
担当歯科医師:
櫻井 雄太(二子玉川駅前矯正歯科)
プロフィールをもっと見る
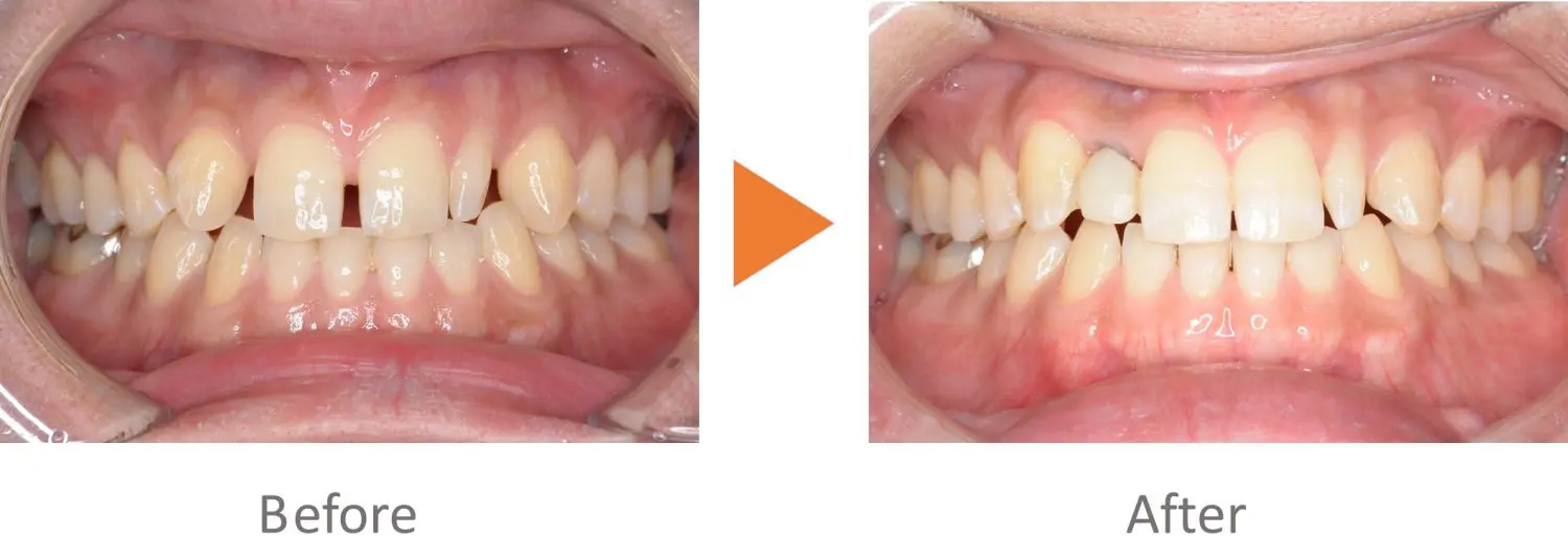
インビザライン(抜歯矯正)の症例紹介(二子玉川駅前矯正歯科)

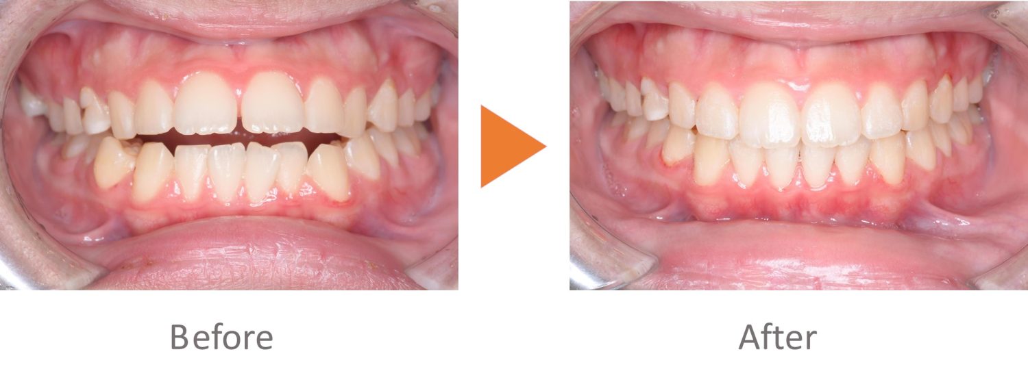
インビザライン(非抜歯矯正)の症例紹介①(二子玉川駅前矯正歯科)

プロフィールをもっと見る
症例詳細
| 主訴 | 前歯が噛み合わず、でこぼこも気になるが部活をしながら矯正をすることに不安がある。 |
| 治療内容 | 症状は叢生・上顎の前突・開口が確認できました。ブラケットによる部活中の接触での怪我を気にされていたので、インビザライン矯正(※1)を用い治療を行いました。 (※) 未承認医薬品等であるため医薬品副作用被害救済制度の対象とはならない可能性があります。 |
| 治療費 | 660,000円(税込) |
| 治療期間 | 7ヶ月 |
| 治療回数 | 8回 |
| 想定されたリスク | ※後戻り、歯根吸収、歯肉退縮、歯髄壊死の可能性がありました。 |
担当医のコメント
ブラケットを使用しての矯正に抵抗があったため、インビザラインを用いて治療を行いました。
部活中の口元の怪我を最小限に抑えながら、通院頻度も少なく歯並びを治すことが出来ました。
二子玉川駅前矯正歯科
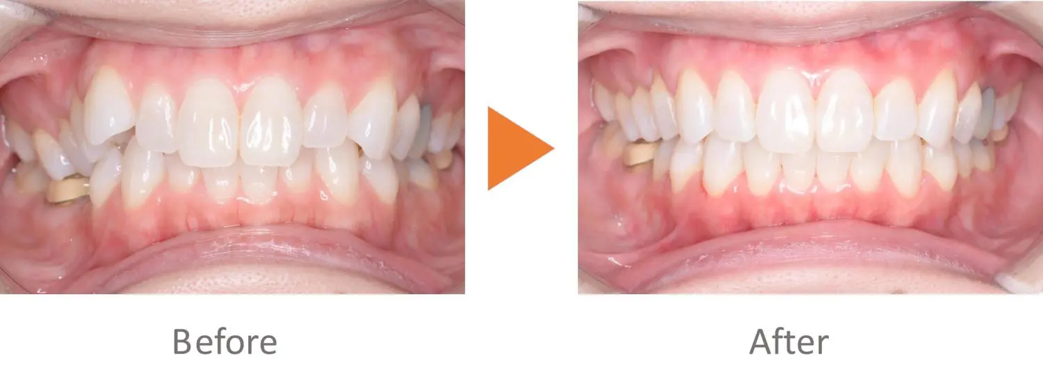
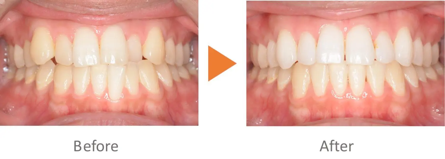
インビザライン(非抜歯矯正)の症例紹介②(二子玉川駅前矯正歯科)

プロフィールをもっと見る
症例詳細
| 主訴 | 出来るだけ少ない来院回数で八重歯を治したい |
| 治療内容 | 叢生と上顎の前突による口元の印象にお困りでした。 八重歯の症状がありました。出来るだけ少ない来院回数を希望の為、インビザライン矯正(※1)を使用して治療を行いました。 (※) 未承認医薬品等であるため医薬品副作用被害救済制度の対象とはならない可能性があります。 |
| 治療費 | 660,000円(税込) |
| 治療期間 | 1年7ヶ月 |
| 治療回数 | 9回 |
| 想定されたリスク | ※後戻り、歯根吸収、歯肉退縮、歯髄壊死の可能性がありました。 |
担当医のコメント
八重歯を治したいが、なかなか通院できないとお悩みでした。インビザライン使用することで来院頻度を抑え、忙しい中でも歯列を整えることが出来ました。
二子玉川駅前矯正歯科
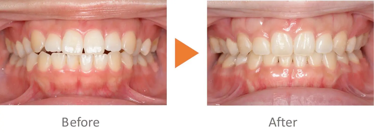
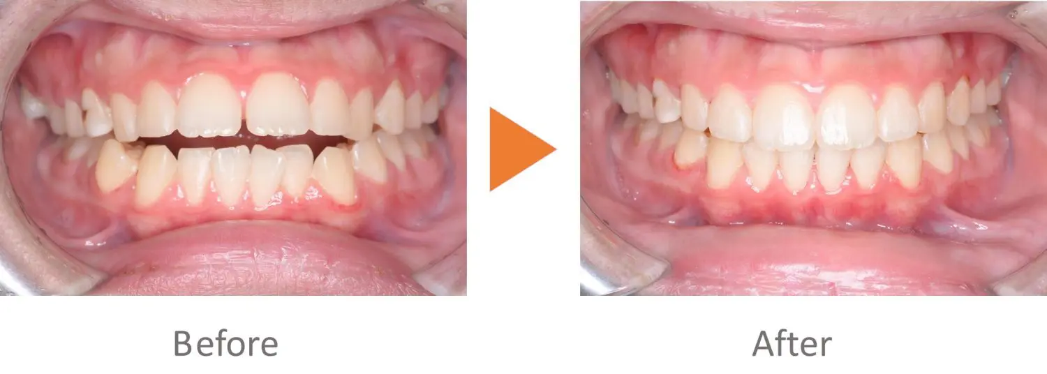
プレオルソの症例紹介③(二子玉川駅前矯正歯科)

プロフィールをもっと見る
症例詳細
| 主訴 | 乳歯を抜歯したため次に生えてくる永久歯の為にスペースを確保したい。 |
| 治療内容 | 抜歯部位への乳歯の移動防止および永久歯萌出スペース確保のために治療を行いました。 |
| 治療費 | 108,900円(税込) |
| 治療期間 | 10ヶ月 |
| 治療回数 | 6回 |
| 想定されたリスク | ※後戻り、歯根吸収、歯肉退縮、歯髄壊死の可能性がありました。 |
二子玉川駅前矯正歯科
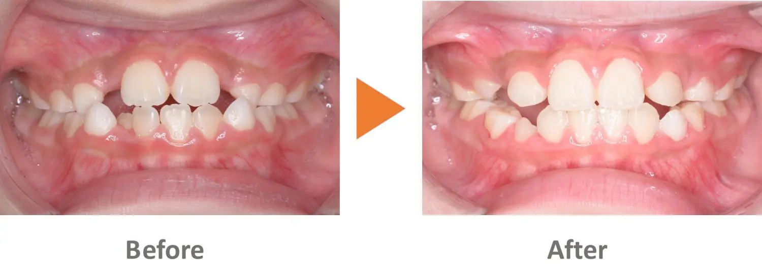
部分矯正の症例紹介①(二子玉川駅前矯正歯科)

プロフィールをもっと見る
症例詳細
| 主訴 | 下顎の奥歯が1本埋まっているので噛み合せが気になる。 |
| 治療内容 | 右下7番が埋伏している状態でした。埋伏歯は口腔外科の牽引処置を併用して下顎のみ治療を行いました。 |
| 治療費 | 216,000円(税込) |
| 治療期間 | 1年2ヶ月 |
| 治療回数 | 14回 |
| 想定されたリスク | ※後戻り、歯根吸収、歯肉退縮、歯髄壊死の可能性がありました。 |
二子玉川駅前矯正歯科
裏側矯正(抜歯矯正)の症例紹介①(二子玉川駅前矯正歯科)

プロフィールをもっと見る
症例詳細
| 主訴 | 全体的にデコボコしていて、特に八重歯が気になる。 |
| 治療内容 | 叢生や八重歯など全体的に大きく歯列が乱れ、噛み合わせも修正が必要でした。小臼歯の抜歯でスペースを作り治療しました。 |
| 治療費 | 990,000円(税込) |
| 治療期間 | 2年1ヶ月 |
| 治療回数 | 23回 |
| 想定されたリスク | ※後戻り、歯根吸収、歯肉退縮、歯髄壊死の可能性がありました。 |
担当医のコメント
全体的に大きく歯列が乱れていたため、抜歯でスペースを作り治療を行いました。歯列や噛み合わせの改善により、機能面だけでなく口元の突出感などの審美面も向上しました。
二子玉川駅前矯正歯科
裏側矯正(抜歯矯正)の症例紹介②(二子玉川駅前矯正歯科)

プロフィールをもっと見る
症例詳細
| 主訴 | 前歯が噛みあわず、Eラインの崩れが審美的に気になる。 |
| 治療内容 | 上下顎前突の症状がみられました。小臼歯の抜歯を行い、口元の前突感を改善するため矯正用アンカースクリューを併用しました。 |
| 治療費 | 990,000円(税込) |
| 治療期間 | 2年6ヶ月 |
| 治療回数 | 26回 |
| 想定されたリスク | ※後戻り、歯根吸収、歯肉退縮、歯髄壊死の可能性がありました。 |
二子玉川駅前矯正歯科
裏側矯正(非抜歯矯正)の症例紹介(二子玉川駅前矯正歯科)

二子玉川駅前矯正歯科







二子玉川駅前矯正歯科
櫻井 雄太 歯科医師