目次 -INDEX-
大桑歯科・矯正歯科レビュー【インプラント・矯正紹介編】

インプラント治療や歯列矯正治療に興味があるけれど、どんな方法?注意点は?など、わからないことがあって悩んでいる方もいらっしゃるでしょう。今回は、インプラント治療と歯列矯正治療を行っている大桑歯科・矯正歯科について、Medical DOC 担当者が確認した情報をレビューします!大桑歯科・矯正歯科が気になっている、もっと知りたいという方はぜひご覧ください。
(※このレポートは編集部がクリニックの様子を取材したものであり「治療の内容、効果」に関する体験談ではございません。)
通院しやすい立地



大桑歯科・矯正歯科は、外側環状線の大桑インターからすぐのVドラッグ大桑店2階にあります。大桑インターの出口からも2分程とアクセスしやすい!
商業エリア内にあるため、買い物のついでにも立ち寄りやすいですよ♪
大理石を用いた明るく清潔感のある院内


院内に足を踏み入れると、白と木目を基調とした空間が広がっています。床には大理石を使用しており、清潔感と明るさが感じられる癒しの空間です♪緊張せずにリラックスして過ごせそうです。
受付を済ませたら、カウンセリングへ♪



受付を済ませたら、落ち着いた雰囲気の待合室でまずはひと息♪
スタッフさんに名前を呼ばれてカウンセリングルームへ向かい、症状について相談します。丁寧な対応で、不安や疑問にもじっくり答えてくれるそうです!
カウンセリング後は口腔内スキャナー(iTero)による光学印象

カウンセリングを受けた後は、口腔内スキャナー(iTero)で歯型をデジタル採取してくれるそうです。
従来の方法と異なり嘔吐反射の心配が少ないそうで、快適にスムーズな検査が行われています!
AIとデジタル技術で『お口』を見える化して治療方針の相談!


口腔内スキャナー(iTero)で採取した上下の歯型をもとに、デジタル治療計画のクリンチェックで歯の動きをシミュレーション!視覚的にもわかりやすい説明をしてくるそうなので、納得してから矯正やインプラントの申し込みができますよ♪
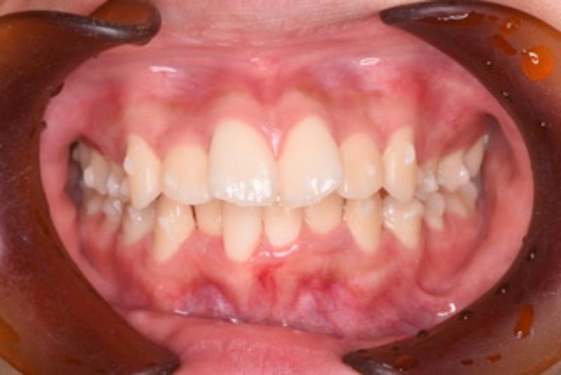
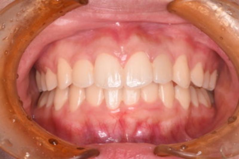
歯列矯正治療の症例をご紹介



【術前】 【術中】 【術後】
前歯のガタつきと口元を引っ込めたい(口ゴボ)のため受診された16歳女性の方は、下顎前歯部のガタつきと、上顎の狭窄及び下顎の後退が予測されました。上顎の前歯をマウスピース矯正で引き込むだけでなく下顎を正常な位置まで戻すことで噛み合わせを再構築し、前歯のガタつきを抜歯する事なく改善できたそうです。
【治療部位】上顎・下顎
【治療期間】36ヶ月間
【治療回数】30回
【リスク】矯正しても横顔(口ゴボ)が改善しない事がある
【治療費用】精密検査:50,000円(税込)
一時矯正:900,000円(税込)
調整:0 円
合計:950,000円(税込)
(※1) 未承認医薬品等であるため医薬品副作用被害救済制度の対象とはならない可能性があります
国内や海外の学会に所属している勉強熱心な院長!


インプラント治療では、ICOI 国際口腔インプラント学会所属の院長による治療・手術が行われています。歯科用CTなどを用いた精密な診査をもとに治療計画が立てられているそうです。抜歯時も周囲の組織に配慮し、丁寧かつ衛生的に処置されています!
手術をした日に仮歯が入る!

大桑歯科・矯正歯科は、抜歯後の処置として、インプラント体の埋入から仮歯の装着、上部構造の完成までを丁寧に行われています。
歯肉を切開せずに進める低侵襲な治療や、抜歯と同時にインプラント体を埋め込む”抜歯即時埋入”にも対応されており、治療期間や手術回数の軽減にもつながるそうです。
さらに、骨の厚みが足りない方にはショートインプラントによる方法も提案するなど、身体への負担軽減に尽力されています。
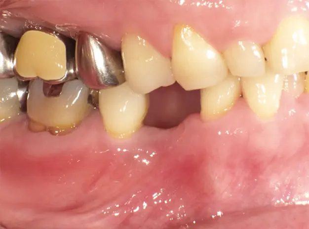
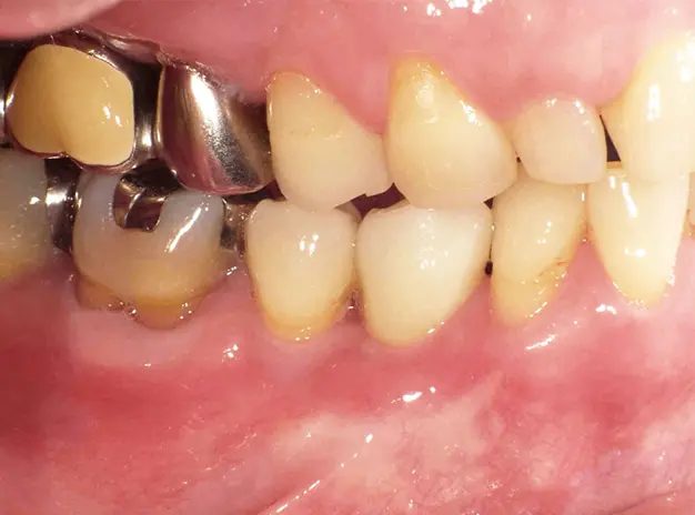
インプラント治療の症例をご紹介



【術前】 【インプラントの光機能化】 【術後】
インプラント治療の症例を紹介します。
下顎の小臼歯が欠損した50歳女性の方は、「自分の歯を極力削らない」「おいしく食事をしたい」「入れ歯の煩わしさから解放されたい」というご希望からインプラントを選択されました。見た目や機能の回復だけでなく、今後の健康維持のために原因への対処や定期的なメンテナンスに取り組まれています。
【治療部位】下顎
【治療期間】4ヶ月間
【治療回数】約10回
【リスク】インプラントが感染することがある
【治療費用】精密検査:16,000円(税込)
一次手術:227,000円(税込)
※手術管理費、仮歯代含む
上部構造:195,000円(税込)
※アバットメント代含む
合計:438,000円(税込)
健康なお口を維持するために治療後のメンテナンスも充実

大桑歯科・矯正歯科は、治療後のアフターケアにも注力されています。特にインプラントは、インプラント周囲炎を予防するためにも、定期的なメンテナンスが欠かせません。歯磨き指導やクリーニングを通じて、口腔内の清潔を維持し、治療効果を長く保てるようサポートが行われています。健康なお口を維持するためにも、治療後の継続的なケアが大切です♪
大桑歯科・矯正歯科のレビューまとめ【インプラント・矯正紹介編】
いかがでしたでしょうか?大桑歯科・矯正歯科は、わかりやすい説明を心がけられている、丁寧な診療が印象的なクリニックでした。治療中の配慮が徹底されている点も心強く、生涯のかかりつけクリニックとして頼りになる存在だと思います!歯列矯正治療やインプラント治療に関する豊富な知識と経験をお持ちなので、歯列矯正治療やインプラント治療に関するお悩みをお持ちの方にもおすすめのクリニックです。
(※このレポートは編集部がクリニックの様子を取材したものであり「治療の内容、効果」に関する体験談ではございません。)