
担当歯科医師:
梶原 基弘(シャングリラデンタル横浜歯科矯正歯科)
プロフィールをもっと見る
インビザライン矯正の症例紹介(シャングリラデンタル横浜歯科矯正歯科)

プロフィールをもっと見る
症例詳細
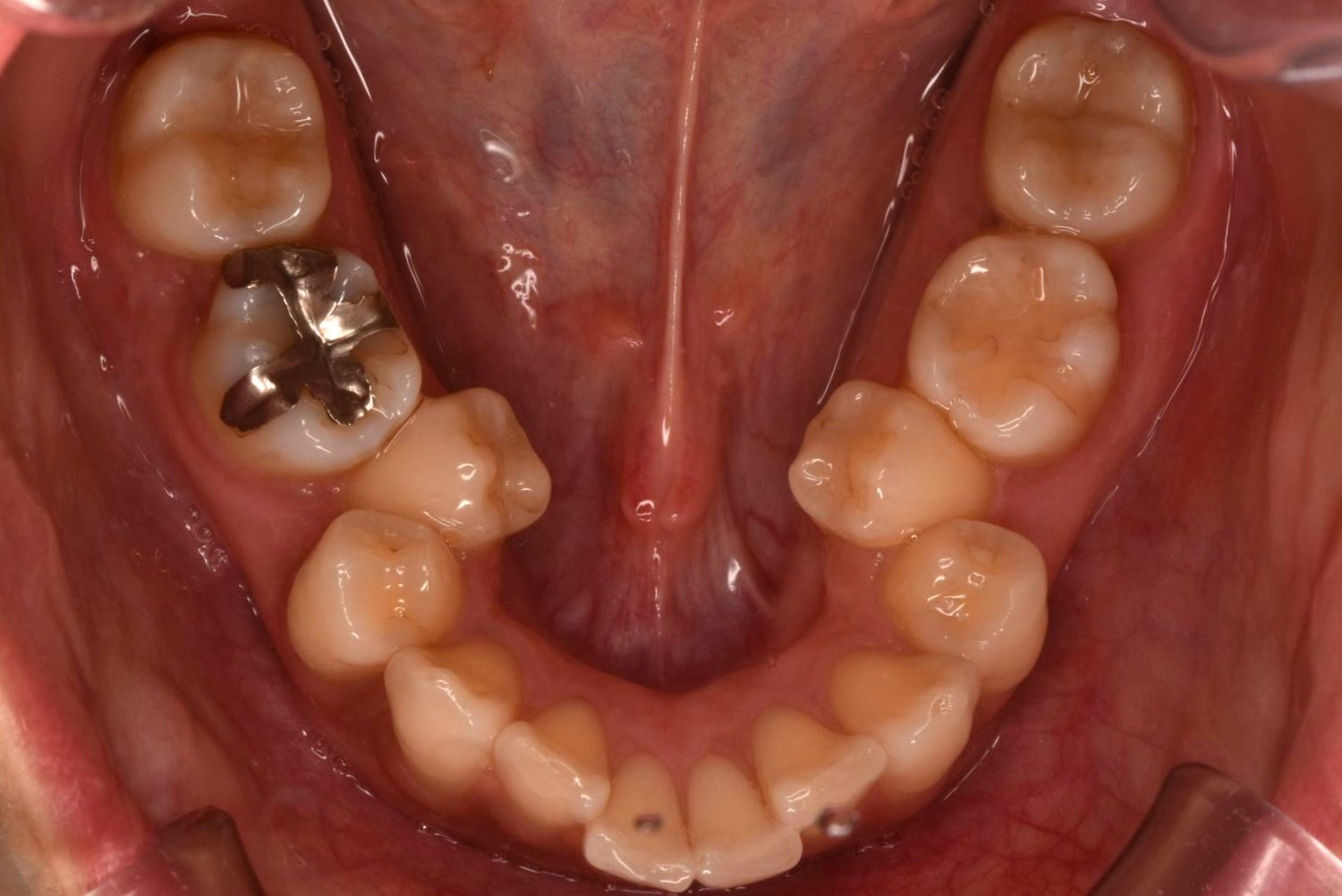
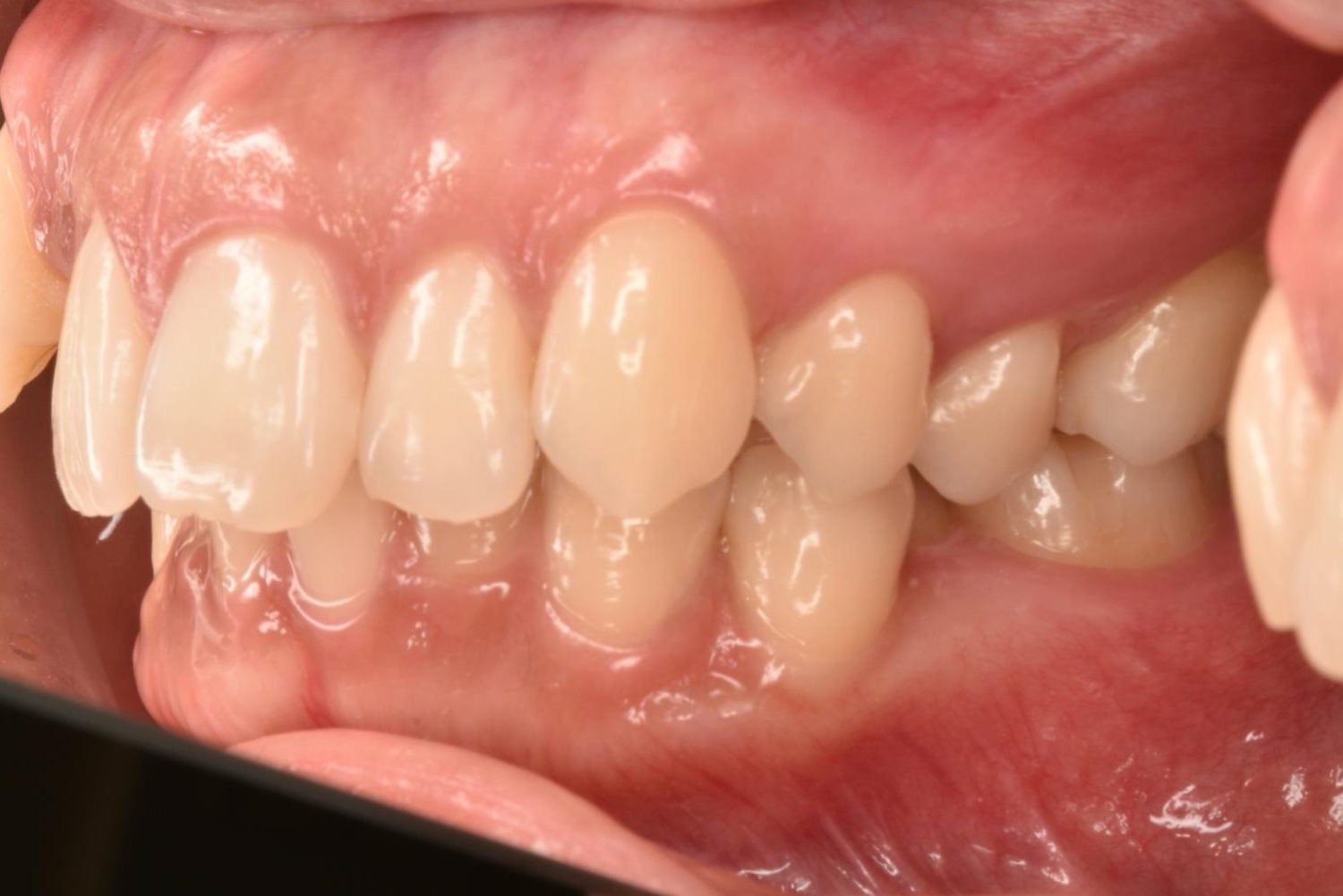
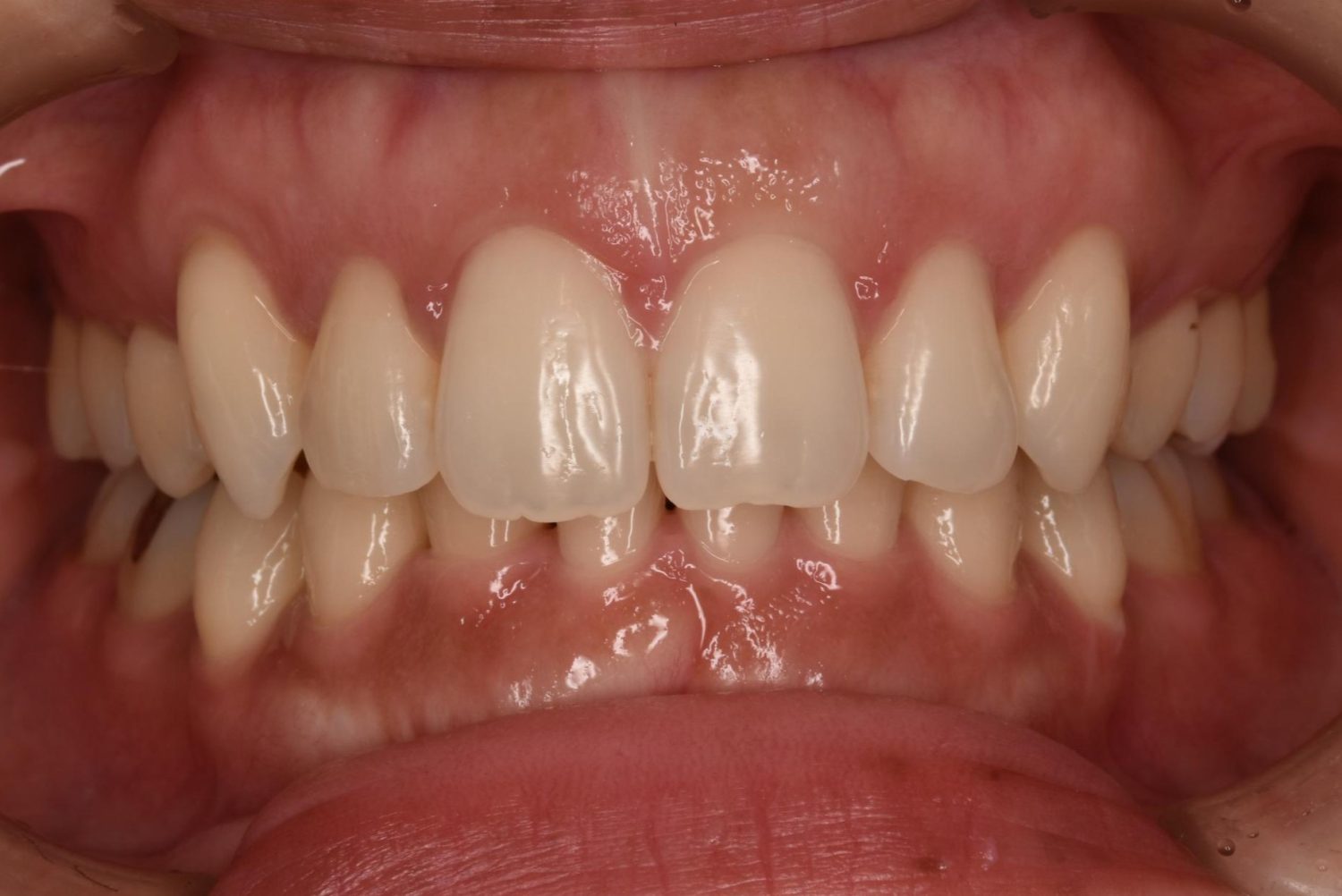
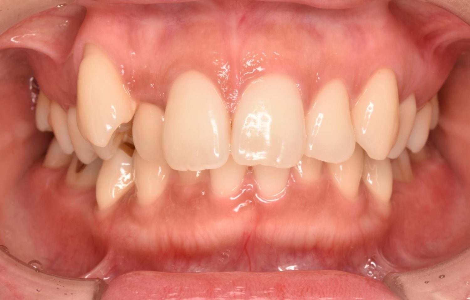
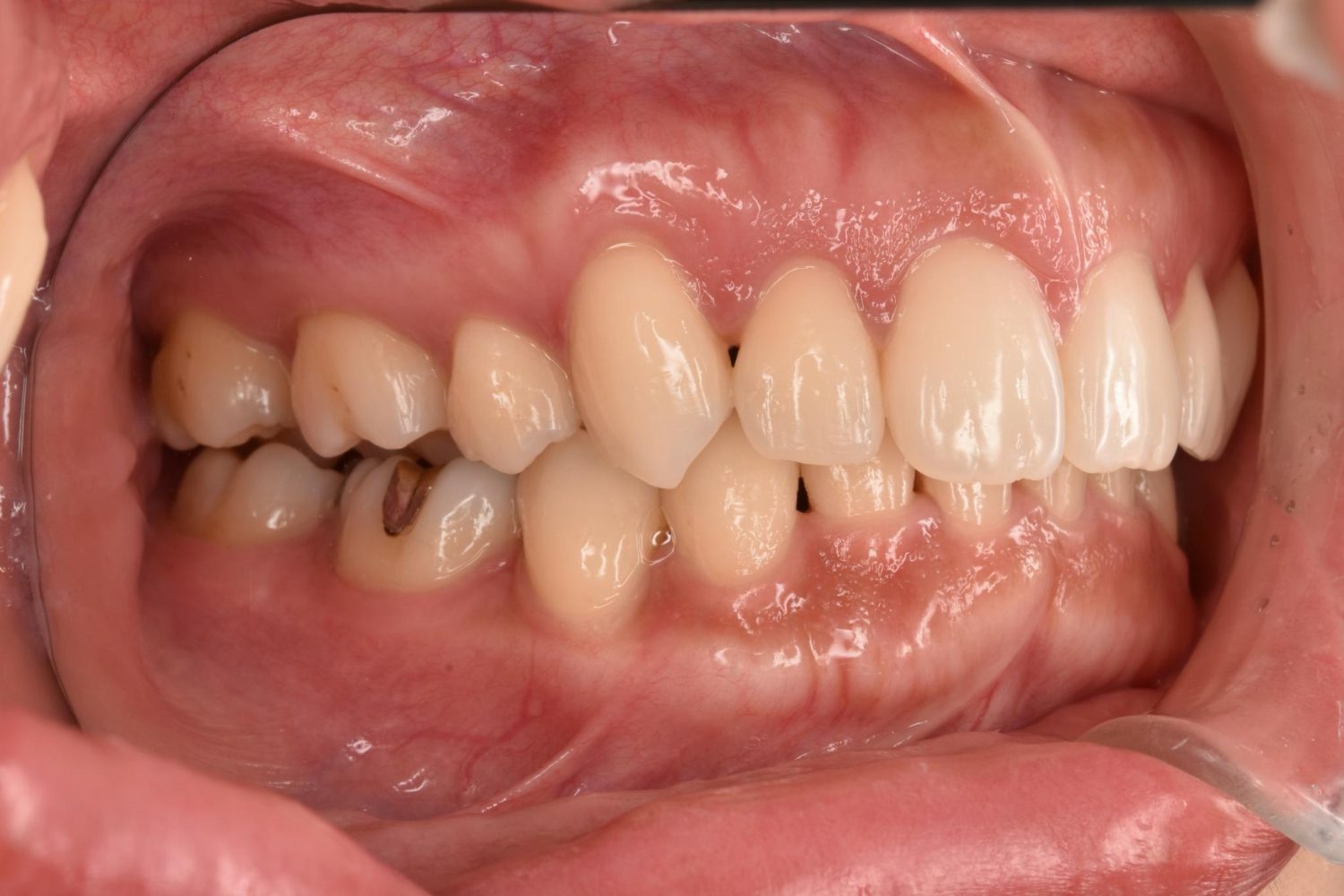
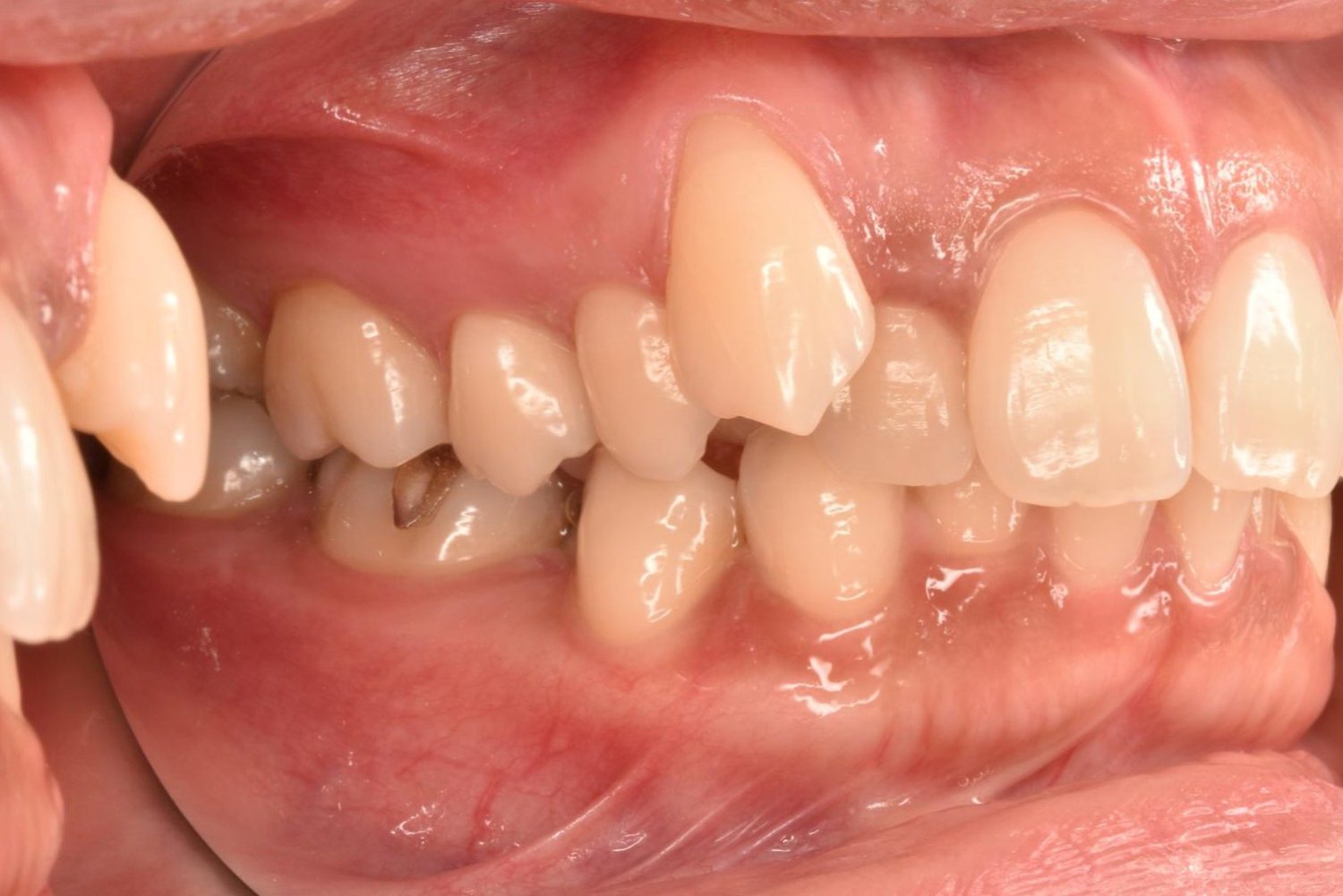
| 主訴 | 20代女性の患者さん。右上の八重歯が突出しており、前歯の見た目にコンプレックスを抱いていた。下顎の左右第2小臼歯(5番)が舌側に大きく傾斜しており、食事の際に、食べかすが詰まりやすく日常的に不快感を覚えていた。噛み合わせの改善と、見た目のバランスを整えたいという希望があり、矯正治療を行うことになった。また、目立ちにくい方法で治療を進めたいという意向から、マウスピース型装置の矯正 “インビザライン”を希望。 |
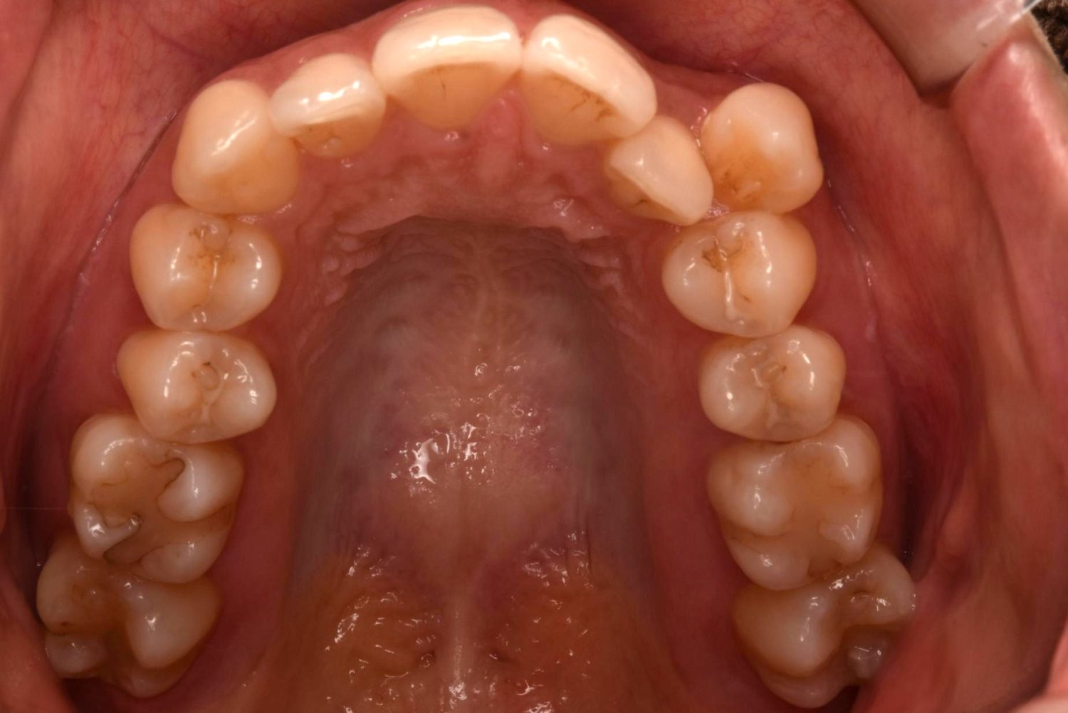
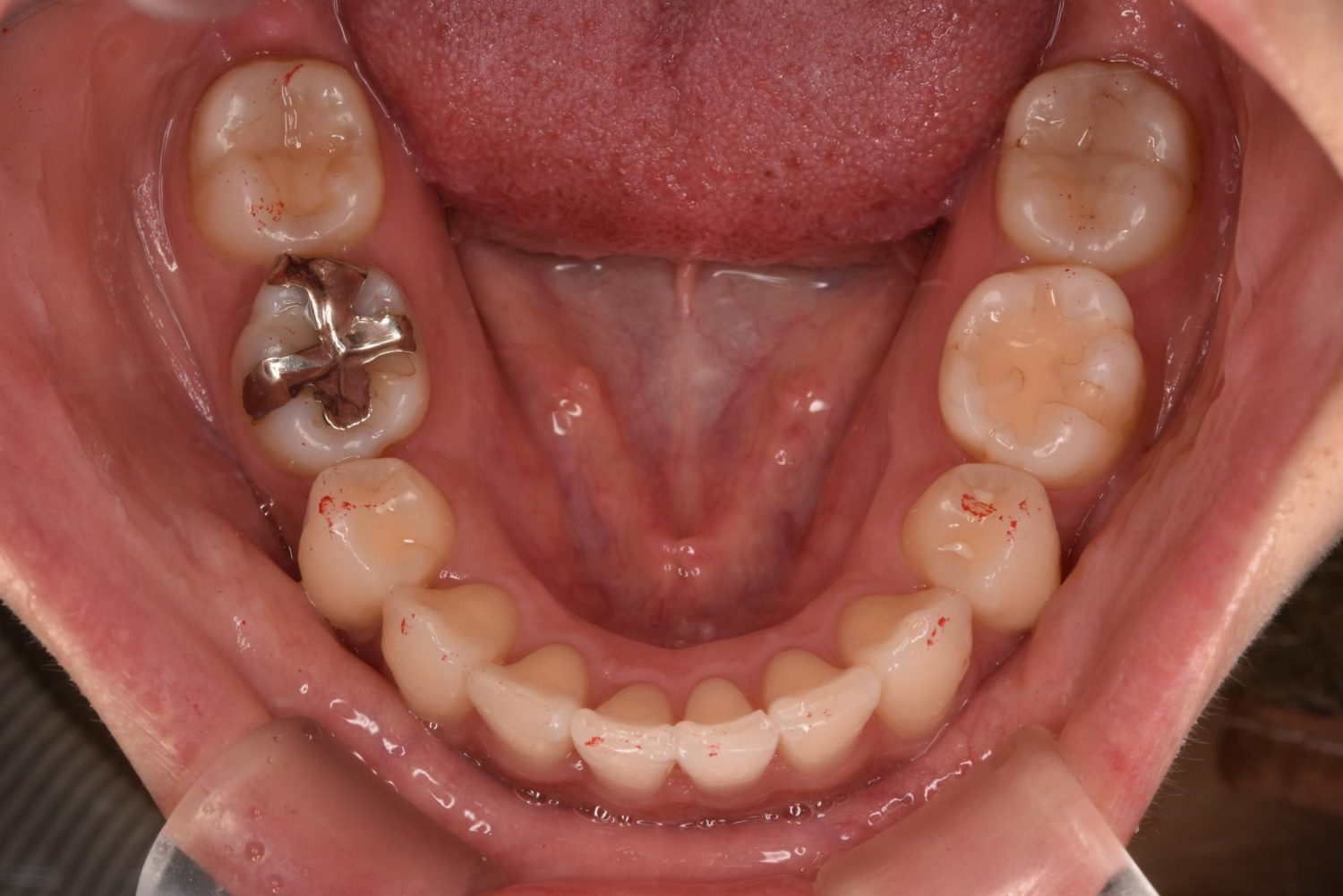
| 治療内容 | 下顎の左右第2小臼歯(5番)は舌側に大きく傾斜しており、矯正治療における歯の移動効率や全体の歯列バランスを考慮し、便宜抜歯を行った。また、上顎の左右第1小臼歯(4番)についてもスペース確保の目的で抜歯を実施し、全顎的な歯列の配列を円滑に進められるよう計画。矯正装置は、患者さんのなるべく目立ちにくい治療を行いたいという強い希望とライフスタイルに合わせて、マウスピース型矯正装置「インビザライン」(※1)を採用。抜歯が必要となる矯正治療は、診断・治療の難易度が高い方法である。当院ではCTやセファログラムなどの先進的な設備を完備し、多角的な診査診断と豊富な臨床経験をもつ理事長による治療を行うことで、このような難症例にも対応可能。 また、当院は矯正治療だけでなく、むし歯治療やクリーニングなどの一般歯科・予防治療も一貫して管理する包括的な審美治療を行う総合クリニック。治療中にむし歯などの問題が見つかっても、すぐに対応できるため、患者さんの通院の負担をできる限り抑えたスムーズな対応が可能。矯正専門医院ではできない包括的なサポート体制こそが、シャングリラデンタル横浜歯科矯正歯科で矯正治療を受けるメリットである。 矯正治療中は定期検診で経過の確認とクリーニングを行い、必要に応じて治療計画の見直しやマウスピース型装置の追加を行った。患者さんの高い装着遵守率も相まって、歯列は順調に整い、機能的にも審美的にも良好な結果をえることができた。 (※1)未承認医薬品等であるため医薬品副作用被害救済制度の対象とはならない可能性があります。 |
| 治療費 | 935,000円(税込) |
| 治療期間 | 36か月 |
| 治療回数 | 9回 |
| 想定されたリスク | ■治療期間の遅延 マウスピース型装置の装着時間が不十分だったり、自己管理が不徹底だったりすると、歯の移動が計画どおりに進まず、治療期間が延びる可能性がありました。 |
シャングリラデンタル横浜歯科矯正歯科
シャングリラデンタル横浜歯科矯正歯科
シャングリラデンタル横浜歯科矯正歯科
梶原 基弘 歯科医師