横浜日吉おおとう歯科 症例紹介
公開日:2025/03/31

プロフィールをもっと見る
2006年に日本大学歯学部を卒業し、同大学歯学研究科大学院にてダイレクトボンディングを中心に学ばれてきた大藤先生。複数の医療法人で診療経験を積み、2020年横浜日吉おおとう歯科を開設されました。悪くなった部分だけでなく、その周辺の歯との調和を考慮した処置を重視されており、歯の審美性を向上するだけでなく、咬合という機能的な面も忘れず日々診療されています。
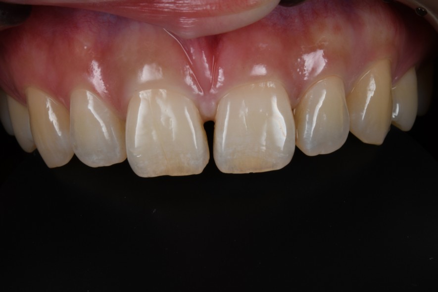
ダイレクトボンディングの症例紹介
この症例の詳細
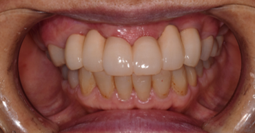
Before
After
主訴
歯の隙間が気になる治療内容
ダイレクトボンディングによって審美性を高めていきました。治療費
55,000円(税込)治療期間
1ヶ月通院回数
2回想定されたリスク
※材料の劣化や脱離が想定された。
大藤 竜樹先生
横浜日吉おおとう歯科
ダイレクトボンディングは保険適用外の自費診療ですが、天然歯のような美しい仕上がりを実現することが可能です。
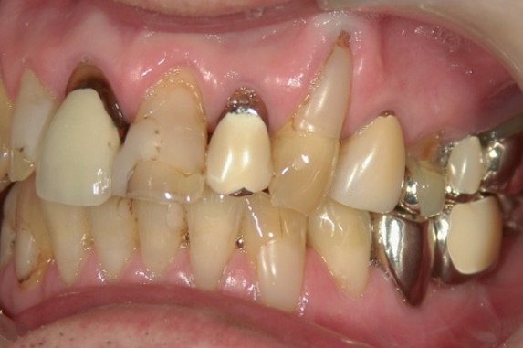
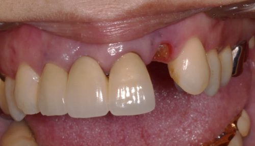
セラミッククラウン、ダイレクトボンディング、歯肉移植(結合組織移植)の症例紹介
この症例の詳細
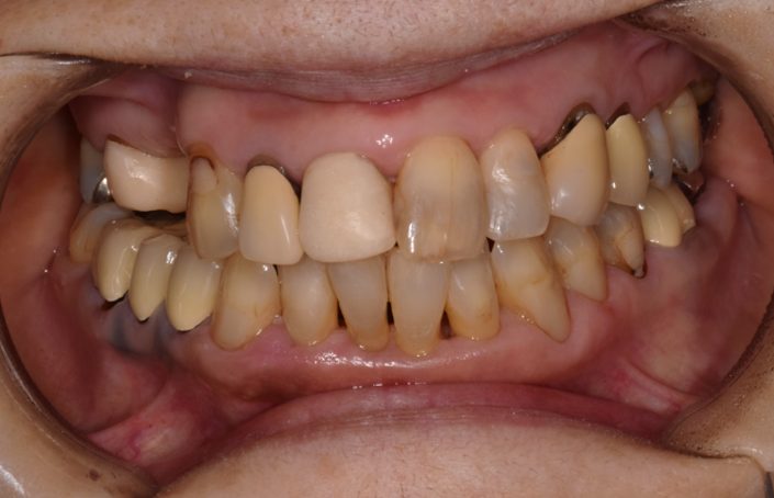
Before
After
主訴
前歯の見た目をきれいにしたい、歯の長さが気になる治療内容
セラミッククラウンやダイレクトボンディング、歯肉移植(結合組織移植)などを実施し、見た目を整えていきました。治療費
528,000円(税込)治療期間
6ヶ月通院回数
6回想定されたリスク
※材料の劣化、クラウンの脱離、破折、歯肉退縮の再発が想定された。
大藤 竜樹先生
横浜日吉おおとう歯科
歯肉の退縮をはじめ、様々な症状がみられましたが、複数の治療を用いて対処しました。
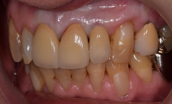
セラミッククラウン、ダイレクトボンディングの症例紹介
この症例の詳細
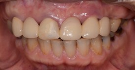
Before
After
主訴
前歯の見た目、歯が痛い、虫歯治療内容
セラミッククラウンとダイレクトボンディングを組み合わせて治療を行っていきました。治療費
1,193,500 円(税込)治療期間
4ヶ月通院回数
4回想定されたリスク
※う蝕の再発、材料の劣化、クラウンの脱離、破折が想定された。
大藤 竜樹先生
横浜日吉おおとう歯科
ダイレクトボンディングはコンポジットレジンという白いペーストを塗り、自然な歯の見た目を実現するむし歯の治療法です。
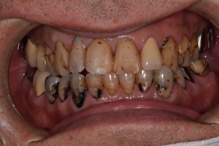
インプラント、GBR、歯肉移植の症例紹介
この症例の詳細
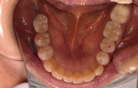
Before
After
主訴
前歯がグラグラする治療内容
GBRや歯肉移植を適用したうえでインプラント治療を行っていきました。治療費
605,000 円(税込)治療期間
6ヶ月通院回数
6回想定されたリスク
※インプラント周囲炎、固定スクリューの緩みが想定された。
大藤 竜樹先生
横浜日吉おおとう歯科
インプラントを支える組織が不安定な場合は、GBRや歯肉移植などの手法を用いて対処。
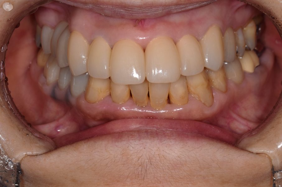
インプラント、セラミッククラウンの症例紹介①
この症例の詳細
Before
After
主訴
歯がないところにインプラント希望、被せものの境目が気になる治療内容
インプラント治療によって失った歯を補い、被せ物に関してはセラミッククラウンを使用しました。治療費
2,420,000 円(税込)治療期間
9ヶ月通院回数
9回想定されたリスク
※インプラント周囲炎、固定スクリューの緩み、う蝕の再発、クラウンの脱離、破折が想定された。
大藤 竜樹先生
横浜日吉おおとう歯科
インプラント治療とセラミック治療を組み合わせる際は、見た目だけでなくかみ合わせの調整も重要です。
インプラント、セラミッククラウンの症例紹介②
この症例の詳細
Before
After
主訴
前歯のブリッジが取れそう、かみ合わせが悪い治療内容
ブリッジの代わりにインプラント治療を適用。セラミッククラウンも駆使して審美性を向上しました。治療費
4,488,000 円(税込)治療期間
18か月通院回数
18回想定されたリスク
※インプラント周囲炎、固定スクリューの緩み、う蝕の再発、クラウンの脱離、破折が想定された。
大藤 竜樹先生
横浜日吉おおとう歯科
歯を失った際、ブリッジのほかにインプラントという選択肢があります。自然な見た目、噛み心地が実現できるメリットがあります。
横浜日吉おおとう歯科
小児歯科 歯科 歯科口腔外科 矯正歯科
神奈川県横浜市港北区箕輪町1-24-9 みのわメディカルビレッジ4F
🕑 午前: 月火木~日 9:30~13:00
午後: 月火木金 14:30~19:00 土日 14:00〜17:00
休診日:水・祝



