戸越なかやま歯科 症例紹介

担当歯科医師:
中山亮平(戸越なかやま歯科)
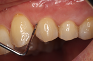
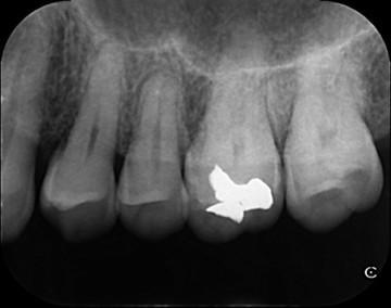
Er:YAGレーザーを併用した歯周組織再生療法の症例紹介

Before

初診時歯周ポケット6mm、左上4番に骨吸収を認める

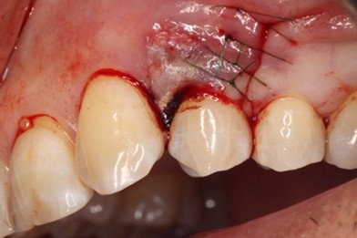
切開はEPPT(entire papilla preservation technique)
治療中


エムドゲイン®サイトランス®を填入し、レーザーにて血餅形成、縫合
After

骨の再生を認める
主訴
他院で歯周病と言われ紹介されました
治療内容
歯周基本治療後に再評価し、ポケットが残存したのでEr:YAGレーザーを併用した歯周組織再生療法(エムドゲイン® 、サイトランス®を使用)を行ったケース
治療費
16万円(税込)
治療期間
6ヶ月
治療回数
8回
想定されたリスク
※術後の知覚過敏や歯肉退縮の可能性がありました。
中山亮平先生
戸越なかやま歯科
歯周病の好発部位である上顎第一小臼歯近心面における骨吸収に対して再生療法を行ったケース。一般的に根面溝という溝があり歯石の沈着が生じやすい。また溝の存在により術後に歯肉と歯根の付着が生じにくいため、今回はEr:YAGレーザーにて血餅形成を行い組織の安定化を図った。
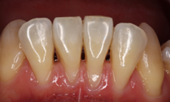
下顎前歯歯肉退縮に対する歯肉移植術の症例紹介

Before

下顎前歯に顕著な歯肉退縮を認める
治療中

切開はEPPT(entire papilla preservation technique)
After

手術後4年経過
主訴
下の前歯が冷たいものがしみる
治療内容
歯周基本治療後に根面被覆術を実施しその後はメンテナンス
治療費
20万円(税込)
治療期間
5ヶ月
治療回数
7回
想定されたリスク
※術後の知覚過敏の可能性がありました。
中山亮平先生
戸越なかやま歯科
歯肉退縮が生じることで知覚過敏に繋がるケースは少なくない。また将来的には根面う蝕の可能性も高くなるため、歯肉退縮している場合には予防的な観点から根面被覆手術をした方がいい場合がある。特に知覚過敏が強い場合にはブラッシングがしづらい場合も多くよりう蝕や歯周病のリスクが上がるため注意が必要と考える。
歯根破折した歯に対してRidge Preservationを行いインプラント埋入を行ったケースの症例紹介

Before

抜歯およびRidge Preservation時の口腔内写真


抜歯時に頬側の骨の大きな欠損を認めた。サイトランス®を使用したRidge Preservation、Cytoplast®※を使用し抜歯窩を被覆
(※) 未承認医薬品等であるため医薬品副作用被害救済制度の対象とはならない可能性があります。
治療中

骨の再生が起きており十分な骨幅を認める
After

補綴後の口腔内写真
主訴
他院で歯が割れていると診断され、インプラントを勧められました
治療内容
マイクロスコープにて歯の破折を確認し、患者さんとも相談の上、抜歯しインプラント埋入となった
治療費
60万円(税込)
治療期間
9ヶ月
治療回数
12回
想定されたリスク
※術後の一時的な腫れや感染のリスクがありました。
中山亮平先生
戸越なかやま歯科
破折歯を抜歯した場合、今回のケースのように骨の吸収が著しく生じていることが多く、このままではインプラント周囲に十分な骨幅(理想的にはプラットフォームから2mmの骨幅)を維持することができないためRidge Preservationは非常に有効な手法であると考える。
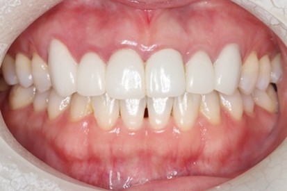
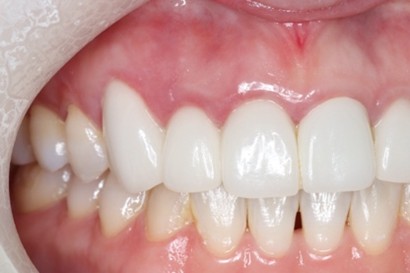
歯周病患者に対して前歯部に審美修復を行ったケースの症例紹介

Before


6前歯の被せ物の歯肉が赤く腫れており膿が出ている部分もあった。審美的とは言えない状況
治療中

セラミック仮着時
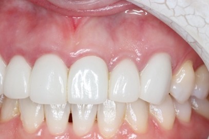
After

セラミックセット後3年、歯肉の炎症はなく審美的な結果が得られている
主訴
他院でセラミック矯正を行ったがその後歯肉が腫れてしまい出血する様になった
治療内容
初診時に入っていた被せ物は全て外し仮歯に置き換え、歯周基本治療を行った。その後歯肉の位置を調整して(クラウンレングスニング)仮歯を調整したのちにジルコニアセラミックを作成した。
治療費
90万円
治療期間
9ヶ月
治療回数
15回
想定されたリスク
※歯肉の位置の調整のための手術が必要だったため術後の一時的な腫脹・疼痛があった。
中山亮平先生
戸越なかやま歯科
審美修復に必要なことは、歯肉の健康だとつくづく感じている。いくら被せ物をセラミックで行ったところで土台である歯肉が健康でなければ本当の意味での審美修復は不可能であり長期的な予後が見込めない。まずは炎症のない口腔内の確立を第一に考える必要があると考える。
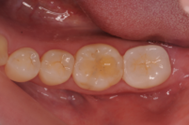
親知らずを移植し咬み合わせを作ったケースの症例紹介

Before

抜歯後1ヶ月で親知らずの抜歯を行った

移植歯の根管治療終了時

After


ジルコニアで修復
主訴
奥歯がたまに痛い
治療内容
パーフォレーションの起きていた歯は温存困難だったため抜歯を行い、その後1ヶ月後に親知らずの移植を行った。移植後に根管治療を行いその後ジルコニアで補綴を行った。
治療費
20万円(税込)
治療期間
5ヶ月
治療回数
12回
想定されたリスク
※移植歯が定着しないリスクや、今後移植歯が外部吸収やアンキローシスを起こす可能性がありました。
中山亮平先生
戸越なかやま歯科
歯を抜歯した後の補綴処置として移植治療はとても効果的であり、特にこの方のように20代など若い場合には当院ではインプラント治療よりも移植治療を勧めており、インプラント治療の先延ばしを考えている。ただし大きさや形によっては予後が不良になる場合もあるので術前のCBCTによる診断がとても大切である。
戸越なかやま歯科
🕑 【予約制】
[月・火・水・金]9:30~13:00/14:30~19:00
[土]9:30~13:00/14:00~17:00
休診日:木曜日・日曜日・祝日




