歯のインプラント治療とは?部分治療から全顎治療までわかる選択ガイド

歯を失ったとき、その後の生活や健康を左右するのが、どんな治療方法を選ぶかという選択です。近年、注目を集めているインプラント治療は、失った歯の機能を取り戻すだけでなく、見た目の自然さや周囲の歯への負担の少なさという点でも、支持されている治療法です。この記事では、インプラント治療の基本的な仕組みから、一本の欠損に対する治療、さらに多くの歯を失った場合の全顎治療まで、幅広い選択肢を解説します。治療を検討している方が、納得のいく選択をするために必要な情報をお届けします。

監修歯科医師:
田所 賢太郎(たどころ歯科)
目次 -INDEX-
歯のインプラント治療とは?

インプラント治療が実際にどのような仕組みで、どんな特徴があるのかを詳しく理解している方は意外と少ないかもしれません。ここでは、インプラント治療の基本的な仕組みと、従来の治療法との違いを解説します。
インプラント治療の仕組み
インプラント治療とは、歯を失った部分の顎骨に人工の歯根を埋め込み、その上に人工の歯を取り付ける治療法です。治療は大きく分けて三つの段階で進みます。まず、精密な検査を行い、顎骨の状態や噛み合わせを確認します。CT撮影などを通じて、骨の厚みや神経の位置を把握し、安全に治療を進めるための計画を立てます。次に、手術によって顎骨にインプラント体と呼ばれる人工歯根を埋め込みます。手術後は、インプラントと骨がしっかりと結合するまで、数ヶ月の期間を置きます。この過程を「オッセオインテグレーション」と呼び、インプラントが骨と一体化することで、天然の歯根のように機能するようになります。
そして、インプラントの上に人工の歯を取り付けます。この人工の歯は、見た目も機能も天然の歯に近いものが使用され、患者さんの口腔内に合わせて調整されます。こうして、失った歯の機能と見た目を回復させることができるのです。
ただし、インプラント治療は外科的手術を要する点や、治療後の定期的なメンテナンスを継続しなければならない点など、あらかじめ理解しておくべき注意点もあります。また、自費診療のため治療費用は1本につき300,000〜500,000円(税込)程かかります。
ブリッジや入れ歯との違い
従来、歯を失った場合の治療法としては、ブリッジや入れ歯が一般的でした。
ブリッジは、失った歯の両隣の歯を削って支えとし、その間に人工の歯を架け渡す方法です。入れ歯は、取り外し可能な人工の歯を、周囲の歯や歯茎に引っかけて使用します。
これらの方法と比較すると、インプラント治療にはいくつかの大きな違いがあります。まず、インプラントは独立した人工歯根を持つため、周囲の健康な歯を削る必要がありません。周囲の歯に負担をかけることがないため、残っている歯を長持ちさせることにもつながります。
また、入れ歯の場合は食事中にずれたり、発音がしづらくなったりすることがありますが、インプラントは骨にしっかりと固定されているため、天然の歯と同じような感覚で噛むことができます。硬いものを食べるときにも安心感があり、食生活の質を維持しやすいという点も大きなメリットです。
さらに、見た目の自然さという点でも、インプラントは優れています。入れ歯の場合、金具が見えてしまうことがありますが、インプラントは歯茎から生えているように見えるため、周囲の人に気づかれにくいという特徴があります。
インプラント治療の特徴
インプラント治療が多くの方に選ばれる背景には、単に見た目や機能を回復させるだけでなく、長期的な視点で口腔の健康を守ることができるという理由があります。
歯を失った状態を放置すると、顎骨が徐々に痩せていくという現象が起こります。これは、噛む刺激が骨に伝わらなくなるためです。インプラント治療では、人工歯根を通じて噛む力が骨に伝わるため、骨の吸収を抑える効果が期待できます。これにより、顔の輪郭が変わるのを防ぎ、若々しい見た目を保つことにもつながります。
また、インプラントは適切なメンテナンスを行えば、長期間にわたって使用できることが知られています。入れ歯やブリッジは数年ごとに作り直す必要がある場合もありますが、インプラントは一度しっかりと定着すれば、10年、20年と長く機能し続けることができます。
さらに、インプラント治療を選ぶことで、食事や会話を楽しむという日常生活の質を高めることができます。好きなものを気兼ねなく食べられることや、人前で笑顔を見せることに自信が持てることは、精神的な健康にもよい影響を与えます。こうした総合的なメリットが、インプラント治療を選ぶ理由として挙げられます。
インプラント治療の適応はどこまで広がるのか

インプラント治療は、一本の歯を失った場合から複数の歯を失った場合まで、幅広いケースに対応できる柔軟性を持っています。ここでは、それぞれの状況に応じた治療計画の立て方と、インプラント治療が難しいケースについても触れていきます。
一本・数本の欠損へのインプラント
一本だけ歯を失った場合、インプラント治療は有効な選択肢となります。この場合、失った歯の位置に一本のインプラントを埋め込み、その上に人工の歯を取り付けます。隣の歯を削る必要がないため、健康な歯を守りながら失った部分だけを補うことができます。
数本の歯を失った場合でも、インプラント治療は適用可能です。部分的なインプラント治療は、計画を丁寧に立てることで、患者さんの負担を抑えながら、機能的な回復を図ることが可能です。治療前の精密な検査と、患者さんの希望を反映した治療計画が成功のカギとなります。
複数歯を失った場合の治療計画
上下いずれかの顎で多くの歯を失ってしまった場合には、より包括的な治療計画が必要になります。このような状況では、全体的な噛み合わせのバランスを考慮しながら、どこにインプラントを配置するかを慎重に決定します。
複数の歯を失った場合、すべての歯にインプラントを埋め込むのではなく、いくつかのインプラントを戦略的に配置し、その上に連結された人工の歯を取り付ける方法が取られることが多いです。この方法では、少ないインプラントで広範囲をカバーできるため、手術の回数や費用を抑えることができます。
また、骨の状態によっては、インプラントを埋め込む前に骨を増やす処置が必要になる場合もあります。骨が不足していると、インプラントを安定させることが難しくなるためです。骨を増やす方法としては、自分の骨を移植する方法や、人工の骨補填材を使用する方法などがあります。こうした追加の処置を含めた総合的な治療計画を立てることで、長期的に安定したインプラント治療を目指します。
インプラント治療が難しいケースも
インプラント治療は多くの方に適用できる治療法ですが、すべての方に適しているわけではありません。いくつかの条件により、治療が難しい場合や、慎重な判断が必要な場合があります。
まず、顎骨の量や質が不足している場合です。骨が薄い、または柔らかい場合には、インプラントを埋め込んでもしっかりと固定されない可能性があります。このような場合は、骨を増やす処置を行うか、別の治療法を検討する必要があります。
また、全身の健康状態も重要な要素です。糖尿病や心臓病などの持病がある場合、手術のリスクが高まることがあります。また、喫煙習慣がある方は、インプラントと骨の結合がうまくいかない可能性があるため、治療前に禁煙を勧められることが多いです。
歯周病が進行している場合は、まずその治療を優先する必要があります。歯周病菌が口腔内に残っていると、インプラント周囲炎と呼ばれる感染症を引き起こし、インプラントが失敗する原因となるためです。
こうしたリスク要因については、治療を始める前に歯科医師としっかりと相談し、適切な対応を取ることが大切です。
多くの歯を失った場合の全顎治療という選択肢

上下の顎全体で多くの歯を失ってしまった場合、従来は総入れ歯が一般的な選択肢でした。しかし近年では、インプラントを活用した全顎治療という方法が注目されています。ここでは、全顎治療とは何か、そしてなぜインプラントが用いられるのか解説します。
全顎治療とは何か
全顎治療とは、上顎または下顎の全体にわたって、歯の機能を回復させるための包括的な治療を指します。多くの歯を失った場合、残っている歯が不安定であったり、噛み合わせが大きく崩れていたりするため、部分的な治療だけでは十分な回復が難しいことがあります。
全顎治療では、口腔内全体の状態を総合的に評価し、残っている歯の状態、顎骨の量、噛み合わせのバランスなどを考慮して、治療計画を立てます。場合によっては、残っている歯を抜歯して、新たに全体を再構築することもあります。
この治療の目的は、単に見た目を整えるだけでなく、しっかりと噛める機能を回復させることです。噛む力が弱いと、食事が制限されたり、栄養が十分に摂れなくなったりして、全身の健康にも影響を及ぼす可能性があります。全顎治療を通じて、全身の健康維持を目指すことができます。
全顎治療でインプラントが用いられる理由
全顎治療でインプラントが用いられる理由は、その安定性と機能性にあります。
従来の総入れ歯は、歯茎に吸着させて使用するため、ずれやすく、噛む力も制限されます。特に下顎の総入れ歯は安定させることが難しく、食事中に外れてしまうこともあります。
これに対して、インプラントを用いた全顎治療では、数本のインプラントを顎骨に埋め込み、その上に固定式の人工の歯を取り付けます。インプラントが骨にしっかりと固定されているため総入れ歯のようにずれることがなく、天然の歯に近い噛み心地を手に入れられます。
また、インプラントを用いることで顎骨に噛む力が伝わり、骨の吸収を防ぐ効果も期待できます。総入れ歯の場合、骨には刺激が伝わらないため長期間使用すると顎骨が痩せてしまい、入れ歯が合わなくなることがあります。インプラントを用いることで、こうした問題を軽減して長期的に安定した口腔環境を維持することができます。
さらに、インプラントを用いた全顎治療では、見た目の自然さも大きなメリットです。固定式の人工の歯は、歯茎から生えているように見えるため、入れ歯であることが外からわかりにくく、笑顔に自信を持つことができます。こうした理由から、全顎治療においてインプラントが選ばれることが増えています。
全顎治療を検討する際の注意点
全顎治療は、口腔全体を大きく変える治療であるため、慎重な計画と十分な準備が必要です。まず、治療前の精密な検査が欠かせません。CT撮影や噛み合わせの分析を通じて、顎骨の状態や神経の位置を正確に把握し、安全に治療を進めるための計画を立てます。
また、全顎治療は、部分的なインプラント治療に比べて、治療期間が長くなることがあります。複数のインプラントを埋め込む手術を行い、骨と結合するまで数ヶ月待つ必要があるためです。その間、仮の歯を使用することもありますが、最終的な人工の歯が完成するまでには、半年以上かかることもあります。
費用の面でも、全顎治療は高額になる傾向があります。使用するインプラントの本数や、人工の歯の材質、追加の処置の有無によって費用は変わりますが、事前にしっかりと見積もりを確認し、納得した上で治療を進めることが大切です。
さらに、治療後のメンテナンスも重要です。インプラントを長持ちさせるためには、定期的なクリーニングと検診が欠かせません。自宅でのケアと、歯科医院でのプロフェッショナルケアを組み合わせることで、長期的に良好な状態を保つことができるでしょう。
歯のインプラント治療で後悔しないために

インプラント治療で後悔しないためには、事前の情報収集と、信頼できる歯科医院での相談が大切です。
治療成功のカギは「診断力」
インプラント治療の成功は、治療前の診断にかかっています。精密な検査を通じて、顎骨の状態、噛み合わせ、全身の健康状態を正確に把握することが、安全性が高く効果的な治療の第一歩となります。
経験豊富な歯科医師は、患者さんの口腔内だけでなく、生活習慣や全身の健康状態にも目を配り、総合的に判断します。例えば、骨の量が不足している場合には、骨を増やす処置を提案したり、全身疾患がある場合には主治医と連携して治療計画を立てたりします。こうした丁寧な診断が、治療の成功率を高めるのです。
長期視点で治療計画を考える
インプラント治療は、一度行えば終わりというものではありません。治療後も、定期的なメンテナンスを続けることで、長期的に良好な状態を保つことができます。そのため、治療を受ける前に、今後のメンテナンス計画についてもしっかりと確認しておくことが大切です。
また、治療後の生活をイメージし、どのような機能を回復したいのか、どのような見た目を目指したいのかを明確にしておくことも重要です。歯科医師とのコミュニケーションを通じて、自分の希望をしっかりと伝え、納得のいく治療計画を立てることが、後悔しないための鍵となります。
納得して治療法を選ぶことが大切
インプラント治療には、いくつかの方法があります。使用するインプラントの種類、人工の歯の材質、手術の方法など、選択肢はさまざまです。それぞれにメリットとデメリットがあり、患者さんの状態や希望によって適した方法は異なります。
そのため、治療を受ける前に複数の選択肢について説明を受け、それぞれの特徴を理解したうえで、自分に合った方法を選ぶことが大切です。疑問や不安があれば、遠慮せずに質問し、納得できるまで相談することをおすすめします。
歯のインプラント治療はたどころ歯科にご相談を

インプラント治療を検討している方にとって、信頼できる歯科医院を見つけることは、治療の成功につながる大切なステップです。ここでは、足立区にあるたどころ歯科が、どのようにインプラント治療に取り組んでいるのかを紹介します。
インプラントから全顎治療まで見据えた診療体制
たどころ歯科理事長の田所賢太郎先生は、足立区で生まれ育ち、2012年にたどころ歯科の院長となり地域に根差した歯科医療を提供されています。
たどころ歯科では、一般的なむし歯や歯周病治療から、予防治療、矯正歯科、入れ歯、インプラント治療まで、幅広い診療を行っています。
特にインプラント治療においては、一本の欠損から複数歯の欠損、さらには全顎治療まで、患者さんの状態に応じた多様な治療に対応されているそうです。
田所理事長は、日本口腔インプラント学会に所属し、インプラント再建歯学研究会やスタディーグループにも参加するなど、常に新しい知識と技術の習得に努めているそうです。こうした学びを診療に活かし、患者さんに適切な治療を提供できる体制を整えられています。
精密検査に基づく、根拠ある治療計画を立案
たどころ歯科では、インプラント治療を行う際、事前の精密な検査を徹底されています。CT撮影を通じて顎骨の厚みや神経の位置を正確に把握し、安全に治療を進めるための計画を立てるそうです。また、噛み合わせの状態や口腔内全体のバランスも確認し、患者さん一人ひとりに合わせた治療方針を提案されています。
顎骨が不足していて過去に治療が難しいと言われた方でも、たどころ歯科では骨を増やす処置を行い、インプラント治療を可能にできる可能性があるといいます。こうした高度な治療にも対応できる技術力が、たどころ歯科の強みとなっています。
治療では、治療前と治療後の状態を写真を使ってしっかりと説明し、患者さんが今どのような状態にあり、どんな治療を行い、どう変わるのかを視覚的に理解できるようにすることで、納得して治療を受けていただくことを大切にされています。この「透明性の高い診療」という理念は、医療法人社団賢新会全体で共有されており、患者さんとの信頼関係を築くための基盤となっています。
治療後も見据えた継続的なサポートで歯の健康を守る

たどころ歯科では、インプラント治療後のメンテナンスにも力を入れており、定期的な検診とクリーニングを通じて、インプラントを長く使い続けられるようサポートされています。
法人内では、年に数回の勉強会を開催し、スタッフ全員が新しい知識を共有し、診療の質を高める取り組みを行ったり、外部の講習会にも積極的に参加して常に技術の向上を図るなど、継続的に学び患者さんに質の高い診療を提供できるよう努められています。
たどころ歯科は、地域の方々にとって気軽に相談できる「ご近所さん」のような存在でありたいという思いで、透明性の高い診療を目指されています。
インプラント治療を検討している方、全顎治療について相談したい方は、たどころ歯科に相談してみてはいかがでしょうか。
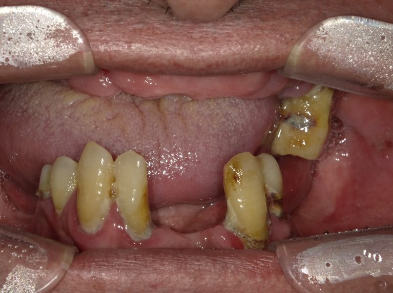
たどころ歯科のインプラント症例
Before

治療途中

After

症例詳細
・主訴:歯がなくてうまく噛めない
・治療内容:AGCと言われている茶筒の原理を利用したセメントを用いずに審美的に優れている術者可撤式のBrを製作しました。
・院長コメント:上顎の歯槽骨の吸収も激しかったためGBR・サイナスリフトも行っております。術者可撤式といって、メンテナンス時に外して清掃、再セットが容易に行えるというメリットもあります。
・治療費(税込):3,850,000円
・治療期間・通院回数:12ヶ月・40回
・リスク:全顎治療となりますので通院回数が増えてしまいます。また骨の状態にもよりますが、骨増生とインプラント埋入手術を別に行う場合には治療期間もより長期となってしまいます。
たどころ歯科の基本情報
アクセス・住所・診療時間・費用・治療期間・治療回数
東武スカイツリーライン 梅島駅 徒歩9分
| 診療時間 | 月 | 火 | 水 | 木 | 金 | 土 | 日 | 祝 |
|---|---|---|---|---|---|---|---|---|
| 10:00~12:00 | ⚫︎ | - | ⚫︎ | ⚫︎ | ★ | ▲ | ▲ | - |
| 14:00~20:00 | ⚫︎ | - | ☆ | ⚫︎ | ★ | - | - | - |
▲:10:00〜15:00
★:9:30〜12:00、14:00〜19:30
☆:14:00〜16:00
【費用(税込)】
インプラント埋入手術 275,000円
上部構造(被せ物) 110,000円
骨増生 55,000円
上顎洞(サイナスリスト、ソケットリフト) 55,000〜220,000円
【治療期間】半年~1年
【治療回数】2~6回
参考文献




