ロイヤル歯科クリニック代々木 症例紹介

担当歯科医師:
山田 隆介(ロイヤル歯科クリニック代々木)
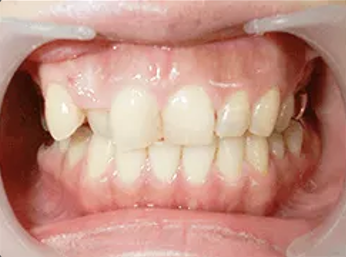
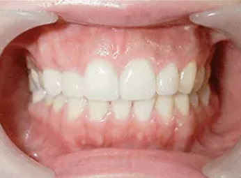
E-maxクラウンの症例紹介

Before

After

主訴
歯をきれいにしたい
治療内容
E-maxクラウンで歯並びの矯正と審美性の向上を行いました。
治療費
188,100円(税込)
治療期間
2年2か月
通院回数
26回
想定されたリスク
※下顎の成長を期待する治療方針のため、成長がなければ治療が長引く恐れがありました。
※上顎前歯部の移動量が大きいため歯根吸収の恐れがありました。
※極端に強い力が加わると割れるリスクがありました。
"山田 隆介先生
ロイヤル歯科クリニック代々木
セラミッククラウンによる治療は歯の見た目と歯並びを整え、魅力的な笑顔をつくることが可能です。
目次 -INDEX-
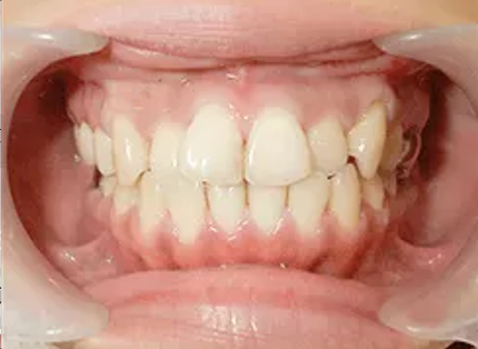
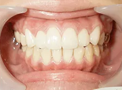
セラミック矯正の症例紹介

Before

After

主訴
歯並びをきれいにしたい
治療内容
セラミッククラウンによって歯並びの矯正を行っていきました。
治療費
250,800円(税込)
治療期間
2年2か月
通院回数
26回
想定されたリスク
※下顎の成長を期待する治療方針のため、成長がなければ治療が長引く恐れがありました。
※上顎前歯部の移動量が大きいため歯根吸収の恐れがありました。
※極端に強い力が加わると割れるリスクがありました。
"山田 隆介先生
ロイヤル歯科クリニック代々木
セラミッククラウンは、歯並びと歯の見た目の両方を改善することができるメリットがあります。
ロイヤル歯科クリニック代々木
🕑 月水金土 10:00~13:00/15:00~18:00
火 11:00~13:00/15:00~19:30
休診日:木・日・祝




