播磨 貴裕(はりま歯科クリニック)
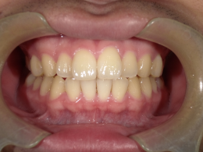
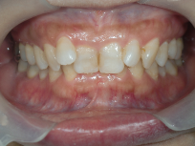
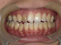
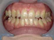
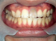
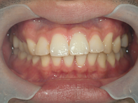
ホワイトニングの症例紹介①

Before

After

主訴
歯を白くしたい
治療内容
上下顎ホームホワイトニング(PMTCなし)(ティオンホームプラチナ)を行いました。
治療費
33,000円(税込)
治療期間
4週間
通院回数
2回
想定されたリスク
施術後一時的にしみる可能性がありました。
播磨 貴裕先生
はりま歯科クリニック
歯を白くしたい要望の患者様だったため、有効成分が歯面に浸透しやすいティオンホームプラチナを用いたホームホワイトニングを提供。効率よくホワイトニング効果を発揮しました。
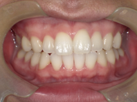
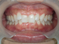
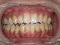
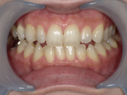
ホワイトニングの症例紹介②

Before

After

主訴
上前歯を白くしたい
治療内容
上下顎ホームホワイトニング(PMTC込み)+左右上前歯ウォーキングブリーチ(ティオンホームプラチナ+オパールエッセンスBoost)を行いました。
治療費
55,000円+11,000円(税込み)
治療期間
2ヶ月
通院回数
4回
想定されたリスク
施術後一時的に違和感がある可能性がありました。
播磨 貴裕先生
はりま歯科クリニック
上前歯を白くしたい主訴の患者様のため、複数の治療法を用いながら治療。PMTC(歯のクリーニング)を取り入れ歯本来の色味に近づけることに加え、リスクとして挙げられる知覚過敏が起こりにくいオパールエッセンスを使用。安全性の高い治療を行いました。
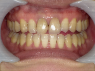
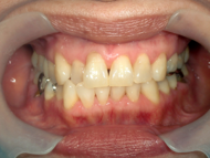
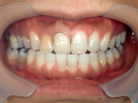
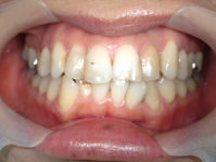
ホワイトニングの症例紹介③

Before

After

主訴
歯を白くしたい
治療内容
上下顎ホームホワイトニング(PMTC込み)(ティオンホームプラチナ)を導入しました。
治療費
55,000円(税込)
治療期間
3ヶ月
通院回数
6回
想定されたリスク
施術後一時的にしみる可能性がありました。
播磨 貴裕先生
はりま歯科クリニック
患者さんの要望に沿い、ホームホワイトニングに追加してPMTC(歯のクリーニング)を実施しました。
より丁寧な治療を行い、色味を改善することができました。
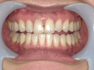
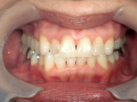
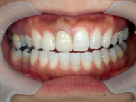
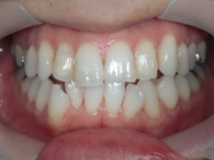
ホワイトニングの症例紹介④

Before

After

主訴
歯を白くしたい
治療内容
上下顎ホームホワイトニング(PMTC込み)(ティオンホームプラチナ)を行いました。
治療費
55,000円(税込)
治療期間
2ヶ月
通院回数
4回
想定されたリスク
施術後一時的にしみる可能性がありました。
播磨 貴裕先生
はりま歯科クリニック
患者さんの要望に沿い、ホームホワイトニングに追加してPMTC(歯のクリーニング)を実施しました。
PMTCを行うことで、歯本来の色味に改善することができました。
ホワイトニングの症例紹介⑤

Before

After

主訴
右上前歯の色を他の歯と合わせたい
治療内容
右上前歯ウォーキングブリーチ(オパールエッセンスBoost)を行いました。
治療費
5,500円(税込)
治療期間
4週間
通院回数
2回
想定されたリスク
施術後一時的に違和感がある可能性がありました。
播磨 貴裕先生
はりま歯科クリニック
ホワイトニングのリスクとして知覚過敏が挙げられますが、オパールエッセンスBoostを使用することで知覚過敏を起こりにくくできるメリットがあります。安全性の高い治療を行うことで、より安心して治療を受けていただくことができました。
ホワイトニングの症例紹介⑥

Before

After

主訴
右上前歯の色を白くしたい
治療内容
上下顎ホームホワイトニング(PMTCなし)+右上前歯ウォーキングブリーチ(ティオンホームプラチナ+オパールエッセンスBoost)を行いました。
治療費
33,000円+5,500円(税込み)
治療期間
2ヶ月
通院回数
4回
想定されたリスク
施術後一時的に違和感がある可能性がありました。
播磨 貴裕先生
はりま歯科クリニック
上前歯を白くしたい主訴の患者様のため、複数の治療法を用いながら治療。PMTC(歯のクリーニング)を取り入れ歯本来の色味に近づけることに加え、リスクとして挙げられる知覚過敏が起こりにくいオパールエッセンスを使用。安全性の高い治療を行いました。
ホワイトニングの症例紹介⑦

Before

After

主訴
歯の黄ばみをとりたい
治療内容
上下顎ホームホワイトニング(PMTC込み)(ティオンホームプラチナ)を行いました。
治療費
55,000円(税込み)
治療期間
2ヶ月
通院回数
4回
想定されたリスク
施術後一時的にしみる可能性がありました。
播磨 貴裕先生
はりま歯科クリニック
歯を白くしたい要望の患者様だったため、有効成分が紙面に浸透しやすいティオンホームプラチナを用いたホームホワイトニングを提供。効率よくホワイトニング効果を発揮しました。
ホワイトニングの症例紹介⑧

Before

After

主訴
左上前歯と全体的に歯の色を白くしたい
治療内容
上下顎ホームホワイトニング(PMTC込み)+左上前歯ウォーキングブリーチ(ティオンホームプラチナ+オパールエッセンスBoost)を行いました。
治療費
55,000円+5,500円(税込み)
治療期間
2ヶ月
通院回数
4回
想定されたリスク
施術後一時的に違和感がある可能性がありました。
播磨 貴裕先生
はりま歯科クリニック
上前歯を白くしたい主訴の患者様のため、複数の治療法を用いながら治療。PMTC(歯のクリーニング)を取り入れ歯本来の色味に近づけることに加え、リスクとして挙げられる知覚過敏が起こりにくいオパールエッセンスを使用。安全性の高い治療を行いました。
ホワイトニングの症例紹介⑨

Before

After

主訴
左上前歯の色を他の歯と合わせたい
治療内容
左上前歯ウォーキングブリーチ(オパールエッセンスBoost)を行いました。
治療費
5,500円(税込み)
治療期間
4週間
通院回数
2回
想定されたリスク
施術後、一過性の違和感がある可能性がありました。
播磨 貴裕先生
はりま歯科クリニック
ホワイトニングのリスクとして知覚過敏が挙げられますが、オパールエッセンスBoostを使用することで知覚過敏を起こりにくくできるメリットがあります。安全性の高い治療を行うことで、より安心して治療を受けていただくことができました
はりま歯科クリニック
はりま歯科クリニック