
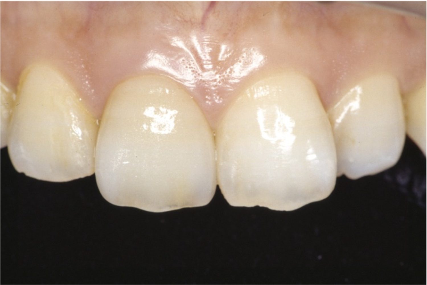
担当歯科医師:
小椋 康平(コーヘイデンタルオフィス)
プロフィールをもっと見る
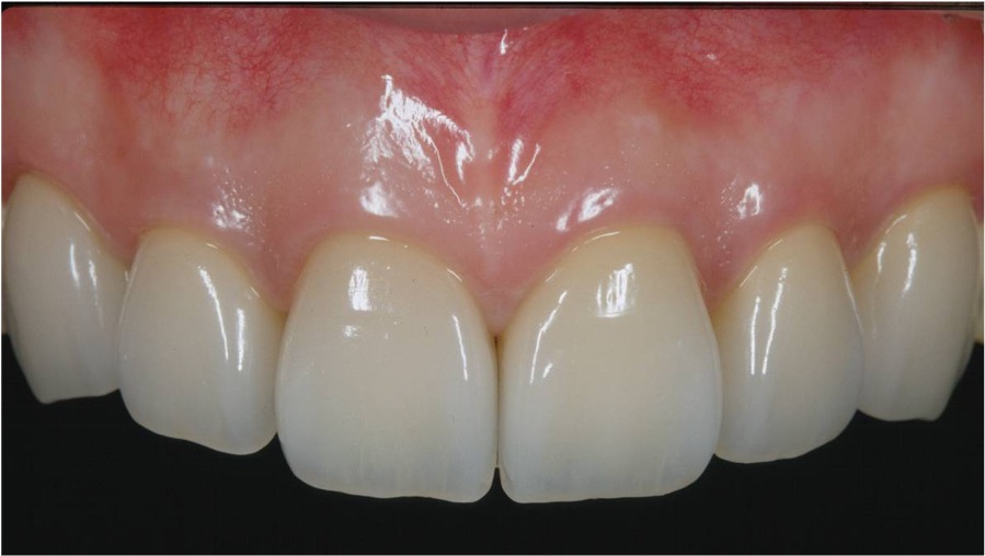
前歯1本の審美修復の症例紹介(コーヘイデンタルオフィス)


小椋 康平(コーヘイデンタルオフィス)
プロフィールをもっと見る
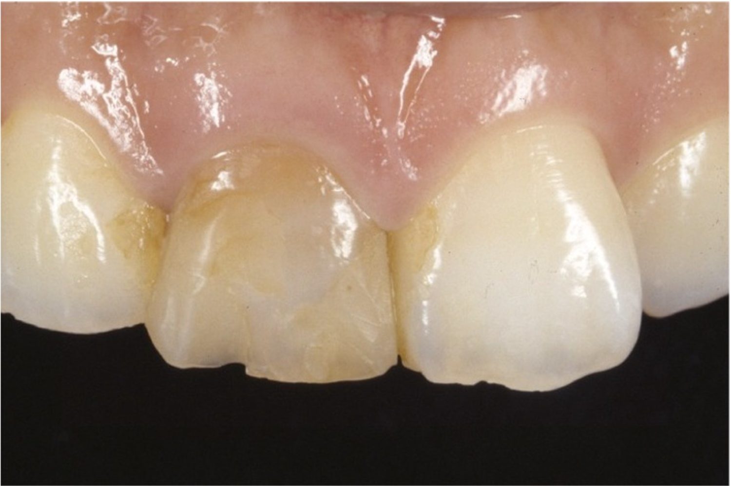
症例詳細
| 主訴 | 前歯の色が気になる |
| 治療内容 | 前歯1本の再根管治療と審美修復治療 |
| 治療費 | 120,000円(税込) |
| 治療期間 | 3ヶ月 |
| 治療回数 | 10回 |
| 想定されたリスク | 左右の歯茎の位置が合わない可能性がありました。 |
コーヘイデンタルオフィス
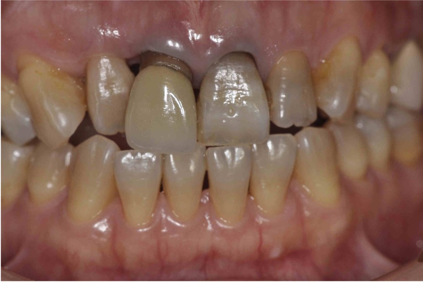
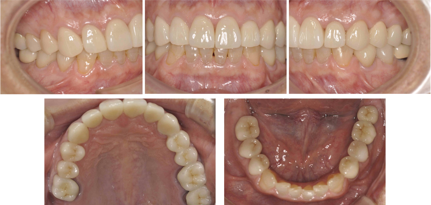
前歯4本の再根管治療と審美修復治療の症例紹介(コーヘイデンタルオフィス)


小椋 康平(コーヘイデンタルオフィス)
プロフィールをもっと見る
症例詳細
担当医のコメント

コーヘイデンタルオフィス
小椋 康平 歯科医師
当初矯正を併用する予定でしたが、矯正をせずに修復物の調整で自然な感じにすることができました。
コーヘイデンタルオフィス
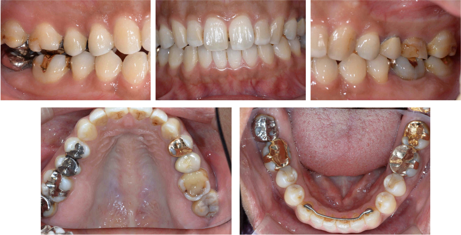
ホワイトニング、噛み合わせの調整、奥歯14本前歯2本のセラミック治療の症例紹介(コーヘイデンタルオフィス)

ホワイトニング、前歯2本のラミネートべニア治療、奥歯10本のセラミック治療の症例紹介(コーヘイデンタルオフィス)

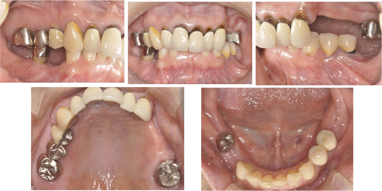
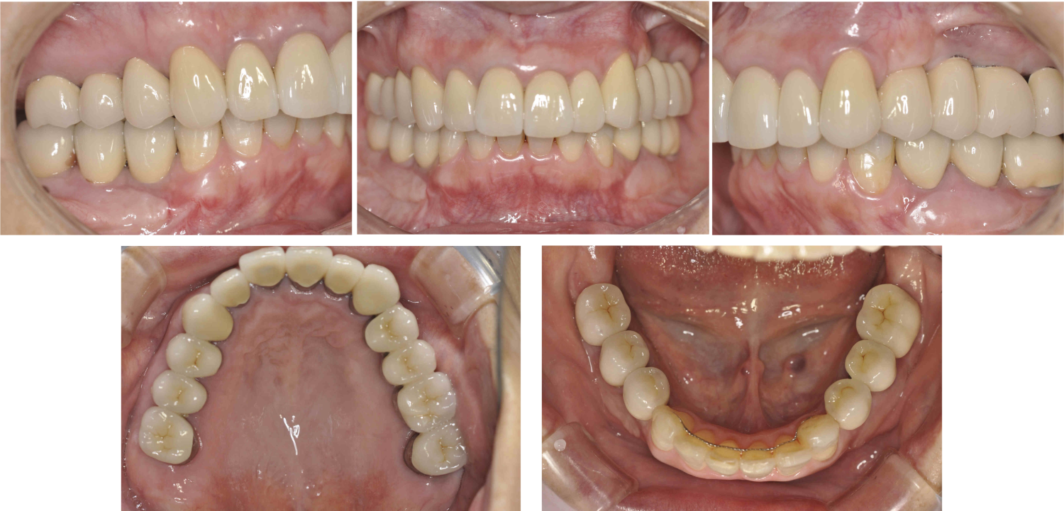
インプラント5本を含む包括歯科治療の症例紹介(コーヘイデンタルオフィス)


小椋 康平(コーヘイデンタルオフィス)
プロフィールをもっと見る
症例詳細
| 主訴 | 奥歯で噛めない |
| 治療内容 | インプラント5本を含む包括歯科治療 |
| 治療費 | 4,000,000円(税込) |
| 治療期間 | 24ヶ月 |
| 治療回数 | 80回 |
| 想定されたリスク | 外科手術により身体への負担が避けられなかった。治療によって全体的な噛み合わせが悪化する可能性があった。 |
コーヘイデンタルオフィス
インプラント3本を含む包括歯科治療の症例紹介(コーヘイデンタルオフィス)

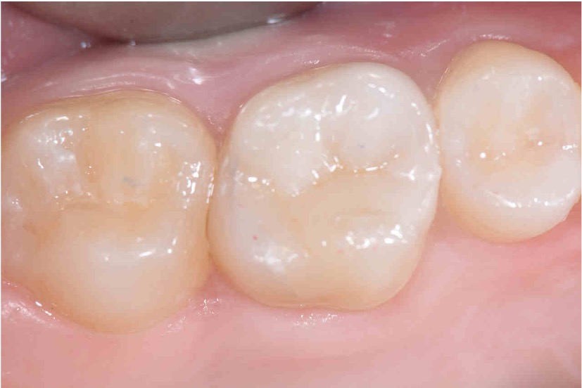
セラミックインレーの症例紹介(コーヘイデンタルオフィス)


小椋 康平(コーヘイデンタルオフィス)
プロフィールをもっと見る
症例詳細
| 主訴 | むし歯がないか見てほしい |
| 治療内容 | セラミックインレー |
| 治療費 | 70,000円(税込) |
| 治療期間 | 2ヶ月 |
| 治療回数 | 3回 |
| 想定されたリスク | むし歯が歯髄に達する可能性がありました。 |
担当医のコメント

コーヘイデンタルオフィス
小椋 康平 歯科医師
むし歯は深かったが、歯髄処置をすることなく本来の歯の形を再現できました。
コーヘイデンタルオフィス
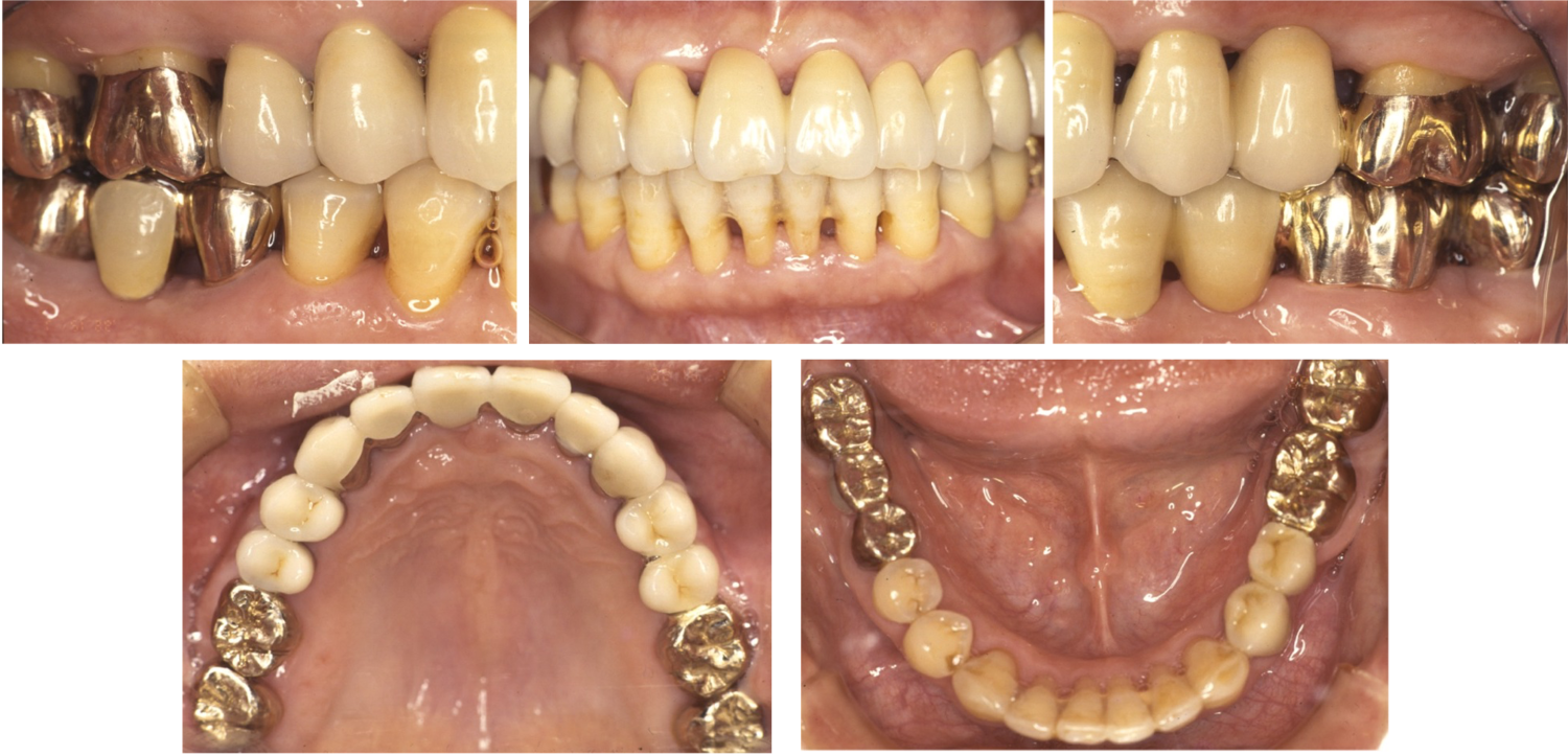
外科処置を伴う歯周病治療、歯周補綴治療の症例紹介(コーヘイデンタルオフィス)


小椋 康平(コーヘイデンタルオフィス)
プロフィールをもっと見る
症例詳細
| 主訴 | 歯周病の治療の続きをしたい |
| 治療内容 | 外科処置を伴う歯周病治療、歯周補綴治療 |
| 治療費 | 2,000,000円(税込) |
| 治療期間 | 21ヶ月 |
| 治療回数 | 50回 |
| 想定されたリスク | 重症の歯周病だったので、炎症のコントロールを徹底する必要があった。もう一つのリスク要因である噛み合わせのコントロールにも細心の注意が必要であった。 |
担当医のコメント

コーヘイデンタルオフィス
小椋 康平 歯科医師
重度歯周病患者さんでしたが、患者さんの努力(ブラッシング)のおかげで30年経過した今でもいい状態を維持できています。
コーヘイデンタルオフィス
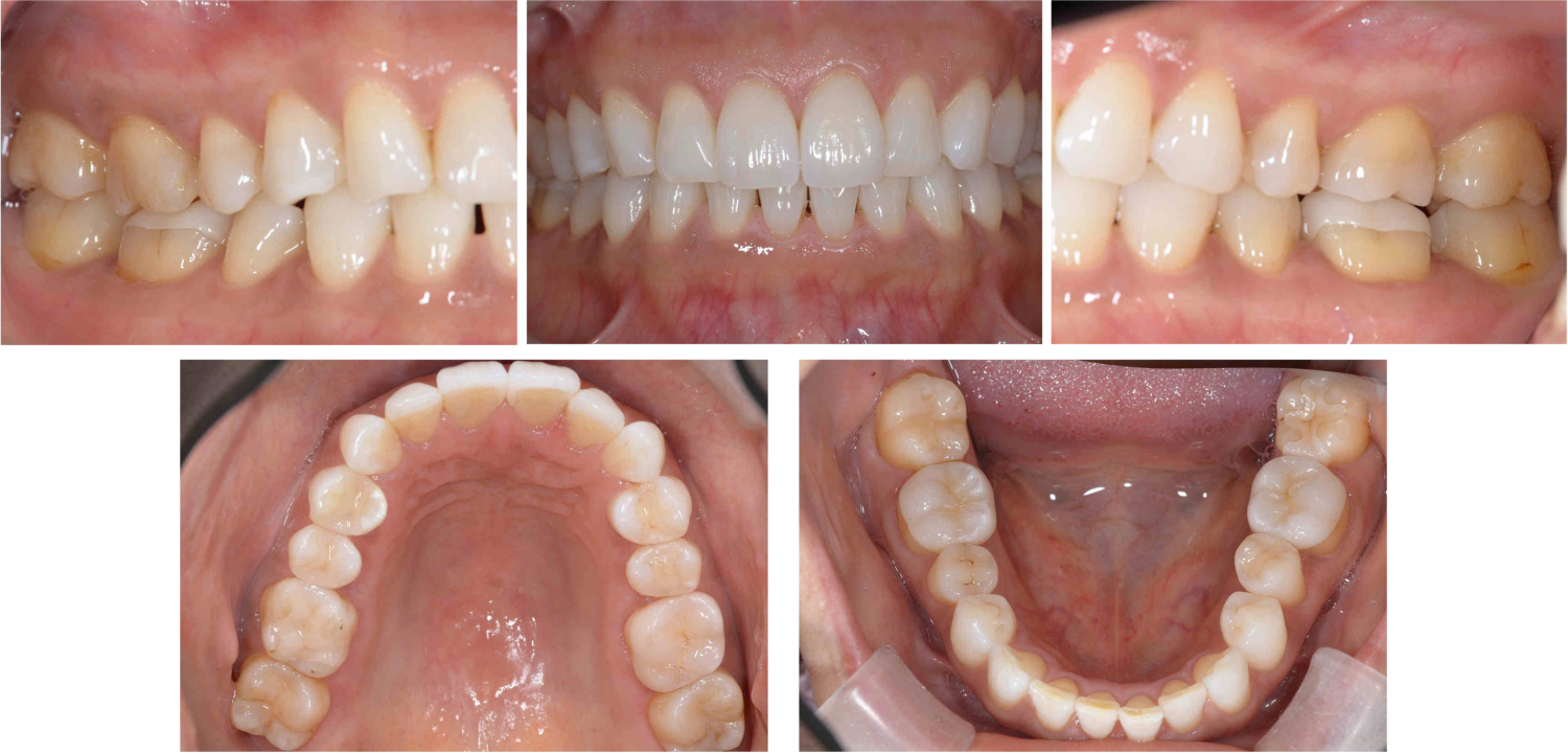
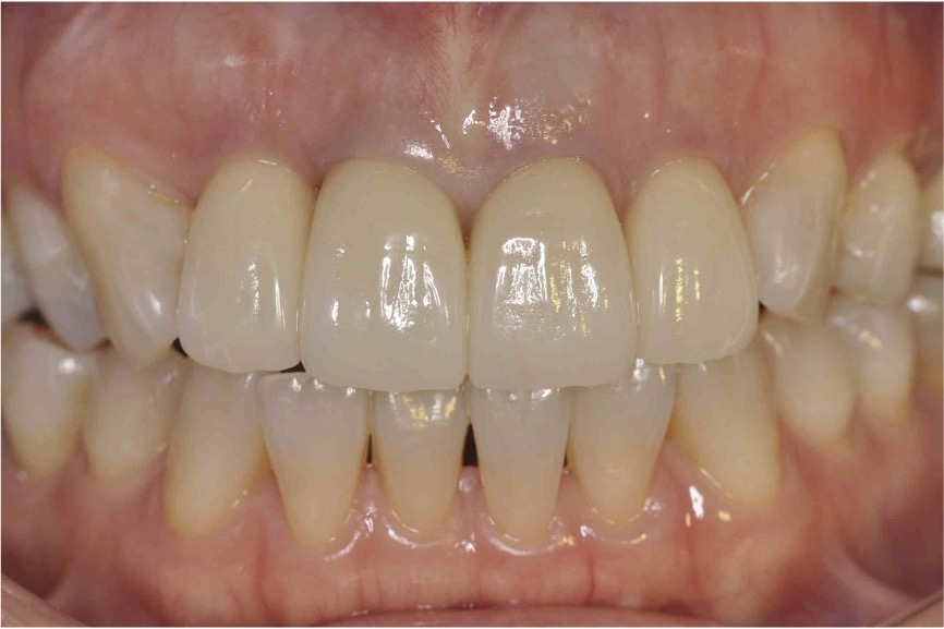
前歯6本の審美修復治療の症例紹介(コーヘイデンタルオフィス)


小椋 康平(コーヘイデンタルオフィス)
プロフィールをもっと見る
症例詳細
| 主訴 | 前歯の差し歯が取れた |
| 治療内容 | 前歯6本の審美修復治療 |
| 治療費 | 720,000円(税込) |
| 治療期間 | 6ヶ月 |
| 治療回数 | 18回 |
| 想定されたリスク | 甘いものが好きな患者さんだったので、むし歯になる可能性があった。 |
担当医のコメント

コーヘイデンタルオフィス
小椋 康平 歯科医師
通勤中の甘いものもやめて、ブラッシングも頑張ってくれたので、患者さんも私も満足のいく審美修復治療をすることができました。
コーヘイデンタルオフィス
コーヘイデンタルオフィス
コーヘイデンタルオフィス
小椋 康平 歯科医師