ひまわり歯科矯正歯科 症例紹介

担当歯科医師:
小屋敷英樹(ひまわり歯科矯正歯科)
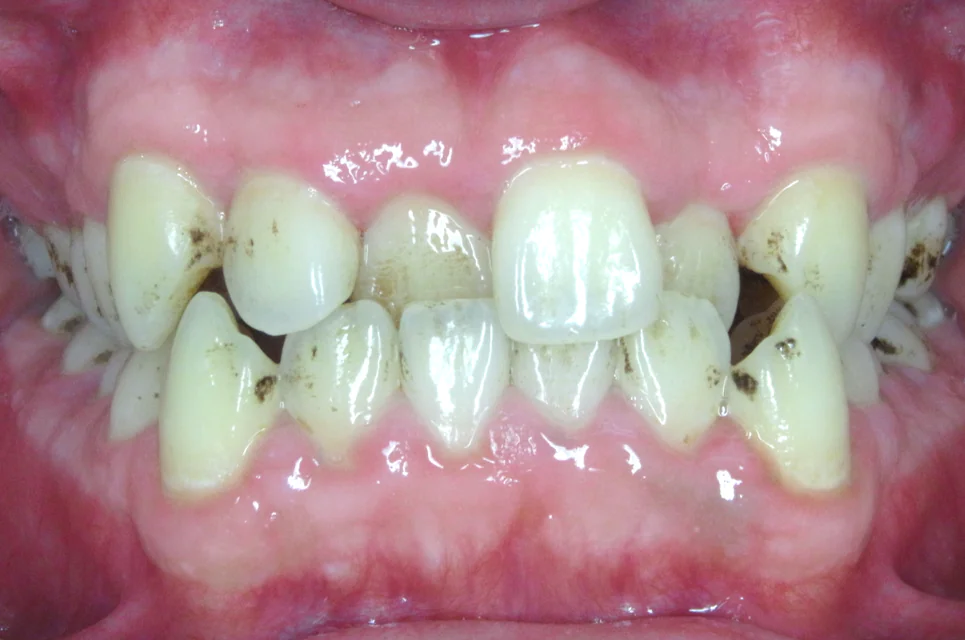
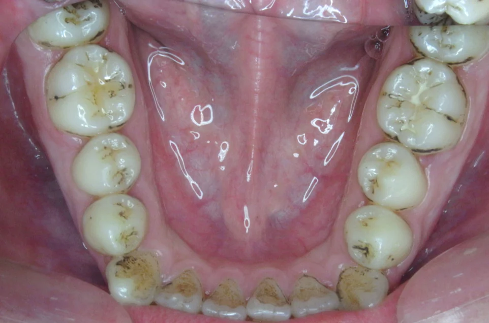
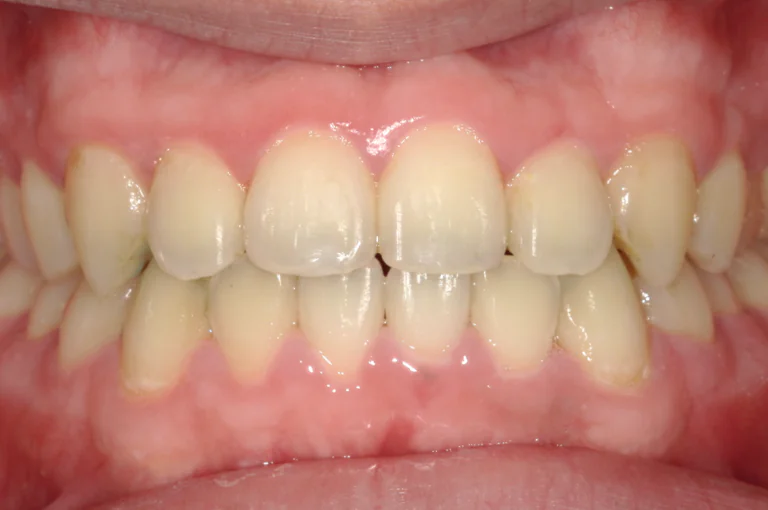
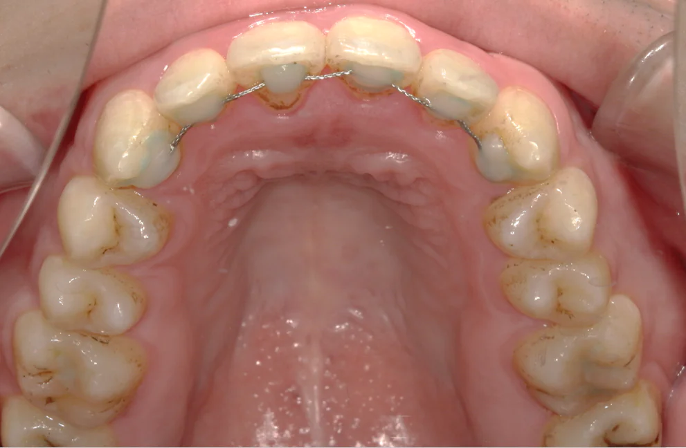
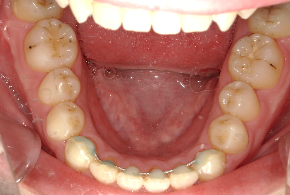
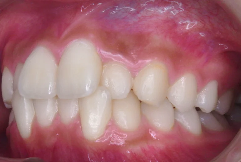
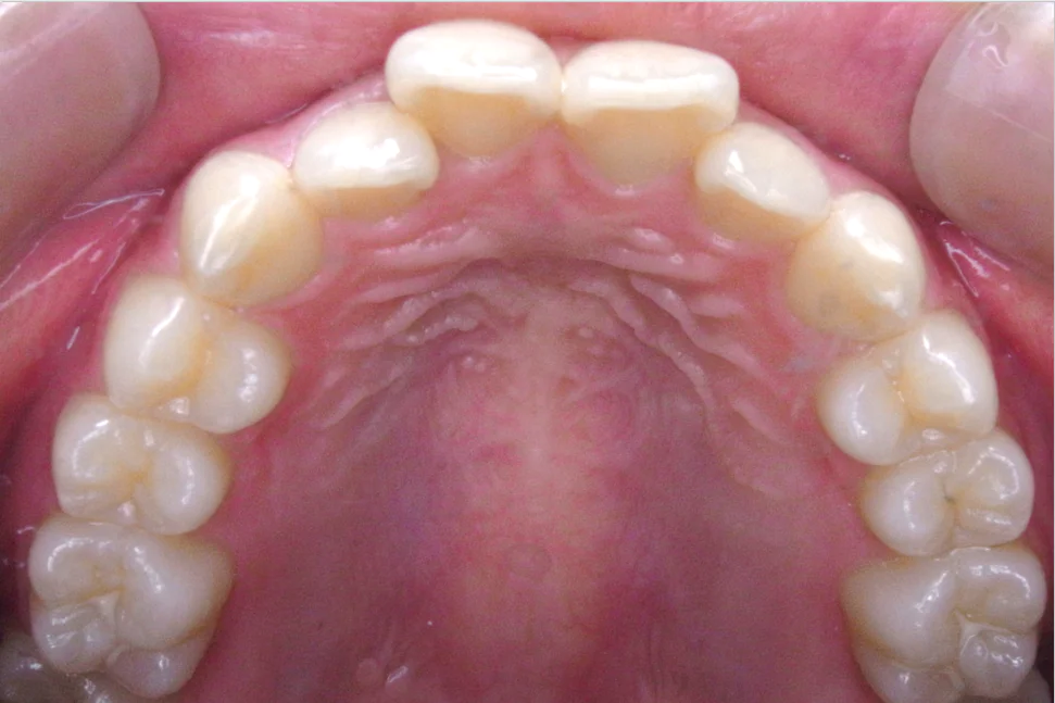
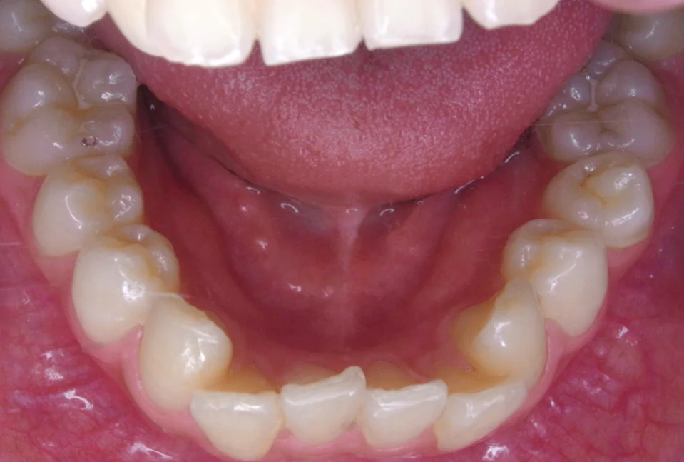
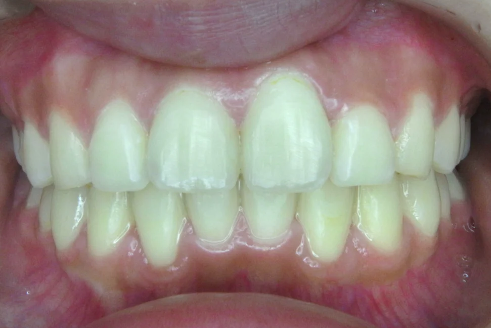
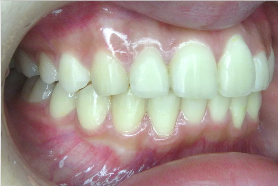
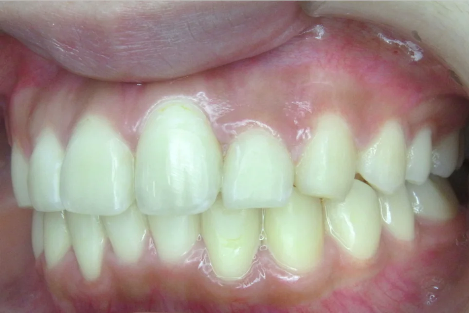
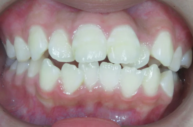
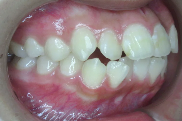
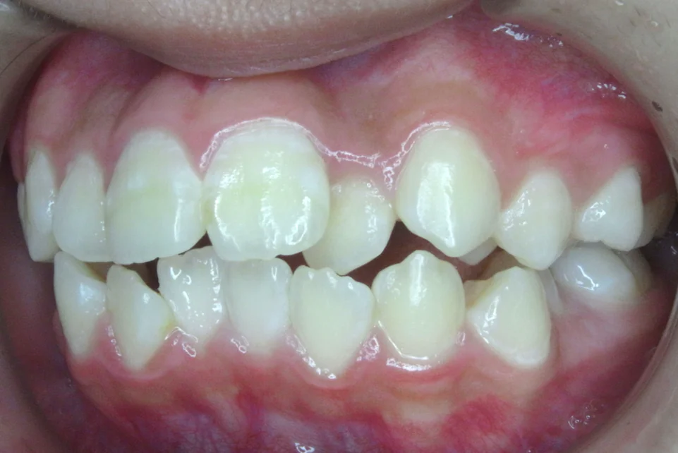
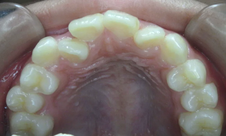
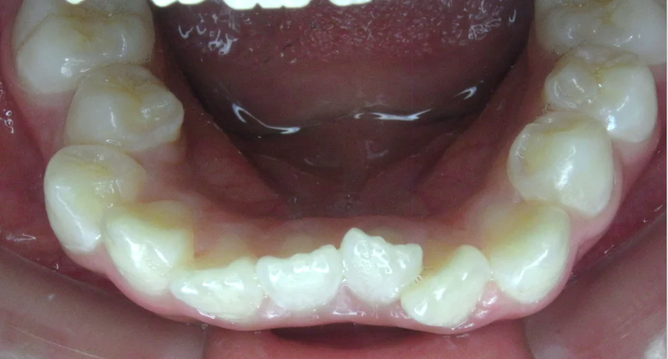
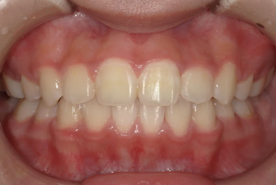
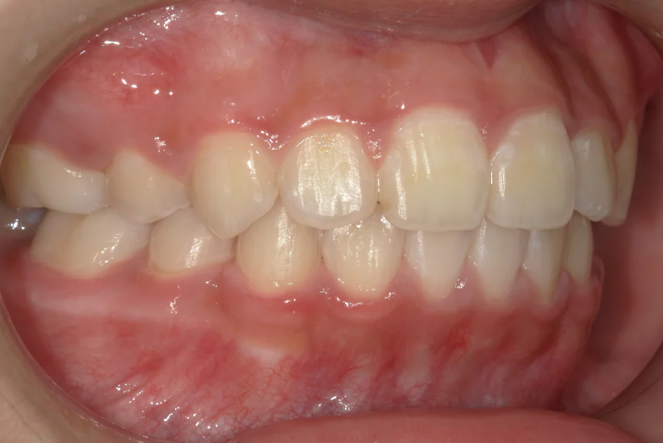
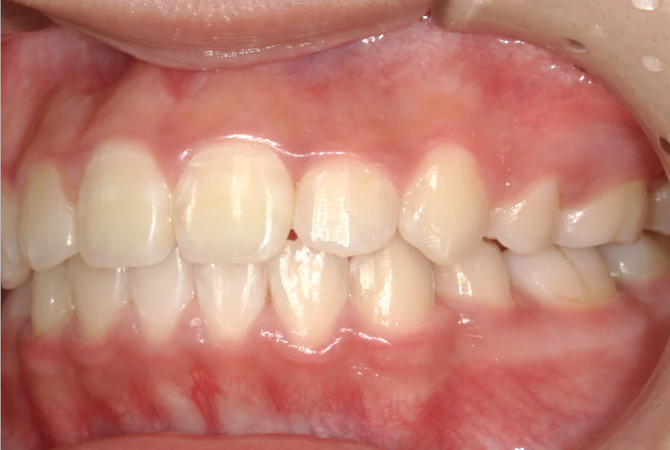
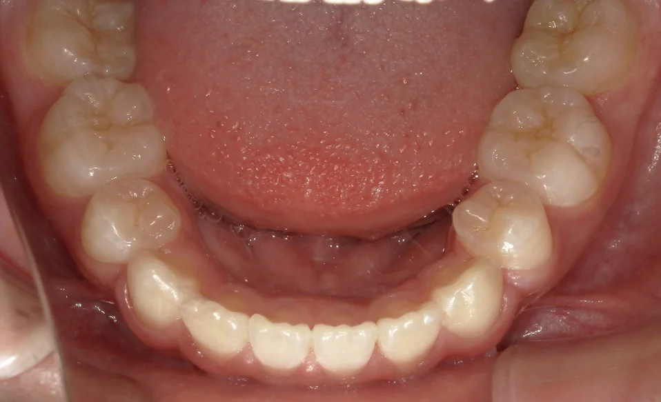
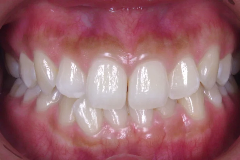
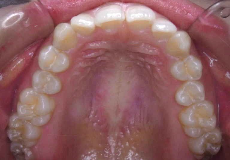
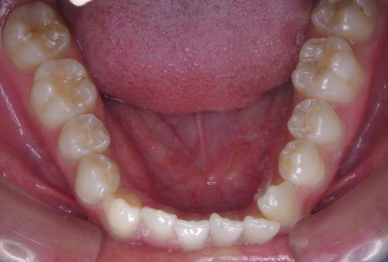
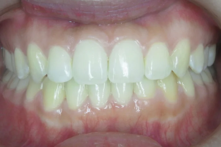
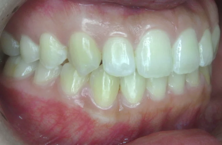
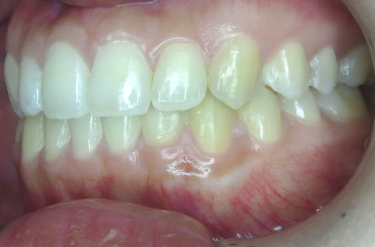
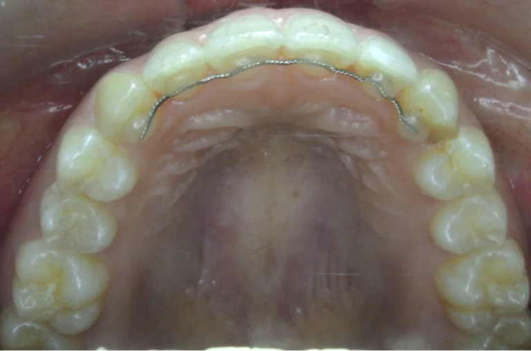
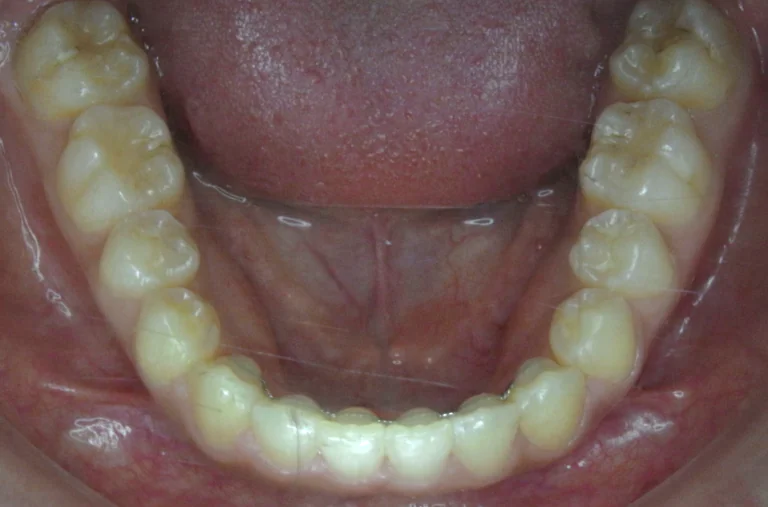
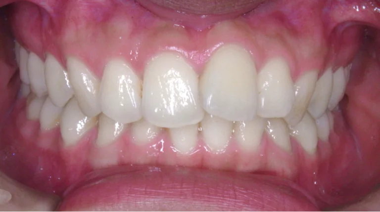
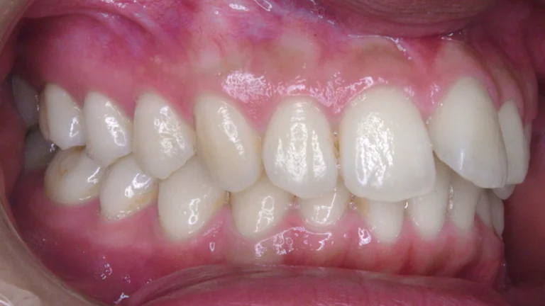
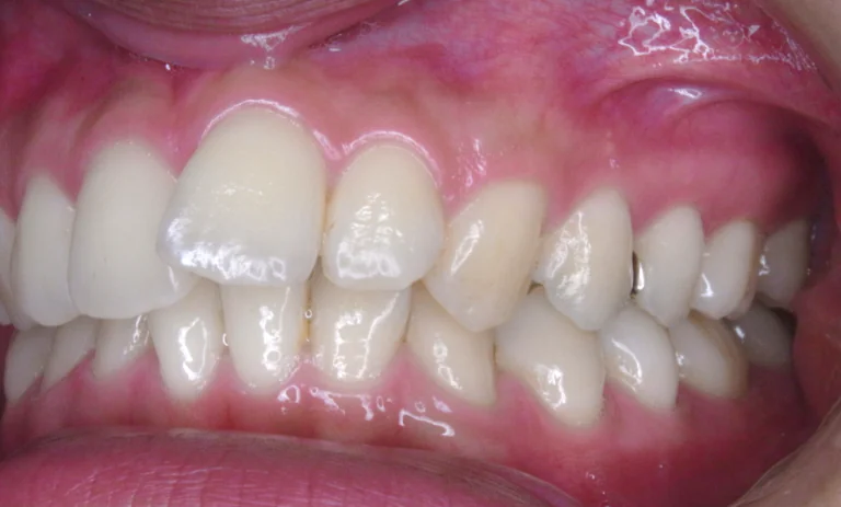
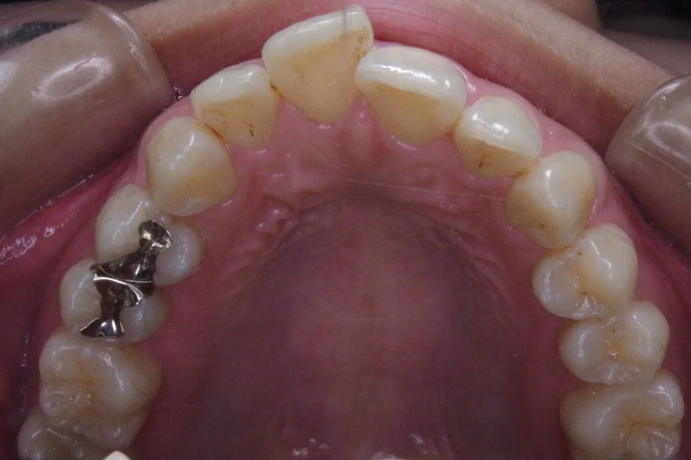
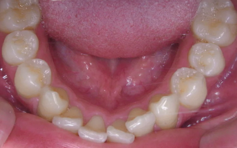
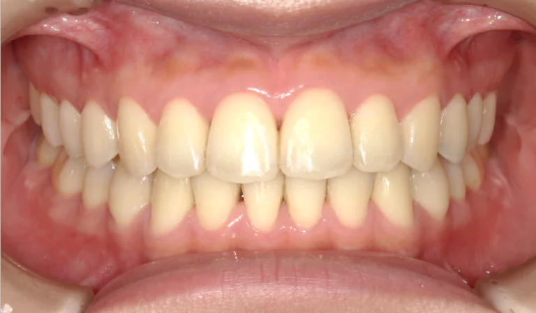
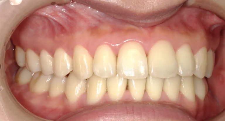
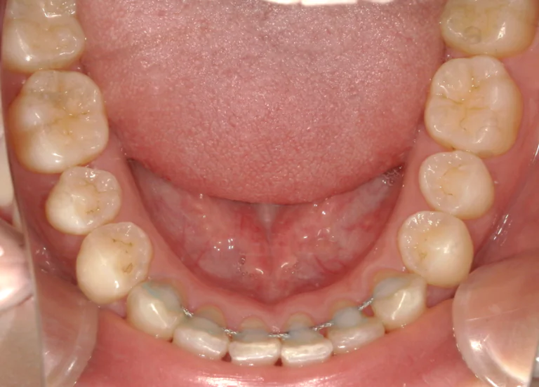
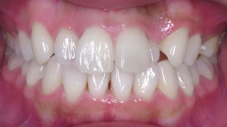
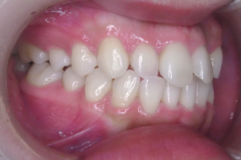
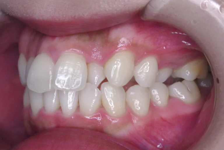
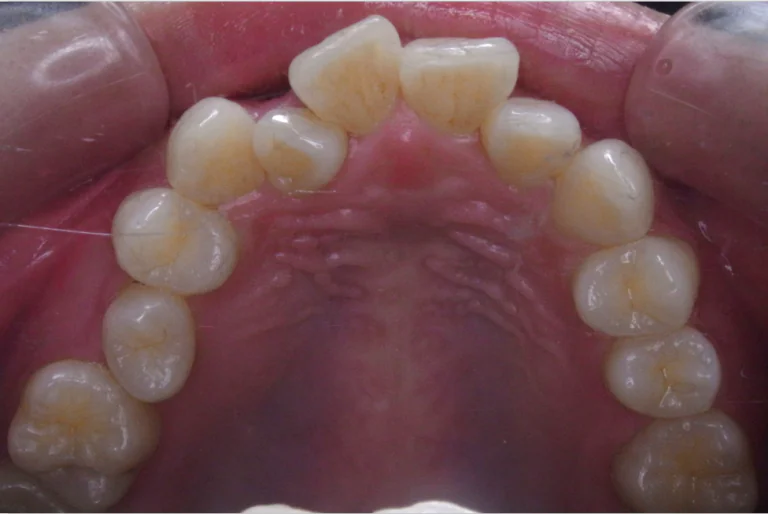
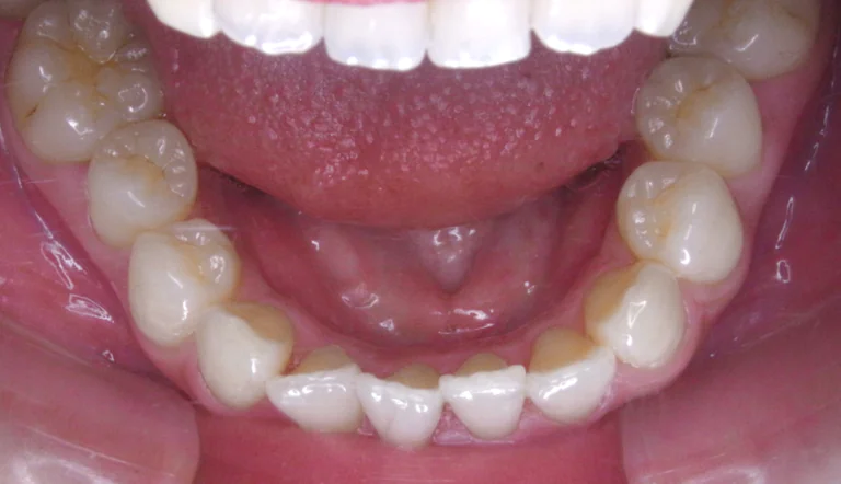
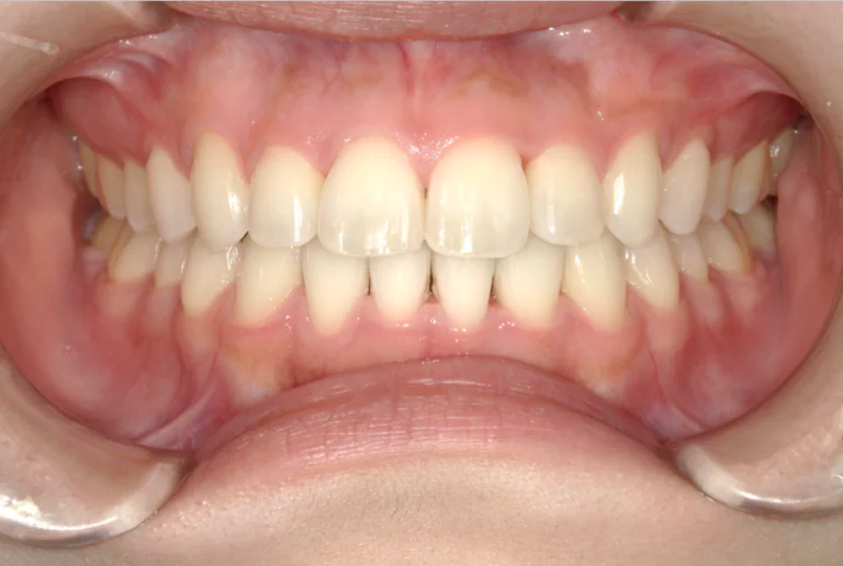
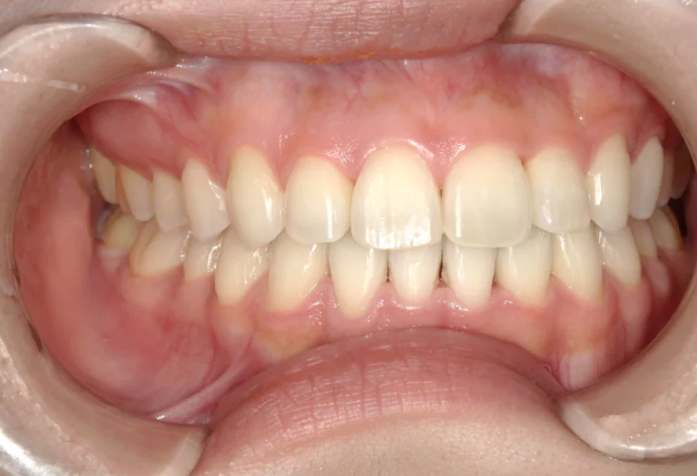
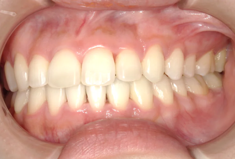
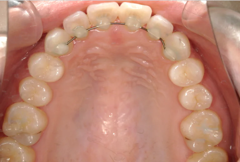
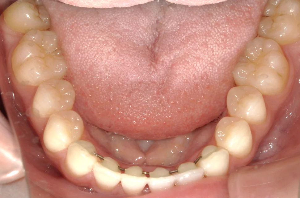
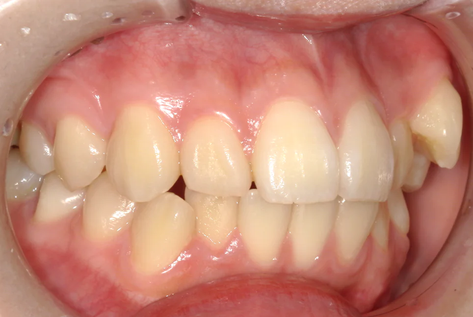
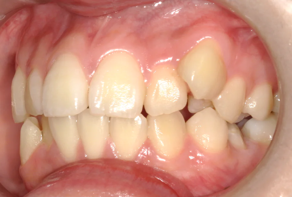
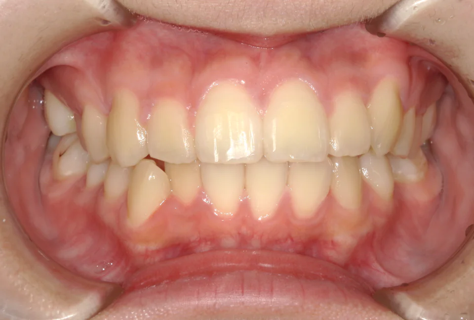
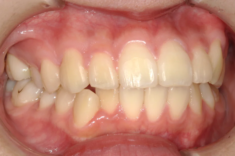
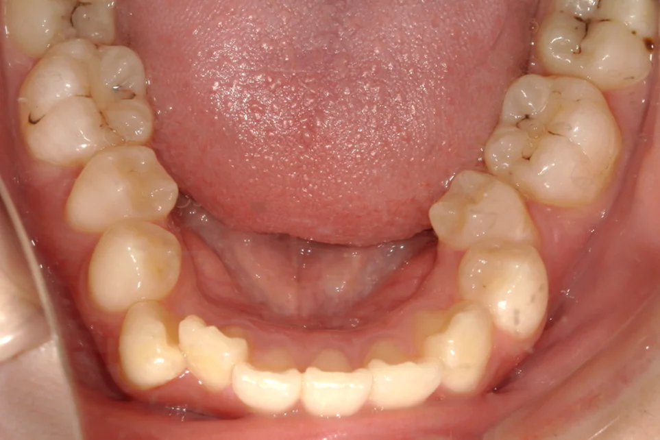
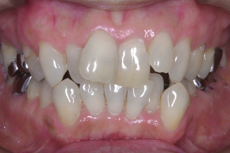
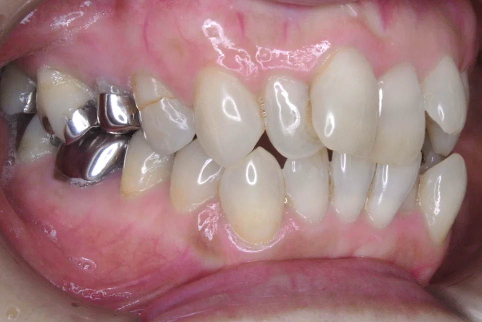
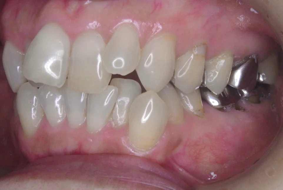
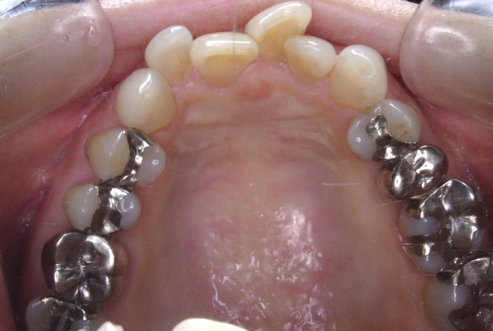
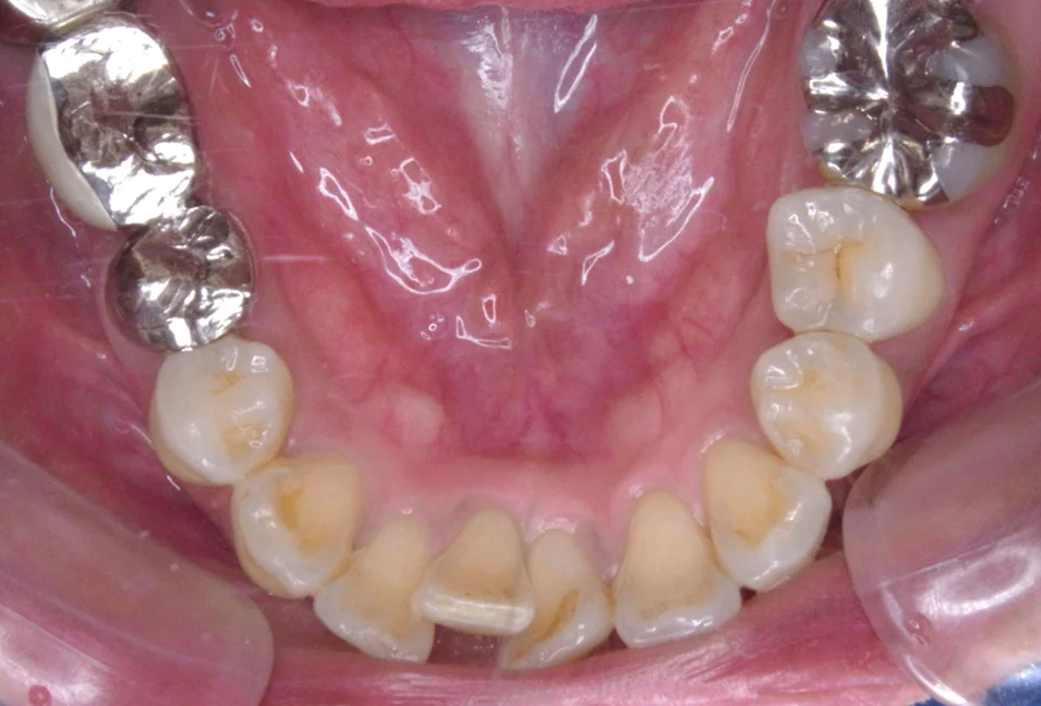
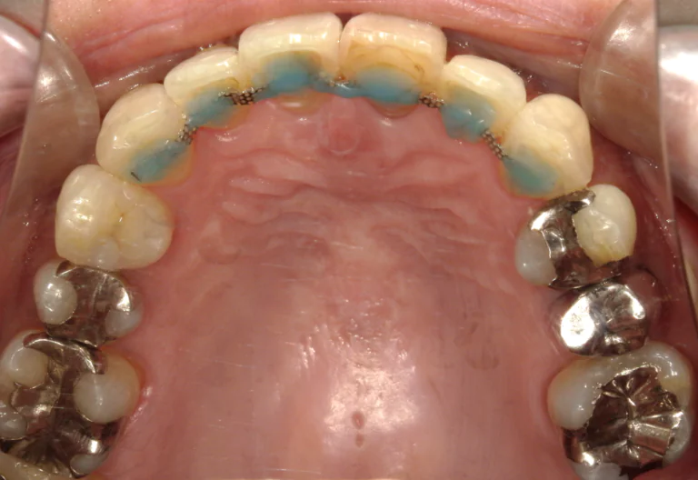
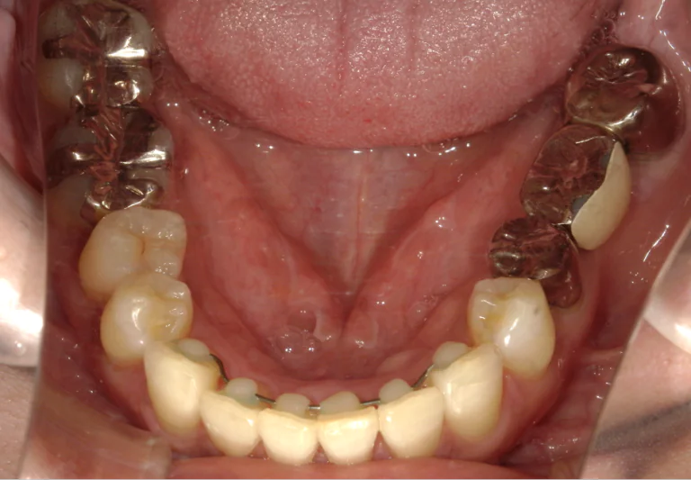
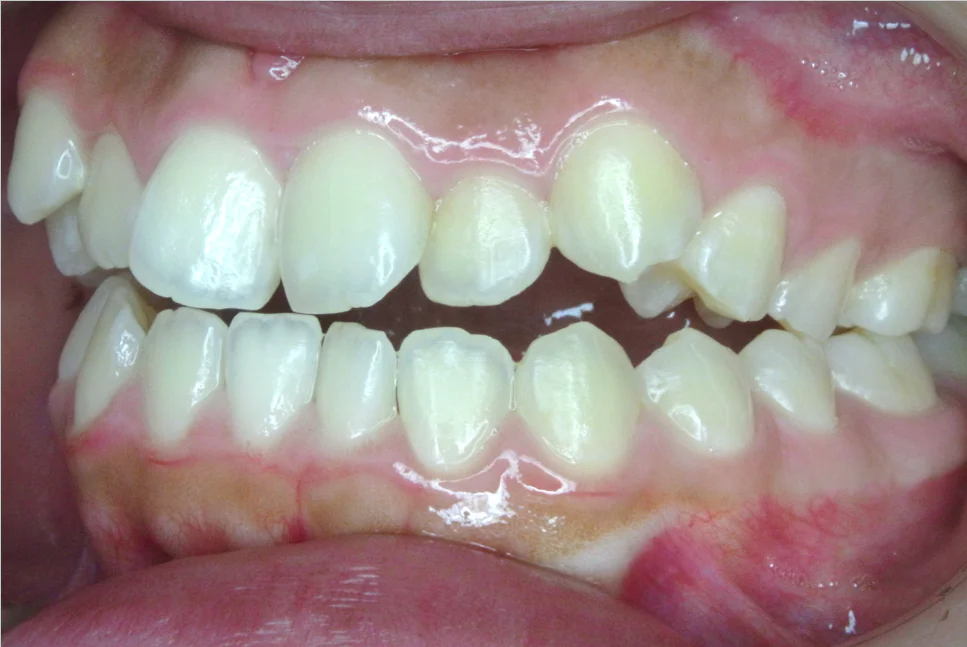
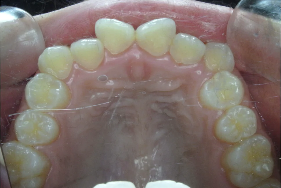
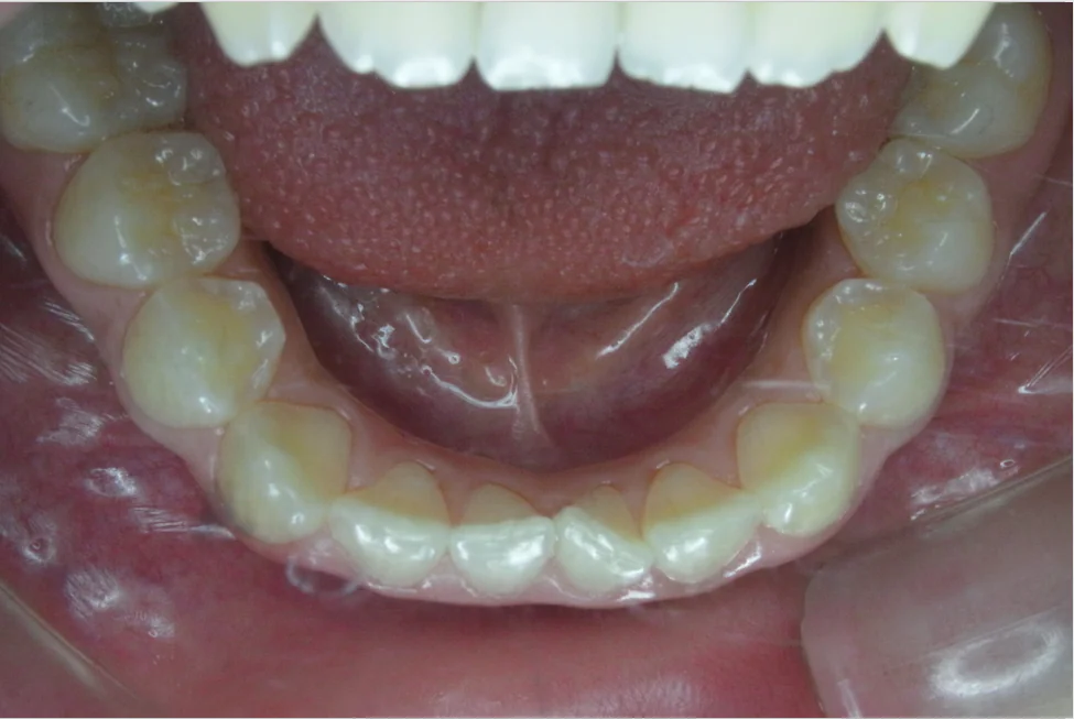
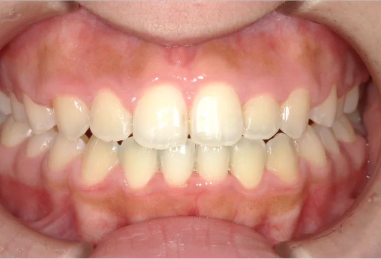
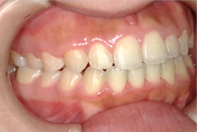
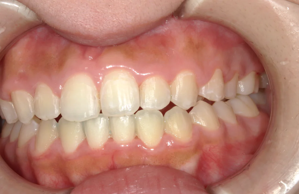
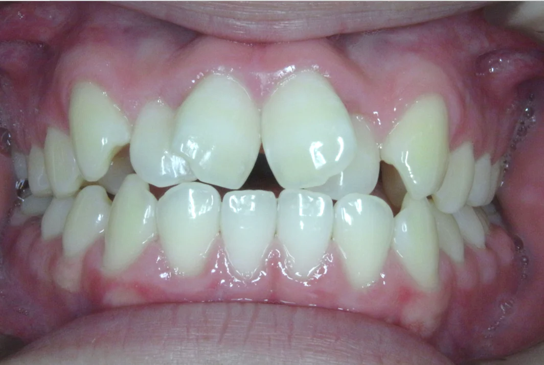
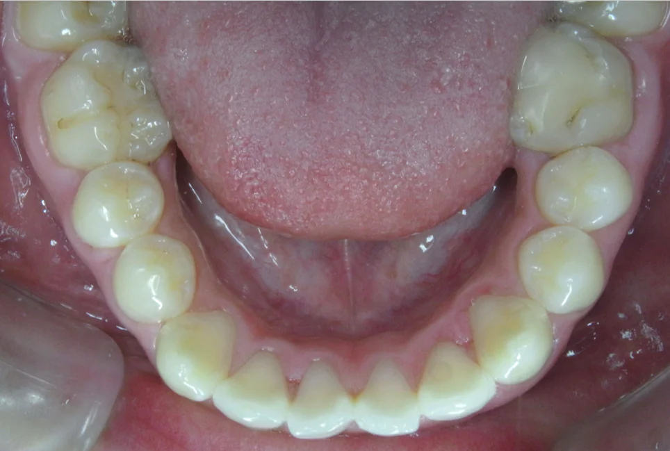
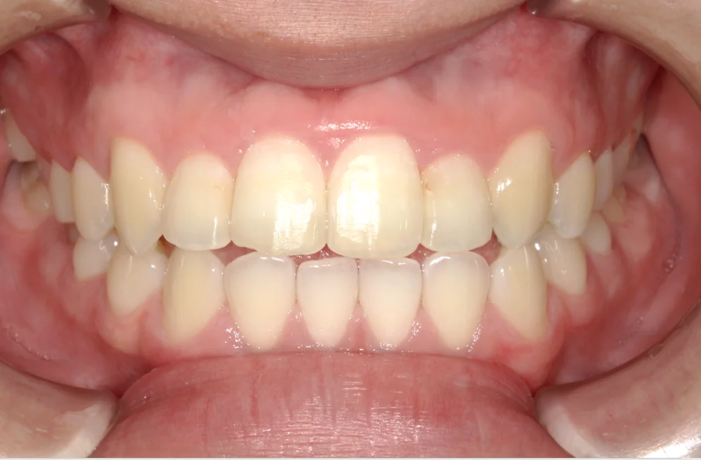
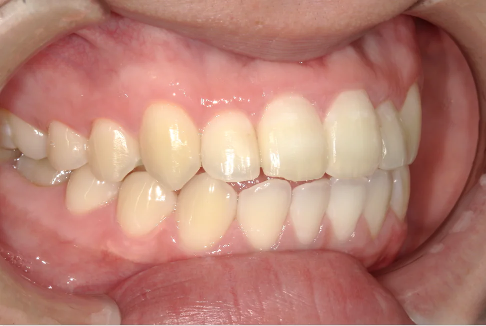
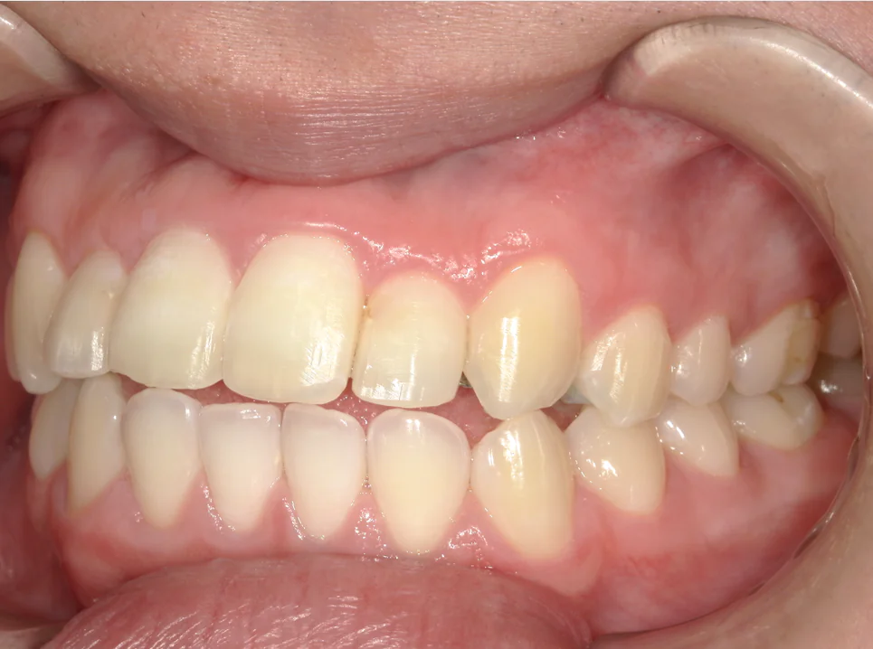
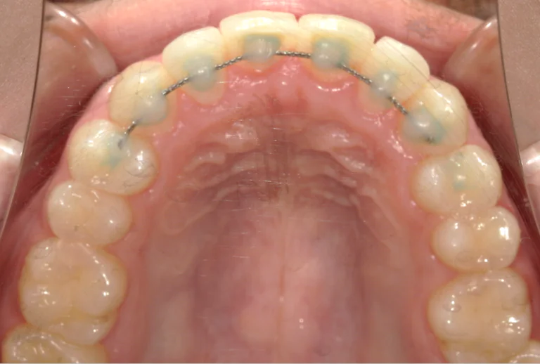
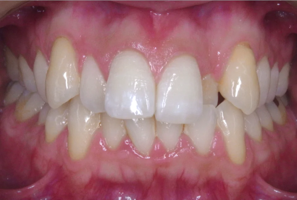
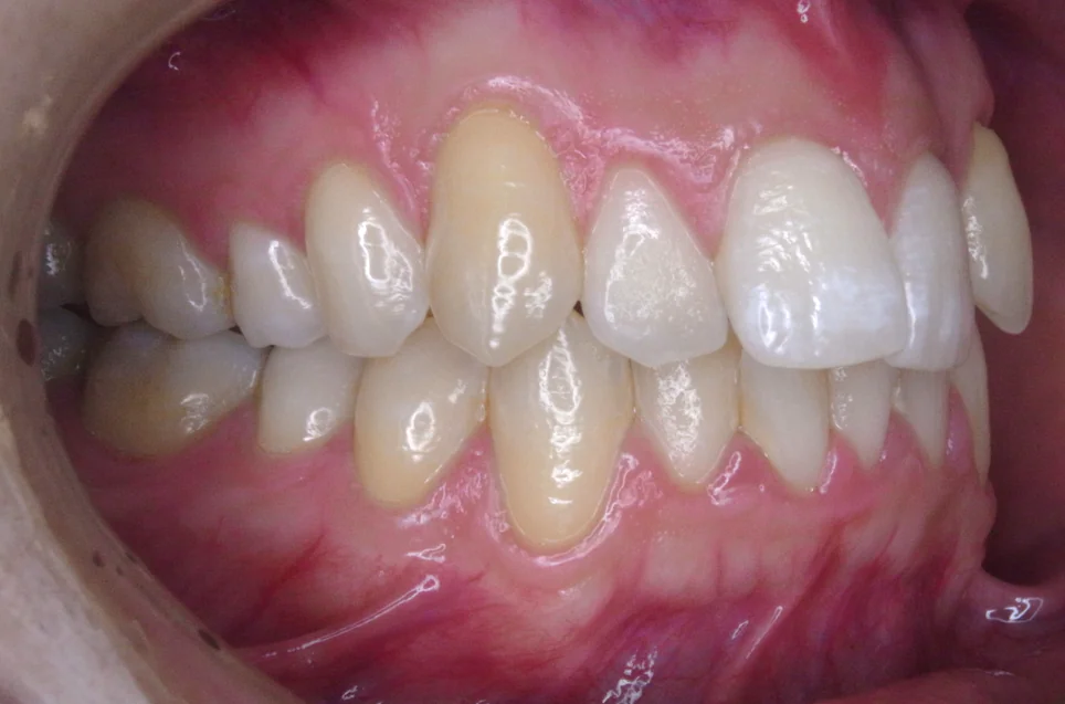
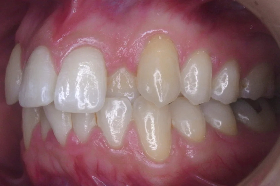
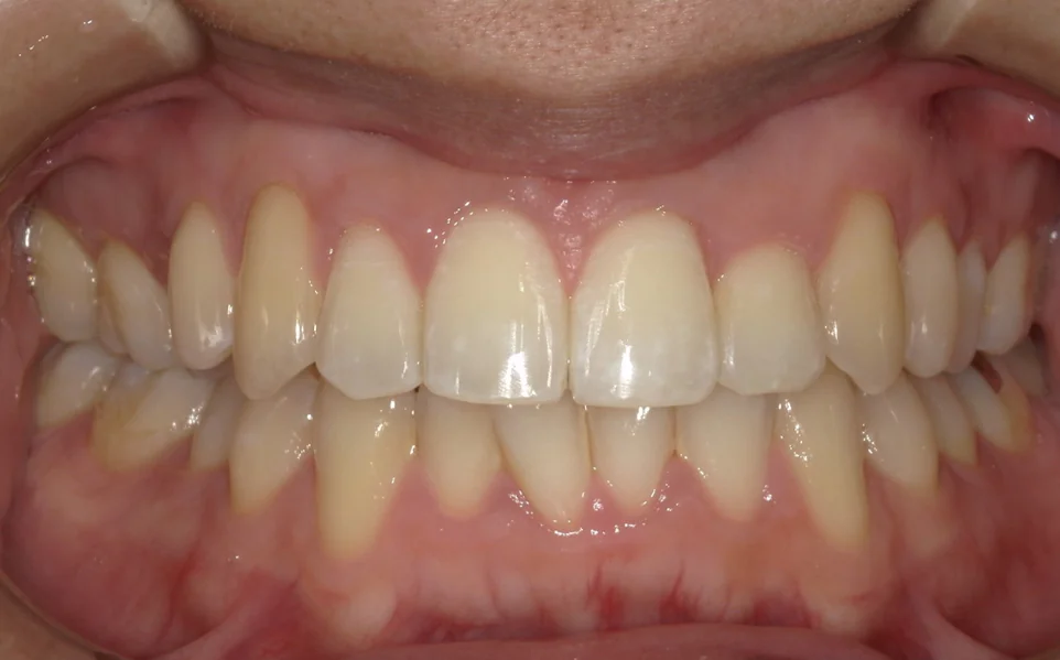
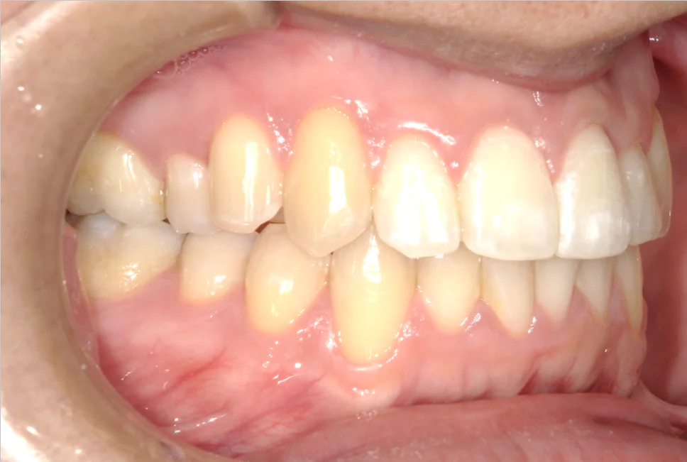
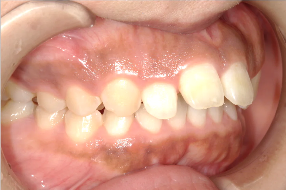
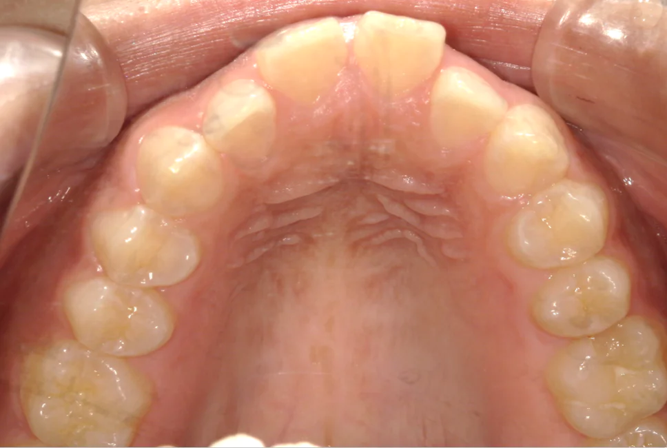
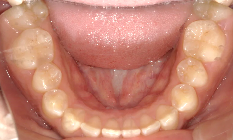
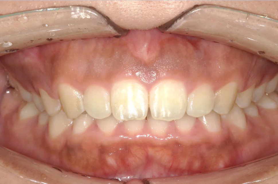
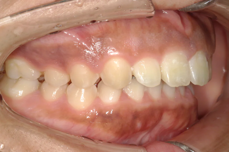
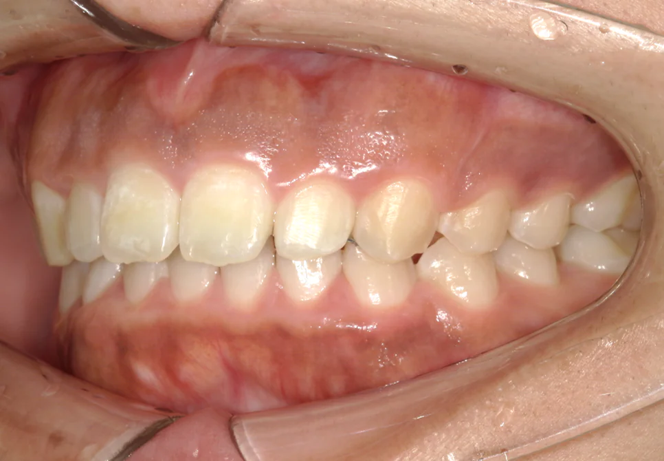
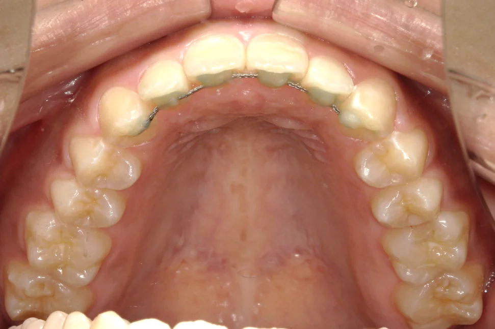
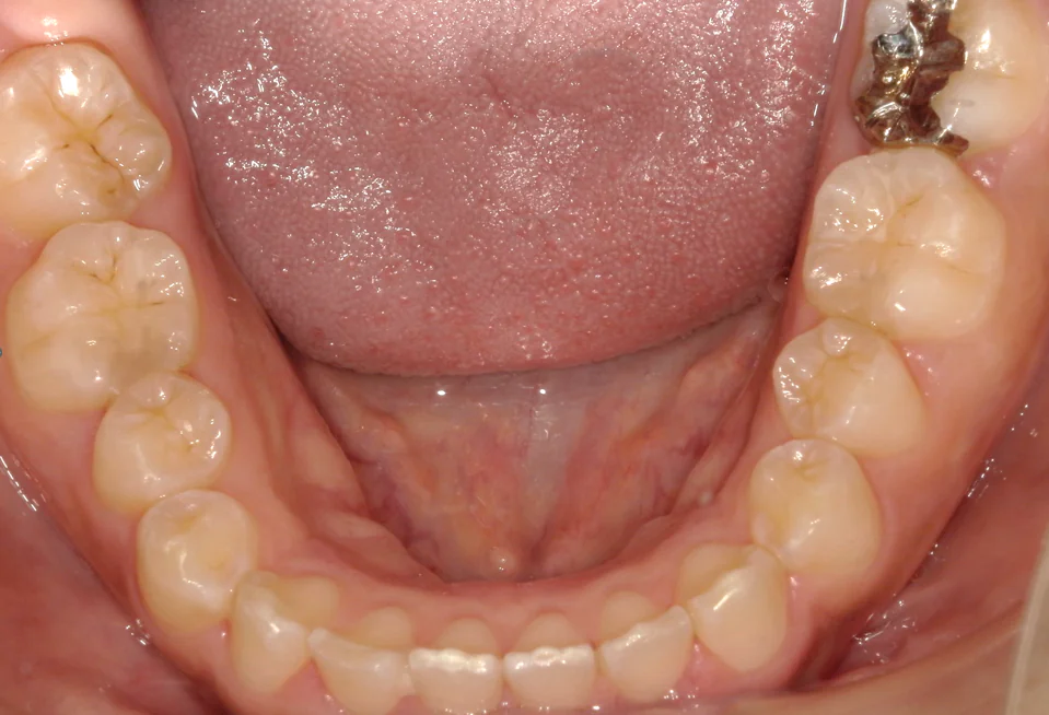
全顎矯正の症例紹介①

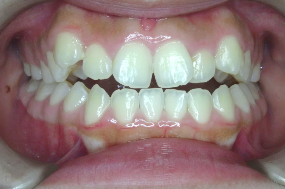
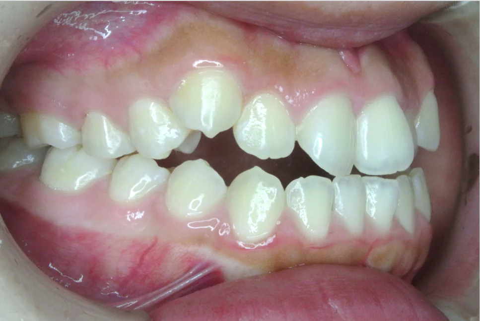
Before




After





主訴
前歯のデコボコが気になる
治療内容
全顎にブラケットを装着。途中バイトアップして、前歯のクロスバイト
を改善した。咬合をしっかりさせる為、顎間ゴムを使用。
治療費
850,000(税込)
治療期間
11ヶ月
通院回数
11回
想定されたリスク
※歯列の特徴上、歯列の後戻りが想定された。
小屋敷英樹先生
ひまわり歯科矯正歯科
歯列のデコボコとクロスバイトの症状がみられたため、全顎にブラケットを装着した後、咬合のバランスを整えるため、顎間ゴムを使用しました。
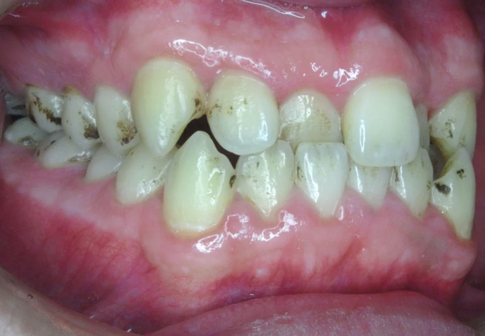
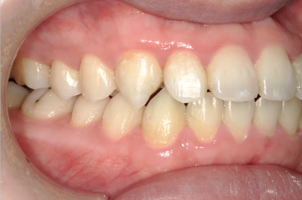
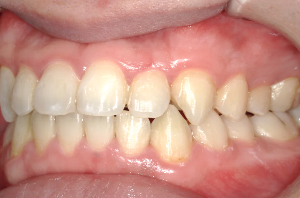
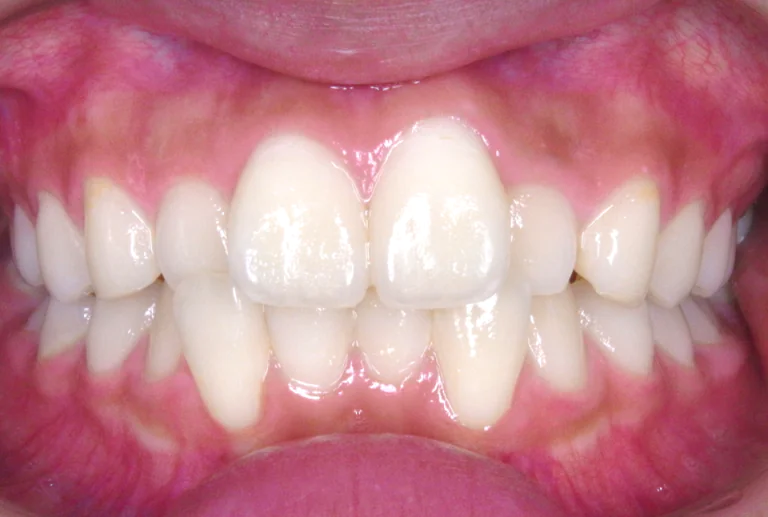
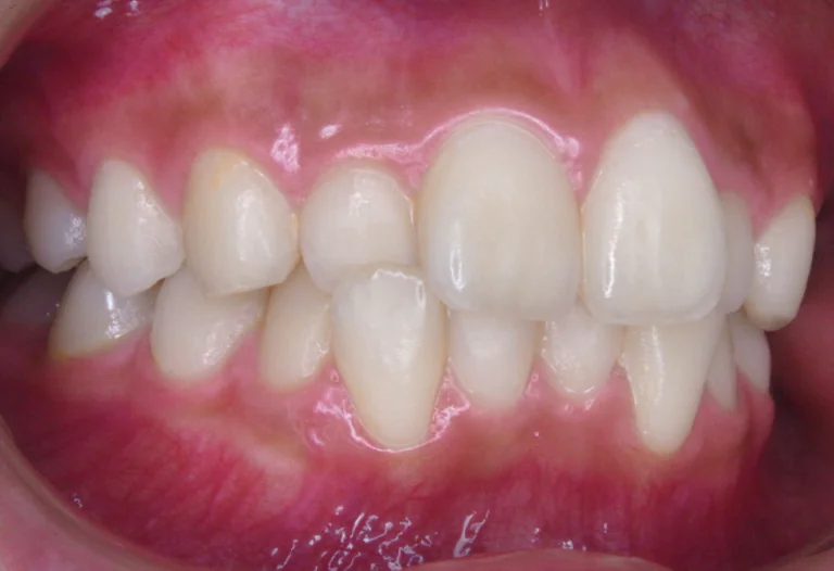
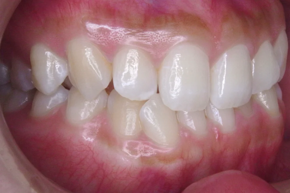
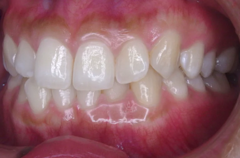
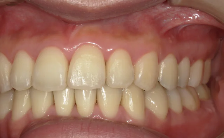
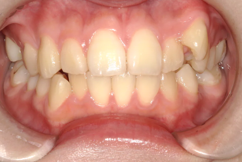
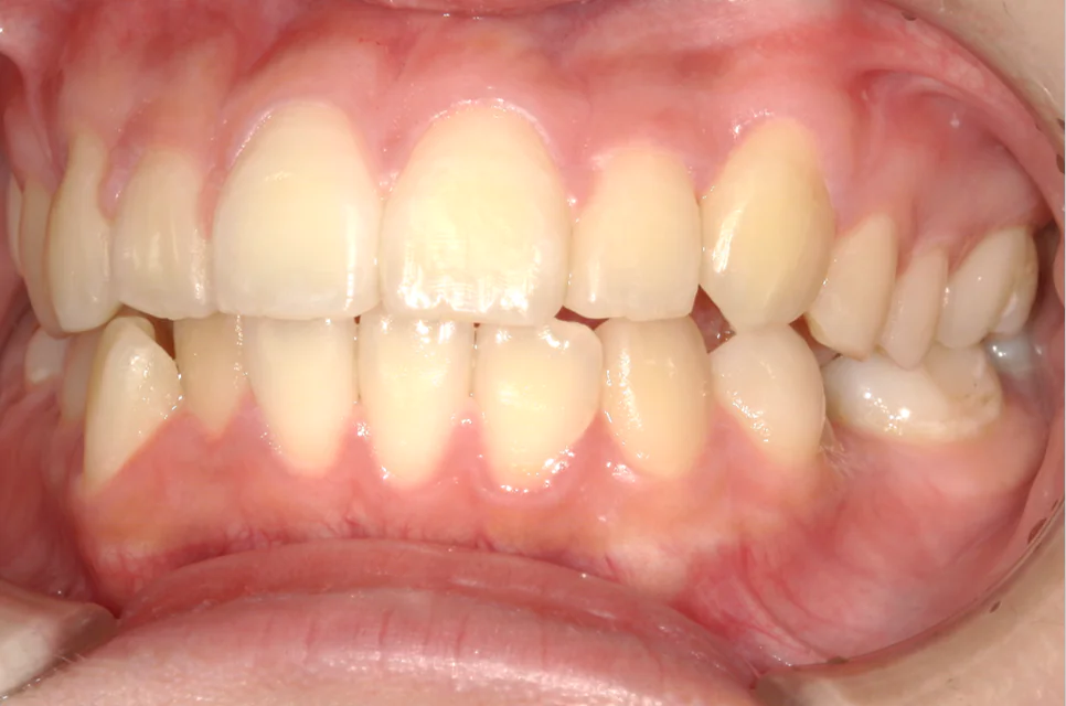
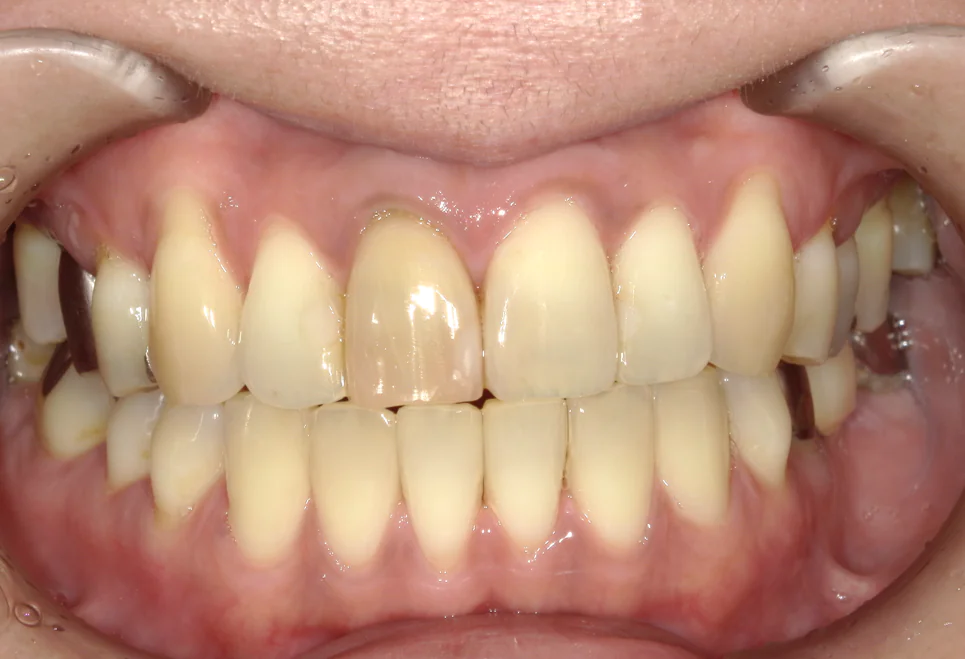
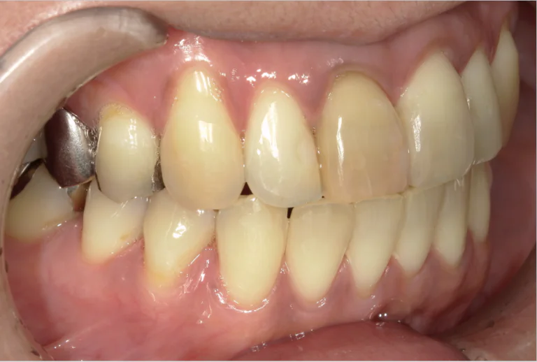
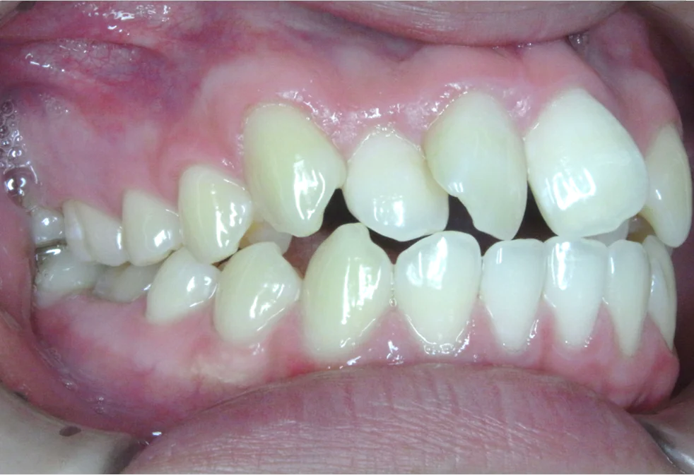
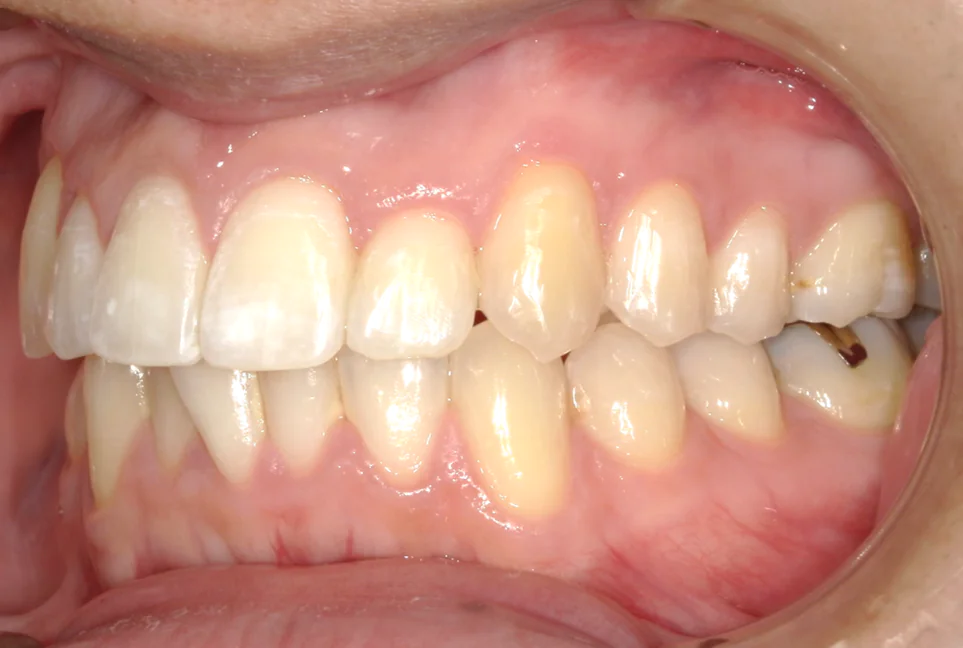
全顎矯正の症例紹介②

Before




After





主訴
歯並びを良くしたい
治療内容
全顎にブラケットを装着。途中バイトアップしてクロスバイトを改善。
治療費
700,000(税込)
治療期間
17ヶ月
通院回数
17回
想定されたリスク
※下顎上下顎叢生やクロスバイトの症状のため、矯正後の後戻りが想定された。
小屋敷英樹先生
ひまわり歯科矯正歯科
歯列の乱れがある場合、ブラケットを全顎に装着し、歯を適切な位置へ移動させることで歯列の改善を図りました。
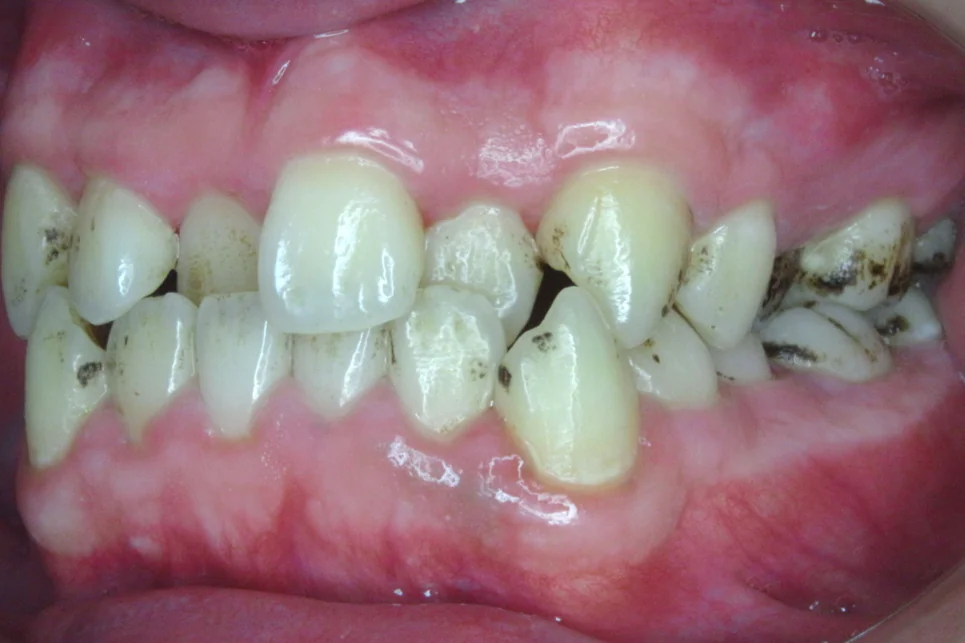
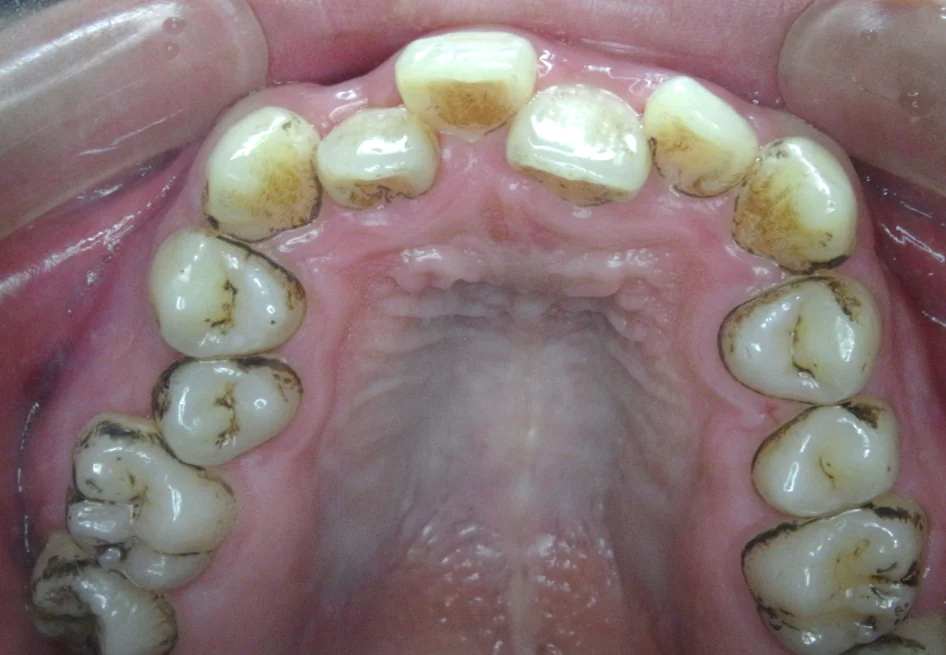
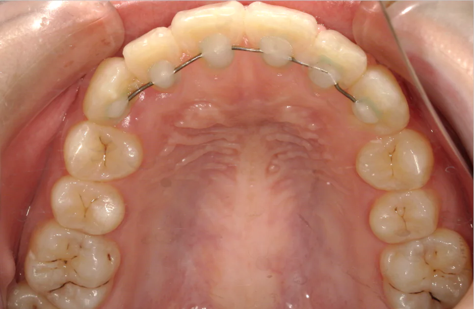
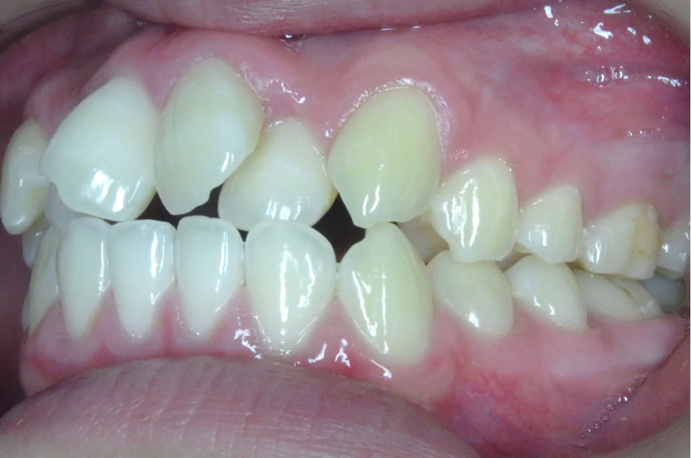
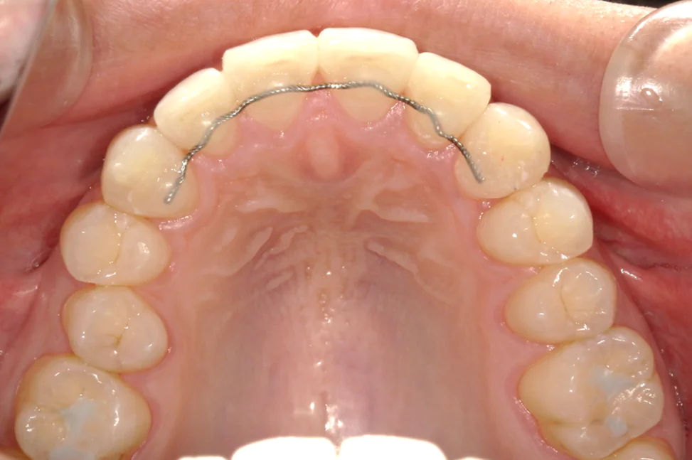
全顎矯正の症例紹介③

Before




After





主訴
上下がガタついて口元が出ている
治療内容
上下小臼歯を 4 本抜歯。歯のガタつきを治し、顎間ゴムを使用して咬合をしっかりさせた。
治療費
830,000(税込)
治療期間
17ヶ月
通院回数
17回
想定されたリスク
※まだ成長期の為、矯正後も悪癖による後戻りが起きやすいことが想定された。上下取り外し式のリテーナーをセット。
小屋敷英樹先生
ひまわり歯科矯正歯科
上下の歯にガタつきがあり、口元が突出している状態が見られました。歯列の乱れを改善するため、ブラケットを装着し、歯を適切な位置へ移動させる処置を行いました。
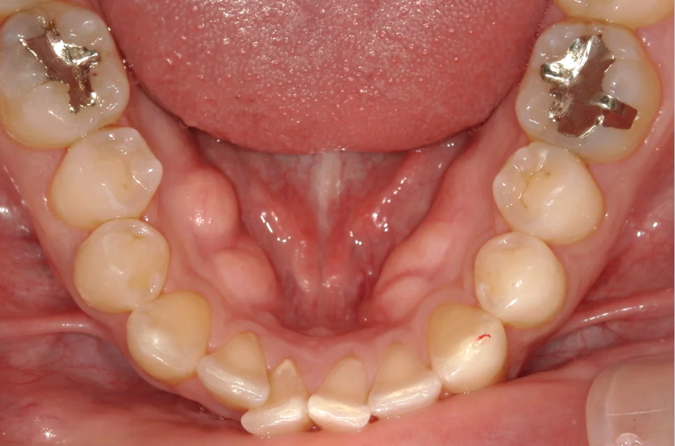
全顎矯正の症例紹介④

Before




After





主訴
上下の歯のガタつきを治したい
治療内容
全顎にブラケット装着
治療費
780,000(税込)
治療期間
21ヶ月
通院回数
21回
想定されたリスク
※前歯の被蓋を改善させた為、歯列の後戻りが想定された。マウスピースによる保定を実施。
小屋敷英樹先生
ひまわり歯科矯正歯科
上下の歯のガタつきを改善するため、全顎にブラケットを装着し、歯列の調整を行いました。
全顎矯正の症例紹介⑤

Before




After





主訴
歯のガタつきと上前歯が出ている
治療内容
ワイヤーにて歯列の拡大。顎間ゴムを使用し、左右のズレを治し咬合させた。
治療費
800,000(税込)
治療期間
25ヶ月
通院回数
25回
想定されたリスク
※下顎両親知らずがあったため、後戻りのリスクがありました。
小屋敷英樹先生
ひまわり歯科矯正歯科
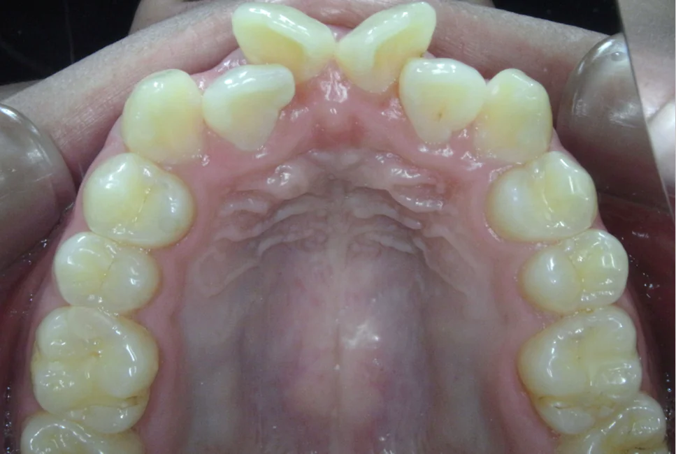
歯列弓狭窄とは、歯列弓(歯が並ぶアーチの形)が狭くなっている状態を指します。歯列弓が狭くなると、歯が並ぶスペースが不足し歯並びの乱れにつながることがあるため、ワイヤーによる歯列の拡大を行います。
全顎矯正の症例紹介⑥

Before




After





主訴
上の歯が出て咬合が悪い。思い切り笑えない。
治療内容
咬合拳上を行う際、咬合改善の為、顎間ゴムを使用した。
治療費
830,000(税込)
治療期間
17ヶ月
通院回数
17回
想定されたリスク
※咬合拳上の際、歯並びの後戻りが予想されました。舌側固定とマウスピース保定を行いました。
小屋敷英樹先生
ひまわり歯科矯正歯科
咬合拳上は、歯のすり減りによって低くなった咬み合わせを適切な高さに戻す処置として行われます。咬合の安定を図ることで、咀嚼機能の向上や顎関節への負担軽減が期待できます。
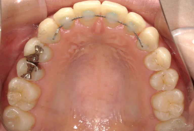
部分矯正の症例紹介①

Before




After





主訴
左上の八重歯が気になる
治療内容
左側は小臼歯までブラケットを装着しました。
治療費
300,000(税込)
治療期間
6ヶ月
通院回数
6回
想定されたリスク
※左上八重歯が後戻りすることが予想された。裏から固定し、その上からマウスピースで保定した。
小屋敷英樹先生
ひまわり歯科矯正歯科
部分矯正として、左側は小臼歯までブラケットを装着しました。左側臼歯部の狭くなった歯列を広げることで、歯と歯の間を削る量を抑えながら歯列を整えます。
部分矯正の症例紹介②

Before




After





主訴
前歯のがたつきが気になる
治療内容
上下とも第一大臼歯までブラケットを装着し、ほぼ全額矯正に近い形になった。
治療費
650,000(税込)
治療期間
18ヶ月
通院回数
18回
想定されたリスク
※咬合の不安定化が予想されたため、古い被せ物をセラミックに変え顎間ゴムを使用して咬合を整えた。
小屋敷英樹先生
ひまわり歯科矯正歯科
ブラケットは、歯のガタつきをはじめ、さまざまな不正咬合の治療に対応できる金具です。定期的に調整しながら、歯列を整えていきます。
部分矯正の症例紹介③

Before




After





主訴
上下前歯のがたつきを治したい
治療内容
右上第二小臼歯から左上第一大臼歯。下顎第一小臼歯間にブラケットを装着。主に上顎に IPR、 開口を治す為、前歯部に顎間ゴムを使用。
治療費
480,000(税込)
治療期間
10ヶ月
通院回数
10回
想定されたリスク
※犬歯が低い位置にあり、開口で後戻りしやすくなることが予想された。リテーナーとマウスピースにて保定。
小屋敷英樹先生
ひまわり歯科矯正歯科
開口は、歯を噛み合わせたときに上下の前歯が噛み合わず、隙間が空いている状態のことを指します。
部分矯正の症例紹介④

Before




After





主訴
上前歯のがたつきを治したい
治療内容
上顎小臼歯間にブラケット装着。IPRとオープンコイルを使用。
治療費
280,000(税込)
治療期間
11ヶ月
通院回数
11回
想定されたリスク
※後戻り防止が予想されたため、リテーナーとマウスピースにて保定。
小屋敷英樹先生
ひまわり歯科矯正歯科
上顎前歯部に歯のガタつきがあると、顎に負担がかかったり、むし歯や歯周病のリスクも高まってしまいます。
部分矯正の症例紹介⑤

Before




After





主訴
上の歯がデコボコで咬み合わせが悪い。上のみ部分矯正希望
治療内容
小臼歯~小臼歯の範囲にブラケット。途中、2 歯の反対咬合を治すため
バイトアップした。IPR。
治療費
330,000(税込)
治療期間
9ヶ月
通院回数
9回
想定されたリスク
※反対咬合の矯正においては歯列の後戻りが予想されたため、舌側固定とマウスピースで保定。
小屋敷英樹先生
ひまわり歯科矯正歯科
下の前歯が上の前歯より前に出ている状態のことを反対咬合といいます。見た目だけでなく、噛む力の低下、むし歯や歯周病のリスクも考えられます。
部分矯正の症例紹介⑥

Before




After





主訴
上の歯が出ている。すきっ歯を治したい。
治療内容
小臼歯間にブラケットを装着
治療費
280,000(税込)
治療期間
6ヶ月
通院回数
6回
想定されたリスク
※すきっ歯は咬み合わせによる後戻りがしやすいので、舌側固定とマウスピース保定を使用。
小屋敷英樹先生
ひまわり歯科矯正歯科
上の前歯が前に傾いていたり、上顎全体が前方に突出していることを上顎前突といいます。遺伝的な要因もありますが、指しゃぶりや舌の癖でも起こります。
ひまわり歯科矯正歯科
🕑 [月・火・木・金]9:00~12:30/14:30~18:30
[土]9:00~12:30/14:30~16:30
※最終受付は、各診療時間終了の15分前までとなっております。
休診日:水曜日・日曜日・祝日




