
担当歯科医師:
鈴木 聡(登戸クローバー歯科・矯正歯科)
プロフィールをもっと見る
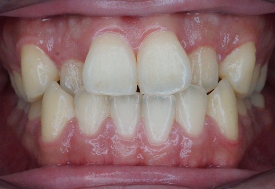
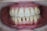
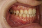
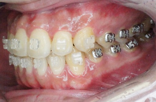
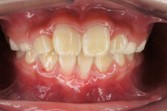
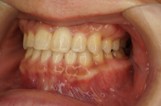
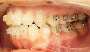
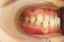
27歳男性 叢生 ワイヤー矯正の症例紹介(登戸クローバー歯科・矯正歯科)


鈴木 聡(登戸クローバー歯科・矯正歯科)
プロフィールをもっと見る
症例詳細
| 主訴 | 歯並びをきれいにしたい。 |
| 治療内容 | 斜めに傾いた⻭をまっすぐに起こすよう動かし、⻭が移動できるスペースを作ります。同時に形状記憶ワイヤーで顎に合わせたアーチ状に⻭列を整えます。 |
| 治療費 | 753,000円(税込) |
| 治療期間 | 1年1ヶ月 |
| 治療回数 | 15回 |
| 想定されたリスク | ワイヤー調整後は歯の移動による移動による違和感や痛みがでる恐れがありました。 また、一時的に噛みにくい症状が出る可能性があります。歯の移動後に痛みや違和感は軽減します。 |
登戸クローバー歯科・矯正歯科
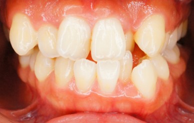
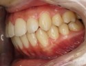
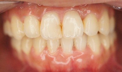
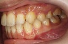
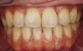
22歳女性 顎の歪み 叢生 ワイヤー矯正の症例紹介(登戸クローバー歯科・矯正歯科)


鈴木 聡(登戸クローバー歯科・矯正歯科)
プロフィールをもっと見る
症例詳細
| 主訴 | 歯並びをきれいにしたい。 |
| 治療内容 | 歯が斜めに倒れて重なっている歯並び(叢生)をブラケット矯正で治療しました。斜めに傾いた歯をまっすぐに起こすよう動かし、歯が移動できるスペースを作ります。同時に形状記憶ワイヤーで顎に合わせたアーチ状に歯列を整えます。 |
| 治療費 | 878,000円(税込) |
| 治療期間 | 2年4ヶ月 |
| 治療回数 | 30回 |
| 想定されたリスク | ワイヤー調整後は歯の移動による違和感や痛みがでる可能性がありました。 また、一時的に噛みにくい症状が出る恐れがありました。歯の移動後に痛みや違和感は軽減します。 |
担当医のコメント

登戸クローバー歯科・矯正歯科
鈴木 聡 歯科医師
斜めに傾いた⻭をまっすぐに起こすよう動かし、⻭が移動できるスペースを作ります。同時に形状記憶ワイヤーで顎に合わせたアーチ状に⻭列を整えます。
登戸クローバー歯科・矯正歯科
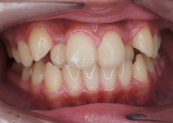
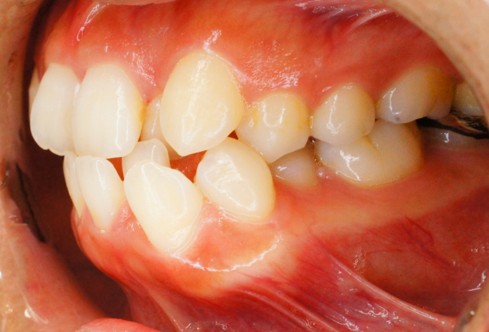
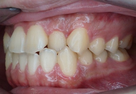
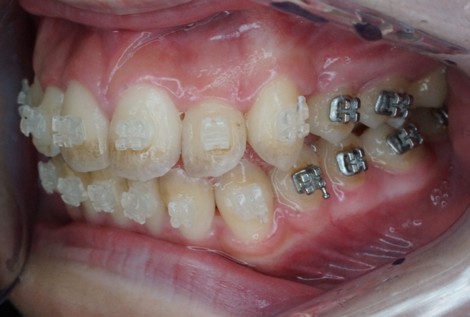
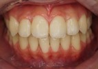
16歳女性 叢生 ワイヤー矯正の症例紹介(登戸クローバー歯科・矯正歯科)


鈴木 聡(登戸クローバー歯科・矯正歯科)
プロフィールをもっと見る
症例詳細
| 主訴 | 歯並びをきれいにしたい。 |
| 治療内容 | 斜めに傾いた⻭をまっすぐに起こすよう動かし、⻭が移動できるスペースを作ります。同時に形状記憶ワイヤーで顎に合わせたアーチ状に⻭列を整えます。 |
| 治療費 | 760,000円(税込) |
| 治療期間 | 1年8か月 |
| 治療回数 | 22回 |
| 想定されたリスク | ワイヤー調整後は歯の移動による違和感や痛みが増す可能性がありました。また、噛みにくい症状が出る恐れがありました。歯の移動後に痛みや違和感は軽減します。 |
担当医のコメント

登戸クローバー歯科・矯正歯科
鈴木 聡 歯科医師
⻭が斜めに倒れて重なっている⻭並び(叢生)をブラケット矯正で治療しました。
登戸クローバー歯科・矯正歯科
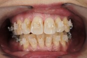
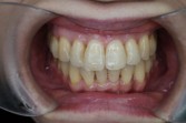
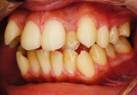
31歳女性 反対咬合 成人矯正の症例紹介(登戸クローバー歯科・矯正歯科)


鈴木 聡(登戸クローバー歯科・矯正歯科)
プロフィールをもっと見る
症例詳細
| 主訴 | 過去に顎の骨を切る外科処置で矯正治療の提案を受けたが、切りたくない |
| 治療内容 | 反対咬合で、ガタガタした歯並びでした。横顔のスマイルラインでは人中が短く直線的になっています。ワイヤー矯正で傾斜のある奥歯を垂直に整え、さらに下の歯並びをリバースカーブワイヤーで奥へと移動させました。上の歯並びは拡げるように矯正治療をして下の歯並びより少し大きなアーチになるようにします。上の歯並びが下の歯並びを超えるようにタイミングを見ながら調整します。反対咬合が治療できたら歯並びを整えていきます。上下のかみ合わせを合わせるように顎間ゴムをお食事以外のお時間で使用していただいて、微調整をしていきます。小臼歯を抜かない非抜歯矯正でアーチ状にきれいに並び、歯列矯正治療ができました。 |
| 治療費 | 903,000円(税込) |
| 治療期間 | 26ヶ月 |
| 治療回数 | 27回 |
| 想定されたリスク | 矯正治療中、一時的に噛みにくい場合があります。ワイヤー調整後の痛みや違和感がでる可能性があります。上下の顎のバランスを調整する顎間ゴムは出来るだけ長い時間のご使用をおすすめしているため、顎間ゴムの使用中は話しにくい場合があります。 |
担当医のコメント

登戸クローバー歯科・矯正歯科
鈴木 聡 歯科医師
登戸クローバー歯科・矯正歯科
49歳女性 上顎前突 成人矯正の症例紹介(登戸クローバー歯科・矯正歯科)


鈴木 聡(登戸クローバー歯科・矯正歯科)
プロフィールをもっと見る
症例詳細
| 主訴 | 前歯の歯並びを治したい |
| 治療内容 | 歯が大きく、前歯がずれてしまって前突気味でした。 奥歯が舌側に倒れているので垂直になるように動かし、かみ合わせを上げることとスペースを作ります。 小臼歯を抜かない非抜歯矯正です。 スペースができたので歯列がきれいなアーチ状になるように矯正治療しました。 |
| 治療費 | 923,000円(税込) |
| 治療期間 | 30ヶ月 |
| 治療回数 | 32回 |
| 想定されたリスク | ブラケット矯正のワイヤー調整後は⻭の移動による違和感や痛みが増す恐れがありました。 また、噛みにくい症状が出る可能性がありました。⻭の移動後に痛みや違和感は軽減します。 |
担当医のコメント

登戸クローバー歯科・矯正歯科
鈴木 聡 歯科医師
歯が大きいので歯肉との部位に黒い三角形の隙間ができています。ブラックトライアングルと呼ばれます。
前歯の両サイドのエナメル質を少し削ってディスキングをして歯がぴったりと並ぶように歯列矯正しました。
登戸クローバー歯科・矯正歯科
8歳女の子 叢生・反対咬合 小児矯正の症例紹介(登戸クローバー歯科・矯正歯科)


鈴木 聡(登戸グリーン歯科・矯正歯科)
プロフィールをもっと見る
症例詳細
| 主訴 | かみ合わせが一部反対になっていて、ガタガタしている。 |
| 治療内容 | 永久歯への生え変わりにあわせてスペースが整うように拡大していきます。 拡大床装置使用25か月後の10歳の時に最後の下の乳歯Eが永久歯5番に生え変わるのを待ちます。12歳で下のEが抜けたので下の拡大床の使用はやめました。上の拡大床のみを使用していただきます。上顎の7番が萌出するのは定期検診で経過観察となり、矯正治療は終了しました。 |
| 治療費 | 404,000円(税込) |
| 治療期間 | 60ヵ月 |
| 治療回数 | 35回 |
| 想定されたリスク | 上下顎の成長を見ながら治療をすすめてゆく(歯の萌出を待つ)ため治療が長期になることがありました。上顎前歯部の移動量が大きいため歯根吸収の恐れがありました。 |
担当医のコメント

登戸クローバー歯科・矯正歯科
鈴木 聡 歯科医師
上下の拡大床矯正装置を使用して歯並びを整えました。治療中、在宅中や就寝時にしっかり装置を使用できたとお話がありました。使用して7ヶ月で前歯のがたつきがなくなりました。
登戸クローバー歯科・矯正歯科
登戸クローバー歯科・矯正歯科
登戸クローバー歯科・矯正歯科
鈴木 聡 歯科医師