【2025年】札幌市の歯がボロボロの治療 おすすめしたい8医院

札幌市で評判の歯がボロボロになったときに治療ができる歯医者さんをお探しですか?
札幌市は北海道の市のひとつで、日曜診療や夜間診療に対応しているなど、歯がボロボロになったときに治療ができるさまざまな歯医者さんの選択肢があります。
私たちMedical DOC編集部が、これまで収集してきた情報や、歯科医師の先生方から得られた情報、各サイトのクチコミなどを参考に、札幌市でおすすめできる歯がボロボロになったときの治療ができる歯医者さんをご紹介いたします。
※2025年08月現在のメディカルドック編集部リサーチデータとなります。
目次 -INDEX-
札幌市で評判の歯がボロボロになったときの治療ができる歯医者さん8医院
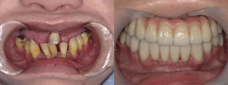
まえだ歯科(中央区)
- マイナンバーカードの健康保険証利用
JR各線 札幌駅 徒歩4分
北海道札幌市中央区北5条西6丁目1 ノルテ5・6ビル5階
| 診療時間 | 月 | 火 | 水 | 木 | 金 | 土 | 日 | 祝 |
|---|---|---|---|---|---|---|---|---|
| 9:00~12:30 | ● | ● | ● | ● | ● | ● | - | - |
| 14:00~18:00 | ● | ● | - | ● | ● | ★ | - | - |
★:第1・第3週は休診
まえだ歯科はこんな医院です
札幌市中央区にあるまえだ歯科は、「歯がボロボロで歯医者に行くのも躊躇する」「インプラントはしたいが歯科恐怖症で歯医者に行けない」などのお悩みや不安を抱えられている方に寄り添い、専門性の高いインプラント治療や重度の歯周病治療を提供されています。
日本口腔インプラント学会の専門医資格などをお持ちの院長は、「歯の欠損の連鎖を食い止める治療」を行うことを重視されています。患者さんの歯をできるだけ多く、長期間残せるように努められており、マイクロスコープなどを活用して精密な治療を実施。さらに、患者さんがリラックスした状態で治療を受けられるよう、静脈内鎮静法を採用されているそうです。お口の状況やご希望に合わせて適切な治療を提案されているので、歯科治療に不安を抱いている方も、ご自身に合った改善策を見つけられるのではないでしょうか。
また、セカンドオピニオンにも取り組まれているので、歯がボロボロでお困りの方やさまざまな見解や治療法の可能性を聞いてみたい方は、一度相談されてみてはいかがでしょうか。
アクセスはJR各線「札幌駅」より徒歩4分。LINEによるオンライン無料相談も実施されているそうなので、歯の欠損を改善したい方も気軽に相談しやすいですね。
まえだ歯科の特徴
院長は、日本口腔インプラント学会認定の口腔インプラント専門医の資格をはじめ、日本歯周病学会 認定医と日本歯科麻酔学会 認定医の資格もお持ちです。また、顎咬合に関わる学会にも所属され、歯科や麻酔の研鑽を豊富に積まれています。
診療時は、全身から口腔を、口腔から全身を考える「生涯の健康のための歯科治療」を念頭に置かれているそうです。様々な分野の歯科治療に精通した院長が対応されているので、歯がボロボロになってしまった方も安心して相談できるのではないでしょうか。
治療に伴う痛みや恐怖がトラウマになり、受診を先延ばしにしているうちに歯がボロボロになってしまった、という方もいらっしゃるのではないでしょうか。まえだ歯科は、幅広い症例に対して静脈内鎮静法を採用し、患者さんが安心して治療を受けられるように環境を整えられています。
静脈内鎮静法は、鎮静剤や麻酔を活用することで患者さんの不安や恐怖を取り除き、リラックスして治療に臨める点が特徴だそうです。麻酔に精通した院長が対応されるそうなので、これまで治療を敬遠されていた方も受診を前向きに検討できるのではないでしょうか。
まえだ歯科の院長は、「歯の健康は一生かけて続く、かけがえのないもの」と考え、患者さんに生涯寄り添う覚悟で診療に取り組まれているそうです。歯科恐怖症などの理由で歯がボロボロになってしまった方にも親身に対応されているそうなので、歯のかかりつけとして心強い存在になるのではないでしょうか。
初診時は、丁寧なカウンセリングを行われています。今後の診療計画や方針をしっかり定められているそうなので、モチベーションを高く保って治療に取り組めるのではないでしょうか。
まえだ歯科
お問い合せ
医療法人社団一真会 ブランデンタルクリニック伏見(中央区)
- マイナンバーカードの健康保険証利用
- 駐車場あり
札幌市電 西線16条駅 徒歩5分
札幌市電 ロープウェイ入口駅 徒歩6分
北海道札幌市中央区南18条西17-1-1 伏見センタービル ラルズ(元スーパーシガ)2F
| 診療時間 | 月 | 火 | 水 | 木 | 金 | 土 | 日 | 祝 |
|---|---|---|---|---|---|---|---|---|
| 9:00~12:30 | ● | ● | ● | ● | ● | ★ | - | - |
| 14:00~19:00 | ● | ● | ● | ● | ● | ★ | - | - |
★:9:00~13:00/14:00~17:00
医療法人社団一真会 ブランデンタルクリニック伏見はこんな医院です
「人生に一生涯寄り添える歯科医院」をモットーに、幅広い世代の笑顔と健康を支えるブランデンタルクリニック伏見。札幌市中央区に位置し、一般歯科から審美治療、矯正、インプラントまで総合的に対応。CTやX-Guideなどの機器を活用し、精密な診療が行われています。
「自分や家族にしてあげたい治療を提供する」という想いを大切に、完全個室のカウンセリングルームでじっくり話を伺い、費用や期間を含めて適切な治療方針を一緒に考えられる体制を整えているそうです。丁寧なカウンセリング、再治療の少ない治療計画、設備へのこだわり。こうした取り組みが、技術やテクノロジー以上に安心と信頼を生む理由となっているのでしょう。
医療法人社団一真会 ブランデンタルクリニック伏見の特徴
さらに、手術中の位置をリアルタイムで確認できる「X-Guide」や専用オペ室、CTなどを活用し、事前の計画に基づいて治療を進められる体制を完備。歯ぐきを大きく切り開かずに埋め込む「フラップレス手術」や、少ない本数で歯列を再建できる「オールオン4」といった体への負担を抑えた治療にも対応されているそうです。
また、眠っているような感覚で手術を受けられる「静脈内鎮静法」にも対応しているため、痛みや不安の軽減につながります。こうした一つひとつの取り組みが、患者さんの「怖い」という気持ちを「ここなら安心できる」という思いへと変えていくのでしょう。
上下それぞれ4本のインプラントで歯列の再建を図る「オールオン4」や、骨が少ない方にも対応できる「GBR(骨再生治療)」など、専門性の高い技術を組み合わせ、難しい症例もあらゆる可能性をチームで検討。患者さんと一緒に適切な方法を探る「諦めない」姿勢を大切にしているそうです。「どんな状態でももう一度しっかり噛めるようにしたい」そんな願いに真剣に向き合い、尽くしてくれるブランデンタルクリニック伏見。歯がボロボロでインプラント治療を諦めかけていた方にこそ、一度相談してほしい歯科医院です。

・糖尿病の悪化など、基礎疾患の悪化による感染の可能性がある。
治療期間:約5ヶ月 治療回数:5回(抜糸、消毒は除く)
医療法人社団一真会 ブランデンタルクリニック伏見
お問い合せ
札幌インプラントクリニック(中央区)
- 駅徒歩5分以内
札幌市営地下鉄各線 大通駅 徒歩5分
北海道札幌市中央区南2西3-12-2 トミイビルNo.37 3F
| 診療時間 | 月 | 火 | 水 | 木 | 金 | 土 | 日 | 祝 |
|---|---|---|---|---|---|---|---|---|
| 9:30~17:30 | ● | ● | ● | - | ● | ★ | - | - |
★:10:00~16:00
札幌インプラントクリニックはこんな医院です
札幌インプラントクリニックは、札幌市中央区にある、歯がボロボロになったときの治療ができる歯医者さんです。こちらの歯科クリニックでは、インプラントを利用した施術をメインに診療を行っています。難症例にも積極的に対応しており、可能な限り痛みと腫れが少ない治療に努めているそうです。インプラント治療以外では、歯列矯正治療やホワイトニング、審美的治療、いびき治療などにも対応しています。
札幌インプラントクリニックへの交通アクセスは、地下鉄東西線・南北線・東豊線の大通駅より徒歩5分です。木曜日以外の平日は17時30分まで、土曜日は16時まで診療しています。
札幌インプラントクリニックの特徴
大谷地 MOMOSE DENTAL CLINIC(厚別区)
- クレジットカード可
- マイナンバーカードの健康保険証利用
- 予約制
- 完全予約制
- 駅徒歩5分以内
- 駐車場あり
札幌市営地下鉄東西線 大谷地駅 徒歩3分
北海道札幌市厚別区大谷地東5丁目1-43
| 診療時間 | 月 | 火 | 水 | 木 | 金 | 土 | 日 | 祝 |
|---|---|---|---|---|---|---|---|---|
| 9:30~13:30 | ● | ● | ● | - | ● | ★ | - | - |
| 14:30~18:30 | ● | ● | ● | - | ● | - | - | - |
★:9:30~14:00
※木曜日は、特別診療・手術・無料相談の対応を行う場合があります。
※祝日がある週の木曜日は、診察を行う場合があります。
大谷地 MOMOSE DENTAL CLINICはこんな医院です
MOMOSE DENTAL CLINICは、札幌市厚別区にある、歯がボロボロになったときの治療ができる歯医者さんです。地域医療への貢献を目指すこちらの歯科クリニックでは、病気の原因に着目した治療を行っています。科学的根拠に基づいた根本治療を行うことで、より高精度かつ再発の少ない治療の提供に努めているとのことです。丁寧なカウンセリングを実施し、さまざまな治療の選択肢を提案するようにも注力しているそうなので、希望にあった治療を受けやすいメリットがあります。診療室は個室になっているので、周囲を気にせず治療を受けやすいのも魅力です。
MOMOSE DENTAL CLINICへの交通アクセスは、地下鉄東西線の大谷地駅より徒歩3分です。木曜日以外の平日は18時30分まで、土曜日は14時まで診療しています。
大谷地 MOMOSE DENTAL CLINICの特徴
北山デンタルクリニックジャパンインプラント(中央区)
- マイナンバーカードの健康保険証利用
札幌市営地下鉄各線 さっぽろ駅 22番出口 徒歩1分
JR各線 札幌駅 南口 徒歩7分
北海道札幌市中央区北三条西2丁目12-1 STV北三条ビル5F
| 診療時間 | 月 | 火 | 水 | 木 | 金 | 土 | 日 | 祝 |
|---|---|---|---|---|---|---|---|---|
| 9:00~13:00 | - | - | ● | ● | ● | ● | ● | - |
| 14:00~18:00 | - | - | ● | ● | ● | ● | ● | - |
北山デンタルクリニックジャパンインプラントはこんな医院です
北山デンタルクリニックは、札幌市中央区にある、歯がボロボロになったときの治療ができる歯医者さんです。患者さんが心から納得できる診療をモットーとする同院では、患者さんの心情や要望に寄り添った診療を行っています。医療をビジネスと割り切らず、誠意をもって患者さんに向き合うことで、深刻なむし歯の治療や再発の少ない治療に取り組んでいるとのことです。
北山デンタルクリニックへの交通アクセスは、地下鉄各線のさっぽろ駅から徒歩1分、JR線の札幌駅より徒歩7分です。便利な場所にあるため、札幌市内全域から通院しやすいでしょう。水・木・金・土・日曜日に18時まで診療しているので、都合に合わせて受診しやすくなっています。
北山デンタルクリニックジャパンインプラントの特徴
手稲イースト歯科クリニック(手稲区)
- クレジットカード可
- マイナンバーカードの健康保険証利用
- 日曜診療
- 英語対応
- 駐車場あり
JR函館本線 稲積公園駅 車で3分
JR函館本線 手稲駅 車で6分
北海道札幌市手稲区前田6条5丁目1-10
| 診療時間 | 月 | 火 | 水 | 木 | 金 | 土 | 日 | 祝 |
|---|---|---|---|---|---|---|---|---|
| 9:30~12:30 | ● | ● | ● | ● | ● | ★ | - | - |
| 13:30~18:30 | ● | ● | ● | ● | ● | ★ | - | - |
★:10:00~13:00/14:00~17:00
手稲イースト歯科クリニックはこんな医院です
手稲イースト歯科クリニックは、札幌市手稲区にある、歯がボロボロになったときの治療ができる歯医者さんです。こちらの歯科クリニックでは、インプラント治療を得意としています。さまざまな手法のインプラント治療が提供可能なので、多様な患者さんの症状に対応できるメリットがあります。機械的にインプラントありきの治療を行うのではなく、患者さんに適した治療法をしっかり検討しているそうなので、快適な治療が期待できるでしょう。
手稲イースト歯科クリニックは、JR函館本線の稲積公園駅から車で3分、手稲駅から車で6分の場所にあります。駐車場を8台分完備しているので、車を使った通院にも便利です。平日は18時30分まで、土曜日は17時まで診療しているので、仕事帰りや週末を利用した受診がしやすいメリットがあります。
手稲イースト歯科クリニックの特徴
森下歯科(西区)
- マイナンバーカードの健康保険証利用
札幌市営地下鉄東西線 発寒南駅 車で3分
バス:西野3条2丁目 下車 徒歩1分
北海道札幌市西区西野2条2丁目5-17 西野MTビル2階
| 診療時間 | 月 | 火 | 水 | 木 | 金 | 土 | 日 | 祝 |
|---|---|---|---|---|---|---|---|---|
| 9:30~13:00 | ● | ● | ● | ● | ● | ★ | - | - |
| 14:00~17:30 | ● | ● | ● | ● | ● | - | - | - |
★:9:30~14:00
※予約制
森下歯科はこんな医院です
森下歯科は、札幌市西区にある、歯がボロボロになったときの治療ができる歯医者さんです。1985年に開院したこちらの歯科医院では、定期的なメンテナンスを重視した歯科診療を行っています。むし歯治療や歯周病の治療はもちろん、根管治療や歯列矯正治療、クリーニング、ホワイトニング、義歯作製にも対応可能です。また、糖尿病や掌蹠膿疱症と歯の疾患とのつながりに配慮するなど、包括的な治療を意識した診療を行っているそうです。
院内には通常の治療を行うキュアルームのほか、メンテナンスルームも設置されているので、気軽に歯医者さんに通い続けやすくなっています。プレイコーナーもあるので、小さなお子さん連れでも通院しやすいのではないでしょうか。
森下歯科への交通アクセスは、西野3条2丁目のバス停から徒歩1分です。地下鉄東西線の発寒南駅からは、車で3分の場所にあります。平日は17時30分まで、土曜日は13時までの診療です。なお同院では、予約制の診療を行っています。予約管理はコンピューターシステムを利用して行っているため、予約無しの場合には診察が難しいそうです。受診の際には、電話もしくは医院のホームページにあるメールフォームから忘れず予約を取っておきましょう。
森下歯科の特徴
とよひらファミリー歯科(豊平区)
- マイナンバーカードの健康保険証利用
- 専門医在籍
- 日曜診療
札幌市営地下鉄東豊線 学園前駅 車で3分
北海道札幌市豊平区豊平四条9-3-1 ザ・ビッグ豊平店1F
| 診療時間 | 月 | 火 | 水 | 木 | 金 | 土 | 日 | 祝 |
|---|---|---|---|---|---|---|---|---|
| 9:30~13:00 | ● | ● | ● | - | ● | ● | ● | - |
| 14:30~20:00 | ● | ● | ★ | - | ● | ★ | ★ | - |
★:14:30~17:30
とよひらファミリー歯科はこんな医院です
とよひらファミリー歯科は、札幌市豊平区にある、歯がボロボロになったときの治療ができる歯医者さんです。こちらの歯科医院では、家族そろって受診しやすい診療体制に配慮しています。診療室はすべてプライバシーに配慮した個室タイプになっているので、周囲の目を気にせず治療に集中できます。院内にはキッズスペースがあり、キッズコーナーが付属した診療室も用意しているので、お子さん連れでも受診しやすいのが魅力です。待合室には飲み物の用意もあるので、リラックスしながら診療を待てるでしょう。パウダールームを設置しているので、受診前の歯磨きや受診後の化粧直しにも便利です。
とよひらファミリー歯科への交通アクセスは、地下鉄東豊線の学園前駅より車で3分です。月・火・金曜日は20時まで、水・土・日曜日は17時30分まで診療しています。平日の夜や週末の診療に対応しているので、ライフスタイルに合わせて通院しやすく、無理なく治療を続けやすくなっています。
とよひらファミリー歯科の特徴
札幌市で評判のいい歯がボロボロになったときの治療ができる歯医者さんおすすめ8医院まとめ
歯がボロボロになったときの治療ができる歯医者さんの選び方は人それぞれだと思いますが、札幌市には、駅から近い歯医者さんだけでなく、少し範囲を広げればさまざまな選択肢があることがわかりました。夜間診療をしている、日曜日も診療している、キッズスペースがある、インプラント治療を得意としているなど、ご要望にあわせて、じっくり歯がボロボロになったときの治療ができる歯医者さんを選んでみてはいかがでしょうか?
掲載医院一覧
- まえだ歯科
北海道札幌市中央区北5条西6丁目1 ノルテ5・6ビル5階 - 医療法人社団一真会 ブランデンタルクリニック伏見
北海道札幌市中央区南18条西17-1-1 伏見センタービル ラルズ(元スーパーシガ)2F - 札幌インプラントクリニック
北海道札幌市中央区南2西3-12-2 トミイビルNo.37 3F - 大谷地 MOMOSE DENTAL CLINIC
北海道札幌市厚別区大谷地東5丁目1-43 - 北山デンタルクリニックジャパンインプラント
北海道札幌市中央区北三条西2丁目12-1 STV北三条ビル5F - 手稲イースト歯科クリニック
北海道札幌市手稲区前田6条5丁目1-10 - 森下歯科
北海道札幌市西区西野2条2丁目5-17 西野MTビル2階 - とよひらファミリー歯科
北海道札幌市豊平区豊平四条9-3-1 ザ・ビッグ豊平店1F


















