なないろこども歯科 症例紹介

担当歯科医師:
森 伊津(なないろこども歯科)
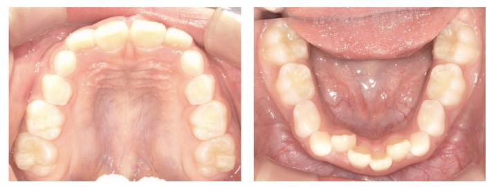
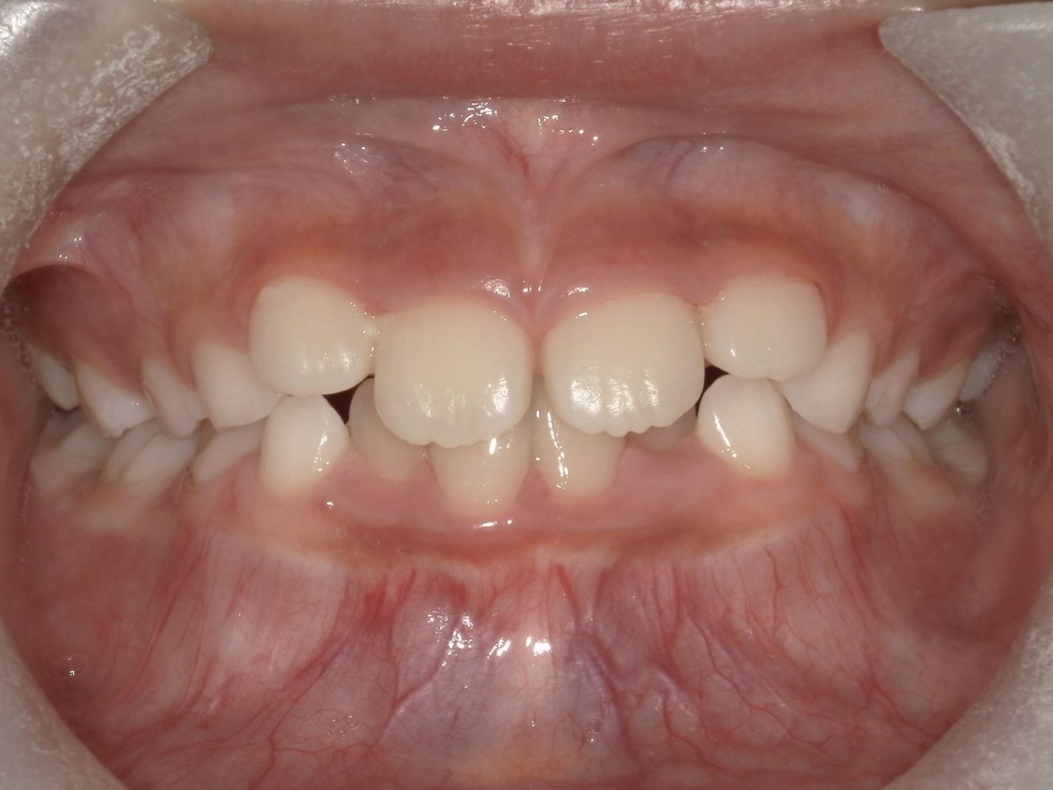
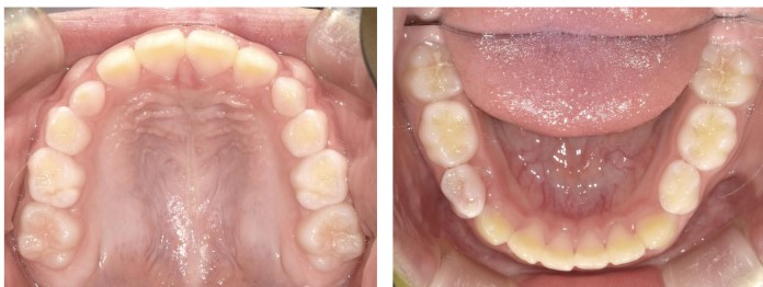
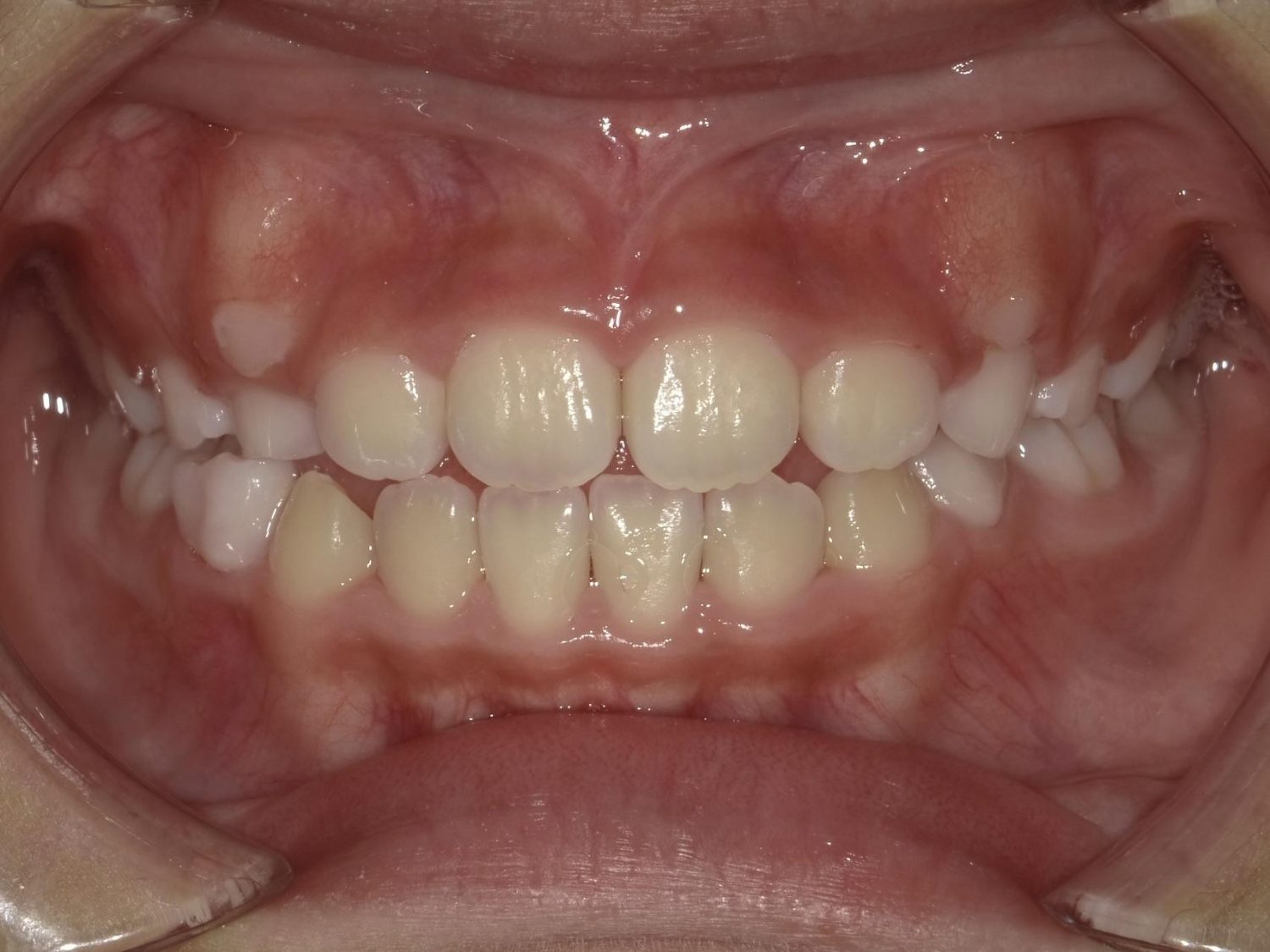
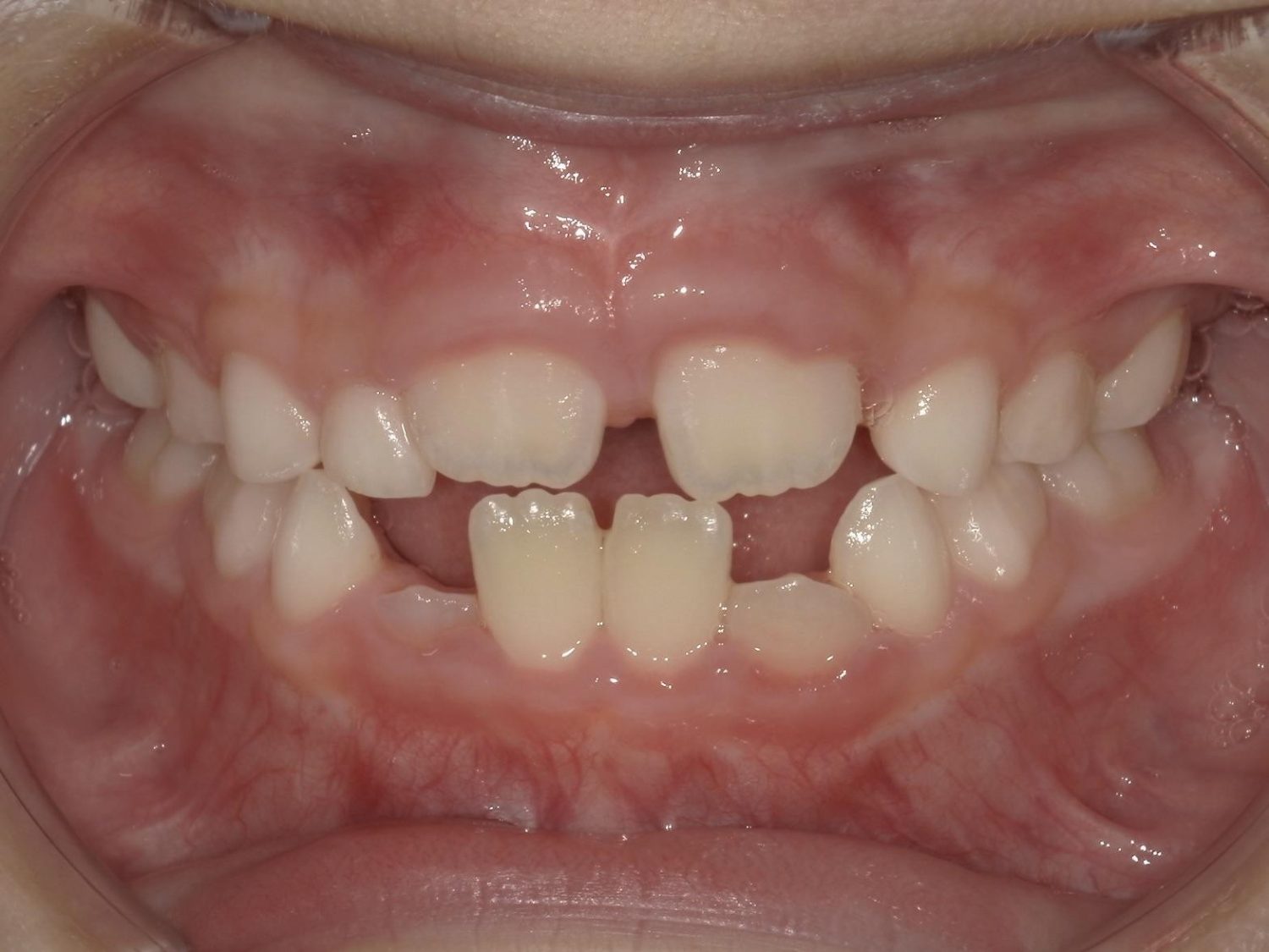
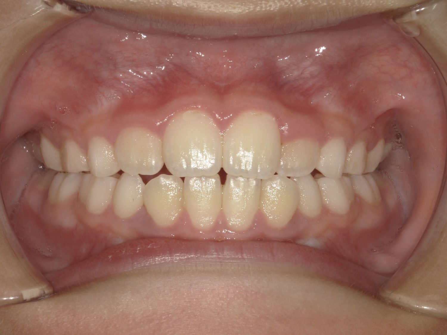
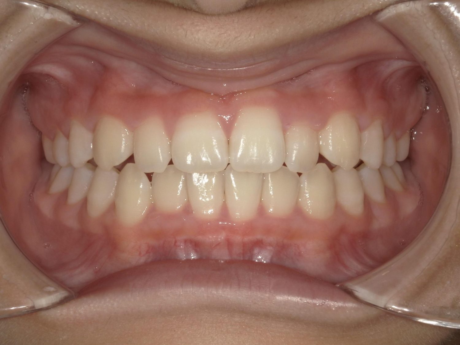
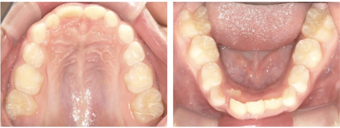
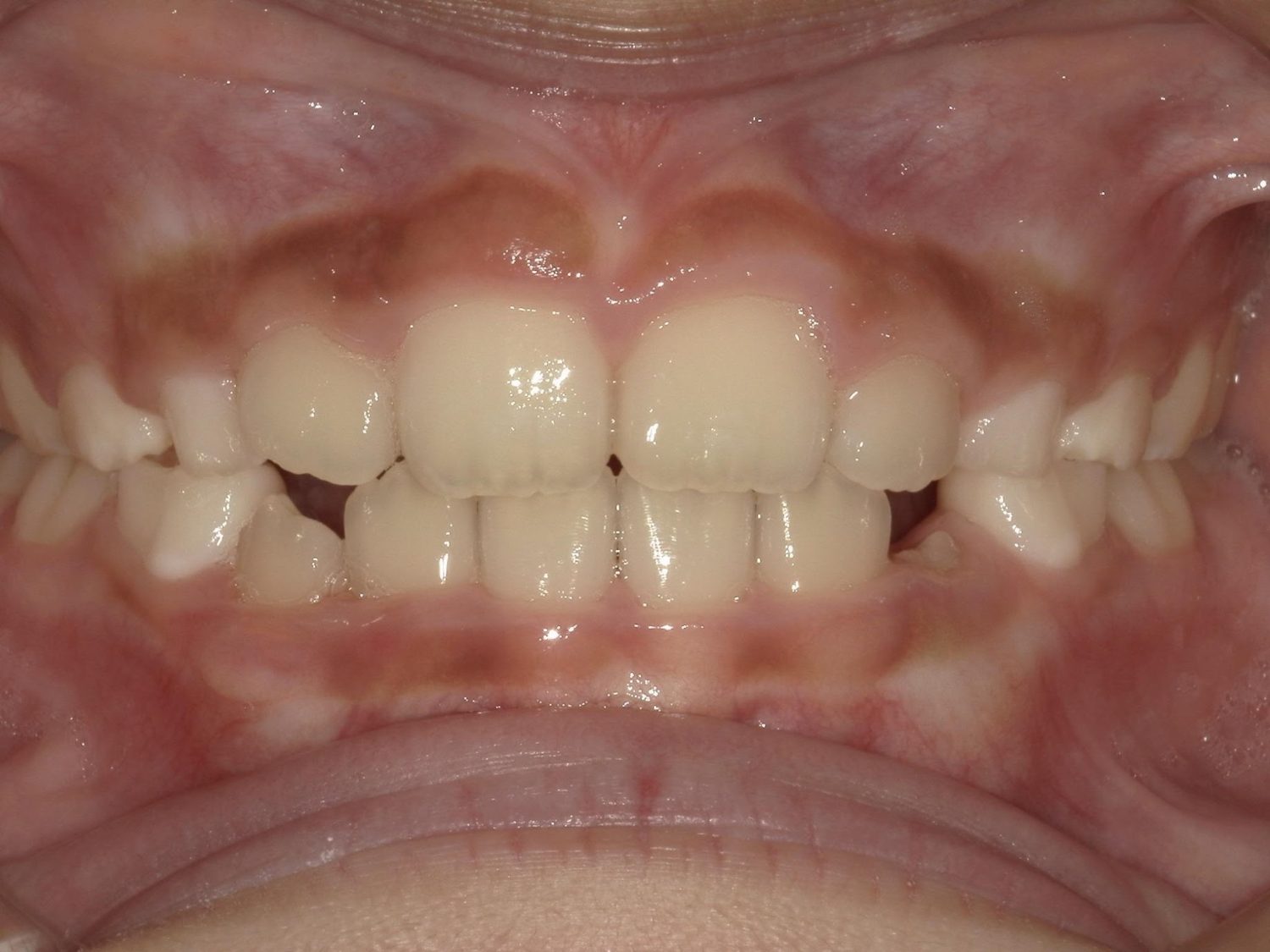
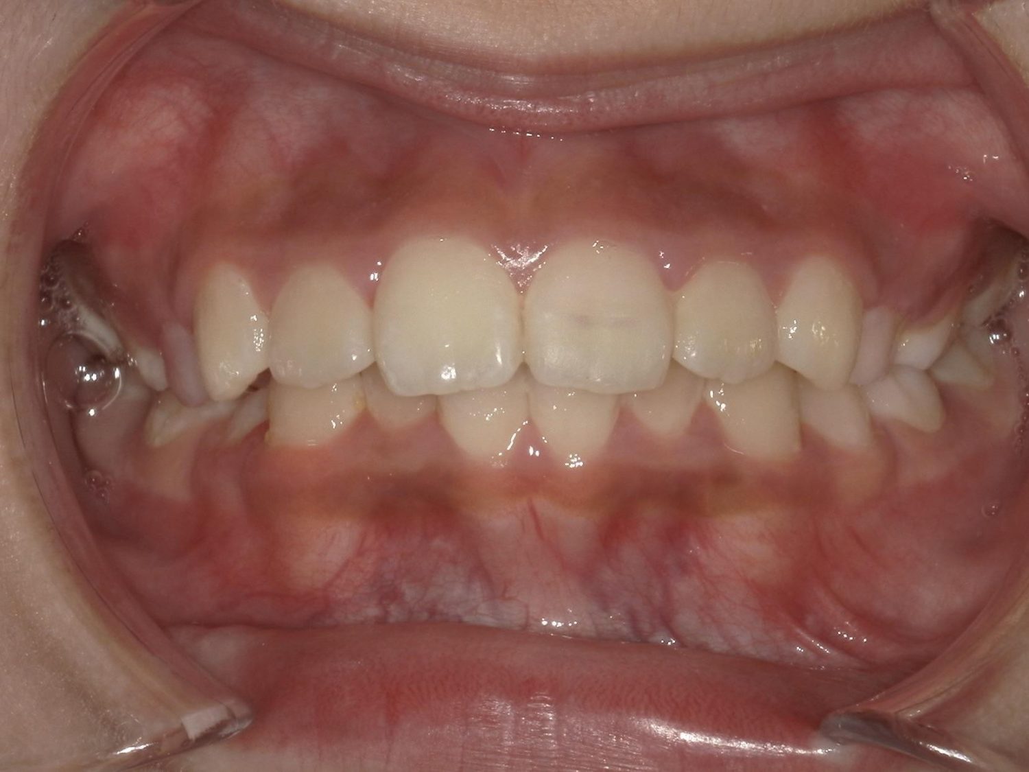
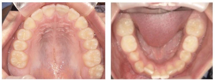
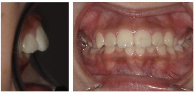
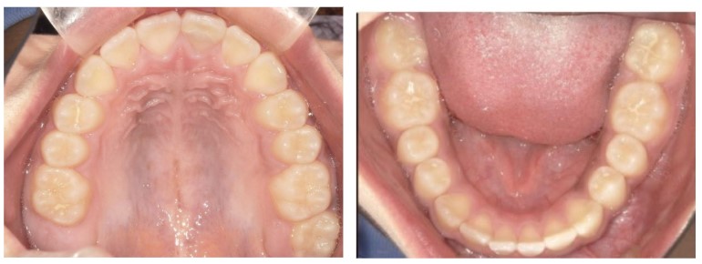
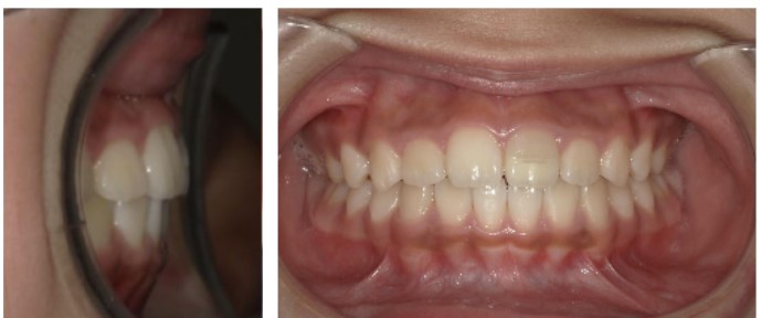
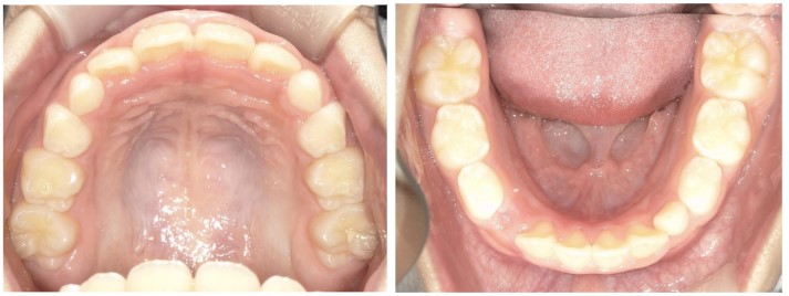
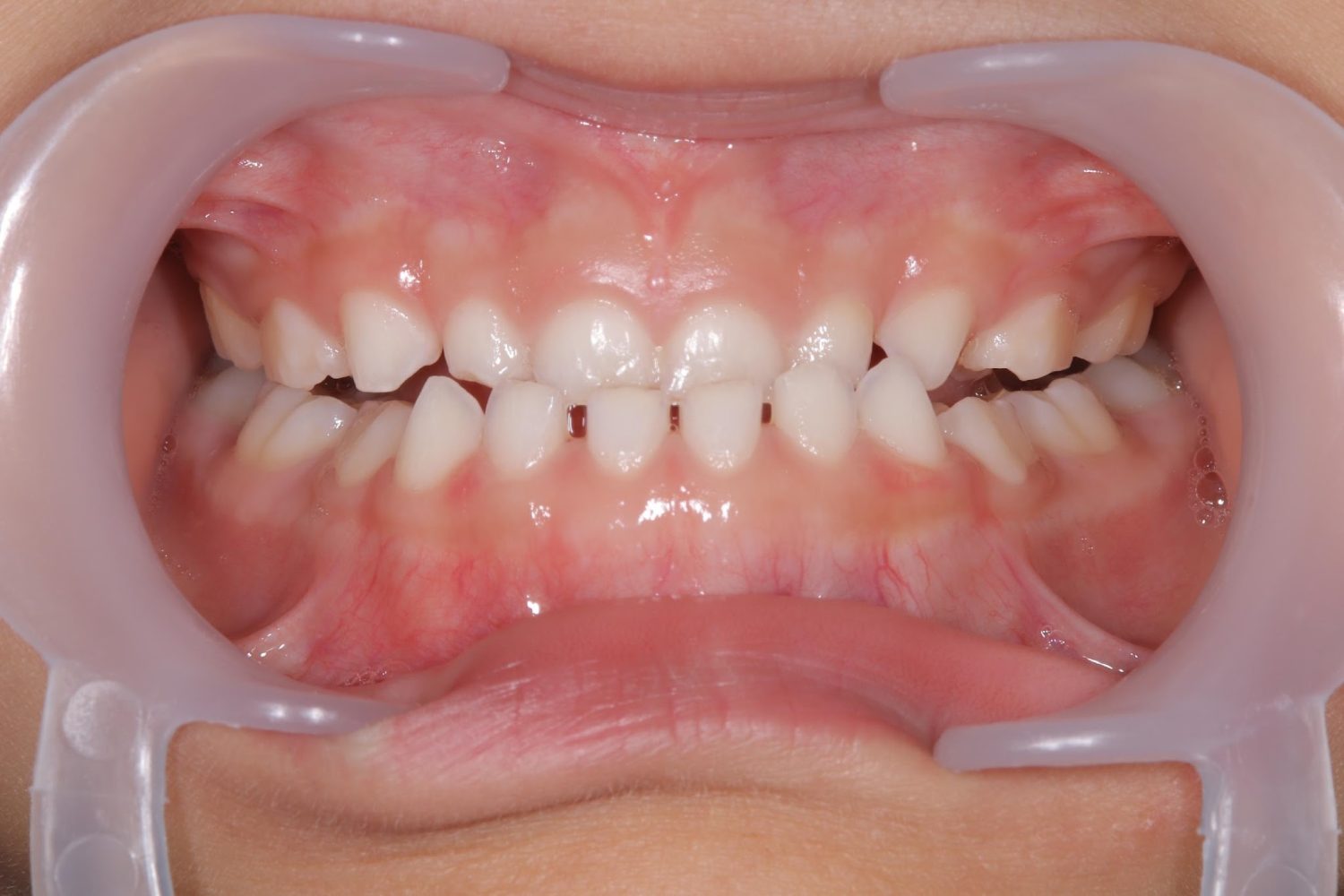
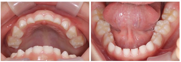
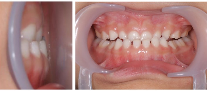
叢生の症例紹介①

Before


After


主訴
下の前歯の歯並びがガタガタしているので治したい
治療内容
叢生になった原因を探し、原因から改善。口腔機能発達のために筋機能矯正装置の使用とトレーニングを行いました。
治療費
462,000円(税込)
治療期間
30ヶ月
通院回数
30回
想定されたリスク
※歯の移動に伴って、痛みや違和感を感じることがあります。治療後も口腔筋機能がしっかりキープされないと、歯並びが元に戻ってしまう可能性があります。
森 伊津先生
なないろこども歯科
オルト矯正(ORT矯正)治療は、本人のモチベーションが大切ですが、とても協力度の高い患者さんなのでトレーニング効果が出ています。治療期間については、歯並びの状態によっては少し長くかかる場合がありましたが、この症例では短期間で叢生は改善されました。改善された歯並びを維持できるよう口腔機能を良くするためのトレーニングを続けています。
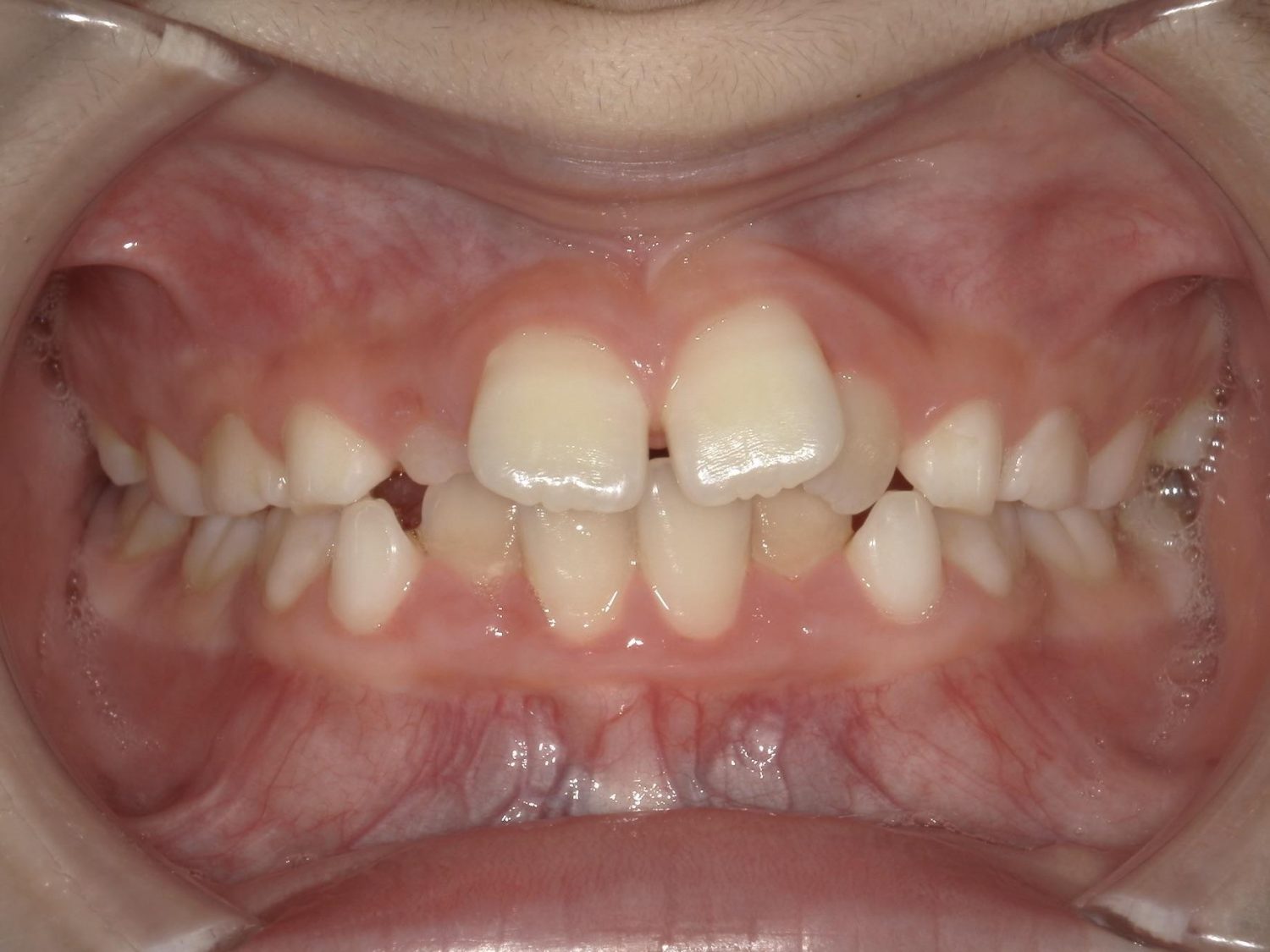
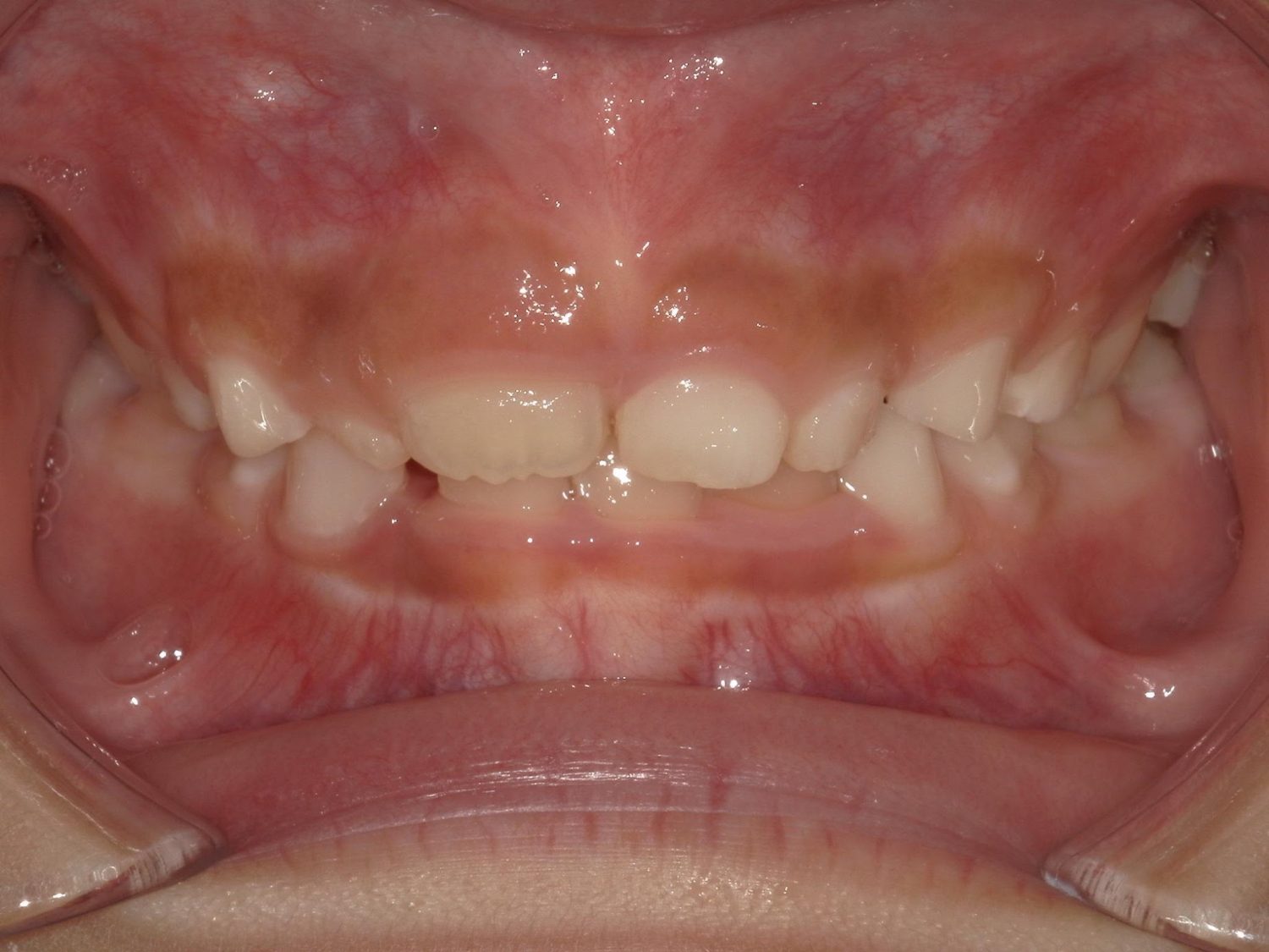
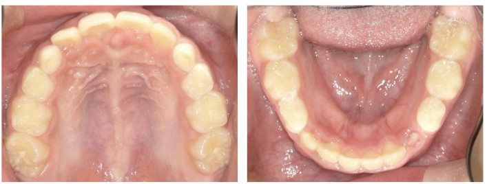
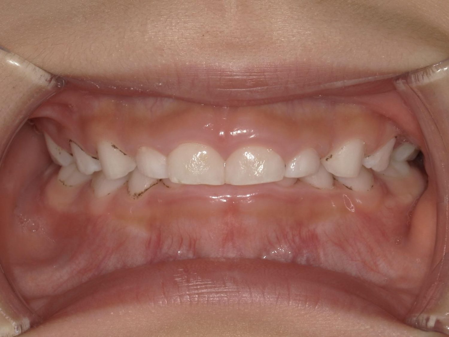
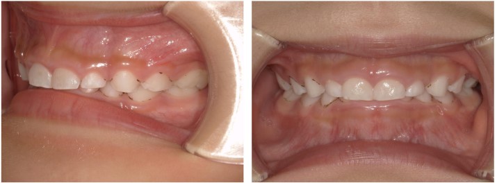
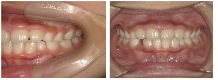
叢生の症例紹介②

Before


After


主訴
歯が生える場所が足りないので治したい
治療内容
叢生になった原因を探し、原因から改善。口腔機能発達のために筋機能矯正装置の使用とトレーニングを行いました。
治療費
462,000円(税込)
治療期間
25ヶ月
通院回数
30回
想定されたリスク
※歯の移動に伴って、痛みや違和感を感じることがあります。治療後も口腔筋機能向上を意識的に行わない場合、歯並びが元に戻ってしまう可能性があります。
森 伊津先生
なないろこども歯科
オルト矯正(ORT矯正)治療は本人のモチベーションが大切ですが、とても協力度の高い患者さんなのでトレーニング効果が出ています。上顎の前歯乳歯が3本抜けたが、3本目の前歯が生える場所が無く、スペースが明らかに足りませんでした。叢生になった原因を探し、原因から改善。口腔機能発達のために筋機能矯正装置の使用とトレーニングを行い、頭蓋顔面の成長を促すためにバイオブロックなどを使用しています。
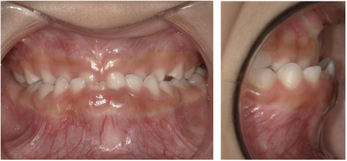
叢生の症例紹介③

Before


After


主訴
歯並びがガタガタしているので治したい
治療内容
叢生になった原因を探し、原因から改善。口腔機能発達のために筋機能矯正装置の使用とトレーニングを行いました。姿勢が悪かったため、カイロプラクターと連携し、姿勢の指導なども行いました。
治療費
453,200円(税込)
治療期間
30ヶ月
通院回数
30回
想定されたリスク
※歯の移動に伴って、痛みや違和感を感じることがあります。本人のモチベーション次第で治療結果が左右される治療であるため、治療後も口腔筋機能がしっかりキープされないと歯並びが元に戻ってしまう可能性があります。
森 伊津先生
なないろこども歯科
とても協力度の高い患者さんなのでトレーニング効果が出ています。装置の使用とトレーニングを行う事で、口周りの筋肉の状態を整える事で歯が正しい位置に並びました。※治療期間については、歯並びの状態によっては少し長くかかる場合があります。また、ご本人やご家族の協力が得られないと、治療を中断せざるを得ないこともあります。
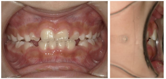
叢生の症例紹介④

Before


After


主訴
下の前歯が後ろから生えてきたので治したい
治療内容
叢生になった原因を探し、原因から改善。口腔機能発達のために筋機能矯正装置の使用とトレーニングを行いました。姿勢も悪かったため、姿勢の指導も行いました。
治療費
462,000円(税込)
治療期間
24ヶ月
通院回数
22回
想定されたリスク
※歯の移動に伴って、痛みや違和感を感じることがあります。本人のモチベーション次第で治療結果が左右される治療であるため、治療後も口腔筋機能がしっかりキープされないと歯並びが元に戻ってしまう可能性があります。
森 伊津先生
なないろこども歯科
とても協力度の高い患者さんなのでトレーニング効果が出ています。装置の使用とトレーニングを行う事で、口周りの筋肉の状態を整える事で歯が正しい位置に並びました。※治療期間については、歯並びの状態によっては少し長くかかる場合があります。また、ご本人やご家族の協力が得られないと、治療を中断せざるを得ないこともあります。
上顎前突の症例紹介

Before


After


主訴
出っ歯なので治したい
治療内容
上顎前突になった原因を探し、原因から改善。口腔機能発達のために筋機能矯正装置の使用とトレーニングを行いました。姿勢も悪かったため、姿勢の指導も行いました。
治療費
462,000円(税込)
治療期間
26ヶ月
通院回数
26回
想定されたリスク
※歯の移動に伴って、痛みや違和感を感じることがあります。治療後も口腔筋機能がしっかりキープされないと、歯並びが元に戻ってしまう可能性があります。
森 伊津先生
なないろこども歯科
オルト矯正(ORT矯正)治療は、本人のモチベーションが大切ですが、とても協力度の高い患者さんなのでトレーニング効果が出ています。装置の使用とトレーニングを行う事で、口周りの筋肉の状態を整える事で歯が正しい位置に並びました。※治療期間については、歯並びの状態によっては少し長くかかる場合があります。また、ご本人やご家族の協力が得られないと、治療を中断せざるを得ないこともあります。
過蓋咬合の症例紹介

Before



After



主訴
噛み合わせが深いので治したい
口呼吸なので治したい
治療内容
過蓋咬合になった原因を探し、原因から改善。口腔機能発達のために筋機能矯正装置の使用とトレーニングを行い、頭蓋顔面の成長を促すためにバイオブロックなどを使用しています。姿勢の改善も行うため、カイロプラクターと連携し、姿勢の指導なども行いました。
治療費
506,000円(税込)
治療期間
24ヶ月
通院回数
21回
想定されたリスク
※歯の移動に伴って、痛みや違和感を感じることがあります。本人のモチベーション次第で治療結果が左右される治療であるため、治療後も口腔筋機能がしっかりキープされないと歯並びが元に戻ってしまう可能性があります。
森 伊津先生
なないろこども歯科
とても協力度の高い患者さんなのでトレーニング効果が出ています。装置の使用とトレーニングを行う事で、口周りの筋肉の状態を整える事で歯が正しい位置に並びました。保護者の意識が高く、口呼吸を治したいという事で治療を始めました。治療とともに口呼吸、過蓋咬合も改善し、またガミースマイルも改善されました。
反対咬合の症例紹介①

Before


After


主訴
受け口になっているので治したい
治療内容
反対咬合になった原因を探し、原因から改善。口腔機能発達のために筋機能矯正装置の使用とトレーニングを行い、頭蓋顔面の成長を促すためにバイオブロックやFMなどを使用しています。
治療費
462,000円(税込)
治療期間
30ヶ月
通院回数
30回
想定されたリスク
※歯の移動に伴って、痛みや違和感を感じることがあります。治療後も口腔筋機能がしっかりキープされないと、歯並びが元に戻ってしまうリスクもあります。
森 伊津先生
なないろこども歯科
治療期間については、歯並びの状態によっては少し長くかかる場合があります。また、オルト矯正(ORT矯正)治療は、ご本人やご家族の協力が得られないと治療を中断せざるを得ないこともあり、本人のモチベーションも大切ですが、とても協力度の高い患者さんなのでトレーニング効果が出ています。口腔機能、歯並びの改善とともに、顔つきがどんどん良くなっています。中咽頭も広がっています。
反対咬合の症例紹介②

Before


After


主訴
受け口なので治したい
治療内容
反対咬合になった原因を探し、原因から改善。口腔機能発達のために筋機能矯正装置の使用とトレーニングを行い、頭蓋顔面の成長を促すためにバイオブロックやFMなどを使用しています。
治療費
468,000円(税込)
治療期間
68ヶ月(経過観察期間を含む)
通院回数
48回
想定されたリスク
※歯の移動に伴って、痛みや違和感を感じることがあります。本人のモチベーション次第で治療結果が左右される治療であるため、治療後も口腔筋機能がしっかりキープされないと歯並びが元に戻ってしまう可能性があります。
森 伊津先生
なないろこども歯科
とても協力度の高い患者さんなのでトレーニング効果が出ています。装置の使用とトレーニングを行う事で、口周りの筋肉の状態を整える事で歯が正しい位置に並びました。※治療期間については、歯並びの状態によっては少し長くかかる場合があります。また、ご本人やご家族の協力が得られないと、治療を中断せざるを得ないこともあります。
なないろこども歯科
🕑 [月・火・水・金]10:00~13:00/14:30~18:30
[土]9:30~13:00/14:00~17:30
休診日:日・祝・木・夏期休暇・年末年始




