
担当歯科医師:
鈴木 聡(桜新町グリーン歯科・矯正歯科)
プロフィールをもっと見る
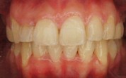
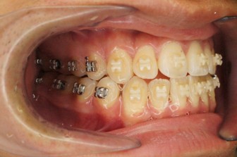
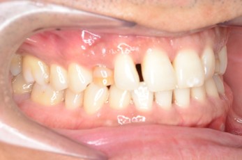
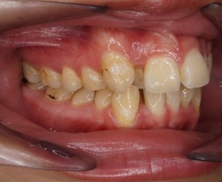
永久歯欠損 インプラントと大人の矯正の症例紹介(桜新町グリーン歯科・矯正歯科)


鈴木 聡(桜新町グリーン歯科・矯正歯科)
プロフィールをもっと見る
症例詳細
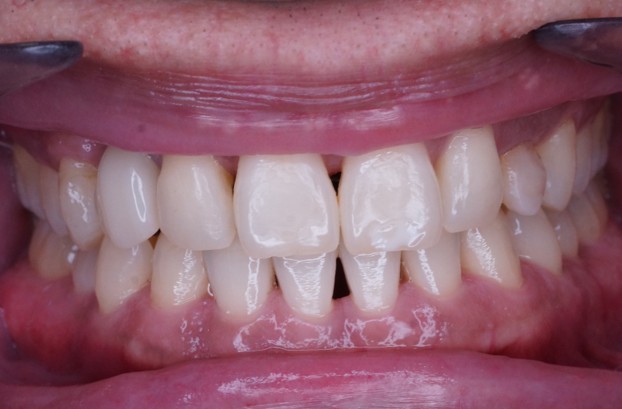
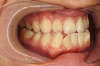
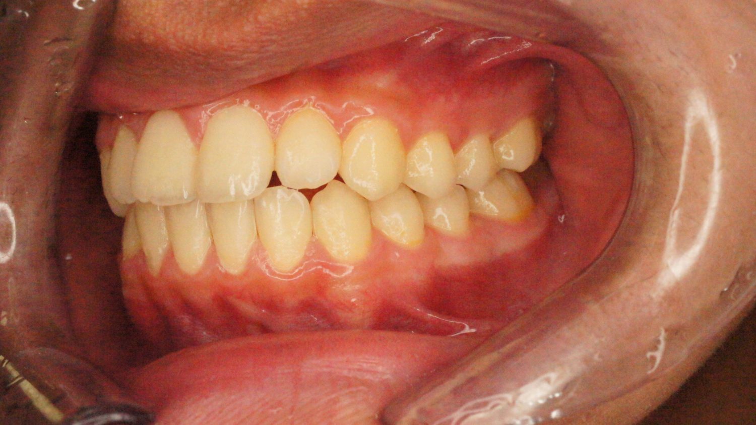
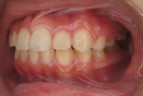
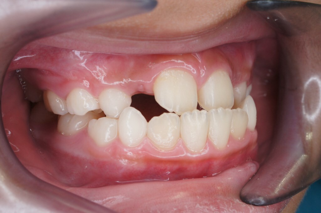
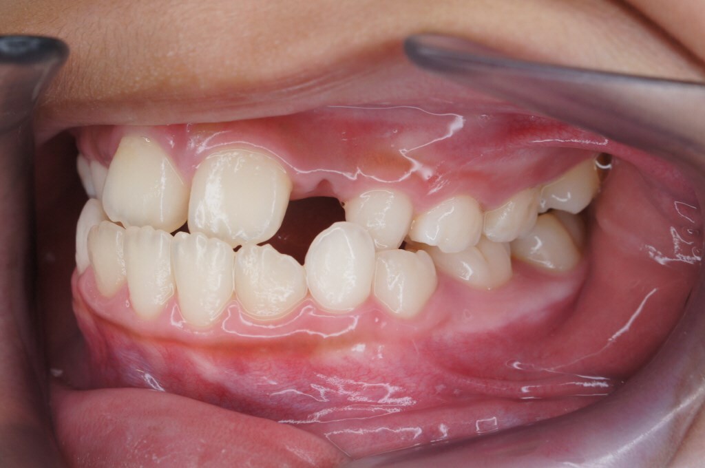
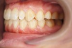
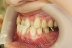
| 主訴 | 上の左右の3番目の乳歯の相談がしたい |
| 治療内容 | 左の3番目の乳⻭は根が⻑いのでレジン充填で歯を大きくしました。 右の3番目の乳歯は抜⻭してインプラントを埋入しました。インプラント体が入るスペースを作るために前⻭の部分矯正をしました。 |
| 治療費 | 510,000円(税込) |
| 治療期間 | 5ヶ月 |
| 治療回数 | 12回 |
| 想定されたリスク | 矯正治療に関して:歯の移動による違和感や痛みが増す可能性がありました。ワイヤー調整後は噛みにくい症状が出る恐れがありました。歯の移動後に痛みは軽減します。 インプラントは日帰り手術(※)となるため、術後の過ごし方によっては痛みや腫れが増す可能性がありました。 (※術前の検査、術後の経過観察が必要です) |
桜新町グリーン歯科・矯正歯科
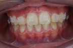
男性 叢生・反対咬合 ワイヤー矯正の症例紹介(桜新町グリーン歯科・矯正歯科)


鈴木 聡(桜新町グリーン歯科・矯正歯科)
プロフィールをもっと見る
症例詳細
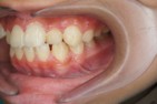
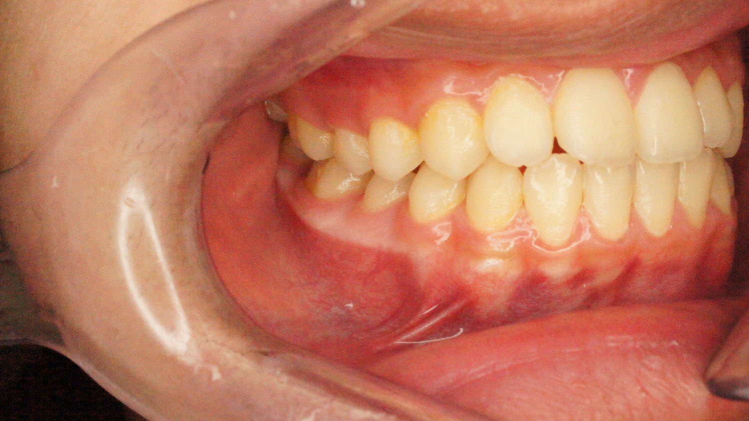
| 主訴 | 受け口と歯並びをきれいにしたい |
| 治療内容 | ⻭が斜めに倒れて重なっている⻭並び(叢生)と反対咬合をブラケット矯正で治療しました。 |
| 治療費 | 800,000円(税込) |
| 治療期間 | 2年 |
| 治療回数 | 26回 |
| 想定されたリスク | ワイヤー調整後は歯の移動による違和感や痛みが増す恐れがありました。また、一時的に噛みにくい症状が出る可能性がありました。歯の移動後に痛みや違和感は軽減します。 |
担当医のコメント

桜新町グリーン歯科・矯正歯科
鈴木 聡 歯科医師
斜めに傾いた⻭をまっすぐに起こすよう動かし、⻭が移動できるスペースを作り、同時に形状記憶ワイヤーで顎に合わせたアーチ状に⻭列を整えました。その後は保定期にプレートで口元を下げる治療を行いました。
桜新町グリーン歯科・矯正歯科
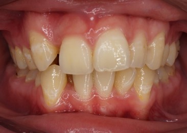
23歳女性 叢生 ワイヤー矯正の症例紹介(桜新町グリーン歯科・矯正歯科)


鈴木 聡(桜新町グリーン歯科・矯正歯科)
プロフィールをもっと見る
症例詳細
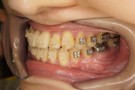
| 主訴 | 歯並びをきれいにしたい。 |
| 治療内容 | 歯が斜めに倒れて重なっている歯並び(叢生)をブラケット矯正で治療しました。斜めに傾いた歯をまっすぐに起こすよう動かし、歯が移動できるスペースを作ります。同時に形状記憶ワイヤーで顎に合わせたアーチ状に歯列を整えます。 |
| 治療費 | 808,000円(税込) |
| 治療期間 | 1年11ヵ月 |
| 治療回数 | 25回 |
| 想定されたリスク | ワイヤー調整後は歯の移動による違和感や痛みが増す可能性がありました。また、一時的に噛みにくい症状が出る可能性がありました。歯の移動後に痛みや違和感は軽減します。 |
担当医のコメント

登戸グリーン歯科・矯正歯科
鈴木 聡 歯科医師
⻭が斜めに倒れて重なっている⻭並び(叢生)をブラケット矯正で治療しました。
桜新町グリーン歯科・矯正歯科
13歳女の子 叢生 小児矯正の症例紹介(桜新町グリーン歯科・矯正歯科)


鈴木 聡(桜新町グリーン歯科・矯正歯科)
プロフィールをもっと見る
症例詳細
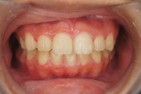
| 主訴 | 歯並びのガタガタを治したい |
| 治療内容 | 上顎:ワイヤー矯正治療 下顎:拡大床装置による治療 |
| 治療費 | 418,000円(税込) |
| 治療期間 | 16ヶ月 |
| 治療回数 | 17回 |
| 想定されたリスク | 上の歯のワイヤー矯正治療に関して、歯の移動による違和感や痛みが強まる可能性がありました。ワイヤー調整後は噛みにくい症状が出る恐れがありました。歯の移動後に痛みは軽減します。下の歯の矯正治療に関しては矯正装置を拡大して顎を広げていく処置のため、ご案内した角度で保護者さんに操作していただくことや、寝る時とご自宅にいる時に装着するなど細かな管理がないと治療がうまくいかない可能性がありました。矯正装置の管理具合によっては、装置に歯石がつくリスクもありました。 |
担当医のコメント

登戸グリーン歯科・矯正歯科
鈴木 聡 歯科医師
桜新町グリーン歯科・矯正歯科
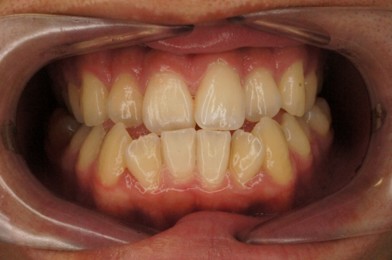
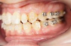
30代女性 叢生 成人矯正の症例紹介②(桜新町グリーン歯科・矯正歯科)


鈴木 聡(桜新町グリーン歯科・矯正歯科)
プロフィールをもっと見る
症例詳細
| 主訴 | 歯並びのガタガタを治したい |
| 治療内容 | ワイヤー矯正による矯正治療を行いました。 |
| 治療費 | 893,000円(税込) |
| 治療期間 | 26ヶ月 |
| 治療回数 | 30回 |
| 想定されたリスク | ワイヤー矯正治療は歯の移動による違和感や痛みが増す恐れがありました。ワイヤー調整後は噛みにくい症状が出る可能性がありました。歯の移動後に痛みは軽減します。顎間ゴム使用中は話しにくい場合があります。 |
担当医のコメント

桜新町グリーン歯科・矯正歯科
鈴木 聡 歯科医師
⻭列のガタガタをアーチ状になるように矯正します。左右奥⻭が前側に倒れているので垂直に起こします。⻭が垂直に起きてくると臼⻭部のかみ合わせが高くなるので、リバースワイヤーで下の奥⻭を奥側に動かして反対咬合を治療します。治療終盤でマルチループワイヤーと顎間ゴムを使用しました。段々上の⻭の中央から2番目の⻭が前に出ることによって上の顎の骨ができてきます。そのため⻭茎のぼこぼこした感じがなくなります。
桜新町グリーン歯科・矯正歯科
8歳男の子 小児矯正の症例紹介(桜新町グリーン歯科・矯正歯科)


鈴木 聡(登戸グリーン歯科・矯正歯科 )
プロフィールをもっと見る
症例詳細
| 主訴 | かみ合わせが上下反対になっているのを治したい |
| 治療内容 | 初診時はムーシールド装置を使って舌で上の⻭の前⻭を押して反対咬合を徐々に直していきました。1年後にはかみ合わせが切端咬合に変わりました。レントゲン写真から下顎の左右3番の⻭(犬⻭)のスペースがないことが分かったので、拡大床装置で顎を広げる治療を開始しました。(4枚目が拡大床矯正装置の画像です。)上の二番目の⻭も顎を広げながら、下顎と同様にスペースを作っていきます。拡大床装置は補助ワイヤーがある設計になっています。1年6か月後には、上下のかみ合わせがそろってさらに反対咬合が治ったので口角がしっかり上がるのが分かります。上下のアーチも美しく揃いました。 |
| 治療費 | 356,000円(税込) |
| 治療期間 | 18ヶ月 |
| 治療回数 | 20回 |
| 想定されたリスク | 矯正装置を拡大して顎を広げていく処置のため、ご案内した角度で保護者さんに操作していただくことや、寝る時とご自宅にいる時に装着するなど細かな管理がないと治療がうまくいかない可能性がありました。外出時の装着は無くしたり壊れてしまって怪我をするリスクがありました。矯正装置の管理具合によっては、装置に歯石がつくリスクもありました。 |
担当医のコメント

桜新町グリーン歯科・矯正歯科
鈴木 聡 歯科医師
個人差がありますが上顎が10歳・下顎が12歳ごろまでの成⻑期となります。しっかり永久⻭が生えるまで定期健診をおすすめしています。また、永久⻭になった後もむし⻭にならないよう定期検診は重要です。
桜新町グリーン歯科・矯正歯科
桜新町グリーン歯科・矯正歯科

桜新町グリーン歯科・矯正歯科
鈴木 聡 歯科医師