
担当歯科医師:
馬庭 倫人(マニーデンタル)
プロフィールをもっと見る
マウスピース型矯正の症例紹介(マニーデンタル)


馬庭 倫人(マニーデンタル)
プロフィールをもっと見る
症例詳細
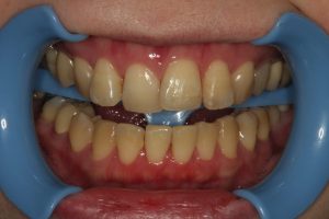
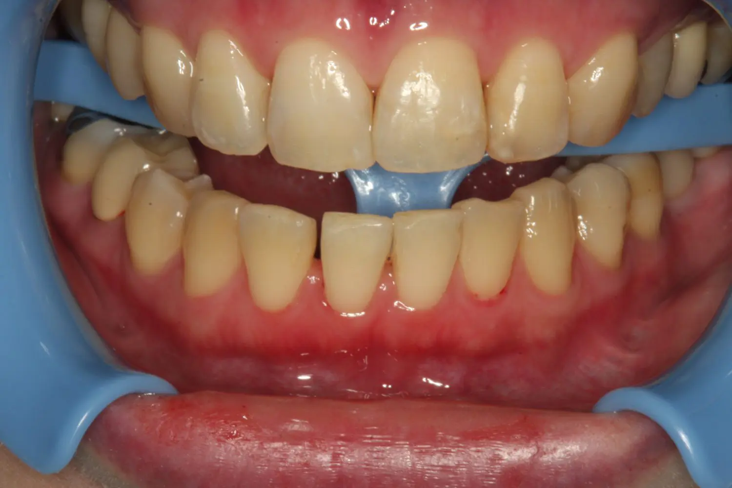
| 主訴 | 上前歯をきれいな歯並びにしたい |
| 治療内容 | マウスピース型矯正 |
| 治療費 | 286,000円(税込) |
| 治療期間 | 5ヶ月 |
| 治療回数 | 13回 |
| 想定されたリスク | スペース確保のため周囲の歯の幅を僅かに削る場合がある。 治療終了後も後戻り防止のために就寝中に保定のマウスピースを着けていただかなければならない。 |
マニーデンタル
🕑 午前: 月火木金土 9:30~13:00
午後: 月火木金 14:30~20:00 土 14:30~17:00
休診日:水・日・祝
マニーデンタル
小児歯科 歯科 歯科口腔外科 矯正歯科
🕑 午前: 月火木金土 9:30~13:00
午後: 月火木金 14:30~20:00 土 14:30~17:00
休診日:水・日・祝
マニーデンタル
馬庭 倫人 歯科医師