN矯正歯科)
プロフィールをもっと見る
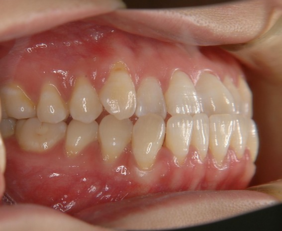
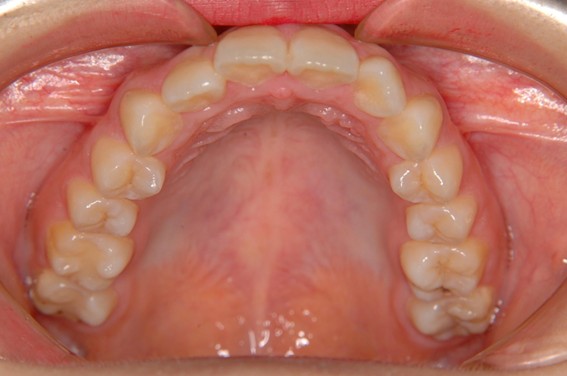
症例詳細
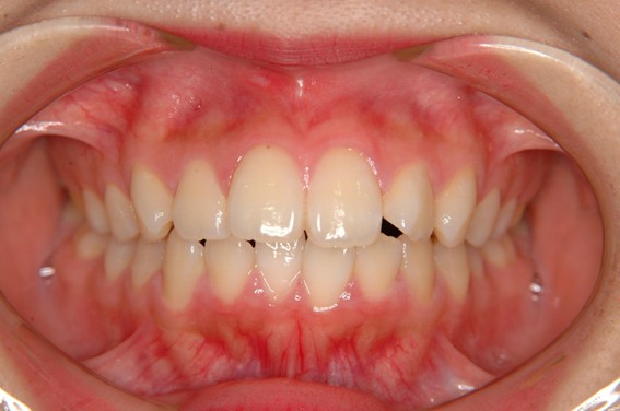
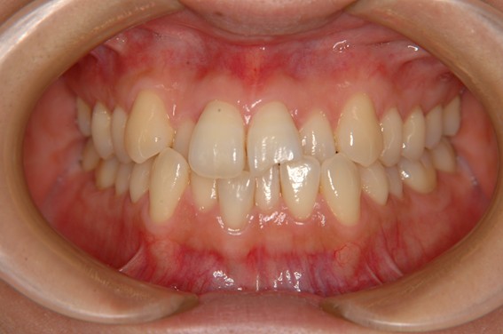
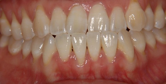
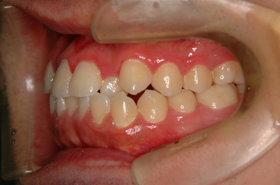
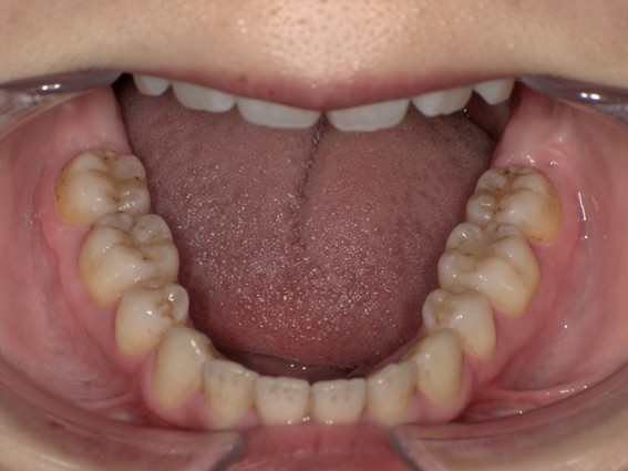
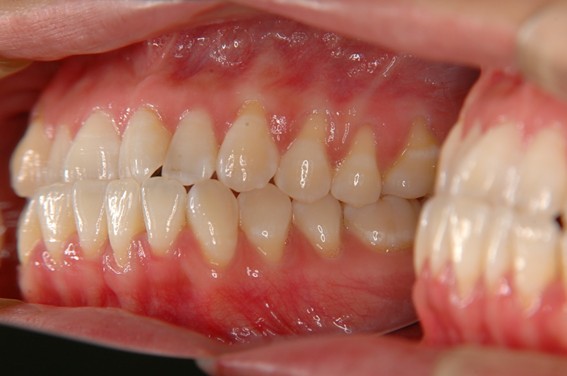
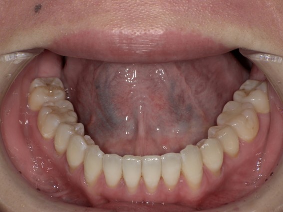
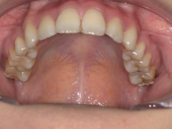
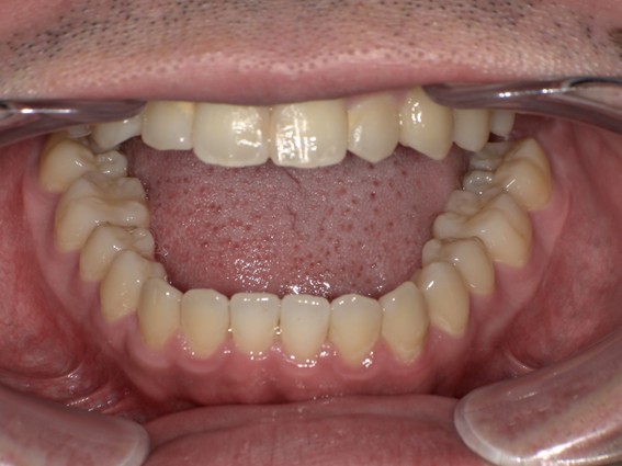
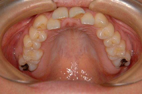
| 主訴 | 口元がでている、口が閉じずらい、上の歯と下の歯のがたつき、顎がない。 |
| 治療内容 | 上下のワイヤー矯正を行いました。 |
| 治療費 | 880,000円(税込) |
| 治療期間 | 28ヶ月 |
| 治療回数 | 28回 |
| 想定されたリスク | 知覚過敏・咬合痛・歯肉退縮・歯髄壊死・歯髄充血のリスクがありました。 |
担当医のコメント

天神AN矯正歯科
広瀬 杏里 歯科医師
以前骨切りを勧められたことがあるという方でしたが、抜歯矯正で口元の突出や顎のしわを改善しました。上唇の厚みや頬の高さを考慮し、老けた印象にならないよう配慮。お顔全体のバランスと年齢に合わせた治療を行いました。
天神AN矯正歯科
🕑 午前: 火~土 10:00~13:00
午後: 火~土 14:30~18:30 月 17:00~23:30、日(隔週) 15:00~21:30
休診日:不定休
ワイヤー矯正+ダイレクトボンディングの症例紹介(天神AN矯正歯科)


広瀬 杏里(天神AN矯正歯科)
プロフィールをもっと見る
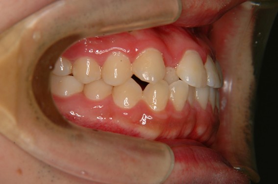
症例詳細
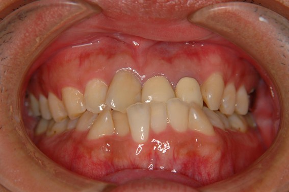
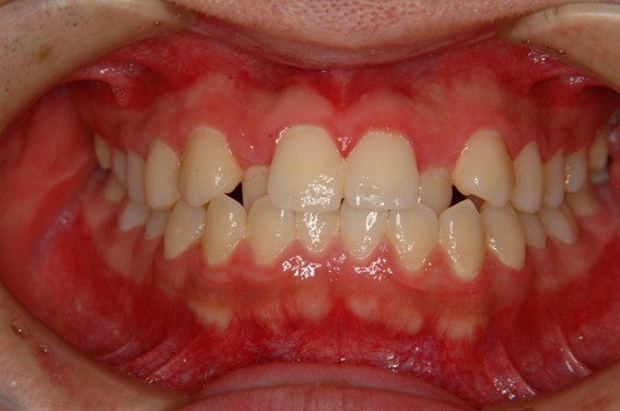
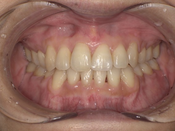
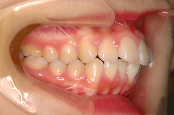
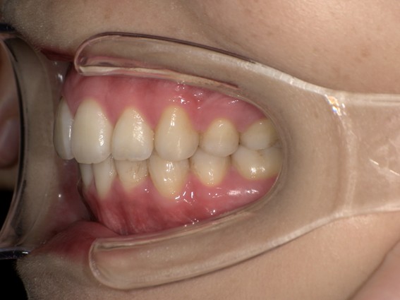
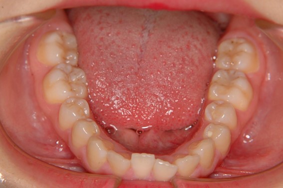
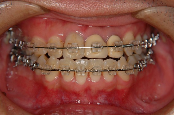
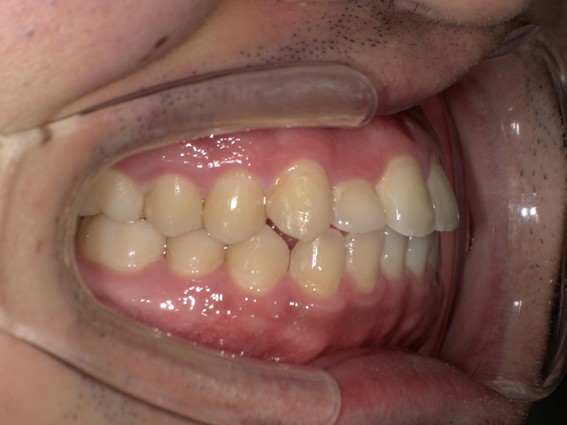
| 主訴 | 前歯が逆に噛んでいるところがある。歯のがたつき。 |
| 治療内容 | 表側ワイヤー矯正、4本抜歯を行いました。 |
| 治療費 | 880,000円+ダイレクトボンディング33,000円(税込) |
| 治療期間 | 30ヶ月 |
| 治療回数 | 30回 |
| 想定されたリスク | 歯根吸収、歯髄壊死、歯髄充血、歯肉退縮のリスクがありました。 |
担当医のコメント

天神AN矯正歯科
広瀬 杏里 歯科医師
天神AN矯正歯科
🕑 午前: 火~土 10:00~13:00
午後: 火~土 14:30~18:30 月 17:00~23:30、日(隔週) 15:00~21:30
休診日:不定休
ワイヤー矯正×補綴の症例紹介(天神AN矯正歯科)


広瀬 杏里(天神AN矯正歯科)
プロフィールをもっと見る
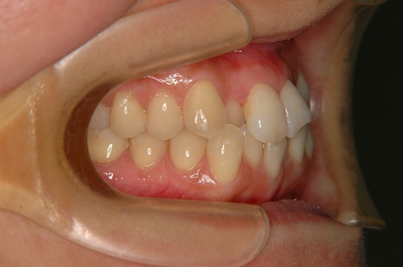
症例詳細
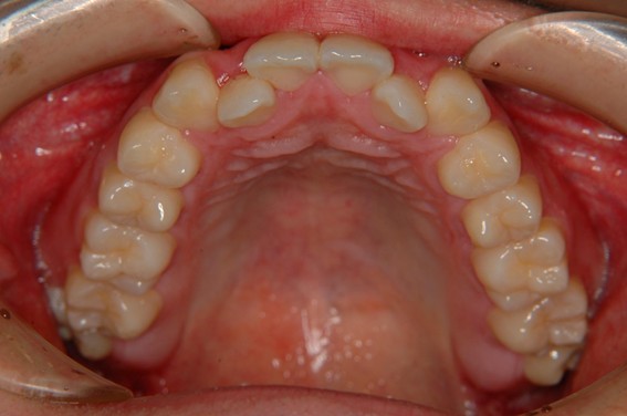
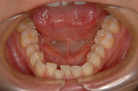
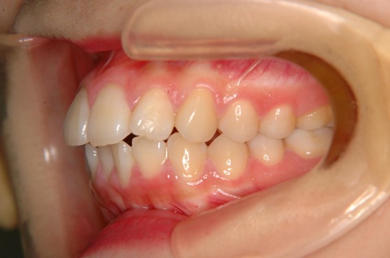
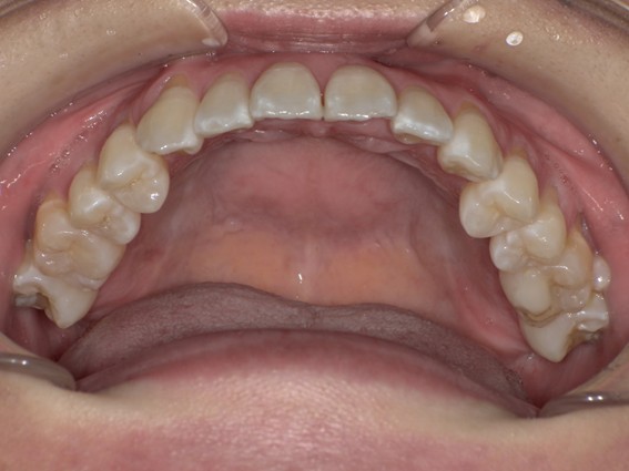
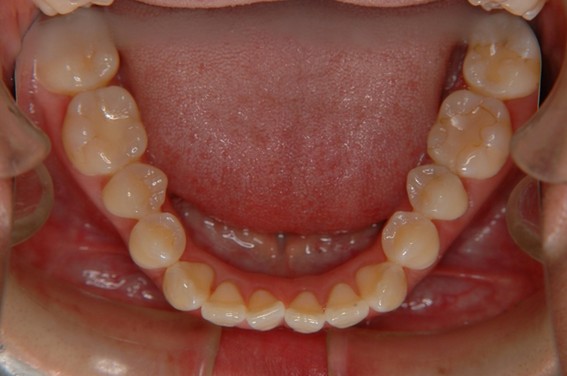
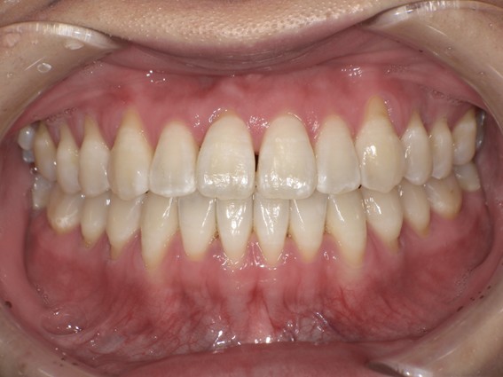
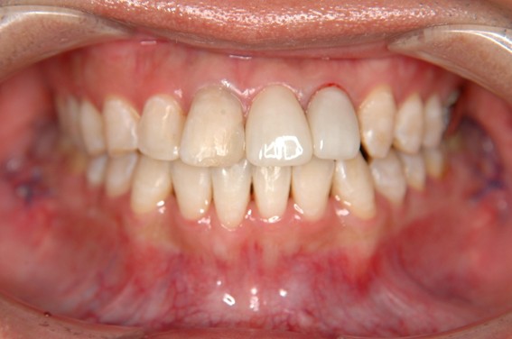
| 主訴 | 前歯が逆に噛んでいる。 |
| 治療内容 | 表側ワイヤー矯正、ジルコニア補綴を行いました。 |
| 治療費 | ワイヤー矯正660,000円(税込) ジルコニア176,000円(88,000円×2歯)(税込) |
| 治療期間 | 30ヶ月 |
| 治療回数 | 30回 |
| 想定されたリスク | 歯根吸収、歯髄壊死、歯髄充血、歯肉退縮のリスクがありました。 |
担当医のコメント

天神AN矯正歯科
広瀬 杏里 歯科医師
骨格性Ⅲ級・前歯部反対咬合の症例でした。反対咬合のまま治療していた前歯のサイズ不調和を、表側ワイヤー矯正とプロビジョナルクラウンで調整。正中を整え、犬歯・臼歯ともⅠ級、適切なオーバージェット(上下前歯の前後的な距離)・オーバーバイト(上下前歯の垂直的な重なり)に仕上げました。
天神AN矯正歯科
🕑 午前: 火~土 10:00~13:00
午後: 火~土 14:30~18:30 月 17:00~23:30、日(隔週) 15:00~21:30
休診日:不定休
天神AN矯正歯科
一般歯科 予防治療 審美治療 小児歯科 小児矯正 歯周病治療 矯正歯科
🕑 午前: 火~土 10:00~13:00
午後: 火~土 14:30~18:30 月 17:00~23:30、日(隔週) 15:00~21:30
休診日:不定休


天神AN矯正歯科
広瀬 杏里 歯科医師