目次 -INDEX-
菜園矯正歯科クリニックレビュー【治療紹介編】

「矯正歯科クリニックに行きたいけれど、どこがよいかな?」と迷われている方もいるのではないでしょうか。この記事では、アクセスや院内の雰囲気、先生やスタッフさんの対応など、Medical DOC担当者が集めた情報をレビューし、わかりやすく伝えていきたいと思います!菜園矯正歯科クリニックが気になっている、詳しく知りたいという方はぜひご覧ください。
(※このレポートは編集部がクリニックの様子を取材したものであり「治療の内容、効果」に関する体験談ではございません。)
電車でも車でも通いやすいアクセス



菜園矯正歯科クリニックは、盛岡駅から徒歩15分の立地にあります。5台分の駐車スペースがあるので、車での通院も便利♪オレンジ色の看板とスタイリッシュな外観が目を引きます!
院内に入ったらまずは受付へ!



入口の自動ドアが開くとすぐ正面に受付があり、スタッフさんが笑顔で迎えてくれます!スリッパに履き替える必要はなく、土足のまま入ることができます。入口にはモニター型の非接触体温計が設置されていて、サッと検温と手指の消毒を済ませたら、受付スタッフさんのもとへ向かいます♪
リラックスできるおしゃれな院内

菜園矯正歯科クリニックの待合室は、木の温もりを感じる落ち着いた空間♪1人掛けソファが6脚、2人掛けが2脚配置されています。テレビが2台設置されているほか、雑誌も充実しているので、治療前のひとときやお子さんの診療を待つ間も自然とリラックスできる雰囲気です。

まずはカウンセリングで気軽に相談♪


菜園矯正歯科クリニックは、初診時に無料カウンセリングをしているので、まずは話を聞いてみたいという方にもぴったりです。実際にお口のなかを見てもらいながら、必要に応じて簡単な検査をして、どのような治療になるかを過去の症例も交えてわかりやすく説明してくれます。レントゲンなど本格的な検査は希望する場合だけなので、気軽に相談したい方にもハードルが低めですね。
治療を無理にすすめられることもなく、自分にとって本当に必要な治療かどうかをじっくり考えられるのがうれしいポイント!
精密検査を行う設備も充実



診療スペースは半個室になっていて、周りの視線が気にならないつくりです。また、感染対策機能を備えた先進的な診療チェアを4台導入されています。
検査は、デジタルレントゲンで被ばく量を抑えつつ、詳細な情報を収集可能だそうです。マウスピース型矯正では口腔内スキャナーを活用し、スムーズかつ精密なデータを取得されています!
時間をかけて治療方針を説明!

「歯列矯正って、いつ始めるのがベストなんだろう?」そんな疑問に対して、菜園矯正歯科クリニックは“今すぐ治療”を前提にせず、一人ひとりの生活やタイミングを大切にした治療方針を取っているそうです。
例えば、部活で忙しい時期や、受験を控えているタイミングなどは、生活に余裕ができてからの方がスムーズに進められるケースもありますよね。
初診では、しっかりとカウンセリングと検査を行い、患者さん側が納得できるように、治療のよい面だけでなくリスクや不便さも含めて丁寧に説明されています。そのうえで、「歯列矯正をしたい」という気持ちが本人に芽生えてはじめて、治療をスタートするという流れを大切にされているそうです♪
矯正装置を装着したら歯磨き方法もばっちりサポート

準備が整ったらいよいよ装置の装着へ!装着時間は装置の種類や位置によって異なりますが、目安はおよそ1時間だそうです。装着後には、歯磨き方法をスタッフさんが丁寧に指導してくれるそうですよ。しっかりケアして、歯列矯正ライフを楽しくスタートしましょう♪
定期フォローでキレイな歯並びをキープ!


装置を装着した後は月1回ほどのペースで通院し、装置の調整を行います。治療の進み具合によって通院間隔は異なりますが、2年前後に理想の歯並びになることを目指すそうです。
通院のたびに歯のクリーニングがあり、2ヶ月に1回はエアフローを使ったPMTCで、着色や細かな汚れを除去してくれます。
矯正装置が外れた後は、後戻りを防ぐための保定期間がスタート。透明なリテーナーで目立ちにくく、通院は2〜3ヶ月に1回と無理なく続けられそうですね♪
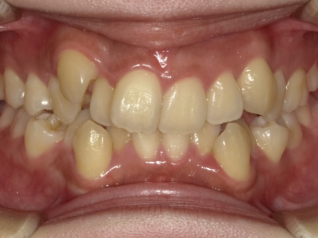
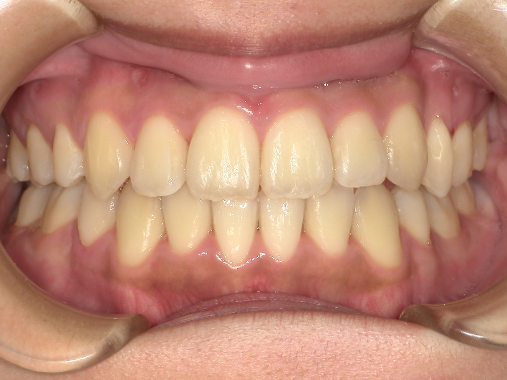
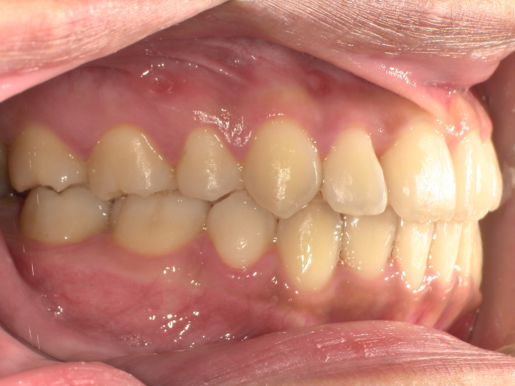
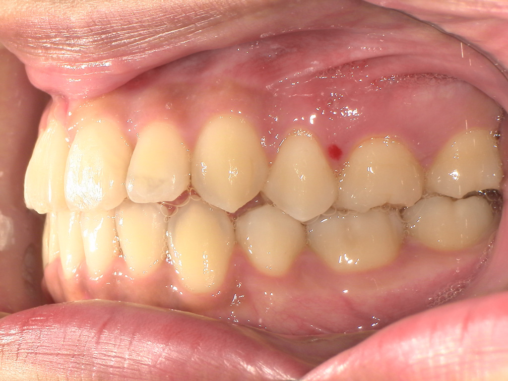
ワイヤー矯正の症例をご紹介!
Before



After



主訴
歯並びがガタガタ
治療内容
小臼歯4本抜歯 マルチブラケット装置(表側)アンカースクリューを行いました。
治療期間
2年7ヶ月
治療回数
37回
治療費(税込み)
検査¥33,000、矯正基本料¥715,000(令和4年時)、装置調整料合計¥177,770
総合計¥925,770
リスク
叢生(デコボコ)が強く、歯の正中が上下とも左にズレていたので、思うように歯が動かない可能性があった。正中を顔に合わせ、出っ歯にならないよう注意した。
2人の歯科医師が治療を提案!



菜園矯正歯科クリニックは、2人の歯科医師による“ミックスダブルス体制”で治療を進められています。1人の先生だけでなく、タイプの異なる2人の視点から診てもらえるのは心強いですね!
院長の古町先生と齊藤先生という男性と女性の矯正治療の歯科医師によるバランスが絶妙とのことで、治療方針やタイミングも患者さんごとに柔軟に対応してくれるそうです。
「優しい雰囲気の先生に診てもらいたい」「しっかりリードしてほしい」など、患者さんの気持ちにも寄り添えるのが菜園矯正歯科クリニックの魅力のひとつ。さらに、複数の視点で症例をチェックすることで、見落としを防止しているそうです。
患者さんのライフスタイルに寄り添う治療


菜園矯正歯科クリニックはその場しのぎではなく、将来を見据えた矯正治療を大切にされています。むし歯や詰め物のない”カリエスフリー”を目指し、歯並びの改善もその一歩と考えています。
院長の古町先生は、ご自身も矯正治療を2度経験され、子ども時代に治療を途中でやめてしまった反省と、大人になってからの本気の治療経験が、患者さんへの優しさにあらわれています。ご自身の子どもたちの歯列矯正もサポートしており、保護者の方の不安にも寄り添ってくれますよ。
生活スタイルは人それぞれだからこそ、”無理なく、ちゃんと続けられる治療”を一緒に考えられているそうです。未来の健康のために、一歩踏み出してみませんか?
WebやLINEで予約OK!

菜園矯正歯科クリニックは、初診の方も通院中の方も、Webから手軽に予約が行えます!
さらに、LINE公式アカウントを使えば、診療日のチェックや予約の管理もスムーズにできます。急なトラブルがあったときも、LINEから連絡が取れるので安心感がありますね。
「電話するのはちょっと面倒……」「時間を気にせず予約したい」という方にもおすすめです。「気になってるけど迷ってる……」そんな方は、まずはLINEやWebから気軽に相談してみてはいかがでしょうか♪
菜園矯正歯科クリニックのレビューまとめ【治療紹介編】
いかがでしたでしょうか?菜園矯正歯科クリニックは、笑顔あふれるスタッフさんが温かく迎えてくれるのが印象的な歯医者さんでした。接遇面だけでなく、精密な検査を実施し、患者さんのタイミングに合わせた治療を提案されている点も心強く、頼りになる存在だと思います!アクセスもしやすく、気軽に受診できるクリニックといえるのではないでしょうか。
(※このレポートは編集部がクリニックの様子を取材したものであり「治療の内容、効果」に関する体験談ではございません。)