
担当歯科医師:
前田 嘉子(西落合リーフ歯科・矯正歯科)
プロフィールをもっと見る
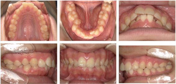
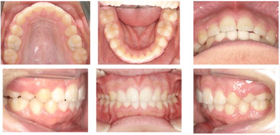
叢生(ワイヤー矯正)の症例紹介(西落合リーフ歯科・矯正歯科)


前田 嘉子(西落合リーフ歯科・矯正歯科)
プロフィールをもっと見る
症例詳細
| 主訴 | 前歯のでこぼこを治したい |
| 治療内容 | 4本抜歯+マルチブラケット装置(ワイヤー矯正) |
| 治療費 | 装置代:セラミック 660,000円(税込) 治療開始前検査代 33,000円(税込) 処置代/回 5,500円(税込) リテーナー代 55,000円(税込) 治療終了時検査代 5,500円(税込) |
| 治療期間 | 18ヶ月 |
| 治療回数 | 18回 |
| 想定されたリスク | 歯根吸収、歯肉退縮、一時的な痛み、一時的な違和感、治療終了後の後戻りの可能性があった。 |
西落合リーフ歯科・矯正歯科
🕑 午前: 月水木金 10:00~13:00 土 10:00~16:00
午後: 月木金 14:00~20:00 水 14:00~19:00
休診日:火・日・祝
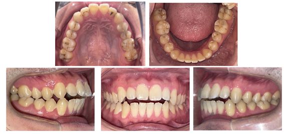
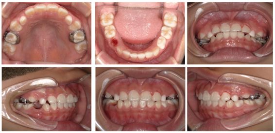
開咬(ワイヤー矯正)の症例紹介(西落合リーフ歯科・矯正歯科)


前田 嘉子(西落合リーフ歯科・矯正歯科)
プロフィールをもっと見る
症例詳細
| 主訴 | 前歯が噛み合わない |
| 治療内容 | マルチブラケット装置(ワイヤー矯正)+インプラントアンカー |
| 治療費 | 装置代:クリッピー 715,000円(税込) インプラントアンカー2本 44,000円(税込) 治療開始前検査代 33,000円(税込) 処置代/回 5,500円(税込) リテーナー代 55,000円(税込) 治療終了時検査代 5,500円(税込) |
| 治療期間 | 18ヶ月 |
| 治療回数 | 18回 |
| 想定されたリスク | 歯根吸収、歯肉退縮、一時的な痛み、一時的な違和感、治療終了後の後戻りの可能性があった。 |
担当医のコメント

西落合リーフ歯科・矯正歯科
前田 嘉子 歯科医師
初診時に前歯部の歯肉退縮および短根が認められたため、前歯に負荷をかけないような治療計画を立てました。インプラントアンカーを用いて臼歯部の圧下による開咬改善を行い、前歯部で緊密な咬合を獲得することができました。
西落合リーフ歯科・矯正歯科
🕑 午前: 月水木金 10:00~13:00 土 10:00~16:00
午後: 月木金 14:00~20:00 水 14:00~19:00
休診日:火・日・祝
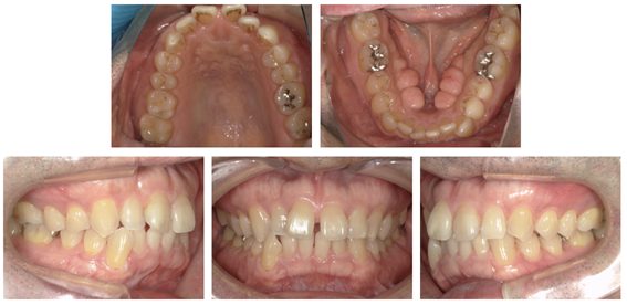
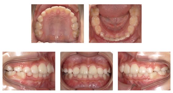
空隙歯列+叢生(インビザライン矯正)の症例紹介(西落合リーフ歯科・矯正歯科)


前田 嘉子(西落合リーフ歯科・矯正歯科)
プロフィールをもっと見る
症例詳細
| 主訴 | 前歯の隙間とでこぼこを治したい |
| 治療内容 | インビザライン (※) 未承認医薬品等であるため医薬品副作用被害救済制度の対象とはならない可能性があります。 |
| 治療費 | 装置代:インビザライン 660,000円(税込) 治療開始前検査代 33,000円(税込) 処置代/回 5,500円(税込) リテーナー代 55,000円(税込) 治療終了時検査代 5,500円(税込) |
| 治療期間 | 17ヶ月 |
| 治療回数 | 17回 |
| 想定されたリスク | 歯根吸収、歯肉退縮、一時的な痛み、一時的な違和感、治療終了後の後戻りの可能性があった。 |
担当医のコメント

西落合リーフ歯科・矯正歯科
前田 嘉子 歯科医師
目立ちにくい装置をご希望されたため、審美性と機能性を両立したインビザライン矯正をご提案しました。マウスピースの装着が重要なため、定期的なチェックを欠かさず患者さんと協力して行っていくことで理想的な歯並びを獲得することができました。
西落合リーフ歯科・矯正歯科
🕑 午前: 月水木金 10:00~13:00 土 10:00~16:00
午後: 月木金 14:00~20:00 水 14:00~19:00
休診日:火・日・祝
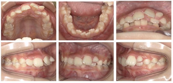
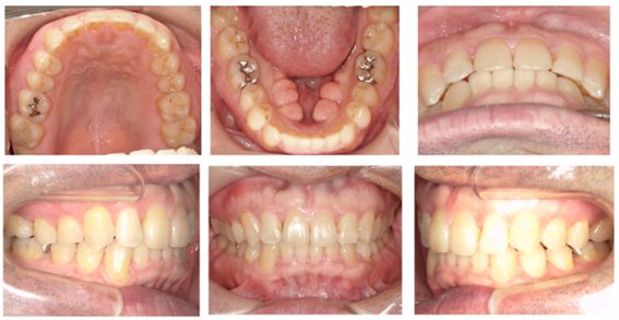
上顎前突+叢生(こどもの矯正)の症例紹介(西落合リーフ歯科・矯正歯科)


前田 嘉子(西落合リーフ歯科・矯正歯科)
プロフィールをもっと見る
症例詳細
| 主訴 | 出っ歯とでこぼこが気になる |
| 治療内容 | 上下拡大床+マルチブラケット装置(部分的ワイヤー矯正)+ヘッドギア |
| 治療費 | 装置代:拡大床+部分的ワイヤー矯正+ヘッドギア 297,000円(税込) 治療開始前検査代 33,000円(税込) 処置代/回 5,500円(税込) リテーナー代 22,000円(税込) 治療終了時検査代 5,500円(税込) |
| 治療期間 | 15ヶ月 |
| 治療回数 | 15回 |
| 想定されたリスク | 歯根吸収、歯肉退縮、一時的な痛み、一時的な違和感、治療終了後の後戻りの可能性があった。 |
担当医のコメント

西落合リーフ歯科・矯正歯科
前田 嘉子 歯科医師
西落合リーフ歯科・矯正歯科
🕑 午前: 月水木金 10:00~13:00 土 10:00~16:00
午後: 月木金 14:00~20:00 水 14:00~19:00
休診日:火・日・祝
反対咬合+叢生(こどもの矯正)の症例紹介(西落合リーフ歯科・矯正歯科)


前田 嘉子(西落合リーフ歯科・矯正歯科)
プロフィールをもっと見る
症例詳細
| 主訴 | 受け口になっている |
| 治療内容 | 部分的ワイヤー矯正 |
| 治療費 | 装置代:部分的ワイヤー矯正 297,000円(税込) 治療開始前検査代 33,000円(税込) 処置代/回 5,500円(税込) リテーナー代 22,000円(税込) 治療終了時検査代 5,500円(税込) |
| 治療期間 | 12ヶ月 |
| 治療回数 | 12回 |
| 想定されたリスク | 歯根吸収、歯肉退縮、一時的な痛み、一時的な違和感、治療終了後の後戻り、将来外科治療の可能性があった。 |
担当医のコメント

西落合リーフ歯科・矯正歯科
前田 嘉子 歯科医師
こどもの反対咬合は、将来の顎の成長バランスに影響を与える可能性があるため早期の治療が重要となることが多いです。反対咬合には舌癖や遺伝的要因などが関係しています。本症例では、舌トレーニングを行いつつ、ワイヤー矯正により前歯の被害を改善しました。その後は顎の成長に留意しながら経過観察となります。
西落合リーフ歯科・矯正歯科
🕑 午前: 月水木金 10:00~13:00 土 10:00~16:00
午後: 月木金 14:00~20:00 水 14:00~19:00
休診日:火・日・祝
西落合リーフ歯科・矯正歯科
小児歯科 歯科 歯科口腔外科 矯正歯科
🕑 午前: 月水木金 10:00~13:00 土 10:00~16:00
午後: 月木金 14:00~20:00 水 14:00~19:00
休診日:火・日・祝
西落合リーフ歯科・矯正歯科
前田 嘉子 歯科医師