
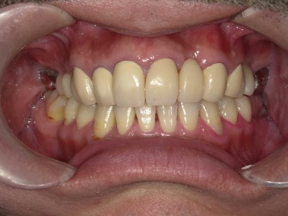
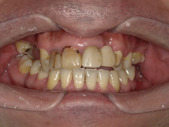
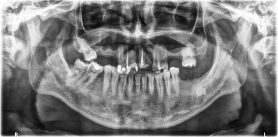
担当歯科医師:
松井 寛(松井デンタルオフィス)
プロフィールをもっと見る
松井デンタルオフィス
インプラント マウスピース型矯正 一般歯科 予防治療 口腔外科 審美治療 小児歯科 小児矯正 矯正歯科
千葉県流山市おおたかの森西1-4-3 ザ・ハウスおおたかの森101
🕑 [月・金]10:00~13:30/15:00~20:00
[火・木・土・日]10:00~14:00/15:00~18:00
休診日:水曜日・祝日
目次 -INDEX-

担当歯科医師:
松井 寛(松井デンタルオフィス)
松井デンタルオフィス
千葉県流山市おおたかの森西1-4-3 ザ・ハウスおおたかの森101
🕑 [月・金]10:00~13:30/15:00~20:00
[火・木・土・日]10:00~14:00/15:00~18:00
休診日:水曜日・祝日
松井デンタルオフィス
松井 寛 歯科医師