
担当歯科医師:
浜田 加奈子(チャイルドしかハウス)
プロフィールをもっと見る
マイオブレース矯正の症例紹介(チャイルドしかハウス)


浜田 加奈子(チャイルドしかハウス)
プロフィールをもっと見る
症例詳細
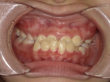
| 主訴 | 生えてきた下の永久歯が曲がっている。これから生えてくる歯も並ぶか心配。 |
| 治療内容 | マイオブレース(J1 → J2 → K3 → T4)と拡大床(BB1)を使用しました。 口腔周囲筋トレーニングも併用しました。 (抜歯:なし、ワイヤー矯正:使用せず) |
| 治療費 | 440,000円(税込み) |
| 治療期間 | 78ヶ月(永久歯列完成まで経過観察) ※治療開始から2年間は毎月通院し、その後は3~4か月に1回の頻度で経過観察を継続。 |
| 治療回数 | 38回 |
| 想定されたリスク | 抜歯や全顎ワイヤー矯正のリスクがありました。 |
担当医のコメント

チャイルドしかハウス
浜田 加奈子 歯科医師
チャイルドしかハウス
上顎前突治療の症例紹介(チャイルドしかハウス)


浜田 加奈子(チャイルドしかハウス)
プロフィールをもっと見る
症例詳細
| 主訴 | 前歯が出ているので歯並びを良くしたい。 |
| 治療内容 | 使用装置:- マイオブレース(K1, K2, B1, K3) – 急速拡大装置 ・ワイヤー矯正:上顎前歯部(2-2)のみに2か月間使用 ・抜歯:なし |
| 治療費 | 550,000円(税込み) |
| 治療期間 | 2020年2月~2023年1月(永久歯列完成まで観察) |
| 治療回数 | 25回 |
| 想定されたリスク | 全額ワイヤー治療になる可能性とそれに伴う歯根吸収のリスクがありました。 |
担当医のコメント

チャイルドしかハウス
浜田 加奈子 歯科医師
かみ合わせが非常に深く、下顎の成長を妨げておりました。扁桃腺の肥大が一因として考えられたため切除の提案をしました。マイオブレースを中心に、短期間のワイヤー治療でかみ合わせも健康面も良好になったかと思います。
チャイルドしかハウス
乳歯反対咬合の症例紹介(チャイルドしかハウス)


浜田 加奈子(チャイルドしかハウス)
プロフィールをもっと見る
症例詳細
| 主訴 | 受け口を治したい。 |
| 治療内容 | ・使用装置:- マイオブレース(J1, J2) ・ワイヤー矯正および拡大装置等:未使用 ・抜歯:なし |
| 治療費 | 110,000円(税込み) |
| 治療期間 | 2017年9月~2018年8月(現在も定期的に保険にて観察中) |
| 治療回数 | 10回 |
| 想定されたリスク | マイオブレースの装着状況によっては結果が得られず、その他の矯正器具を使用する可能性がありました。 |
担当医のコメント

チャイルドしかハウス
浜田 加奈子 歯科医師
乳歯の反対咬合は様子を見ましょうと言われることが多いですが、上顎の前方発育を阻害する大きな要因となりますので、早期の介入をおすすめしています。反対咬合は1年で改善し、現在は定期健診で様子を見ています。装置を付けることなく、良好に生え変わりが進んでいます。
チャイルドしかハウス
チャイルドしかハウス

チャイルドしかハウス
浜田 加奈子 歯科医師