
担当歯科医師:
吉川 幸輝(清澄白河駅前歯科クリニック)
プロフィールをもっと見る
重度の歯周病に歯周組織再生療法+歯の移植+矯正治療を実施した症例紹介(清澄白河駅前歯科クリニック)

重度の歯周病に対して歯周病治療とジルコニアブリッジを施術した症例紹介(清澄白河駅前歯科クリニック)


吉川 幸輝(清澄白河駅前歯科クリニック)
プロフィールをもっと見る
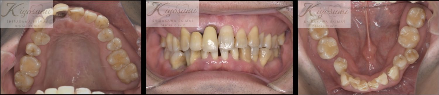
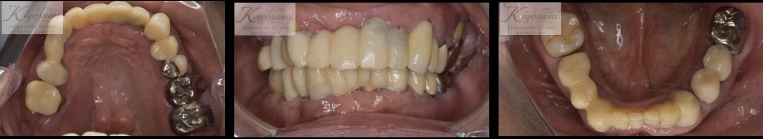
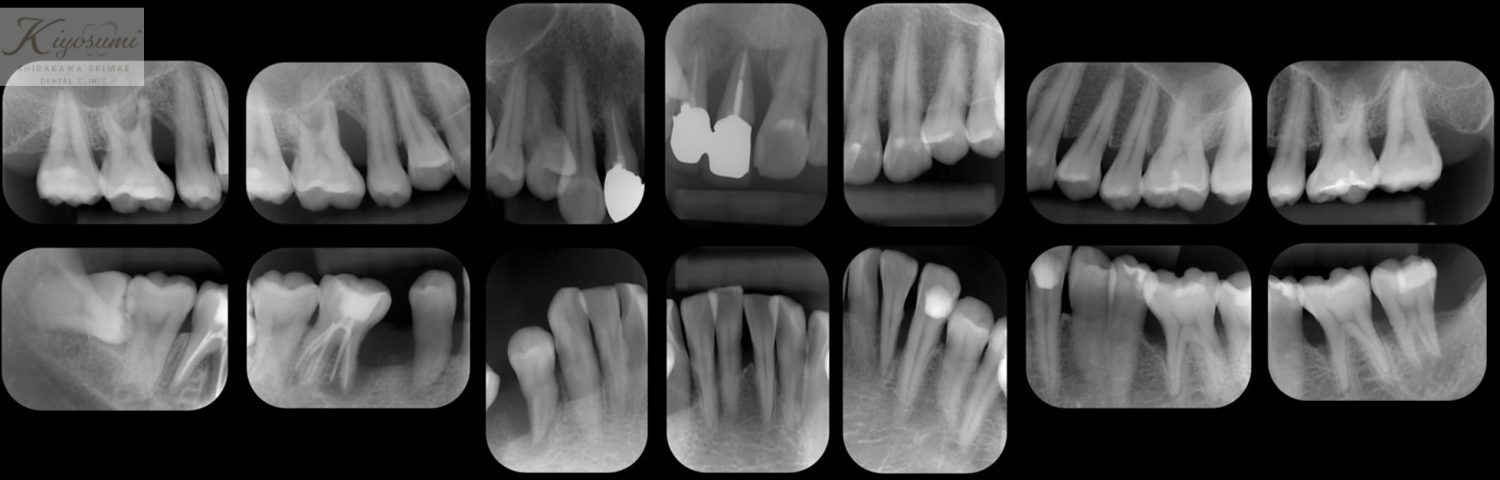
症例詳細
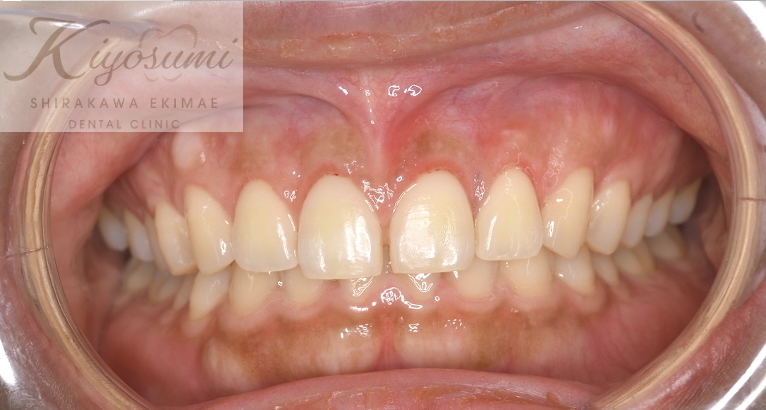
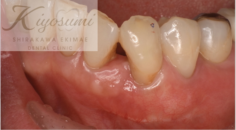
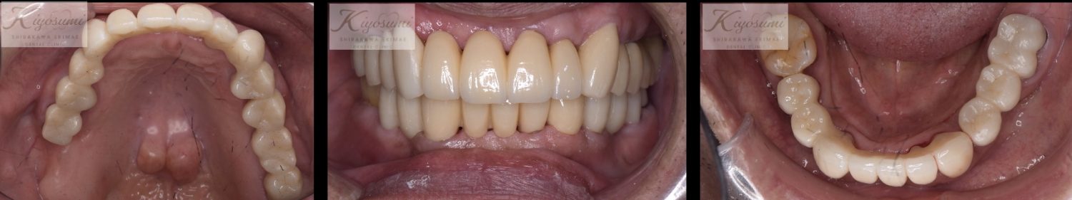
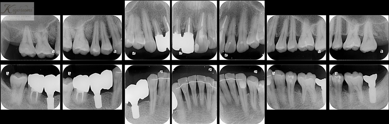
| 主訴 | 歯が揺れて噛めないので、噛めるようにして欲しい。 |
| 治療内容 | 基本的な歯周病治療、根の治療を実施し、歯の高さが足りない箇所は歯冠長延長術、保存が難しい歯は一部歯根分割抜去を行いました。欠損部はインプラントを用いず、ジルコニアブリッジで仕上げています。 |
| 治療費 | 3,100,000円(税込) |
| 治療期間 | 48ヶ月 |
| 治療回数 | 96回 |
| 想定されたリスク | ※残存している歯の本数が少ないため、残っている歯だけでブリッジを行うには長期予後が見込めない可能性があり、患者さんにご理解をいただいたうえで被せ物を行っています。 ※歯周病治療や根の治療をしても歯を残せない可能性がありました。 |
担当医のコメント

清澄白河駅前歯科クリニック
吉川 幸輝 歯科医師
ガミースマイルに対して歯冠長延長術を実施した症例紹介(清澄白河駅前歯科クリニック)


吉川 幸輝(清澄白河駅前歯科クリニック)
プロフィールをもっと見る
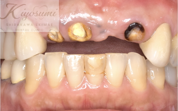
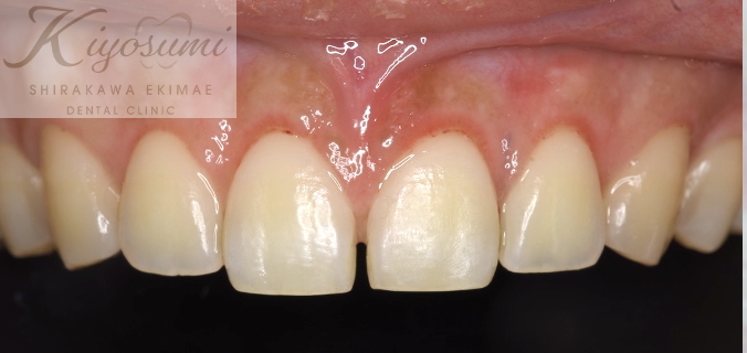
症例詳細
| 主訴 | 笑うと歯茎が目立ち、歯の長さが短い気がする。 |
| 治療内容 | デジタルワックスアップ、CTでシミュレーション後、歯冠長延長術を実施しました。 |
| 治療費 | 150,000円(税込) |
| 治療期間 | 1.5ヶ月 |
| 治療回数 | 6回 |
| 想定されたリスク | ※一度治療しても、長期経過で後戻りが起こるリスクがありました。 ※手術後、知覚過敏、歯肉退縮、後戻りが起こるリスクがありました。 |
担当医のコメント

清澄白河駅前歯科クリニック
吉川 幸輝 歯科医師
お口とスマイル時のお顔のスキャンデータ、CTデータを重ね合わせて手術のシミュレーションを行い、歯の長さを出すために歯茎と骨を調整する歯冠長延長術を行いました。
歯根残存部をインプラントの抜歯即時埋入+軟組織移植で改善した症例紹介(清澄白河駅前歯科クリニック)

清澄白河駅前歯科クリニック
インプラント ホワイトニング 一般歯科 予防治療 入れ歯 口腔外科 審美治療 小児歯科 小児矯正 根管治療 矯正歯科 親知らず抜歯
東京都江東区白河3丁目7-10 グランフォークス清澄白河
🕑 午前:月~土 9:00〜13:00
午後:月~金 14:00〜18:00 土 14:00~17:00
休診日:日・祝

清澄白河駅前歯科クリニック
吉川 幸輝 歯科医師