
担当歯科医師:
藤岡 洋記(ふじおか歯科)
プロフィールをもっと見る
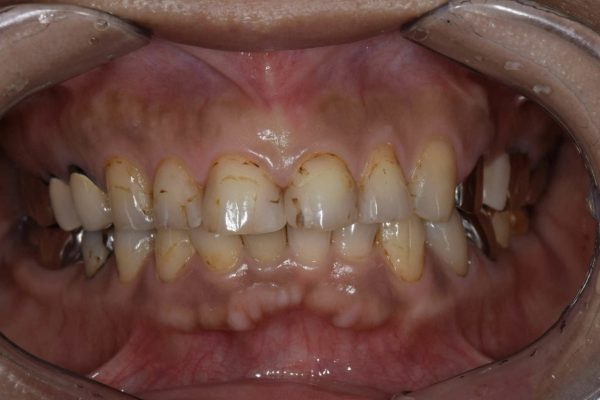
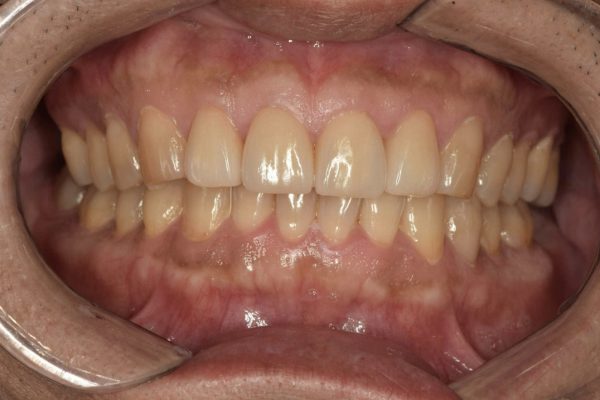
セラミック治療の症例紹介① ふじおか歯科

藤岡 洋記(ふじおか歯科)
プロフィールをもっと見る
症例詳細
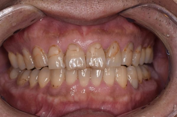
| 主訴 | 見た目が気になる(着色、歯が欠けている) |
| 治療内容 | セラミックによる修復 |
| 治療費 | 400,000円(税込) |
| 治療期間 | 3ヶ月 |
| 治療回数 | 6回 |
| 想定されたリスク | 装着部にプラークが停滞するとむし歯が再発する可能性がありました。 |
ふじおか歯科
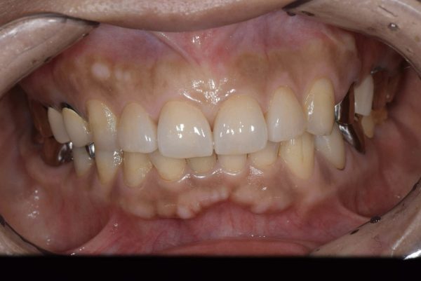
セラミック治療の症例紹介② ふじおか歯科

藤岡 洋記(ふじおか歯科)
プロフィールをもっと見る
症例詳細
担当医のコメント

ふじおか歯科
藤岡 洋記 歯科医師
歯の欠損や着色によって見た目を気にされていた患者さんに、自然な審美性と日常生活に必要な機能を意識した治療を行いました。改善が得られたため、今後は経過観察を続けていきます。
ふじおか歯科
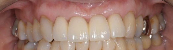
インプラント・審美治療の症例紹介 ふじおか歯科

藤岡 洋記(ふじおか歯科)
プロフィールをもっと見る
症例詳細
| 主訴 | 前歯の差し歯が外れている、虫歯が深く保存が難しい |
| 治療内容 | 前歯に2本インプラントを埋入。患者さんの要望に合わせ短期間での治療。(抜歯即時埋入・即時荷重) |
| 治療費 | 1,400,000円(税込) |
| 治療期間 | 4ヶ月 |
| 治療回数 | 10回 |
| 想定されたリスク | ※抜歯と同時にインプラントを埋入するため、通常の抜歯や埋入より炎症のリスクが高まる場合がありました。 |
担当医のコメント

ふじおか歯科
藤岡 洋記 歯科医師
短期間での治療を望まれたため、抜歯即時埋入を実施しました。通常は治癒を待ち入れ歯を用いますが、当日に仮歯を装着することで機能と審美性を確保できます。適応には条件があり慎重な判断が必要です。
ふじおか歯科
ふじおか歯科
ふじおか歯科
藤岡 洋記 歯科医師