浜歯科 症例紹介

担当歯科医師:
濱 仁隆(浜歯科)
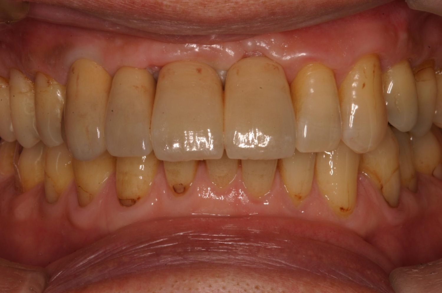
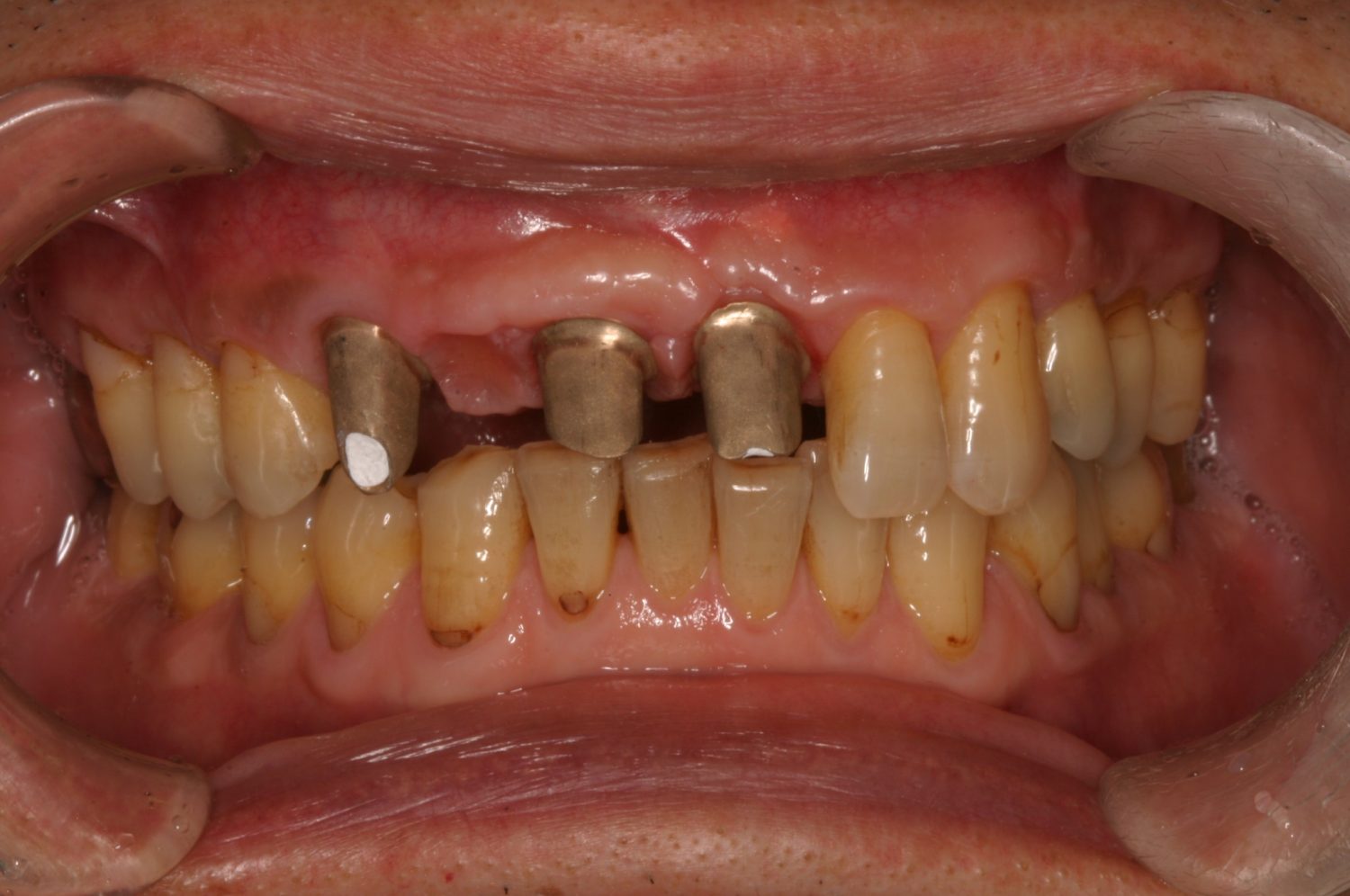
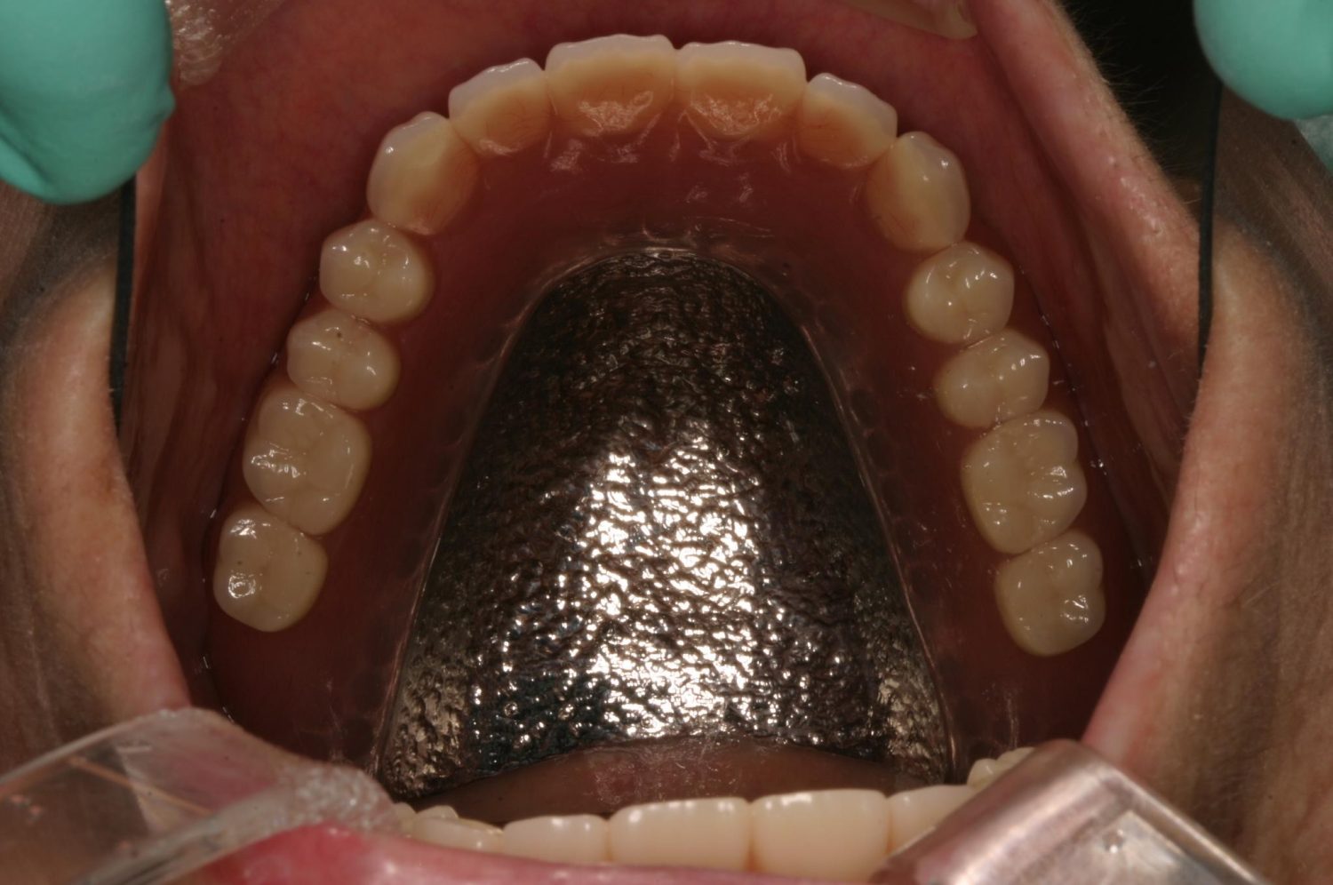
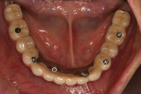
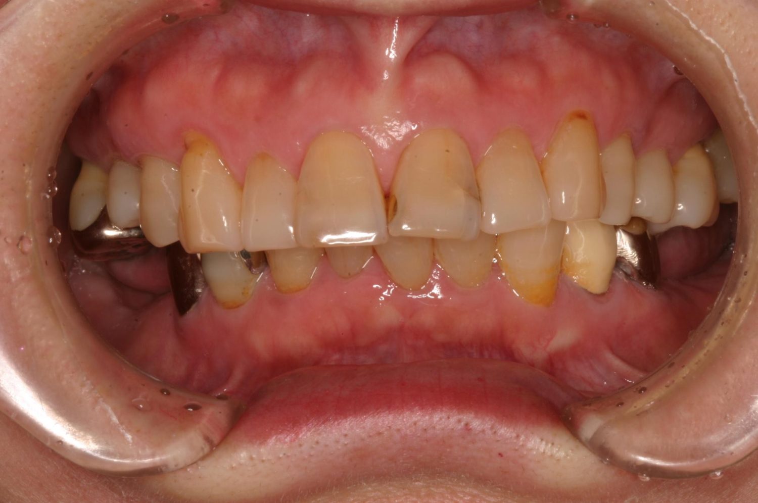
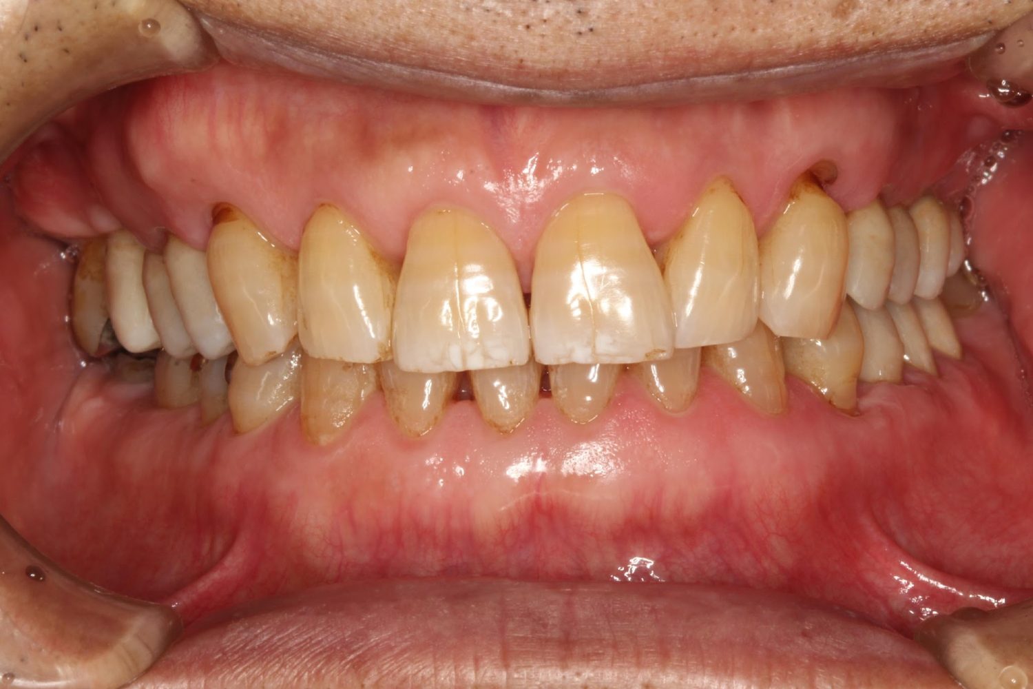
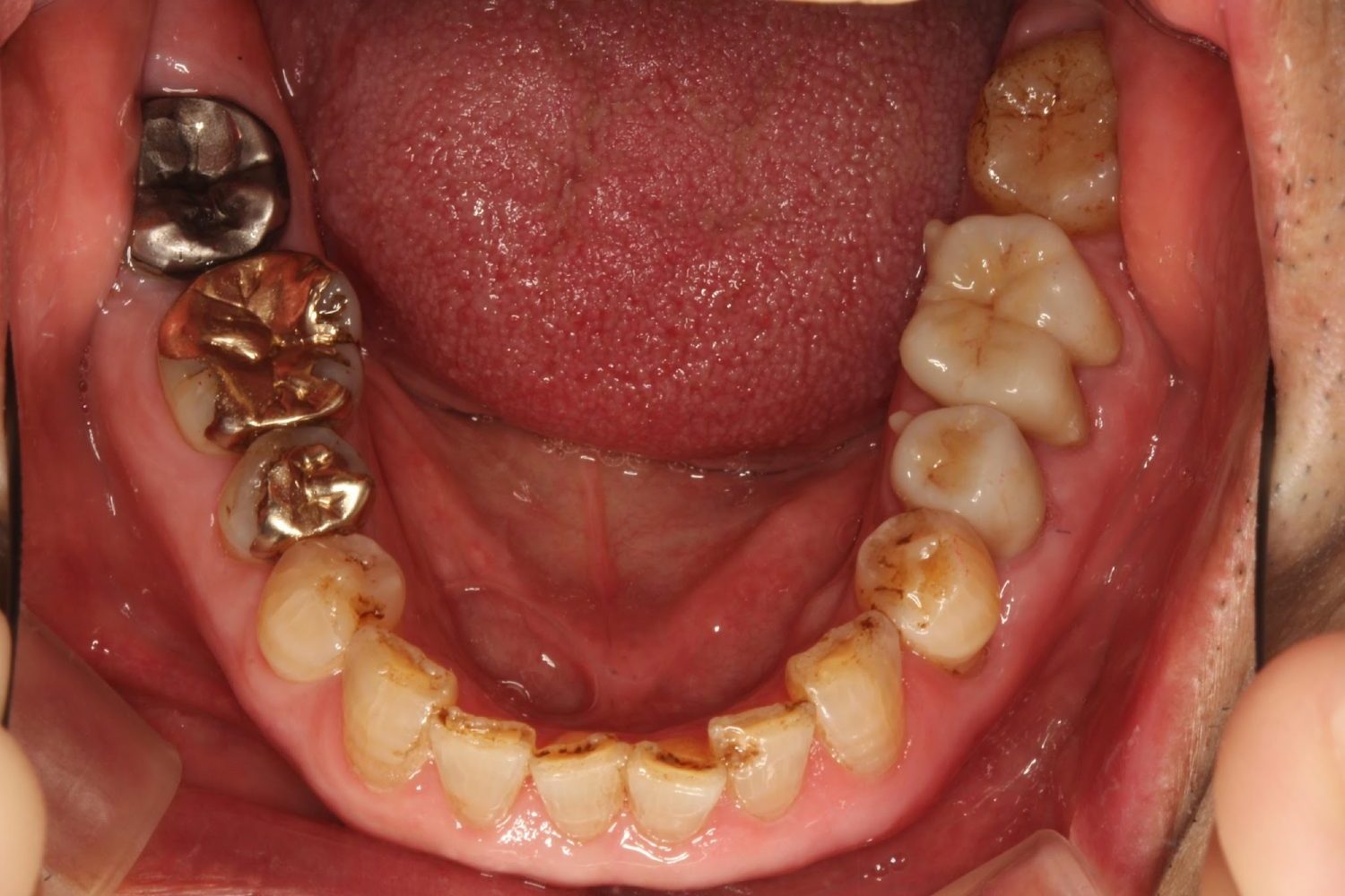
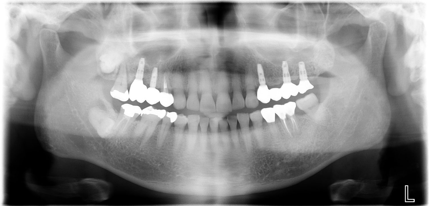
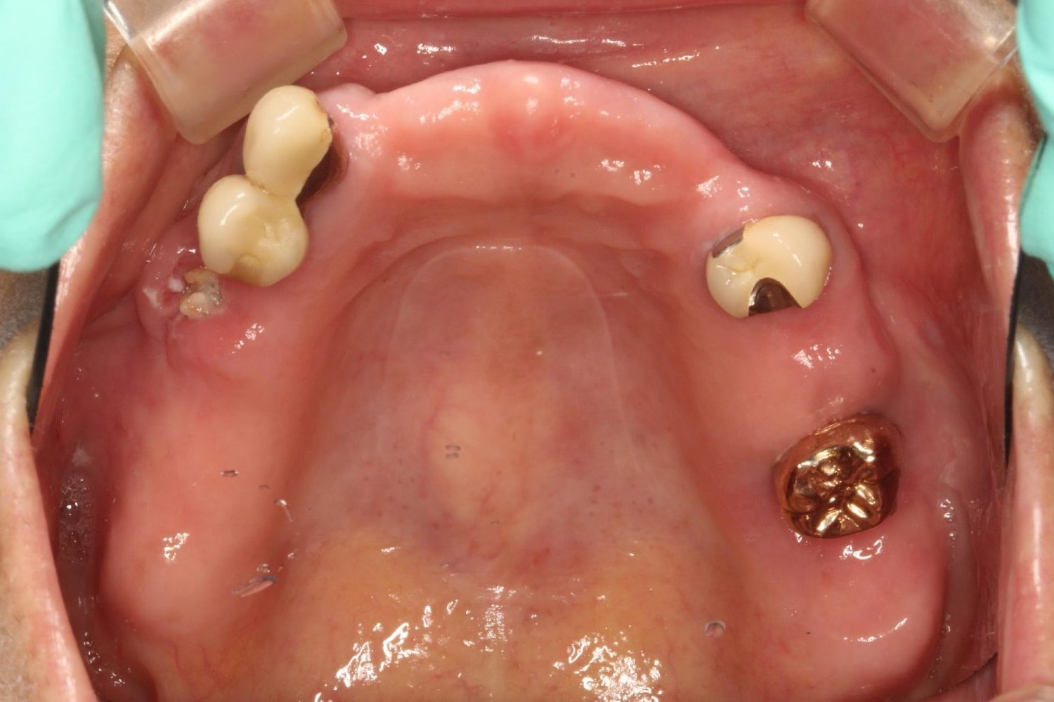
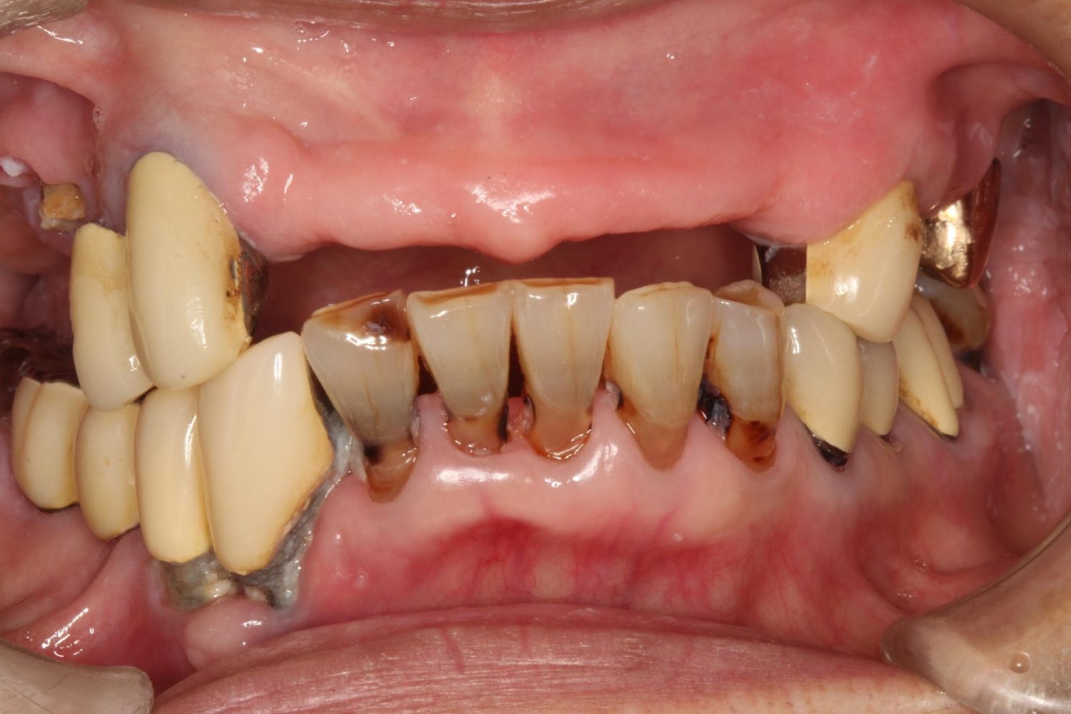
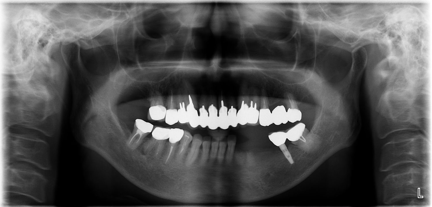
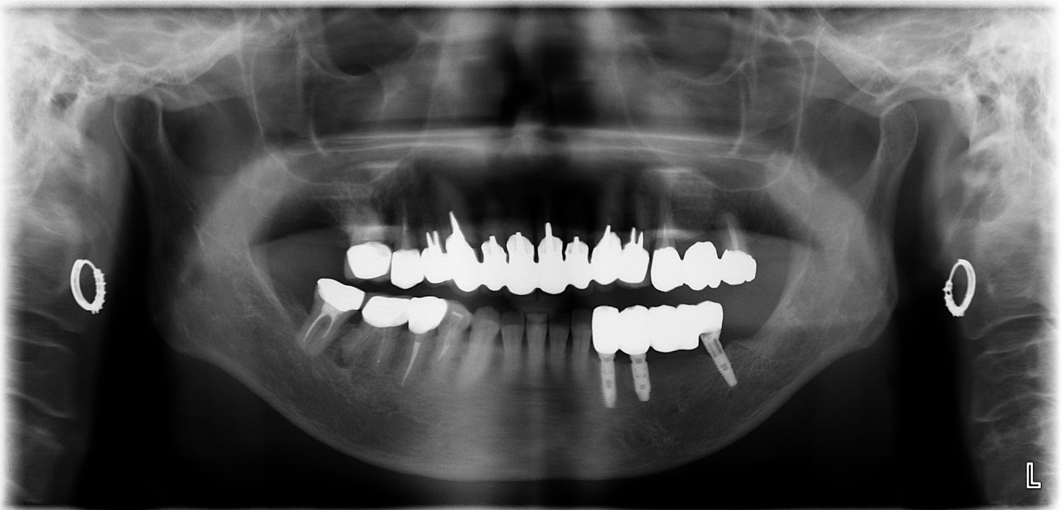
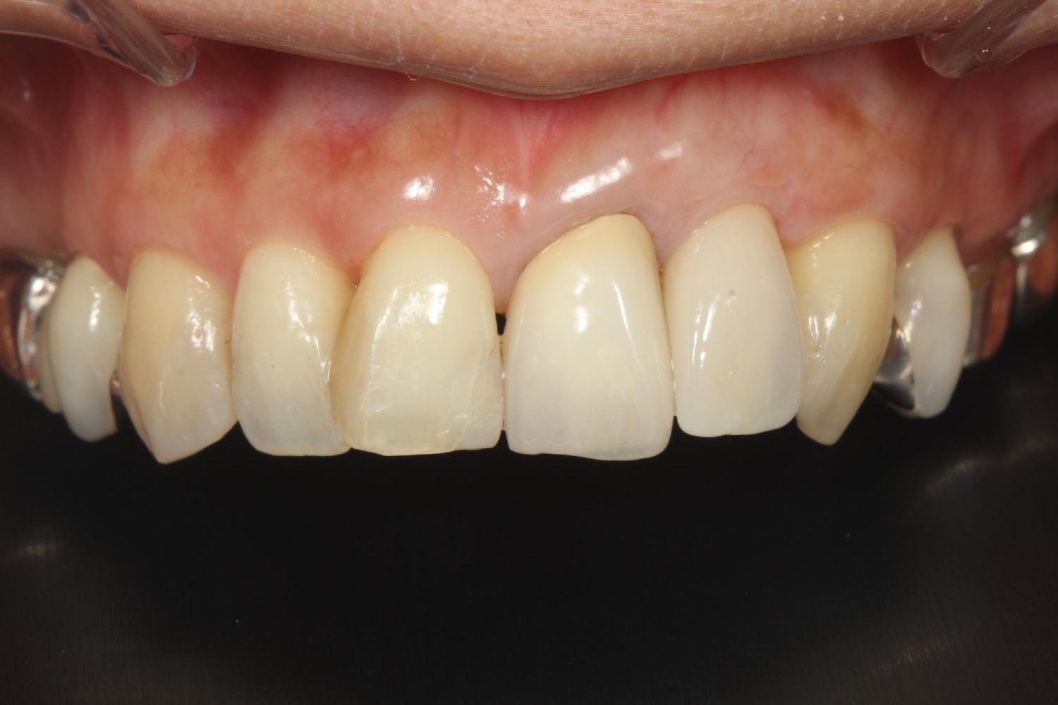
インプラント治療の症例紹介①

Before
After



主訴
前歯のブリッジ脱離
治療内容
保存不可能な歯の抜歯および骨造成手術を行った後、インプラント治療
治療費
1,703,900 円(税込)
治療期間
15ヶ月
治療回数
12回
想定されたリスク
※骨造成術を行ったため、手術部位が細菌感染を起こす可能性がありました。
濱 仁隆先生
浜歯科
前歯部審美ゾーンの骨造成術及びインプラント症例。
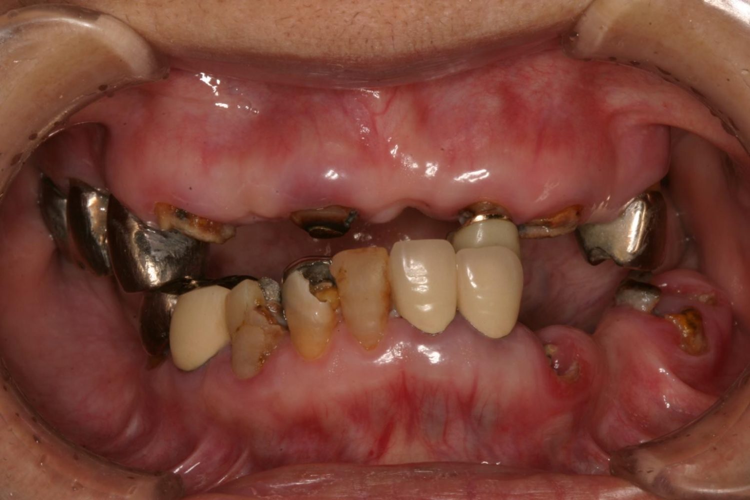
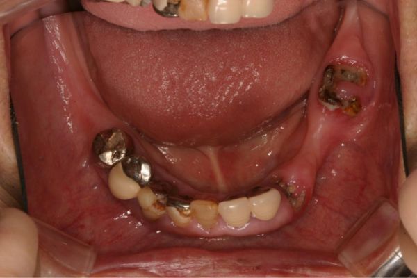
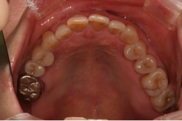
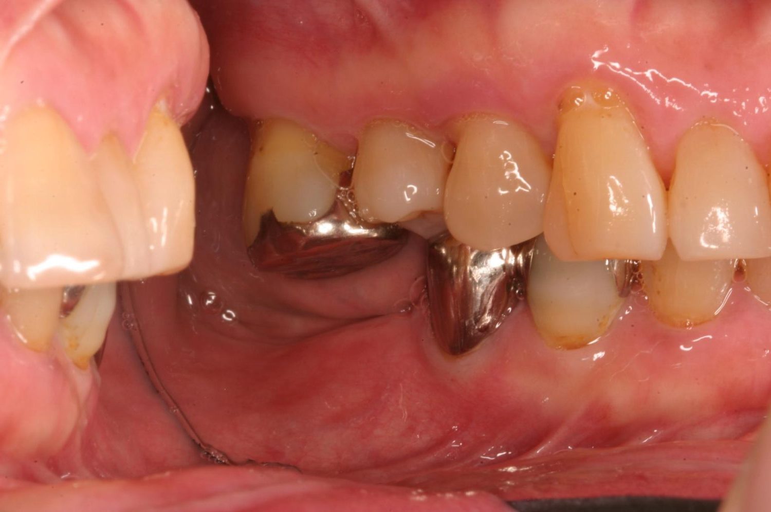
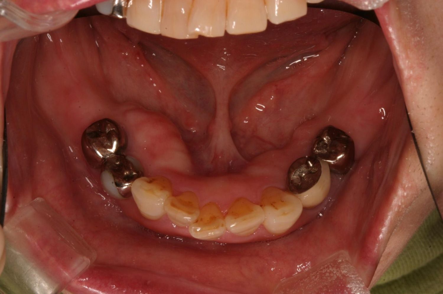
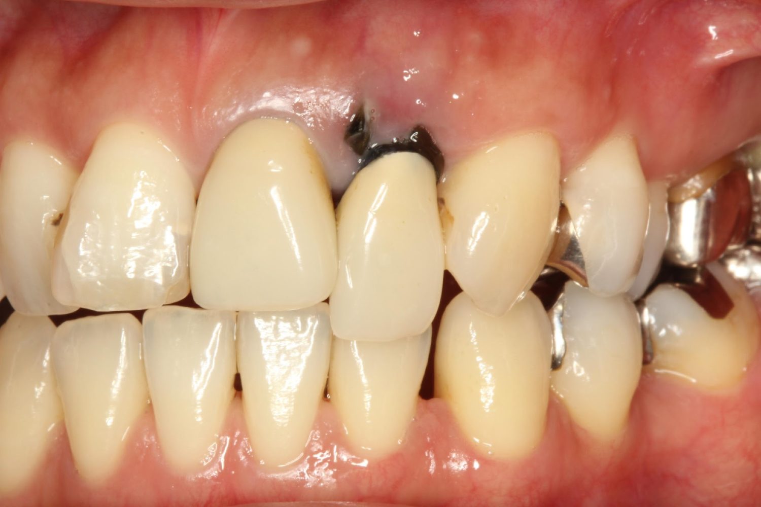
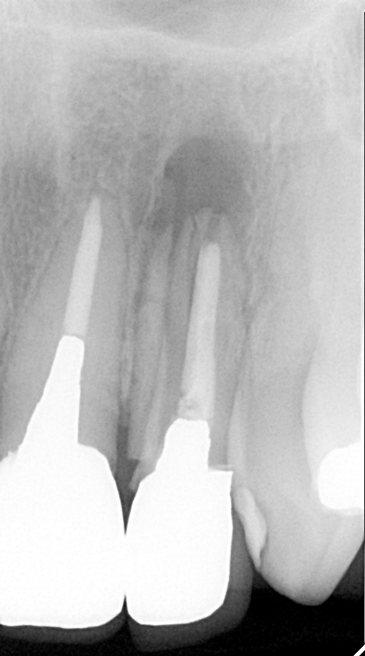
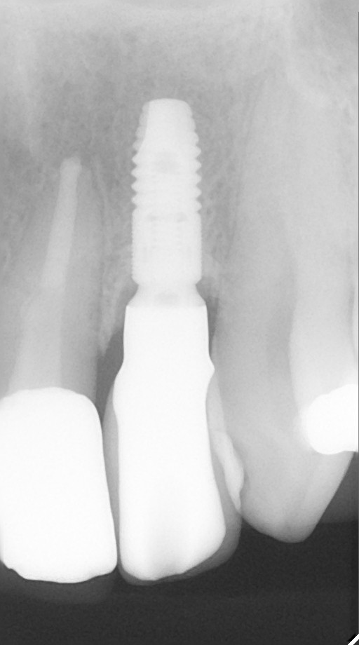
インプラント治療の症例紹介②

Before


After



主訴
前歯の脱落、歯肉の腫れ
治療内容
修復物の脱落時に支台築造のポスト部で歯質を破折。抜歯即時インプラント埋入をおこなったケース。
治療費
473,000 円(税込)
治療期間
8か月
治療回数
12回
想定されたリスク
※経年的な歯肉退縮の恐れ、インプラント周囲炎の恐れがありました。
濱 仁隆先生
浜歯科
残存した歯根に感染が少なく、抜歯時即時にインプラント埋入手術を行った。術後〇年経過し安定している状態。
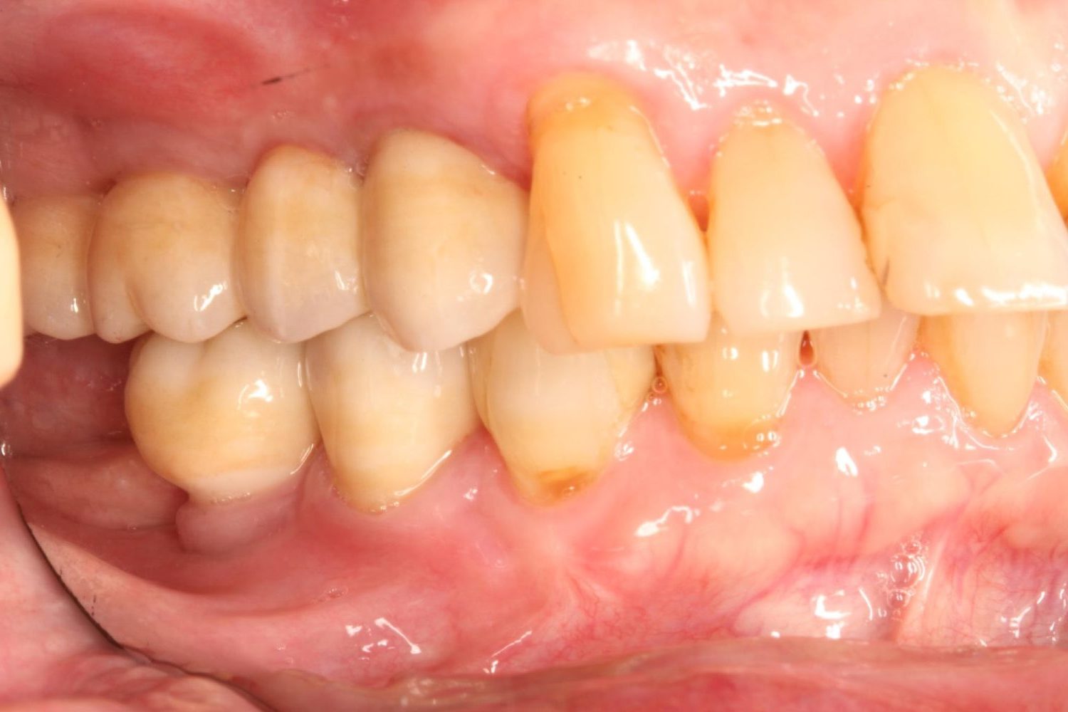
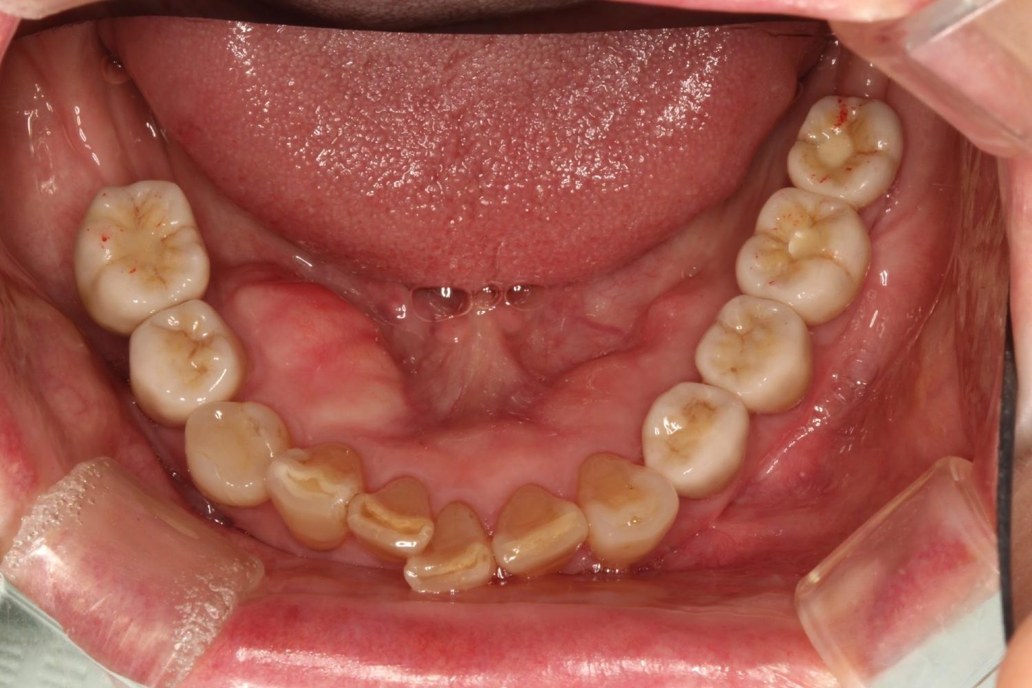
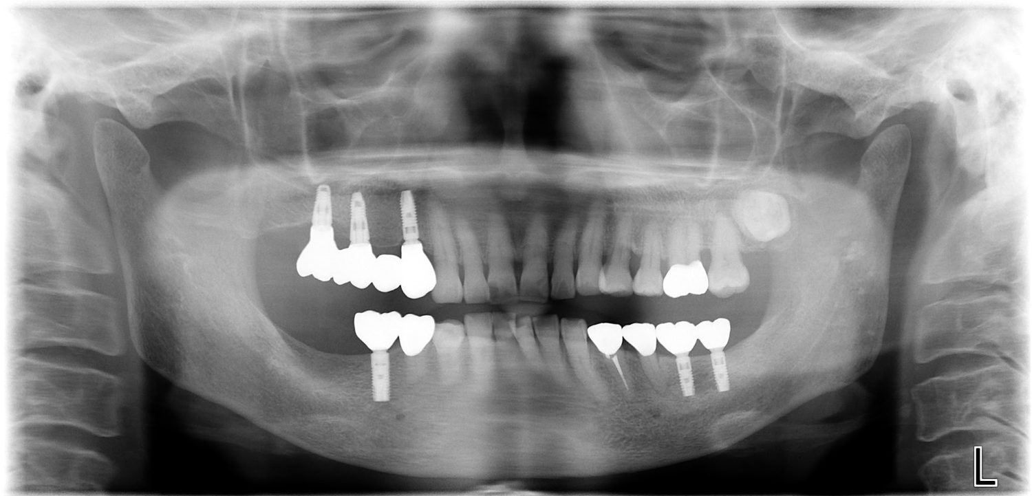
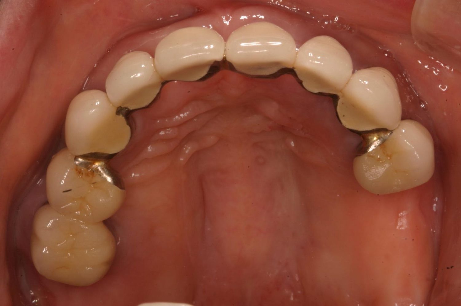
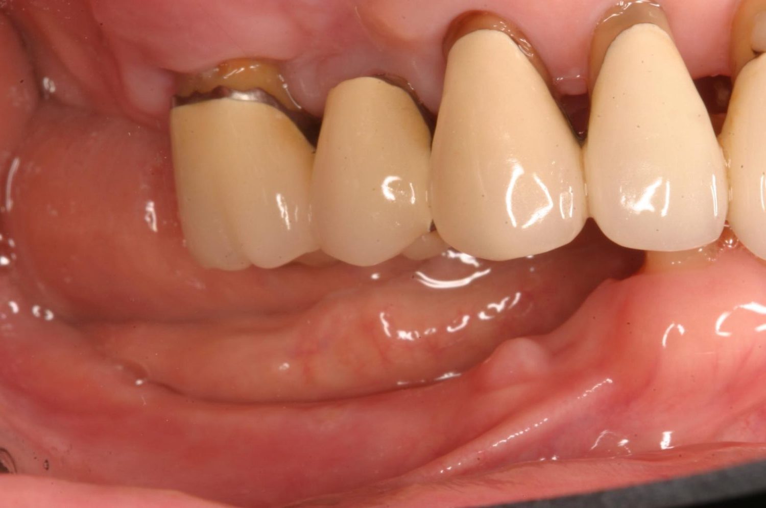
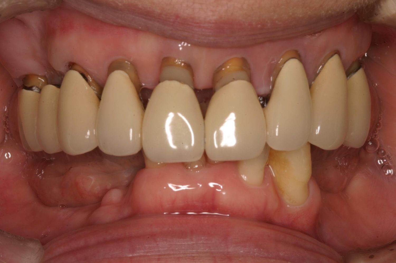
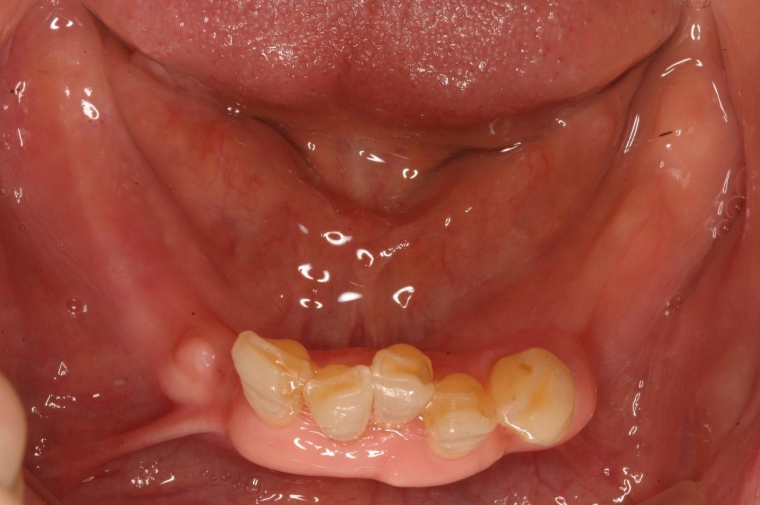
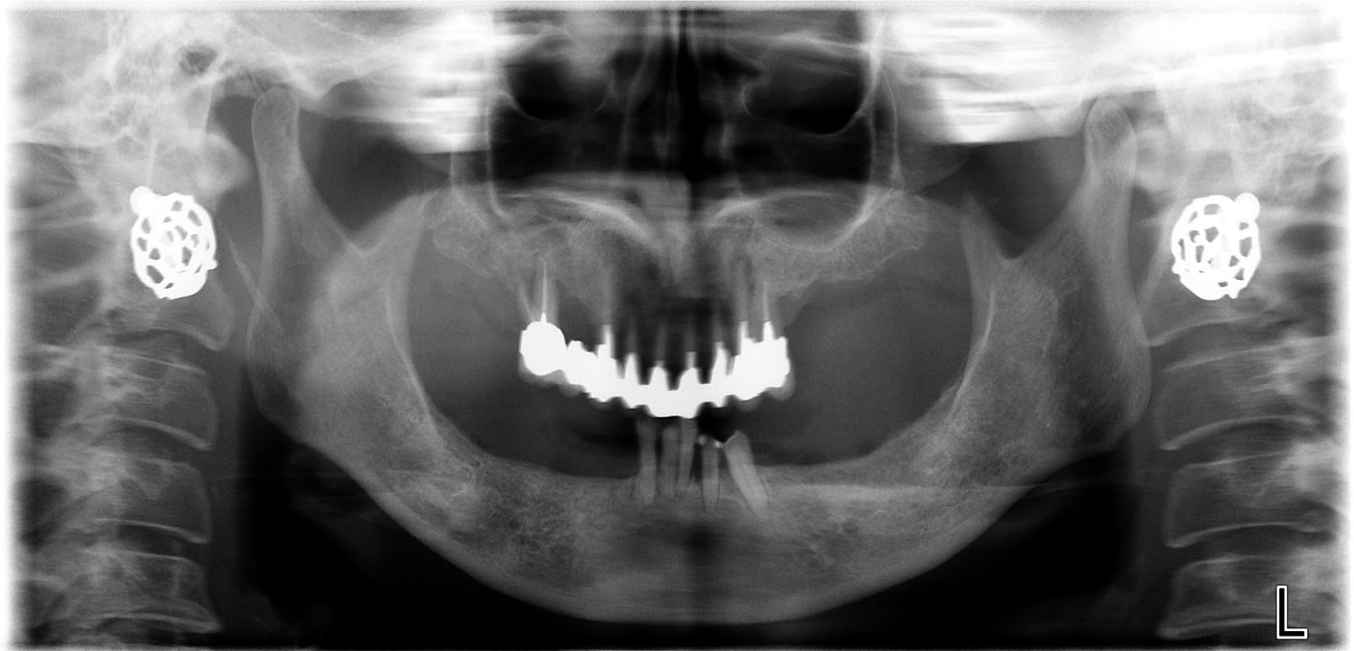
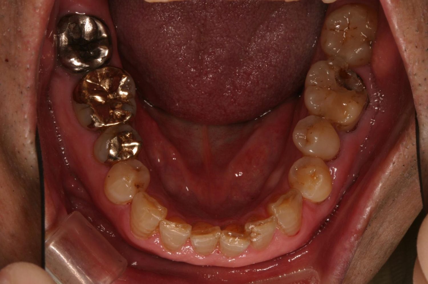
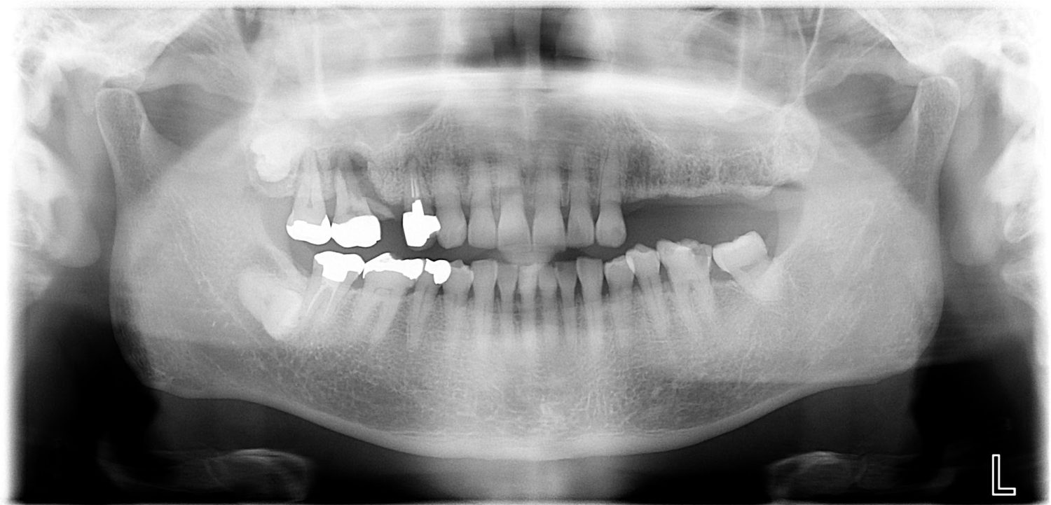
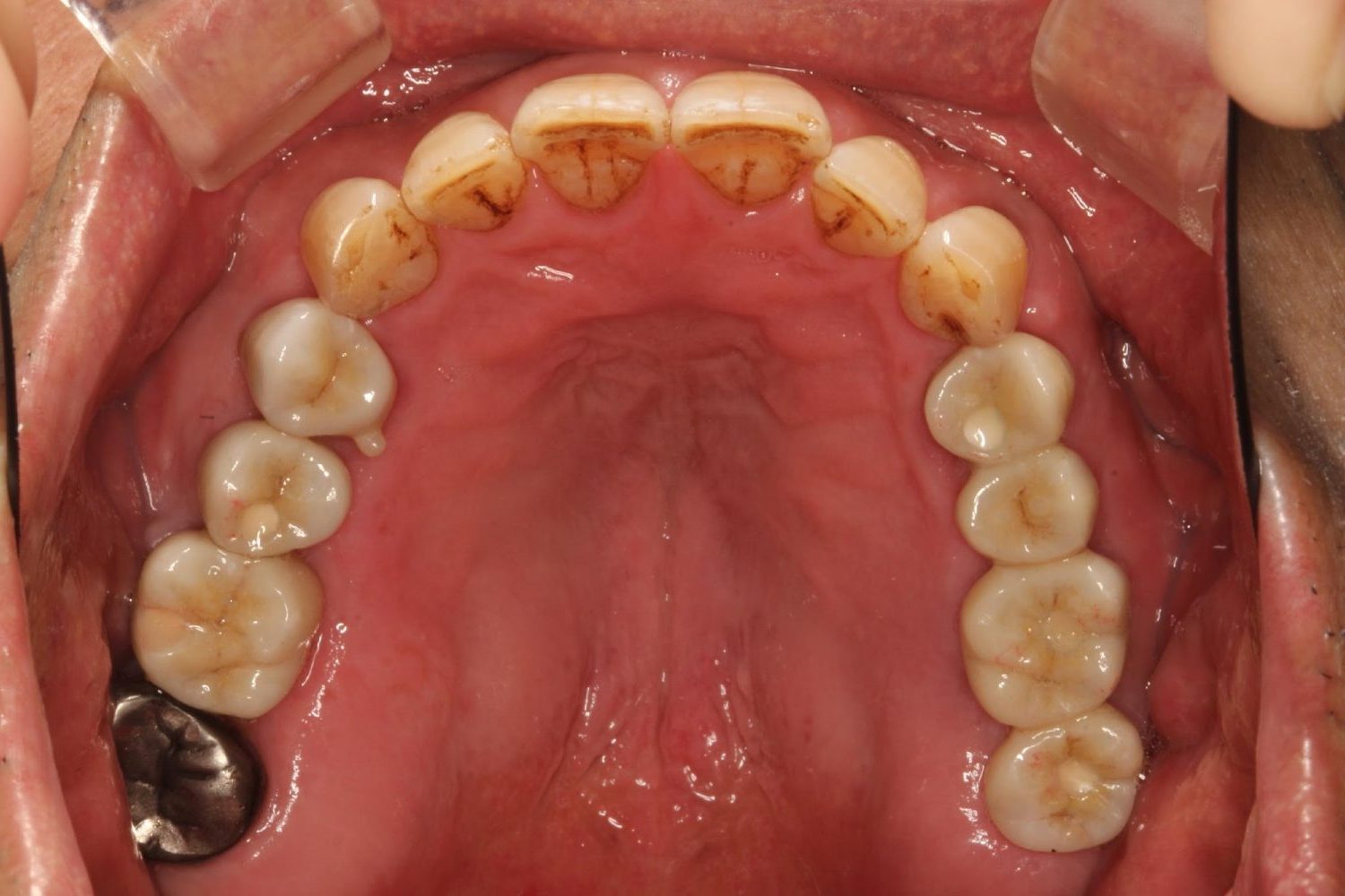
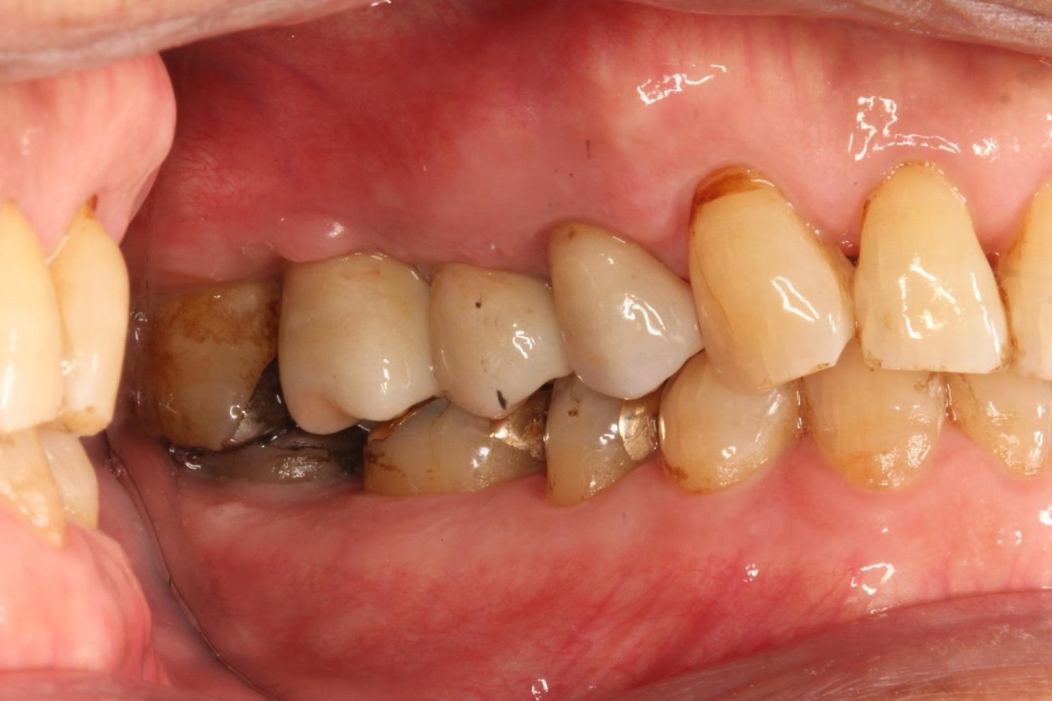
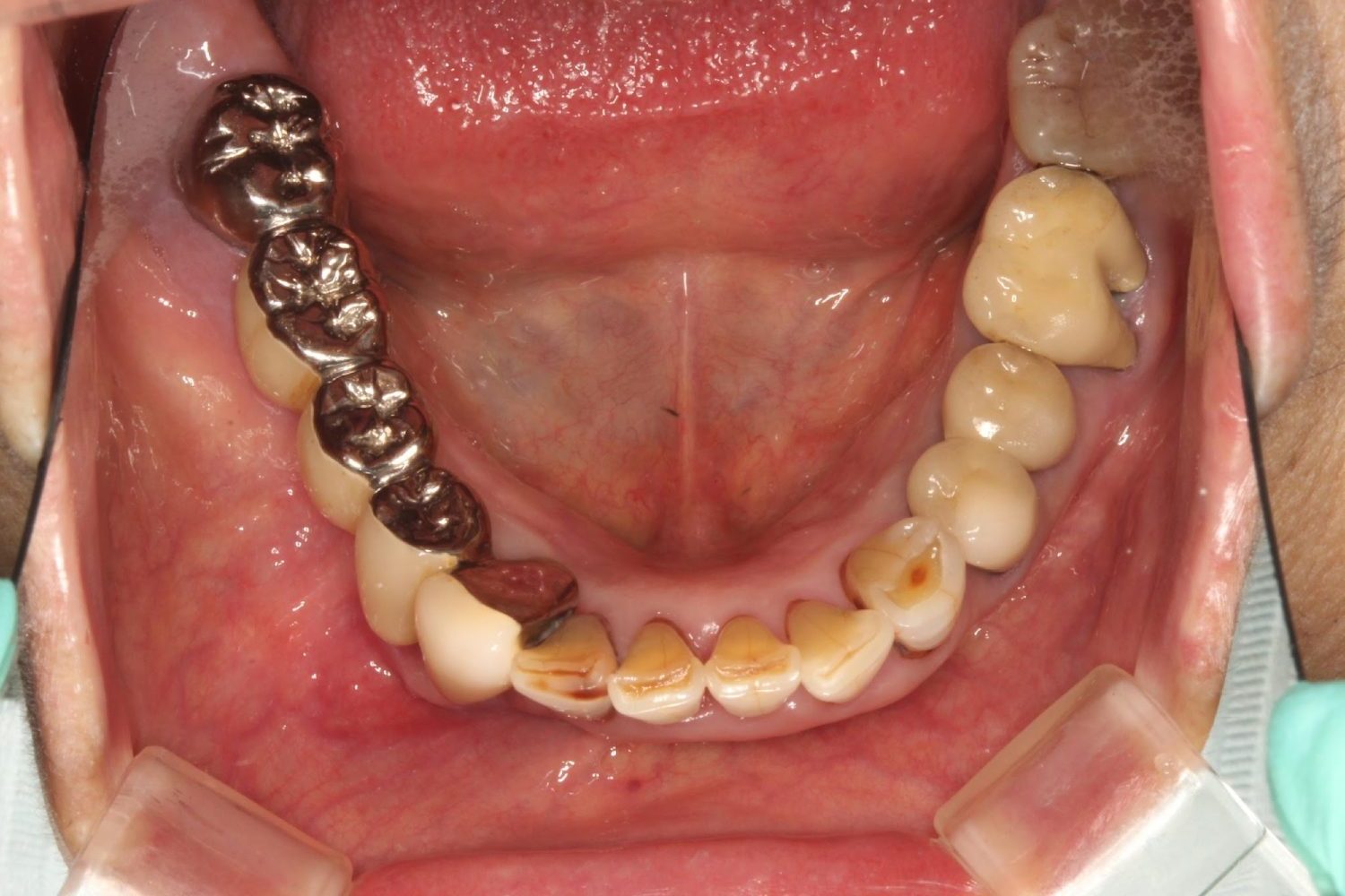
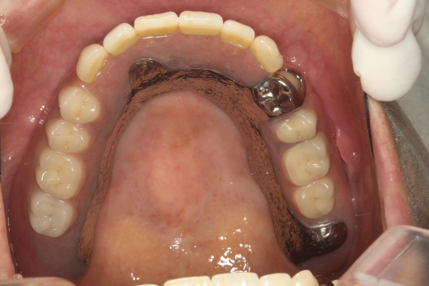
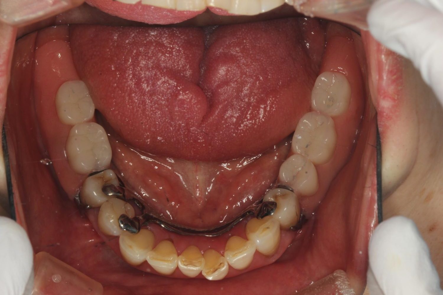
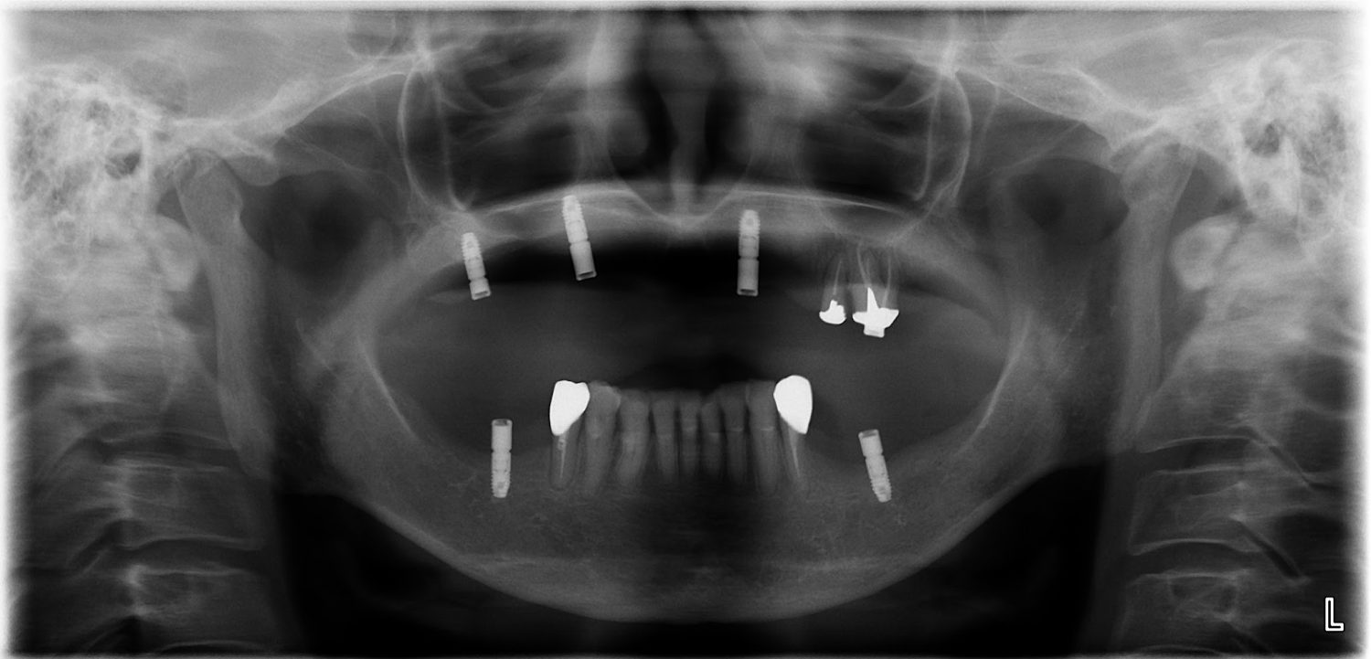
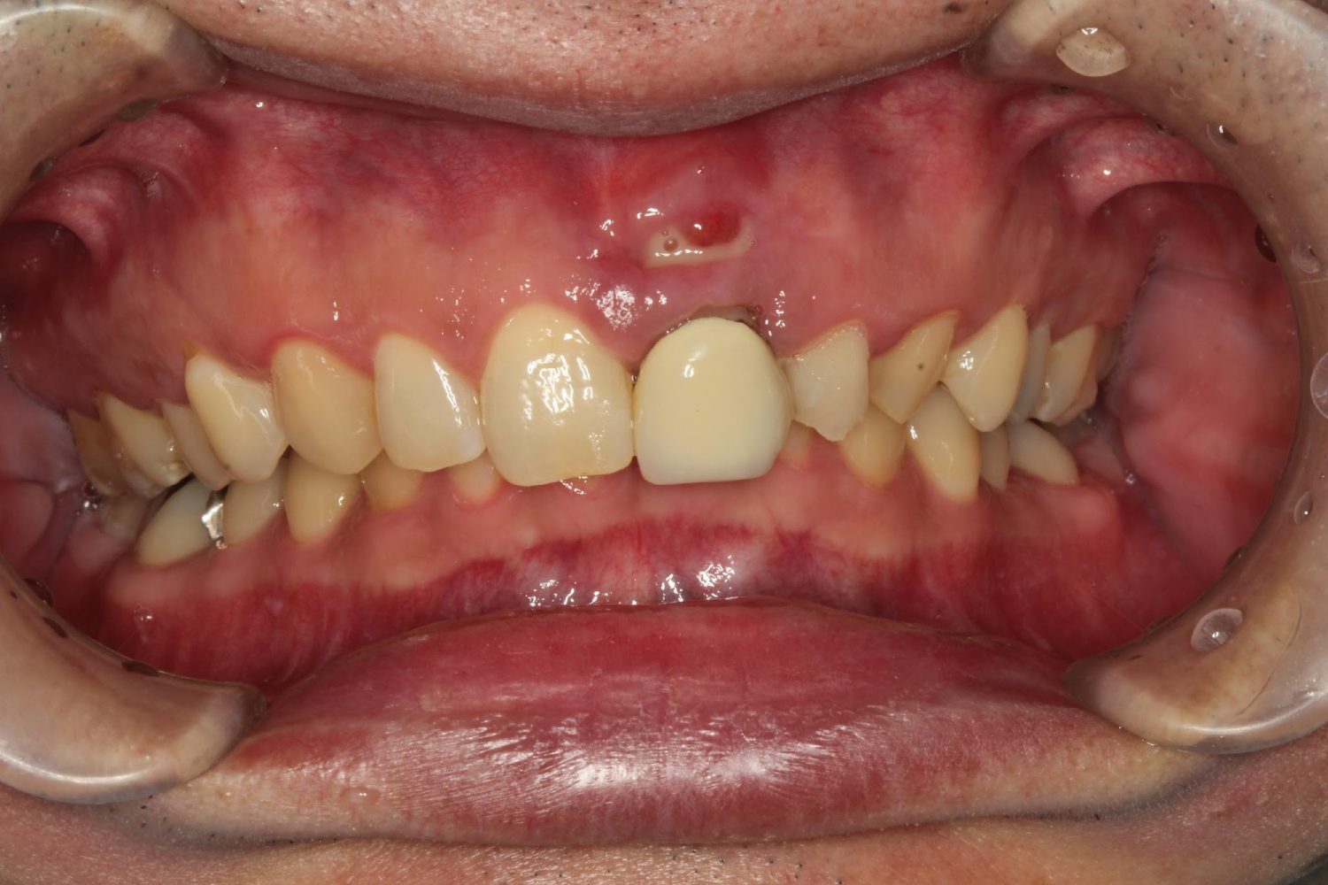
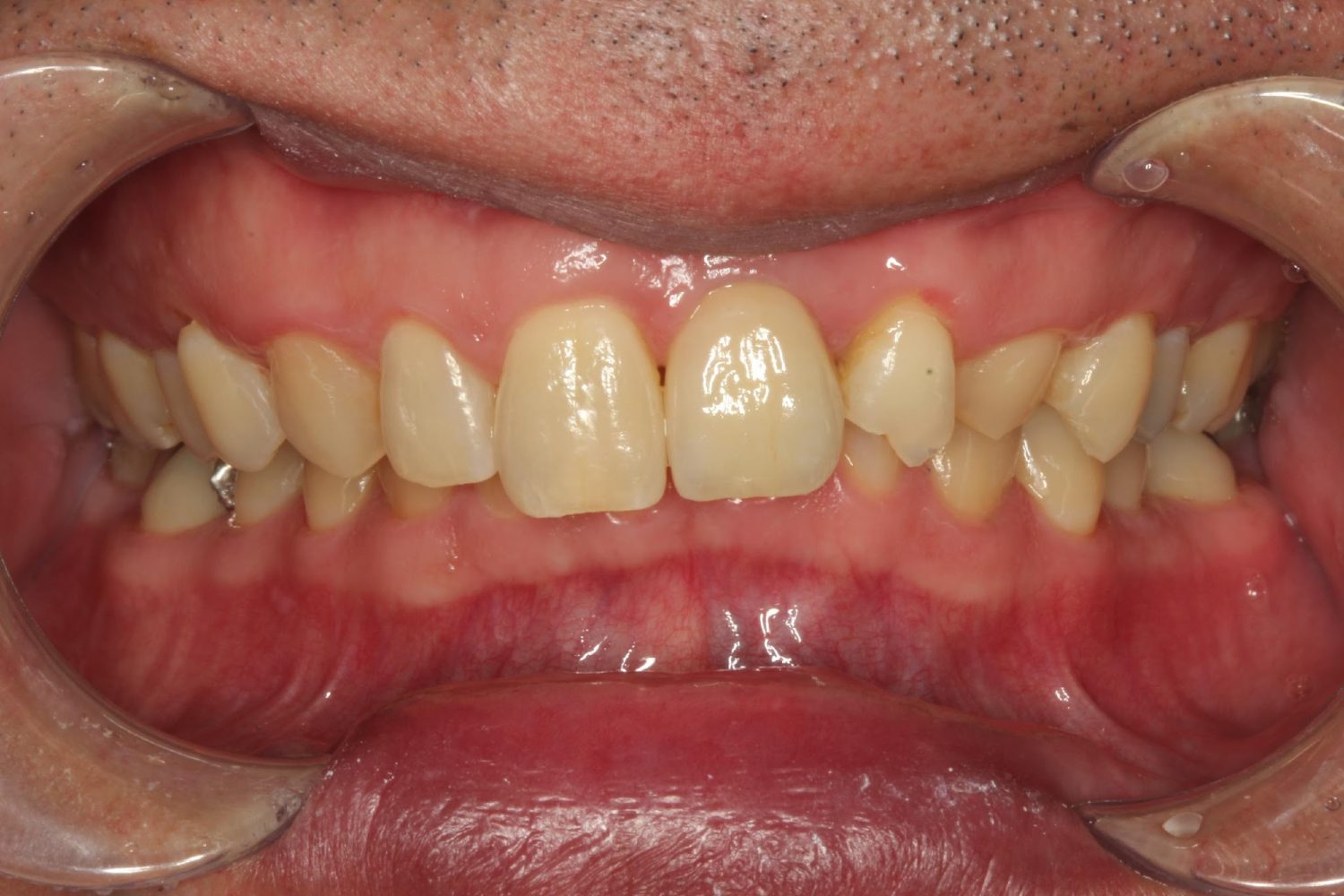
インプラント治療の症例紹介③

Before


After



主訴
むし歯の治療
治療内容
保存不可能な歯の抜歯
下顎にインプラント埋入し咬合再構成
治療費
2,688,400円(税込)
治療期間
14か月
治療回数
21回
想定されたリスク
※上部構造の形態が複雑になるため清掃が難しくなる。インプラント周囲炎の恐れがありました。
濱 仁隆先生
浜歯科
多数歯う蝕および多数歯欠損による咬合崩壊、保存不可能な歯の抜歯により上下無歯顎に。下顎に6本インプラント埋入する事で咬合再構成を行った。
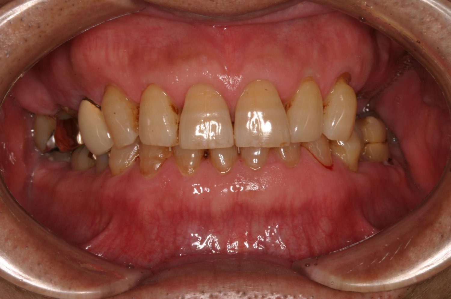
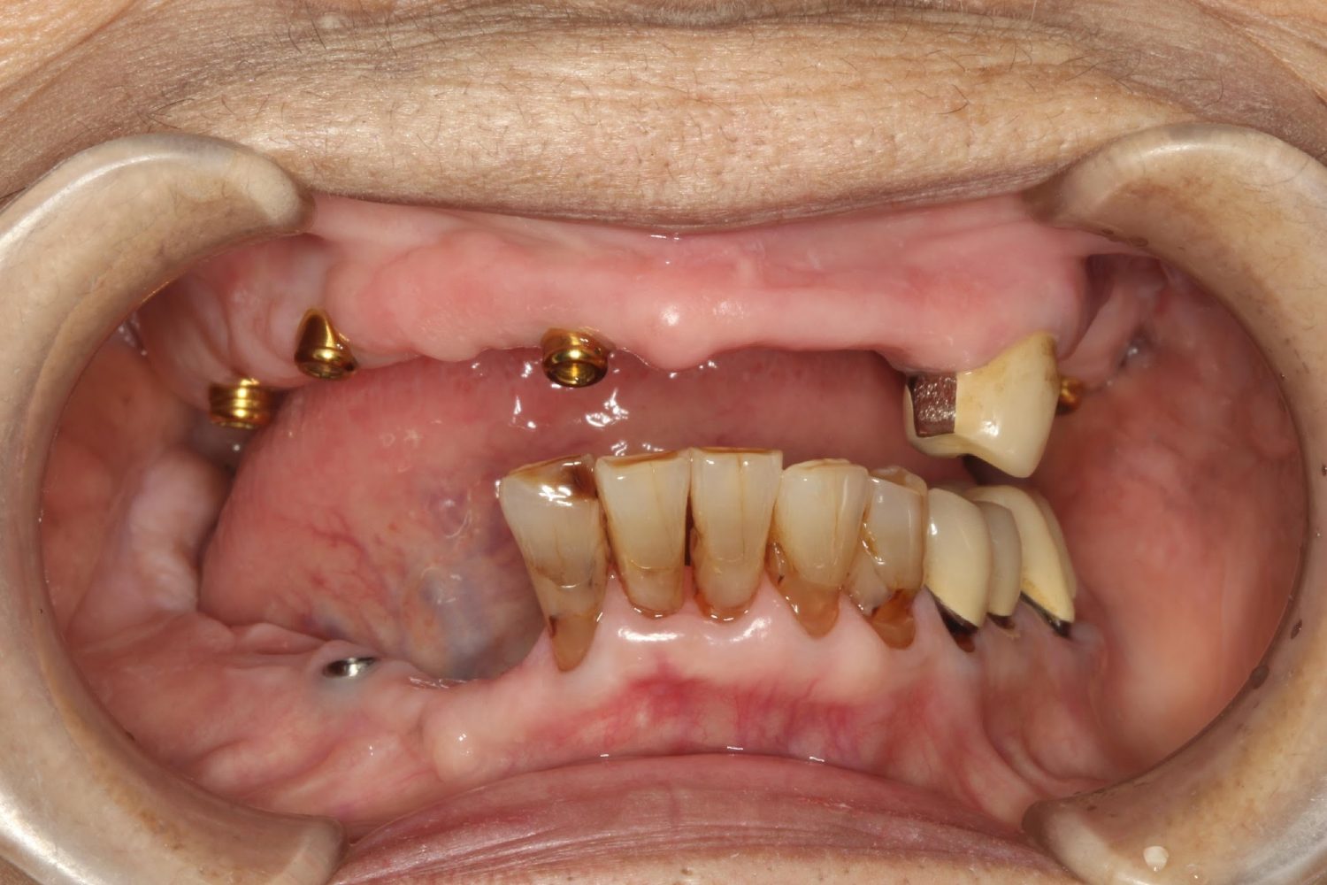
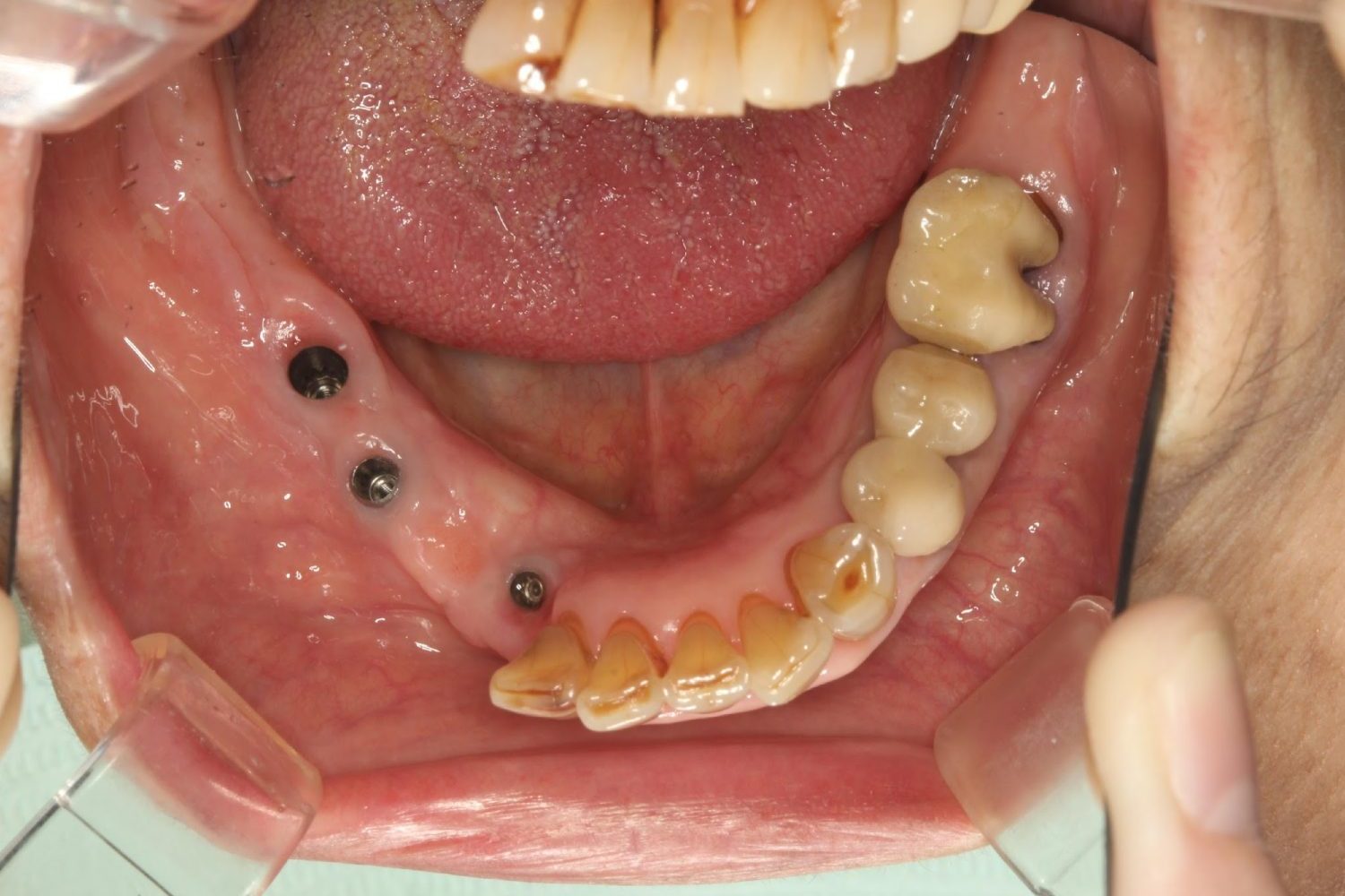
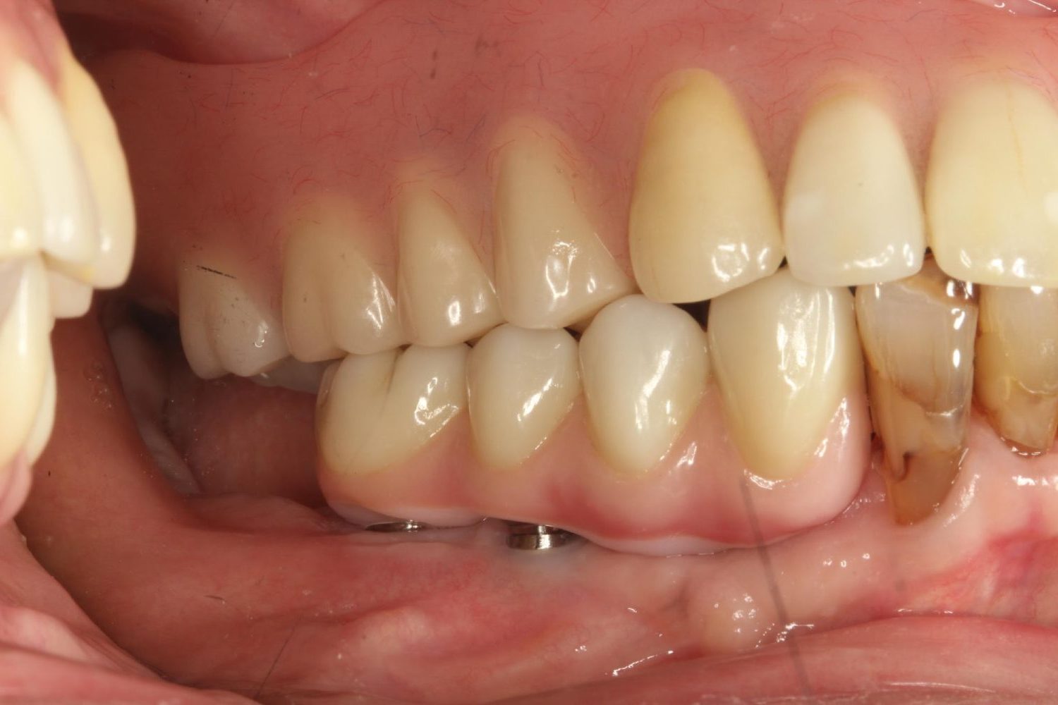
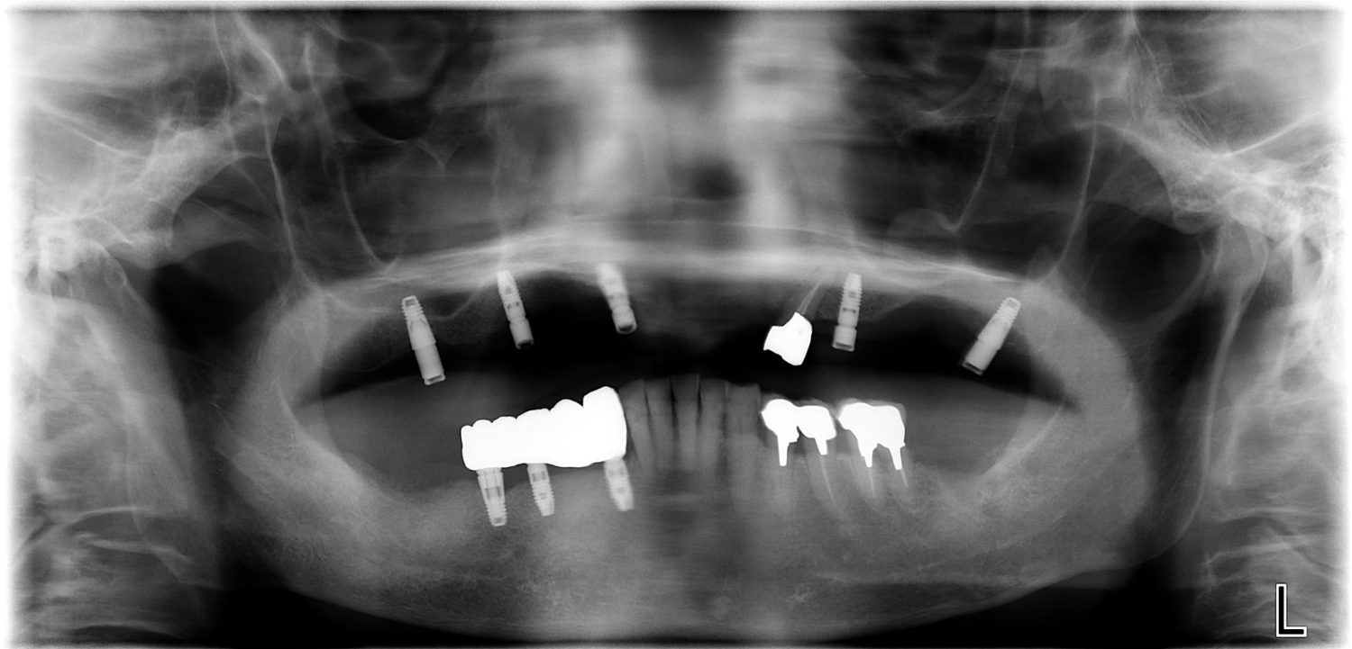
インプラント治療の症例紹介④

Before





After





主訴
義歯による疼痛
治療内容
下顎舌側に骨隆起があり義歯困難な状態。保存不可能な歯の抜歯を行い、インプラントを埋入し咬合再構成を行った。
治療費
2,851,200円(税込)
治療期間
29ヶ月
通院回数
26回
想定されたリスク
※咬合力の強い方なので、予防的にマウスピースの装着が必要。インプラント周囲炎の恐れがありました。
濱 仁隆先生
浜歯科
歯の欠損の対合歯の挺出等を修正し咬合平面を揃え咬合再構成を行った症例。
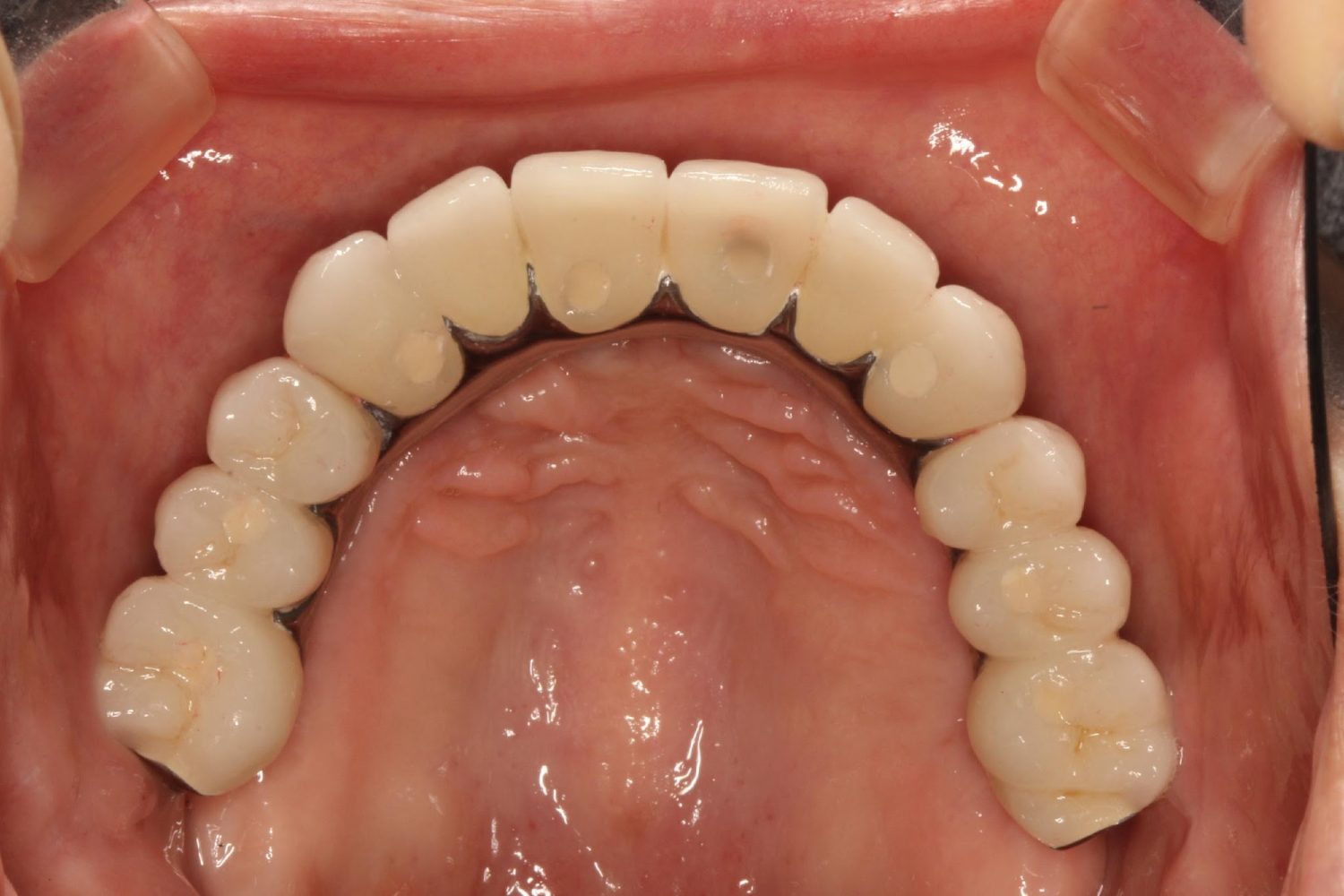
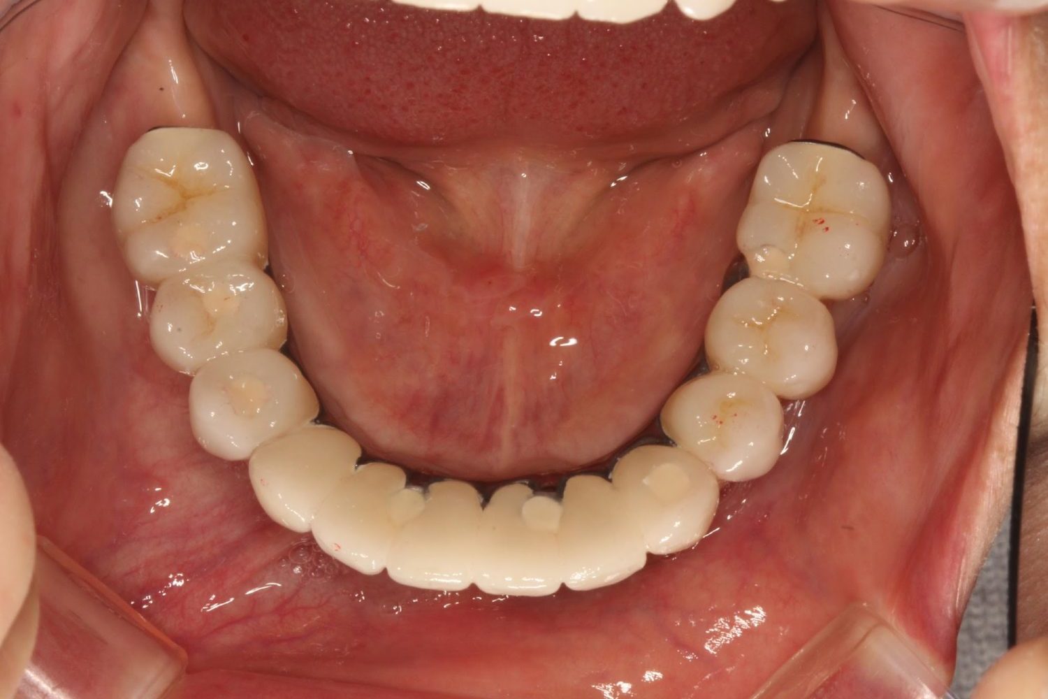
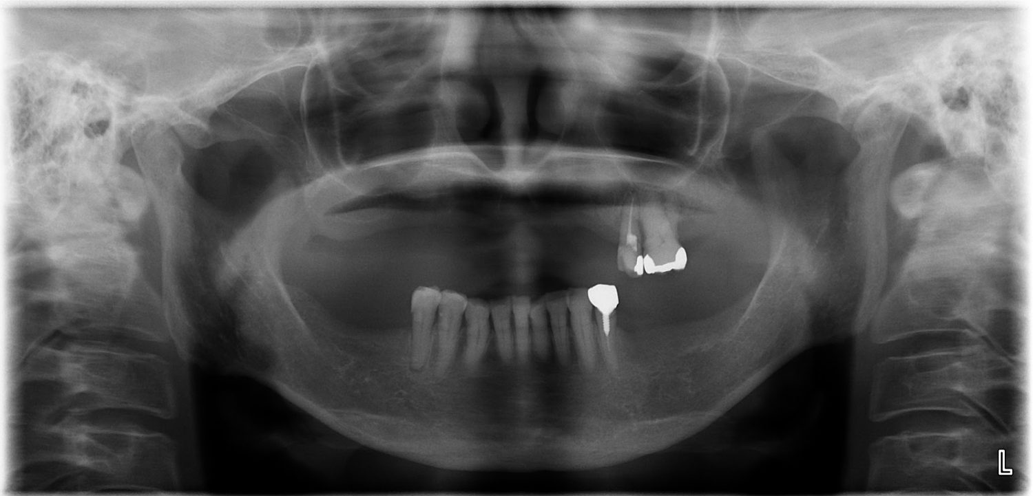
インプラント治療の症例紹介⑤

Before





After





主訴
歯肉腫脹、咬めるようにしたい
治療内容
重度歯周病により全ての残存歯保存不可能な状態。上下顎ボーンアンカードブリッジによる咬合再構成。
治療費
12,621,400円(税込)
治療期間
22ヶ月
通院回数
28回
想定されたリスク
※上部構造の形態が複雑になるため清掃が難しくなる、インプラント周囲炎の恐れがありました。
濱 仁隆先生
浜歯科
上顎8本下顎7本のインプラント体埋入によるボーンアンカードブリッジ。
インプラント治療の症例紹介⑥

Before





After





主訴
咬めるようになりたい
治療内容
保存不可能な歯の抜歯、上下の咬み合わせを揃えて欠損部にインプラント治療
治療費
2,508,000円(税込)
治療期間
19ヶ月
通院回数
26回
想定されたリスク
※血糖値の高い方で、咬めるようになると高血糖となる可能性があるため食事制限が必要となる。インプラント周囲炎の恐れがありました。
濱 仁隆先生
浜歯科
歯の欠損による対合歯の挺出等を修正し咬合平面を揃えた症例
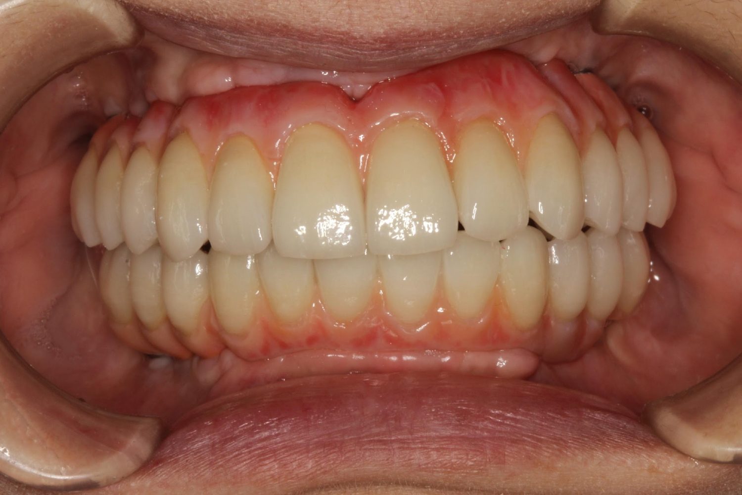
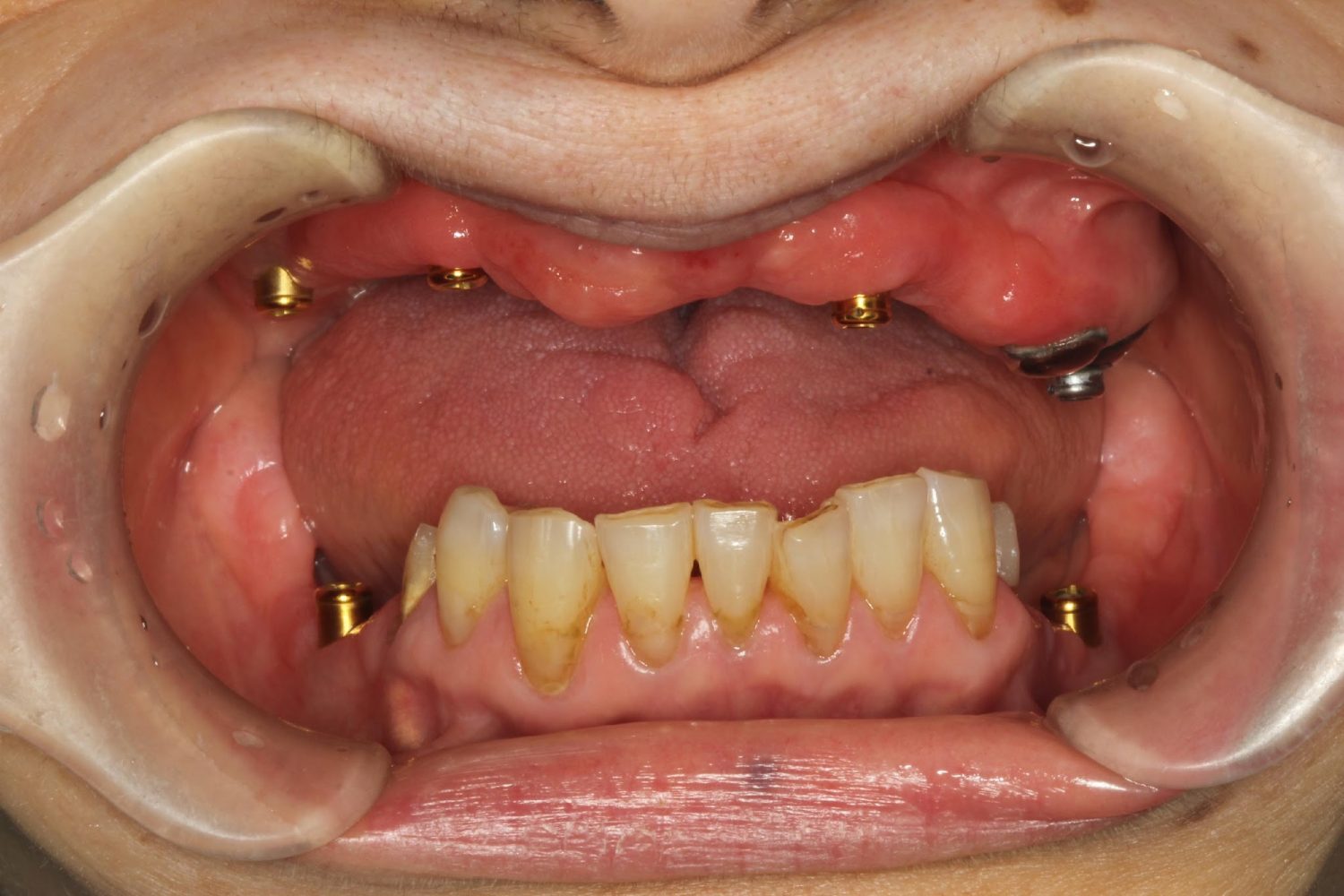
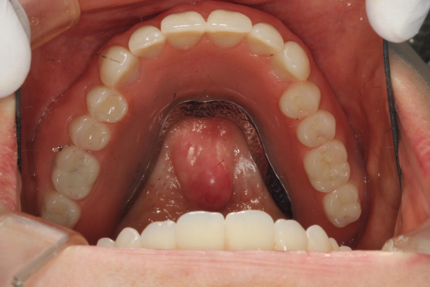
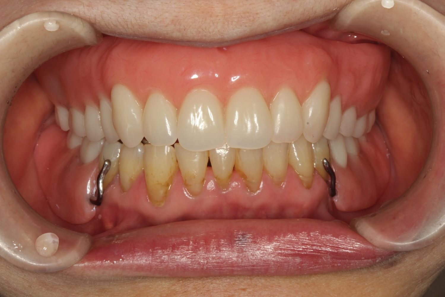
インプラント治療の症例紹介⑦

Before





治療中



After





主訴
歯肉の腫脹、安定した入れ歯を入れたい
治療内容
上顎に5本インプラント埋入を行いIOD。下顎は固定性を希望したので3本埋入し上部構造を装着しました。
治療費
3,377,000 円(税込)
治療期間
21ヶ月
通院回数
27回
想定されたリスク
※義歯を安定させるためのインプラントなので、顎堤が吸収等起こし裏装が必要になる可能性がありました。
濱 仁隆先生
浜歯科
上顎をロケーターアタッチメントにより義歯を安定させる事を可能にし、コストも下げられた症例。
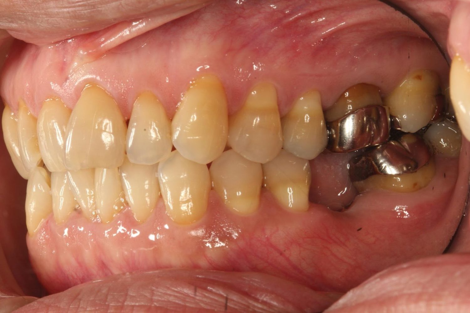
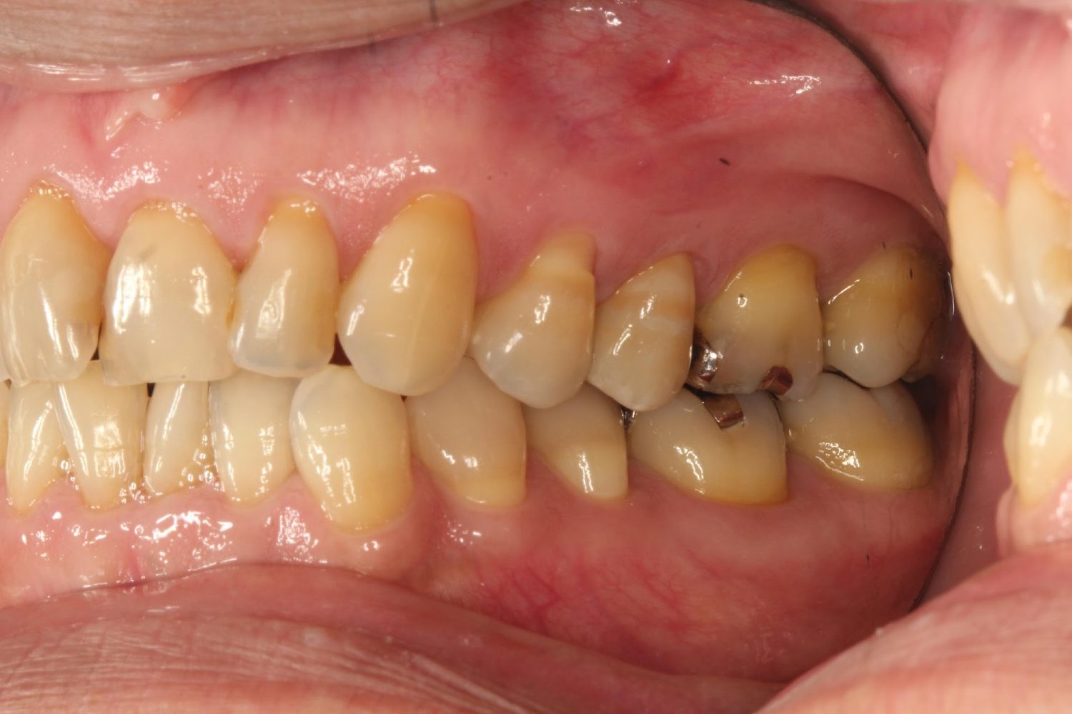
インプラント治療の症例紹介⑧

Before


After


主訴
歯の欠損の治療
治療内容
歯の欠損部の後方に既にインプラントが埋入されていたケース。欠損部にインプラントを埋入し上部構造で連結しました。
治療費
1,317,800 円(税込)
治療期間
11ヶ月
通院回数
15回
想定されたリスク
※経年的な歯肉退縮の恐れ.インプラント周囲炎の恐れがありました。
濱 仁隆先生
浜歯科
既存のインプラントと追加埋入を行ったインプラントを連結し完成させた症例です。
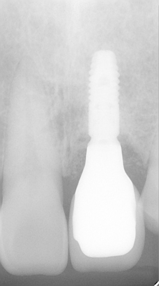
インプラント治療の症例紹介⑨

Before


After


主訴
前歯が揺れる、咬むと痛い
治療内容
抜歯後骨造成手術を行い、その後インプラント埋入手術を行いました。
治療費
462,000円(税込)
治療期間
7ヶ月
通院回数
15回
想定されたリスク
※経年的な歯肉退縮の恐れ.インプラント周囲炎の恐れがありました。
濱 仁隆先生
浜歯科
外傷により歯根破折を生じたケース。骨欠損が大きかったので骨造成術を行い、審美ゾーンにインプラント補綴を行った症例です。
インプラント治療の症例紹介⑩

Before





治療中



After





主訴
入れ歯を入れたい
治療内容
欠損部に上顎に3本、下顎に2本インプラント埋入を行い、インプラントオーバーデンチャーを装着しました。
治療費
2,406,800 円(税込)
治療期間
29ヶ月
通院回数
22回数
想定されたリスク
※義歯を安定させるためのインプラントなので、顎堤が吸収等起こし裏装が必要になる可能性がありました。
濱 仁隆先生
浜歯科
上下義歯ともインプラントを用い義歯安定を行った症例です。
インプラント治療の症例紹介⑪

Before


After


主訴
前歯がぐらぐらする、歯肉腫脹
治療内容
抜歯後骨造成手術を行った後にインプラント埋入手術を行いました。
治療費
345,400円(税込)
治療期間
9ヶ月
通院回数
20回数
想定されたリスク
※経年的な歯肉退縮の恐れ、インプラント周囲炎の恐れがありました。
濱 仁隆先生
浜歯科
歯根破折により大きく骨欠損を生じた。骨造成を行うことで審美的にインプラント補綴を行えた症例です。
インプラント治療の症例紹介⑫

Before


After


主訴
歯が抜けている
治療内容
歯の欠損部に対してインプラント治療を行いました。
治療費
471,900円(税込)
治療期間
11ヶ月
通院回数
12回
想定されたリスク
※経年的な歯肉退縮の恐れ、インプラント周囲炎の恐れがありました。
濱 仁隆先生
浜歯科
歯冠幅は減少していたが、問題無くインプラント埋入が可能だった症例です。
浜歯科
🕑 午前:月火水金土 9:30~13:00
午後:月水 14:30~ 18:30 火金 14:30~21:30
休診日:木・日・祝




