

当院は開業当初よりインプラント治療を33万(税込)で行っております。
GBRやサイナスフロアエレベーションをはじめとした骨造成も基本的に行っております。
国内外から厳選した機器・材料を取り揃え、
価格だけではなく経験と設備の両面で信頼していただける医療を提供します。
なお、治療内容の詳細につきましては、検査を行った上で患者さまの状態にご相談させていただきます。
-
・高い咀嚼能力と自然な使用感
骨と結合(オッセオインテグレーション)する構造により、自分の歯のように安定して噛む事ができます。
・見た目が自然できれい
天然歯と同じような見た目を再現でき、違和感が少ない。 -
・外科手術が必要
顎の骨に人工歯根(インプラント体)を埋め込む手術が必要。 -
3~6ヶ月/1~4回(※患者さまの状態により治療期間、回数が変わることがあります。)

レントゲンの撮影
(パノラマ写真、CT写真)

口腔内写真の撮影

口腔内印象採得

IOS口腔内スキャナーとシュミレーションソフトを紐付け、診断

患者さまにご説明

手術当日

GBT(Guided Biofilm Therapy)によるメンテナンス
当院ではインプラントに限らず、ご自身の歯で長くしっかり噛んでいただけることを大切に治療を行っています。親子二代で診療にあたり、それぞれの経験と知識を活かし、患者さまに寄り添ったフォローを続けています。
また、手術後も安心して通院いただけるよう、マイクロスコープや歯にやさしいクリーニング機器などを整え、ご自身の歯やインプラントを快適に保てるよう、丁寧なサポートを心がけています。

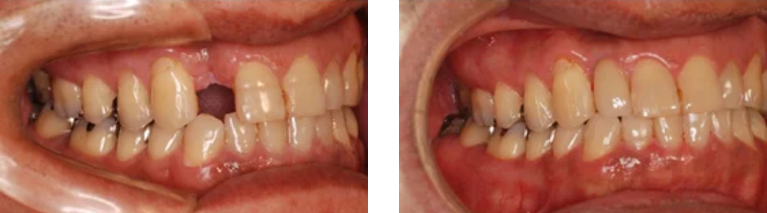
抜歯同日にインプラント体、仮歯を入れる手術を行い、6ヶ月後にセラミックの上部を装着。
炎症反応により腫れが生じることがありますが、次第に腫れが引いてくることがほとんどです。
7カ月(※手術当日に仮歯を入れ、7カ月後に最終上部構造を装着)
3回
33万(税込)
患者さまが主体的に
治療に参加できるよう、
対話と理解を大切にしています。
・日本歯内療法学会
・日本口腔インプラント学会
・国際口腔インプラント学会
・日本矯正歯科学会
生涯にわたって
「噛める力」の大切さを伝えていきます
・日本歯内療法学会
・「歯みがきマイスター」8020推進財団
・日本歯周病学会
・日本小児歯科学会
・日本口腔インプラント学会
・日本矯正歯科学会
| 医院名 | しらとり歯科医院 |
|---|---|
| 診療時間 | 【月~土】9:30-12:00 / 14:30-19:00 【木曜日】 不定期休診 【最終受付時間】 午前は11:45まで/午後は18:30まで |
| 休診日 | 日曜・祝祭日・木曜不定期休 |
| 住所 | 〒983-0006 宮城県仙台市宮城野区白鳥1丁目2-25 |
| 駐車場 | 10台分完備(医院裏にも駐車可) |
