はらだ歯科クリニック 症例紹介

担当歯科医師:
原田 泰光(はらだ歯科クリニック)
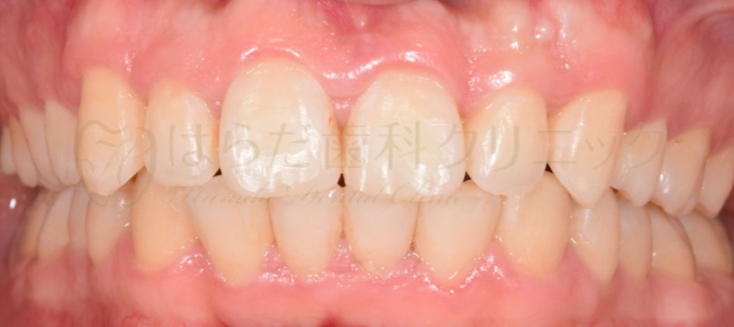
舌側矯正の症例紹介

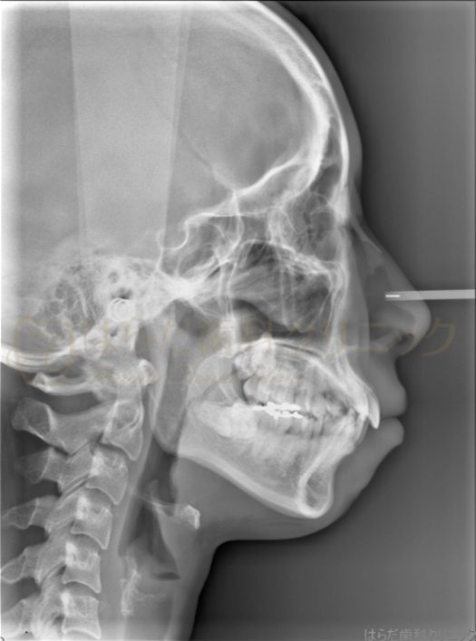
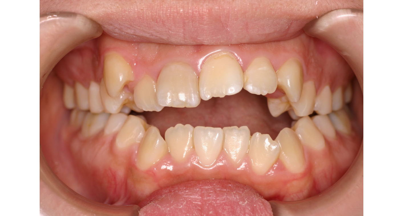
Before

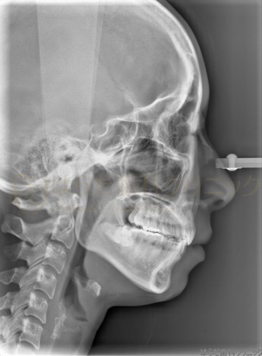
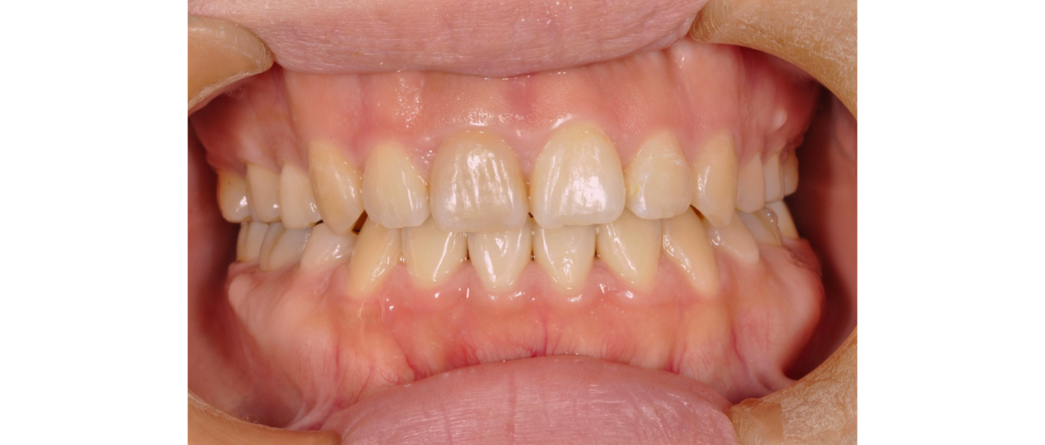
After

Before

After

Before

After

主訴
上下の歯並びが気になるけれども矯正器具が目立つのも気になる
治療内容
舌側矯正
スペースを確保するため上下左右4番目を抜歯いたしました。
その後、全体的に歯の裏にて矯正をいたしました。
今回使用した矯正装置はメタルブラケットになります。
治療費
総額:1,596,100円(税込)
矯正相談料:1,100円(税込)
矯正検査料:44,000円(税込)
矯正装置料:1,320,000円(税込)
抜歯料:22,000円(税込)(5,500円×4)
調整管理料:176,000円(税込)(5,500円×32)
保定装置料:33,000円(税込)
治療期間
約3年7か月
通院回数
35回
想定されたリスク
※以下の可能性がありました。
・歯が動くことに伴う痛み
・歯肉退縮、歯根吸収、矯正装置をつけることによるむし歯、歯周病のリスク
・しゃべりにくい、歯ブラシがしにくい
・治療期間が長くなる
原田 泰光先生
はらだ歯科クリニック
舌側矯正は難易度の高い治療のため、専門性の高い歯科医師に治療をお願いすることが重要です。矯正に関するどのような相談でもいいので、お気軽にお問い合わせください。
目次 -INDEX-
ワイヤー矯正の症例紹介①

Before

After

主訴
前歯のすき間が気になる
治療内容
矯正装置は目立たないものをご希望されておりましたので、白いブラスチックの装置(ホワイトブラケット)に対して、金属のワイヤーを通して矯正治療を行いました。
上下左右の3番目までが、白いプラスチックの装置(ホワイトブラケット)となり、6番目以降の歯は金属の装置(メタルブラケット)を使用しました。
治療費
総額:1,270,500円(税込)
内訳(全て税込)
矯正相談料:1,100円
精密検査料:44,000円
矯正装置料:715,000円(ホワイト)
矯正調整料:159,500円(5500円×29回)
保定装置料:33,000円(上下)
治療期間
約2年半
通院回数
30回
想定されたリスク
・舌突出癖や口呼吸が残っていると、矯正後に再び開咬が戻る。
・治療期間の長期化
原田 泰光先生
はらだ歯科クリニック
表側矯正であっても目立ちにくい矯正装置を使うことが可能です。患者さんの様々な要望に応えられるよう努めております。
ワイヤー矯正の症例紹介②

Before

After

主訴
八重歯と咬み合わせがを深いところを治したい
治療内容
ホワイトブラケットによるワイヤー矯正を行いました。
治療費
表側矯正
総額:909,600円(税込)
矯正相談料:1,100円(税込)
矯正検査料:44,000円(税込)
矯正装置料:705,000円(税込)
抜歯料:11,000円(税込)(5,500円×2)
調整管理料:115,500円(税込)(5,500円×21)
保定装置料:33,000円(税込)
治療期間
2年
通院回数
25回
想定されたリスク
※歯が動くことに伴う痛み、歯肉退縮、歯根吸収、矯正装置をつけることによるむし歯、歯周病のリスクに加え、ホワイトワイヤー、ホワイトブラケット選択時のリスクがありました。銀色のワイヤーを白く塗装しているものになるので塗装が剥げてしまう可能性、カレーなど色が濃い食べ物を食べると、矯正装置が変色してしまう可能性がありました。
原田 泰光先生
はらだ歯科クリニック
叢生など複雑化した歯並びであっても対応することが可能です。
はらだ歯科クリニック
🕑 [月~金]9:30~13:00/14:00~18:30
[土・日・祝]9:30~13:00/14:00~17:30
休診日:年末年始




