
担当歯科医師:
丸山和宏(ピーススマイル矯正歯科)
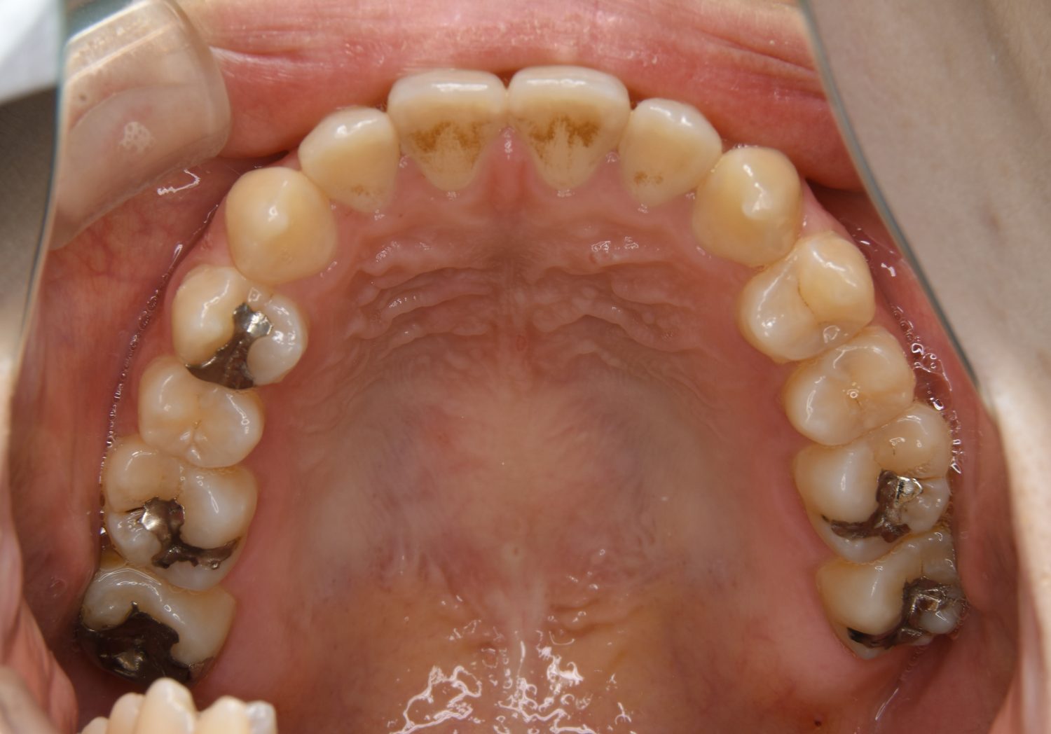
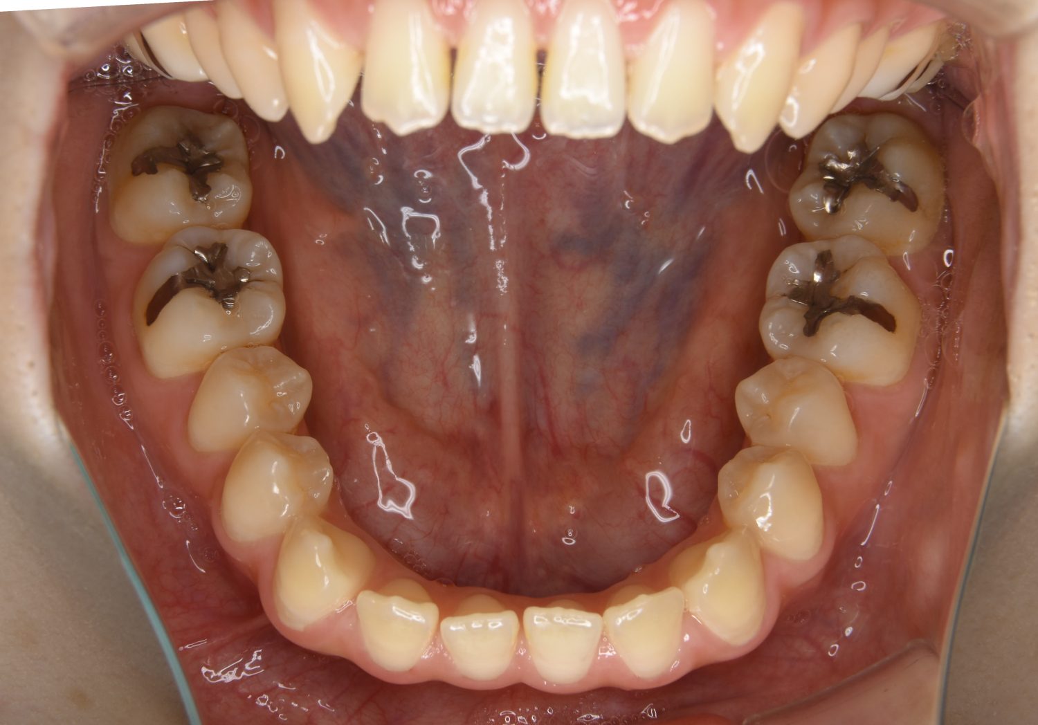
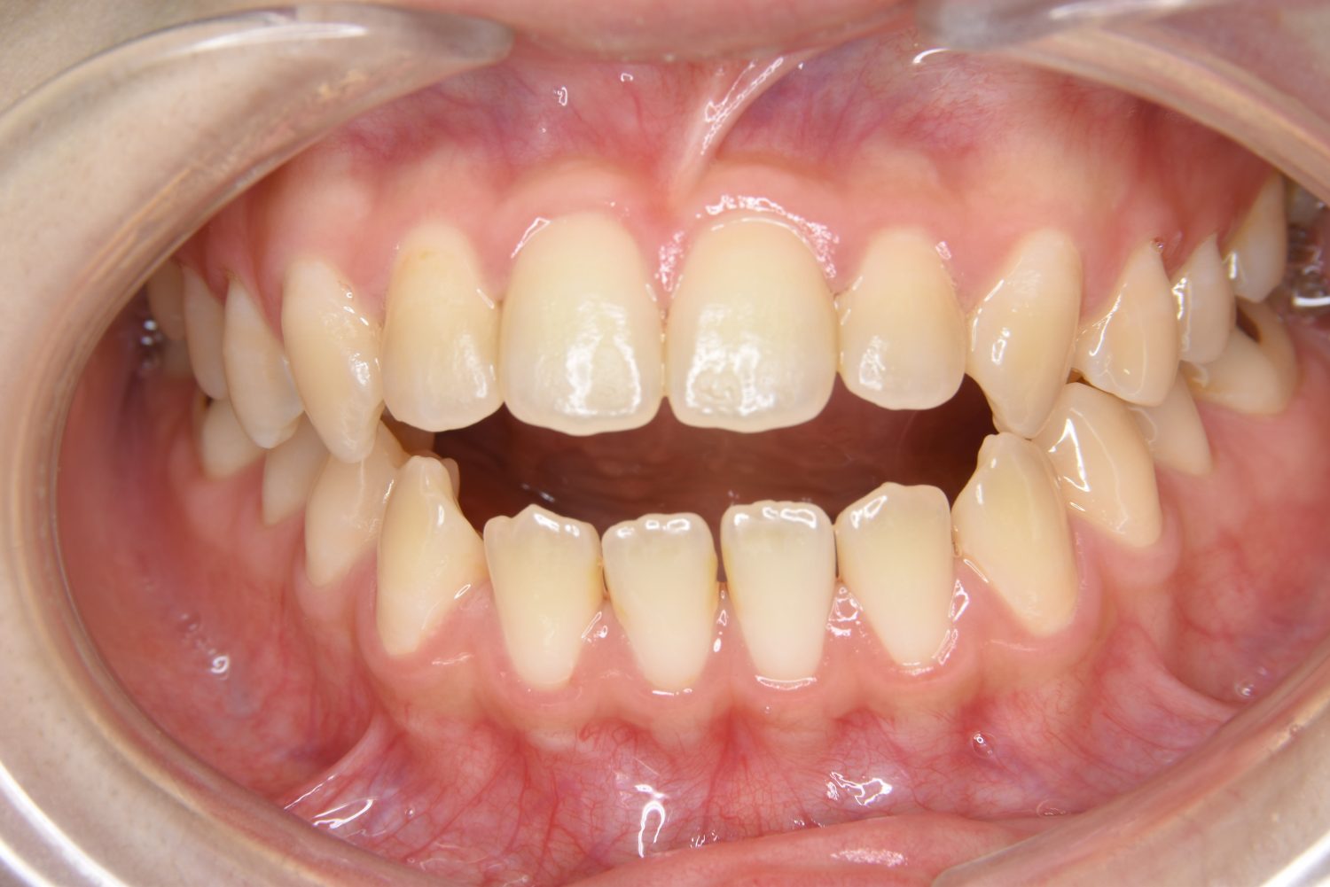
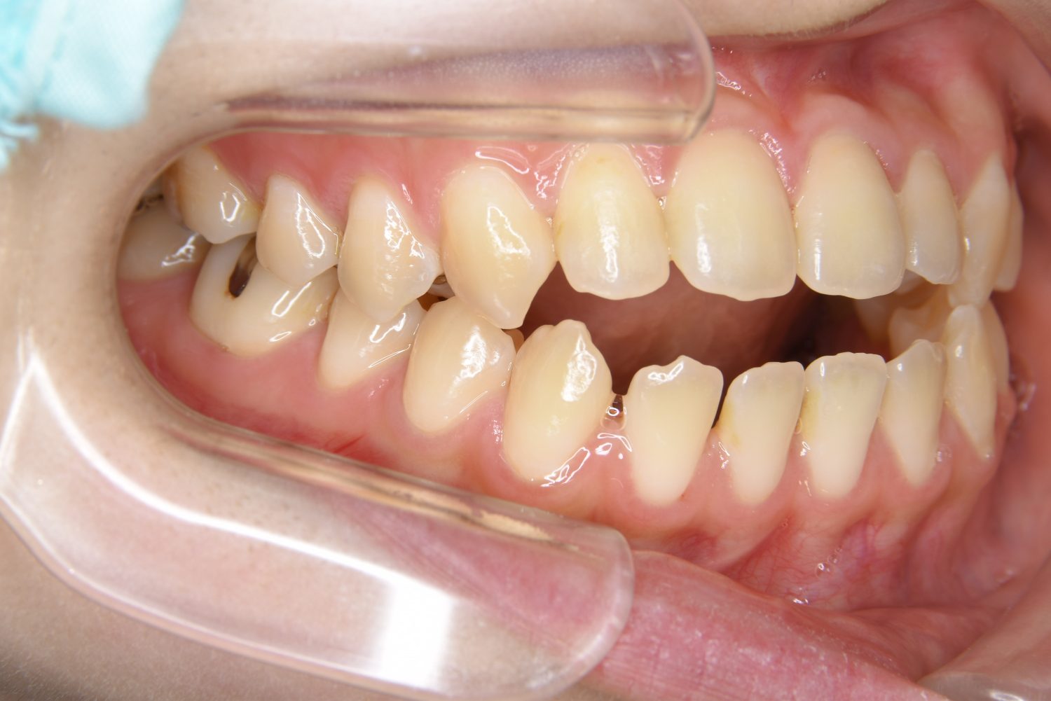
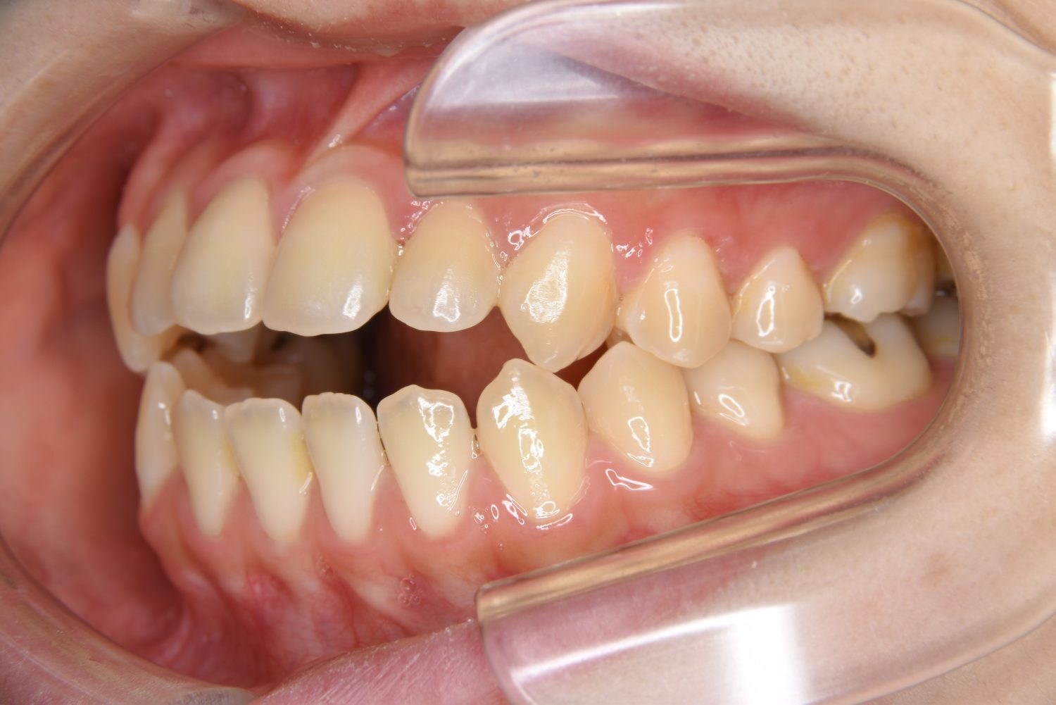
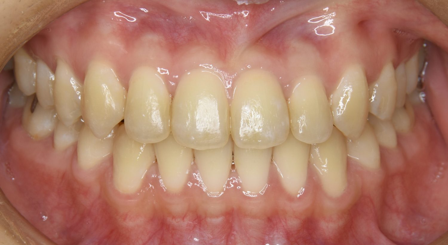
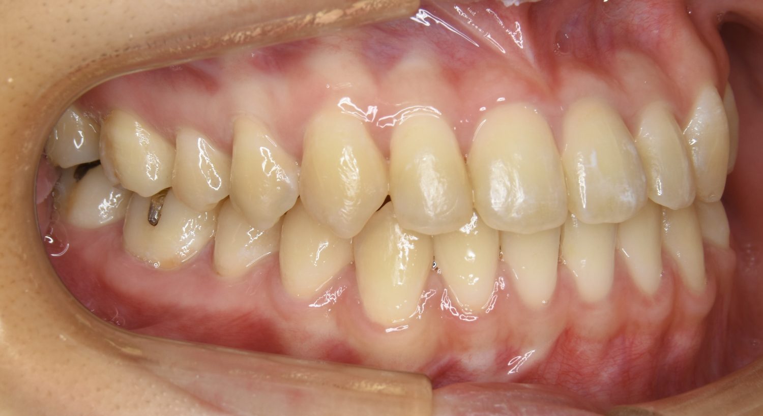
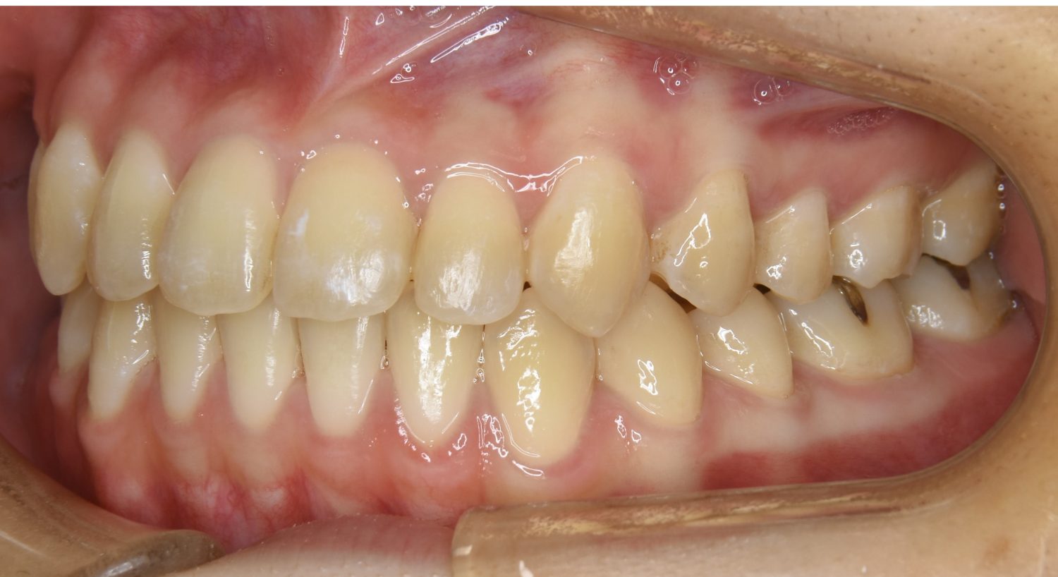
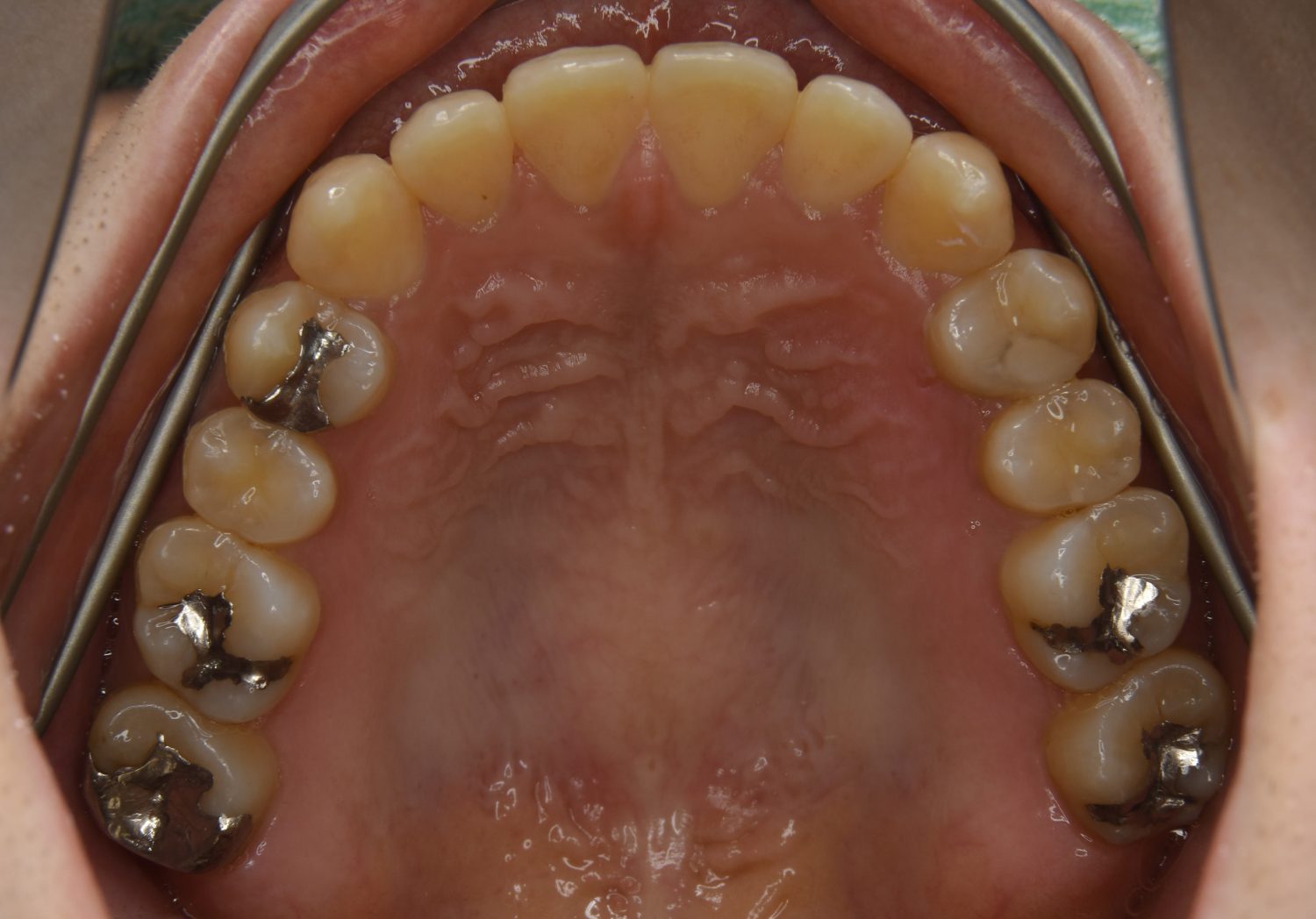
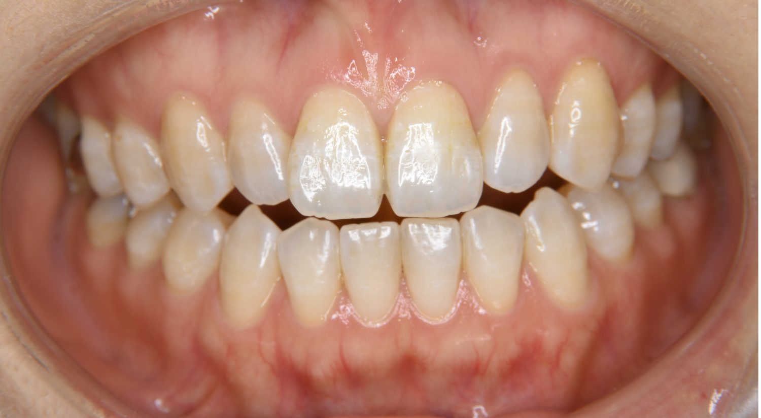
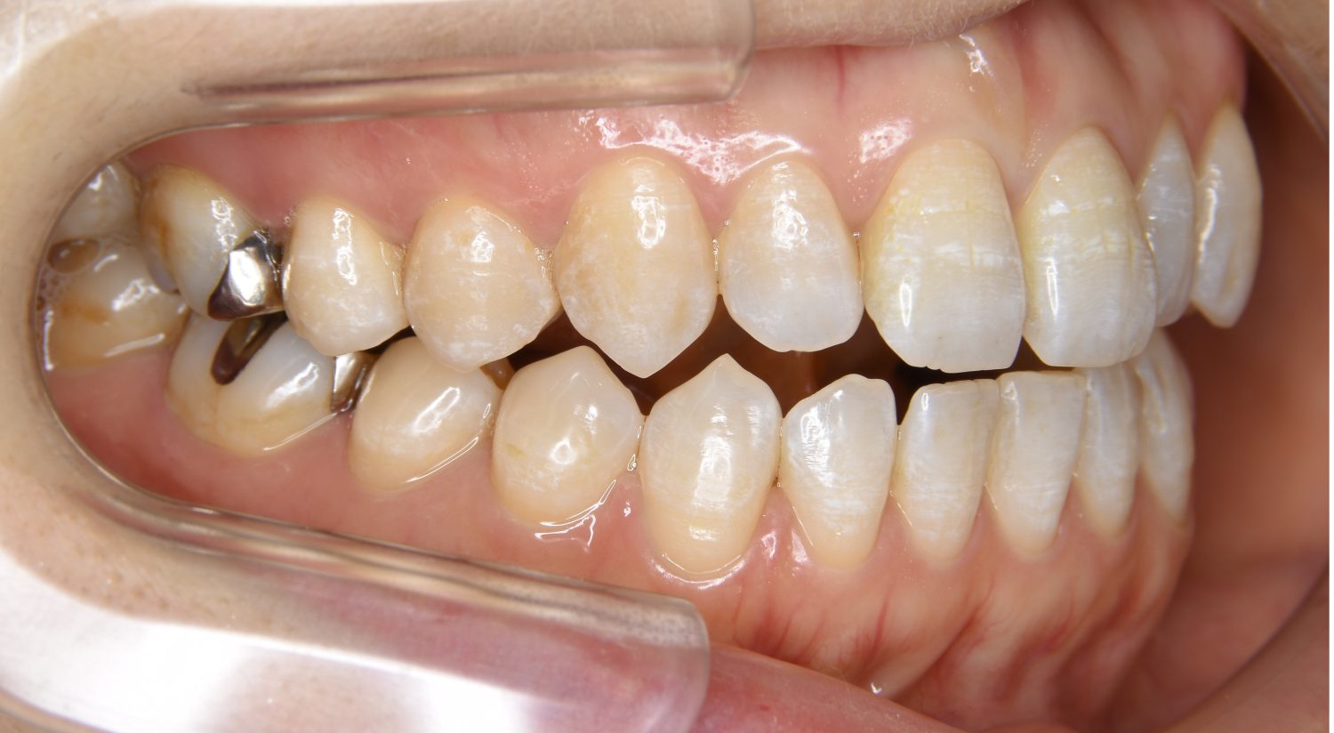
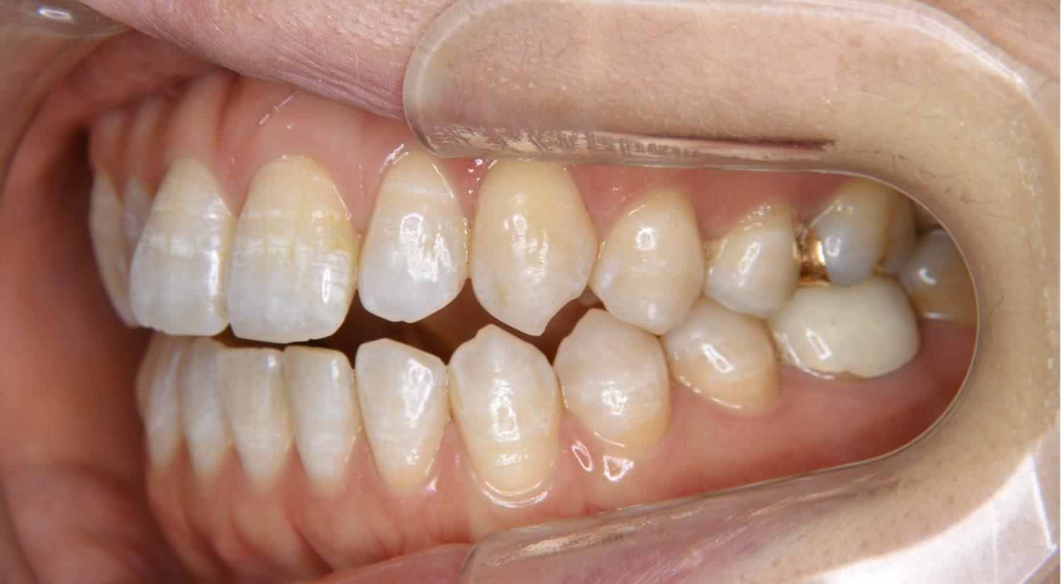
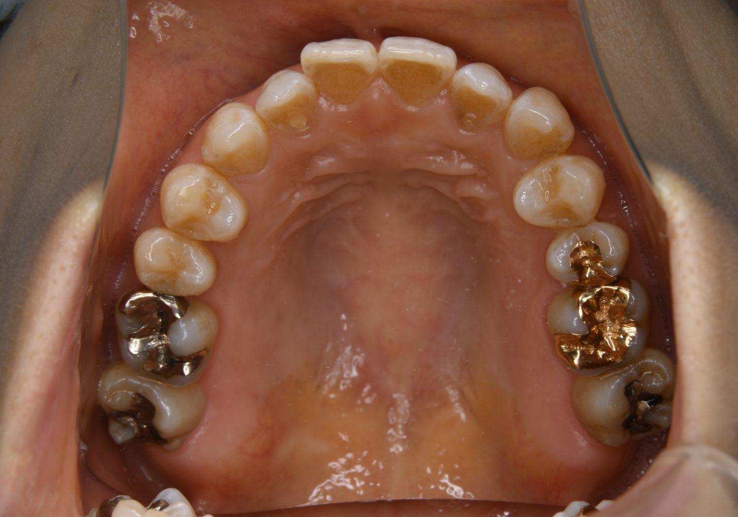
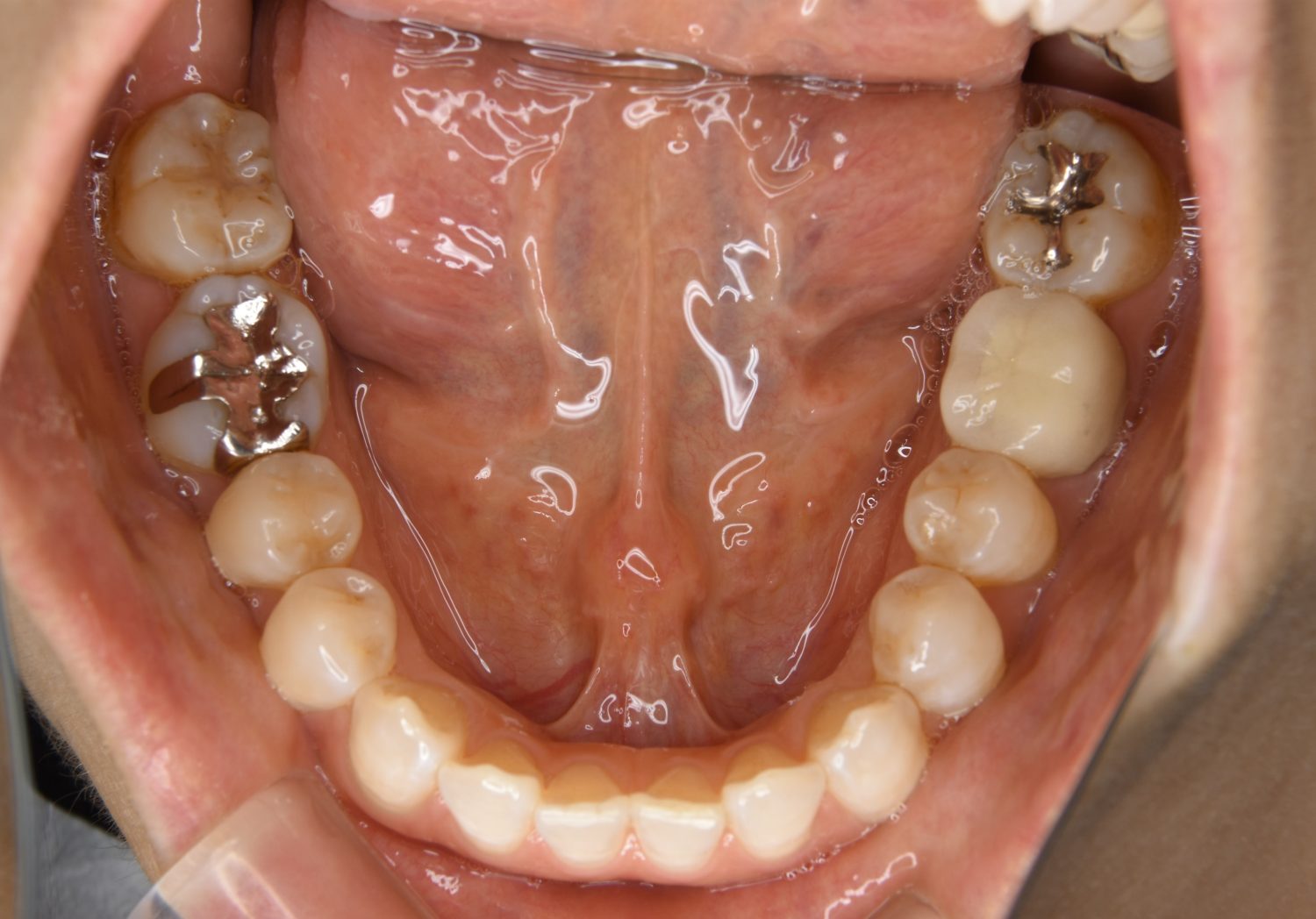
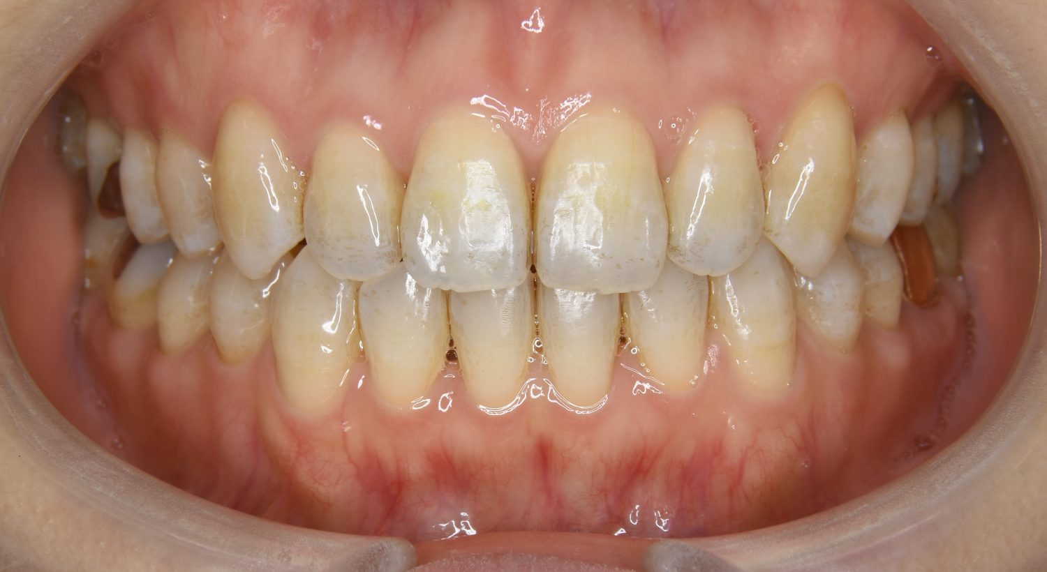
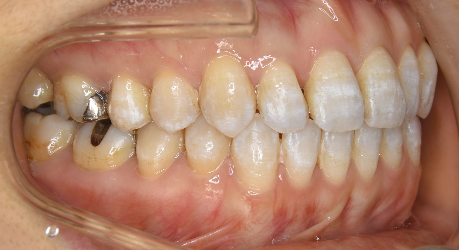
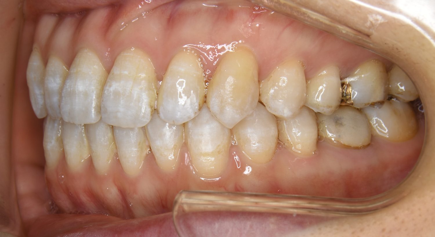
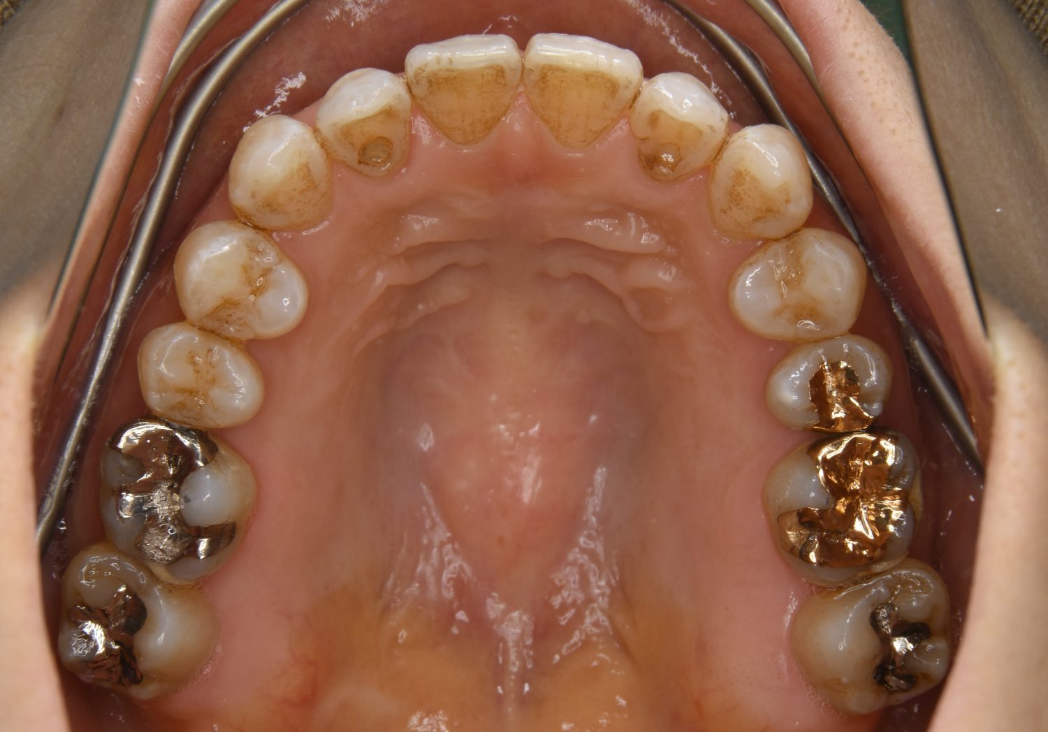
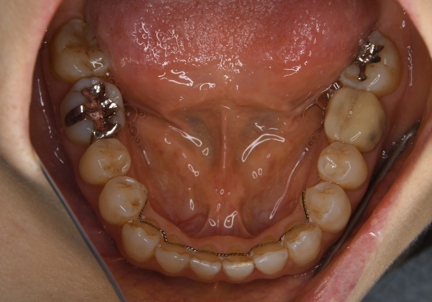
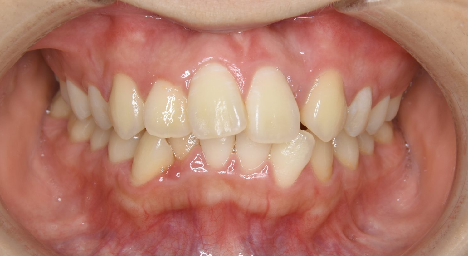
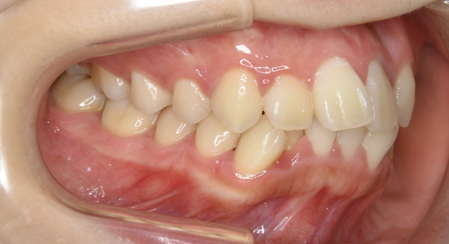
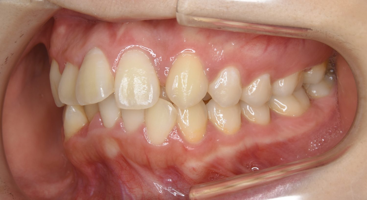
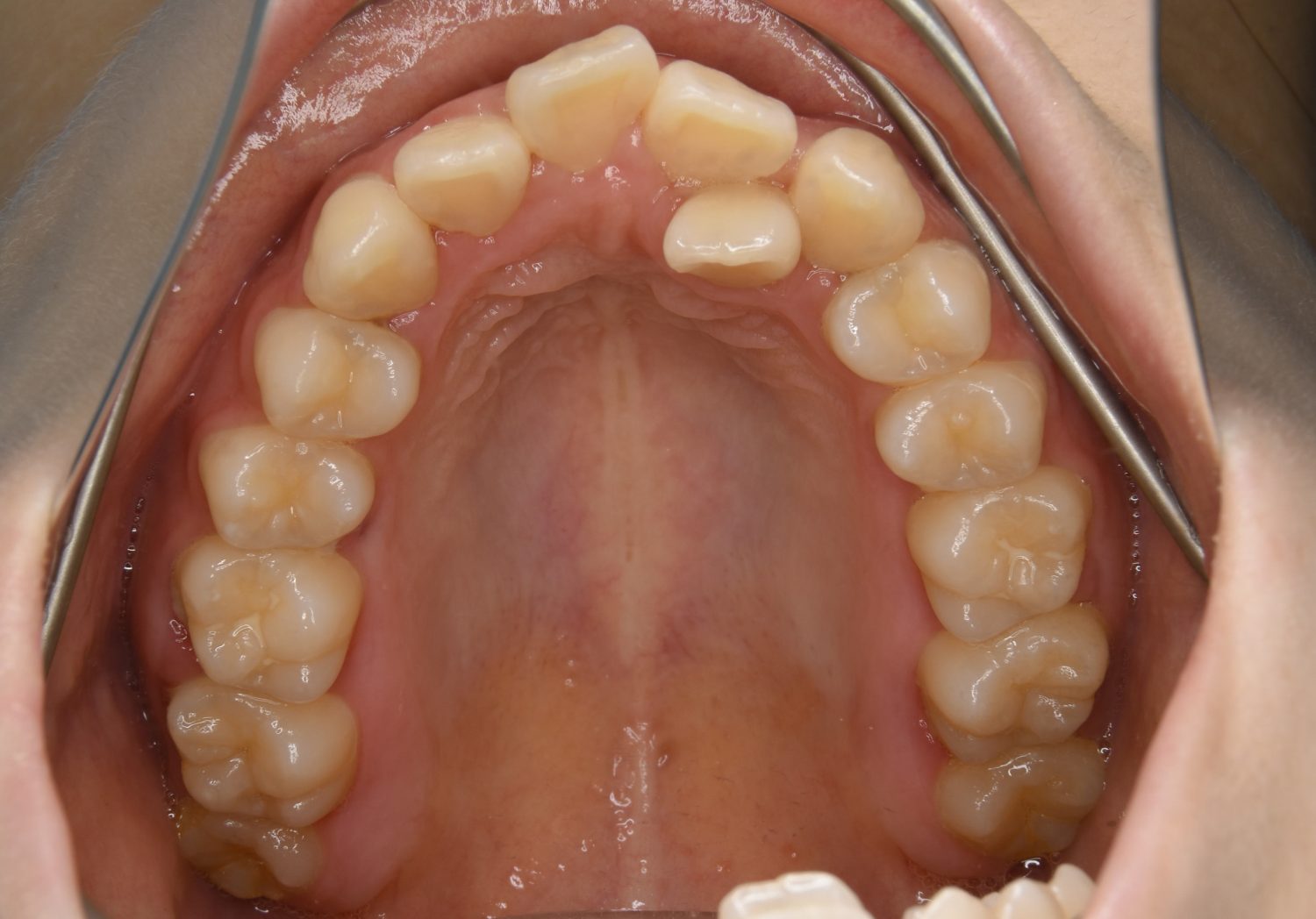
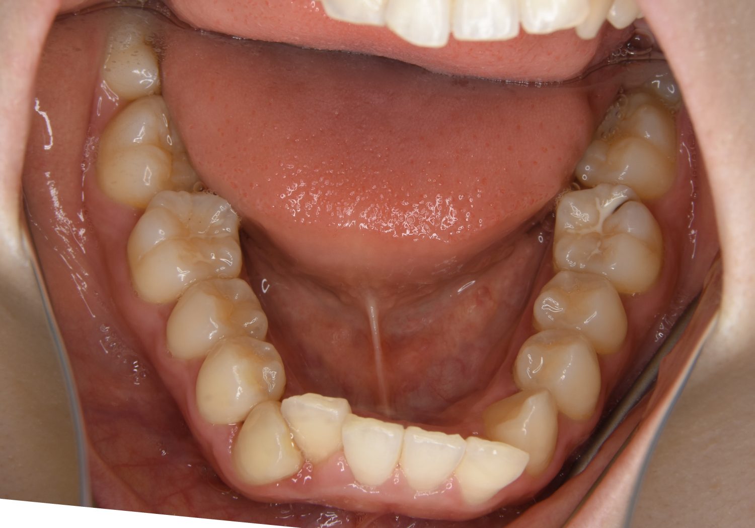
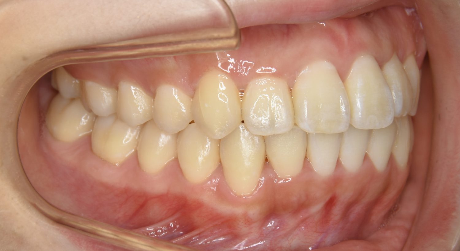
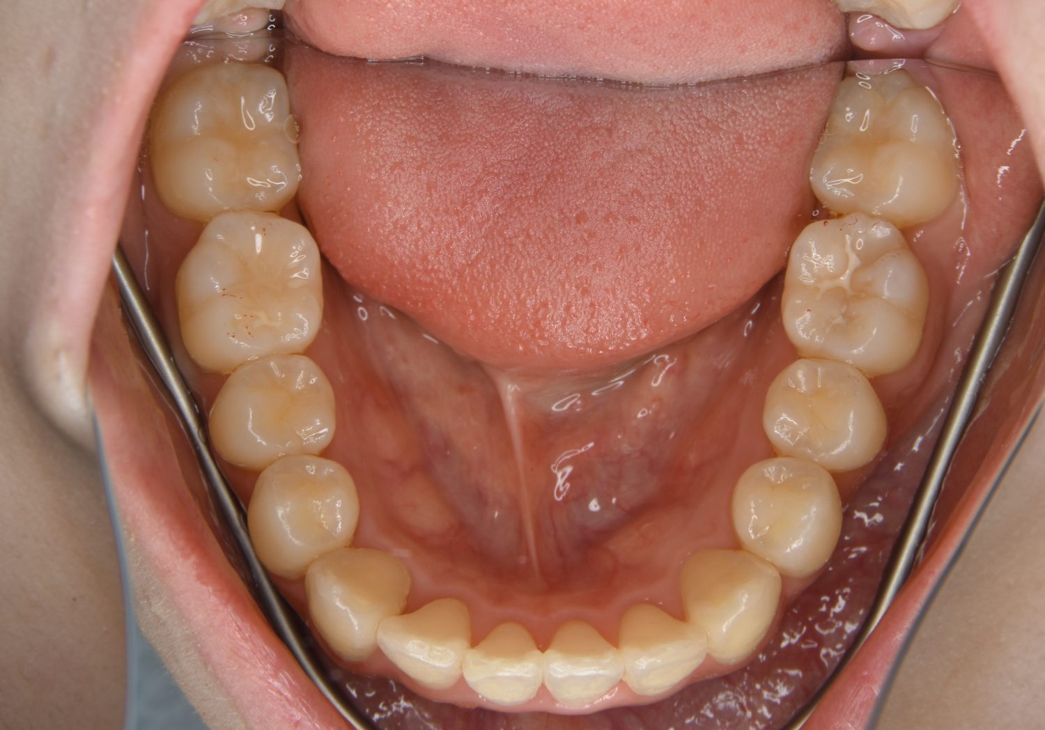
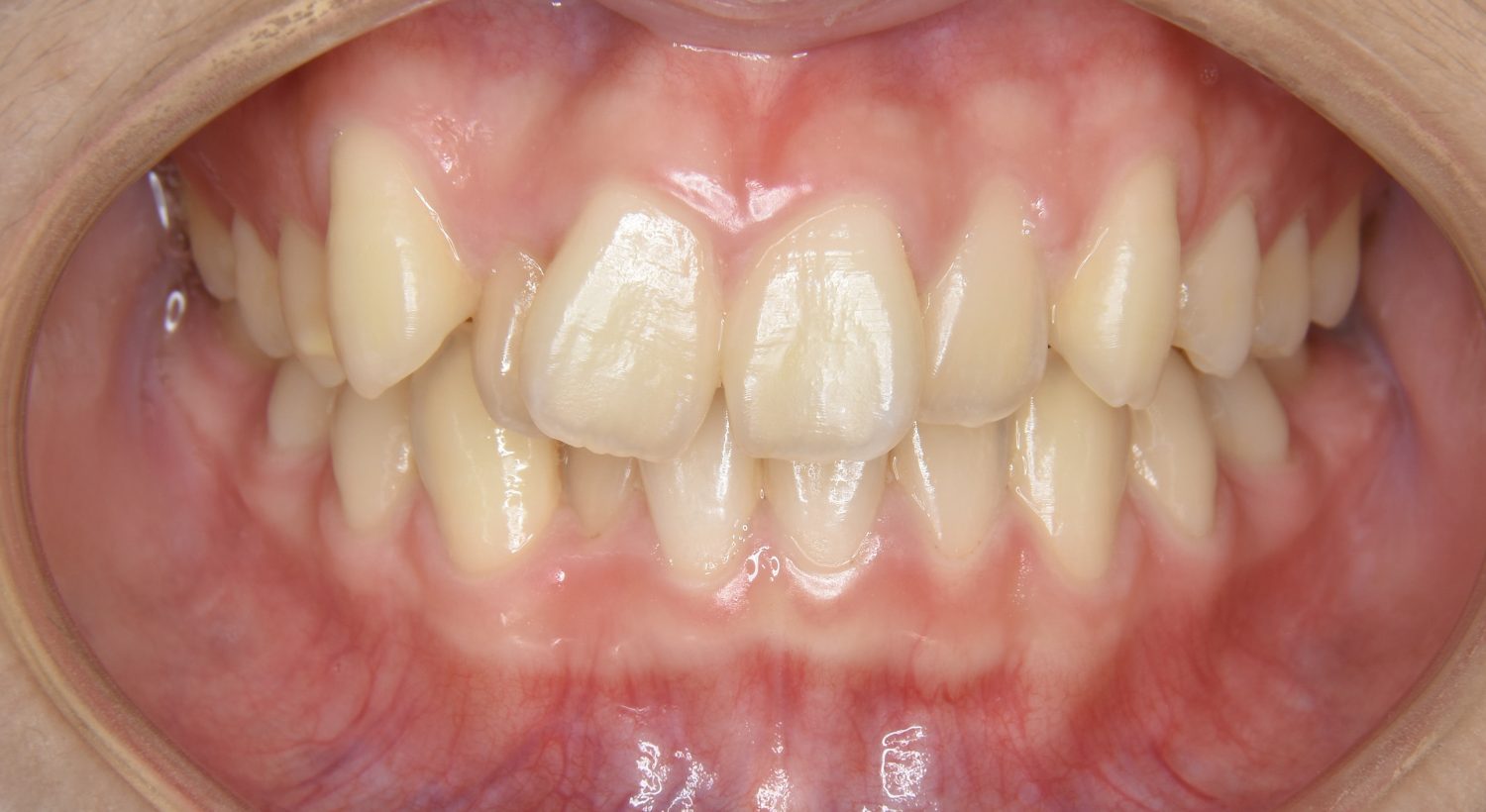
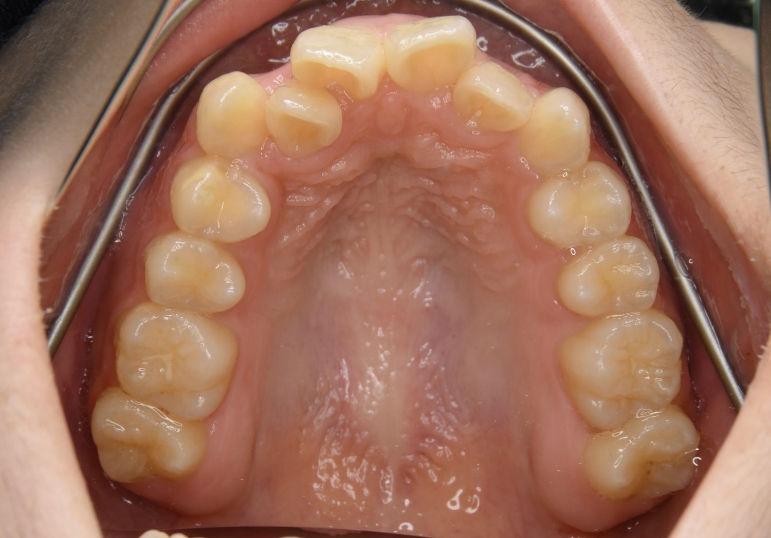
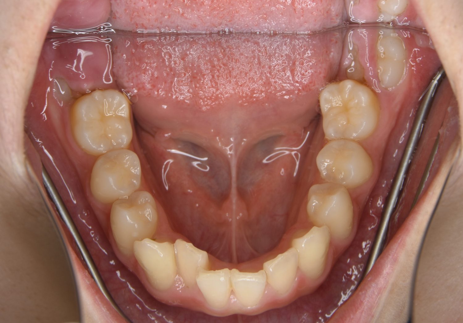
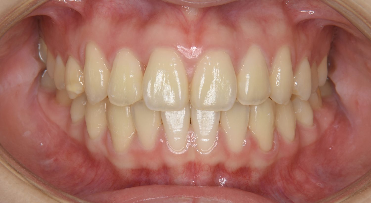
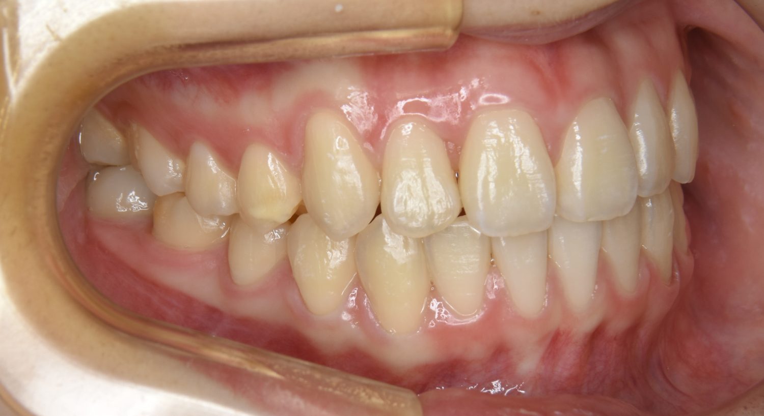
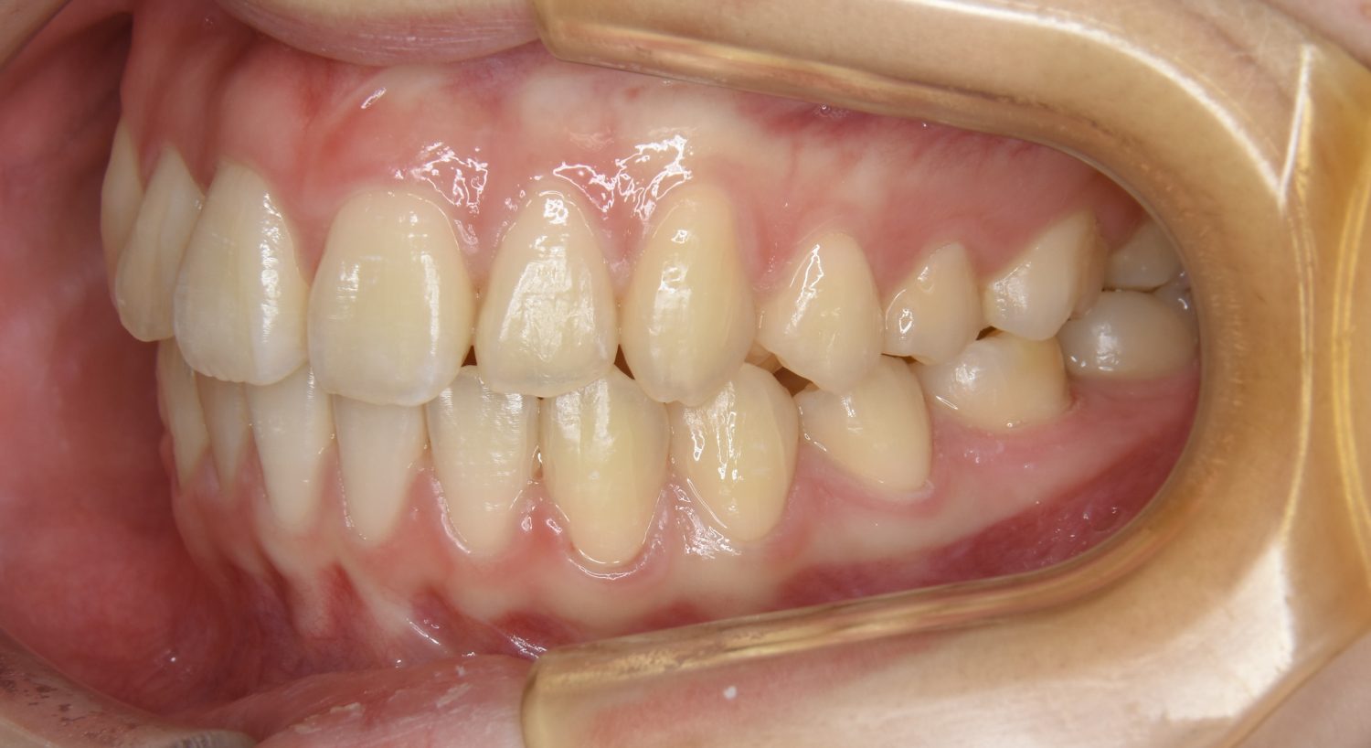
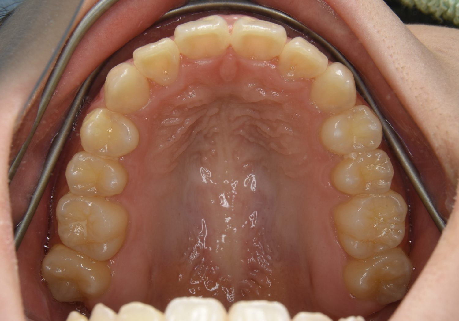
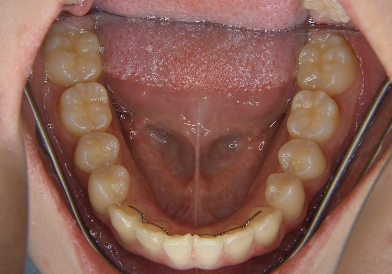
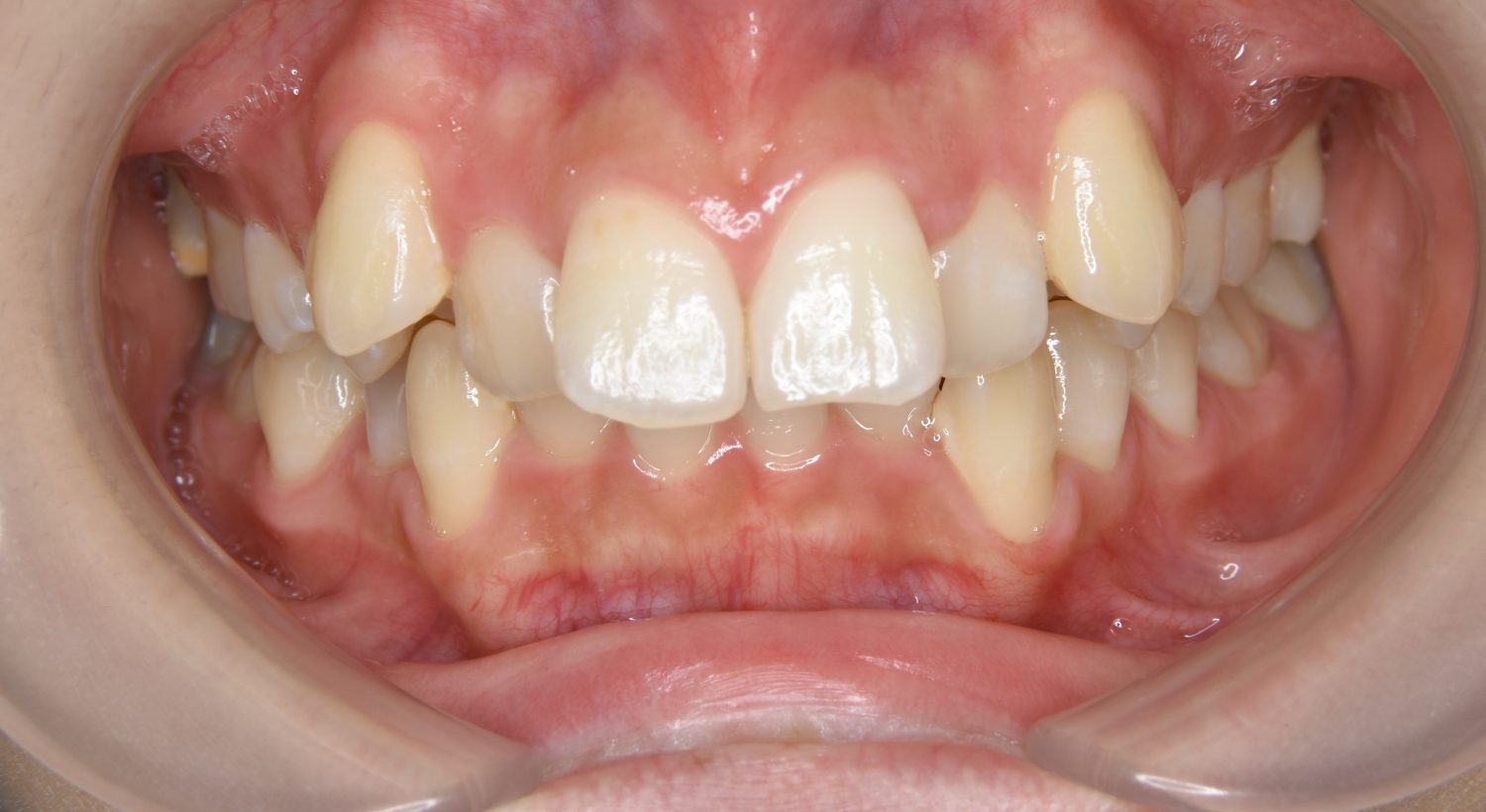
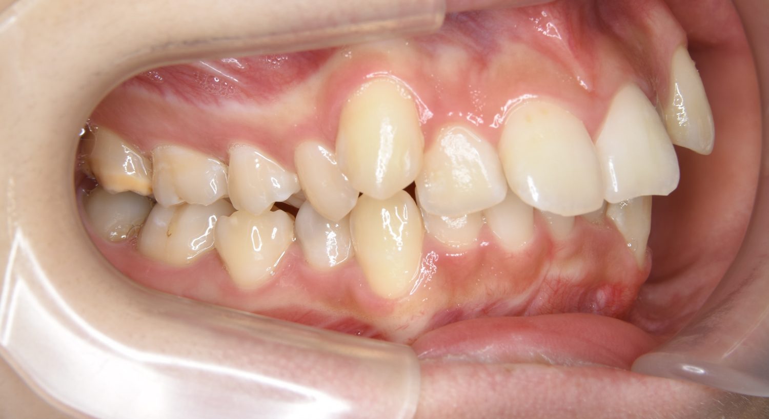
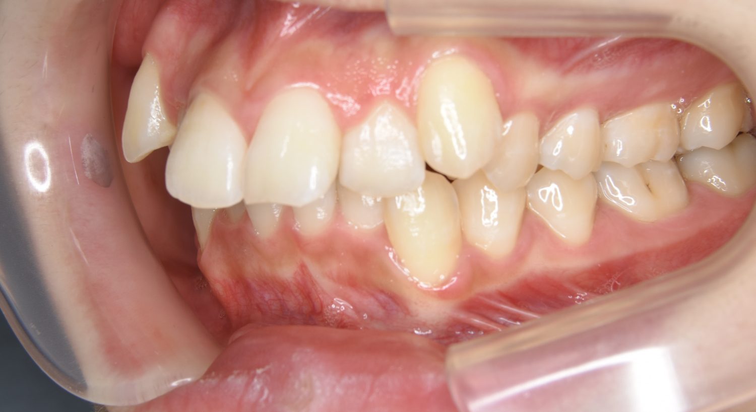
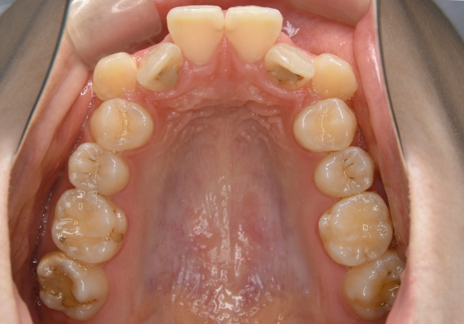
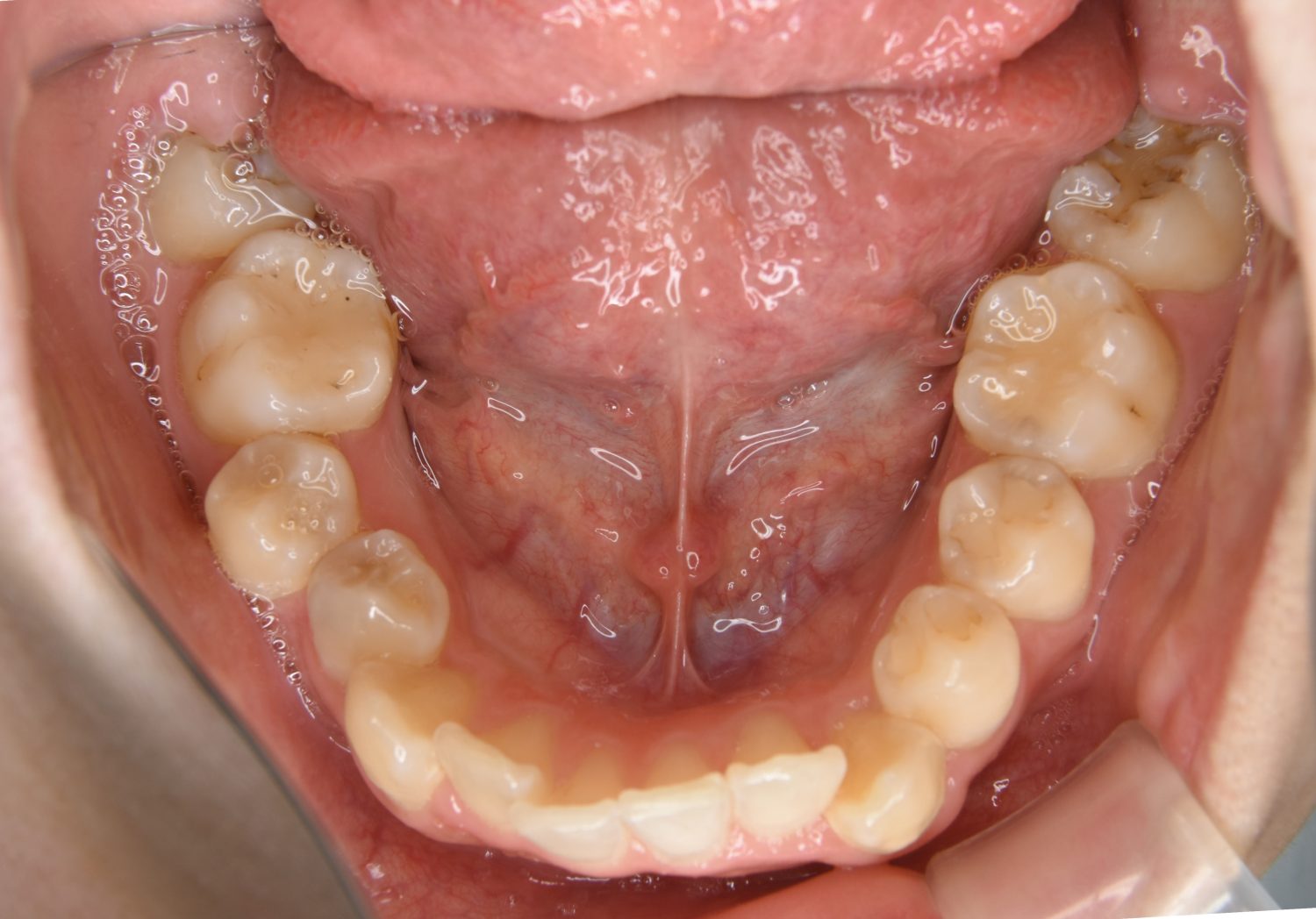
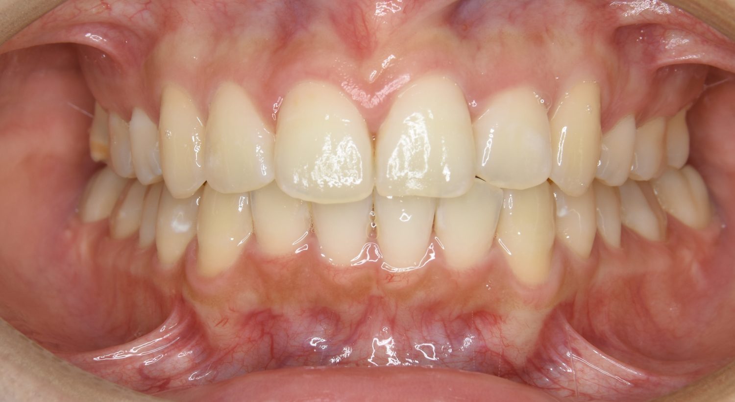
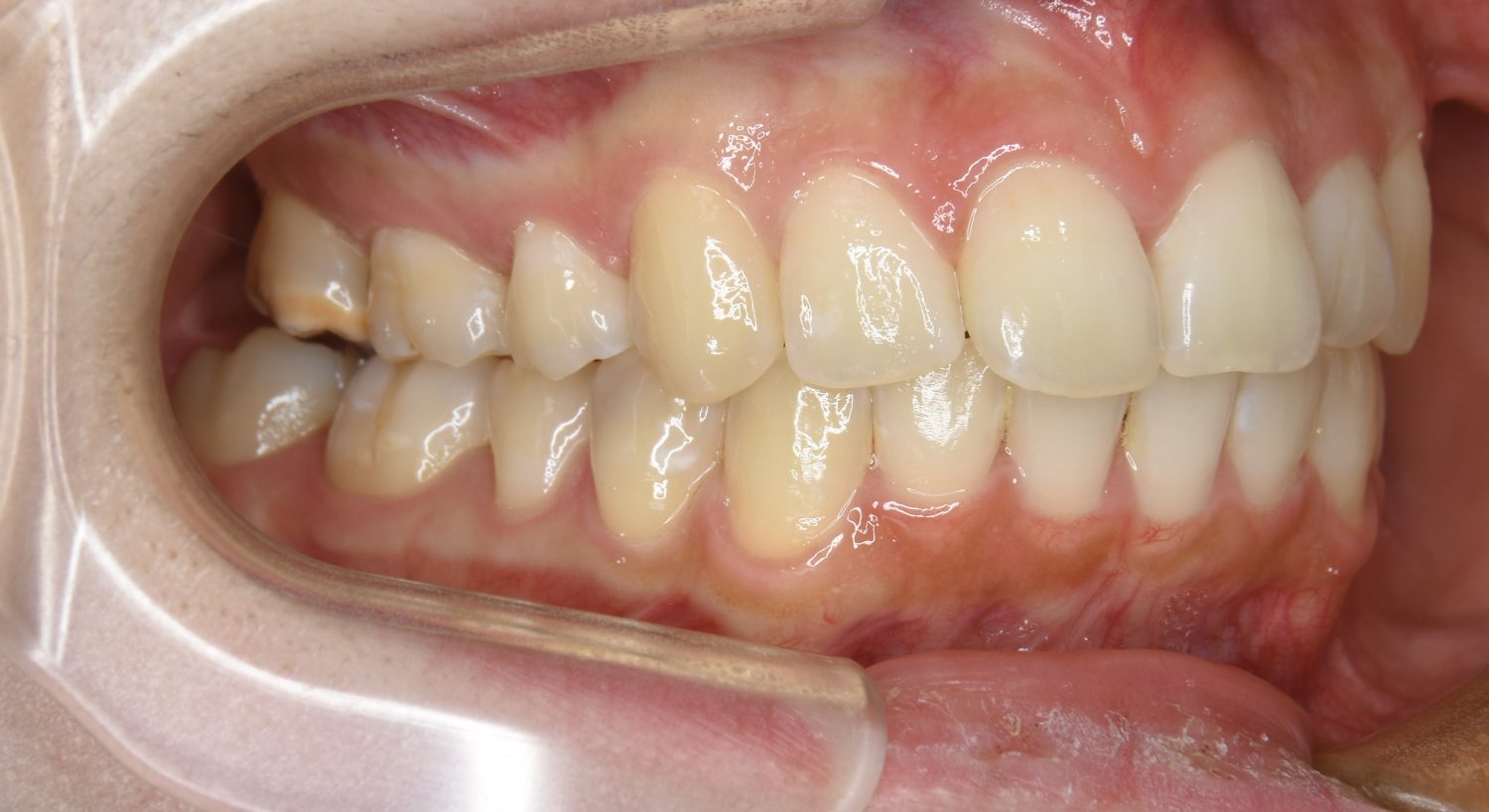
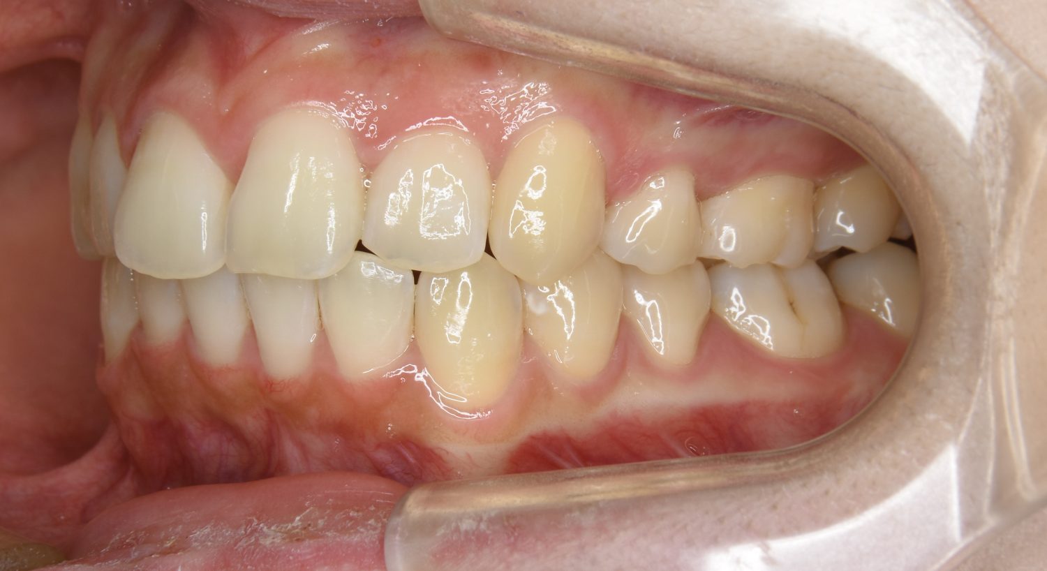
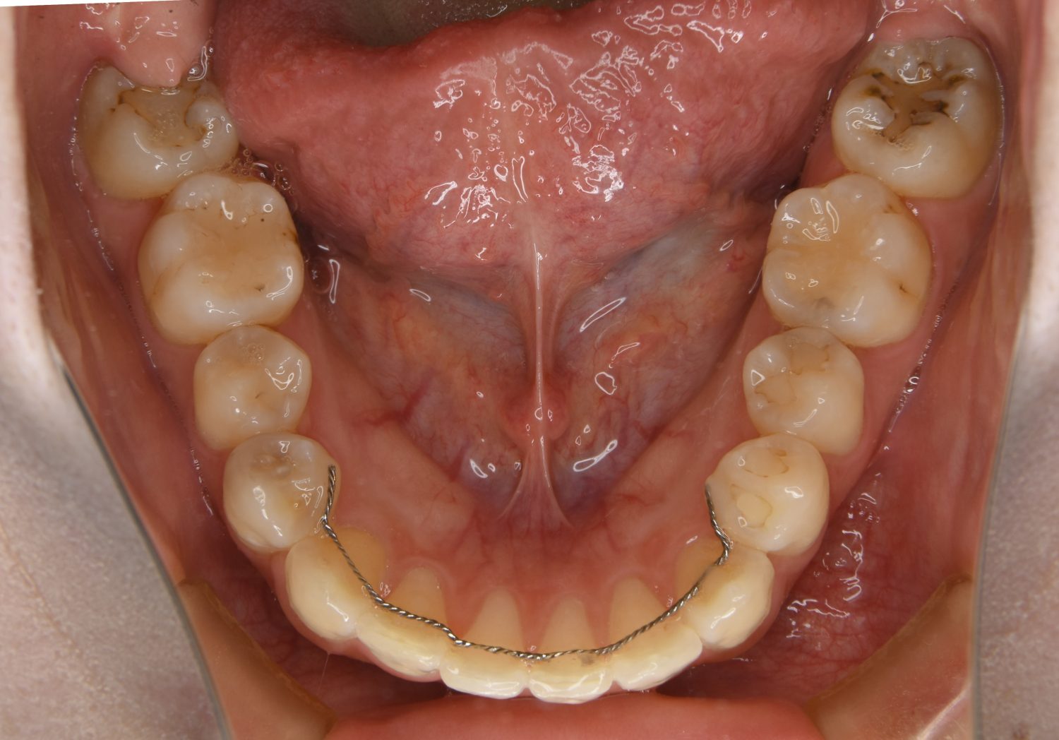
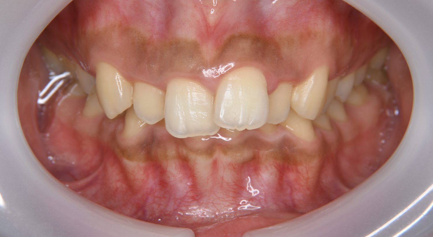
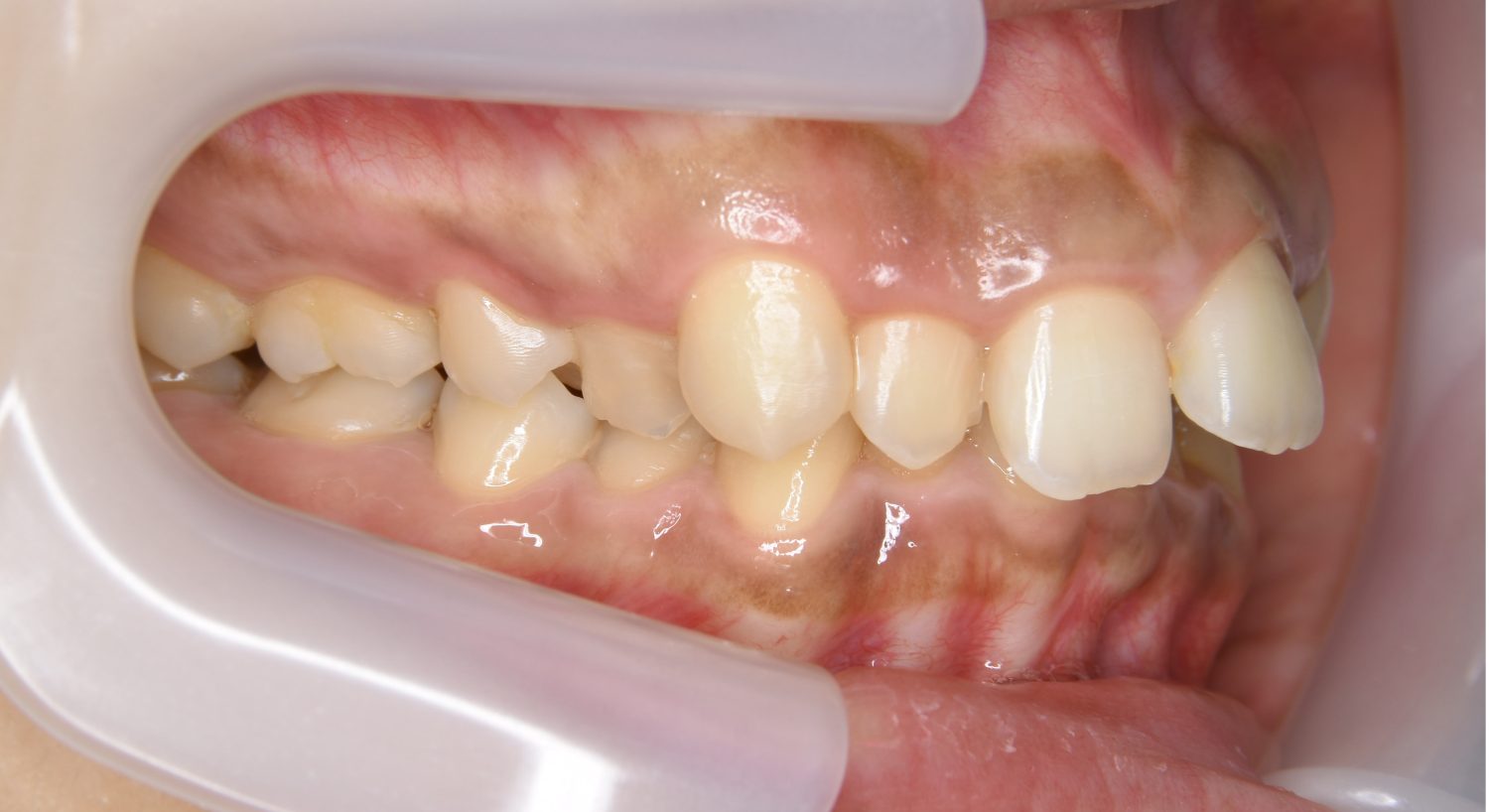
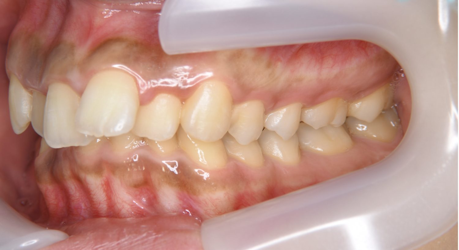
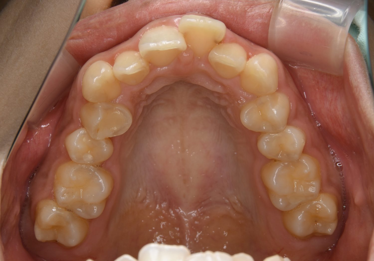
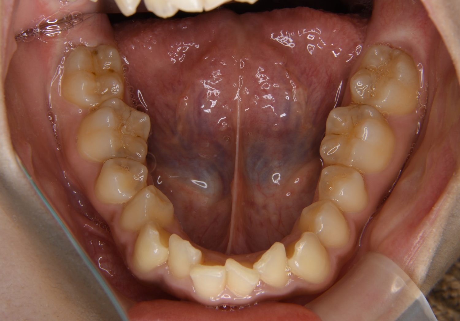
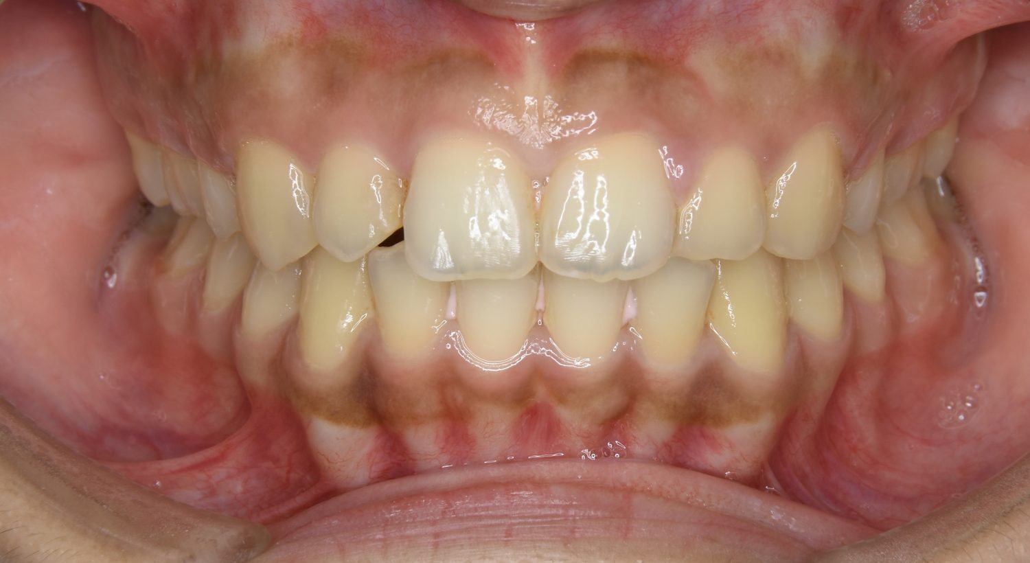
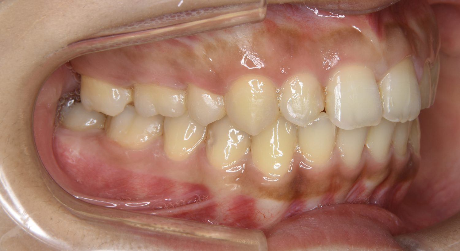
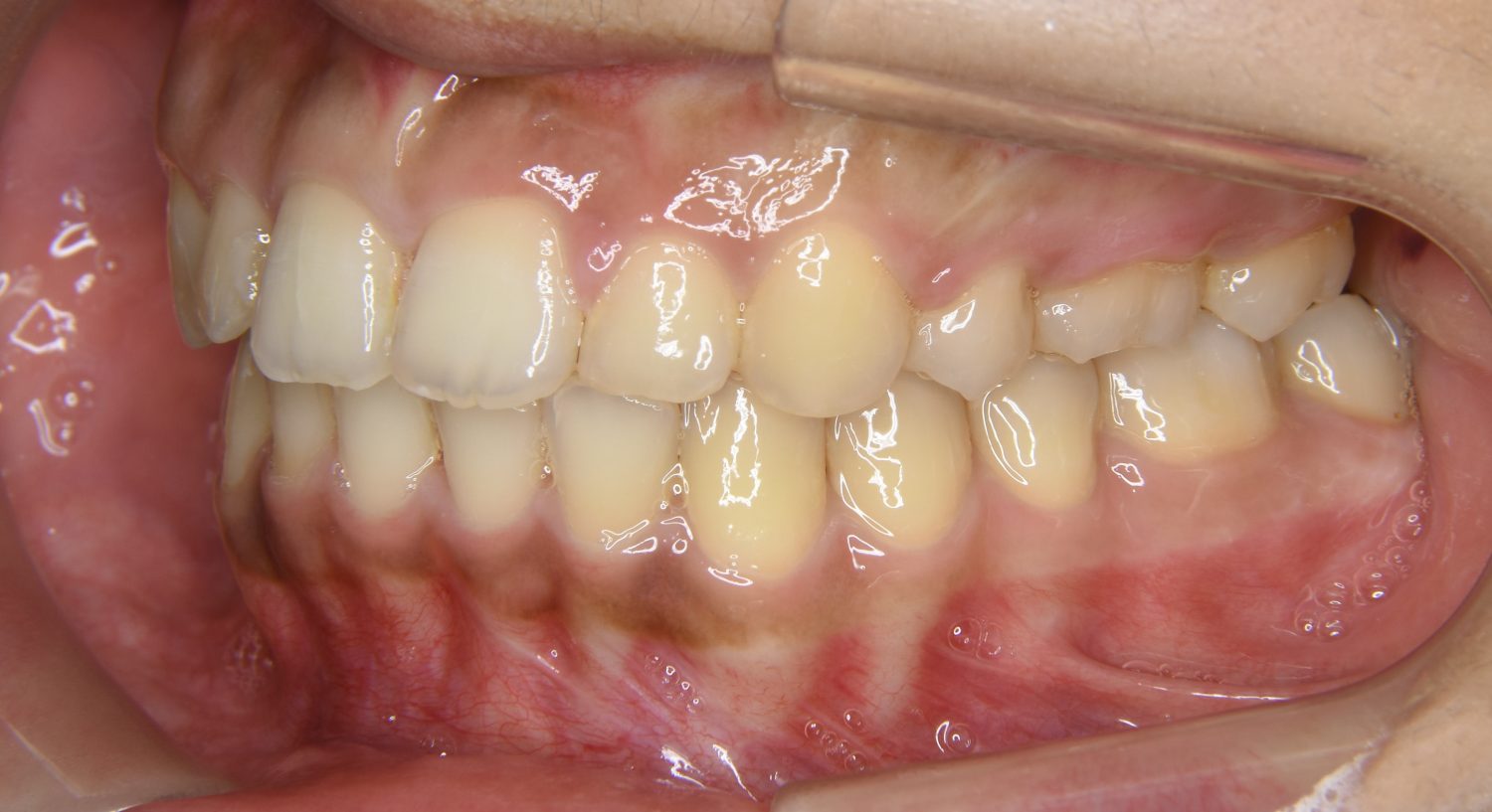
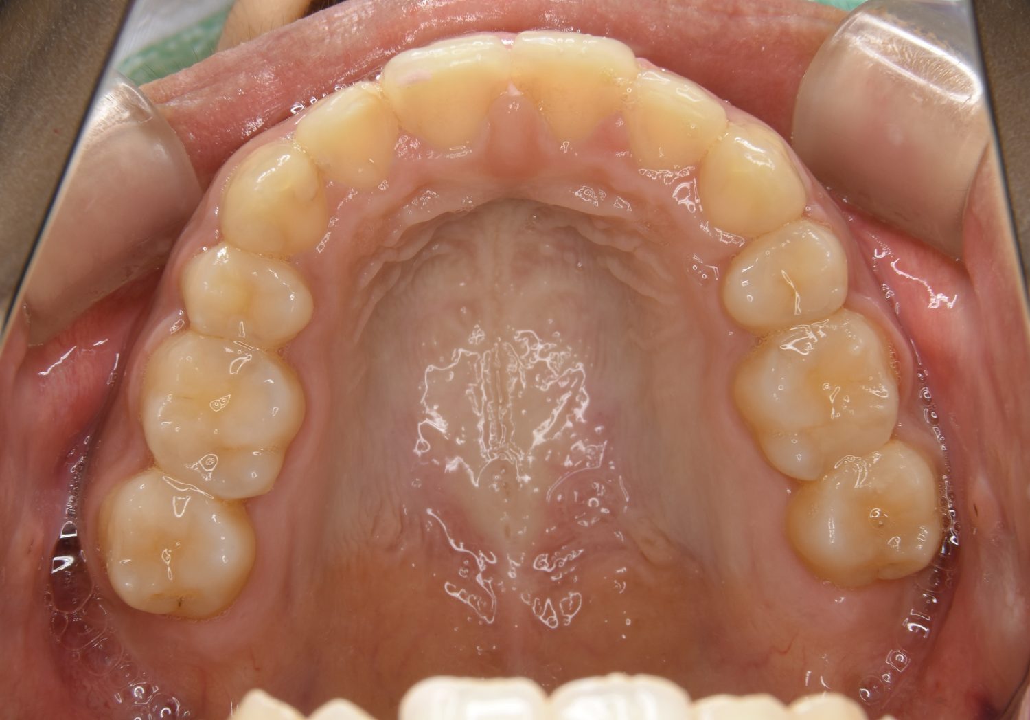
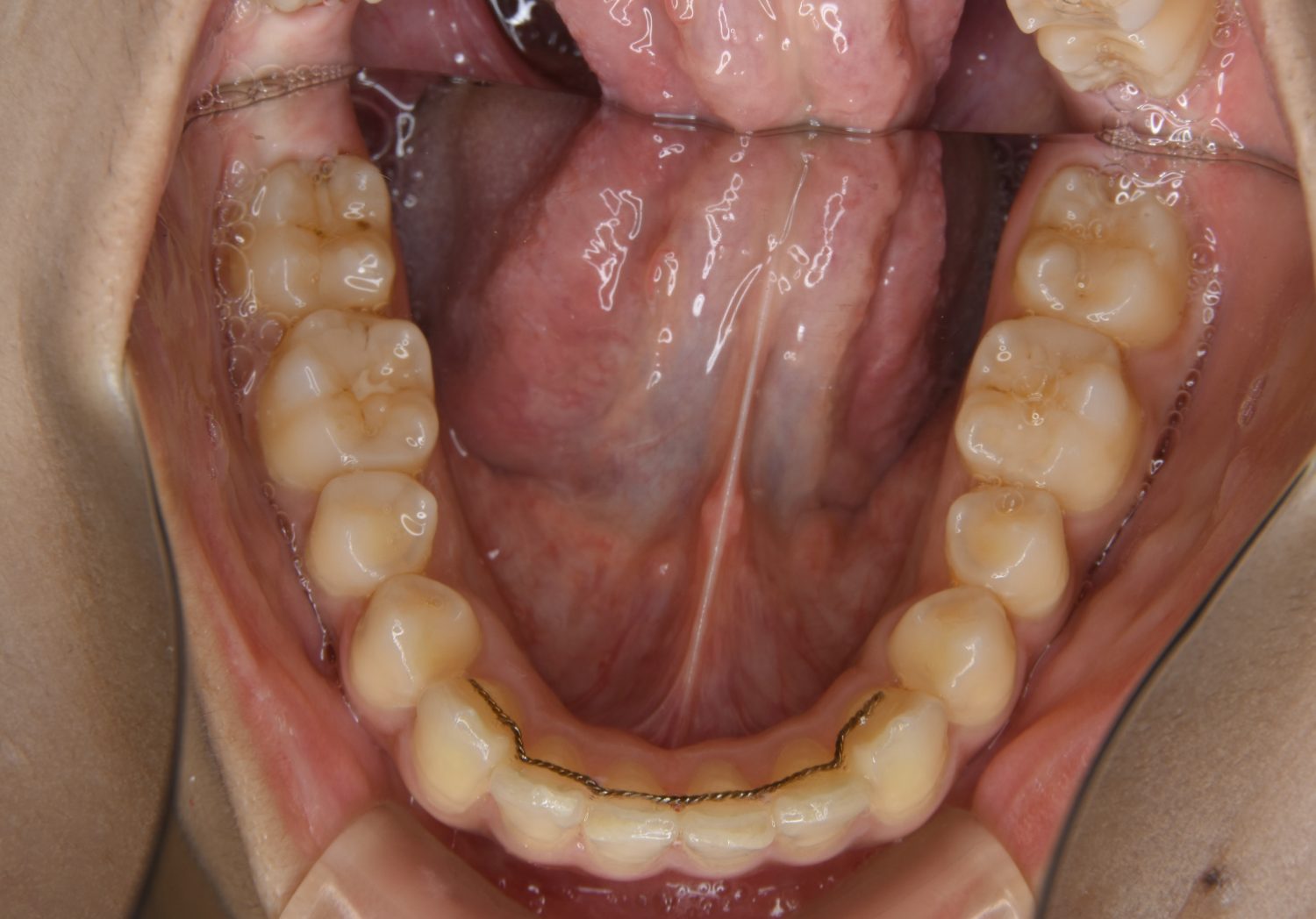
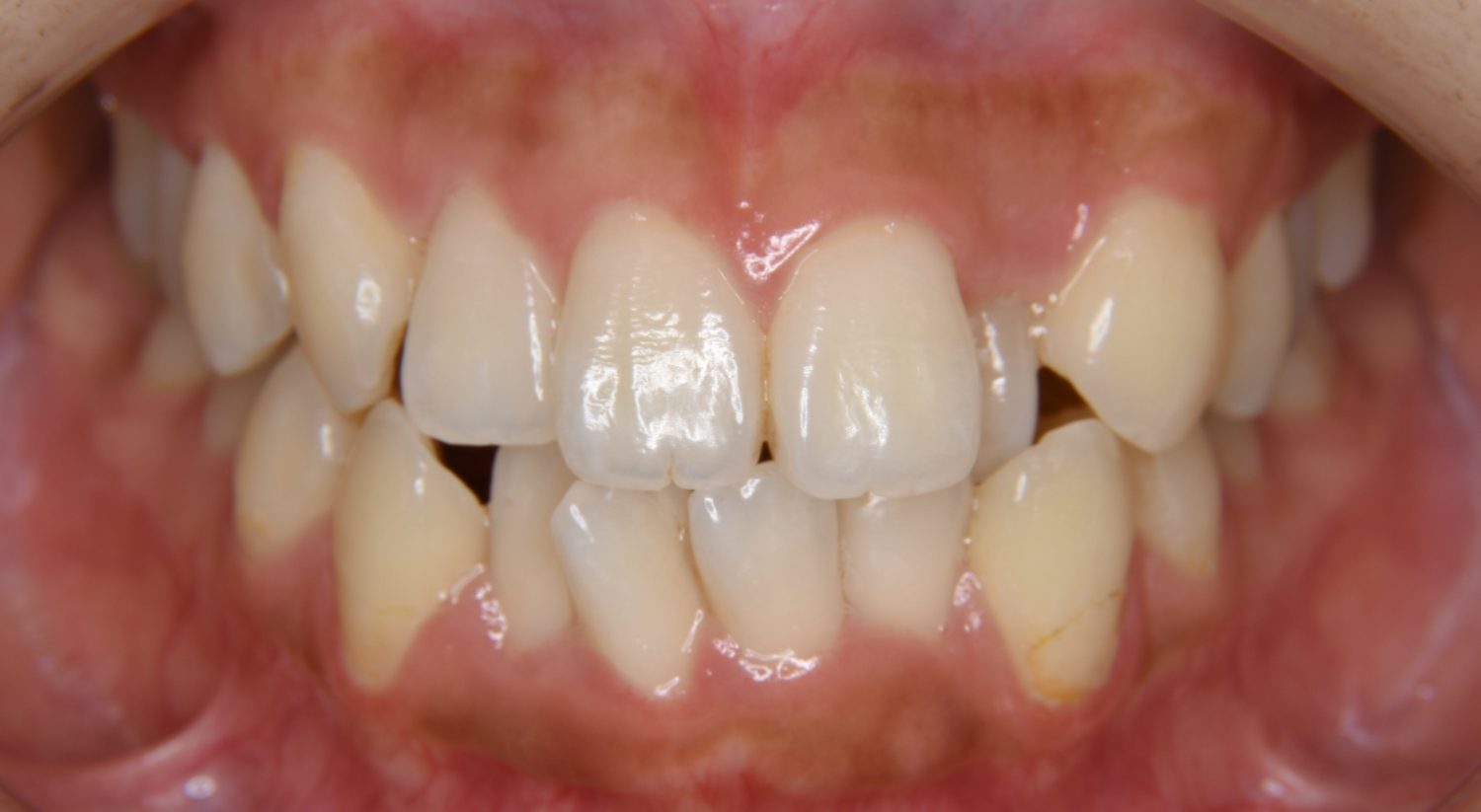
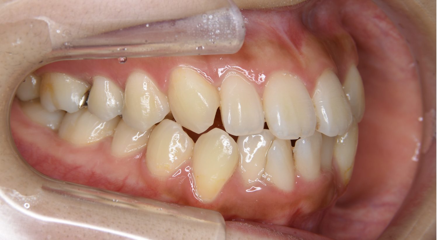
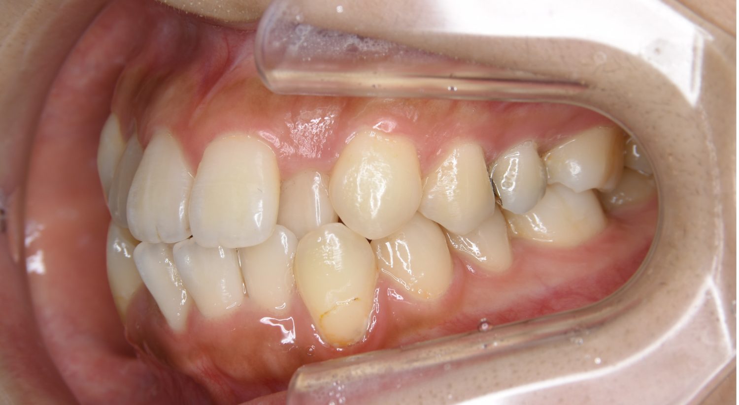
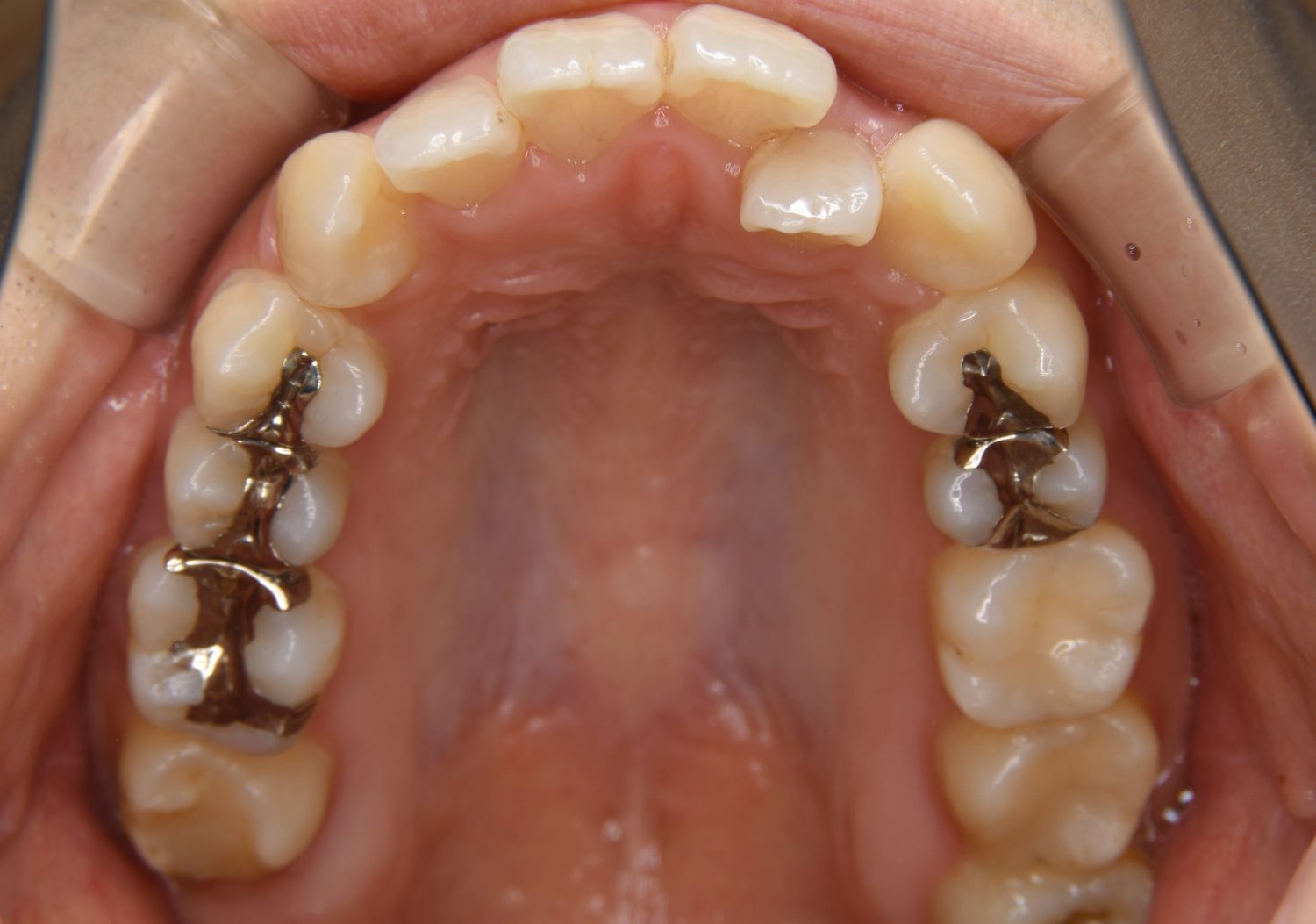
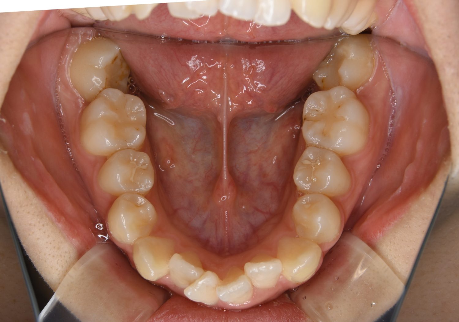
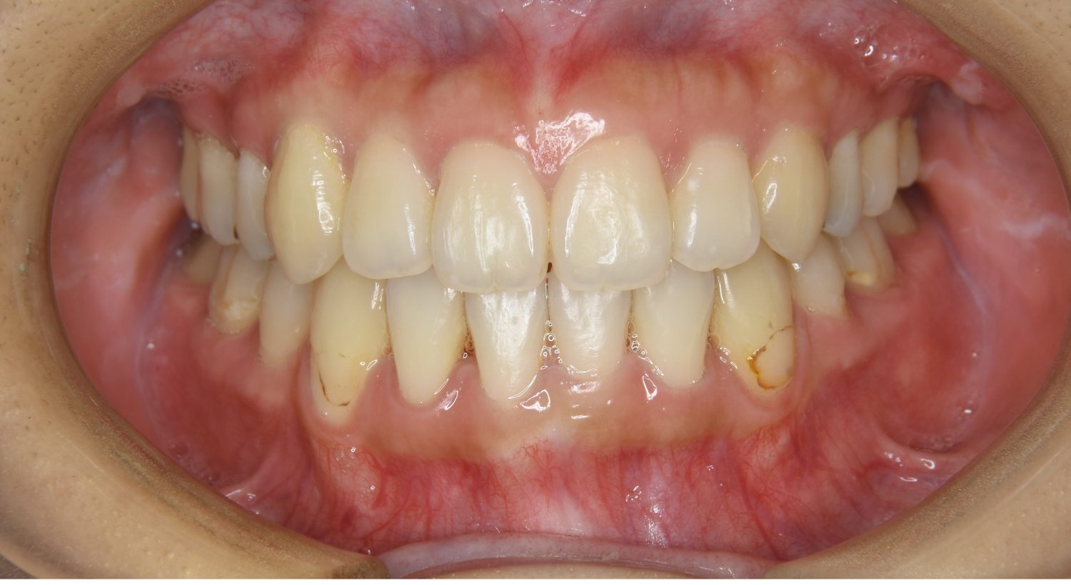
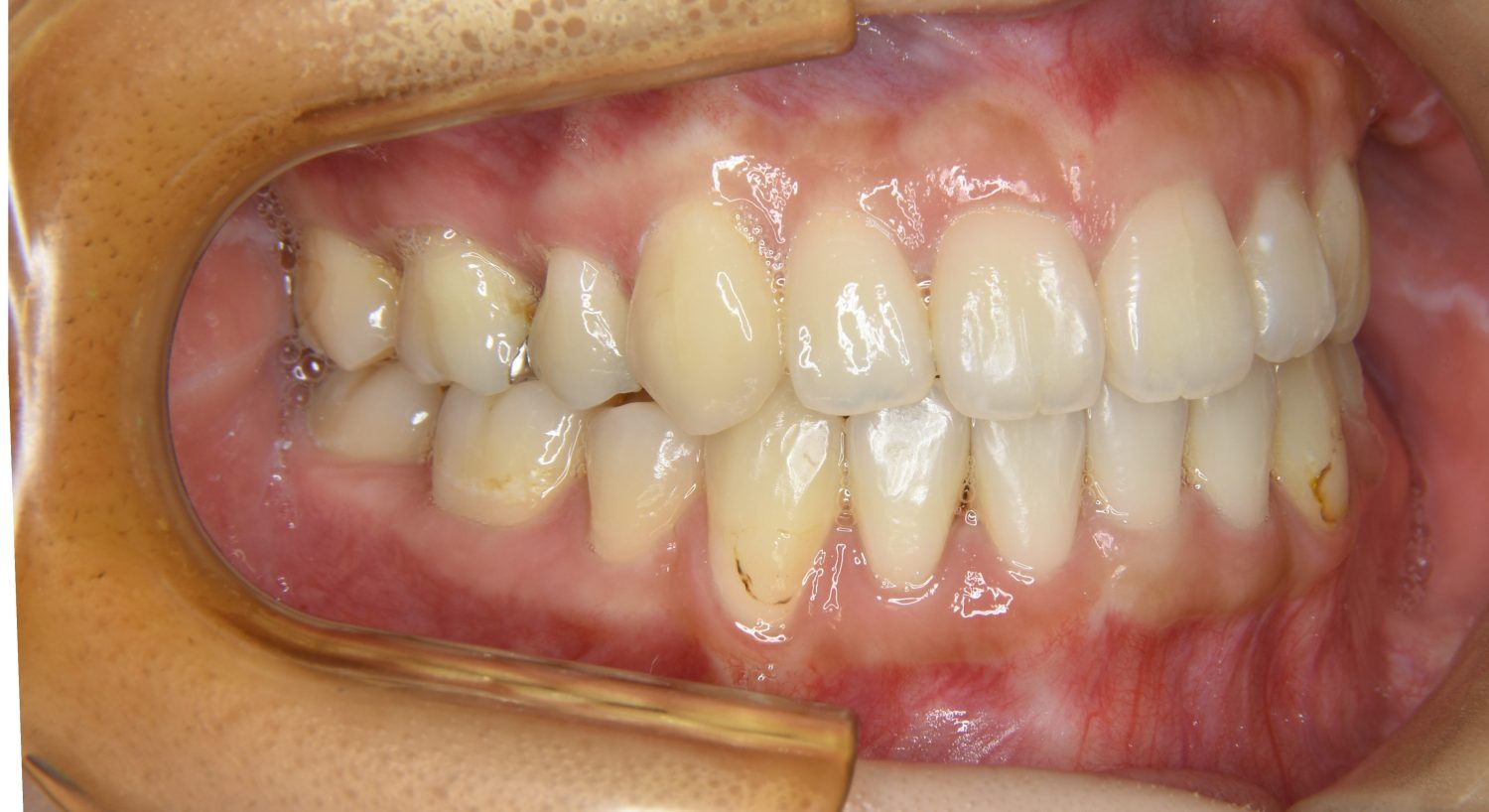
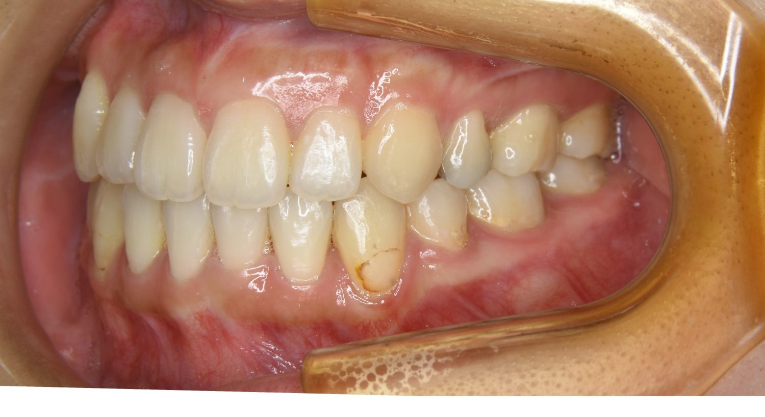
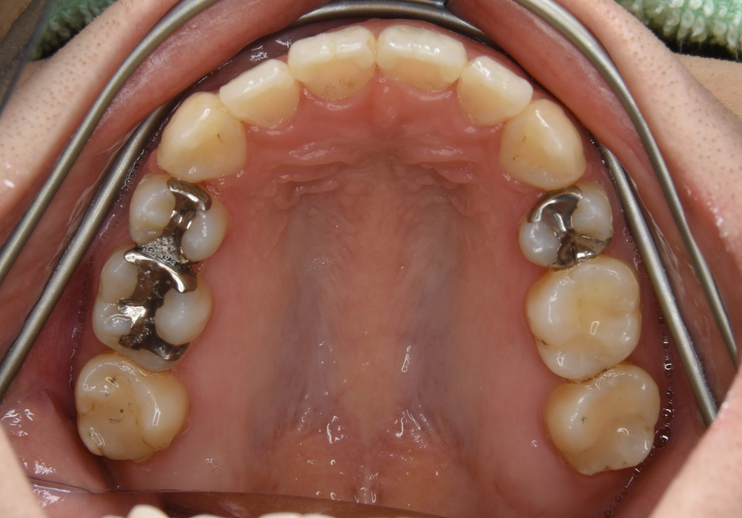
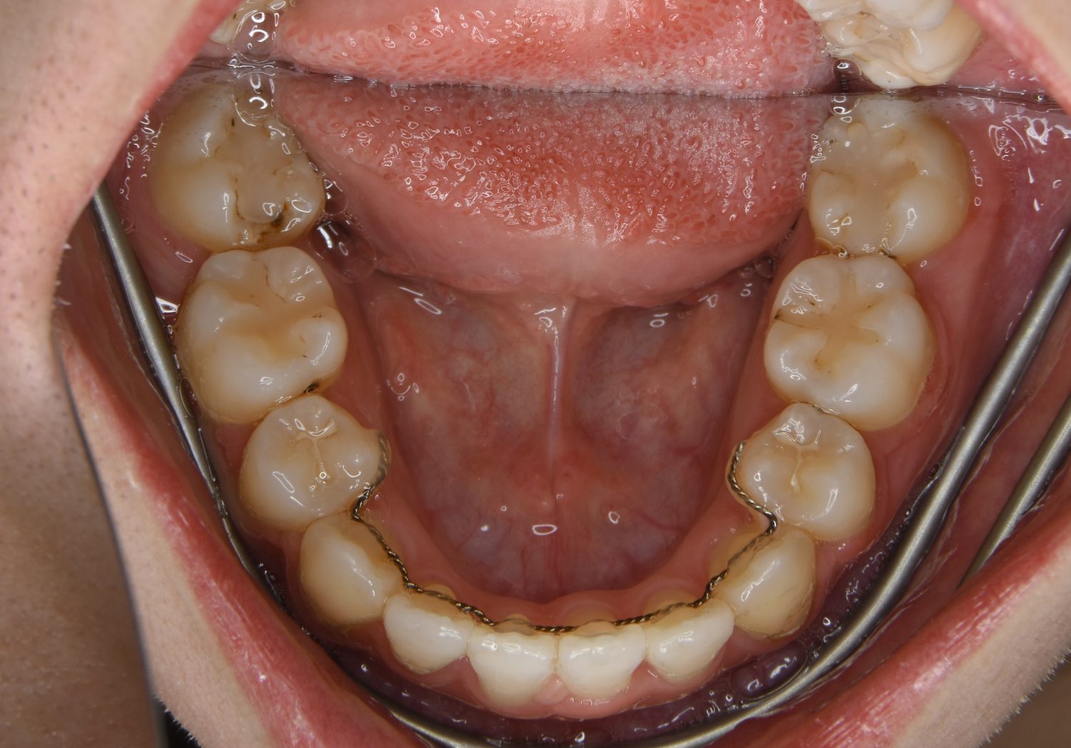
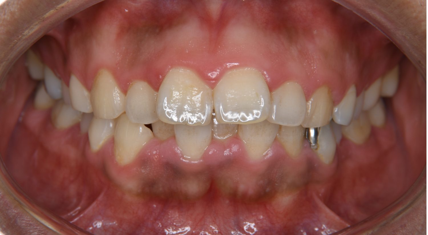
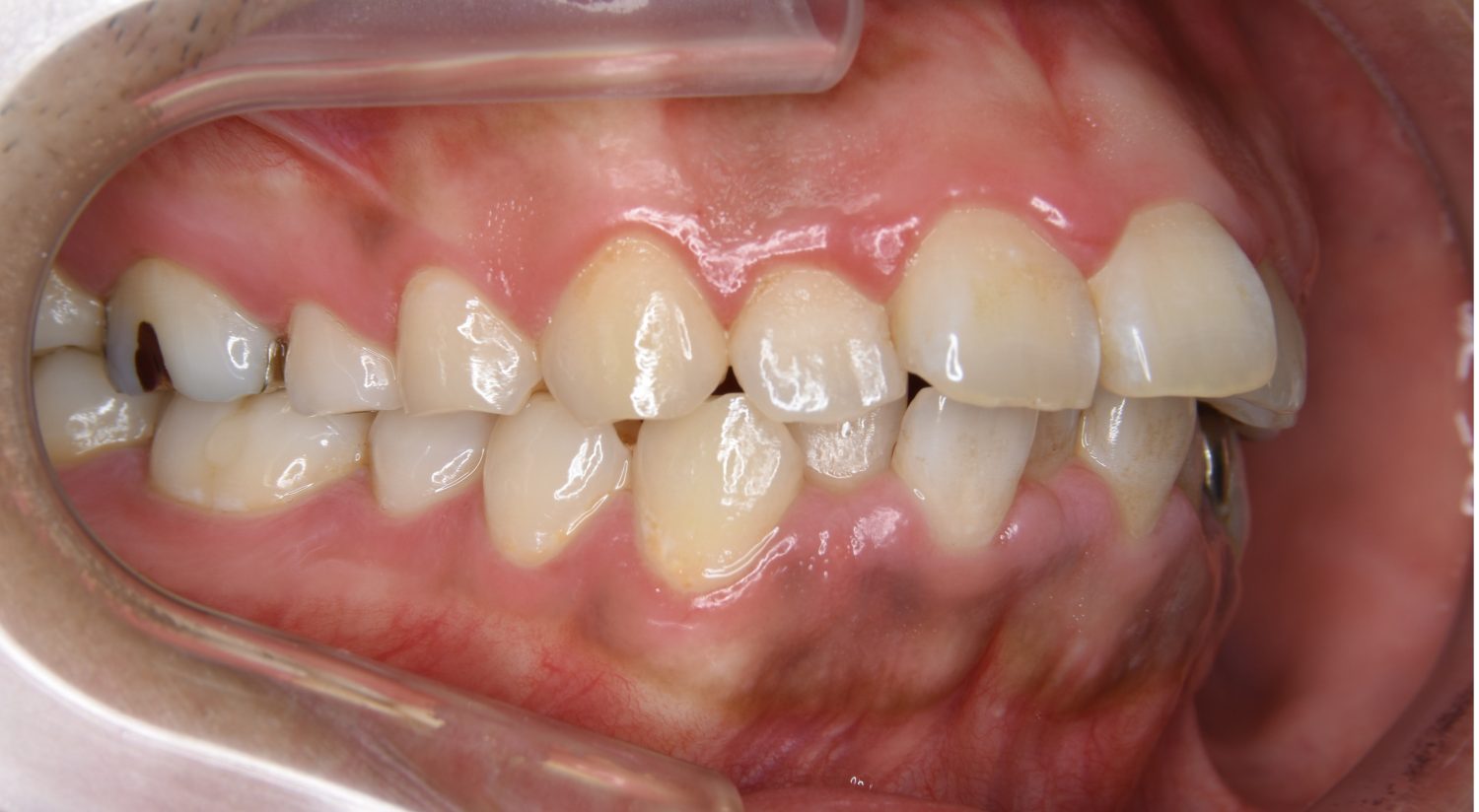
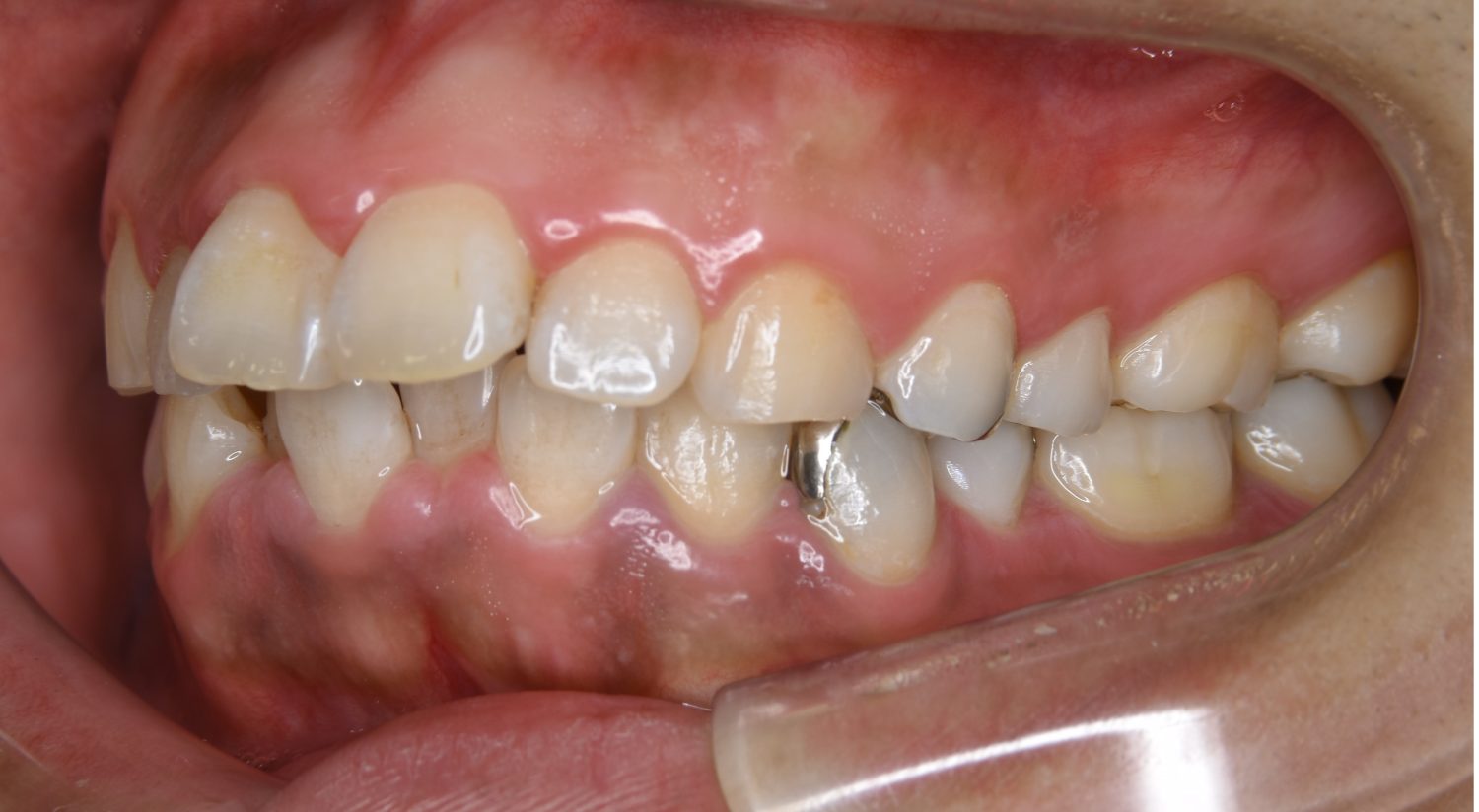
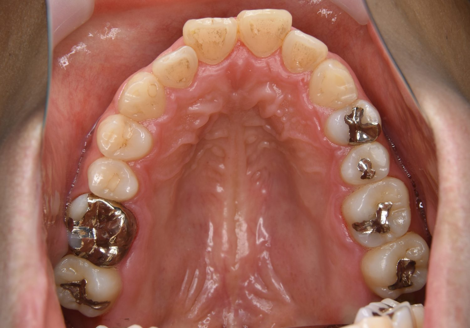
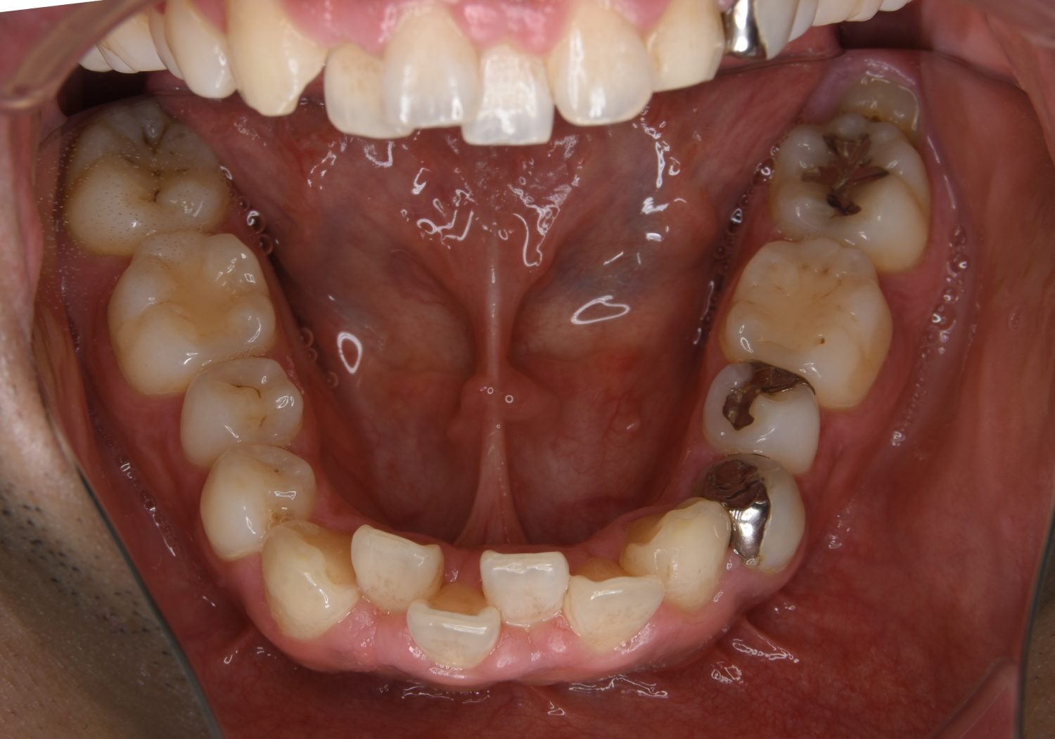
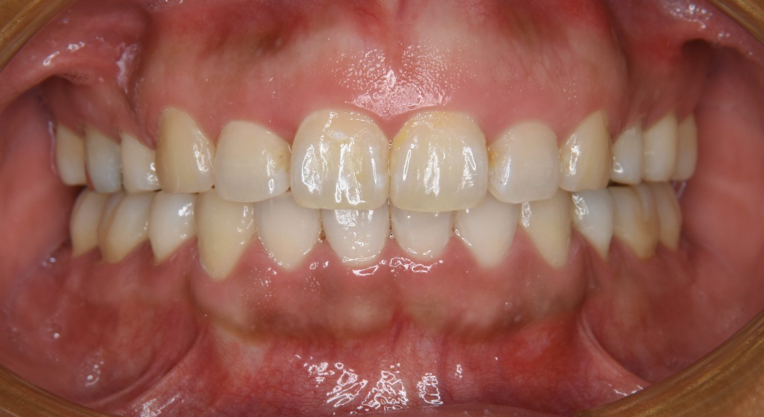
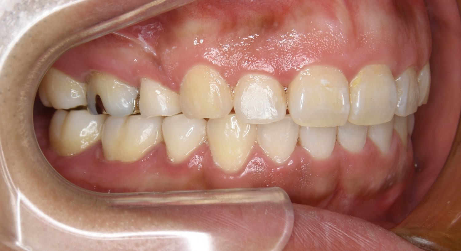
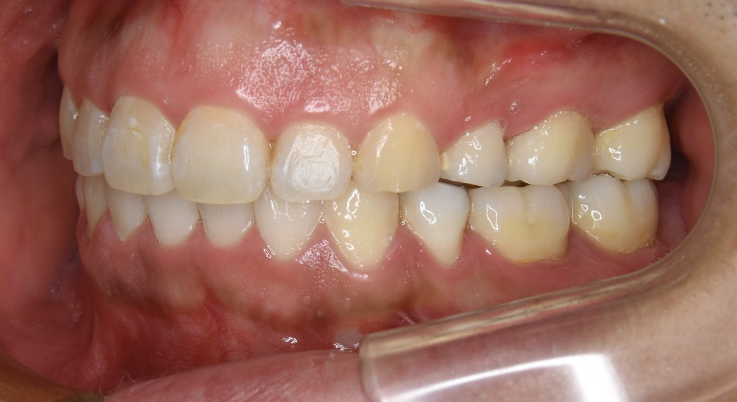
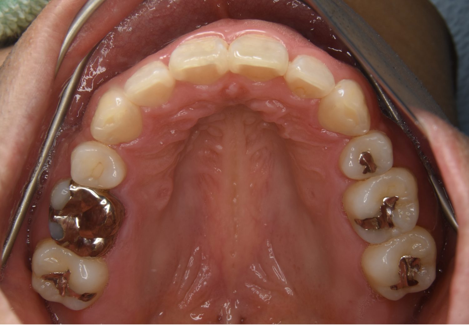
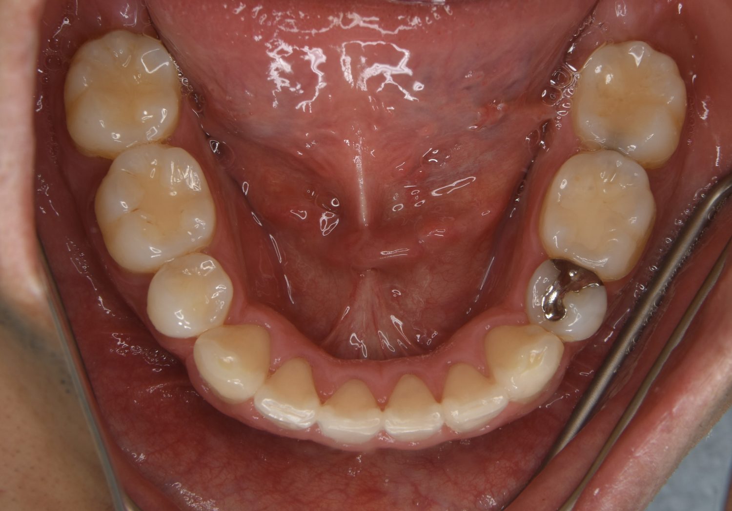
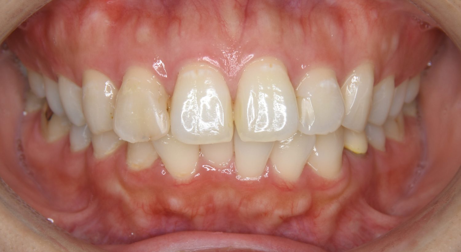
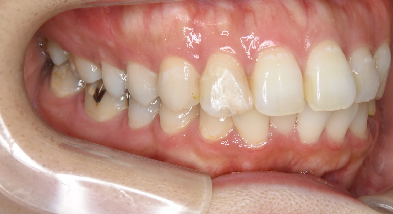
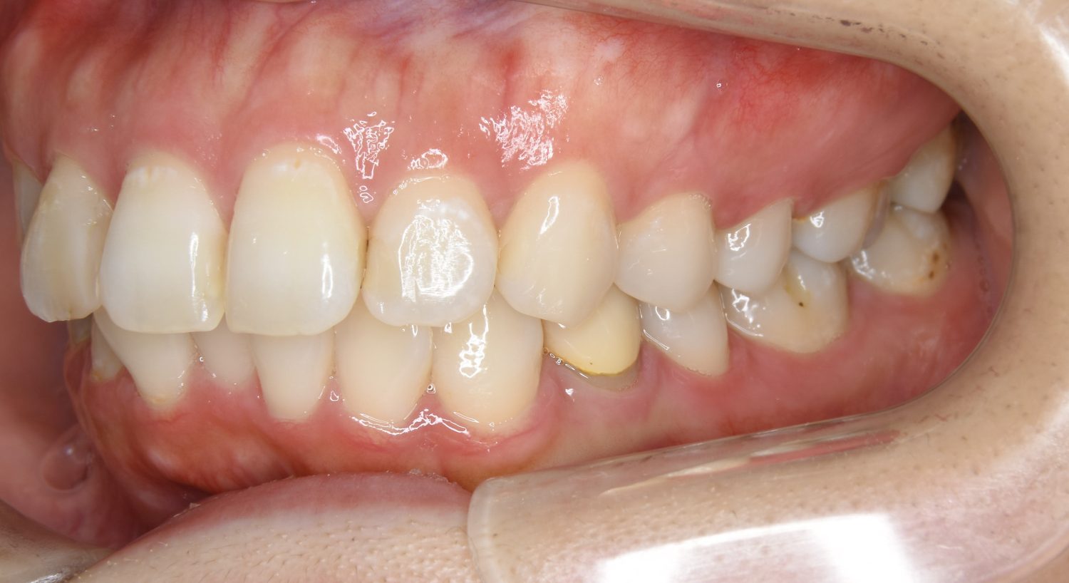
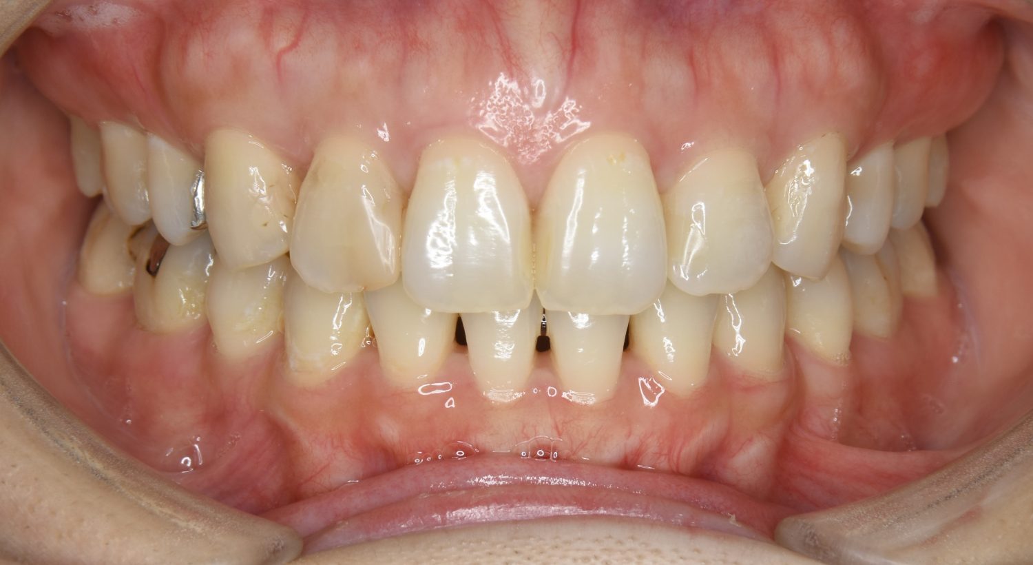
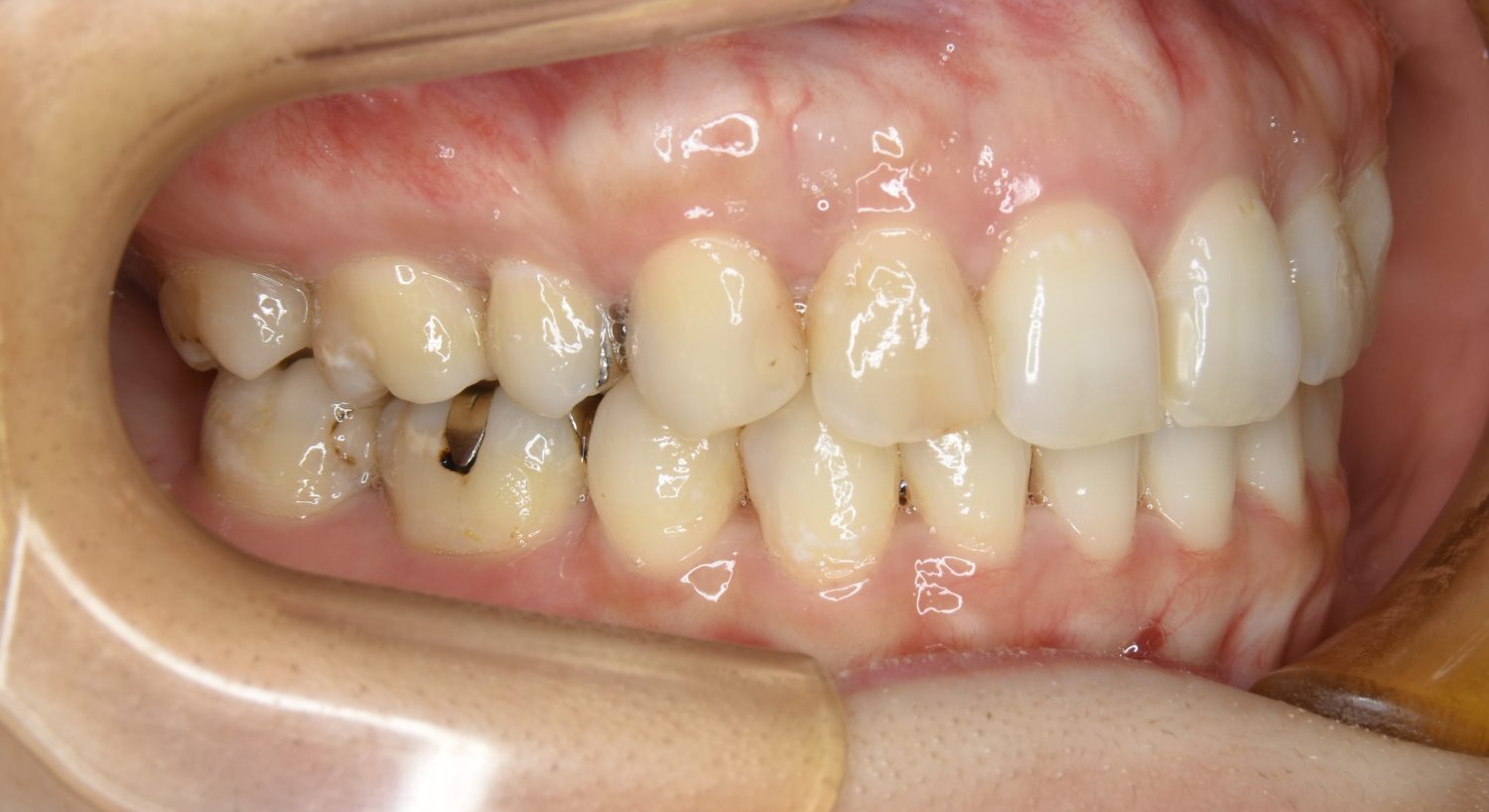
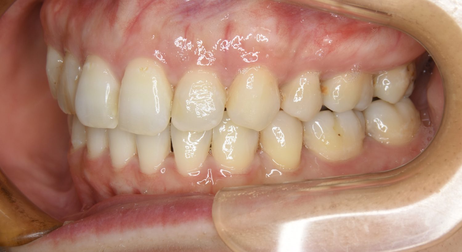
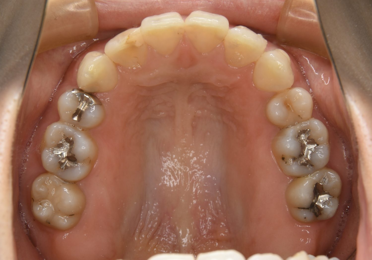
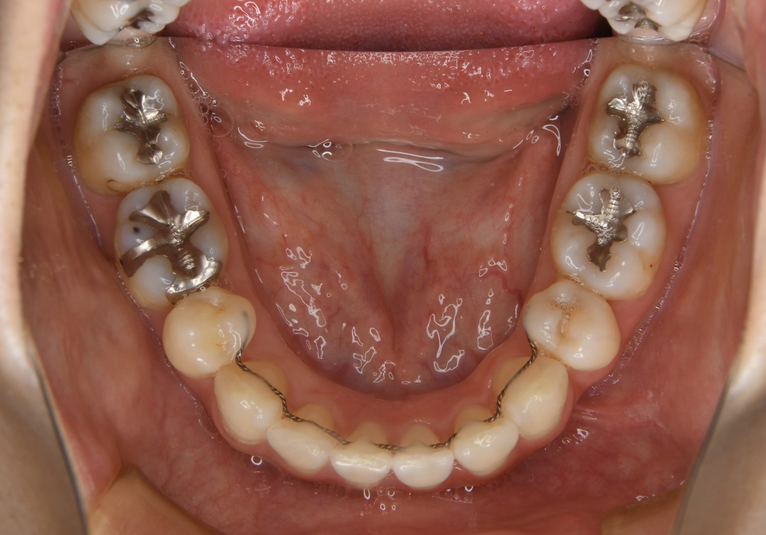
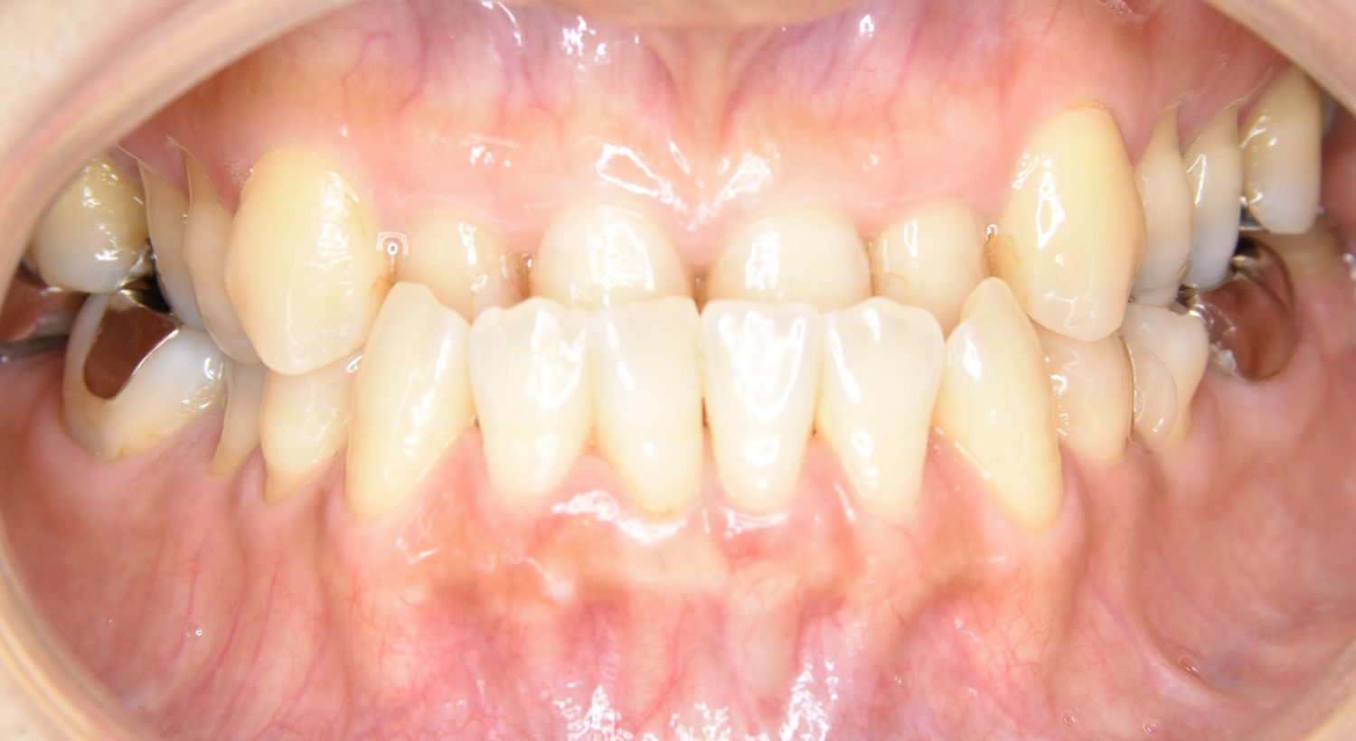
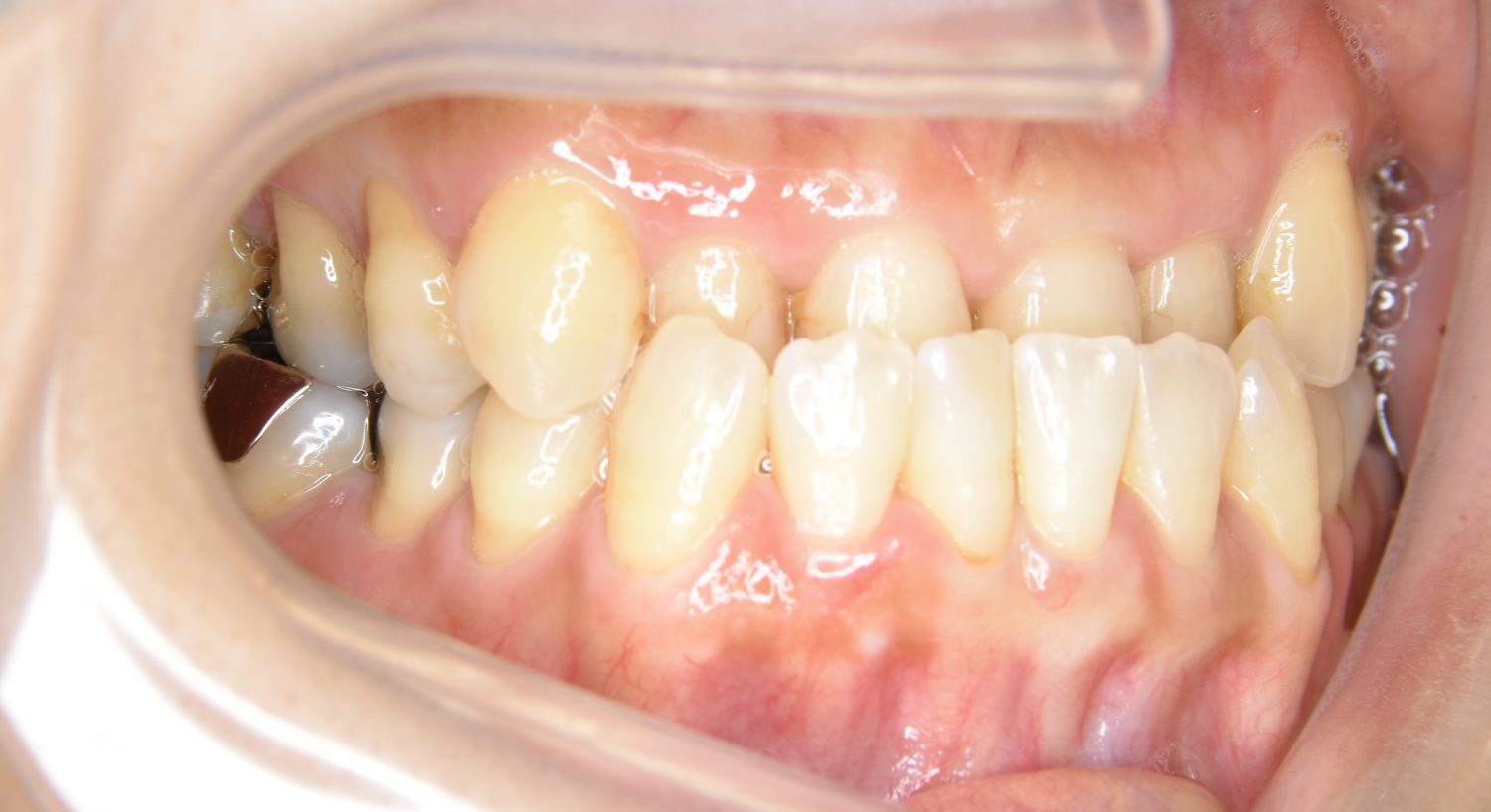
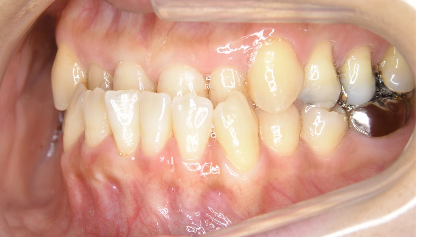
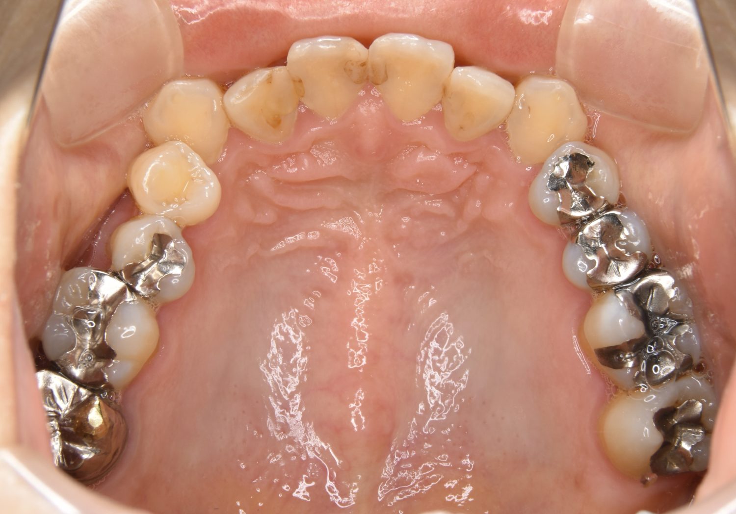
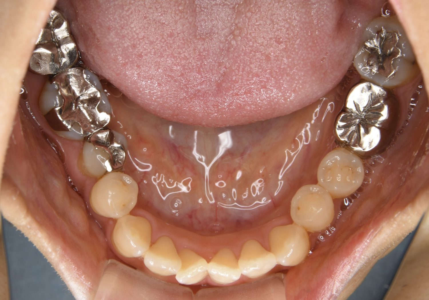
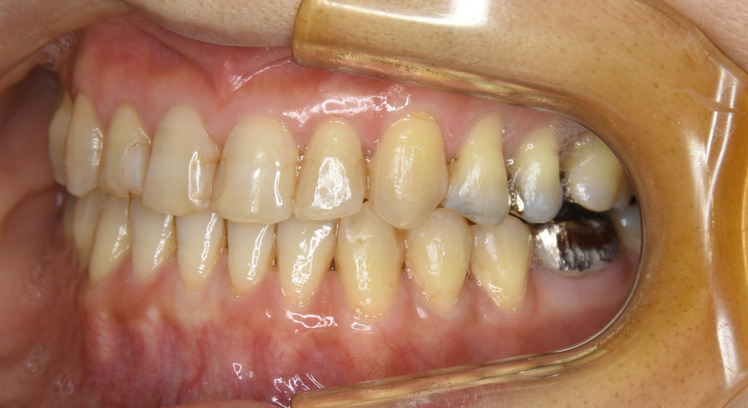
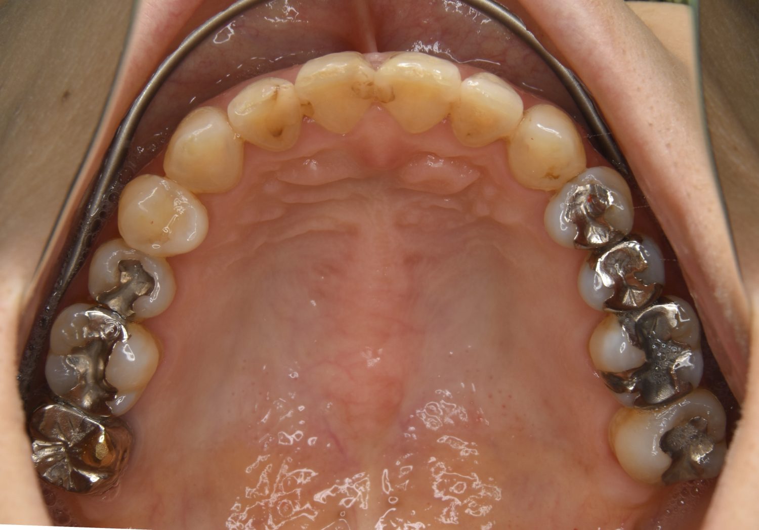
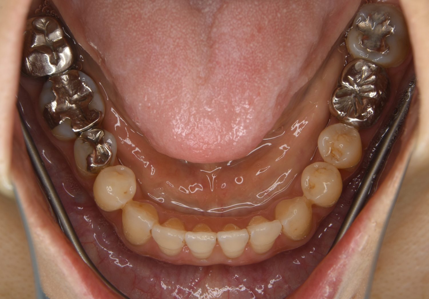
前歯部開咬の症例紹介①

Before





After





主訴
前歯が開いているのが気になる。
治療内容
上リンガルブラケット(舌側装置)、下ラビアルブラケット(唇側装置)に矯正用アンカースクリューを併用し非抜歯で治療を行いました。
治療費
1,200,000 円(税込)
治療期間
33ヶ月
通院回数
34回
想定されたリスク
※歯根吸収、歯肉退縮、歯髄壊死、顎関節症状
丸山和宏先生
ピーススマイル矯正歯科
上下の前歯が開いており前歯では全く噛めていない状態でした。臼歯の圧下を行うことで前歯でも咬合できるようになり機能面のみでなく審美面も著しく改善しました。
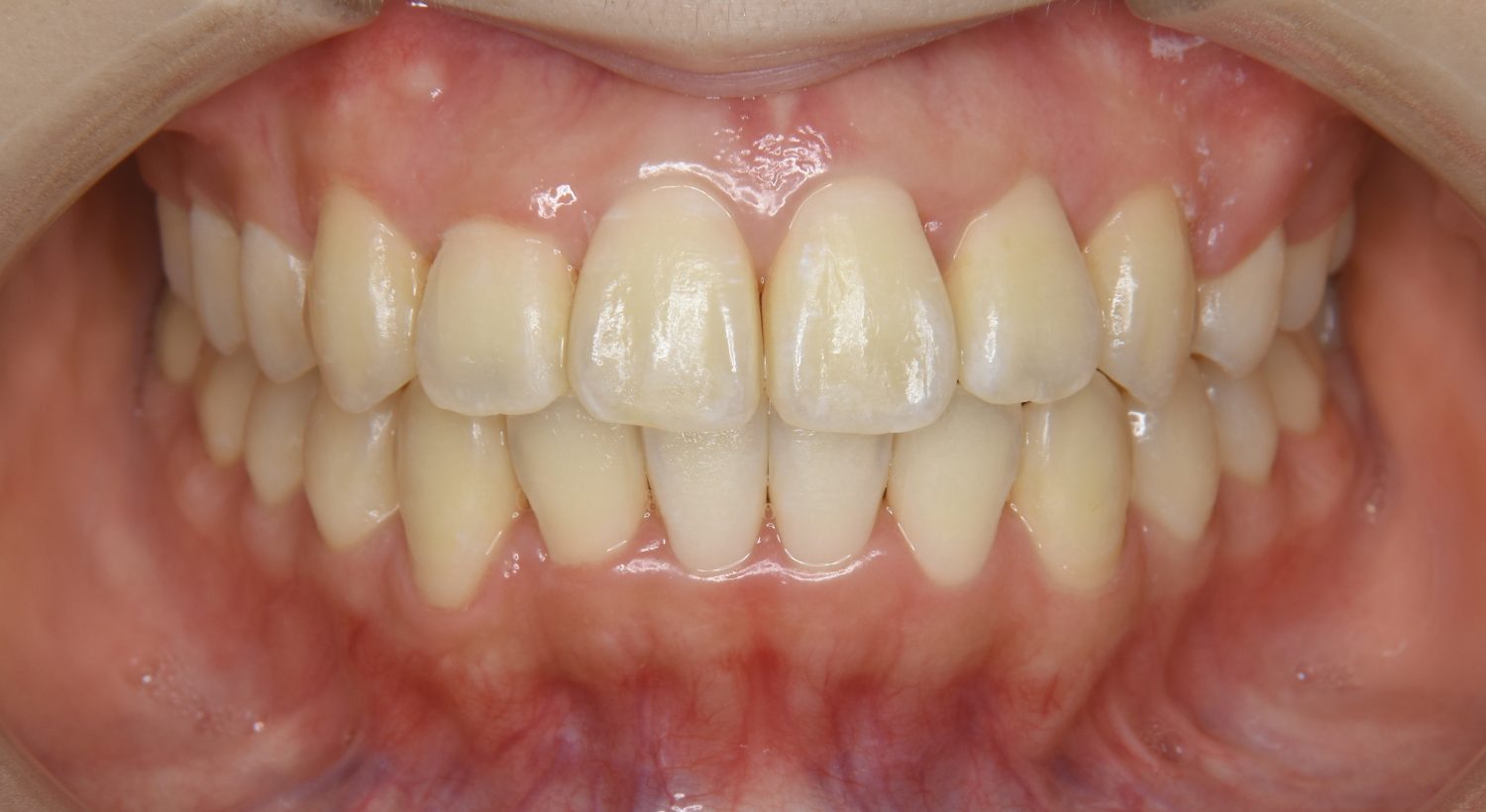
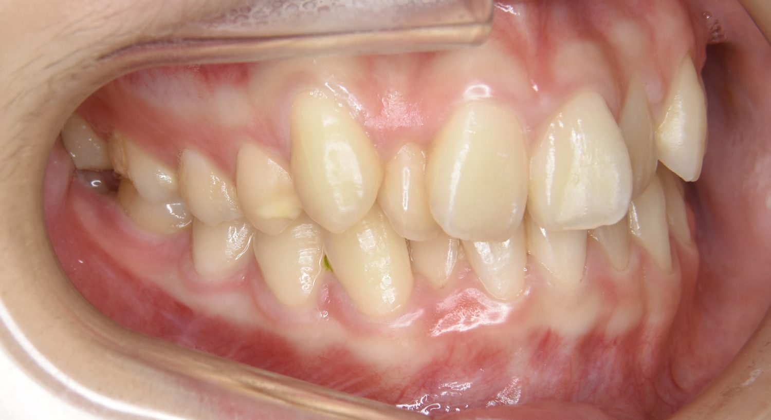
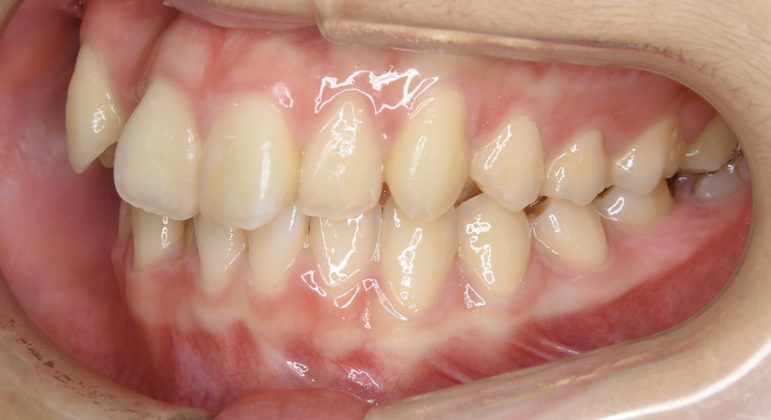
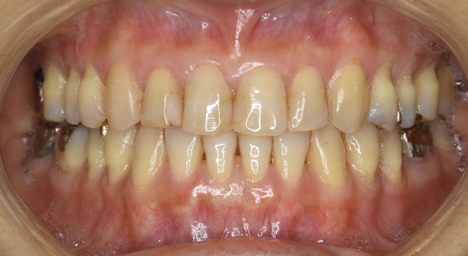
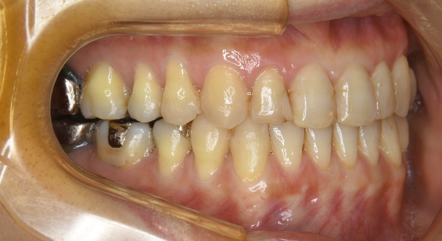
前歯部開咬の症例紹介②

Before





After





主訴
前歯で物が噛めない
治療内容
上下ラビアルブラケット(唇側装置)に矯正用アンカースクリューを併用し非抜歯で治療を行いました。
治療費
1,000,000 円(税込)
治療期間
26ヶ月
通院回数
27回
想定されたリスク
※歯根吸収、歯肉退縮、歯髄壊死、顎関節症状
丸山和宏先生
ピーススマイル矯正歯科
上下の前歯が開いており前歯では全く噛めていない状態でした。臼歯の圧下を行うことで機能面のみでなく審美面も改善しました。
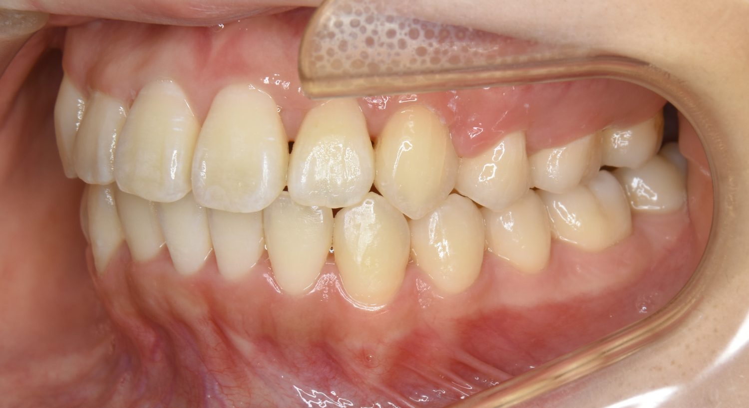
叢生の症例紹介①

Before





After





主訴
前歯のガタガタが気になる。
治療内容
上顎左側第一小臼歯を抜歯し、アライナー(インビザライン)にて治療を行いました。
治療費
1,150,000 円(税込)
治療期間
23ヶ月
通院回数
13回
想定されたリスク
※歯根吸収、歯肉退縮、歯髄壊死、顎関節症状
※アライナー(インビザライン)は日本の薬機法未承認の矯正装置であり、医薬品副作用被害救済制度の対象外となる場合があります。
丸山和宏先生
ピーススマイル矯正歯科
左上の側切歯が完全に内側に入り込んでいる状態でした。左上の第一小臼歯のみ抜歯を行い治療を行うことで機能面および審美面を改善しました。
叢生の症例紹介②

Before





After





主訴
歯の凸凹を治したい。
治療内容
アライナー(インビザライン)にて非抜歯で治療を行いました。
治療費
1,150,000 円(税込)
治療期間
26ヶ月
通院回数
14回
想定されたリスク
※歯根吸収、歯肉退縮、歯髄壊死、顎関節症状
※アライナー(インビザライン)は日本の薬機法未承認の矯正装置であり、医薬品副作用被害救済制度の対象外となる場合があります。
丸山和宏先生
ピーススマイル矯正歯科
上下前歯部に叢生(凸凹)が認められる状態でした。歯列の遠心移動を行うことで機能面および審美面が改善されました。
上顎前突の症例紹介①

Before





After





主訴
上の歯が出ている。歯並び全体が気になる。
治療内容
上顎両側第一小臼歯を抜歯し、上下ラビアルブラケット(唇側装置)に矯正用アンカースクリューを併用し治療を行いました。
治療費
1,000,000 円(税込)
治療期間
26ヶ月
通院回数
25回
想定されたリスク
※なし
丸山和宏先生
ピーススマイル矯正歯科
上顎前歯の前突により口元の突出が認められました。上の左右の第一小臼歯を抜歯し上顎前歯を後退させることで口元の突出感は改善し、咬合も良好な状態となりました。
上顎前突の症例紹介②

Before





After





主訴
出っ歯を治したい。
治療内容
上顎両側第一小臼歯を抜歯し、上下ラビアルブラケット(唇側装置)にて治療を行いました。
治療費
1,000,000 円(税込)
治療期間
25ヶ月
通院回数
25回
想定されたリスク
※なし
丸山和宏先生
ピーススマイル矯正歯科
上顎前歯の前突により口元の突出が認められました。上の左右の第一小臼歯を抜歯し上顎前歯を後退させることで口元の突出感は改善し、咬合も良好な状態となりました。
上下顎前突の症例紹介①

Before





After





主訴
口元が出ているのを治したい。
治療内容
上下顎両側第一小臼歯を抜歯し、上下ラビアルブラケット(唇側装置)にて治療を行いました。
治療費
1,000,000 円(税込)
治療期間
31ヶ月
通院回数
26回
想定されたリスク
※なし
丸山和宏先生
ピーススマイル矯正歯科
上下の前歯が前方に出ていることで口元の突出が認められ唇が閉じづらい状態でした。上下左右の第一小臼歯を抜歯し前歯を後退させることで口元の突出感は著しく改善し、咬合も良好な状態となりました。
上下顎前突の症例紹介②

Before





After





主訴
前歯のガタガタを治したい。口元も下げたい。
治療内容
上下顎両側第一小臼歯を抜歯し、上下リンガルブラケット(舌側装置)に矯正用アンカースクリューを併用し治療を行いました。
治療費
1,350,000 円(税込)
治療期間
30ヶ月
通院回数
30回
想定されたリスク
※なし
丸山和宏先生
ピーススマイル矯正歯科
上下前歯の前突が原因による口元の突出で唇が閉じづらい状態でした。上下左右の第一小臼歯を抜歯し前歯を後退させることで口元の突出感は著しく改善し、咬合も良好な状態となりました。
上下顎前突の症例紹介③

Before





After





主訴
口元を下げたい。
治療内容
上顎両側第一小臼歯、下顎右側第一小臼歯左側第二小臼歯を抜歯し、アライナー(インビザライン)にて治療を行いました。
治療費
1,050,000 円(税込)
治療期間
34ヶ月
通院回数
20回
想定されたリスク
歯根吸収、歯肉退縮、歯髄壊死、顎関節症状
※アライナー(インビザライン)は日本の薬機法未承認の矯正装置であり、医薬品副作用被害救済制度の対象外となる場合があります。
丸山和宏先生
ピーススマイル矯正歯科
上下前歯の前突が原因による口元の突出で唇が閉じづらい状態でした。上は左右の第一小臼歯、下は右の第一小臼歯と被せ物が入っていた左の第二小臼歯を抜歯し前歯を後退させることで口元の突出感は著しく改善し、咬合も良好な状態となりました。
下顎前突の症例紹介

Before





After





主訴
矯正治療だけで受け口を治したい。
治療内容
アライナー(インビザライン)にて非抜歯で治療を行いました。
治療費
1,000,000 円(税込)
治療期間
39ヶ月
通院回数
34回
想定されたリスク
※歯根吸収、歯肉退縮、歯髄壊死、顎関節症状
※アライナー(インビザライン)は日本の薬機法未承認の矯正装置であり、医薬品副作用被害救済制度の対象外となる場合があります。
丸山和宏先生
ピーススマイル矯正歯科
前歯の噛み合わせが反対咬合(受け口)の状態でした。手術は避けたいとの要望があったため矯正治療のみで反対咬合の改善を行いました。結果機能面のみでなく審美面でも著しい改善が認められました。
ピーススマイル矯正歯科
ピーススマイル矯正歯科