いまもと歯科医院 症例紹介

担当歯科医師:
今本 智之いまもと歯科医院
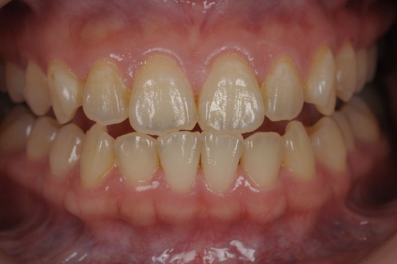
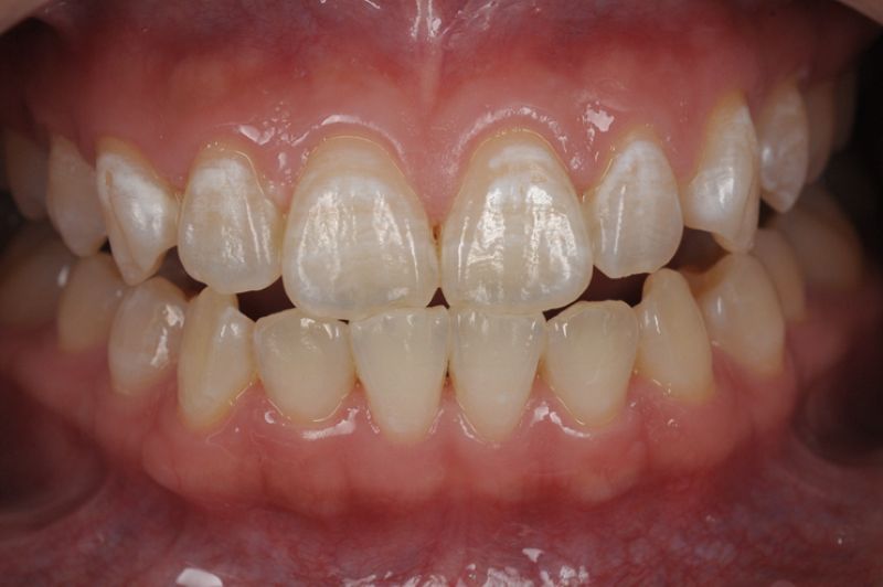
ホワイトニングの症例紹介

Before

After

主訴
歯を白くしたい
治療内容
Tionによるオフィスホワイトニングを実施しました。
治療費
18,700円(税込)
治療期間
2時間
通院回数
1回
想定されたリスク
※術後、歯が染みる等の症状がでる可能性がありました。
今本 智之先生
いまもと歯科医院
Tionによるホワイトニングは、高いホワイトニング効果と低刺激性が特徴となっている新しいホワイトニングです。
セラミック治療(メタルフリー)の症例紹介

Before

After

主訴
40代後半 女性
銀歯を白くしたい
治療内容
既存の銀歯を除去してセラミックインレーとCAD/CAM冠とコンポジットレジン充填を実施しました。
治療費
44,000円(税込)
治療期間
1ヶ月
通院回数
4回
想定されたリスク
※セラミックの破折、脱離が考えられました
今本 智之先生
いまもと歯科医院
セラミックとCAD/CAM冠、コンポジットレジンなどを組み合わせることでより魅力的な口元に近づけることが可能となっています。
インプラントの症例紹介

Before

After

主訴
奥歯がないため、しっかりと噛めるようになりたい
治療内容
インプラント埋入と既存の銀歯を外してセラミックに置き換えました。
治療費
インプラント体 275,000円(税込)
上部構造 132,000円(税込)
セラミッククラウン 143,000円(税込)
治療期間
1年
通院回数
9回
想定されたリスク
※加齢による歯茎の免疫力低下が顕著となってくるため、歯茎が下がりやすくなっていました。歯茎が下がることでむし歯になりやすくなる可能性もありました。
今本 智之先生
いまもと歯科医院
加齢による免疫力低下は防ぎようがありませんが、より一層予防に対する意識を高めてみることが需要といえるでしょう。
マウスピース型矯正の症例紹介

Before

After

主訴
20代 男性
倒れ込んだ歯を起こしたい・隙間を埋めたい
治療内容
マウスピース型矯正※による歯並びの改善を実施しました。
(※ 未承認医薬品等であるため医薬品副作用被害救済制度の対象とはならない可能性があります。)
治療費
770,000円(税込)
治療期間
2年
通院回数
20回
想定されたリスク
※20代男性ではありますが、今後加齢による歯肉退縮等のリスクは長期的に見込まれます。
今本 智之先生
いまもと歯科医院
マウスピース型矯正は自己管理能力が重要となるので、患者さんはご自身の状況に合った矯正を選択することが重要でしょう。
いまもと歯科医院
🕑 午前: 月火木金 9:00~12:30 土9:00~13:30
午後: 月火木金 14:00~19:00
休診日:水・日・祝




