
担当歯科医師:
中村圭介(圭介歯科)
プロフィールをもっと見る
ワイヤー矯正の症例紹介①(圭介歯科)


中村圭介(圭介歯科)
プロフィールをもっと見る
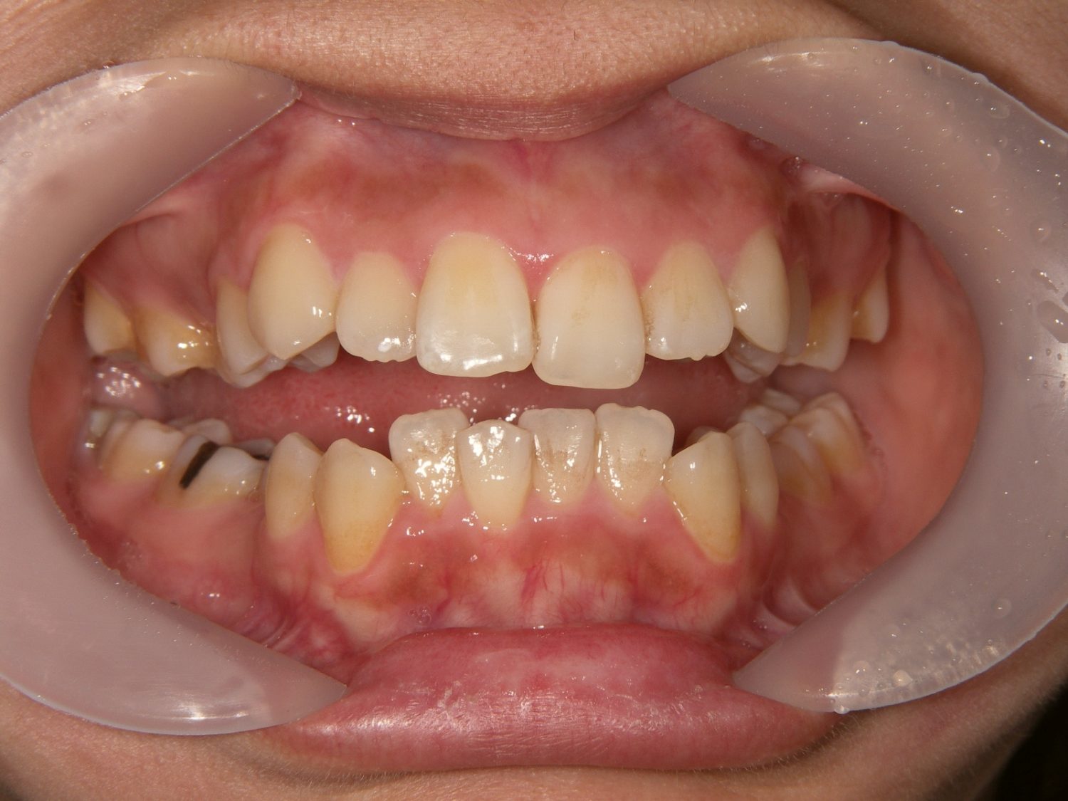
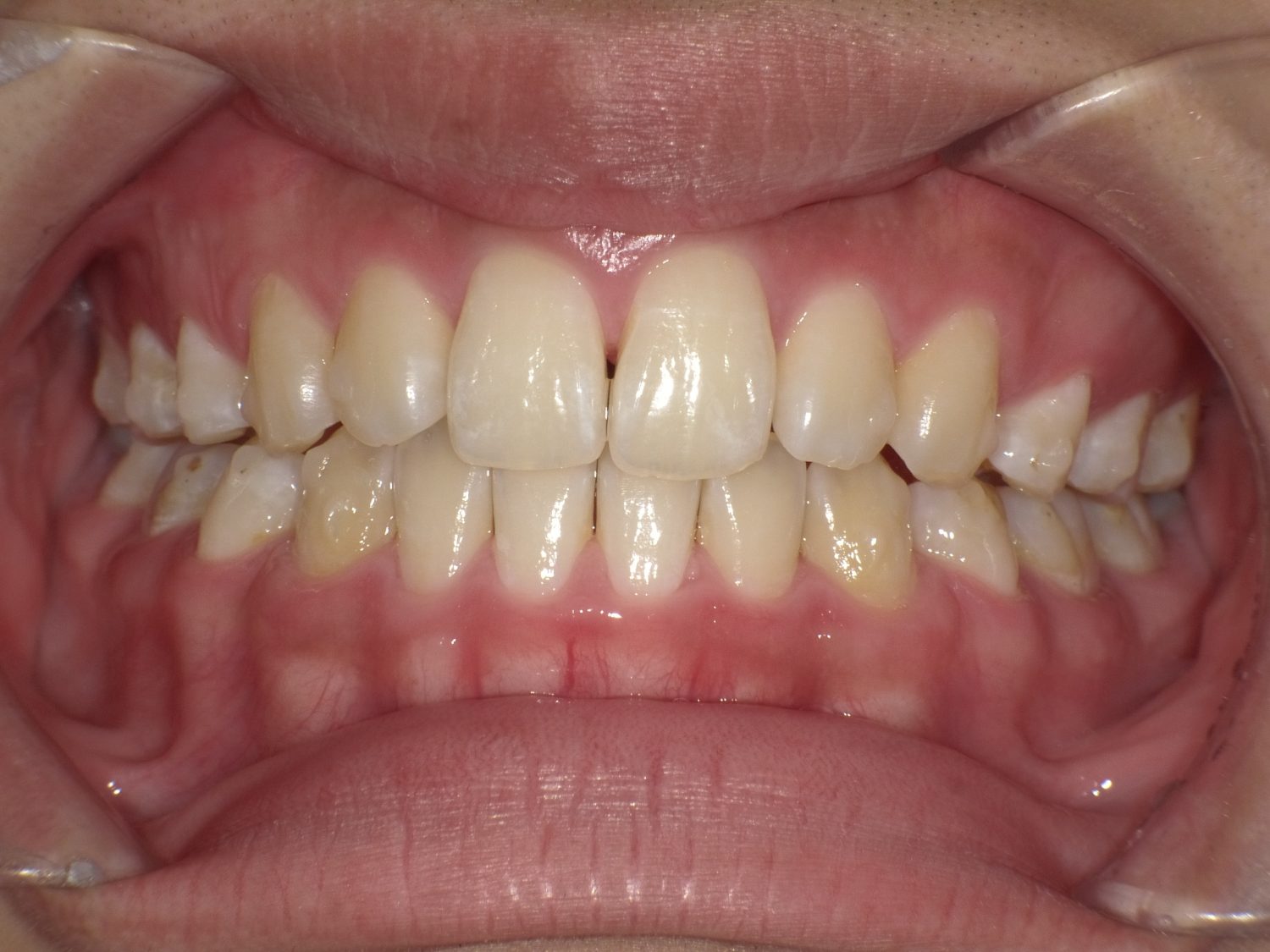
症例詳細
| 主訴 | 歯並びをきれいにしたい |
| 治療内容 | マルチブラケット法(ワイヤー矯正)による治療を行いました。 |
| 治療費 | 685,800 円(税込) |
| 治療期間 | 18ヶ月 |
| 治療回数 | 18回 |
| 想定されたリスク | 固定器具のため、清掃が難しく、様々な器具を使う必要があり、 むし歯、歯周病のリスクが高くなることが想定されました。 |
圭介歯科
ワイヤー矯正の症例紹介②(圭介歯科)


中村圭介(圭介歯科)
プロフィールをもっと見る
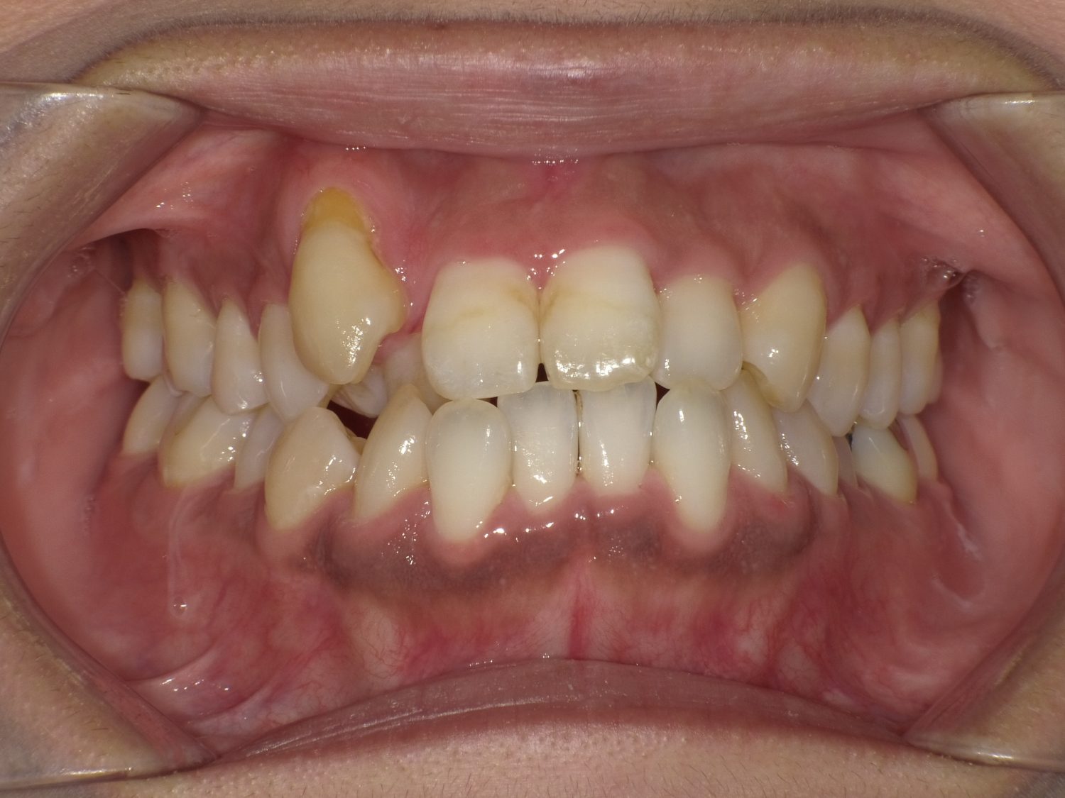
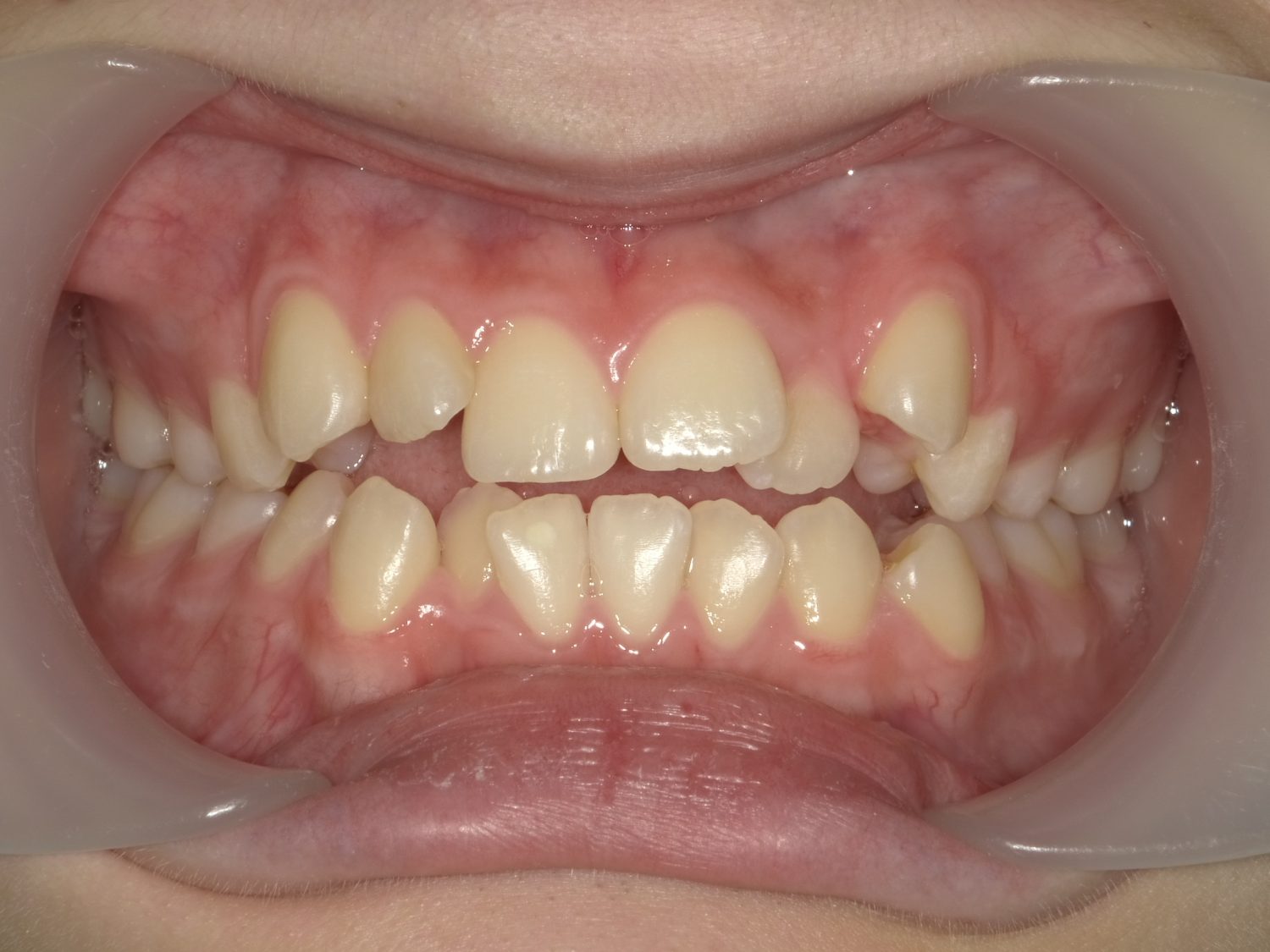
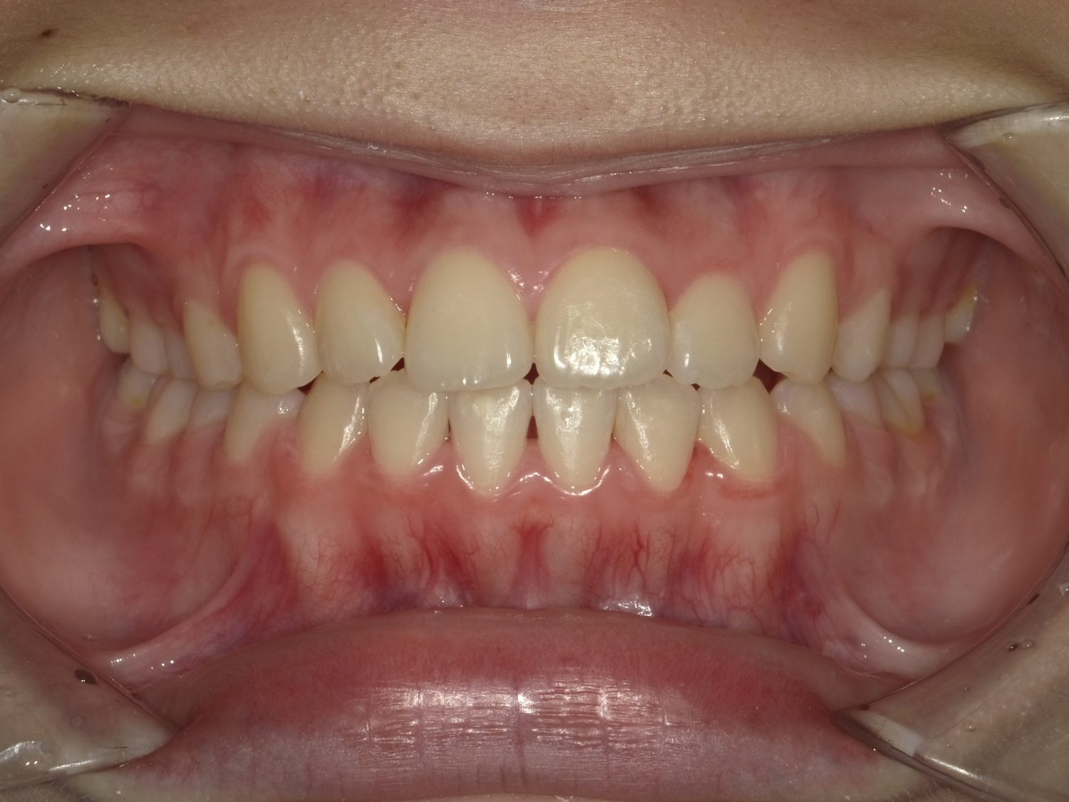
症例詳細
| 主訴 | 歯並びをきれいにしたい |
| 治療内容 | 抜歯を行い、マルチブラケット法(ワイヤー矯正)+アンカースクリューによる治療を行いました |
| 治療費 | 661,500 円(税込) |
| 治療期間 | 24ヶ月 |
| 治療回数 | 24回 |
| 想定されたリスク | 固定器具のため、清掃が難しく、様々な器具を使う必要があり、 むし歯、歯周病のリスクが高くなることが想定されました。 |
担当医のコメント

圭介歯科
中村圭介 歯科医師
正中線のずれがやや残ったものの、前歯部のオーバーバイトが改善、叢生の解消も行われ、良好な咬合が得られています。
圭介歯科
ワイヤー矯正の症例紹介③(圭介歯科)


中村圭介(圭介歯科)
プロフィールをもっと見る
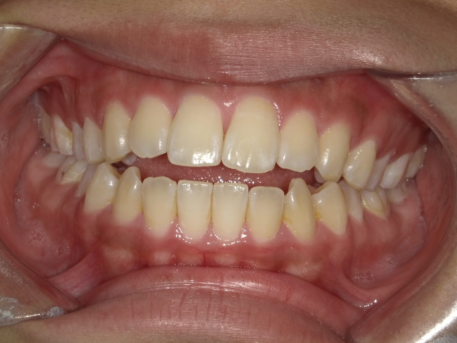
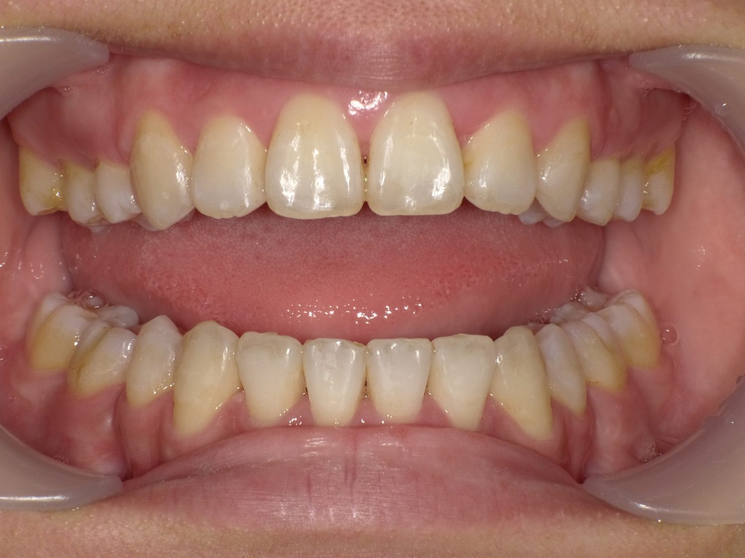
症例詳細
| 主訴 | 歯並びをきれいにしたい |
| 治療内容 | 抜歯を行い、マルチブラケット法(ワイヤー矯正)による治療を行いました。 |
| 治療費 | 709,560 円(税込) |
| 治療期間 | 28ヶ月 |
| 治療回数 | 28回 |
| 想定されたリスク | 固定器具のため、清掃が難しく、様々な器具を使う必要があり、 むし歯、歯周病のリスクが高くなることが想定されました。下顎前歯部のブラックトライアングルが出る可能性と右上犬歯は歯根露出が憎悪する可能性がありました。 |
担当医のコメント

圭介歯科
中村圭介 歯科医師
ブラックトライアングルが予想されたが、歯根の露出は顕著ではなく、フラットな咬合平面が得られました。
圭介歯科
マウスピース型矯正の症例紹介(圭介歯科)


中村圭介(圭介歯科)
プロフィールをもっと見る
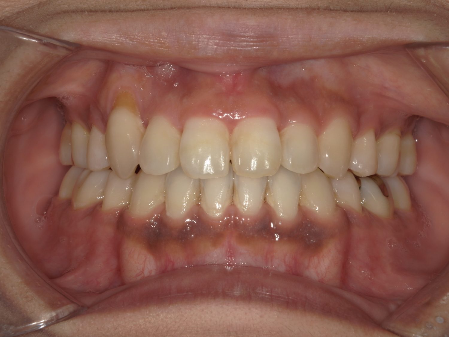
症例詳細
| 主訴 | 歯並びをきれいにしたい |
| 治療内容 | 抜歯を行い、インビザライン(※1)(マウスピース矯正)による治療を行いました。 (※1)未承認医薬品等であるため医薬品副作用被害救済制度の対象とはならない可能性があります。 |
| 治療費 | 845,100 円(税込) |
| 治療期間 | 30ヶ月 |
| 治療回数 | 15回 |
| 想定されたリスク | 可撤式器具のため、本人の使用頻度が悪いと治療結果がうまくいかないことが想定されます。 |
担当医のコメント

圭介歯科
中村圭介 歯科医師
開咬が解消され側方歯の緊密な咬合が得られています。アライナーの使用状況がよく、良好な結果になりました。
圭介歯科
圭介歯科
圭介歯科
中村圭介 歯科医師