小林歯科・矯正歯科クリニック 症例紹介

担当歯科医師:
小林 史卓(小林歯科・矯正歯科クリニック)
東京矯正歯科学会所属
矯正歯科治療において様々な症例に対応が可能。
大学病院では矯正歯科を専門として学び、お子さんの成長に合わせた歯並びの治療や、大人の歯並びの治療を、安心・安全に提供したいと考えております。
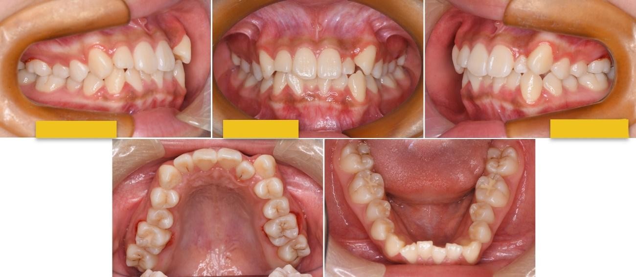
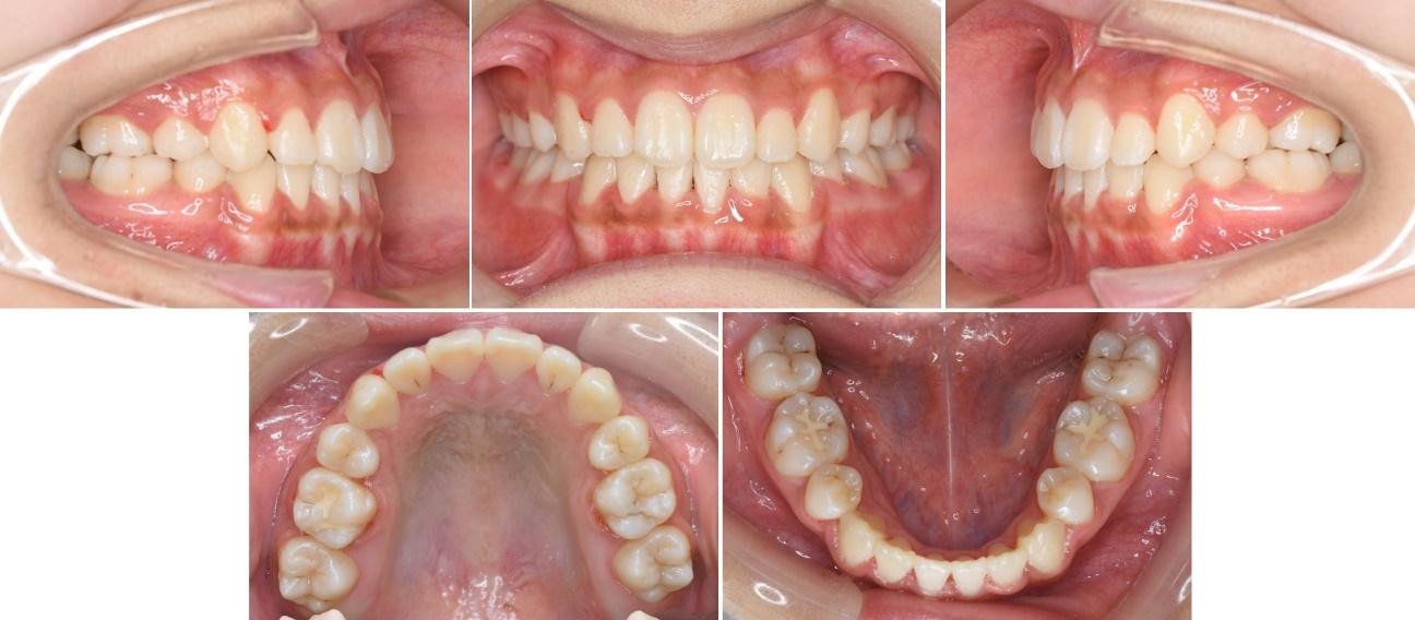
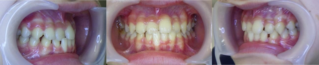
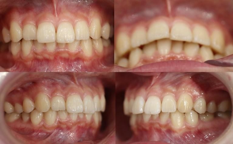
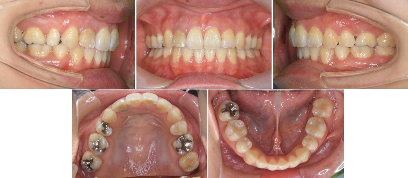
叢生および上顎前突の症例紹介

Before

After

主訴
10代女性 子供の頃、歯科矯正をしたが八重歯が残って気になるので治療したい。
治療内容
ワイヤー矯正・抜歯矯正を行いました。
治療費
検査料+診断料+治療基本料+処置料+保定装置代の総額
627,000円(税込)
治療期間
1年8か月
通院回数
20回
想定されたリスク
※痛みや不快感が強まる可能性がありました。
小林 史卓先生
小林歯科・矯正歯科クリニック
歯並びが複雑化していましたが、抜歯とワイヤー矯正を組み合わせることで綺麗に整えることができました。
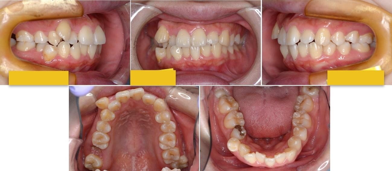
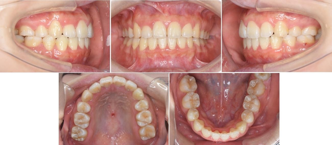
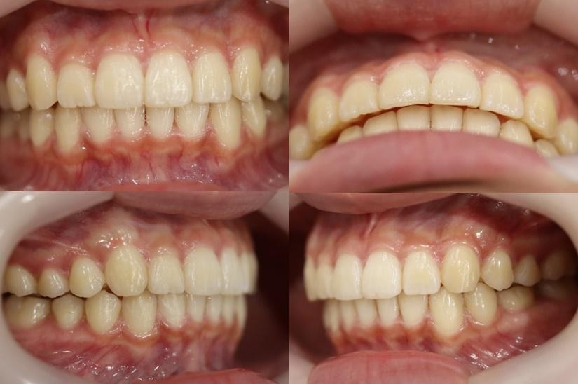
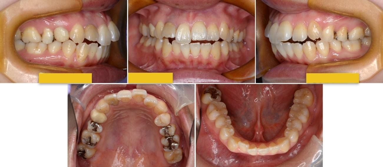
叢生と咬合不全の症例紹介

Before

After

主訴
20代女性 歯のガタガタと前歯を引っ込めたい。また、右上の奥歯がむし歯で抜歯しなければならないので親知らずの抜歯を矯正に活用したい。
治療内容
ワイヤー矯正と矯正用インプラントの併用、抜歯矯正を行いました。
治療費
723,800円(税込)
治療期間
2年9か月
通院回数
31回
想定されたリスク
※矯正中の痛みが強まる可能性がありました。また、歯並びが後戻りする可能性がありました。
小林 史卓先生
小林歯科・矯正歯科クリニック
親知らずの抜歯と、抜歯後のスペースを利用した矯正を行いました。矯正以外も複数の診療科目を標榜することでこのような症例にも対処することができます。
叢生および交叉咬合の症例紹介

Before

After

主訴
10歳男児 前歯が逆に噛んでいる
治療内容
リンガルアーチ5か月間と機能的矯正装置(マイオブレース)を行いました。
治療費
325,600円(税込)
治療期間
1年
通院回数
12回
想定されたリスク
※歯並びの後戻りの可能性がありました。また、顎の骨の成長が阻害される可能性がありました。
小林 史卓先生
小林歯科・矯正歯科クリニック
単に歯並びを改善するだけでなく、機能面の改善も行うことで顎の正しい成長を促し、健康的な発育をサポートしていきました。
叢生治療の症例紹介

Before

After

主訴
20代女性 前歯のガタツキ
治療内容
マウスピース矯正希望、マウスピース矯正で部分矯正を実施しました。
治療費
545,600円(税込)
治療期間
1年
通院回数
12回
想定されたリスク
※歯並びが後戻りする可能性がありました。また、歯を削る必要もありました。
小林 史卓先生
小林歯科・矯正歯科クリニック
マウスピース型矯正は部分矯正にも対応可能です。気になる方はぜひ当院までご相談ください。
叢生および切端咬合の症例紹介

Before

After

主訴
30代女性 前歯で食べ物が噛み切れない、前歯を引っ込めたい
治療内容
ワイヤー矯正・抜歯矯正を行いました。
治療費
704,000円(税込)
治療期間
2年6か月
通院回数
30回
想定されたリスク
※矯正中の痛みが強まる可能性がありました。天然歯を削る必要性がありました。
小林 史卓先生
小林歯科・矯正歯科クリニック
見た目だけでなく、噛み合わせの部分までしっかりと考慮したうえで「食べ物が噛み切れない」という悩みにアプローチしていきました。
小林歯科・矯正歯科クリニック
🕑 午前: 月火木金土 8:00~11:30
午後: 月火木金 14:00~18:30 土 13:30~16:00
休診日: 水・日・祝




