目次 -INDEX-

川原歯科医院レビュー【医院紹介編】
「歯医者さんに行きたいけれど、どこがよいかな?」と迷われている方もいるのではないでしょうか。むし歯や歯並び、メンテナンスなど、医院探しの目的は人によってさまざまでしょう。医院のアクセスや雰囲気、先生やスタッフの対応など気になる点は多々あると思いますが、この記事では、メディカルドック編集部が集めた情報をレビューし、わかりやすく伝えていきたいと思います♪川原歯科医院が気になっている、詳しく知りたいという方はぜひご覧ください。(※このレポートは編集部がクリニックの様子を取材したものであり「治療の内容、効果」に関する体験談ではございません。)
大通りに面した駐車場完備の通いやすい歯科医院♪
平日は19時まで、土曜日も18時まで診療を行っているので、忙しい方も通いやすい点が魅力です♪
クマがモチーフの銅像が目印の親しみやすい雰囲気!
青い大きな看板や歯ブラシを持っている大きなクマの親子が設置されているので、初めての方も迷わず行けそうですね♪
どなたでも不便なく受診しやすい院内環境◎
受付の方の対応も丁寧で、初めて受診する方も安心して過ごせるよう配慮が徹底されています!
快適に受診できる環境が整った温かみのある雰囲気の院内♪
プライバシーに配慮した個室診療室のほか、キッズスペースも用意されています!
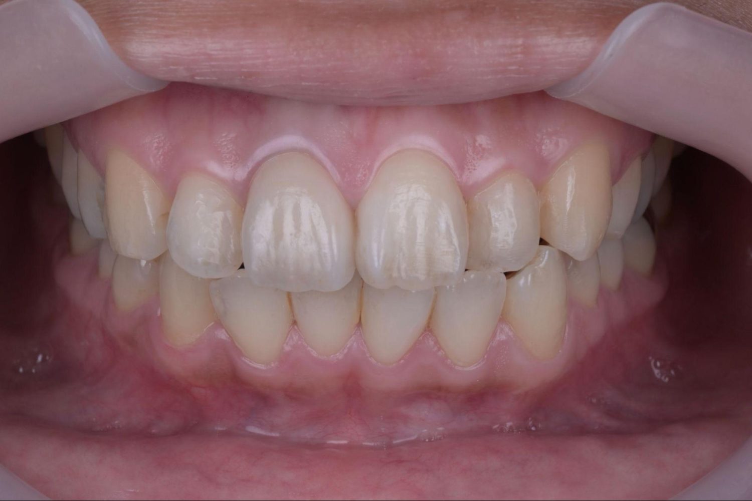
丁寧なカウンセリングで納得感のある審美治療を提案
審美治療は患者さんがどのような歯の色や形状を理想としているのかによって適切な治療法が異なるため、特に丁寧なカウンセリングを重視しているそうです。
初診の際には問診をじっくり行い、色見本や症例写真を活用しながら、さまざまな治療のアプローチの提案が行われているので、自分に合った治療法を見つけられそうです♪
歯科用CTをはじめ充実した設備を活用して行う精密な治療!
川原歯科医院は顎の立体的な形状や神経の位置なども確認できる歯科用CTを導入し、詳しい検査のうえで安全性に配慮した治療を提供されています♪
また、歯のお掃除や処置などの際には拡大鏡を使用し、精密な治療に役立てているそうです。
複数のセラミック素材から患者さんのニーズに合わせたものを提案♪
複数の素材を患者さんのニーズに合わせて使い分け、満足度の高い治療を心がけているそうです!
自分に合った方法で取り組めるホワイトニング
安全性の高い薬剤を使用し、歯科医院で行うオフィスホワイトニングと自宅で行えるホームホワイトニング、そしてその二つを組み合わせてデュアルホワイトニングの方法が選べます♪
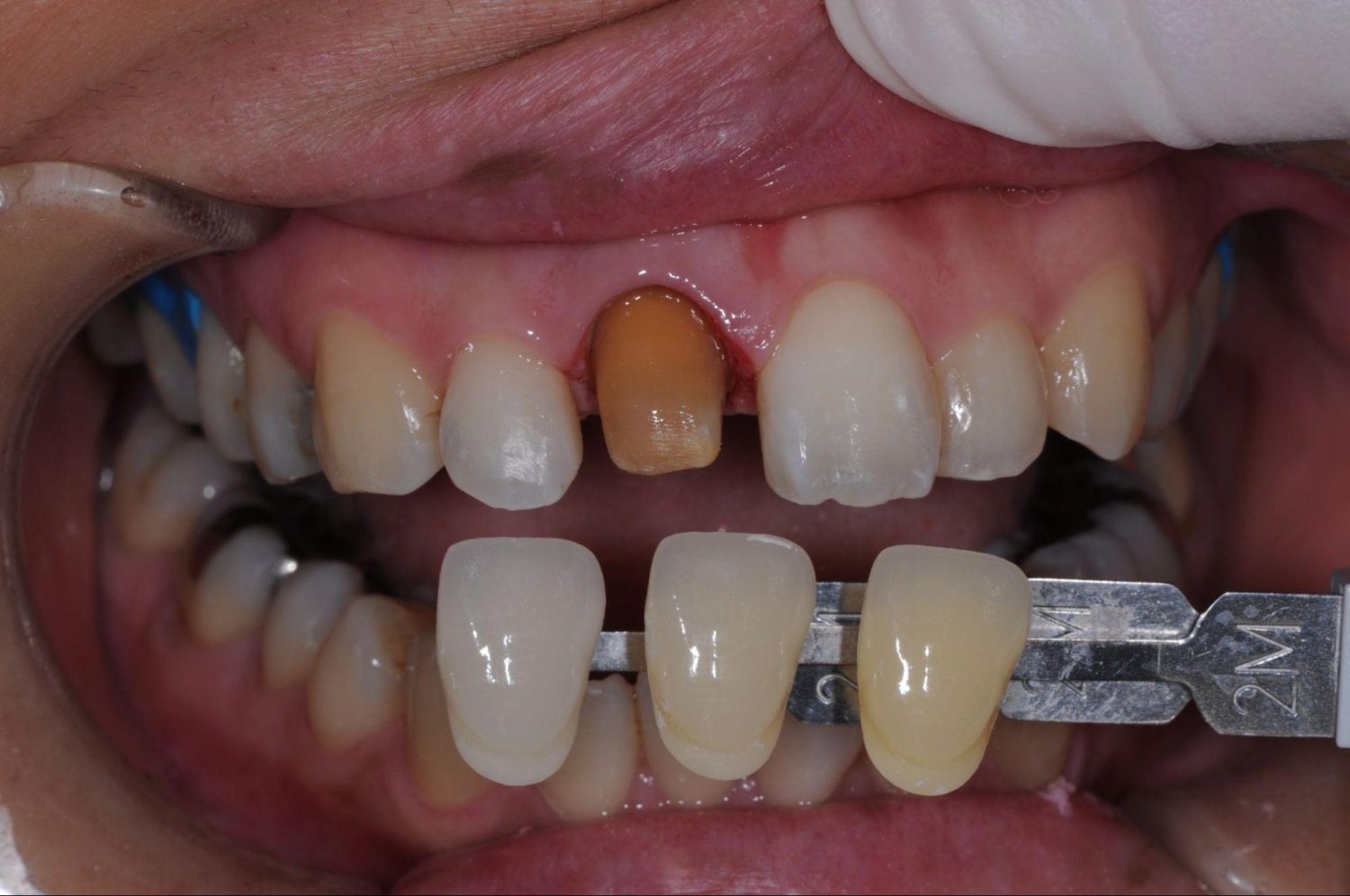
審美治療の症例をご紹介
| 主訴 | 右上一番の変色 |
|---|---|
| 治療内容 | 根管治療、クラウンジルコニアボンドの作製 |
| 治療費 | 2,200円 1,100円 1,100円 111,000(税込) ※自費の費用 |
| 治療回数 | 3回 |
| 治療期間 | 3週間 |
| リスク | セラミック部分が欠けてしまう恐れがあります 被せ物が欠ける恐れがあります |
地域のお口の健康を守り続ける2人の歯科医師♪
副院長の川原孝介先生とともに、健康の入口であるお口を良好に保つために、一人ひとりに寄り添った診療を提供しています♪
川原歯科医院レビューまとめ【医院紹介編】
いかがでしたでしょうか?川原歯科医院は、わかりやすい説明が心がけられている、丁寧な診療が印象的な医院でした。治療中の配慮が徹底されている点も心強く、生涯のかかりつけ歯科医院として頼りになる存在だと思います!審美治療に関する豊富な知識と経験をお持ちなので、審美に関するお悩みをお持ちの方は、足を運んでみてはいかがでしょうか。(※このレポートは編集部がクリニックの様子を取材したものであり「治療の内容、効果」に関する体験談ではございません。)