
担当歯科医師:
上田 秀朗(うえだ歯科)
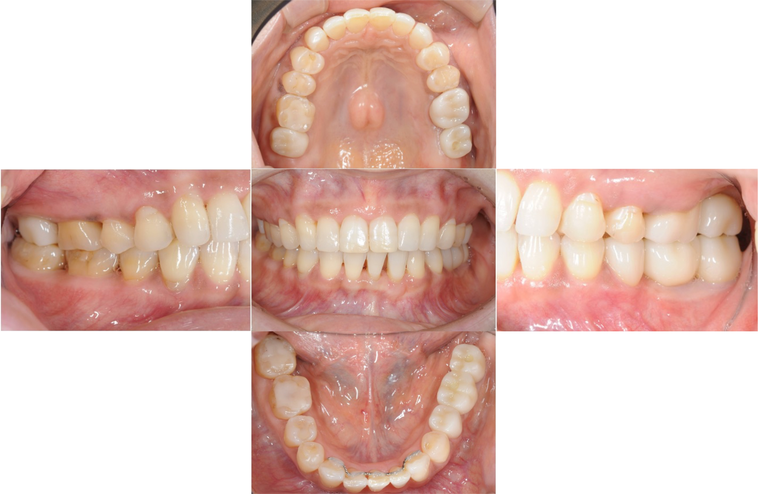
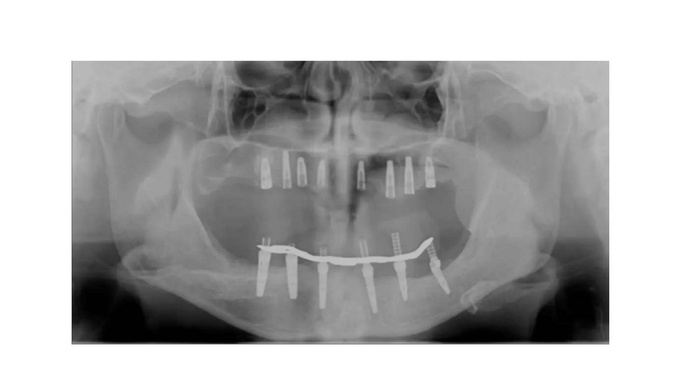
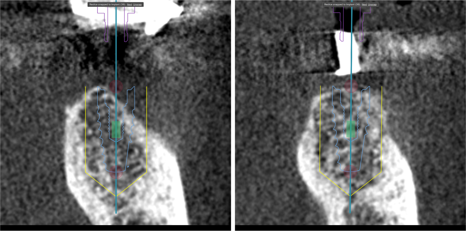
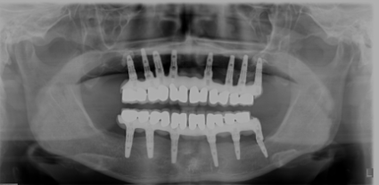
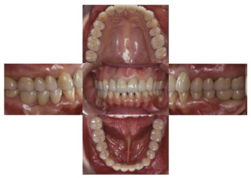
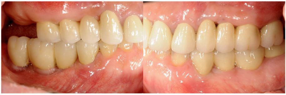
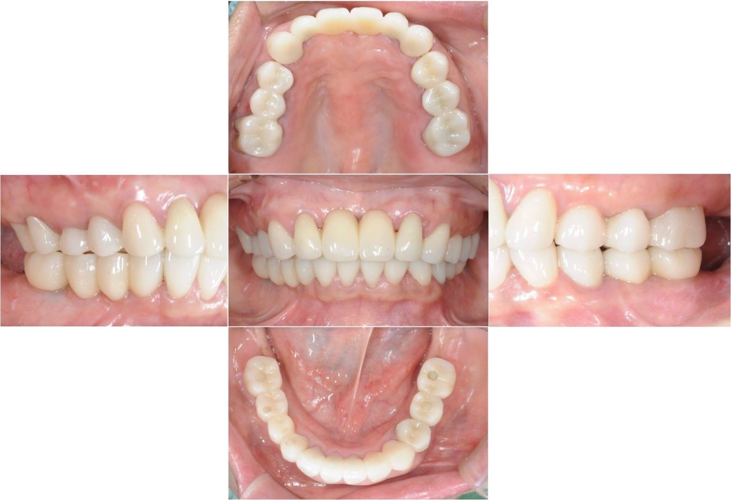
多数歯欠損のインプラント治療の症例(うえだ歯科)


上田大介(うえだ歯科)
症例詳細
| 主訴 | 歯がグラグラで噛むことができない。インプラントをして欲しい。 |
| 治療内容 | 歯周病で骨の吸収が重度で保存不能なため抜歯、仮の入れ歯を作り、6ヶ月の抜歯窩の治療の後に、インプラントのCTによる診査診断を行い、下顎に6本インプラント埋入と同時に仮歯を入れる。その後、上顎は8本のインプラント埋入と同時に仮歯を入れる。左右上6はソケットリフトによる上顎洞拳上術を行う。その後免荷期間6ヶ月待ってセラミックを用いた上部構造作製、装着しメンテナンスに移行する。 |
| 治療費 | 9,000,000円(税込) |
| 治療期間 | 2年3ヶ月 |
| 治療回数 | 90回 |
| 想定されたリスク | 重度の歯周病により無歯顎になったため、プラークコントロール不良による、術後のインプラント周囲炎が懸念される。歯冠の部分はセラミックなため欠ける可能性がある。 |
うえだ歯科医院
🕑 月水木金 9:30~13:00/14:30~19:00
火 10:00~15:00
土 9:30~13:00/14:30~18:00
休診日:日・祝日
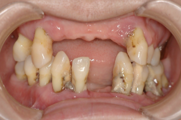
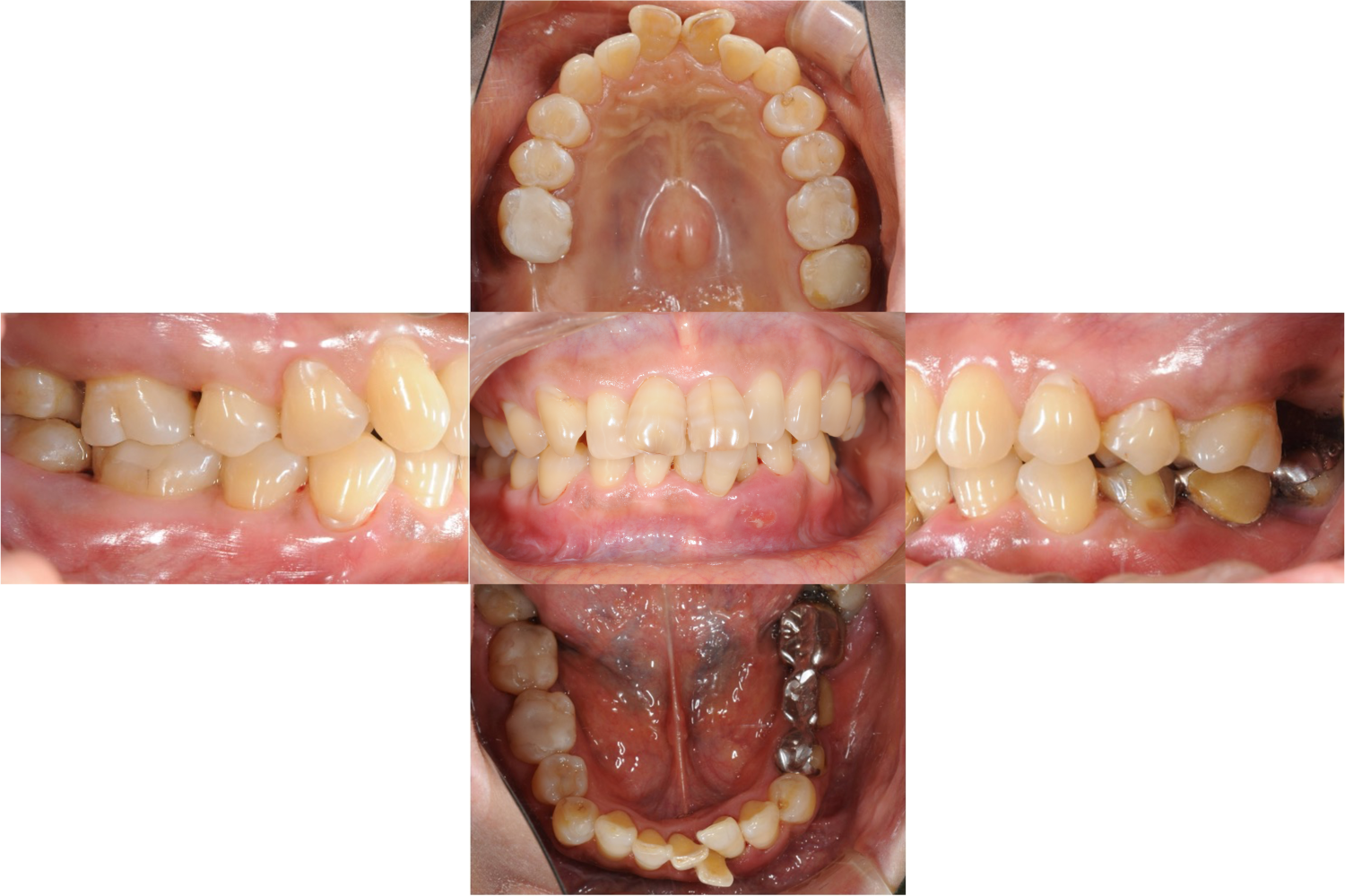
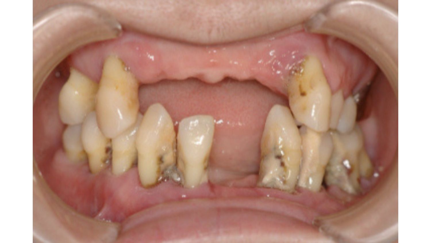
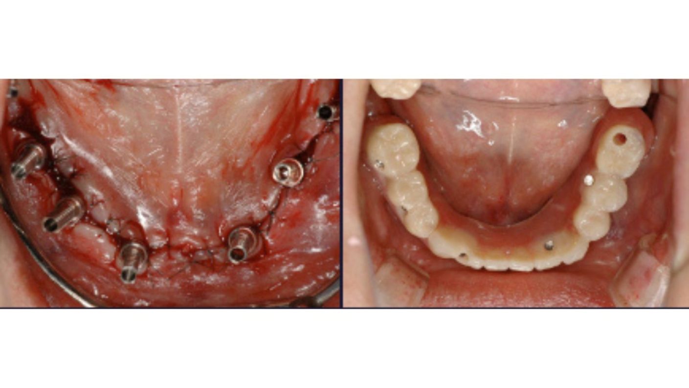
少数歯欠損のインプラント治療の症例(うえだ歯科)

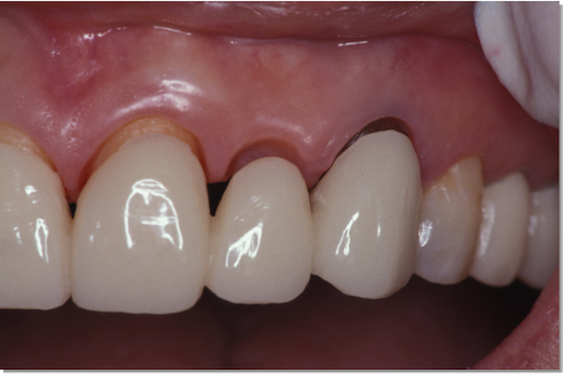
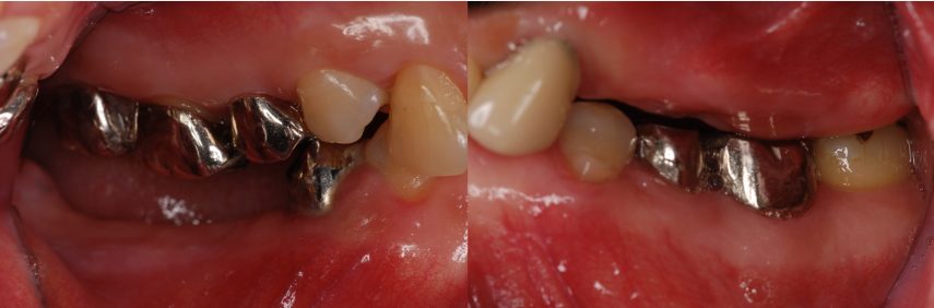
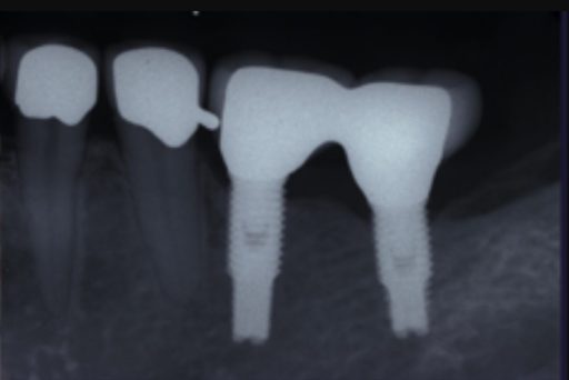
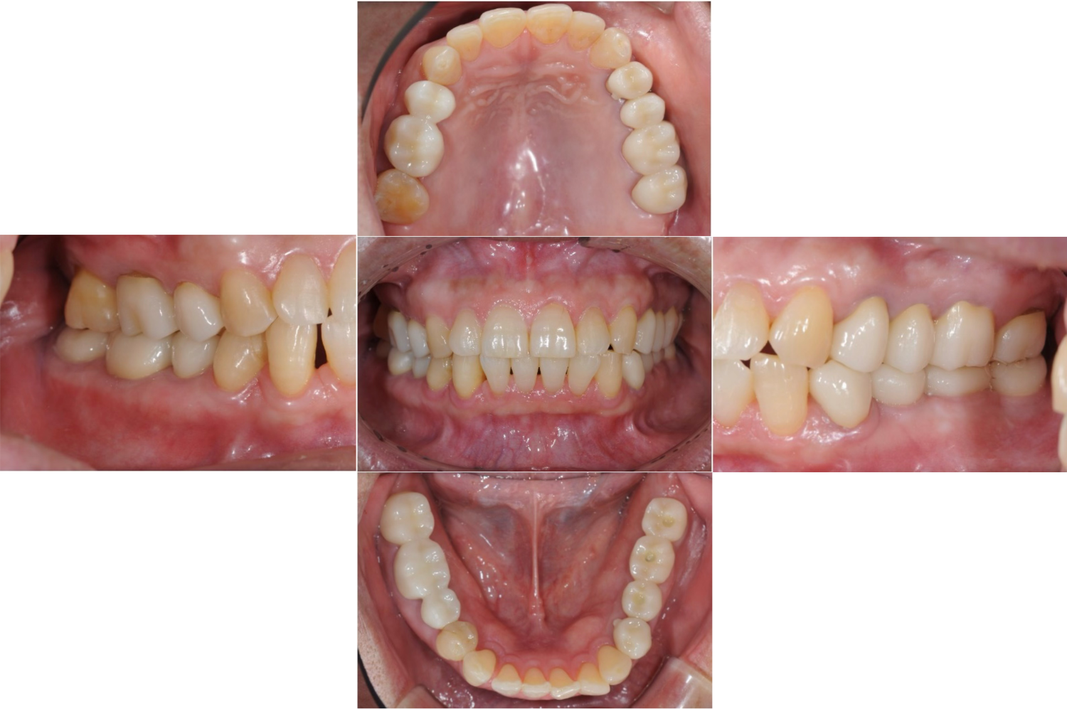
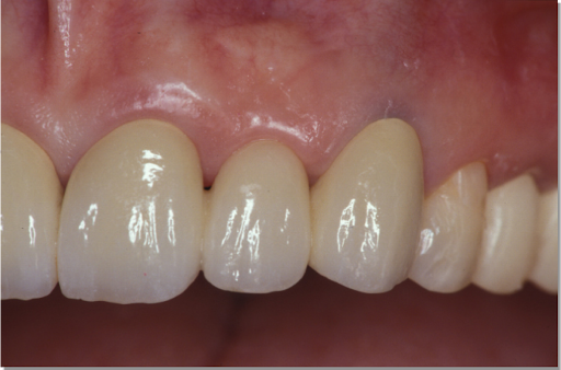
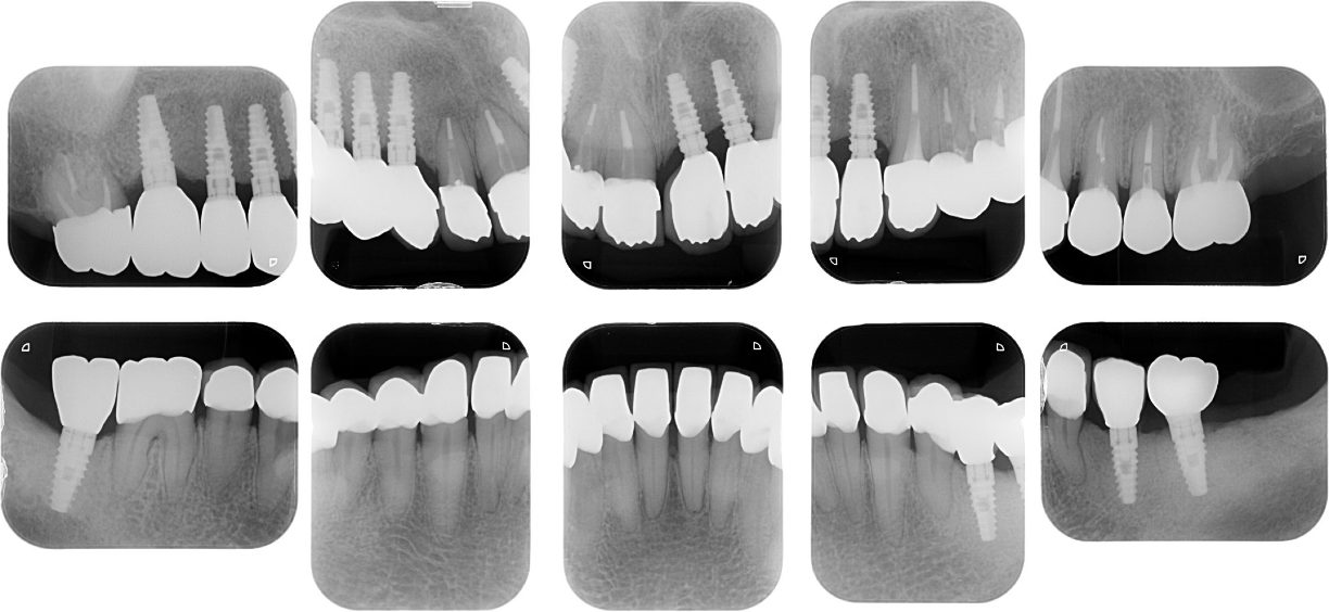
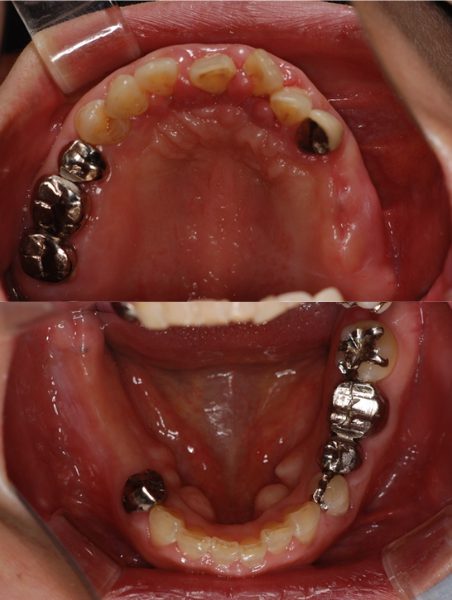
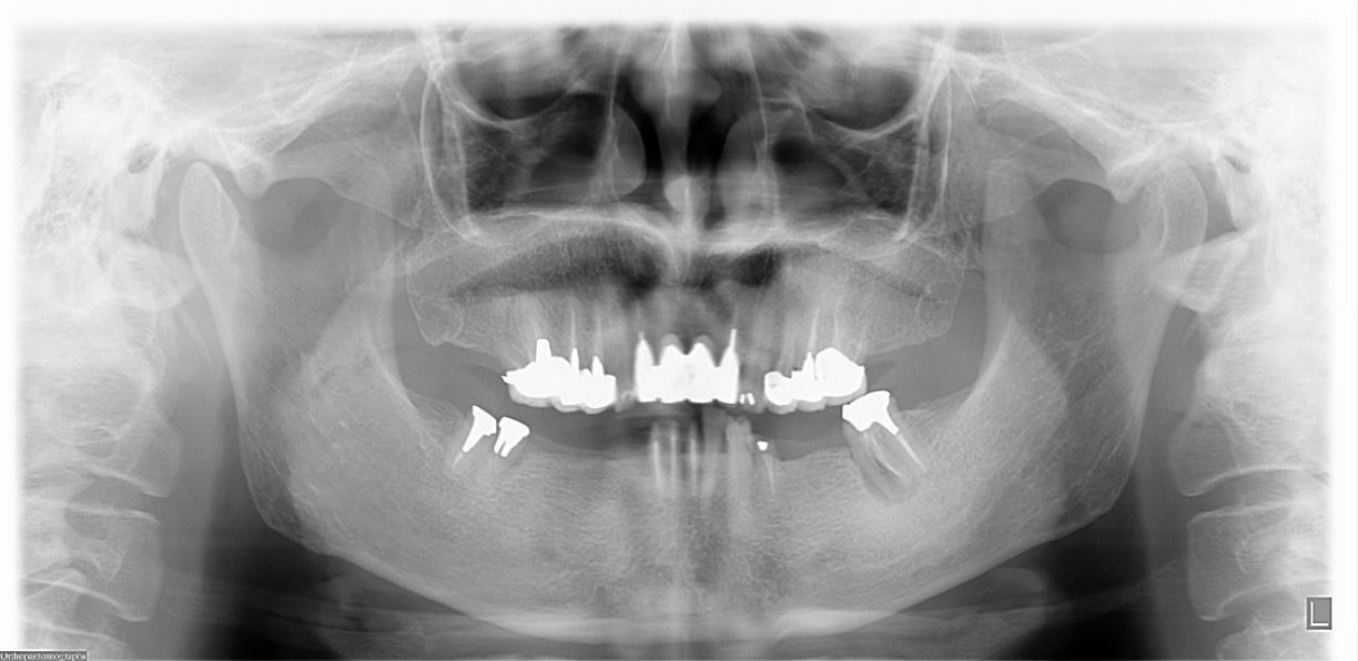
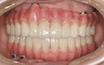
下顎臼歯部が欠損した患者さんのインプラント治療の症例①(うえだ歯科)


上田大介(うえだ歯科)
症例詳細
| 主訴 | 全顎治療希望、右下の歯が動いて痛いので噛みずらい。当院でインプラント治療したお母様からの紹介 |
| 治療内容 | プラークコントロール不良なため歯周治療を行い、保存不能の歯を抜歯し、抜歯窩の治癒を待って、欠損部にインプラントを施し咬合再構成を行う。 プロビジョナルレストレーションによる咬合関係を模索した後、全顎にわたりセラミックによる補綴治療、その後メインテナンスに移行 |
| 治療費 | 3,020,000円(税込)(インプラントすべて含む) |
| 治療期間 | 8ヶ月 |
| 治療回数 | 48回 |
| 想定されたリスク | 食いしばり(パラファンクション)によるセラミックの破折、歯の破折 |

うえだ歯科
上田 秀朗 歯科医師
うえだ歯科医院
🕑 月水木金 9:30~13:00/14:30~19:00
火 10:00~15:00
土 9:30~13:00/14:30~18:00
休診日:日・祝日
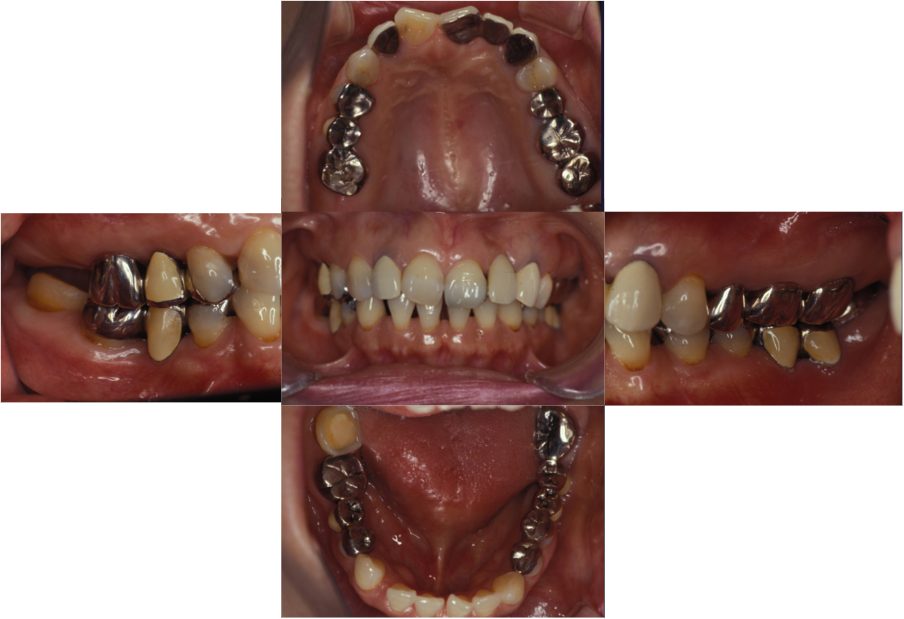
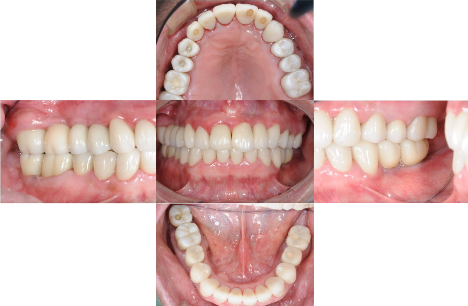
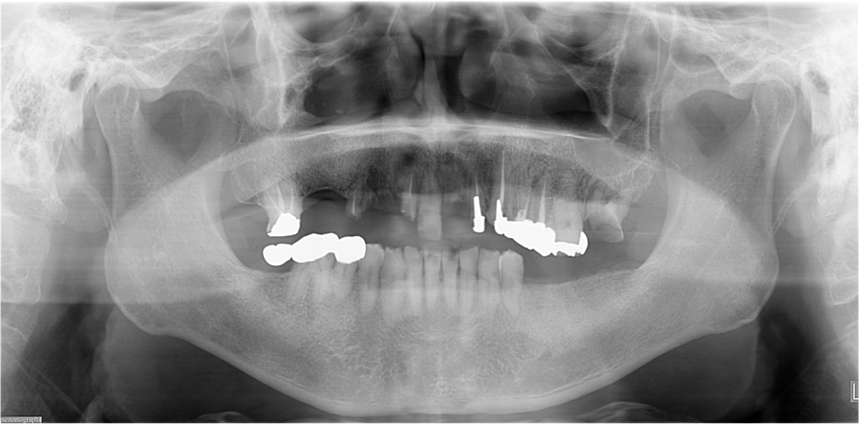
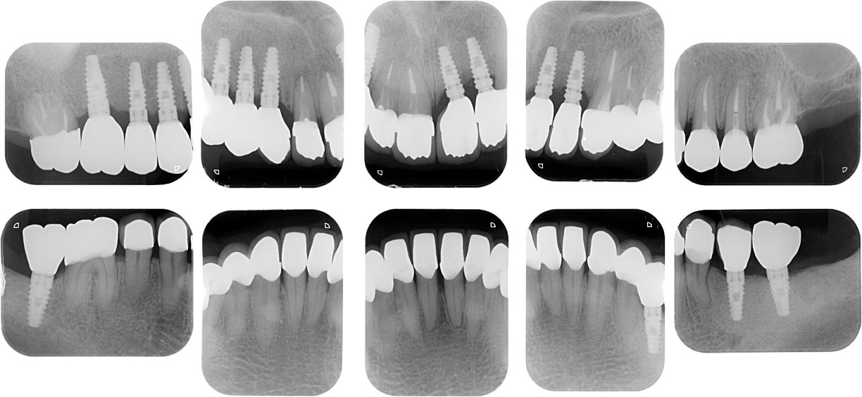
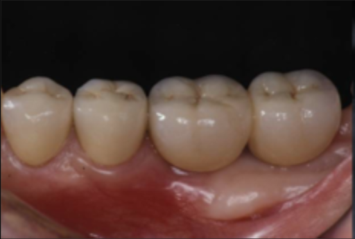
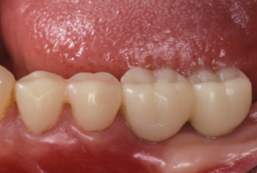
下顎臼歯部が欠損した患者さんのインプラント治療の症例②(うえだ歯科)


上田大介(うえだ歯科)
症例詳細
| 主訴 | 全顎治療希望、下の奥の歯が無いので全く噛めない。綺麗で噛めるようになりたい |
| 治療内容 | 下顎臼歯部欠損放置のため、臼歯部においてスペースがないため、全顎治療を行い咬合再構成を行う。 早期においてインプラント治療、咬合関係を模索した後、全顎にわたりセラミックによる補綴治療、その後メインテナンスに移行 |
| 治療費 | 5,410,000円(税込)(インプラントすべて含む) |
| 治療期間 | 1年8ヶ月 |
| 治療回数 | 80回 |
| 想定されたリスク | 食いしばり(パラファンクション)によるセラミックの破折、歯の破折 |

うえだ歯科
上田 秀朗 歯科医師
うえだ歯科医院
🕑 月水木金 9:30~13:00/14:30~19:00
火 10:00~15:00
土 9:30~13:00/14:30~18:00
休診日:日・祝日
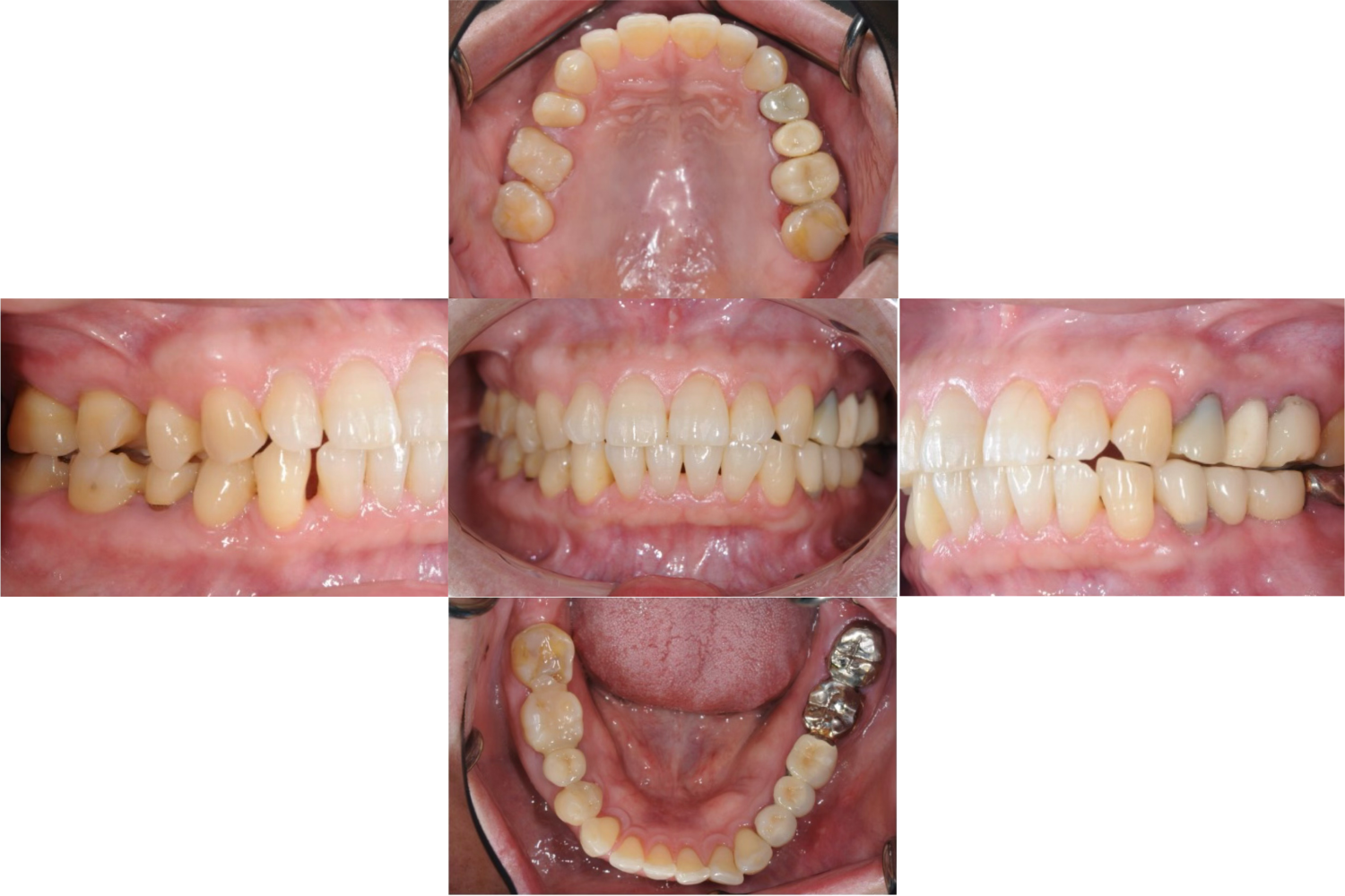
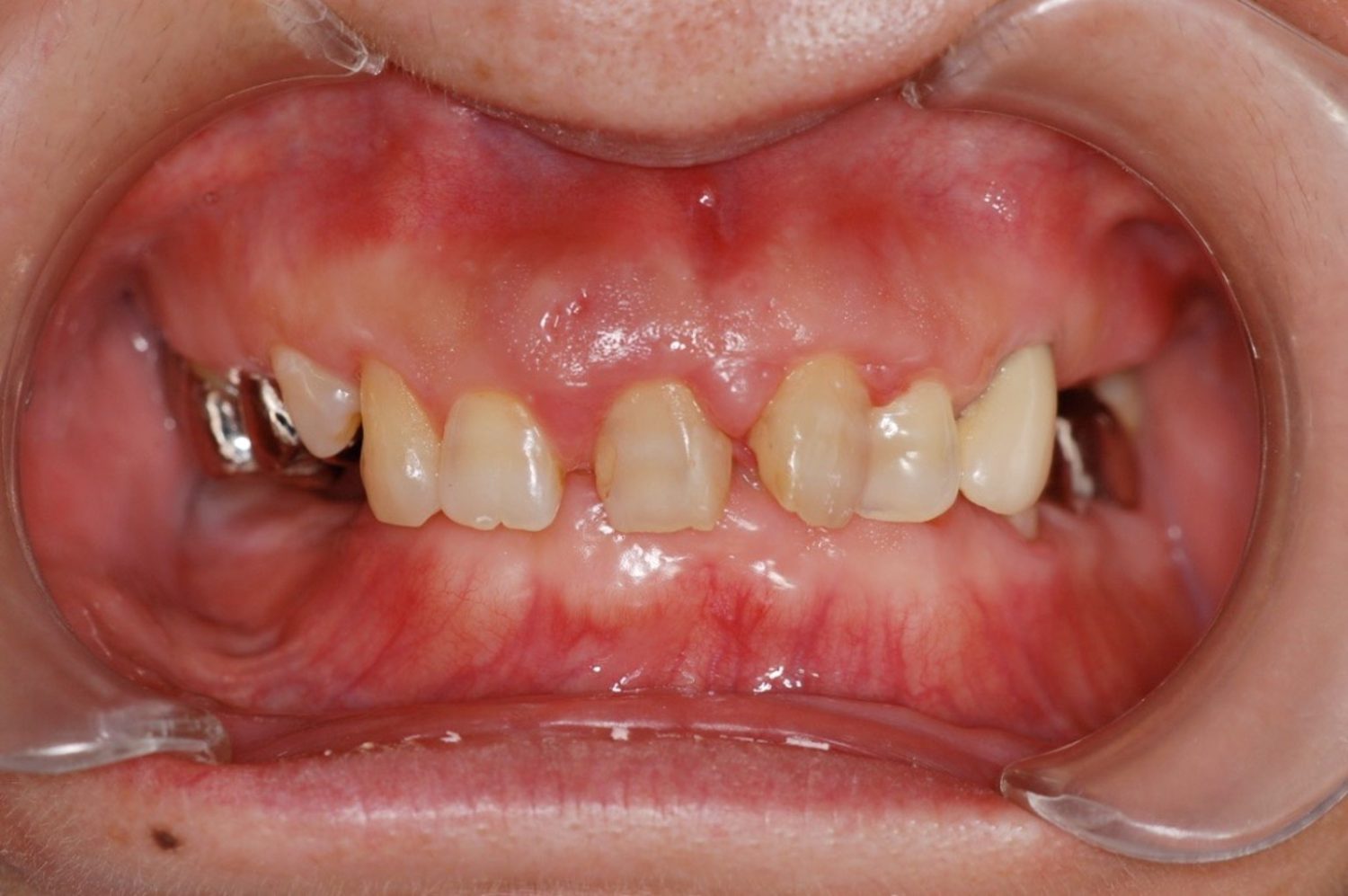
歯周病に罹患した患者さんのインプラント治療の症例①(うえだ歯科)


上田大介(うえだ歯科)
症例詳細
| 主訴 | 全顎治療希望、奥の歯茎から血が出る、綺麗で噛めるようになりたい |
| 治療内容 | 全顎的に歯周病、歯列不正が認められるため、歯周外科を含む歯周治療、矯正治療、インプラント治療、セラミックによる補綴治療後メインテナンスに移行 |
| 治療費 | 2,930,000円(税込)(インプラントすべて含む) |
| 治療期間 | 2年6ヶ月 |
| 治療回数 | 96回 |
| 想定されたリスク | 歯周病の再発、食いしばり(パラファンクション)によるセラミックの破折、歯の破折 |

うえだ歯科
上田 秀朗 歯科医師
うえだ歯科医院
🕑 月水木金 9:30~13:00/14:30~19:00
火 10:00~15:00
土 9:30~13:00/14:30~18:00
休診日:日・祝日
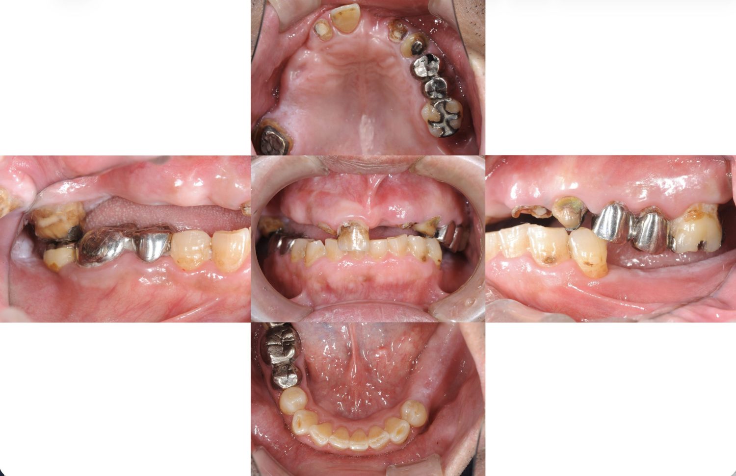
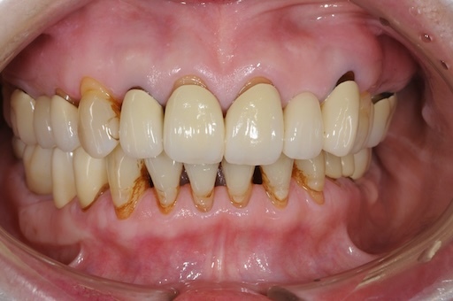
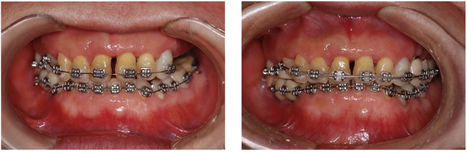
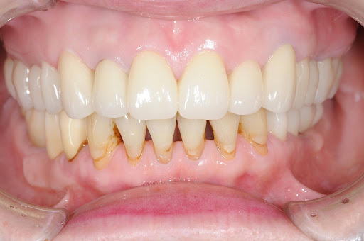
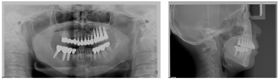
歯周病に罹患した患者さんのインプラント治療の症例②(うえだ歯科)


上田大介(うえだ歯科)
症例詳細
| 主訴 | 全顎治療希望、全顎的に歯が動く、奥の歯がなくて噛めない。できるだけ綺麗で噛めるようになりたい。 |
| 治療内容 | 全顎的に歯周病、前歯部の被蓋が深く、重度歯列不正が認められるため、 歯周外科を含む歯周治療、矯正治療、インプラント治療、セラミックによる補綴治療後メインテナンスに移行しました。 |
| 治療費 | 5,060,000円(税込)(インプラントすべて含む) |
| 治療期間 | 2年4ヶ月 |
| 治療回数 | 90回 |
| 想定されたリスク | 矯正治療の後戻り、歯周病の再発、食いしばり(パラファンクション)によるセラミックの破折、歯の破折のリスクがありました。 |

うえだ歯科
上田 秀朗 歯科医師
うえだ歯科医院
🕑 月水木金 9:30~13:00/14:30~19:00
火 10:00~15:00
土 9:30~13:00/14:30~18:00
休診日:日・祝日
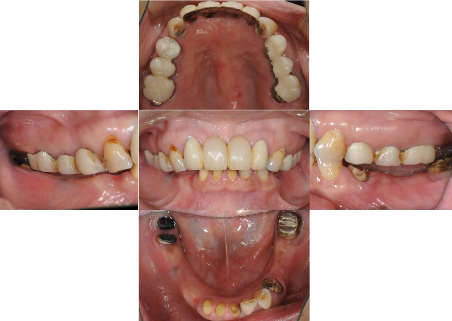
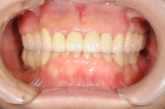
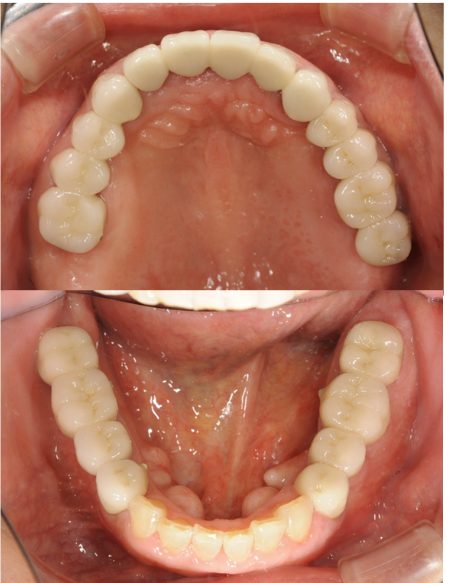
上顎、下顎の欠損のインプラント治療の症例(うえだ歯科)


上田大介(うえだ歯科)
症例詳細
| 主訴 | 全顎治療希望、歯が無いので噛みずらい。定年で時間の余裕出来たので、インプラントで治療して欲しい。 |
| 治療内容 | プラークコントロール不良なため歯周治療を行い、残存歯を極力温存し、欠損部インプラントを施し咬合再構成を行う。 プロビジョナルレストレーションによる咬合関係を模索した後、全顎にわたりセラミックによる補綴治療、その後メインテナンスに移行 |
| 治療費 | 6,470,000円(税込)(インプラントすべて含む) |
| 治療期間 | 1年6ヶ月 |
| 治療回数 | 72回 |
| 想定されたリスク | 食いしばり(パラファンクション)によるセラミックの破折、歯の破折 |

うえだ歯科
上田 秀朗 歯科医師
うえだ歯科医院
🕑 月水木金 9:30~13:00/14:30~19:00
火 10:00~15:00
土 9:30~13:00/14:30~18:00
休診日:日・祝日
うえだ歯科
福岡県北九州市小倉北区香春口1-13-1 メディックス三萩野2F
🕑 月~金 9:30~12:30/13:30~18:00
土 9:00~13:00
休診日:第1.3水曜午後・第2.4土曜・日・祝
うえだ歯科
上田 秀朗 歯科医師