よごう歯科クリニック
CONTENTS
INTRODUCTION女医の酒向絵美が担当する矯正治療 CHECK LISTこんなお悩みありませんか? REASONSよごう歯科クリニックが選ばれる理由 DOCTOR担当者の紹介 CASE1症例のご紹介 CASE2症例のご紹介 FEATURES1クリニックの特徴1 FEATURES2クリニックの特徴2 FEATURES3クリニックの特徴3 CHILDRENお子さまの歯並び相談も可能 FEE良心的な料金設定 DETAILS各治療の詳細 INFORMATIONアクセス情報
日本矯正歯科学会認定医
女医の酒向 絵美が担当!
矯正歯科治療は、ライフスタイルに理解のあるドクターに依頼するのがおすすめです!
こんなお悩みありませんか?
矯正歯科治療は、ライフスタイルに理解のあるドクターに依頼するのがおすすめです!
よごう歯科クリニックの矯正治療がおすすめ!
よごう歯科クリニックが選ばれる理由
担当医のご紹介
酒向 絵美
point
症例のご紹介
27歳女性の症例
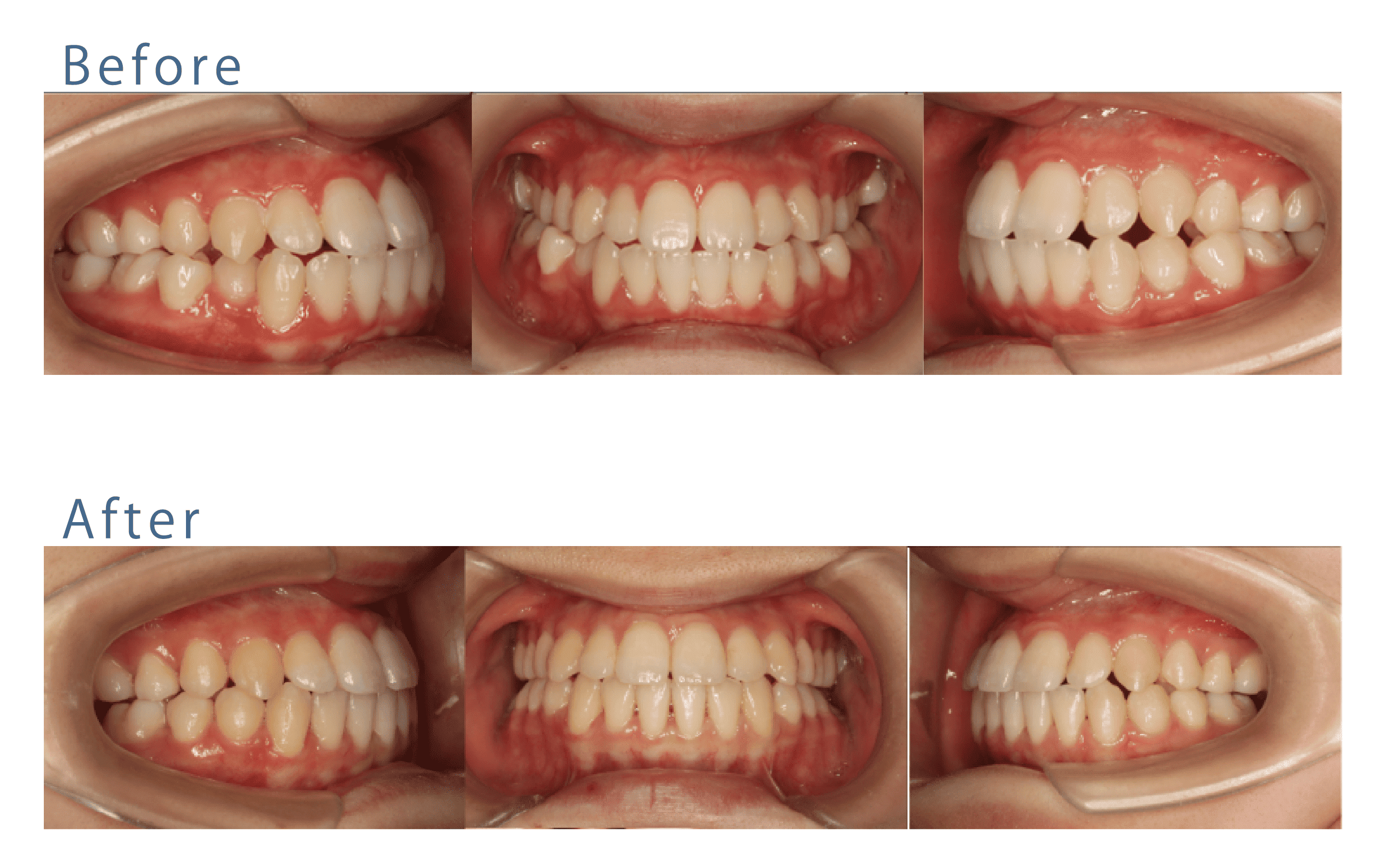
症例のご紹介
28歳女性の症例
クリニックの特徴1
クリニックの特徴2
クリニックの特徴3
お子さんの歯並び相談も可能!
お子さんの歯並び相談も可能!
各治療の詳細
各治療の詳細
各治療の詳細
アクセス