
担当歯科医師:
河端 憲彦(河端歯科 Nori-Dental Office)
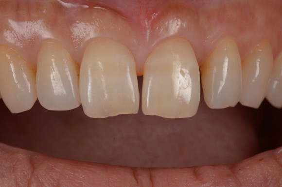
正中離開の症例紹介(河端歯科 Nori-Dental Office)


河端 憲彦(河端歯科 Nori-Dental Office)
症例詳細
| 主訴 | 歯の隙間が気になる |
| 治療内容 | まず最初に治療後のイメージがつきやすいように、型取りを行って模型を使ったシミュレーションを提示。具体的な形や、希望をしっかりと相談した後、1本ずつ2回にわたってダイレクトボンディングを行いました。 |
| 治療費 | 88,000 円(税込) |
| 治療期間 | 2週間 |
| 治療回数 | 4回[計画1回、充填2回・研磨1回] |
| 想定されたリスク | 治療の都合で歯肉を強い力で圧迫するため、歯肉が一定期間凹んでしまう可能性がありました。 歯の色によってはマッチしない可能性がありました。 |
河端歯科 Nori-Dental Office
🕑 午前: 月火水金土 9:00~13:00
午後: 月火水金土 14:30~18:30
※現在平日17:30~、土曜日の初診はお受けしておりません。
休診日:木(祝日のある週のみ診療)・日・祝
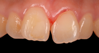
空隙歯列の症例紹介(河端歯科 Nori-Dental Office)


河端 憲彦(河端歯科 Nori-Dental Office)
症例詳細
| 主訴 | 隙間が気になる |
| 治療内容 | まず最初に治療後のイメージがつきやすいように、型取りを行って模型を使ったシミュレーションを提示。具体的な形や、希望をしっかりと相談した後、1本ずつ3回にわたってダイレクトボンディングを行いました。 |
| 治療費 | 99,000 円(税込) |
| 治療期間 | 1ヶ月 |
| 治療回数 | 5回[計画1回、充填2回・研磨1回] |
| 想定されたリスク | 治療の都合で歯肉を強い力で圧迫するため、歯肉が一定期間凹んでしまう可能性がありました。 歯の色によってはマッチしない可能性がありました。 |

河端歯科 Nori-Dental Office
河端 憲彦 歯科医師
河端歯科 Nori-Dental Office
🕑 午前: 月火水金土 9:00~13:00
午後: 月火水金土 14:30~18:30
※現在平日17:30~、土曜日の初診はお受けしておりません。
休診日:木(祝日のある週のみ診療)・日・祝
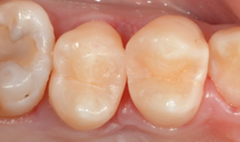
小臼歯のダイレクトボンディングの症例紹介(河端歯科 Nori-Dental Office)


河端 憲彦(河端歯科 Nori-Dental Office)
症例詳細
| 主訴 | 銀歯を変えたい |
| 治療内容 | マイクロスコープを用いて銀歯を外し、中にあるむし歯を除去後、ダイレクトボンディングを約60分かけて行いました。 上の奥歯2本を2回に分けて行いました。 |
| 治療費 | 88,000 円(税込) |
| 治療期間 | 1ヶ月 |
| 治療回数 | 3回[充填2回・研磨1回] |
| 想定されたリスク | 術後は場合によってしみる感覚が残る可能性がありました。 治療の機械の都合で数日噛んだら痛みを感じる恐れがありました。 |

河端歯科 Nori-Dental Office
河端 憲彦 歯科医師
河端歯科 Nori-Dental Office
🕑 午前: 月火水金土 9:00~13:00
午後: 月火水金土 14:30~18:30
※現在平日17:30~、土曜日の初診はお受けしておりません。
休診日:木(祝日のある週のみ診療)・日・祝
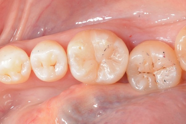
大臼歯のダイレクトボンディングの症例紹介(河端歯科 Nori-Dental Office)


河端 憲彦(河端歯科 Nori-Dental Office)
症例詳細
| 主訴 | 歯がかけた |
| 治療内容 | マイクロスコープを用いて銀歯を外し、中にあるむし歯を除去後、ダイレクトボンディングを約90分かけて行いました。 |
| 治療費 | 55,000 円(税込) |
| 治療期間 | 1ヶ月 |
| 治療回数 | 2回[充填1回・研磨1回] |
| 想定されたリスク | 術後は場合によってしみる感覚が残る可能性がありました 治療の機械の都合で数日噛んだら痛みを感じる恐れがありました。 |

河端歯科 Nori-Dental Office
河端 憲彦 歯科医師
河端歯科 Nori-Dental Office
🕑 午前: 月火水金土 9:00~13:00
午後: 月火水金土 14:30~18:30
※現在平日17:30~、土曜日の初診はお受けしておりません。
休診日:木(祝日のある週のみ診療)・日・祝
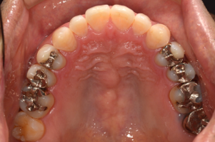
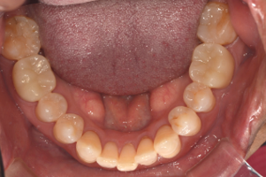
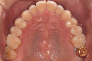
ダイレクトボンディングとセラミックで治療した全顎治療の症例紹介(河端歯科 Nori-Dental Office)


河端 憲彦(河端歯科 Nori-Dental Office)
症例詳細
| 主訴 | 金属をなくしたい |
| 治療内容 | 金属を外し、ダイレクトボンディングを行う。被せ物はジルコニアやゴールドに置き換える。それを1本ずつ行っていきました。 |
| 治療費 | 880,000(税込) |
| 治療期間 | 12ヶ月 |
| 治療回数 | 25回 |
| 想定されたリスク | 噛む力が強い症例にはダイレクトボンディングは割れてしまう恐れがありました。術後にはナイトガード(マウスピース)を併用してもらっています。 |

河端歯科 Nori-Dental Office
河端 憲彦 歯科医師
河端歯科 Nori-Dental Office
🕑 午前: 月火水金土 9:00~13:00
午後: 月火水金土 14:30~18:30
※現在平日17:30~、土曜日の初診はお受けしておりません。
休診日:木(祝日のある週のみ診療)・日・祝
ダイレクトボンディングと被せ物のコンビネーション治療の症例紹介①(河端歯科 Nori-Dental Office)


河端 憲彦(河端歯科 Nori-Dental Office)
症例詳細
| 主訴 | 前歯をきれいにしたい |
| 治療内容 | 右上のダイレクトボンディングと左上のジルコニアセラミックを用いて治療を行いました。 |
| 治療費 | 198,000 円(税込) |
| 治療期間 | 3ヶ月 |
| 治療回数 | 6回 |
| 想定されたリスク | ダイレクトボンディングは、歯の色を拾って調和するため、歯の色が暗い場合は暗い印象を与える可能性がありました。 |

河端歯科 Nori-Dental Office
河端 憲彦 歯科医師
河端歯科 Nori-Dental Office
🕑 午前: 月火水金土 9:00~13:00
午後: 月火水金土 14:30~18:30
※現在平日17:30~、土曜日の初診はお受けしておりません。
休診日:木(祝日のある週のみ診療)・日・祝
ダイレクトボンディングと被せ物のコンビネーション治療の症例紹介②(河端歯科 Nori-Dental Office)


河端 憲彦(河端歯科 Nori-Dental Office)
症例詳細
| 主訴 | 前歯をきれいにしたい |
| 治療内容 | 右上のダイレクトボンディングと左上のジルコニアセラミックを用いて治療を行いました。合わせてホワイトニングも行いました。 |
| 治療費 | 198,000 円(税込) |
| 治療期間 | 3ヶ月 |
| 治療回数 | 6回 |
| 想定されたリスク | ダイレクトボンディングは、歯の色を拾って調和するため歯の色が暗い場合は暗い印象を与える可能性がありました。 ※この方はそのリスクをさけるためホワイトニングを選択していただきました。 |

河端歯科 Nori-Dental Office
河端 憲彦 歯科医師
河端歯科 Nori-Dental Office
🕑 午前: 月火水金土 9:00~13:00
午後: 月火水金土 14:30~18:30
※現在平日17:30~、土曜日の初診はお受けしておりません。
休診日:木(祝日のある週のみ診療)・日・祝
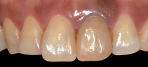
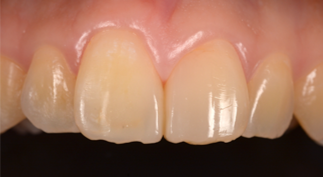
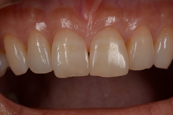
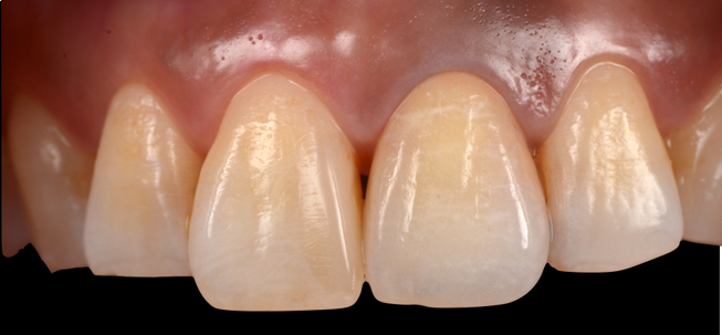
前歯部の審美修復の症例紹介(河端歯科 Nori-Dental Office)


河端 憲彦(河端歯科 Nori-Dental Office)
症例詳細
| 主訴 | 前歯の形が気になる |
| 治療内容 | まず最初に治療後のイメージがつきやすいように、型取りを行って模型を使ったシミュレーションを提示。具体的な形や、希望をしっかりと相談した後、1本ずつ2回にわたってダイレクトボンディングを行いました。 |
| 治療費 | 66,000 円(税込) |
| 治療期間 | 1ヶ月 |
| 治療回数 | 4回[計画1回、充填2回・研磨1回] |
| 想定されたリスク | 治療の都合で歯肉を強い力で圧迫するため、歯肉が一定期間凹んでしまう可能性がありました。 歯の色によってはマッチしない可能性がありました。 |

河端歯科 Nori-Dental Office
河端 憲彦 歯科医師
河端歯科 Nori-Dental Office
🕑 午前: 月火水金土 9:00~13:00
午後: 月火水金土 14:30~18:30
※現在平日17:30~、土曜日の初診はお受けしておりません。
休診日:木(祝日のある週のみ診療)・日・祝
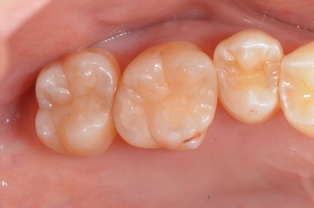
大臼歯のダイレクトボンディングの症例紹介②(河端歯科 Nori-Dental Office)


河端 憲彦(河端歯科 Nori-Dental Office)
症例詳細
| 主訴 | 銀歯を白くしたい |
| 治療内容 | マイクロスコープを用いて銀歯を外し、中にあるむし歯を除去後、ダイレクトボンディングを約75分かけて行いました。 上の奥歯2本を2回に分けて行いました。 |
| 治療費 | 110,000 円(税込) |
| 治療期間 | 1ヶ月 |
| 治療回数 | 3回(充填2回、研磨1回) |
| 想定されたリスク | 術後は場合によってしみる感覚が残る可能性がありました。 治療の機械の都合で数日噛んだら痛みを感じる恐れがありました。 |

河端歯科 Nori-Dental Office
河端 憲彦 歯科医師
河端歯科 Nori-Dental Office
🕑 午前: 月火水金土 9:00~13:00
午後: 月火水金土 14:30~18:30
※現在平日17:30~、土曜日の初診はお受けしておりません。
休診日:木(祝日のある週のみ診療)・日・祝
河端歯科 Nori-Dental Office
🕑 午前: 月火水金土 9:00~13:00
午後: 月火水金土 14:30~18:30
※現在平日17:30~、土曜日の初診はお受けしておりません。
休診日:木(祝日のある週のみ診療)・日・祝
河端歯科 Nori-Dental Office
河端 憲彦 歯科医師