歯科
歯科メニュー
歯科TOP
コラム
検査・⼿術を調べる
歯医者を探す
エリア・駅から探す
現在地から探す
おすすめの歯医者
おすすめの歯医者(駅)
オンライン診療 対応医院を探す
医科
医科メニュー
医科TOP
コラム
病気Q&A
検査・⼿術を調べる
健康診断を知る
三大疾病を知る
病院を探す
エリア・駅から探す
現在地から探す
おすすめの病院
オンライン診療 対応医院を探す
整骨
整骨メニュー
整骨TOP
コラム
検査・⼿術を調べる
整骨院を探す
エリア・駅から探す
現在地から探す
おすすめの整骨院
共通
私のカルテ
プロフェッショナルインタビュー
NEWS
漫画で知る医療
医師が選ぶ ホームドクターズ
病気を調べる
症状から調べる
お気に入り記事
お気に入り記事
歯科
歯科メニュー
歯科TOP
コラム
検査・⼿術を調べる
歯医者を探す
エリア・駅から探す
現在地から探す
おすすめの歯医者
おすすめの歯医者(駅)
オンライン診療 対応医院を探す
医科
医科メニュー
医科TOP
コラム
病気Q&A
検査・⼿術を調べる
健康診断を知る
三大疾病を知る
病院を探す
エリア・駅から探す
現在地から探す
おすすめの病院
オンライン診療 対応医院を探す
整骨
整骨メニュー
整骨TOP
コラム
検査・⼿術を調べる
整骨院を探す
エリア・駅から探す
現在地から探す
おすすめの整骨院
共通
私のカルテ
プロフェッショナルインタビュー
NEWS
漫画で知る医療
医師が選ぶ ホームドクターズ
病気を調べる
症状から調べる
目次 -INDEX-
Medical DOC TOP
私のカルテ~My Medical Records~
ラモス瑠偉「脳梗塞」で“生死の境”…「言葉も感覚も失った」絶望の瞬間
【Gallery】
ラモス瑠偉「脳梗塞」で“生死の境”…「言葉も感覚も失った」絶望の瞬間【Gallery】
公開日:2025/09/12
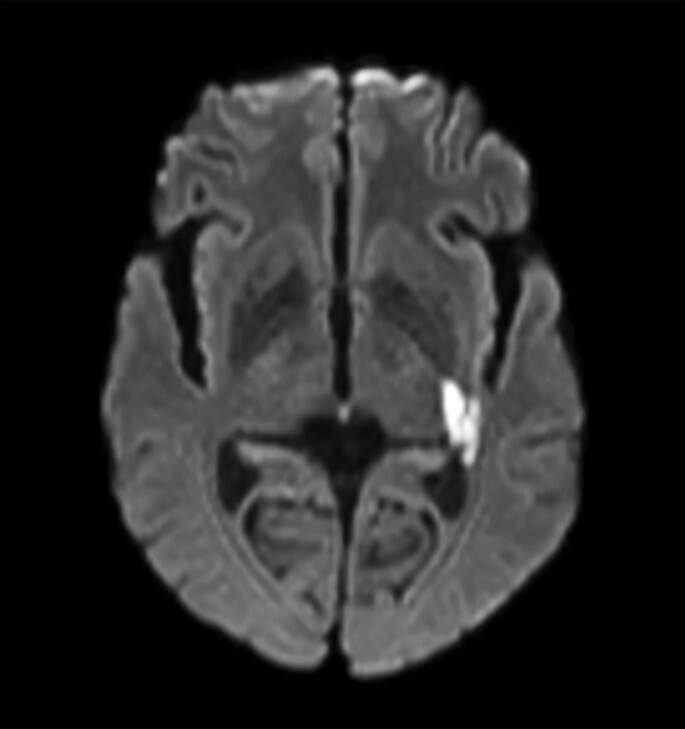
脳梗塞 臨床画像
【イラスト解説】脳梗塞のタイムリミット
元の記事を読む
脳梗塞・脳出血の前兆をご存じですか? 初期症状として現れるサインを医師が解説
「脳梗塞の後遺症」となる症状はご存知ですか?後遺症がない確率も医師が解説!
【闘病】貧血と思っていた動悸・息切れはまさかの脳梗塞。「”忙しい”を理由に受診しなかった」後悔のわけ