
担当歯科医師:
和田 光利(わだ歯科クリニック)
プロフィールをもっと見る
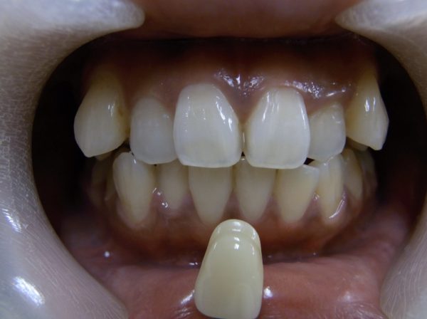
ジルコニアセラミックの症例紹介 わだ歯科クリニック
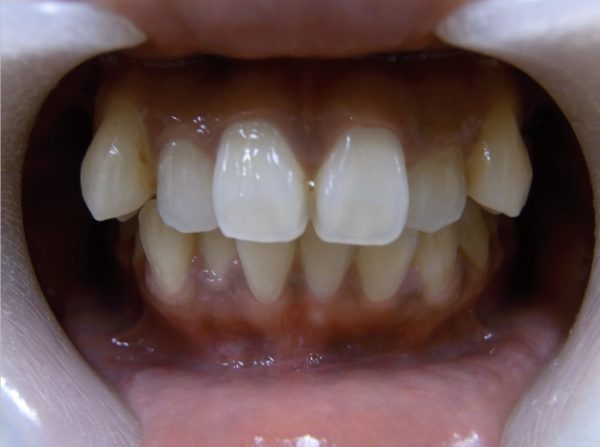
ホワイトニングの症例紹介 わだ歯科クリニック

和田 光利(わだ歯科クリニック)
プロフィールをもっと見る
症例詳細
| 主訴 | 審美性が気になる |
| 治療内容 | マウスピースによるホームホワイトニング |
| 治療費 | 30,000円(税込) |
| 治療期間 | 1ヶ月 |
| 治療回数 | 2回 |
| 想定されたリスク | 知覚過敏やエナメル質の微細なダメージによる痛みがでる可能性がありました。 |
担当医のコメント

わだ歯科クリニック
和田 光利 歯科医師
わだ歯科クリニック
小児歯科 歯科
🕑 【月・水】9:30~12:30/14:30~19:00
【火】15:00~19:00
【金】9:30~12:30/14:00~19:00
【土】9:30~12:30/14:00~17:00
※火曜日の午前は訪問診療のみ
休診日:木曜日・日曜日・祝日
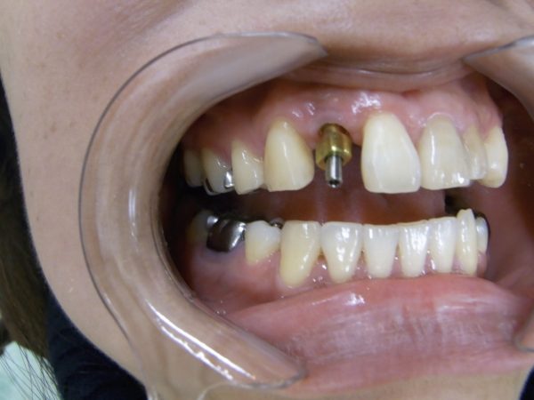
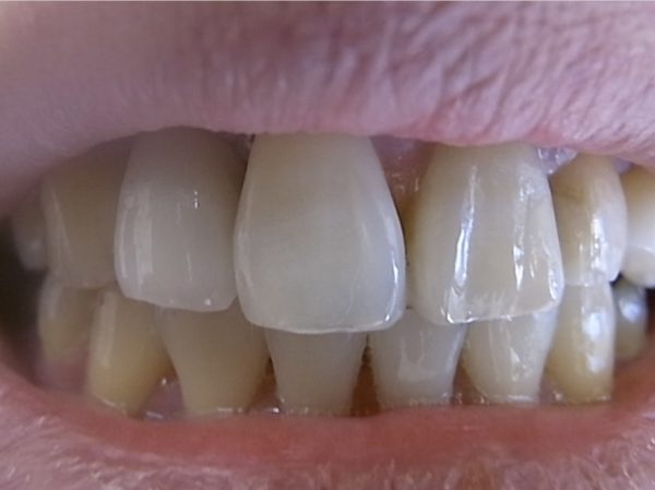
インプラントの症例紹介 わだ歯科クリニック

和田 光利(わだ歯科クリニック)
プロフィールをもっと見る
症例詳細
| 主訴 | 歯の欠損がある |
| 治療内容 | 上部構造(歯として使用する部分)の作成 |
| 治療費 | 270,000円(税込) |
| 治療期間 | 1ヶ月 |
| 治療回数 | 1回 |
| 想定されたリスク | 術後感染や出血・腫脹リスクがありました。 |
担当医のコメント

わだ歯科クリニック
和田 光利 歯科医師
わだ歯科クリニック
小児歯科 歯科
🕑 【月・水】9:30~12:30/14:30~19:00
【火】15:00~19:00
【金】9:30~12:30/14:00~19:00
【土】9:30~12:30/14:00~17:00
※火曜日の午前は訪問診療のみ
休診日:木曜日・日曜日・祝日
わだ歯科クリニック
小児歯科 歯科
🕑 【月・水】9:30~12:30/14:30~19:00
【火】15:00~19:00
【金】9:30~12:30/14:00~19:00
【土】9:30~12:30/14:00~17:00
※火曜日の午前は訪問診療のみ
休診日:木曜日・日曜日・祝日
わだ歯科クリニック
和田 光利 歯科医師