
歯科医師:
黒田 栄子(ふくしま矯正歯科クリニック)
プロフィールをもっと見る
小臼歯抜歯によるマルチブラケット治療の症例紹介(ふくしま矯正歯科クリニック)


黒田 栄子(ふくしま矯正歯科クリニック)
プロフィールをもっと見る
症例詳細
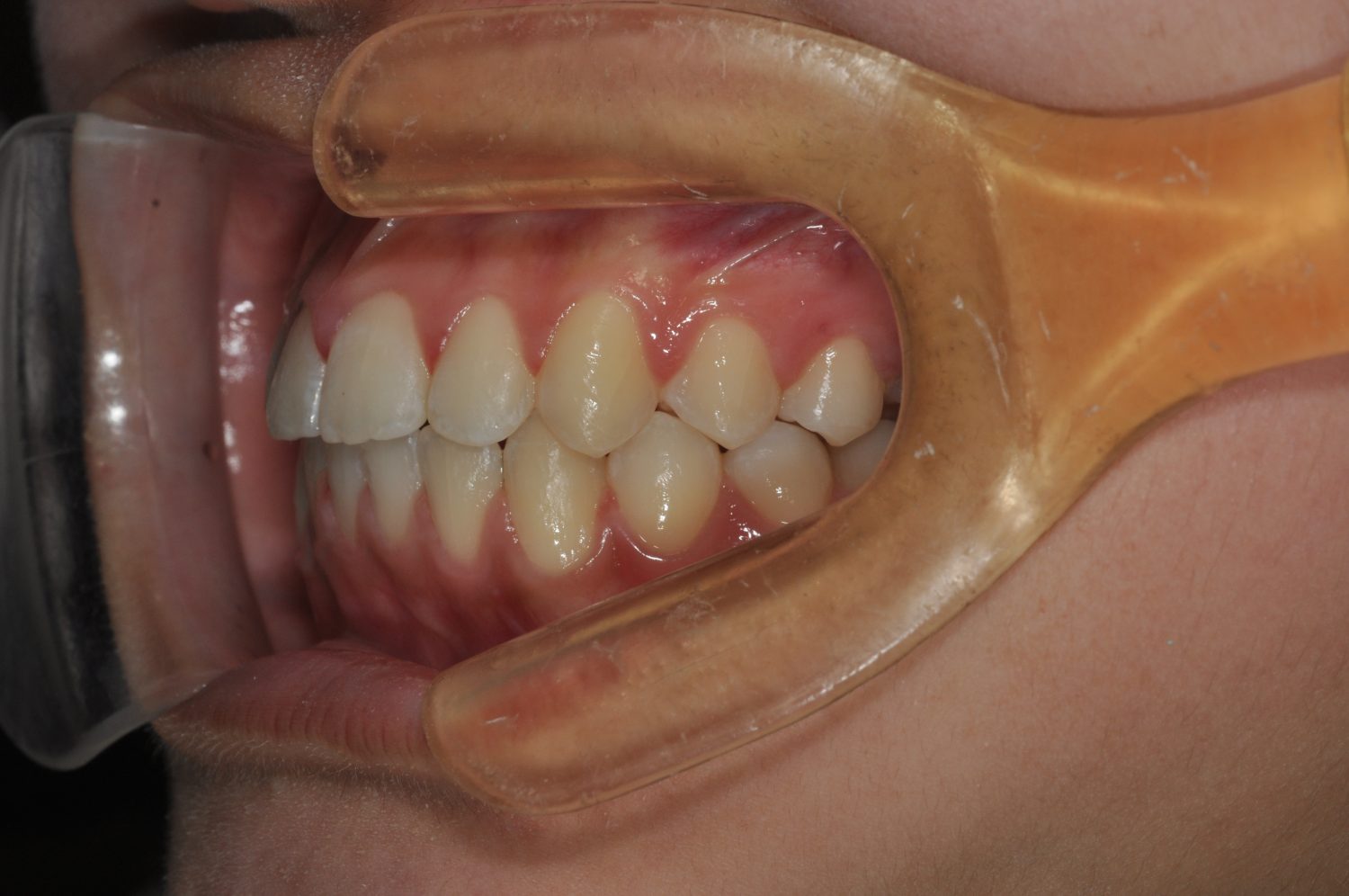
| 主訴 | 口唇の突出感 |
| 治療内容 | 小臼歯抜歯によるマルチブラケット治療 |
| 治療費 | Ⅱ期治療料金:330,000円(税込) 調整料 5,500円(税込)×19回 保定時:22,000円(税込) 計 456,500円(税込) |
| 治療期間 | 1年7ヶ月 |
| 治療回数 | 21回 |
| 想定されたリスク | 矯正後、後戻りする可能性がありました。また、歯根吸収や歯肉退縮のリスクがありました。 |
ふくしま矯正歯科クリニック
🕑 午前: 月火水金土日 10:00~12:30
午後: 月火水金土 14:00~19:00、日 14:00~17:00
休診日:木曜・祝日・日曜(第2、第4)・月曜(第1、第3、第5)
歯冠幅径が大きいことから、IPRを併用した非抜歯治療の症例紹介(ふくしま矯正歯科クリニック)


黒田 栄子(ふくしま矯正歯科クリニック)
プロフィールをもっと見る
症例詳細
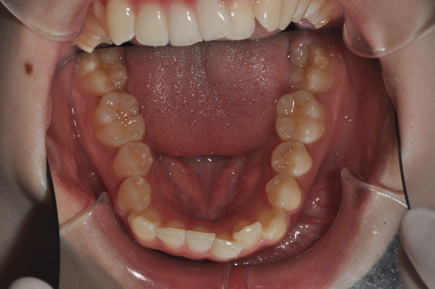
| 主訴 | 口上下顎のガチャガチャが気になる |
| 治療内容 | 歯冠幅径が大きいことから、IPRを併用した非抜歯治療 |
| 治療費 | Ⅱ期治療費:247,500円(税込) 調整料 5500円(税込)×11回 保定時:22,000円(税込) 計 330,000円(税込) |
| 治療期間 | 1年2ヶ月 |
| 治療回数 | 13回 |
| 想定されたリスク | 矯正中の清掃状況によってはむし歯や歯周病のリスクがありました。歯根吸収や歯肉退縮のリスクもありました。 |
担当医のコメント

ふくしま矯正歯科クリニック
黒田 栄子 歯科医師
Ⅰ期治療で前歯部反対咬合をセクショナルアーチとMPAを使用して改善した後、成長観察を行っていました。永久歯が萌出したため、Ⅱ期治療を開始することとなった。上下顎とも骨格的に問題がなかったため、非抜歯で治療を行った。
ふくしま矯正歯科クリニック
🕑 午前: 月火水金土日 10:00~12:30
午後: 月火水金土 14:00~19:00、日 14:00~17:00
休診日:木曜・祝日・日曜(第2、第4)・月曜(第1、第3、第5)
非抜歯でのマルチブラケット装置による治療の症例紹介(ふくしま矯正歯科クリニック)


黒田 栄子(ふくしま矯正歯科クリニック)
プロフィールをもっと見る
症例詳細
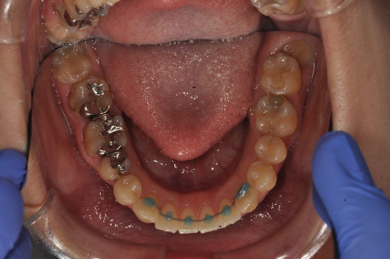
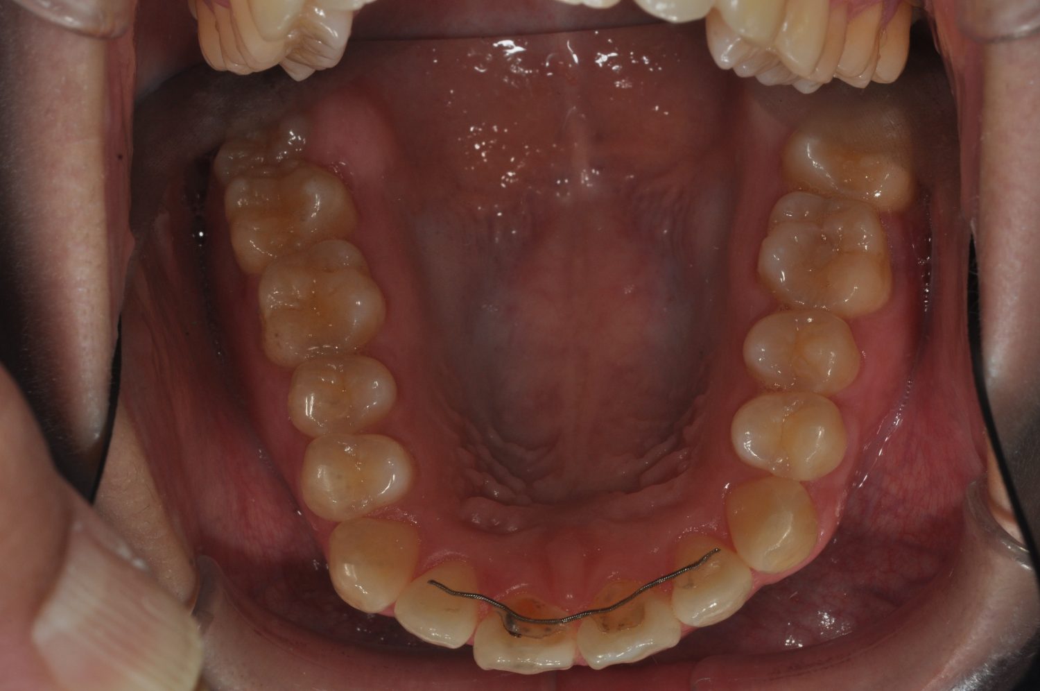
| 主訴 | 前歯部の叢生と正中の不一致 |
| 治療内容 | 軽度の叢生の改善を行うために、非抜歯でのマルチブラケット装置による治療を行った。 |
| 治療費 | Ⅱ期治療費:275,000円(税込) 調整料 5,500円(税込)×18回 保定時:22,000円(税込) 計 396,000円(税込) |
| 治療期間 | 2年2ヶ月 |
| 治療回数 | 20回 |
| 想定されたリスク | 矯正後に後戻りする可能性がありました。 |
担当医のコメント

ふくしま矯正歯科クリニック
黒田 栄子 歯科医師
Ⅰ期治療で叢生、反対咬合の改善をセクショナルアーチとMPAを使用して改善した後、成長観察を行っていました。永久歯の萌出したため、Ⅱ期治療を開始することとなった。上下顎とも骨格的に問題がなかったため、非抜歯で治療を行った。
ふくしま矯正歯科クリニック
🕑 午前: 月火水金土日 10:00~12:30
午後: 月火水金土 14:00~19:00、日 14:00~17:00
休診日:木曜・祝日・日曜(第2、第4)・月曜(第1、第3、第5)
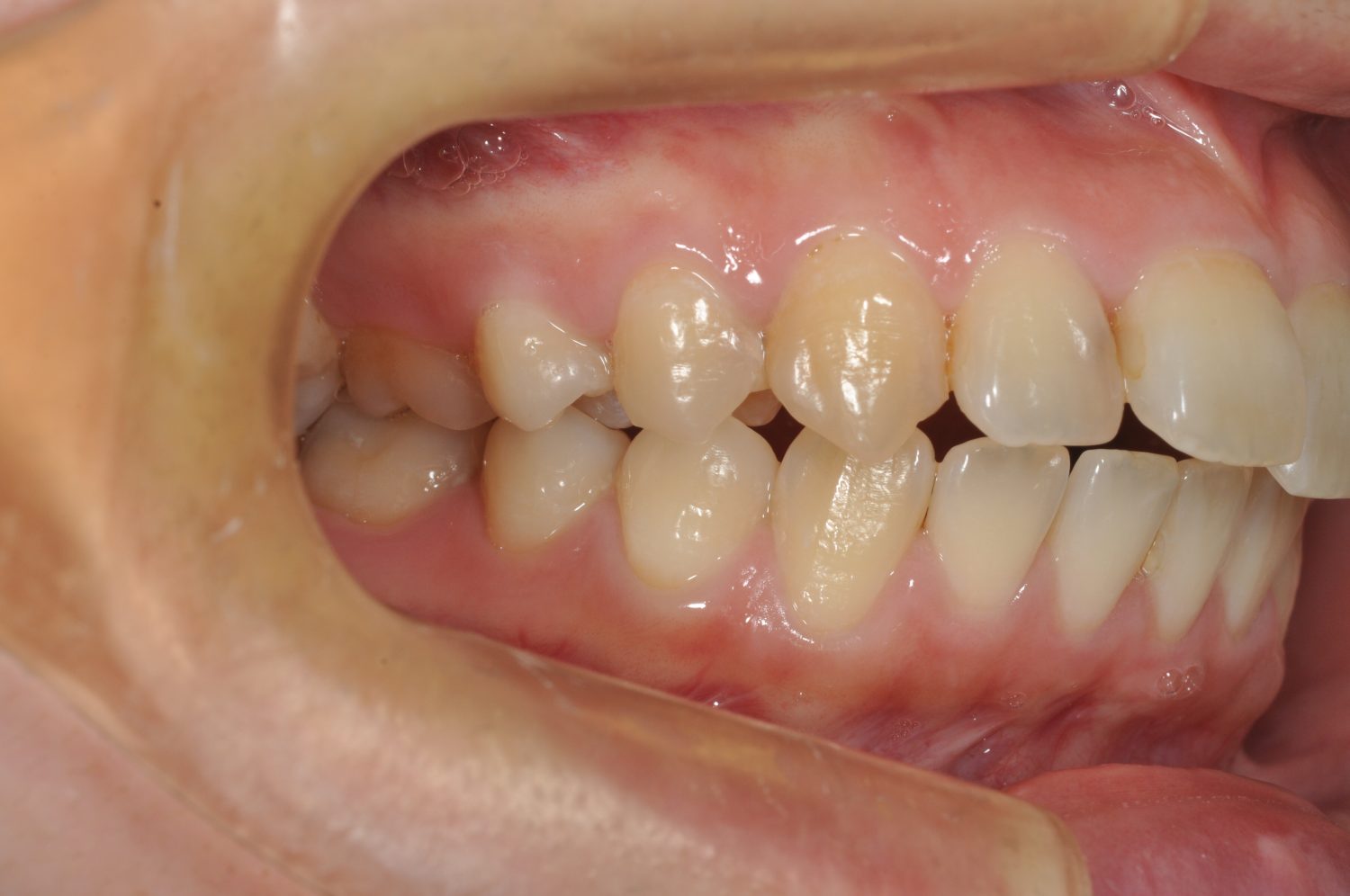
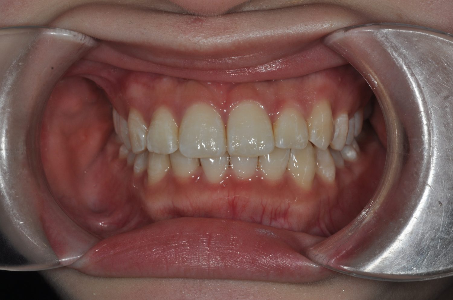
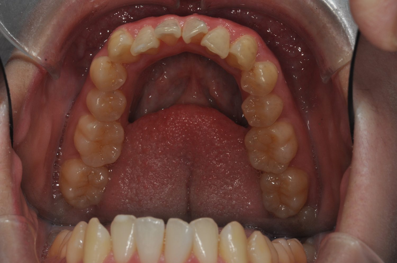
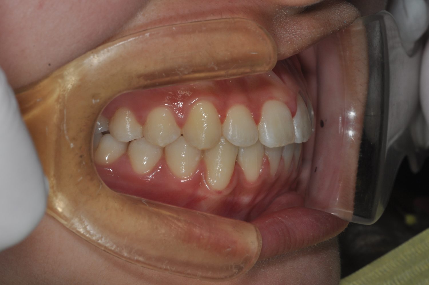
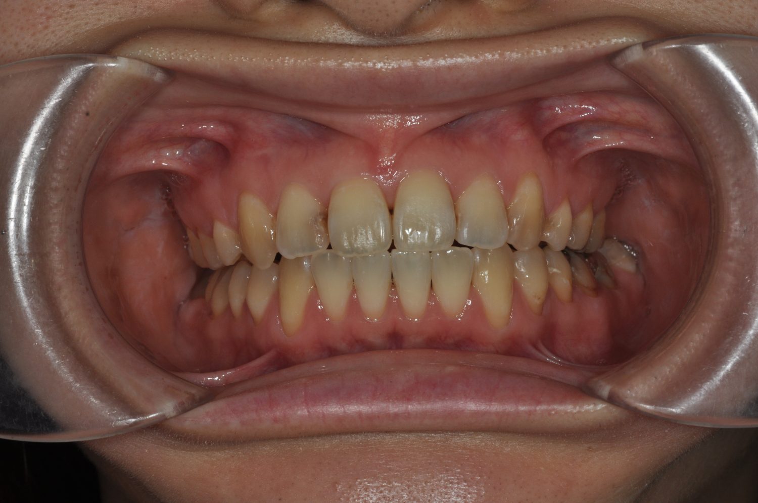
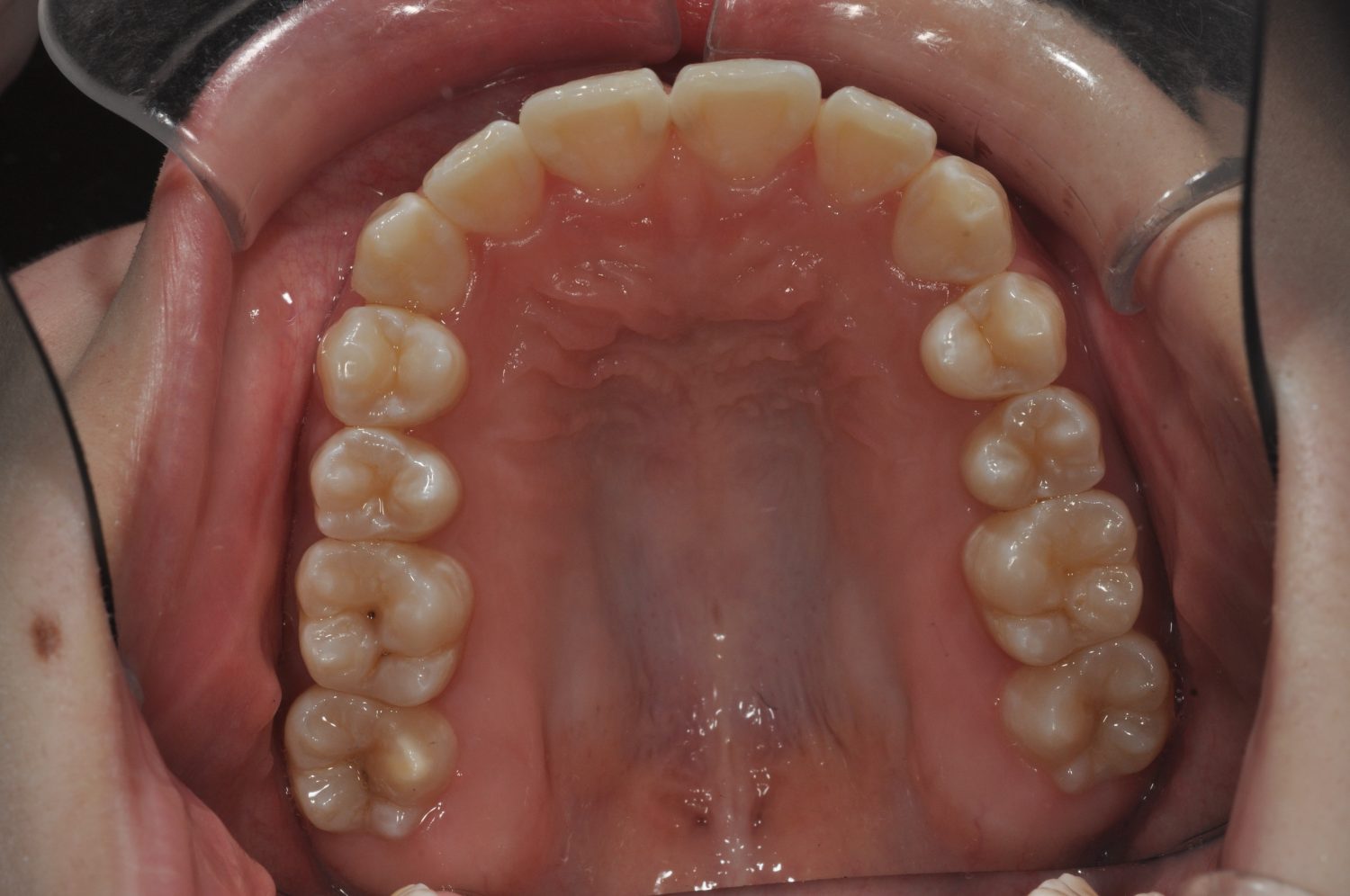
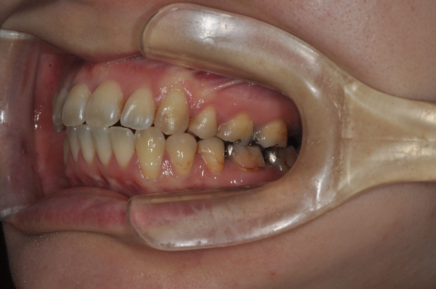
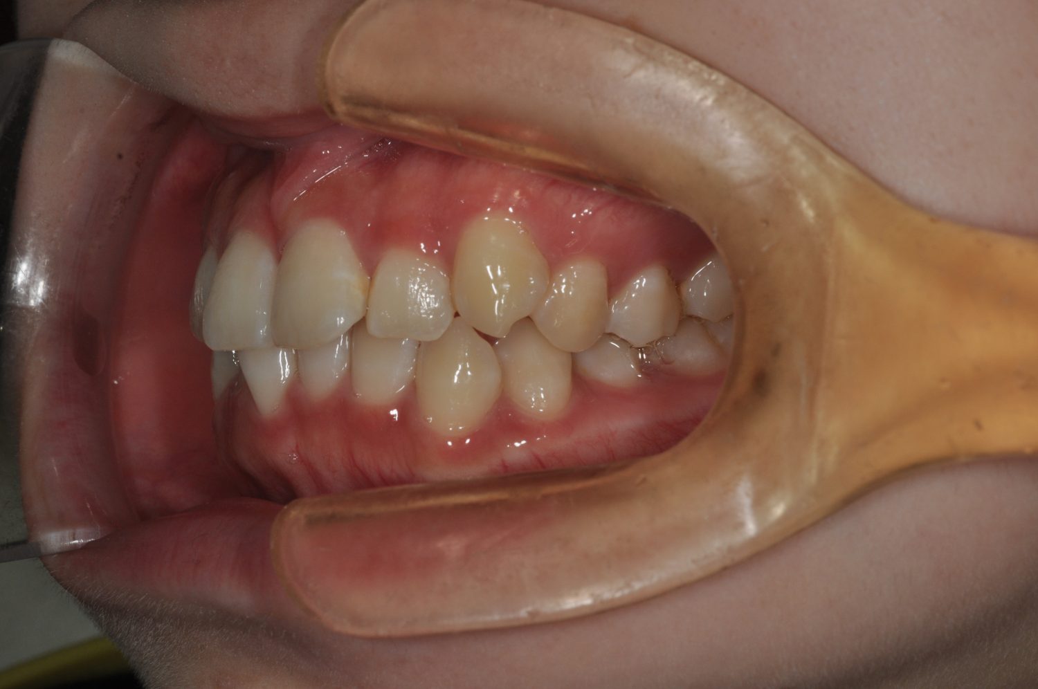
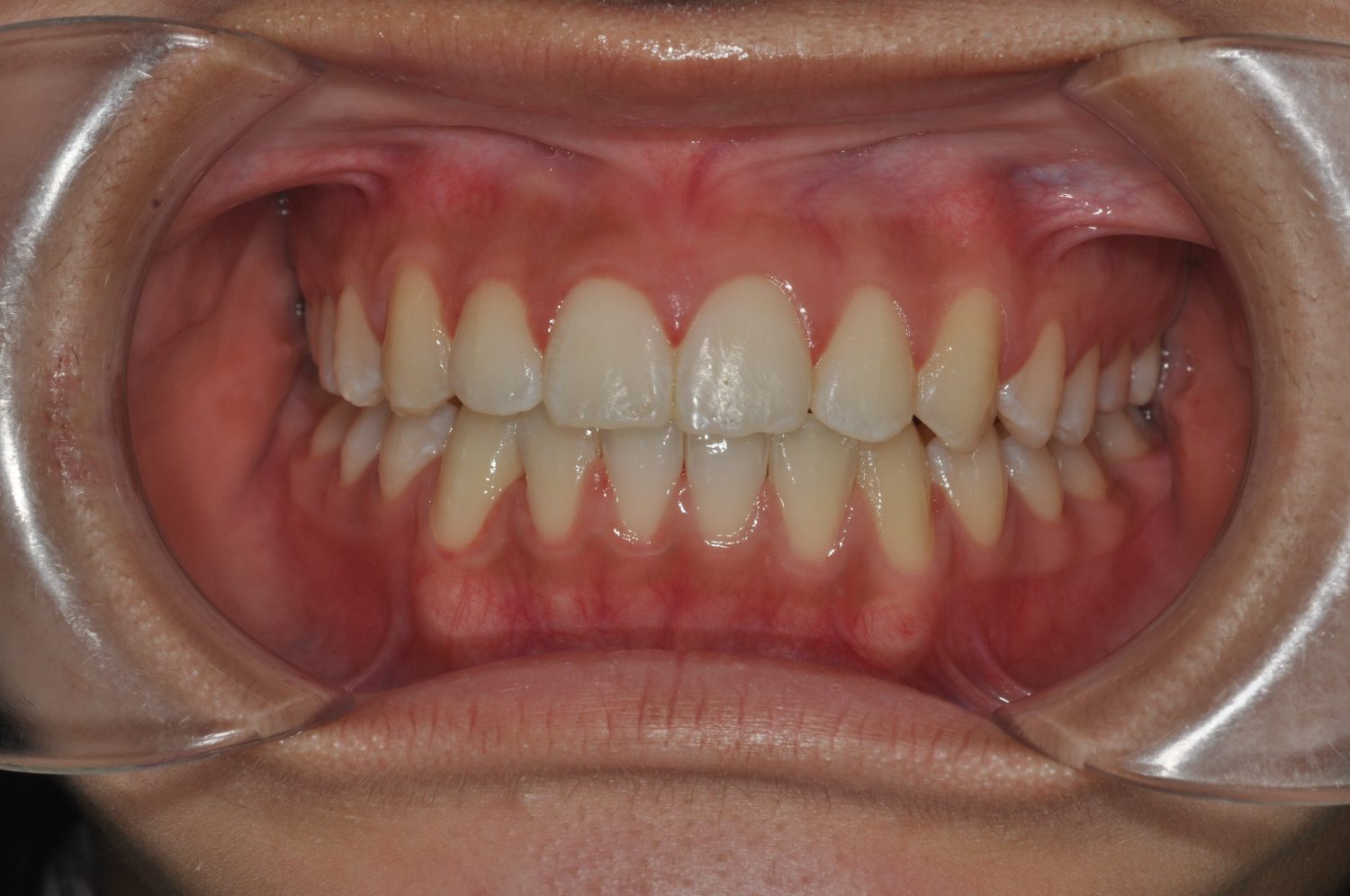
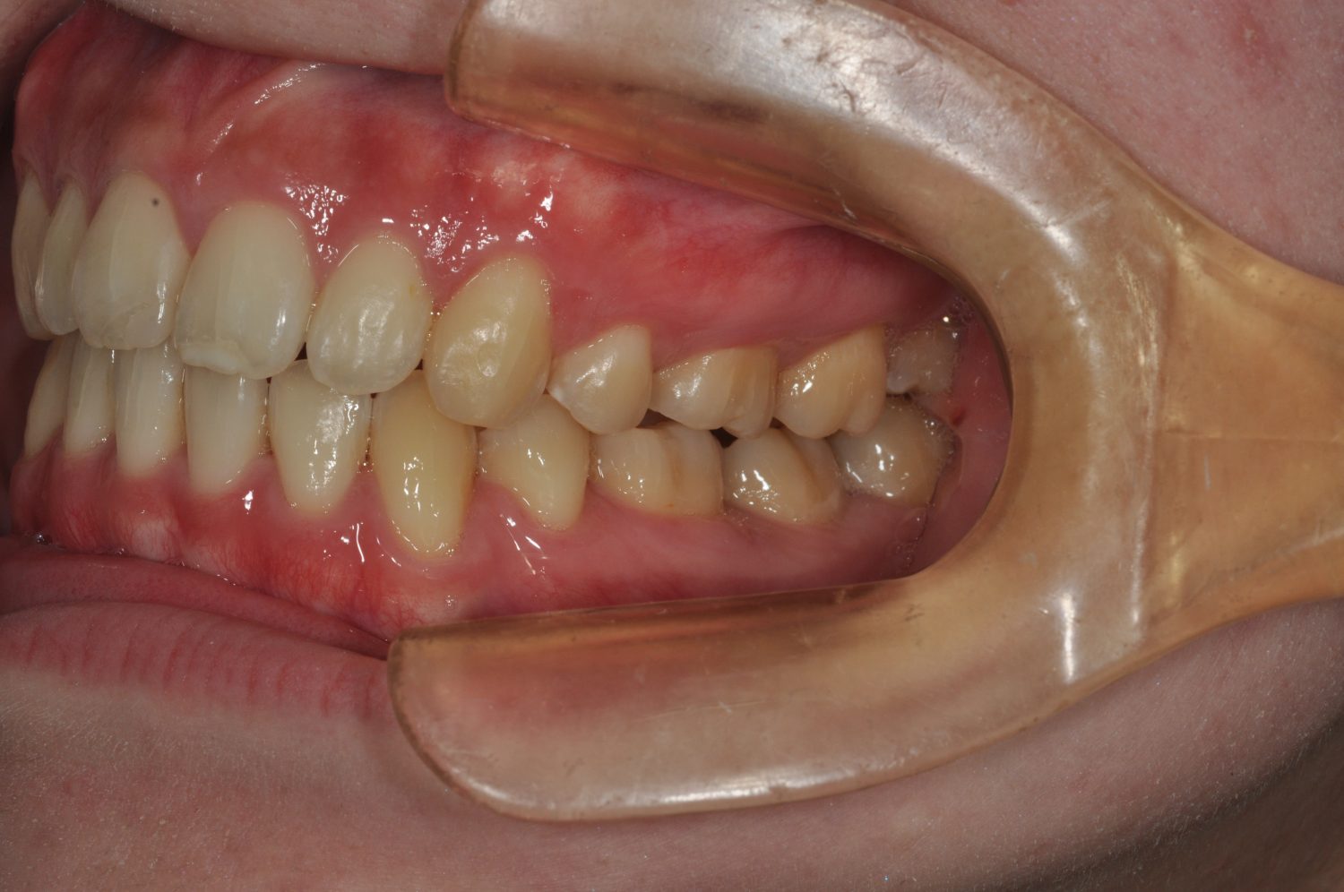
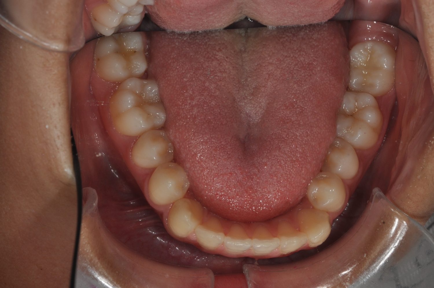
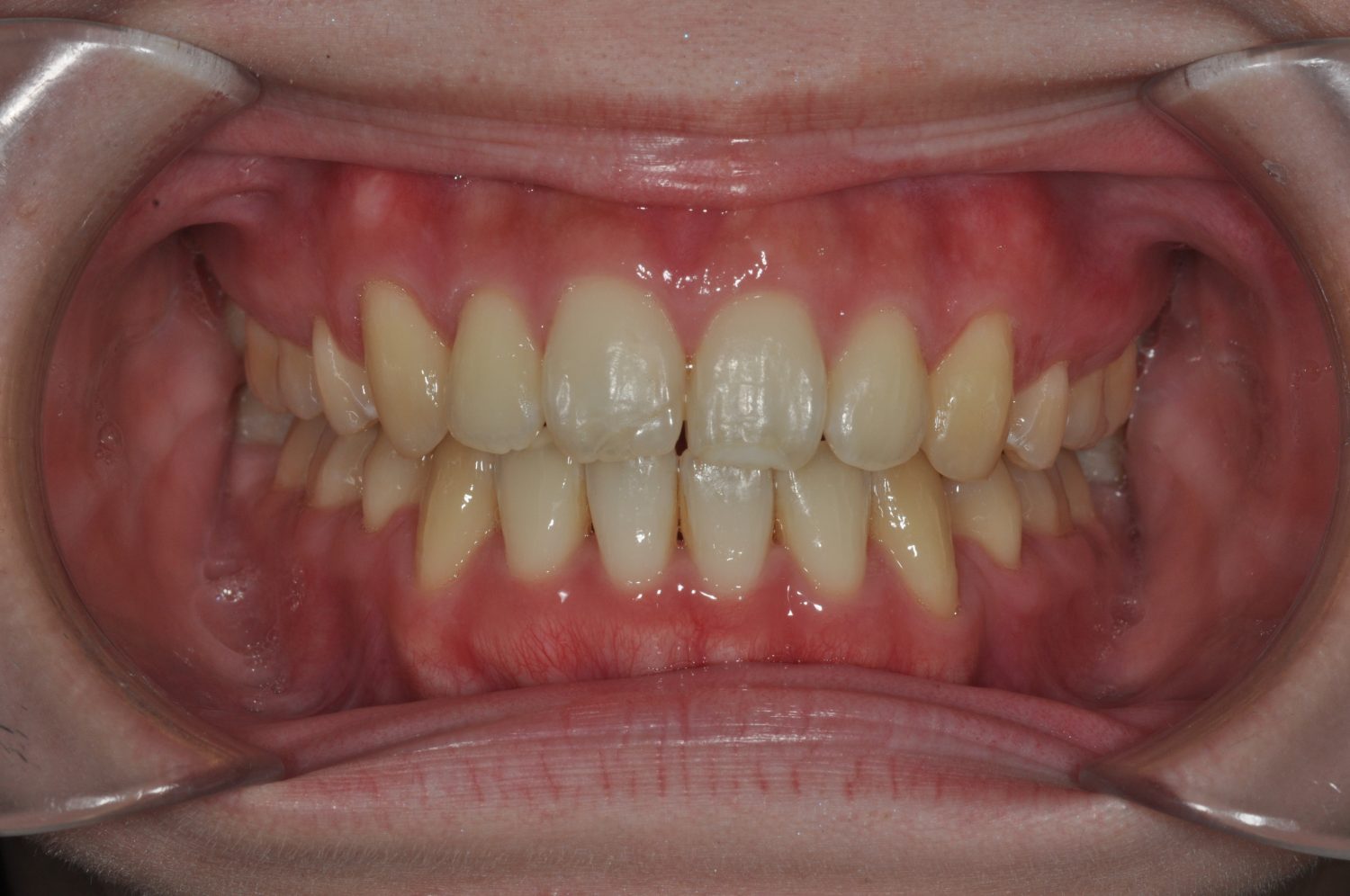
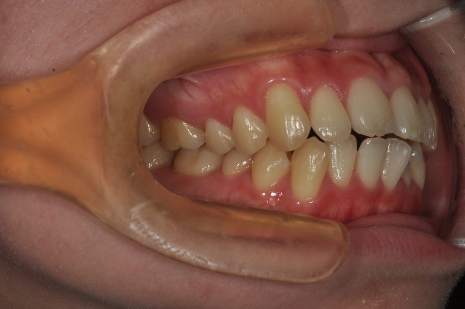
上下顎前歯の唇側傾斜による上下顎前突治療の症例紹介(ふくしま矯正歯科クリニック)


黒田 栄子(ふくしま矯正歯科クリニック)
プロフィールをもっと見る
症例詳細
| 主訴 | 前歯の出っ歯を直したい |
| 治療内容 | 上下顎とも標準範囲であるが、上下顎前歯ともに唇側傾斜による、上下顎前突。上顎小臼歯を抜去し配列を行うこととした。 |
| 治療費 | Ⅱ期治療費:770,000円 (税込) 調整料 5,500円 (税込)×23回 保定時:22,000円 (税込) 計 918,500円 (税込) |
| 治療期間 | 2年1ヶ月 |
| 治療回数 | 25回 |
| 想定されたリスク | 矯正器具の装着に伴い、むし歯や歯周病のリスクがありました。また、歯根吸収や歯肉退縮のリスクもありました。 |
担当医のコメント

ふくしま矯正歯科クリニック
黒田 栄子 歯科医師
上下顎前歯の唇側傾斜による上下顎前突。オーバージェットが大きいため、上顎のみの抜歯で配列を行った。
ふくしま矯正歯科クリニック
🕑 午前: 月火水金土日 10:00~12:30
午後: 月火水金土 14:00~19:00、日 14:00~17:00
休診日:木曜・祝日・日曜(第2、第4)・月曜(第1、第3、第5)
ふくしま矯正歯科クリニック
矯正歯科
🕑 午前: 月火水金土日 10:00~12:30
午後: 月火水金土 14:00~19:00、日 14:00~17:00
休診日:木曜・祝日・日曜(第2、第4)・月曜(第1、第3、第5)
ふくしま矯正歯科クリニック
黒田 栄子 歯科医師