
担当歯科医師:
浅見 拓也(蒲田あさみ矯正歯科)
プロフィールをもっと見る
浅見 拓也先生は、東京歯科大学歯学部を卒業後、神奈川歯科大学附属病院や東京医科歯科大学大学院にて矯正治療を中心に研鑽を積んだ後、関東圏の様々な歯科医院での勤務を経験し2022年4月に蒲田あさみ矯正歯科を開業されました。日本矯正歯科学会認定医の資格を持つ矯正治療のスぺシャリストであり、日本舌側矯正歯科学会や日本口蓋裂学会など、複数の学会にも所属して研鑽を積んでいる、向上心あふれる歯科医師です。
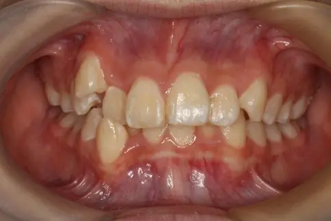
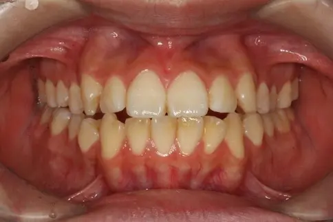
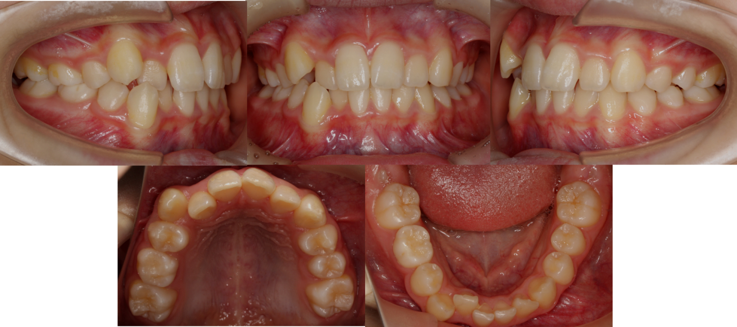
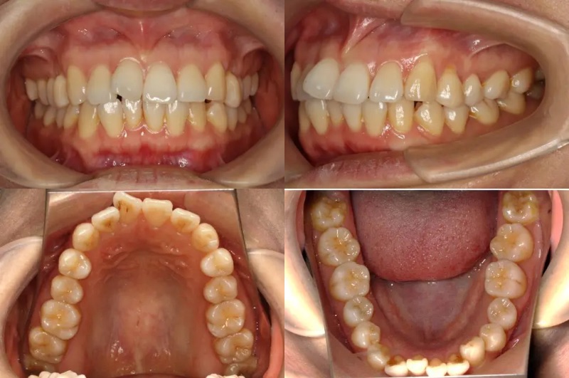
ワイヤー矯正(歯並びがでこぼこ、口元が出ている)の症例紹介①(蒲田あさみ矯正歯科)

プロフィールをもっと見る
症例詳細
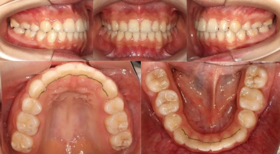
| 主訴 | でこぼこ、口元が出ている |
| 治療内容 | 20代の男性です。上下のでこぼこと口元が出ているのを改善するために、上下両側の4番目の歯を抜歯し、表側のワイヤーにて治療を行いました。治療の結果、でこぼこは解消し、横顔もきれいになり、機能的な咬み合わせも確立されました。 |
| 治療費 | 1,091,200円(税込) |
| 治療期間 | 2年8か月 |
| 治療回数 | 30回 |
| 想定されたリスク | ※矯正中にむし歯が生じる可能性がありました。 ※治療後に保定装置を使用しないと、後戻りするリスクがありました。 ※歯の移動に伴う多少の痛みや違和感を感じることがありました。 |
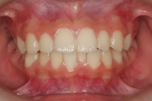
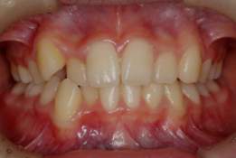
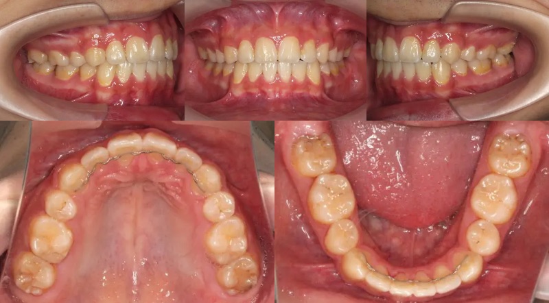
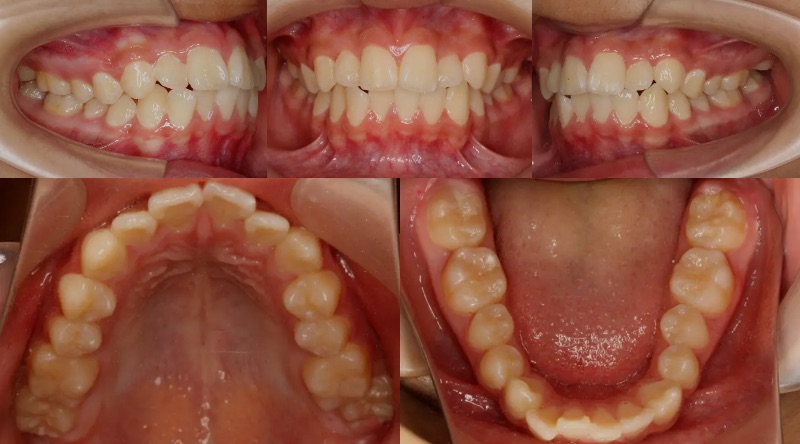
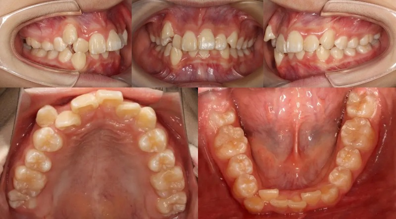
ワイヤー矯正(前歯が出ている、歯並びがでこぼこ)の症例紹介①(蒲田あさみ矯正歯科)

プロフィールをもっと見る
症例詳細
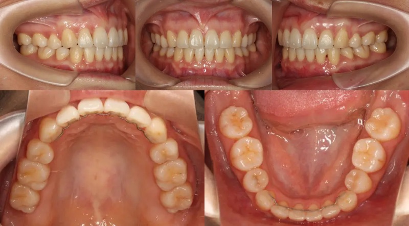
| 主訴 | 前歯が出ている、でこぼこ |
| 治療内容 | 20代の女性です。上下のでこぼこと前歯が出ているのを改善するために、上下両側の4番目の歯を抜歯し、表側のワイヤーにて治療を行いました。治療の結果、でこぼこは解消し、前歯が下がり、機能的な咬み合わせも確立されました。 |
| 治療費 | 1,051,600円(税込) |
| 治療期間 | 2年2か月 |
| 治療回数 | 30回 |
| 想定されたリスク | ※矯正中にむし歯が生じる可能性がありました。 ※治療後に保定装置を使用しないと、後戻りするリスクがありました。 ※歯の移動に伴う多少の痛みや違和感を感じることがありました。 |
担当医のコメント
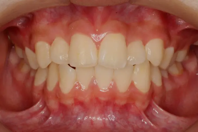
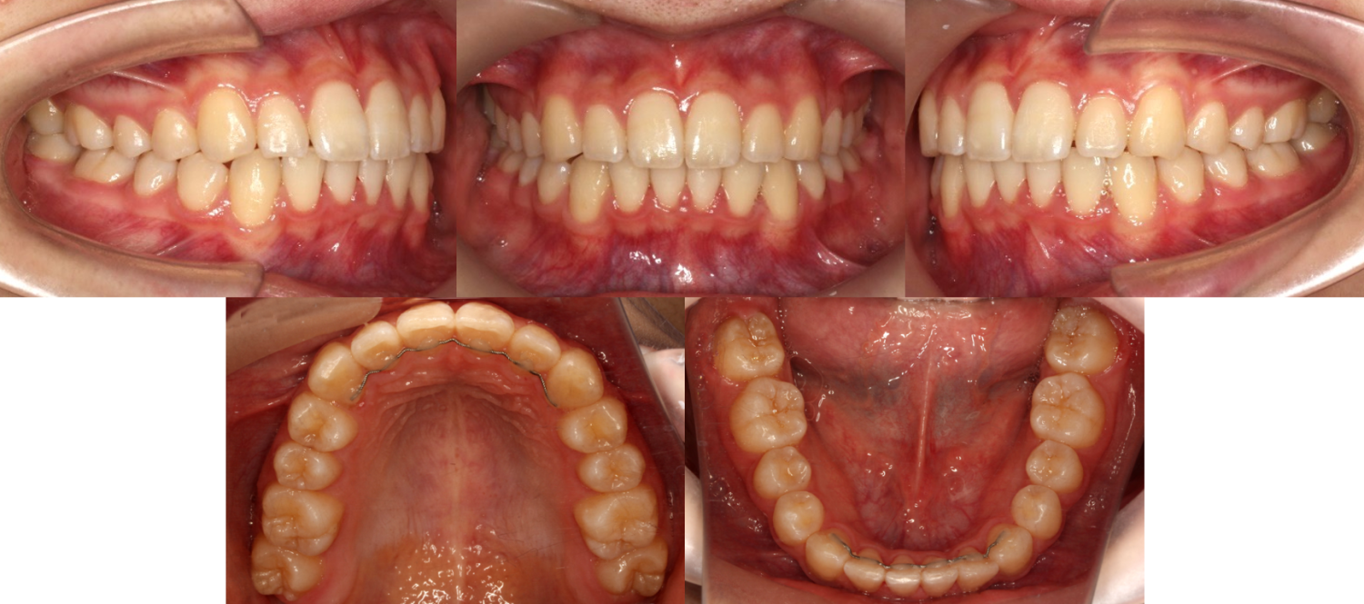
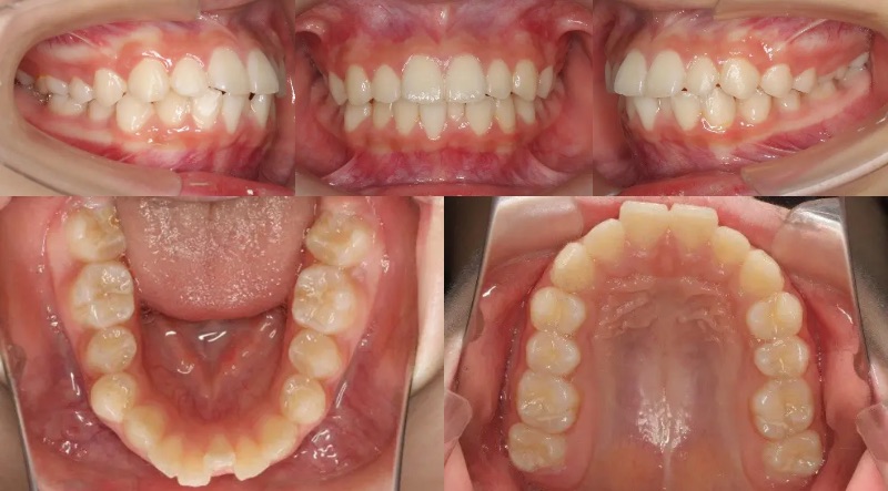
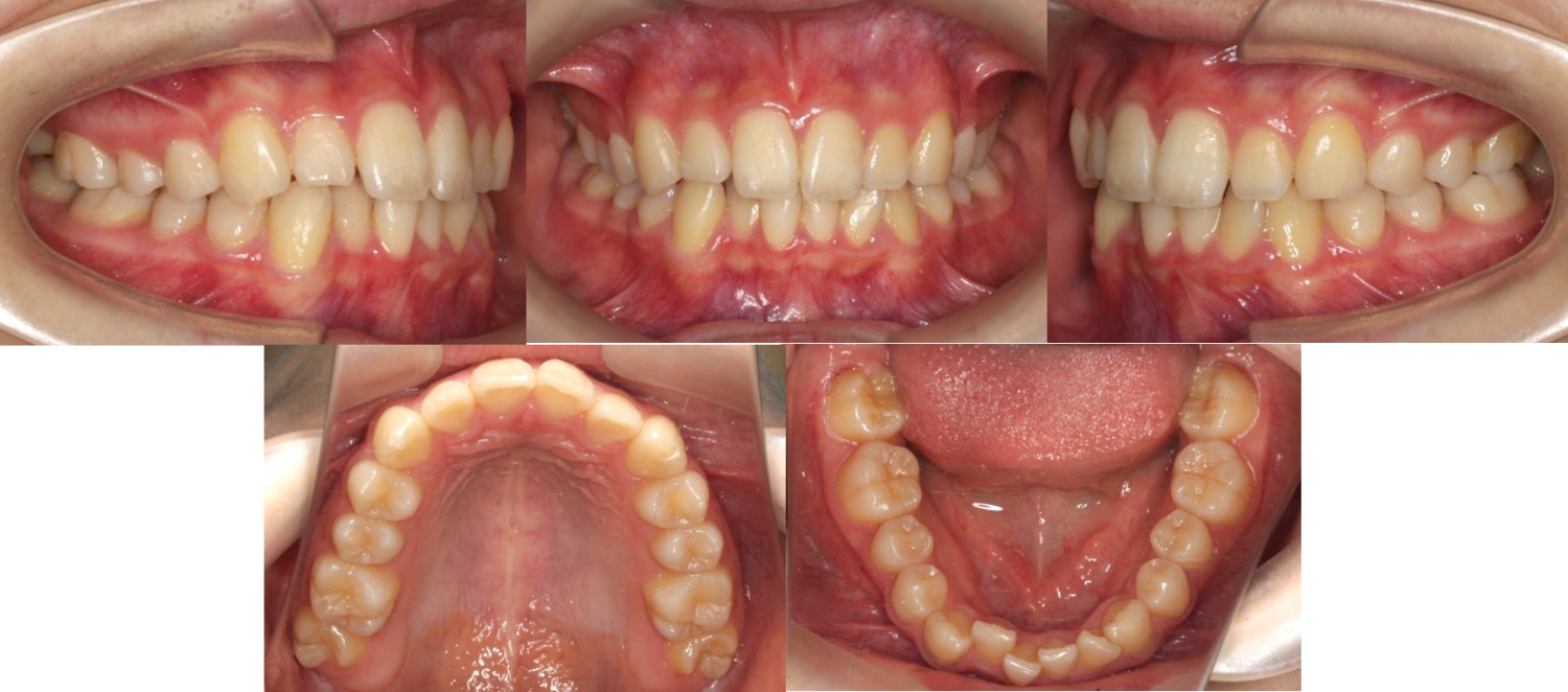
ワイヤー矯正(前歯が出ている、歯並びがでこぼこ)の症例紹介②(蒲田あさみ矯正歯科)

プロフィールをもっと見る
症例詳細
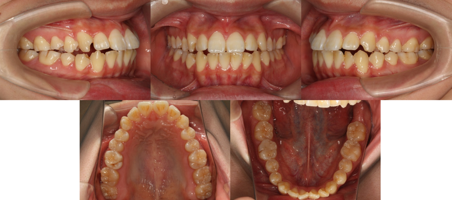
| 主訴 | 前歯が出てる、でこぼこ |
| 治療内容 | 10代の男性です。上下のでこぼこと前歯が出てるのを改善するために上下両側の4番目の歯を抜歯し、表側のワイヤーにて治療を行いました。治療の結果、でこぼこは解消し、前歯も下がり機能的な咬み合わせも確立されました。 |
| 治療費 | 1,078,000円(税込) |
| 治療期間 | 2年6か月 |
| 治療回数 | 30回 |
| 想定されたリスク | ※治療後に保定装置を使用しないと、後戻りのリスクがありました。 ※歯の移動に伴う多少の痛みや違和感を感じることがありました。 |
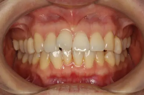
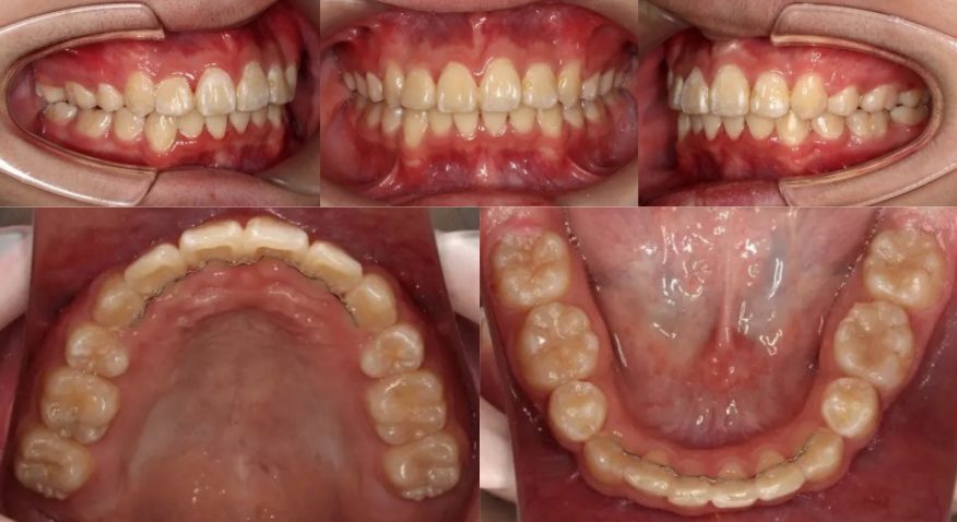
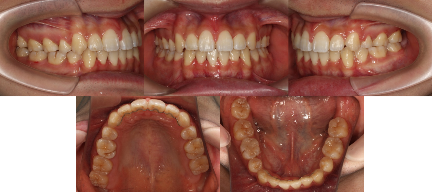
ワイヤー矯正(前歯が出ている、歯並びがでこぼこ)の症例紹介③(蒲田あさみ矯正歯科)

プロフィールをもっと見る
症例詳細
| 主訴 | 前歯が出てる、でこぼこ |
| 治療内容 | 30代の女性です。上下のでこぼこと前歯が出てるのを改善するために上下両側の4番目の歯を抜歯し、表側のワイヤーにて治療を行いました。治療の結果、でこぼこは解消し、前歯も下がり機能的な咬み合わせも確立されました。 |
| 治療費 | 1,064,800円(税込) |
| 治療期間 | 2年4か月 |
| 治療回数 | 28回 |
| 想定されたリスク | ※治療後に保定装置を使用しないと、後戻りのリスクがありました、 ※歯の移動に伴う多少の痛みや違和感を感じることがありました。 |
ワイヤー矯正(歯並びがでこぼこ、咬みにくい)症例紹介①(蒲田あさみ矯正歯科)

プロフィールをもっと見る
症例詳細
| 主訴 | 歯並びがでこぼこ、咬みにくい |
| 治療内容 | 20代の男性です。上下のでこぼこと咬み合わせを改善するために上両側の4番目の歯、下両側の5番目の歯を抜歯し、表側のワイヤーにて治療を行いました。治療の結果、でこぼこは解消し、機能的な咬み合わせも確立されました。 |
| 治療費 | 1,051,600円(税込) |
| 治療期間 | 2年2か月 |
| 治療回数 | 26回 |
| 想定されたリスク | ※治療後に保定装置を使用しないと、後戻りのリスクがありました、 ※歯の移動に伴う多少の痛みや違和感を感じることがありました。 |
ワイヤー矯正(前歯が出ている)の症例紹介①(蒲田あさみ矯正歯科)

プロフィールをもっと見る
症例詳細
| 主訴 | 前歯が出ている |
| 治療内容 | 10代の女性です。上下のでこぼこと前歯が出てるのを改善するために上下両側の4番目の歯を抜歯し、表側のワイヤーにて治療を行いました。治療の結果、でこぼこは解消し、前歯も下がり機能的な咬み合わせも確立されました。 |
| 治療費 | 1,064,800円(税込) |
| 治療期間 | 2年4か月 |
| 治療回数 | 28回 |
| 想定されたリスク | ※治療後に保定装置を使用しないと、後戻りのリスクがありました、 ※歯の移動に伴う多少の痛みや違和感を感じることがありました。 |
蒲田あさみ矯正歯科
歯科 矯正歯科
🕑 午前: 火水金 10:00~13:30 土日 9:30~13:00 (完全予約制)
午後: 火金 15:00~18:30 水 15:00~19:00 土日 14:00~17:00 (完全予約制)
休診日:月・木・第2.4土・第1.3.5日
蒲田あさみ矯正歯科
浅見 拓也 歯科医師